- Review
The Emerging Role of Citrulline and Theanine in Health and Disease: A Comprehensive Review
- Xiaokang Lv,
- Chao Chen,
- Yan Liang,
- Yating Song,
- Jie Liu,
- Wenxun Chen and
- Hao Li
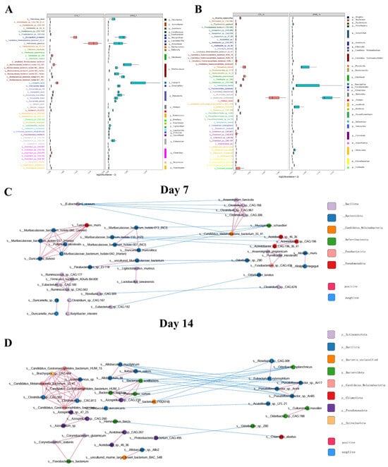
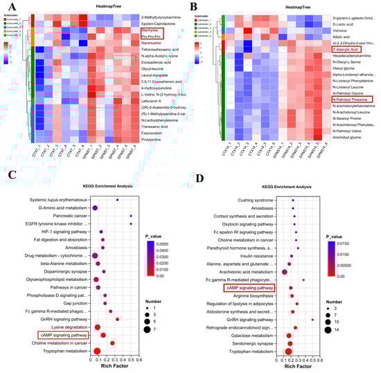
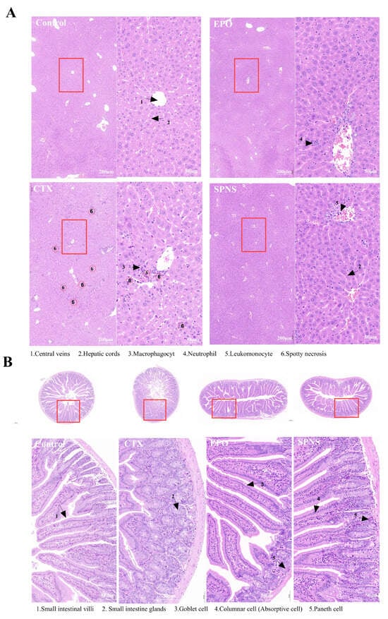
Non-proteinogenic amino acids, such as L-citrulline and L-theanine, have garnered attention for their potential health benefits, including enhanced immunity, antioxidant activity, and cardiovascular support. The application of natural amino acids in...

