-
The Association Between Skipping Breakfast and Anxiety and Depression in Adolescents—A Scoping Review -
Three Decades of Managing Pediatric Obstructive Sleep Apnea Syndrome: What’s Old, What’s New -
Chronic Disease in Pediatric Population—A Narrative Review of Psychosocial Dimensions and Strategies for Management -
The Relationship Between Parental Phubbing and Preschoolers’ Behavioral Problems: The Mediation Role of Mindful Attention Awareness -
Beyond the Overlap: Understanding the Empirical Association Between ADHD Symptoms and Executive Function Impairments in Questionnaire-Based Assessments
Journal Description
Children
Children
is an international, peer-reviewed, open access journal on children’s health, published monthly online by MDPI.
- Open Access— free for readers, with article processing charges (APC) paid by authors or their institutions.
- High Visibility: indexed within Scopus, SCIE (Web of Science), PubMed, PMC, Embase, and other databases.
- Journal Rank: JCR - Q2 (Pediatrics) / CiteScore - Q2 (Pediatrics, Perinatology and Child Health)
- Rapid Publication: manuscripts are peer-reviewed and a first decision is provided to authors approximately 15.6 days after submission; acceptance to publication is undertaken in 2.4 days (median values for papers published in this journal in the first half of 2025).
- Recognition of Reviewers: reviewers who provide timely, thorough peer-review reports receive vouchers entitling them to a discount on the APC of their next publication in any MDPI journal, in appreciation of the work done.
Impact Factor:
2.1 (2024);
5-Year Impact Factor:
2.3 (2024)
Latest Articles
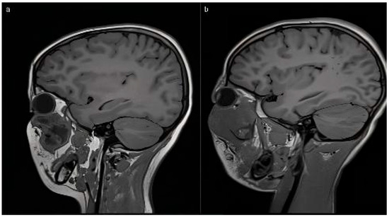
Role of Computer-Assisted Surgery in the Management of Pediatric Orbital Tumors: Insights from a Leading Referral Center
Children 2025, 12(12), 1649; https://doi.org/10.3390/children12121649 (registering DOI) - 4 Dec 2025
Abstract
Background/Objectives: Pediatric orbital tumors are rare and complex, requiring multidisciplinary care at specialized centers. Contemporary treatment paradigms emphasize centralized care delivery through experienced multidisciplinary teams to optimize patient outcomes. Recent advances in surgical planning technologies and intraoperative navigation systems have substantially enhanced surgical
[...] Read more.
Background/Objectives: Pediatric orbital tumors are rare and complex, requiring multidisciplinary care at specialized centers. Contemporary treatment paradigms emphasize centralized care delivery through experienced multidisciplinary teams to optimize patient outcomes. Recent advances in surgical planning technologies and intraoperative navigation systems have substantially enhanced surgical safety through improvement in tumor resection and reconstruction and reduction in complications, including recurrence of the lesion. Computed-aided surgical technologies enable precise virtual planning, minimally invasive approaches and more precise reconstruction methods when necessary by mean of patient-specific cutting guides, premolded orbital plates or individual patient solutions (IPS) prosthesis. Three-dimensional biomodelling visualizes tumor architecture and aids localization while preserving neurovascular structures, and real-time neuronavigation improves safety and efficacy. Methods: We conducted a retrospective analysis of 98 pediatric patients with orbital tumors treated between 2014 and 2025 at a tertiary center to evaluate the use of computed-assisted surgical technologies and the indications for treatment. Inclusion criteria comprised all cases where computer-assisted techniques were employed. Patients were classified into two groups: Group 1—intraconal or extensive periorbital lesions with eye-sparing intent treated via craniofacial approaches; Group 2—periorbital tumors with orbital wall involvement, to analyze the use of the different technologies. Data collected included tumor age, type, location, technology used, adjunctive treatments, and postoperative outcomes. Results: Twelve patients underwent computer-assisted surgery. Technologies employed over the last six years included intraoperative navigation, 3D planning with/without tumor segmentation, orbital-wall reconstruction by mirroring, IPS or titanium mesh bending, and preoperative biomodelling. Patients were grouped by tumor location and treatment goals: Group 1—intraorbital lesions (primarily intraconal or 270–360° involvement), including one case of orbital encephalocele treated transcranially; Group 2—periorbital tumors with orbital-wall destruction, treated mainly via midfacial approaches. Intraoperative navigation was used in 10/12 cases (8/11 with tumor segmentation); in 3 cases with ill-defined margins, navigation localized residual tumor. Virtual surgery predominated in Group 2 (4 patients) and one in Group 1, combined with cutting guides for margins and Individual Prosthetic Solutions (IPS) prosthesis fitting (two patients: titanium and PEEK). In two cases, virtual plans were performed, STL models printed, and premolded titanium meshes used. No complications related to tumor persistence or orbital disturbance were observed. Conclusions: Advanced surgical technologies substantially enhance safety, efficiency, and outcomes in pediatric orbital tumors. Technology-assisted approaches represent a paradigm shift in this complex field. Additional studies are needed to establish evidence-based protocols for systematic integration of technology in pediatric orbital tumor management.
Full article
(This article belongs to the Special Issue Pediatric Oral and Facial Surgery: Advances and Future Challenges)
►
Show Figures
Open AccessEditorial
Addressing the Child and Adolescent Mental Health Gap After the Pandemic: Why Translational, Practice-Oriented Research Matters
by
Ignasi Navarro-Soria and Boglarka Adorjan
Children 2025, 12(12), 1648; https://doi.org/10.3390/children12121648 (registering DOI) - 4 Dec 2025
Abstract
The global disruption caused by COVID-19 has drawn renewed attention to an already pressing reality: child and adolescent mental health requires sustained, system-level investment and high-quality evidence to guide practice [...]
Full article
(This article belongs to the Special Issue Addressing Challenges in Child Mental Health: Research and Strategies for Comprehensive Development)
Open AccessArticle
Social–Cognitive Factors in Antisocial Behavior and School Violence: A Cross-Sectional Analysis of Greek Vocational Students
by
Anastasia Petropoulou, Hera Antonopoulou, Agathi Alexandra Vlachou, Evgenia Gkintoni and Constantinos Halkiopoulos
Children 2025, 12(12), 1647; https://doi.org/10.3390/children12121647 (registering DOI) - 4 Dec 2025
Abstract
Background/Objectives: School violence represents a significant concern for educational communities worldwide, affecting student well-being and academic development. While prior research has documented prevalence rates and risk factors, limited studies have examined social–cognitive factors associated with antisocial behavior specifically within vocational education contexts using
[...] Read more.
Background/Objectives: School violence represents a significant concern for educational communities worldwide, affecting student well-being and academic development. While prior research has documented prevalence rates and risk factors, limited studies have examined social–cognitive factors associated with antisocial behavior specifically within vocational education contexts using integrated analytical approaches. This exploratory cross-sectional study examined social–cognitive factors—specifically self-reported attitudes about aggression norms, prosocial attitudes, and school climate perceptions—associated with violence-supportive attitudes among Greek vocational students. Methods: A cross-sectional design employed validated self-report instruments and traditional statistical methods. The sample comprised 76 vocational high school students (38.2% male; ages 14–18; response rate 75.2%) from one school in Patras, Greece. Validated instruments assessed attitudes toward interpersonal peer violence (α = 0.87), peer aggression norms across four subscales (α = 0.83–0.90), and school climate dimensions (α = 0.70–0.75). Analyses included descriptive statistics, Pearson correlations with bootstrapped confidence intervals, MANOVA for multivariate group comparisons, independent samples t-tests, propensity score matching for urban–rural comparisons, polynomial regression for developmental patterns, and path analysis for theoretical model testing. Results: Strong associations emerged between perceived school-level and individual-level aggression norms (r = 0.80, p < 0.001, 95% CI [0.71, 0.87]), representing one of the strongest relationships documented in school violence research. Violence-supportive attitudes demonstrated inverse associations with prosocial alternative norms (r = −0.37, p < 0.001, 95% CI [−0.55, −0.16]). Significant gender differences emerged for teacher–student relationships (d = −0.78, p = 0.002), with females reporting substantially more positive perceptions. Propensity-matched urban students demonstrated higher aggression norm endorsement compared to rural students across multiple indicators (d = 0.61–0.78, all p < 0.020). Polynomial regression revealed curvilinear developmental patterns with optimal teacher relationship quality during mid-adolescence (ages 15–16). Path analysis supported a sequential association model wherein school-level norms related to individual attitudes through prosocial alternative beliefs (indirect effect β = −0.22, p = 0.002, 95% CI [−0.34, −0.11]). Conclusions: This preliminary investigation identified social–cognitive factors—particularly normative beliefs about aggression at both individual and environmental levels—as strongly associated with violence-supportive attitudes in Greek vocational education. The exceptionally strong alignment between school-level and individual-level aggression norms (r = 0.80) suggests that environmental normative contexts may play a more substantial role in attitude formation than previously recognized in this educational setting. Gender and urban–rural differences indicate meaningful heterogeneity requiring differentiated approaches. Future research should employ longitudinal designs with multi-informant assessment and larger multi-site samples to establish temporal precedence, reduce method variance, and test causal hypotheses regarding relationships between normative beliefs and behavioral outcomes.
Full article
(This article belongs to the Section Global Pediatric Health)
►▼
Show Figures

Figure 1
Open AccessArticle
Evaluating an Eight-Week Therapeutic Swimming Program in Children with Autism Spectrum Disorder: A Mixed-Methods Study from Romania
by
Stefan Alecu and Gheorghe Adrian Onea
Children 2025, 12(12), 1646; https://doi.org/10.3390/children12121646 - 3 Dec 2025
Abstract
Background/Objectives: In Romania, therapeutic program programs for children with autism spectrum disorder (ASD) focus mainly on behavioral and educational approaches, with limited integration of adapted physical activity (APA). Therapeutic swimming may provide complementary benefits, addressing both physical and psychosocial challenges. This study explored
[...] Read more.
Background/Objectives: In Romania, therapeutic program programs for children with autism spectrum disorder (ASD) focus mainly on behavioral and educational approaches, with limited integration of adapted physical activity (APA). Therapeutic swimming may provide complementary benefits, addressing both physical and psychosocial challenges. This study explored parent-perceived changes across an adapted therapeutic swimming program, following ABA therapy, on the well-being, learning, attention, physical activity, and social functioning of children with ASD. A custom-developed parent-report tool (PPQ-Autism-Swim) was used to measure perceived changes across key developmental domains. Methods: Thirty-nine children with ASD were recruited, of whom 36 completed the full 8-week swimming intervention. Parent-report questionnaires, developed by behavioral therapists under the supervision of a clinical psychologist, were administered at three time points: 8 weeks before swimming (T − 8), immediately before swimming after Applied Behaviour Analysis (ABA) therapy (T0), and 8 weeks after swimming (T + 8). The questionnaire assessed five subscales: general well-being, physical activity and energy, attention and focus, learning and cognitive progress, and self-confidence and social behaviors. Data were analyzed using descriptive statistics, repeated-measures ANOVA, and thematic analysis of qualitative parental feedback. ABA therapy served as a behavioral baseline, allowing comparison with subsequent gains from swimming. Results: Parents reported higher scores across time points, suggesting perceived changes in several domains. From T − 8 to T0, moderate gains followed ABA therapy, while from T0 to T + 8, therapeutic swimming was associated with improvements. At T + 8, 35 of 36 children showed measurable progress, particularly in physical activity regulation and self-confidence. Parental feedback emphasized calmer behavior, improved sleep, increased social interaction, and greater pride in new skills. Reliability testing indicated good to excellent internal consistency (Cronbach’s α = 0.78–0.91). Conclusions: Therapeutic swimming appears to be an effective and motivating form of adapted physical education, complementing behavioral therapies and addressing multiple developmental challenges in children with ASD.
Full article
(This article belongs to the Section Global Pediatric Health)
►▼
Show Figures

Figure 1
Open AccessArticle
Cow’s Milk Protein Allergy: ETAPA Survey on Pediatric Management and Tolerance Acquisition
by
Juan José Díaz-Martin, Rafael Martín-Masot, Alicia Santamaría-Orleans and Víctor Manuel Navas-López
Children 2025, 12(12), 1645; https://doi.org/10.3390/children12121645 (registering DOI) - 3 Dec 2025
Abstract
Background: Cow’s milk protein allergy (CMPA) is among the most common pediatric food allergies. Understanding tolerance acquisition and diagnostic approaches is critical for optimizing care, particularly in Spain, where regional differences may impact management. This study analyzed real-world practices for determining CMPA oral
[...] Read more.
Background: Cow’s milk protein allergy (CMPA) is among the most common pediatric food allergies. Understanding tolerance acquisition and diagnostic approaches is critical for optimizing care, particularly in Spain, where regional differences may impact management. This study analyzed real-world practices for determining CMPA oral tolerance acquisition by Spanish pediatricians. Methods: A questionnaire was distributed to healthcare providers in primary and hospital pediatric settings across various Spanish provinces. The survey addressed demographic profiles, diagnostic approaches, tolerance acquisition, and dietary modifications. Results: Among the 269 health professionals included (mean age 48.3 ± 11.0 years, 62.3% women), most worked in primary care (55.4%), 20.4% in public hospitals, and 17.8% in private practice. Overall, 35.5% routinely referred CMPA cases to specialists. Specific IgE testing (27.9%) and elimination diets (41.3%) were the main diagnostic tools. Diagnostic dairy-exclusion duration varied, mainly in non-IgE cases. Hospital-based diagnostic oral food challenges (OFC) were preferred for suspected IgE-mediated cases (95.7%), while home-based protocols were used for non-IgE suspected cases (80.7%). Guideline adherence for home-based OFC varied by specialty. Tolerance acquisition was evaluated annually by 67.7% of participants, with a mean success rate of 80%. Therapeutic dairy-exclusion duration varied, with 64.7% excluding CMP for 6–12 months. Minimum age for CMP reintroduction was considered dependent on phenotype and severity, with 12 months of age mentioned most frequently (17.1%). Conclusions: Despite general alignment with international guidelines, relevant variability exists in CMPA management in Spain. Harmonizing diagnostic and therapeutic practices across specialties and care levels may help standardize care and improve patient outcomes.
Full article
(This article belongs to the Special Issue Diagnosis, Treatment and Care of Pediatric Allergy)
►▼
Show Figures

Figure 1
Open AccessArticle
The Premature Infants’ Gut Microbiota Assembly and Neurodevelopment (PIGMAN) Cohort Study: Protocol for a Prospective, Longitudinal Cohort Study
by
Tingting Li, Liangfeng Fang, Xianhong Chen, Youming He, Xiaoyuan Pang, Ling Lin, Heng Chen, Yajie Su, Yan Huang, Yanping Guo, Tiantian Xiao, Aiping Liu, Yanli Wang, Hanhua Yang, Chuan Nie, Wei Zhou, Guang Yang, Chunquan Cai, Xiaoguang Zhou, Shujuan Zeng, Yongfu Yu, Long Li, Huifeng Zhang, Lijun Yu, Guoqiang Cheng, Wenhao Zhou, Cheng Chen, Zhangbin Yu, Mingbang Wang and Yingmei Xieadd
Show full author list
remove
Hide full author list
Children 2025, 12(12), 1644; https://doi.org/10.3390/children12121644 - 3 Dec 2025
Abstract
Background: Early-life gut microbiota colonization plays a significant role in the neurodevelopment of infants and young children. However, the causal relationship between early-life gut microbiota colonization and neurodevelopment in preterm infants has not yet been conclusively established. Our research will initiate the PIGMAN
[...] Read more.
Background: Early-life gut microbiota colonization plays a significant role in the neurodevelopment of infants and young children. However, the causal relationship between early-life gut microbiota colonization and neurodevelopment in preterm infants has not yet been conclusively established. Our research will initiate the PIGMAN (Premature Infants Gut Microbiota Assembly and Neurodevelopment) cohort study to systematically examine the dynamic interplay between gut microbiota developmental trajectories and neurodevelopmental processes in preterm infants. Methods: This study will employ a longitudinal cohort design and utilize data from the PIGMAN cohort, examining the interplay between gut microbiota metabolism and neurodevelopmental outcomes. The study design incorporates longitudinal stool sample collection, which will be analyzed through 16S rRNA gene sequencing and metagenomic shotgun sequencing, enabling comprehensive characterization of microbial community dynamics and functional metabolic pathways. Anticipated Results: Advanced analytical approaches incorporating causal inference methodologies will be implemented to identify significant microbial and metabolic biomarkers associated with neurodevelopmental outcomes in preterm neonates, and to establish causal pathways between these biomarkers and neurodevelopment. These analytical advancements will facilitate the construction of predictive models that utilize temporal microbial signatures and metabolite trajectories as prognostic indicators for neurodevelopmental outcomes. Causal inference method evaluations will further reveal that specific gut-derived metabolites, particularly those involved in cholesterol metabolism and neural signaling pathways—such as bile acids and GABA (gamma-aminobutyric acid)—exhibit superior predictive capacity for cognitive development trajectories. Anticipated Conclusions: The findings will collectively suggest that longitudinal metabolic profiling of the gut ecosystem, when combined with causal network analysis, provides a novel paradigm for developing clinically actionable predictive models of neurodevelopment in vulnerable preterm populations.
Full article
(This article belongs to the Special Issue Advances in Neonatal Resuscitation and Intensive Care)
►▼
Show Figures

Figure 1
Open AccessReview
A Narrative Review of the Co-Occurrence and Interaction of Childhood Emotional Neglect and Overprotection in Developmental Pathways to Disordered Eating
by
Valentina Lucia La Rosa, Federica Tortorella and Elena Commodari
Children 2025, 12(12), 1643; https://doi.org/10.3390/children12121643 - 3 Dec 2025
Abstract
Childhood emotional neglect and parental overprotection are two subtle yet influential caregiving patterns that shape emotional, relational, and self-regulatory development. Though they are often examined separately, emerging research suggests that they may act independently and together to increase vulnerability to disordered eating. This
[...] Read more.
Childhood emotional neglect and parental overprotection are two subtle yet influential caregiving patterns that shape emotional, relational, and self-regulatory development. Though they are often examined separately, emerging research suggests that they may act independently and together to increase vulnerability to disordered eating. This narrative review synthesizes contemporary theoretical and empirical contributions to clarify how emotional neglect and overprotection affect pathways related to emotion regulation, attachment processes, and self-concept development. The review introduces the concept of complementarity, explaining how these patterns may co-occur within the same family system or fluctuate among individual caregivers. This creates developmental contexts marked by emotional deprivation and restricted autonomy. Based on this synthesis, the manuscript presents an integrative framework that considers distinct and shared mechanisms connecting caregiving experiences to maladaptive eating patterns. Developmental and clinical implications are discussed, emphasizing the importance of assessing relational histories, supporting emotional clarity, and promoting autonomy in intervention planning. The limitations of the narrative approach and directions for future research are outlined, including the need for longitudinal designs, more precise measurement of caregiving dimensions, and a more systematic investigation of the interactive effects of emotional neglect and overprotection.
Full article
(This article belongs to the Special Issue Attachment-Informed Interventions for Children and Adolescents)
Open AccessReview
Effectiveness of Distal Shoe Space Maintainers for First Permanent Molar Eruption: A Systematic Review
by
Laura Marqués-Martínez, Carla Esteve-Ferre, Lidia Galán-López, Juan Ignacio Aura-Tormos, Clara Guinot-Barona and Esther García-Miralles
Children 2025, 12(12), 1642; https://doi.org/10.3390/children12121642 - 3 Dec 2025
Abstract
Background: Premature loss of the second primary molars can result in arch space loss and later malocclusion. Distal shoe space maintainers (SMs) are used to guide the eruption of the permanent first molars, although their clinical effectiveness remains under-evaluated. Objective: We aimed to
[...] Read more.
Background: Premature loss of the second primary molars can result in arch space loss and later malocclusion. Distal shoe space maintainers (SMs) are used to guide the eruption of the permanent first molars, although their clinical effectiveness remains under-evaluated. Objective: We aimed to assess the clinical effectiveness and complication profile of distal shoe SMs in paediatric patients following premature loss of second primary molars. Methods: A PRISMA-compliant systematic review was conducted, with protocol registered in PROSPERO (CRD420251101518). Searches in PubMed, Scopus, Web of Science, Embase, and Cochrane Library identified clinical studies evaluating distal shoe appliances in children aged ≤6 years. Risk of bias was assessed using ROBINS-I and JBI tools. Results: Six clinical studies comprising 67 patients were included. Overall eruption success was 95.5% (64/67), with minor complications occurring in 25.4% of cases. Modified designs demonstrated fewer complications, although sample size was limited. Due to heterogeneity of methods and outcomes across studies, results are reported as descriptive metrics rather than inferential estimates. Conclusions: Distal shoe space maintainers are effective in promoting eruption of the first permanent molar with an acceptable complication profile. Their success depends heavily on technical execution and case selection. Further prospective studies with larger cohorts are required to validate optimal procedural parameters.
Full article
(This article belongs to the Section Pediatric Dentistry & Oral Medicine)
►▼
Show Figures

Figure 1
Open AccessArticle
Refractive Errors and Amblyopia in Mexican Children Aged 6–12 Years: Clinical Prevalence and Visual Impact
by
Abraham García-Gil, Israel Gómez-Torales, Kalahary Patricia García-Nahara, Marco Antonio Luna-Ruiz-Esparza, Eduardo Espinoza-Angulo, Héctor Machado-Jiménez, Leticia Riverón-Negrete, Humberto Gómez-Campaña, Abraham Campos-Romero and Jonathan Alcántar-Fernández
Children 2025, 12(12), 1641; https://doi.org/10.3390/children12121641 - 2 Dec 2025
Abstract
Background: Refractive errors (REs) and amblyopia are the leading causes of visual impairment (VI) in children worldwide; however, national data for Mexico are scarce. Objective: We aim to estimate the clinical prevalence of RE, refractive amblyopia, and associated visual impairment (VI) in Mexican
[...] Read more.
Background: Refractive errors (REs) and amblyopia are the leading causes of visual impairment (VI) in children worldwide; however, national data for Mexico are scarce. Objective: We aim to estimate the clinical prevalence of RE, refractive amblyopia, and associated visual impairment (VI) in Mexican children aged 6–12 years. Methods: We analyzed 784,372 non-cycloplegic eye examinations from Salud Digna outpatient clinics across all 32 Mexican states (2021–2025). REs were classified as myopia (≤−0.50 D), hyperopia (≥+2.00 D), or astigmatism (≤ −1.00 D cylinder). Refractive amblyopia was defined as best-corrected visual acuity ≤ 20/30 in the most affected eye. The VI categories followed the WHO criteria. Results: Myopia was the most frequent (43.86%), followed by astigmatism (38.41%) and hyperopia (1.29%). Refractive amblyopia affected 4.94% of the children, predominantly due to astigmatic isoametropia (72.19%). VI related to refractive amblyopia occurred in 1.20% (mild), 0.37% (moderate), 0.01% (severe), and 0.01% (blindness) of children. Men showed a higher prevalence of RE and refractive amblyopia (p < 0.01). Geographic disparities were evident, with the central and southern states reporting the highest RA rates. Conclusions: Our outpatient-based study underscores REs, refractive amblyopia, and astigmatic ametropia as significant public health concerns in Mexican school-aged children. The high prevalence of uncorrected REs and refractive amblyopia highlights the need for nationwide school-based screening programs and early intervention strategies to mitigate long-term visual and developmental consequences.
Full article
(This article belongs to the Section Pediatric Ophthalmology)
►▼
Show Figures

Figure 1
Open AccessArticle
Liver Involvement in Children with Hemolytic Uremic Syndrome: Clinical Significance and Prognostic Value
by
Ezgi Kıran Taşcı, Bora Kunay, Eylem Tazegül Çokgezer, Ezgi Yavuz, Doğan Barut, Pınar Yazıcı Özkaya, Kübra Cebeci, Sevgin Taner, İpek Kaplan Bulut and Miray Karakoyun
Children 2025, 12(12), 1640; https://doi.org/10.3390/children12121640 - 2 Dec 2025
Abstract
Background/Objectives: Hemolytic uremic syndrome is a thrombotic microangiopathy characterized by hemolytic anemia, thrombocytopenia, and acute kidney injury. Liver involvement in pediatric hemolytic uremic syndrome is increasingly recognized, but its clinical significance remains unclear. This study aimed to evaluate the relationship between liver
[...] Read more.
Background/Objectives: Hemolytic uremic syndrome is a thrombotic microangiopathy characterized by hemolytic anemia, thrombocytopenia, and acute kidney injury. Liver involvement in pediatric hemolytic uremic syndrome is increasingly recognized, but its clinical significance remains unclear. This study aimed to evaluate the relationship between liver involvement and clinical outcomes in children with hemolytic uremic syndrome. Methods: We retrospectively analyzed 25 pediatric patients diagnosed with hemolytic uremic syndrome. Patients were grouped based on liver involvement, defined by elevated transaminase levels. Demographic, clinical, laboratory, and treatment data were collected. Associations between liver involvement, intensive care unit admission, dialysis, plasma exchange, and length of intensive care unit stay were assessed using statistical analyses. Results: Liver involvement was observed in 68% of patients. Although liver involvement was not associated with the need for dialysis, affected patients required plasma exchange and intensive care unit admission significantly more often. An AST cutoff of ≥42 U/L moderately predicted adverse outcomes (AUC: 0.619), while ALT had limited prognostic value (AUC: 0.658). Transaminase levels normalized within a mean of 3.76 ± 1.92 days. No mortality was observed in our cohort, in contrast to previously reported rates of 2–5%. Conclusions: Liver involvement in pediatric hemolytic uremic syndrome is common but generally follows a reversible and benign course. While it is associated with increased intensive care unit admission and plasma exchange, it does not independently predict disease severity. These findings emphasize the importance of supportive management and suggest that liver involvement should be interpreted in the context of the overall clinical picture.
Full article
(This article belongs to the Section Global Pediatric Health)
Open AccessArticle
Retrospective Study of Severe Atopic Disease in Young Children (0–5 Years) Managed with Dupilumab Highlights Significant Comorbidities
by
Evelyn F. Fagan, Elena B. Hawryluk and LaDonya Jackson-Cowan
Children 2025, 12(12), 1639; https://doi.org/10.3390/children12121639 - 2 Dec 2025
Abstract
Background: Atopic dermatitis (AD) is a common pediatric skin disease that is associated with other atopic comorbidities, all of which correlate with higher rates of neurocognitive alterations such as developmental delays and ADHD. Methods: We conducted a retrospective chart review from January 2022
[...] Read more.
Background: Atopic dermatitis (AD) is a common pediatric skin disease that is associated with other atopic comorbidities, all of which correlate with higher rates of neurocognitive alterations such as developmental delays and ADHD. Methods: We conducted a retrospective chart review from January 2022 through January 2024 and identified 79 children aged 0–5 years who were prescribed dupilumab in the Massachusetts General Brigham healthcare system. We defined the patient population (including demographics, atopic comorbidities, and neurocognitive burden), and assessed whether time to treatment access varied by patient or prescriber characteristics. Results: The mean age at dupilumab initiation was 3.4 years, and 62.0% of patients were male. The cohort was diverse (48.1% White, 25.3% Black, 16.5% Hispanic/Latino, 10.1% Asian/other), with 48.1% publicly insured. Atopic comorbidities were common: 64.6% had food allergies, 34.2% had asthma, and 10.1% had eosinophilic esophagitis (EOE); 73.4% had two or more atopic diagnoses. Neurodevelopmental disorders affected 43.0% of patients, with speech and language delay most frequent (25.3%) and higher rates among those with EOE (87.5% vs. 38.0%, p < 0.01). The mean time to dupilumab approval was 20.9 days, with dermatologists achieving faster approvals than other specialists (10.6 vs. 51.9 days, p < 0.001). Conclusions: Our findings reveal infrequently reported high rates of atopic and neurologic comorbidities in young children with AD and underscore the importance of coordinated inter-specialty collaboration to ensure timely access to dupilumab for these patients.
Full article
(This article belongs to the Section Pediatric Dermatology)
Open AccessArticle
Patient and Public Involvement in Paediatric Pragmatic Randomized Controlled Trials: A Mixed Methods Study
by
Shelley Vanderhout, Shipra Taneja, Pascale Nevins, Stuart G. Nicholls, Beth K. Potter, Maureen Smith, Alicia Hilderley, Dean A. Fergusson, Colin Macarthur and Monica Taljaard
Children 2025, 12(12), 1638; https://doi.org/10.3390/children12121638 - 2 Dec 2025
Abstract
Background/Objectives: Patient and public involvement (PPI) in the design, conduct, and dissemination of pragmatic trials may make trial results more relevant and meaningful. The nature of PPI in paediatric pragmatic trials has been poorly characterized in the literature. This study examined the prevalence
[...] Read more.
Background/Objectives: Patient and public involvement (PPI) in the design, conduct, and dissemination of pragmatic trials may make trial results more relevant and meaningful. The nature of PPI in paediatric pragmatic trials has been poorly characterized in the literature. This study examined the prevalence and nature of PPI in paediatric pragmatic trials and lessons learned from researchers’ experiences. Methods: For this mixed methods study, we conducted an online survey and semi-structured interviews with corresponding authors of published paediatric pragmatic trials, identified using an online search filter in MEDLINE. Descriptive statistics and qualitative thematic analysis were used to analyse the data. Results: PPI was reported by 71/127 (56%) survey respondents. Reported impacts of PPI in the survey included the following: more feasible interventions (71%), higher-quality research (57%), improved recruitment and retention (57%), and increased applicability of research findings (57%). Both survey and interview participants identified that insufficient resources, time, and training for relationship development were challenges to PPI in paediatric trials. Three themes were identified from the semi-structured interview data (recruitment and engagement, sustaining PPI relationships, and PPI value added). Conclusions: PPI aligns with the purpose and intended impact of pragmatic trials, and paediatric researchers perceive that PPI leads to increased research relevance, quality, and dissemination. There is, however, a need for institutional and funding bodies to invest in PPI partnership, including offering support for researchers and providing opportunities for children, youth, and parents as PPI partners.
Full article
(This article belongs to the Section Global Pediatric Health)
►▼
Show Figures

Figure 1
Open AccessArticle
Association Between COVID-19 Exposure Duration on Receptive and Expressive Language Development in Preschool Children
by
Christine Sol Lee and Sangwon Hwang
Children 2025, 12(12), 1637; https://doi.org/10.3390/children12121637 - 1 Dec 2025
Abstract
Background/Objectives: The COVID-19 pandemic substantially altered children’s daily experiences, limiting social interactions, which are critical for language development. This study aims to explore how the pandemic influenced receptive and expressive language abilities in children under six years, focusing on the impact of
[...] Read more.
Background/Objectives: The COVID-19 pandemic substantially altered children’s daily experiences, limiting social interactions, which are critical for language development. This study aims to explore how the pandemic influenced receptive and expressive language abilities in children under six years, focusing on the impact of exposure duration and differences with the pandemic period. Methods: This retrospective cross-sectional study reviewed 189 children assessed for language delay at our outpatient clinic between 2018 and 2021. Only children evaluated using the Sequenced Language Scale for Infants or the Preschool Receptive-Expressive Language Scale were included. Participants were categorized by assessment period: pre-COVID (2018–2019), acute-COVID (2020), and chronic-COVID (2021), and by age (toddlers vs. preschoolers). Linear regression assessed the relationship between pandemic exposure duration and language scores; non-parametric tests compared groups. Results: During the acute-COVID period, longer exposure was associated with lower receptive and expressive percentile scores. In preschoolers, receptive scores were significantly lower in the chronic-COVID group than in the pre-COVID group, while expressive scores were lower in the chronic-COVID group than in the acute-COVID group. Conclusions: Prolonged exposure to the pandemic environment was associated with measurable delays in both receptive and expressive language development, especially in preschoolers. The results suggest that pandemic restrictions can hinder children’s language acquisition, indicating the need to strengthen early screening and provide timely interventions to support their developmental recovery.
Full article
(This article belongs to the Special Issue Bridging the Gap: Insights into Language Development and Communication Disorders in Children)
►▼
Show Figures

Figure 1
Open AccessArticle
Pilot Implementation of the NeuroSense PremmieEd Parenting Educational Programme for Parents with Infants in the Neonatal Intensive Care Unit: A Sequential Cohort Design
by
Welma Lubbe and Kirsten A. Donald
Children 2025, 12(12), 1636; https://doi.org/10.3390/children12121636 - 1 Dec 2025
Abstract
Introduction: Preterm birth and neonatal intensive care unit (NICU) admission may elevate parental stress and impair early parent–infant interaction. In low-resource settings, where staff and resources are limited, parental education programmes are often also limited, further complicating care engagement. This study piloted the
[...] Read more.
Introduction: Preterm birth and neonatal intensive care unit (NICU) admission may elevate parental stress and impair early parent–infant interaction. In low-resource settings, where staff and resources are limited, parental education programmes are often also limited, further complicating care engagement. This study piloted the NeuroSense PremmieEd parenting educational programme to assess its preliminary impact on maternal stress and knowledge in a South African public-sector NICU. Objectives: This study aimed to pilot a contextually relevant parenting education intervention to enhance parental understanding of preterm infant behaviour, strengthen parents’ capacity to interpret and respond sensitively to infant cues, and reduce parental stress during NICU admission. Methodology: This sequential cohort pilot study involved 60 mothers of preterm infants (gestational age, 24–36 weeks) admitted to two comparable NICUs. Mothers (aged 18–45 years) were allocated to three groups. Arm 1 received standard care (n = 20), Arm 2 received a printed educational booklet (n = 20), and Arm 3 received the booklet plus a facilitated education session (n = 20). Pre- and post-intervention data were collected using the Knowledge of Preterm Infant Behaviour (KPIB) questionnaire and the Parental Stressor Scale: NICU (PSS:NICU). Descriptive statistics were used to explore differences between arms. Results: Knowledge scores measured with the KPIB tool showed a positive trend in all groups, with the greatest improvement observed in Arm 3; however, these changes were not statistically significant (p = 0.176). Maternal stress measured using the PSS:NICU increased significantly over time across all groups (F(1, 57) = 8.40, p = 0.005), with Arm 3 consistently reporting the lowest stress at both timepoints. Discussion: The facilitated intervention was associated with a trend towards improved maternal knowledge of preterm infant behaviour. This pilot study highlighted the potential of structured and culturally relevant education to support early parenting in a public-sector NICU in South Africa. Maternal stress levels remained high across all groups. While this finding may be due to parents’ experience of changes in infant medical condition, fatigue, and other factors, these were not investigated in this study and therefore warrant further exploration in future work. Conclusions: The NeuroSense PremmieEd programme shows promise in improving maternal understanding of preterm infant behaviour. The results highlight the need for further adaptation of content delivery, inclusion of diverse populations (e.g., by preterm category) and scalable, low-resource approaches to improve engagement and long-term outcomes.
Full article
(This article belongs to the Special Issue Advances in Neurodevelopmental Outcomes for Preterm Infants)
►▼
Show Figures

Figure 1
Open AccessArticle
The Implementation of Infrared Thermography as Complementary Diagnostic Tool in Orthodontic Treatment Plan—Pilot Study
by
André Brandão de Almeida, André Moreira, Miguel Pais Clemente, Joaquim Mendes and Francisco Salvado e Silva
Children 2025, 12(12), 1635; https://doi.org/10.3390/children12121635 - 1 Dec 2025
Abstract
Introduction: Infrared thermography (IRT) is a non-invasive, non-ionizing imaging modality capable of rapidly capturing surface temperature variation. In dentistry, particularly orthodontics and TMD evaluation, IRT may serve as a valuable complementary tool to be added in conventional diagnostic protocols. Objective: Correlate possible relationships
[...] Read more.
Introduction: Infrared thermography (IRT) is a non-invasive, non-ionizing imaging modality capable of rapidly capturing surface temperature variation. In dentistry, particularly orthodontics and TMD evaluation, IRT may serve as a valuable complementary tool to be added in conventional diagnostic protocols. Objective: Correlate possible relationships between thermographic findings of orofacial structures and cephalometric landmarks. Methods: An infrared imaging camera, FLIR® i7, was used to record the regions of interest, correspondent to the temporal, masseter and orbicular oris muscles, in adolescents (n = 22). Bilateral temperature differences were considered as thermal asymmetries with a conventional threshold of 0.3 °C to distinguish an eventual hyperactivity or hyperfunctions of detrimental structures. The Trevisi cephalometric parameters that were taken into consideration for the study were SNA, SNB, ANB, OccltoSn, Wits relation to base and Molar/canine classes. Results: Most of the participants showed a normal temperature difference ΔΤ for the upper and lower orbicular oris muscle, right vs. left, 96% and 92%, respectively. The other ROIs presented a mixed pattern of thermal asymmetries; however, no statistically significant differences were found when crossed with the cephalometric landmarks. Conclusions: Asymmetrical patterns of infrared thermography can aid on the diagnosis and treatment plan of an orthodontic appointment, since the actual stability of pos-orthodontic treatment is highly dependent on the muscular activity of the tongue and lips, in particular when the patient has atypical swallowing. Our findings suggest that this technique can be used to quantify anatomical landmarks relevant to craniofacial morphology in specific populations, particularly at ages where muscular functional activity is strongly correlated with dentoskeletal development.
Full article
(This article belongs to the Section Pediatric Dentistry & Oral Medicine)
►▼
Show Figures

Figure 1
Open AccessArticle
The Interlinkages Between Ambient Temperature and Air Pollution in Exacerbating Childhood Asthma: A Time Series Study in Cape Town, South Africa
by
Tshepo Kingsley Phakisi, Edda Weimann and Hanna-Andrea Rother
Children 2025, 12(12), 1634; https://doi.org/10.3390/children12121634 - 1 Dec 2025
Abstract
►▼
Show Figures
Background: Given the rapid global increase in asthma cases, understanding the impact of climate change on respiratory health is necessary for evidence-based policymaking, particularly in low- and middle-income countries (LMICs). Objectives: To estimate the short-term associations between temperature (mean and diurnal range), particulate
[...] Read more.
Background: Given the rapid global increase in asthma cases, understanding the impact of climate change on respiratory health is necessary for evidence-based policymaking, particularly in low- and middle-income countries (LMICs). Objectives: To estimate the short-term associations between temperature (mean and diurnal range), particulate matter (PM2.5 and PM10), nitrogen dioxide (NO2), ozone (O3), and childhood asthma exacerbations in Cape Town, South Africa. Methods: We analysed daily hospital records (n = 7753; 2009, 2014, 2019) alongside citywide air quality and meteorological data using negative binomial mixed-effects models and distributed lag non-linear models to capture delayed effects. Results: NO2 and PM10 were consistently associated with a higher exacerbation risk, with additional delayed effects observed for PM2.5, PM10, and NO2. Mean temperature and diurnal temperature range were also linked to an increased risk at short (lag 0–1) and medium (lag 4–5) delays. Conclusions: Temperature variability and traffic-related air pollution contribute to childhood asthma exacerbations in urban LMIC settings. The findings support child-centred early warning systems and stricter air quality controls aligned with WHO guidance.
Full article

Figure 1
Open AccessArticle
Digital Pedoscopic Assessment and Data-Driven Classification of Pediatric Rearfoot Alignment
by
Yu-Sun Min
Children 2025, 12(12), 1633; https://doi.org/10.3390/children12121633 - 1 Dec 2025
Abstract
Background: Accurate assessment of pediatric foot biomechanics is challenging due to growth-related variability and limited quantitative tools. The supination and pronation angles of the ankle are critical for understanding lower limb alignment and pathological gait patterns. Objectives: This study introduces a novel digital
[...] Read more.
Background: Accurate assessment of pediatric foot biomechanics is challenging due to growth-related variability and limited quantitative tools. The supination and pronation angles of the ankle are critical for understanding lower limb alignment and pathological gait patterns. Objectives: This study introduces a novel digital pedoscopic system designed to enhance the quantitative evaluation of foot alignment and to demonstrate its clinical utility through clustering analysis of pediatric ankle angles. Methods: Thirty-five pediatric patients (mean age = 6.17 ± 4.54 years) with neurological or developmental disorders were evaluated using a semi-automated digital pedoscopic system to obtain quantitative measurements of ankle alignment. Key anatomical landmarks, including the heel, calf, and knee centers, were manually identified from posterior images, and the system automatically calculated ankle pronation and supination angles. K-means clustering analysis was applied to classify participants based on their biomechanical profiles. Results: A total of thirty-five pediatric patients were assessed, and the revised abstract now explicitly reports this sample size to improve clarity. Data-driven k-means clustering of bilateral rearfoot angles identified three clearly defined alignment subgroups—neutral, pronated, and supinated—each exhibiting characteristic distribution patterns and degrees of inter-individual variability. These findings highlight the system’s ability to quantitatively distinguish biomechanical phenotypes within a heterogeneous pediatric population. Visualization through scatter, box, and violin plots demonstrated distinct cluster-specific distributions and inter-individual variability in rearfoot alignment, demonstrating the feasibility of objective biomechanical stratification in pediatric populations. Conclusions: The digital pedoscopic imaging system provides a reliable and reproducible approach for quantitative assessment of foot alignment in children. Clustering analysis enables stratification of biomechanical subtypes, supporting individualized rehabilitation strategies and longitudinal monitoring in pediatric clinical practice.
Full article
(This article belongs to the Section Pediatric Orthopedics & Sports Medicine)
►▼
Show Figures

Figure 1
Open AccessCase Report
Beyond the Diagnosis: A Journey of an 8-Year-Old Girl with Patau Syndrome: Case Report
by
Natalia Aleksander, Adrian Bukała, Wiktoria Borowska, Katarzyna Czapla, Krzysztof Bylok, Mikołaj Magiera, Tomasz Czerwiec and Krystyna Stencel-Gabriel
Children 2025, 12(12), 1632; https://doi.org/10.3390/children12121632 - 1 Dec 2025
Abstract
Background/Objectives: Patau syndrome (trisomy 13) is a rare genetic disorder with high mortality, and poor prognosis. Patients surviving beyond infancy usually present with severe psychomotor delays, failure to thrive, intellectual disabilities and seizures. Female sex and mosaic trisomy 13 are considered positive
[...] Read more.
Background/Objectives: Patau syndrome (trisomy 13) is a rare genetic disorder with high mortality, and poor prognosis. Patients surviving beyond infancy usually present with severe psychomotor delays, failure to thrive, intellectual disabilities and seizures. Female sex and mosaic trisomy 13 are considered positive prognostic factors. Methods: Here we report an 8-year-old female patient with Patau syndrome, diagnosed prenatally, born prematurely at 35 + 4 weeks of gestation via vaginal delivery as a third child of 33 years old healthy and unrelated parents. The birth weight was 2087 g, Apgar scored 9 at 1 min and 10 at 5 min, also self-ventilating in room air since birth. The patient has several associated congenital abnormalities; however, medical adjustments such as multiple surgeries, PEG, hearing aids, glasses, anti-epileptic medications, and suction support the girl’s daily life. The patient attends a primary school with specialist support that fosters her physical and sensory development and promotes progress in communication. Despite the numerous obstacles she faces, the girl’s journey demonstrates remarkable growth and development with the support of an interdisciplinary care team. It highlights the critical role of personalized care and early intervention. Conclusions: Due to the increasing survival rates of patients with Patau syndrome, complex and multidisciplinary care is required for both the patients and their families to achieve the best possible outcomes and ensure proper care, growth, and development of the child. All medical procedures must be thoroughly assessed for potential complications and viable improvement in quality of life.
Full article
(This article belongs to the Special Issue Palliative Home Care in Pediatric Patients: Current Innovations and Future Challenges)
►▼
Show Figures

Figure 1
Open AccessArticle
Caries Index and Salivary Factors in Children: A Case–Control Study
by
Clara Sandibel Garcete Delvalle, Judit Carrasco Vivó, Guillermo Reichard, Leyre Prado Simon, Marta Bruna del Cojo, Eva María Martínez Pérez and Sergio Portal Nuñez
Children 2025, 12(12), 1631; https://doi.org/10.3390/children12121631 - 1 Dec 2025
Abstract
Background: Dental caries is currently the most common chronic disease affecting the Spanish pediatric population. Therefore, the main objective of this study was to assess Caries Management by Risk Assessment (CAMBRA) in children attending a university dental clinic between the ages of 6
[...] Read more.
Background: Dental caries is currently the most common chronic disease affecting the Spanish pediatric population. Therefore, the main objective of this study was to assess Caries Management by Risk Assessment (CAMBRA) in children attending a university dental clinic between the ages of 6 and 12 and establish the DMFT (decayed, missing, and filled teeth index for permanent teeth) of the sample. In addition, the study calculated the plaque index, salivary pH level, buffering capacity, and the quantity and quality of saliva in the sample and determined if there were statistical differences between sexes and between subgroups with DMFT = 0 (control) and DMFT > 0 (cases). Methods: A case–control study was conducted with 89 patients aged 6 to 12 years. Clinical and salivary indicators were measured. Caries risk was also assessed using the CAMBRA protocol, and the sample was also divided into control and case groups for further analysis. Results: The CAMBRA questionnaire showed that 65.2% of participants presented a high risk of caries. The sample showed an average DMFT of 0.65 with a plaque index of 57.2%. The mean salivary pH was 7.35 (±0.30). The average volume of stimulated saliva was 6.83 mL (±3.68), and the buffering capacity was classified as normal in 57% of cases. No statistically significant differences were found between sexes or in the evaluated risk factors. In the control group, the mean salivary pH value was 7.35, and the amount of stimulated saliva was 6.5 mL. The buffering capacity was classified as normal in 67% of cases. In contrast, the case group presented a mean pH value of 7.15 and a salivary volume of 5 mL, with a normal buffer capacity in 50% of cases. Conclusions: The CAMBRA protocol indicated that more than half of the participants presented a high risk of caries, indicating the need to customize treatment plans for each patient. The salivary pH showed statistic differences between the control and case groups, indicating the importance of incorporating salivary biomarkers into routine clinical practice.
Full article
(This article belongs to the Topic Preventive Dentistry and Public Health)
►▼
Show Figures

Figure 1
Open AccessCorrection
Correction: Juricic et al. Children with Cerebral Palsy Across the Gross Motor Function Classification System Levels Requiring Orthopaedic Surgery: The Lived Experiences of Parents. Children 2025, 12, 1411
by
Maria Juricic, Stacey D. Miller, Emily K. Schaeffer, Kishore Mulpuri and Lesley Bainbridge
Children 2025, 12(12), 1630; https://doi.org/10.3390/children12121630 - 1 Dec 2025
Abstract
Error in Table [...]
Full article
Journal Menu
► ▼ Journal Menu-
- Children Home
- Aims & Scope
- Editorial Board
- Reviewer Board
- Topical Advisory Panel
- Instructions for Authors
- Special Issues
- Topics
- Sections & Collections
- Article Processing Charge
- Indexing & Archiving
- Editor’s Choice Articles
- Most Cited & Viewed
- Journal Statistics
- Journal History
- Journal Awards
- Conferences
- Editorial Office
Journal Browser
► ▼ Journal BrowserHighly Accessed Articles
Latest Books
E-Mail Alert
News
Topics
Topic in
Cancers, Children, Nutrients
Nutrition and Health During and After Childhood Cancer
Topic Editors: Valérie Marcil, Joya ChandraDeadline: 15 December 2025
Topic in
Behavioral Sciences, Children, Education Sciences, Social Sciences, Sustainability, EJIHPE
Influence of Physical Activity, Nutrition, Educators and Parents on Children's Health Development
Topic Editors: Laura Daniuseviciute-Brazaite, Lina DraudvilieneDeadline: 31 December 2025
Topic in
Applied Sciences, Children, Dentistry Journal, JCM
Preventive Dentistry and Public Health
Topic Editors: Denis Bourgeois, Elena BardelliniDeadline: 30 April 2026
Topic in
Behavioral Sciences, Education Sciences, J. Intell., Children
Personality, Emotions, and Emotional Intelligence Assessments: New Applications and Instruments
Topic Editors: Roberto Burro, Daniela Raccanello, Joana PipaDeadline: 30 June 2026
Conferences
Special Issues
Special Issue in
Children
Critical Care of Medically Complex Children: New Studies and Challenges
Guest Editor: Nadia RoumeliotisDeadline: 5 December 2025
Special Issue in
Children
Health Challenges and Solutions in Pediatric Endocrine Disease: Early Prevention and Management
Guest Editors: Letteria Anna Morabito, Giorgia PepeDeadline: 5 December 2025
Special Issue in
Children
Physical and Motor Development in Children
Guest Editors: Ermioni Katartzi, Thomas KourtessisDeadline: 5 December 2025
Special Issue in
Children
Retinoblastoma Disease and Eye Care in Children
Guest Editors: Mayra Martinez Sanchez, Ashish JainDeadline: 5 December 2025
Topical Collections
Topical Collection in
Children
Development of Medicines for Paediatric and Rare Diseases
Collection Editors: Jane Grant-Kels, Klaus Rose, Johannes Van den Anker
Topical Collection in
Children
Pediatric Palliative Care Update
Collection Editor: Regina Okhuysen-Cawley
Topical Collection in
Children
Emotional and Behavioral Problems in Children and Adolescents: Assessment and Intervention
Collection Editors: Pietro Muratori, Valentina Levantini
Topical Collection in
Children
Novel Precision Medicine and Translational Based Approaches, Treatments and Prevention Strategies in Neonatal, Pediatric, Adolescent, and Transition Endocrinology
Collection Editors: Dimitris T. Papadimitriou, George Paltoglou, Antonis Voutetakis, George Mastorakos, Constantine A. Stratakis



