Diversity and Dissemination of Brettanomyces bruxellensis During Winemaking and Barrel Aging
Abstract
1. Introduction
2. Materials and Methods
2.1. Vineyards and Winemaking Conditions
2.2. Grape and Wine Sampling
2.3. Detection and Isolation of Brettanomyces
2.4. Brettanomyces Species Assignation by RFLP-PCR
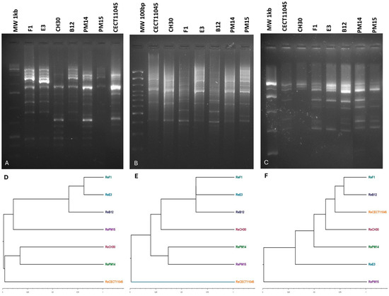
2.5. Molecular Typing of B. bruxellensis Isolates
2.6. Cluster Analysis
3. Results
3.1. Occurrence of Brettanomyces in Grapes
3.2. Occurrence of Brettanomyces During Winemaking
3.2.1. Merlot (Me)
3.2.2. Cabernet Sauvignon (Cs)
3.2.3. Malbec 2 (Mb2)
3.2.4. Malbec C (MbC)
3.3. Molecular Identification and Typing of Brettanomyces Isolates
4. Discussion
5. Conclusions
Author Contributions
Funding
Institutional Review Board Statement
Informed Consent Statement
Data Availability Statement
Acknowledgments
Conflicts of Interest
References
- Agnolucci, M.; Tirelli, A.; Cocolin, L.; Toffanin, A. Brettanomyces bruxellensis yeasts: Impact on wine and winemaking-Review. World J. Microbiol. Biotechnol. 2017, 33, 180. [Google Scholar] [CrossRef]
- Malfeito-Ferreira, M. Two decades of “Horse Sweat” taint and Brettanomyces yeasts in wine: Where do we stand now?—Review. Beverages 2018, 4, 32. [Google Scholar] [CrossRef]
- Tubia, I.; Prasad, K.; Pérez-Lorenzo, E.; Abadín, C.; Zumárraga, M.; Oyanguren, I.; Barbero, F.; Paredes, J.; Arana, S. Beverage spoilage yeast detection methods and control technologies: A review of Brettanomyces. Int. J. Food Microbiol. 2018, 283, 65–76. [Google Scholar] [CrossRef]
- Loureiro, V.; Malfeito-Ferreira, M. Spoilage yeasts in the wine industry Review. Int. J. Food Microbiol. 2003, 86, 23–50. [Google Scholar] [CrossRef]
- Suarez, R.; Suarez-Lepe, J.A.; Morata, A.; Caldero, F. The production of ethylphenols in wine by yeasts of the genera Brettanomyces and Dekkera: A review. Food Chem. 2007, 102, 10–21. [Google Scholar] [CrossRef]
- Pizarro, A.; Pérez-del-Notario, N.; González-Sáiz, J.M. Determination of Brett character responsible compounds in wines by using multiple headspace solid-phase microextraction. J. Chromat. 2007, 1143, 176–181. [Google Scholar] [CrossRef]
- Oelofse, A.I.; Pretorius, S.; Du Toit, M. Significance of Brettanomyces and Dekkera during winemaking: A synoptic review. S. Afr. J. Enol. Vitic. 2008, 29, 128–144. [Google Scholar] [CrossRef]
- Steensels, J.; Daenen, L.; Malcorps, P.; Derdelinckx, G.; Verachtert, H.; Verstrepen, K. Brettanomyces yeasts—From spoilage organisms to valuable contributors to industrial fermentations. Int. J. Food Microbiol. 2015, 206, 24–38. [Google Scholar] [CrossRef]
- Di Canito, A.; Foschino, R.; Mazzieri, M.; Vigentini, I. Molecular tools to exploit the biotechnological potential of Brettanomyces bruxellensis: A review. Appl. Sci. 2021, 11, 7302. [Google Scholar] [CrossRef]
- Smith, B.D.; Divol, B. Brettanomyces bruxellensis, a survivalist prepared for the wine apocalypse and other beverages. Food Microbiol. 2016, 59, 161–175. [Google Scholar] [CrossRef]
- Campolongo, S.; Rantsiou, K.; Giordano, M.; Gerbi, V.; Cocolin, L. Prevalence and biodiversity of Brettanomyces bruxellensis in wine from Northwestern Italy. Am. J. Enol. Vitic. 2010, 61, 486–491. [Google Scholar] [CrossRef]
- Du Toit, W.J.; Pretorius, I.S.; Lonvaud-Funel, A. The effect of sulphur dioxide and oxygen on the viability and culturability of a strain of Acetobacter pasteurianus and a strain of Brettanomyces bruxellensis isolated from wine. J. Appl. Microbiol. 2005, 98, 862–871. [Google Scholar] [CrossRef] [PubMed]
- Renouf, V.; Lonvaud-Funel, A. Development of an enrichment medium to detect Dekkera/Brettanomyces bruxellensis, a spoilage wine yeast, on the surface of grape berries. Microb. Res. 2007, 162, 154–167. [Google Scholar] [CrossRef]
- Oro, L.; Canonico, L.; Marinelli, V.; Ciani, M.; Comitini, F. Occurrence of Brettanomyces bruxellensis on grape berries and in related winemaking cellar. Front. Microbiol. 2019, 10, 415. [Google Scholar] [CrossRef]
- Renouf, V.; Lonvaud-Funel, A.; Coulon, J. The origin of Brettanomyces bruxellensis in wines: A review. J. Int. Sci. Vigne Vin. 2007, 41, 161–173. [Google Scholar] [CrossRef]
- Cibrario, A.; Avramova, M.; Dimopoulou, M.; Magani, M.; Miot-Sertier, C.; Mas, A.; Portillo, M.C.; Ballestra, P.; Albertin, W.; Masneuf-Pomarede, I.; et al. Brettanomyces bruxellensis wine isolates show high geographical dispersal and long persistence in cellars. PLoS ONE 2019, 14, e0222749. [Google Scholar] [CrossRef]
- Tonietto, J.; Carbonneau, A. A multicriteria climatic classification system for grape-growing regions worldwide. Agric. For. Meteorol. 2004, 124, 81–97. [Google Scholar] [CrossRef]
- Catania, C.D.; Avagnina de del Monte, S.; Uliarte, E.M.; del Monte, R.F.; Tonietto, J. Regiones Vitícolas de la Provincia de Mendoza. In El clima Vitícola de las Regiones Productoras de uvas para vinos de Argentina, 1st ed.; Tonietto, J., Sotés, V., Eds.; Embrapa Uva e Vinho: Bento Gonçalves, Brasil, 2007; pp. 27–43. Available online: http://www.alice.cnptia.embrapa.br/alice/handle/doc/928653 (accessed on 7 March 2025).
- Hoffman, C.S.; Winston, F.A. A ten-minute preparation from yeast efficiently releases autonomous plasmids for transformation of Escherichia coli. Gene 1987, 57, 267–272. [Google Scholar] [CrossRef]
- Cocolin, L.; Rantsiou, K.; Iacumin, L.; Zironi, R.; Comi, G. Molecular detection and identification of Brettanomyces/Dekkera bruxellensis and Brettanomyces/Dekkera anomalus in spoiled wines. Appl. Environ. Microbiol. 2004, 70, 1347–1355. [Google Scholar] [CrossRef]
- Miot-Sertier, C.; Lonvaud-Funel, A. Development of a molecular method for the typing of Brettanomyces bruxellensis (Dekkera bruxellensis) at the strain level. J. Appl. Microbiol. 2007, 102, 555–562. [Google Scholar] [CrossRef]
- Crauwels, S.; Zhu, B.; Steensels, J.; Busschaert, P.; De Samblanx, G.; Marchal, K.; Willems, K.A.; Verstrepen, K.J.; Lievens, B. Assessing genetic diversity among Brettanomyces yeasts by DNA fingerprinting and whole-genome sequencing. Appl. Environ. Microbiol. 2014, 80, 4398–4413. [Google Scholar] [CrossRef]
- Pavel, A.; Vasile, C. PyElph—A software tool for gel images analysis and phylogenetics. BMC Bioinf. 2012, 13, 9. [Google Scholar] [CrossRef]
- Rambaut, A. FIG TREE: Tree Figure Drawing Tool Version 1.4.4; Institute of Evolutionary Biology, University of Edinburgh: Edinburgh, UK, 2018; Available online: http://tree.bio.ed.ac.uk/ (accessed on 15 January 2025).
- Barbin, P.; Strehaiano, P.; Taillandier, P.; Gilis, G.F. Méthodologie de dépistage et d’isolement de Brettanomyces sur le raisin: Application à l’échelle parcellaire. Rev. Oenologues 2007, 124, 57–60. [Google Scholar]
- Gilis, J.F.; Barbin, P.; Strehaiano, P.; Taillandier, P. Presencia de la levadura Brettanomyces en las bayas de uva: Influencia de los factores de la viña. Rev. Enol. 2008, 1, 1–8. [Google Scholar]
- Agnolucci, M.; Rea, F.; Sbrana, C.; Cristani, C.; Fracassetti, D.; Tirelli, A.; Nuti, M. Sulphur dioxide affects culturability and volatile phenol production by Brettanomyces/Dekkera bruxellensis. Int. J. Food Microbiol. 2010, 143, 76–80. [Google Scholar] [CrossRef]
- Capozzi, V.; Di Toro, M.R.; Grieco, F.; Michelotti, V.; Salma, M.; Lamontanara, A.; Russo, P.; Orrù, P.; Alexandre, H.; Spano, G. Viable But Not Culturable (VBNC) state of Brettanomyces bruxellensis in wine: New insights on molecular basis of VBNC behaviour using a transcriptomic approach. Food Microbiol. 2016, 59, 196–204. [Google Scholar] [CrossRef]
- Di Toro, M.R.; Capozzi, V.; Beneduce, L.; Alexandre, H.; Tristezza, M.; Durante, M.; Tufariello, M.; Grieco, F.; Spano, G. Intraspecific biodiversity and ‘spoilage potential’ of Brettanomyces bruxellensis in Apulian wines. LWT—Food Sci. Technol. 2015, 60, 102–108. [Google Scholar] [CrossRef]
- Laforgue, R.; Lonvaud-Funel, A. Hydroxycinnamic acid decarboxylase activity of Brettanomyces bruxellensis involved in volatile phenol production: Relationship with cell viability. Food Microbiol. 2012, 32, 230–234. [Google Scholar] [CrossRef]
- Lleixa, J.; Martínez-Safont, M.; Masneuf-Pomarede, I.; Magani, M.; Albertin, W.; Mas, A.; Portillo, M.C. Genetic and phenotypic diversity of Brettanomyces bruxellensis isolates from ageing wines. Food Biosci. 2021, 40, 100900. [Google Scholar] [CrossRef]
- Sturm, M.E.; Assof, M.; Fanzone, M.; Martinez, C.; Ganga, M.A.; Jofre, V.; Ramirez, M.L.; Combina, M. Relation between coumarate decarboxylase and vinylphenol reductase activity with regard to the production of volatile phenols by native Dekkera bruxellensis strains under ‘wine-like’ conditions. Int. J. Food Microbiol. 2015, 206, 51–55. [Google Scholar] [CrossRef]
- Godoy, L.; Martínez, C.; Carrasco, N.; Ganga, M.A. Purification and characterization of a p-coumarate decarboxylase and a vinylphenol reductase from Brettanomyces bruxellensis. Int. J. Food Microbiol. 2008, 127, 6–11. [Google Scholar] [CrossRef] [PubMed]
- Garijo, P.; Gonzalez-Arenzana, L.; Lopez-Alfaro, I.; Garde-Cerdan, T.; Lopez, R.; Santamaría, P.; Gutiérrez, A.R. Analysis of grapes and the first stages of the vinification process in wine contamination with Brettanomyces bruxellensis. Eur. Food Res. Technol. 2015, 240, 525–532. [Google Scholar] [CrossRef]
- Mitrakul, C.M.; Henick-Kling, T.; Egli, C.M. Discrimination of Brettanomyces⁄Dekkera yeast isolates from wine by using various DNA fingerprinting methods. Food Microbiol. 1999, 16, 3–14. [Google Scholar] [CrossRef]
- Avramova, M.; Cibrario, A.; Peltier, E.; Coton, M.; Coton, E.; Schacherer, J.; Spano, G.; Capozzi, V.; Blaiotta, G.; Salin, F.; et al. Brettanomyces bruxellensis population survey reveals a diploid-triploid complex structured according to substrate of isolation and geographical distribution. Sci. Rep. 2018, 8, 4136. [Google Scholar] [CrossRef]
- Curtin, C.; Varela, C.; Borneman, A. Harnessing improved understanding of Brettanomyces bruxellensis biology to mitigate the risk of wine spoilage. Aust. J. Grape Wine Res. 2015, 21, 680–692. [Google Scholar] [CrossRef]
- Vigentini, I.; Joseph, C.M.L.; Picozzi, C.; Foschino, R.; Bisson, L.F. Assessment of the Brettanomyces bruxellensis metabolome during sulphur dioxide exposure. FEMS Yeast Res. 2013, 13, 597–608. [Google Scholar] [CrossRef]
- Lebleux, M.; Abdo, H.; Coelho, C.; Basmaciyan, L.; Albertin, W.; Maupeu, J.; Laurent, J.; Roullier-Gall, C.; Alexandre, H.; Guilloux-Benatier, M.; et al. New advances on the Brettanomyces bruxellensis biofilm mode of life. Int. J. Food Microbiol. 2020, 318, 108464. [Google Scholar] [CrossRef]
- Poblete, C.; Peña-Moreno, I.C.; de Morais, M.A., Jr.; Moreira, S.; Ganga, M.A. Biodiversity among Brettanomyces bruxellensis strains isolated from different wine regions of Chile: Key factors revealed about its tolerance to sulphite. Microorganisms 2020, 8, 557. [Google Scholar] [CrossRef]
- Power, E.G.M. RAPD typing in microbiology—A technical review. J. Hosp. Infect. 1996, 34, 247–265. [Google Scholar] [CrossRef]
- Canonico, L.; Agarbati, A.; Comitini, F.; Ciani, M. Relationships among origin, genotype, and oenological traits of Brettanomyces yeasts. Int. J. Mol. Sci. 2024, 25, 11781. [Google Scholar] [CrossRef]
- Albertin, W.; Panfili, A.; Miot-Sertier, C.; Goulielmakis, A.; Delcamp, A.; Salin, F.; Lonvaud-Funel, A.; Curtin, C.; Masneuf-Pomarede, I. Development of microsatellite markers for the rapid and reliable genotyping of Brettanomyces bruxellensis at strain level. Food Microbiol. 2014, 42, 188–195. [Google Scholar] [CrossRef] [PubMed]
- Barata, A.; Laureano, P.; D’Antuono, I.; Martorell, P.; Stender, H.; Malfeito-Ferreira, M.; Querol, A.; Loureiro, V. Enumeration and identification of 4-ethylphenol producing yeasts recovered from the wood of wine ageing barriques after different sanitation treatments. J. Food Res. 2013, 2, 140–149. [Google Scholar] [CrossRef]
- Guzzon, R.; Bernard, M.; Barnaba, C.; Bertoldi, D.; Pixner, K.; Larcher, R. The impact of different barrel sanitation approaches on the spoilage microflora and phenols composition of wine. J. Food Sci. Technol. 2017, 54, 810–821. [Google Scholar] [CrossRef]
- Lebleux, M.; Denimal, E.; De Oliveira, D.; Marin, A.; Desroche, N.; Alexandre, H.; Weidmann, S.; Rousseaux, S. Prediction of genetic groups within Brettanomyces bruxellensis through cell morphology using a deep learning tool. J. Fungi 2021, 7, 581. [Google Scholar] [CrossRef] [PubMed]






Disclaimer/Publisher’s Note: The statements, opinions and data contained in all publications are solely those of the individual author(s) and contributor(s) and not of MDPI and/or the editor(s). MDPI and/or the editor(s) disclaim responsibility for any injury to people or property resulting from any ideas, methods, instructions or products referred to in the content. |
© 2025 by the authors. Licensee MDPI, Basel, Switzerland. This article is an open access article distributed under the terms and conditions of the Creative Commons Attribution (CC BY) license (https://creativecommons.org/licenses/by/4.0/).
Share and Cite
Sturm, M.E.; Chimeno, S.V.; González, M.L.; Lerena, M.C.; Rojo, M.C.; Becerra, L.M.; Mercado, L.A.; Combina, M. Diversity and Dissemination of Brettanomyces bruxellensis During Winemaking and Barrel Aging. Fermentation 2025, 11, 175. https://doi.org/10.3390/fermentation11040175
Sturm ME, Chimeno SV, González ML, Lerena MC, Rojo MC, Becerra LM, Mercado LA, Combina M. Diversity and Dissemination of Brettanomyces bruxellensis During Winemaking and Barrel Aging. Fermentation. 2025; 11(4):175. https://doi.org/10.3390/fermentation11040175
Chicago/Turabian StyleSturm, María Elena, Selva Valeria Chimeno, Magalí Lucía González, María Cecilia Lerena, María Cecilia Rojo, Lucía Maribel Becerra, Laura Analía Mercado, and Mariana Combina. 2025. "Diversity and Dissemination of Brettanomyces bruxellensis During Winemaking and Barrel Aging" Fermentation 11, no. 4: 175. https://doi.org/10.3390/fermentation11040175
APA StyleSturm, M. E., Chimeno, S. V., González, M. L., Lerena, M. C., Rojo, M. C., Becerra, L. M., Mercado, L. A., & Combina, M. (2025). Diversity and Dissemination of Brettanomyces bruxellensis During Winemaking and Barrel Aging. Fermentation, 11(4), 175. https://doi.org/10.3390/fermentation11040175

