- Article
Impact of a Second E-Reminder on Fecal Immunochemical Test Uptake in the Flemish Colorectal Cancer Screening Program: A Quasi-Experimental Study
- Sarah Hoeck and
- Thuy Ngan Tran
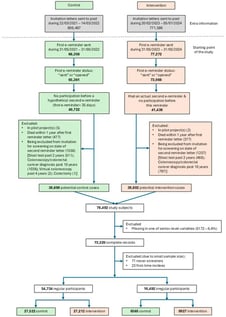
Background: Flanders (Belgium) offers a fecal immunochemical test (FIT) biennially to citizens aged 50–74 years, but uptake is suboptimal (~50%). This study evaluated the impact of a second e-reminder on FIT uptake. Methods: We conducted a quasi-experimental study comparing FIT uptake in individuals who received a first e-reminder during June 2023–May 2024 and a second e-reminder five weeks later (intervention cohort) with those who received a first e-reminder in June 2021–May 2022 without a second reminder (historical control). The study outcome was FIT uptake within one year after the first e-reminder. Analyses were stratified by screening history (regular vs. irregular participants). Results: The study population consisted of 54,734 regular (27,522 control and 27,212 intervention); and 18,492 irregular participants (8565 control and 9927 intervention). Median age was slightly lower in the intervention group (regular: 57 vs. 59 years; irregular: 62 vs. 64 years). Gender distribution was balanced (≈50% men). Regular participants receiving a second e-reminder had 80% higher probability of participation than controls (OR 1.80; 95% CI 1.73–1.86; p < 0.0001); with uptake increasing from 29.5% to 43.7%. Irregular participants with a second e-reminder had a 91% higher probability of participation compared with no second e-reminder (OR 1.91; 95% CI 1.74–2.09; p < 0.0001), with uptake increasing from 9.4% to 18.4%. Conclusions: A second e-reminder significantly increased FIT uptake among both regular and irregular participants in the Flemish colorectal cancer screening program. These findings support its use as a low-cost strategy to improve population-level screening participation.
4 March 2026






