Next Article in Journal
Insights on Alcohol-Associated Liver Disease, a Decade of Data from National Survey
Previous Article in Journal
Anxiety Moderates the Relationship Between Stress and Pain in IBS Patients: A Prospective Diary Study
 
 
Font Type:
Arial Georgia Verdana
Font Size:
Aa Aa Aa
Line Spacing:
Column Width:
Background:
Article

Clinico-Morphological Correlations with Ki-67 and p53 Immunohistochemical Expression in High-Grade Gastrointestinal Neuroendocrine Neoplasms

1
Clinical Service of Pathology, “Sf. Apostol Andrei” Emergency County Hospital, 900591 Constanţa, Romania
2
Institute of Doctoral Studies, Doctoral School of Medicine, “Ovidius” University of Constanţa, 900573 Constanţa, Romania
3
Faculty of Medicine, “Ovidius” University of Constanţa, 900527 Constanţa, Romania
4
Department of Anatomy, Academy of Medical Sciences of Romania, 030171 Bucharest, Romania
5
Center for Research and Development of the Morphological and Genetic Studies of Malignant Pathology—CEDMOG, “Ovidius” University of Constanţa, 900591 Constanţa, Romania
6
Research Center of the Natural Sciences Department, Ovidius University of Constanţa, 900470 Constanţa, Romania
*
Author to whom correspondence should be addressed.
These authors contributed equally to this work.
Gastrointest. Disord. 2025, 7(3), 51; https://doi.org/10.3390/gidisord7030051
Submission received: 3 July 2025 / Revised: 25 July 2025 / Accepted: 28 July 2025 / Published: 30 July 2025

Abstract

Background/Objectives: The 2019 WHO classification redefined high-grade gastrointestinal neuroendocrine neoplasms (GI NENs), encompassing not only poorly differentiated neuroendocrine carcinomas (NECs), but also well-differentiated grade 3 neuroendocrine tumors (NETs G3). Since both subtypes share a Ki-67 index > 20%, distinguishing them based solely on morphology is challenging. Prior studies have shown TP53 alterations in NECs but not in NETs. This study aimed to evaluate clinico-morphological parameters and the immunohistochemical (IHC) expression of p53 in high-grade GI NENs to identify relevant correlations. Methods: Tumors were stratified by Ki-67 index into two groups: >20–50% and >50%. p53 IHC expression was assessed as “wild-type” (1–20% positive tumor cells) or “non-wild-type” (absence or >20% positivity). Correlations were analyzed between Ki-67, p53 status, and various pathological features. Results: Significant correlations were found between the Ki-67 index and maximum tumor size, pT stage, lymphovascular invasion, perineural infiltration, and diagnostic classification. Similarly, p53 immunohistochemical status was significantly associated with lymphovascular invasion, lymph node metastasis, and tumor classification (NET G3 versus NEC, including NEC components of MiNENs). Conclusions: The findings support the value of Ki-67 and p53 as complementary biomarkers in the pathological evaluation of high-grade GI NENs. Their significant associations with key morphological parameters support their utility in differentiating NETs G3 from NECs, particularly in cases showing overlapping histological features. The immunohistochemical profile of p53 may serve as a useful diagnostic adjunct in routine practice.

1. Introduction

Neuroendocrine neoplasms (NENs) are rare tumors in the general population, with malignant potential and variable risks of local recurrence and metastasis. These risks are influenced by tumor size and specific histopathological features, including the degree of differentiation, depth of invasion, lymphovascular involvement, and proliferative index [1]. Tumors originating from neuroendocrine cells within the gastrointestinal (GI) tract pose distinct diagnostic and therapeutic challenges. Although they often exhibit slow growth, NENs may become life-threatening because of unregulated secretion of bioactive substances such as monoamines and peptide hormones, which are normally produced by the cells from which these tumors arise [1].
The 2019 World Health Organization (WHO) classification of neuroendocrine neoplasms revised the categorization of high-grade NENs, recognizing that these include not only poorly differentiated neuroendocrine carcinomas (NECs) but also well-differentiated grade 3 neuroendocrine tumors (NETs G3) [2]. Differentiating between these two entities remains challenging, as morphological criteria alone are often insufficient. Both NECs and NETs G3 share a Ki-67 proliferation index exceeding 20%, making histological assessment alone inadequate for conclusive diagnosis [3,4,5,6]. Moreover, standard platinum-based chemotherapy regimens used for NECs have shown limited efficacy in NET G3 cases, underscoring the clinical importance of accurately distinguishing between these high-grade subtypes [7,8].
Recent research, particularly in pancreatic NEN cohorts, has shown that p53 immunohistochemical (IHC) expression can serve as a surrogate marker for genetic alterations commonly found in NECs, but typically absent in NETs. Most NECs demonstrate a non-wild-type p53 staining pattern on IHC analysis [9,10,11,12,13].
This study aimed to evaluate clinico-morphological parameters and the immunohistochemical profile of p53 in high-grade gastrointestinal NENs in order to identify statistically significant correlations and contribute to ongoing efforts towards data standardization and a deeper understanding of these neoplasms.

2. Results

2.1. Description of the Study Group

A total of 42 patients were included: 22 (52.4%) women and 20 (47.6%) men. The age at diagnosis ranged from 43 and 81 years, with a mean of 62.04 years (SD ± 13.25; SE = 2.04) and a median of 67 years. Female patients had a higher mean age (68.54 ± 9.98, median 73), with most diagnosed in the seventh decade (54.5%). Male patients had a lower mean age (54.9 ± 12.61, median 50.5), with 50% diagnosed in their 40s. Among the studied cases, 16 were diagnosed as NET G3 (38.1%), 10 (23.8%) as NEC, comprising 6 small-cell neuroendocrine carcinomas (SCNECs) and 4 large-cell neuroendocrine carcinomas (LCNECs), and 16 as mixed neuroendocrine–non-neuroendocrine neoplasms (MiNENs) with an NEC component (38.1%; all LCNECs). In women, NETs G3 were more frequent (45.5%), followed by MiNENs (36.3%) and NECs (18.2%). In men, MiNENs predominated (40%), followed by NECs and NETs G3 (30% each). The most common tumor sites were the colorectum (61.9%), stomach (33.3%), and small intestine (4.8%). In female patients, tumors were most often located in the stomach (54.5%), followed by the colorectum (36.4%) and small intestine (9.1%). Male patients had predominantly colorectal tumors (90%), with no enteric involvement. Large-cell NECs accounted for 76.9% of all NEC-type cases. SCNECs were mostly colorectal (83.3%), and LCNECs were also frequently colorectal (65%), particularly as components within MiNENs (80%). Tumor size exceeded 5 cm in most cases (64.3%). Colorectal high-grade NENs larger than 5 cm were most common (76.9%), whereas all enteric tumors were ≤5 cm. Gastric tumors were equally distributed (50% ≤ 5 cm, 50% > 5 cm). A summary of the clinical features is provided in Table 1.

2.2. Clinico-Pathological Features and Correlations with Ki-67 and p53 Status

The Ki-67 index was evaluated in all cases. Most NET G3 tumors (66.7%) had values ranging from 20 to 50%, whereas NECs and NEC components of MiNENs exhibited Ki-67 indices greater than 50% in 83.3% of cases (Figure 1).
The overall mean Ki-67 index was 38.6% for NET G3 and 68.1% for NECs and NEC components of MiNENs. When analyzed by tumor site, the mean Ki-67 index for NETs G3 was 24.33% in gastric tumors, 21% in small intestinal tumors, and 53.75% in colorectal tumors. In comparison, NECs showed mean values of 67.14% in the stomach and 69.38% in the colorectum; no NECs were identified in the small intestine (Table 2).
As expected, a Ki-67 index of 20–50% was more frequently observed in NETs G3 (12/16, 75%). In contrast, higher Ki-67 values (>50%) were predominant in NECs (6/10, 60%) and NEC components of MiNENs (14/16, 87.5%), with a statistically significant correlation (r = 0.510, p < 0.001; χ2 = 10.904, p < 0.001; V = 0.510). Histopathological features evaluated in the study group are summarized in Table 3.
Further significant correlations were identified between the Ki-67 index and several pathological parameters: tumor size (r = 0.459, p = 0.002; χ2 = 8.849, p = 0.003; V = 0.459); tumor stage (pT) (r = 0.375, p = 0.015; χ2 = 5.895, p = 0.015; V = 0.375); lymphovascular invasion (r = 0.315, p = 0.042; χ2 = 4.169, p = 0.041; V = 0.315); and perineural infiltration (r = 0.471, p = 0.002; χ2 = 9.333, p = 0.002; V = 0.471).
Notably, all tumors staged as pT1–2 exhibited Ki-67 index values ranging from 20 to 50%, while 63.2% of those classified as pT3–4 had Ki-67 values > 50%. Furthermore, all tumors without perineural infiltration showed Ki-67 values in the range 20–50%, whereas 66.7% of tumors with perineural infiltration had Ki-67 values > 50%.

2.3. p53 Immunohistochemical Status

Immunohistochemical analysis of p53 revealed wild-type expression in 87.5% of NET G3 cases and only 7.7% of NEC/MiNEN cases. Conversely, non-wild-type p53 expression was detected in 92.3% of NEC/MiNEN cases and only 12.5% of NET G3 cases (Table 4; Figure 2).
A strong correlation was found between p53 IHC status and diagnostic category (NET G3 vs. NEC, including MiNEN) (r = 0.798, p < 0.001; χ2 = 26.751, p < 0.001; V = 0.798).
Additional significant associations were identified between the p53 expression profile and several pathological parameters. All tumors staged as pT1–2 (100%) exhibited wild-type p53 expression and were classified as NETs G3. In contrast, 68.4% of pT3–4 tumors showed non-wild-type p53 expression, with 84.6% of these diagnosed as NECs or NEC components of MiNENs (r = 0.414, p = 0.006; χ2 = 7.184, p = 0.007; V = 0.414). Regarding lymphovascular invasion, 70.6% of positive cases demonstrated non-wild-type p53, and 91.7% of these were NECs or NEC components of MiNENs. Conversely, 75% of tumors without vascular invasion exhibited wild-type p53, all of which were NETs G3 (r = 0.369, p = 0.016; χ2 = 5.707, p = 0.017; V = 0.369). Similarly, wild-type p53 was observed in 66.7% of node-negative cases, all classified as NETs G3, while 69.7% of node-positive tumors showed non-wild-type p53, 91.3% of which were NECs or NEC components of MiNENs (r = 0.307, p = 0.048; χ2 = 3.917, p = 0.046; V = 0.307). The statistically significant correlations between clinico-pathological features and Ki-67/p53 IHC status are shown in Table 5.

3. Discussion

The global incidence of gastrointestinal neuroendocrine neoplasms remains difficult to quantify due to inconsistent data reporting, highlighting the need for replication studies and international data sharing [14,15]. Large-scale studies have reported significant site and gender differences. For example, in a multicenter analysis of 760 NEN cases, rectal tumors accounted for 94.5% of cases, and the majority were NETs G1 (88.4%) [16]. Another cohort of 92 cases found NECs predominantly gastric (66.7%) and more frequent in men (68.4%), whereas NETs were more evenly distributed by sex and most commonly colorectal (54.3%) [14].
In comparison, our study revealed a higher frequency of colorectal NENs (61.9%) and a slight female predominance (52.4%). Notably, the mean age of male patients (54.9 years) was considerably lower than that of female patients (68.5 years). MiNENs with NEC components represented 38.1% of cases, a particularly high proportion compared to prior reports. Moreover, 76.9% of NECs in our cohort exhibited large-cell morphology, in line with findings from larger studies [17].
Although the distinction between NETs and NECs relies primarily on morphological evaluation, both the mitotic count and Ki-67 index provide essential support in the classification of high-grade NENs. NETs typically show lower Ki-67 proliferation indices (median around 5%), with most cases remaining below the 40% threshold. In contrast, NECs usually present significantly higher values, often above 40% [1,10,18,19,20]. It is recognized that intratumoral heterogeneity in the Ki-67 proliferation index and biomarker expression is common in gastroenteropancreatic NENs and can impact grading, classification accuracy, and prognostic assessment [21,22]. A Ki-67 index greater than 55% has been proposed as a more reliable threshold for identifying NECs, which tend to be rapidly progressive and responsive to platinum-based chemotherapy [1,3].
In our study, 75% of cases with Ki-67 >50% were classified as NECs or NEC components of MiNENs. The mean Ki-67 index in these groups was 68.1%, exceeding 60%, whereas NETs showed a mean index of 38.6%, remaining below the 40% threshold reported in the literature. Several studies have demonstrated that NENs with Ki-67 indices > 50% are significantly more aggressive than those with values between 20% and 50% [1,3,23]. Consistent with these findings, our study revealed statistically significant correlations between Ki-67 index and key pathological parameters such as tumor size, pT stage, lymphovascular invasion, and perineural infiltration.
The increasing recognition of well-differentiated NENs with high proliferation indices has heightened interest in identifying biomarkers capable of distinguishing these tumors from NECs. Among the most studied is p53, which is frequently altered in NECs but generally retains wild-type expression in NETs G3, particularly in pancreatic tumors [4,9,11]. While most studies have focused on pancreatic NENs (PanNENs), TP53 and RB1 alterations have also been described beyond the pancreas [11,12,19,24]. However, immunohistochemical and biomolecular data regarding p53 expression in gastrointestinal NENs remain limited, with most available studies including mixed cohorts [25]. Importantly, p53 IHC is most useful when interpreted qualitatively—wild-type versus aberrant patterns—rather than semi-quantitatively by intensity, as studies have shown that staining intensity does not reliably enhance diagnostic or prognostic value [22].
Our findings are consistent with previous reports showing that aberrant p53 IHC patterns—characterized by either complete absence of nuclear staining or diffuse overexpression in >20% of tumor cells—strongly correlate with TP53 mutations in poorly differentiated NECs [11,14,24]. These patterns reflect underlying molecular events: loss-of-function TP53 mutations typically result in undetectable protein, while gain-of-function mutations lead to the accumulation of a stabilized mutant protein in the nucleus [26,27,28]. In contrast, NETs G3 often retain a wild-type p53 staining pattern, with only scattered nuclear positivity (1–20%), consistent with the rapid degradation of wild-type p53 protein under physiological conditions and the low prevalence of TP53 mutations in this group [14,24]. This distinction reinforces the utility of p53 IHC as a surrogate marker for TP53 status and as a valuable ancillary tool for differentiating NETs G3 from NECs, particularly in morphologically ambiguous cases or when molecular testing is not feasible.
In our cohort, non-wild-type p53 immunostaining was observed in 92.3% of NECs and NEC components of MiNENs, while 87.5% of NETs demonstrated wild-type p53 expression. Moreover, we found statistically significant correlations between p53 IHC status and diagnostic category, lymphovascular invasion, and lymph node metastasis.
To our knowledge, this is one of the few studies focusing exclusively on high-grade gastrointestinal NENs, with no inclusion of lower-grade cases, and evaluating both p53 immunohistochemical patterns and Ki-67 proliferation indices in correlation with key clinico-morphological parameters using inferential statistical analysis. This comprehensive approach reinforces the practical diagnostic value of these biomarkers in differentiating NETs G3 from NECs, particularly in gastrointestinal sites.
Although SSTR immunohistochemistry was not included in our analysis, its diagnostic and theranostic relevance in high-grade neuroendocrine neoplasms is well established. NETs G3 often retain SSTR2 expression, supporting the use of somatostatin analogs and peptide receptor radionuclide therapy, whereas NECs typically lack SSTR expression and are managed with cytotoxic chemotherapy [22,29].
The rationale behind our study lies in the critical need to accurately differentiate high-grade neuroendocrine neoplasms, as treatment strategies differ significantly between NETs G3 and NECs. It has already been demonstrated that NETs G3 exhibit limited responsiveness to standard platinum-based chemotherapy, which remains the cornerstone of NEC treatment [7,8].
Given the rarity of clinical studies focused specifically on well-differentiated high-grade neuroendocrine tumors and the absence of standardized therapeutic protocols for this group, further research is urgently needed to better characterize their biomolecular profile and guide treatment decisions. Current therapeutic options for NETs G3 currently include somatostatin analogs and chemotherapy, but clear guidelines are still lacking [7,30].
While our study provides valuable insights, we acknowledge certain limitations. These include the relatively small sample size and the fact that classification and pathological assessment were performed within a single institution without centralized or external review. Nevertheless, all cases were evaluated by experienced board-certified pathologists in accordance with the 2019 WHO classification. Future multicenter studies with larger cohorts and external validation would be instrumental in strengthening diagnostic robustness and confirming our findings. In addition, assessing p53 staining intensity and exploring intratumoral heterogeneity of IHC reactivity could provide further diagnostic and prognostic insights.

4. Materials and Methods

The study focused on high-grade gastrointestinal neuroendocrine neoplasms (NENs) diagnosed both morphologically and immunohistochemically over a four-year period at the Clinical Pathology Service of “Saint Apostle Andrew” Emergency County Hospital in Constanţa, Romania. Tumor sites included the stomach, small intestine, and colorectum. Diagnosis was established through the correlation of histopathological findings with immunohistochemical results, in accordance with WHO recommendations. At least two neuroendocrine markers were used to confirm tumor lineage, and the Ki-67 proliferation index was assessed for grading.
The inclusion criteria required informed patient consent, gastrointestinal primary tumor localization, no prior oncologic treatment, surgical specimen availability, a Ki-67 index > 20%, confirmed immunohistochemical diagnosis using at least synaptophysin and chromogranin A, and sufficient paraffin-embedded tissue for further analysis. Cases were excluded if any of these conditions were not met, including extra-gastrointestinal localization, biopsy without subsequent surgery, incomplete or inappropriate IHC testing, or inadequate tissue material.
Following the review of histopathological examination request forms, the following parameters were collected and entered into a database: patient age at diagnosis, sex, tumor site, maximum tumor size, pT category, lymph node metastasis, pTNM stage, lymphovascular invasion, perineural infiltration, NEC subtype (SCNEC or LCNEC), and final diagnosis confirmed through IHC. The Ki-67 proliferation index was retrieved from hospital pathology databases, where it had been determined during routine diagnostic procedures. No additional Ki-67 testing or re-evaluation was performed as part of this study. Given that the Ki-67 index in NEC is often significantly higher than 20% and seldom falls below 50% [9,31], two ranges were selected for statistical analysis: >20–50% and >50%.
In MiNEN cases, tumor size was recorded as a global dimension, as it was not possible to quantify the NEC component separately. For pathological features such as lymphovascular invasion, perineural infiltration, and lymph node metastases, only cases showing direct involvement of the NEC component (confirmed morphologically) were included in the analysis.
A total of 42 eligible cases were subjected to complementary p53 immunohistochemical testing at the Center for Research and Development of Morphological and Genetic Studies in Malignant Pathology, Constanţa, Romania. For each case, a representative tissue block was selected—free of tissue necrosis that could compromise immunohistochemical quality and containing a substantial tumor component. Immunostaining for p53 was performed using a human anti-p53 monoclonal antibody (clone SP5/rabbit—RTU, Master Diagnostica, Madrid, Spain). Formalin-fixed, paraffin-embedded tumor blocks were sectioned at 4 µm thickness and mounted on slides. The staining protocol followed the manufacturer’s guidelines and included heat-induced epitope retrieval (HIER), peroxidase blocking, antibody incubation, detection, and hematoxylin counterstaining.
Nuclear staining was considered positive regardless of staining intensity. p53 immunostaining was evaluated manually by two independent pathologists using light microscopy, with a minimum of 500 tumor cell nuclei assessed per case. Any discrepancies in interpretation were resolved through joint review to reach consensus. The p53 IHC profile was classified as non-wild-type if nuclear staining was either completely absent or observed in more than 20% of tumor cells; staining in the 1–20% range was interpreted as wild-type [14,24].
In this study, NECs and the NEC components of MiNENs were considered as a single diagnostic category for p53 immunohistochemical evaluation. This approach was supported by recent studies showing that NECs and MiNENs with NEC components associated with adenocarcinoma often share molecular alterations, suggesting a common pathogenetic pathway with conventional adenocarcinomas [11,32,33,34]. Moreover, molecular features of the NEC component are generally similar to those of the associated carcinoma, reinforcing the concept that NEC represents a neuroendocrine variant along the adenocarcinoma progression pathway, distinct from NETs [1].
All clinico-morphological and IHC data were compiled in a Microsoft Excel database (version 2019, Microsoft Corporation, Redmond, WA, USA), and statistical analysis was conducted using SPSS software (version 26.0, IBM Corporation, Armonk, NY, USA). Continuous variables were described using the mean, standard deviation (SD), and standard error (SE), while categorical variables were expressed as percentages.
To evaluate associations between clinico-morphological features and p53 immunohistochemical status, Pearson’s correlation coefficient and the Chi-square test (or Fisher’s exact test, where applicable) were applied. A p-value < 0.05 was considered statistically significant. Cramér’s V was calculated to assess the strength of associations, with values ≥ 0.30 indicating a moderate association and values ≥ 0.50 reflecting a strong association.

5. Conclusions

Our study supports the role of Ki-67 and p53 as valuable biomarkers in the pathological assessment of high-grade gastrointestinal neuroendocrine neoplasms. In our cohort, most tumors with Ki-67 > 50% were classified as NECs or NEC components of MiNENs, and higher proliferation indices correlated with more aggressive pathological features, while p53 immunohistochemical status (wild-type vs. non-wild-type) showed statistically significant correlations with critical pathological features, including pT stage, lymphovascular invasion, lymph node metastasis, and, most notably, the microscopic diagnostic category.
These findings reinforce the diagnostic utility of Ki-67 and p53 in differentiating between NET G3 and NEC, particularly in morphologically equivocal cases where both entities share a proliferation index > 20%. The immunohistochemical profile of p53 has demonstrated strong potential for distinguishing between well-differentiated and poorly differentiated neoplasms, offering a practical tool for improving diagnostic accuracy.
In addition, the high proportion of MiNENs with NEC components observed in our cohort highlights the importance of recognizing mixed histologies, which may influence prognosis and therapeutic decision-making.
Our results align with and support the broader scientific effort to standardize diagnostic criteria and promote international data sharing in the field of neuroendocrine pathology.
Given the limited response of NETs G3 to platinum-based chemotherapy regimens—which are effective in treating NECs—our findings underscore the need for accurate classification to ensure appropriate treatment strategies. Although limited by sample size, this study provides a compelling rationale for including p53 in routine immunohistochemical panels and calls for further multicenter studies to validate these results and support the development of evidence-based therapeutic guidelines for high-grade GI NENs.

Author Contributions

All authors contributed equally to this work. Conceptualization, A.D., M.A., M.D. and S.E.V.; methodology, A.D., A.C., M.E., O.C. and S.E.V.; software, A.D. and S.E.V.; validation, A.C., M.E. and O.C.; formal analysis, A.D. and S.E.V.; investigation, A.D., A.C., M.E. and O.C.; resources, A.D. and A.C.; data curation, A.D. and S.E.V.; writing—original draft preparation, A.D. and S.E.V.; writing—review and editing, M.A., M.D., A.C., M.E. and O.C.; supervision, A.D., M.A., M.D. and S.E.V. All authors have read and agreed to the published version of the manuscript.

Funding

This research received no external funding.

Institutional Review Board Statement

The study was conducted in accordance with the Declaration of Helsinki and approved by the Clinical Trials Approval Committee of “Saint Apostle Andrew” Emergency County Hospital, Constanţa, Romania (protocol No. 36, approved on 17 December 2020), in accordance with both national and European ethical guidelines.

Informed Consent Statement

Informed consent was obtained from all subjects involved in the study.

Data Availability Statement

The datasets generated and analyzed during the current study are not publicly available due to privacy restrictions but are available from the corresponding author on reasonable request.

Conflicts of Interest

The authors declare no conflicts of interest.

Abbreviations

The following abbreviations are used in this manuscript:
GIGastrointestinal
HIERHeat-Induced Epitope Retrieval
IHCImmunohistochemistry
LCNECLarge-Cell Neuroendocrine Carcinoma
MANECMixed Adenoneuroendocrine Carcinoma
MiNENMixed Neuroendocrine–Non-Neuroendocrine Neoplasm
NECNeuroendocrine Carcinoma
NENNeuroendocrine Neoplasm
NETNeuroendocrine Tumor
PanNENPancreatic Neuroendocrine Neoplasm
SCNECSmall-Cell Neuroendocrine Carcinoma

References

  1. Odze, R.D.; Goldblum, J.R. Odze and Goldblum Surgical Pathology of the GI Tract, Liver, Biliary Tract and Pancreas, 4th ed.; Elsevier—OHCE: Philadelphia, PA, USA, 2023; pp. 951–969. [Google Scholar]
  2. Rindi, G.; Klimstra, D.S.; Abedi-Ardekani, B.; Asa, S.L.; Bosman, F.T.; Brambilla, E.; Busam, K.J.; De Krijger, R.R.; Dietel, M.; El-Naggar, A.K.; et al. A common classification framework for neuroendocrine neoplasms: An International Agency for Research on Cancer (IARC) and World Health Organization (WHO) expert consensus proposal. Mod. Pathol. 2018, 31, 1770–1786. [Google Scholar] [CrossRef]
  3. Sorbye, H.; Welin, S.; Langer, S.W.; Vestermark, L.W.; Holt, N.; Österlund, P.; Dueland, S.; Hofsli, E.; Guren, M.G.; Ohrling, K.; et al. Predictive and prognostic factors for treatment and survival in 305 patients with advanced gastrointestinal neuroendocrine carcinoma (WHO G3): The NORDIC NEC study. Ann. Oncol. 2013, 24, 152–160. [Google Scholar] [CrossRef]
  4. Tang, L.H.; Basturk, O.; Sue, J.J.; Klimstra, D.S. A Practical Approach to the Classification of WHO Grade 3 (G3) Well-Differentiated Neuroendocrine Tumor (WD-NET) and Poorly Differentiated Neuroendocrine Carcinoma (PD-NEC) of the Pancreas. Am. J. Surg. Pathol. 2016, 40, 1192–1202. [Google Scholar] [CrossRef]
  5. Elvebakken, H.; Perren, A.; Scoazec, J.Y.; Tang, L.H.; Federspiel, B.; Klimstra, D.S.; Vestermark, L.W.; Ali, A.S.; Zlobec, I.; Myklebust, T.Å.; et al. A Consensus-Developed Morphological Re-Evaluation of 196 High-Grade Gastroenteropancreatic Neuroendocrine Neoplasms and Its Clinical Correlations. Neuroendocrinology 2020, 111, 883–894. [Google Scholar] [CrossRef]
  6. Brenner, B.; Tang, L.H.; Shia, J.; Klimstra, D.S.; Kelsen, D.P. Small Cell Carcinomas of the Gastrointestinal Tract: Clinicopathological Features and Treatment Approach. Semin. Oncol. 2007, 34, 43–50. [Google Scholar] [CrossRef]
  7. Lithgow, K.; Venkataraman, H.; Hughes, S.; Shah, H.; Kemp-Blake, J.; Vickrage, S.; Smith, S.; Humphries, S.; Elshafie, M.; Taniere, P.; et al. Well-differentiated gastroenteropancreatic G3 NET: Findings from a large single centre cohort. Sci. Rep. 2021, 11, 17947. [Google Scholar] [CrossRef] [PubMed]
  8. Rinke, A.; Gress, T.M. Neuroendocrine Cancer, Therapeutic Strategies in G3 Cancers. Digestion 2017, 95, 109–114. [Google Scholar] [CrossRef] [PubMed]
  9. Rindi, G.; Mete, O.; Uccella, S.; Basturk, O.; La Rosa, S.; Brosens, L.A.A.; Ezzat, S.; de Herder, W.W.; Klimstra, D.S.; Papotti, M.; et al. Overview of the 2022 WHO Classification of Neuroendocrine Neoplasms. Endocr. Pathol. 2022, 33, 115–154. [Google Scholar] [CrossRef] [PubMed]
  10. Konukiewitz, B.; Jesinghaus, M.; Steiger, K.; Schlitter, A.M.; Kasajima, A.; Sipos, B.; Zamboni, G.; Weichert, W.; Pfarr, N.; Klöppel, G. Pancreatic neuroendocrine carcinomas reveal a closer relationship to ductal adenocarcinomas than to neuroendocrine tumors G3. Hum. Pathol. 2018, 77, 70–79. [Google Scholar] [CrossRef]
  11. Uccella, S.; La Rosa, S.; Metovic, J.; Marchiori, D.; Scoazec, J.Y.; Volante, M.; Mete, O.; Palpotti, M. Genomics of High-Grade Neuroendocrine Neoplasms: Well-Differentiated Neuroendocrine Tumor with High-Grade Features (G3 NET) and Neuroendocrine Carcinomas (NEC) of Various Anatomic Sites. Endocr. Pathol. 2021, 32, 192–210. [Google Scholar] [CrossRef]
  12. Busico, A.; Maisonneuve, P.; Prinzi, N.; Pusceddu, S.; Centonze, G.; Garzone, G.; Pellegrinelli, A.; Giacomelli, L.; Mangogna, A.; Paolino, C.; et al. Gastroenteropancreatic High-Grade Neuroendocrine Neoplasms: Histology and Molecular Analysis, Two Sides of the Same Coin. Neuroendocrinology 2019, 110, 616–629. [Google Scholar] [CrossRef]
  13. Umetsu, S.E.; Kakar, S.; Basturk, O.; Kim, G.E.; Chatterjee, D.; Wen, K.W.; Hale, G.; Shafizadeh, N.; Cho, S.-J.; Whitman, J.; et al. Integrated Genomic and Clinicopathologic Approach Distinguishes Pancreatic Grade 3 Neuroendocrine Tumor from Neuroendocrine Carcinoma and Identifies a Subset with Molecular Overlap. Mod. Pathol. 2023, 36, 100065. [Google Scholar] [CrossRef] [PubMed]
  14. Li, J.; Wang, J.; Su, D.; Nie, X.; Liu, Y.; Teng, L.; Pang, J.; Wu, H.; Liang, Z.; Sakai, E. p53 Immunohistochemistry Patterns Are Surrogate Biomarkers for TP53 Mutations in Gastrointestinal Neuroendocrine Neoplasms. Gastroenterol. Res. Pract. 2021, 2021, 2510195. [Google Scholar] [CrossRef] [PubMed]
  15. Das, S.; Dasari, A. Epidemiology, Incidence, and Prevalence of Neuroendocrine Neoplasms: Are There Global Differences? Curr. Oncol. Rep. 2021, 23, 43. [Google Scholar] [CrossRef] [PubMed]
  16. Kojima, M.; Ikeda, K.; Saito, N.; Sakuyama, N.; Koushi, K.; Kawano, S.; Watanabe, T.; Sugihara, K.; Ito, M.; Ochiai, A. Neuroendocrine Tumors of the Large Intestine: Clinicopathological Features and Predictive Factors of Lymph Node Metastasis. Front. Oncol. 2016, 6, 173. [Google Scholar] [CrossRef]
  17. Xu, Z.; Wang, L.; Dai, S.; Chen, M.; Li, F.; Sun, J.; Luo, F. Epidemiologic Trends of and Factors Associated With Overall Survival for Patients With Gastroenteropancreatic Neuroendocrine Tumors in the United States. JAMA Netw. Open 2021, 4, e2124750. [Google Scholar] [CrossRef]
  18. Jiao, Y.; Shi, C.; Edil, B.H.; de Wilde, R.F.; Klimstra, D.S.; Maitra, A.; Schulick, R.D.; Tang, L.H.; Wolfgang, C.L.; Choti, M.A.; et al. DAXX/ATRX, MEN1, and mTOR Pathway Genes Are Frequently Altered in Pancreatic Neuroendocrine Tumors. Science 2011, 331, 1199–1203. [Google Scholar] [CrossRef]
  19. Yachida, S.; Vakiani, E.; White, C.M.; Zhong, Y.; Saunders, T.; Morgan, R.A.; de Wilde, R.F.; Maitra, A.M.; Hicks, J.B.; DeMarzo, A.M.; et al. Small Cell and Large Cell Neuroendocrine Carcinomas of the Pancreas are Genetically Similar and Distinct From Well-Differentiated Pancreatic Neuroendocrine Tumors. Am. J. Surg. Pathol. 2012, 36, 173–184. [Google Scholar] [CrossRef]
  20. Takizawa, N.; Ohishi, Y.; Hirahashi, M.; Takahashi, S.; Nakamura, K.; Tanaka, M.; Oki, E.; Takayanagi, R.; Oda, Y. Molecular characteristics of colorectal neuroendocrine carcinoma; similarities with adenocarcinoma rather than neuroendocrine tumor. Hum. Pathol. 2015, 46, 1890–1900. [Google Scholar] [CrossRef]
  21. Zhang, M.; Tan, C.; Wang, X.; Ding, X.; Zhang, B.; Yang, Z.; Wang, Y.; Sheng, W.; Huang, D. Digital image analysis of Ki-67 heterogeneity improves the classification and prognostic evaluation of gastroenteropancreatic neuroendocrine neoplasms. Mod. Pathol. 2023, 36, 100017. [Google Scholar] [CrossRef]
  22. Reccia, I.; Pai, M.; Kumar, J.; Spalding, D.; Frilling, A. Tumour Heterogeneity and the Consequent Practical Challenges in the Management of Gastroenteropancreatic Neuroendocrine Neoplasms. Cancers 2023, 15, 1861. [Google Scholar] [CrossRef] [PubMed]
  23. Basturk, O.; Yang, Z.; Tang, L.H.; Hruban, R.H.; Adsay, V.; McCall, C.M.; Krasinskas, A.M.; Jang, K.-T.; Frankel, W.L.; Balci, S.; et al. The High-Grade (WHO G3) Pancreatic Neuroendocrine Tumor Category Is Morphologically and Biologically Heterogeneous and Includes Both Well Differentiated and Poorly Differentiated Neoplasms. Am. J. Surg. Pathol. 2015, 39, 683–690. [Google Scholar] [CrossRef] [PubMed]
  24. Konukiewitz, B.; Schlitter, A.M.; Jesinghaus, M.; Pfister, D.; Steiger, K.; Segler, A.; Agaimy, A.; Sipos, B.; Zamboni, G.; Weichert, W.; et al. Somatostatin receptor expression related to TP53 and RB1 alterations in pancreatic and extrapancreatic neuroendocrine neoplasms with a Ki67-index above 20%. Mod. Pathol. 2017, 30, 587–598. [Google Scholar] [CrossRef] [PubMed]
  25. Kanaan, C.; Bani, M.A.; Ducreux, M.; Planchard, D.; Lamartina, L.; Moog, S.; Pudlarz, T.; Baudin, E.; Hadoux, J.; Al-Ghuzlan, A.; et al. Diagnostic relevance of p53 and Rb status in neuroendocrine tumors G3 from different organs: An immunohistochemical study of 465 high-grade neuroendocrine neoplasms. Virchows Arch. 2024, in press. [Google Scholar] [CrossRef]
  26. Francis, J.M.; Kiezun, A.; Ramos, A.H.; Serra, S.; Pedamallu, C.S.; Qian, Z.R.; Banck, M.S.; Kanwar, R.; A Kulkarni, A.; Karpathakis, A.; et al. Somatic mutation of CDKN1B in small intestine neuroendocrine tumors. Nat. Genet. 2013, 45, 1483–1486. [Google Scholar] [CrossRef]
  27. Yemelyanova, A.; Vang, R.; Kshirsagar, M.; Lu, D.; Marks, M.A.; Shih, I.M.; Kurman, R.J. Immunohistochemical staining patterns of p53 can serve as a surrogate marker for TP53 mutations in ovarian carcinoma: An immunohistochemical and nucleotide sequencing analysis. Mod. Pathol. 2011, 24, 1248–1253. [Google Scholar] [CrossRef]
  28. Singh, N.; Piskorz, A.M.; Bosse, T.; Jimenez-Linan, M.; Rous, B.; Brenton, J.D.; Gilks, C.B.; Köbel, M. p53 immunohistochemistry is an accurate surrogate for TP53 mutational analysis in endometrial carcinoma biopsies. J. Pathol. 2020, 250, 336–345. [Google Scholar] [CrossRef]
  29. Maratta, M.G.; Al-Toubah, T.; Montilla-Soler, J.; Pelle, E.; Haider, M.; El-Haddad, G.; Strosberg, J. Somatostatin Receptor Expression of Gastroenteropancreatic Neuroendocrine Tumors: A Comprehensive Analysis in the Era of Somatostatin Receptor PET Imaging. Cancers 2025, 17, 1937. [Google Scholar] [CrossRef]
  30. Sonbol, M.B.; Halfdanarson, T.R. Management of Well-Differentiated High-Grade (G3) Neuroendocrine Tumors. Curr. Treat. Options Oncol. 2019, 20, 74. [Google Scholar] [CrossRef]
  31. Tang, L.H.; Untch, B.R.; Reidy, D.L.; O’Reilly, E.; Dhall, D.; Jih, L.; Basturk, O.; Allen, P.J.; Klimstra, D.S. Well-Differentiated Neuroendocrine Tumors with a Morphologically Apparent High-Grade Component: A Pathway Distinct from Poorly Differentiated Neuroendocrine Carcinomas. Clin. Cancer Res. 2015, 22, 1011–1017. [Google Scholar] [CrossRef]
  32. Jesinghaus, M.; Konukiewitz, B.; Keller, G.; Kloor, M.; Steiger, K.; Reiche, M.; Penzel, R.; Endris, V.; Arsenic, R.; Hermann, G.; et al. Colorectal mixed adenoneuroendocrine carcinomas and neuroendocrine carcinomas are genetically closely related to colorectal adenocarcinomas. Mod. Pathol. 2017, 30, 610–619. [Google Scholar] [CrossRef]
  33. Woischke, C.; Schaaf, C.P.; Yang, H.; Vieth, M.; Veits, L.; Geddert, H.; Märkl, B.; Stömmer, P.; Schaeffer, D.F.; Frölich, M.; et al. In-depth mutational analyses of colorectal neuroendocrine carcinomas with adenoma or adenocarcinoma components. Mod. Pathol. 2017, 30, 95–103. [Google Scholar] [CrossRef]
  34. Girardi, D.; Silva, A.; Florinda, J.; Coudry, R.A.; Riechelmann, R.P. Molecular pathways of poorly differentiated neuroendocrine carcinomas of the gastroenteropancreatic system: A systematic review. Crit. Rev. Oncol. Hematol. 2017, 56, 28–35. [Google Scholar] [CrossRef]
Figure 1. Immunohistochemical evaluation of the Ki-67 index in high-grade neuroendocrine neoplasms: (A,B) illustrate a high-grade neuroendocrine tumor with a corresponding Ki-67 index of 45% (original magnification ×400); (C,D) depict a neuroendocrine carcinoma showing a Ki-67 index of 90% (original magnification ×200).
Figure 1. Immunohistochemical evaluation of the Ki-67 index in high-grade neuroendocrine neoplasms: (A,B) illustrate a high-grade neuroendocrine tumor with a corresponding Ki-67 index of 45% (original magnification ×400); (C,D) depict a neuroendocrine carcinoma showing a Ki-67 index of 90% (original magnification ×200).
Gastrointestdisord 07 00051 g001
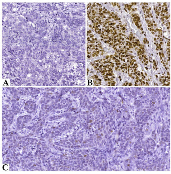
Figure 2. Assessment of p53 expression in high-grade neuroendocrine neoplasms (original magnification ×200): (A,B) illustrate non-wild-type p53 immunohistochemical patterns: complete absence of nuclear staining (A) and diffuse nuclear overexpression (B); (C) shows wild-type p53 expression, with nuclear positivity observed in 10% of tumor cells.
Figure 2. Assessment of p53 expression in high-grade neuroendocrine neoplasms (original magnification ×200): (A,B) illustrate non-wild-type p53 immunohistochemical patterns: complete absence of nuclear staining (A) and diffuse nuclear overexpression (B); (C) shows wild-type p53 expression, with nuclear positivity observed in 10% of tumor cells.
Gastrointestdisord 07 00051 g002
Table 1. Evaluated clinical features in the study group.
Table 1. Evaluated clinical features in the study group.
NET G3NECMiNEN
Age at diagnosis (%)
<60 yo501040
≥60 yo27.236.436.4
Tumor site (%)
Stomach42.914.242.9
Small intestine10000
Colorectum30.830.838.4
Maximum tumor size (%)
≤5 cm80020
>5 cm14.837.148.1
Table 2. Diagnostic and topographical distribution of Ki-67 mean values.
Table 2. Diagnostic and topographical distribution of Ki-67 mean values.
NET G3NEC and NEC Component of MiNEN
Mean Ki-67 Index (±SD; SE)
Stomach24.33% (±1.63; 0.66)67.14% (±8.09; 2.86)
Small Intestine21% (±0; 0)-
Colorectum53.75% (±25.4; 9)69.375% (±22.42; 5.28)
Table 3. Overview of pathological characteristics in the study cohort.
Table 3. Overview of pathological characteristics in the study cohort.
NET G3NECMiNEN
pT stage (%)
pT1–210000
pT3–431.626.342.1
Lymphovascular invasion (%)
Absent75025
Present29.429.441.2
Perineural infiltration (%)
Absent10000
Present27.827.844.4
Lymph node metastasis (%)
Absent66.7033.3
Present30.330.339.4
Ki-67 index (%)
>20–50%66.722.211.1
>50%16.72558.3
Table 4. p53 immunohistochemical profile in high-grade gastrointestinal neuroendocrine neoplasms.
Table 4. p53 immunohistochemical profile in high-grade gastrointestinal neuroendocrine neoplasms.
p53 IHC StatusNET G3NEC and NEC Component of MiNEN
No. (%)No. (%)
Wild-type14 (87.5)2 (7.7)
Non-wild-type2 (12.5)24 (92.3)
Table 5. Statistically significant associations between clinico-pathological parameters and Ki-67 / p53 status.
Table 5. Statistically significant associations between clinico-pathological parameters and Ki-67 / p53 status.
ParameterBio MarkerCorrelation (r)p-ValueChi-Square (χ2)Cramér’s VKey Observations
Tumor sizeKi-670.4590.0028.8490.459Higher Ki-67 values in tumors > 5 cm
Tumor stage (pT)Ki-670.3750.0155.8950.375Ki-67 > 50% more frequent in pT3–4
Lymphovascular invasionKi-670.3150.0424.1690.315Ki-67 > 50% associated with vascular invasion
Perineural infiltrationKi-670.4710.0029.3330.471High Ki-67 in tumors with perineural spread
Diagnostic categoryKi-670.510<0.00110.9040.510Ki-67 20–50% in NET G3; >50% in NEC and MiNEN
Tumor stage (pT)p530.4140.0067.1840.414Wild-type p53 in all pT1–2; non-wild-type in 68.4% of pT3–4 (mostly NEC/MiNEN)
Lymphovascular invasionp530.3690.0165.7070.369Non-wild-type p53 associated with vascular invasion
Lymph node metastasisp530.3070.0483.9170.307Wild-type p53 absent in node-positive cases
Diagnostic categoryp530.798<0.00126.7510.798Wild-type p53 in NET G3; non-wild-type in NEC/MiNEN
Disclaimer/Publisher’s Note: The statements, opinions and data contained in all publications are solely those of the individual author(s) and contributor(s) and not of MDPI and/or the editor(s). MDPI and/or the editor(s) disclaim responsibility for any injury to people or property resulting from any ideas, methods, instructions or products referred to in the content.

Share and Cite

MDPI and ACS Style

Dinu, A.; Aşchie, M.; Deacu, M.; Chisoi, A.; Enciu, M.; Cojocaru, O.; Vlad, S.E. Clinico-Morphological Correlations with Ki-67 and p53 Immunohistochemical Expression in High-Grade Gastrointestinal Neuroendocrine Neoplasms. Gastrointest. Disord. 2025, 7, 51. https://doi.org/10.3390/gidisord7030051

AMA Style

Dinu A, Aşchie M, Deacu M, Chisoi A, Enciu M, Cojocaru O, Vlad SE. Clinico-Morphological Correlations with Ki-67 and p53 Immunohistochemical Expression in High-Grade Gastrointestinal Neuroendocrine Neoplasms. Gastrointestinal Disorders. 2025; 7(3):51. https://doi.org/10.3390/gidisord7030051

Chicago/Turabian Style

Dinu, Alexandra, Mariana Aşchie, Mariana Deacu, Anca Chisoi, Manuela Enciu, Oana Cojocaru, and Sabina E. Vlad. 2025. "Clinico-Morphological Correlations with Ki-67 and p53 Immunohistochemical Expression in High-Grade Gastrointestinal Neuroendocrine Neoplasms" Gastrointestinal Disorders 7, no. 3: 51. https://doi.org/10.3390/gidisord7030051

APA Style

Dinu, A., Aşchie, M., Deacu, M., Chisoi, A., Enciu, M., Cojocaru, O., & Vlad, S. E. (2025). Clinico-Morphological Correlations with Ki-67 and p53 Immunohistochemical Expression in High-Grade Gastrointestinal Neuroendocrine Neoplasms. Gastrointestinal Disorders, 7(3), 51. https://doi.org/10.3390/gidisord7030051

Article Metrics

Back to TopTop