Acute Mesenteric Ischemia with Air Embolism in the Superior Mesenteric Artery: A Rare Case and a Literature Review
Abstract
1. Background
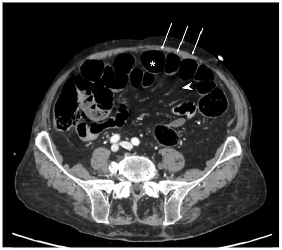
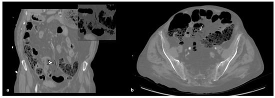
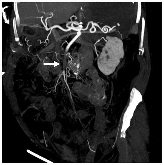
2. Case Report
3. Discussion
4. Conclusions
Author Contributions
Funding
Institutional Review Board Statement
Informed Consent Statement
Data Availability Statement
Conflicts of Interest
Abbreviations
| AMI | Acute mesenteric ischemia |
| SMA | Superior mesenteric artery |
| STEMI | ST-elevation myocardial infarction |
| CECT | Contrast-enhanced computed tomography |
| CCU | Coronary care unit |
| NOMI | Nonocclusive mesenteric ischemia |
| SAAE | Systemic arterial air embolism |
| ECMO | Extracorporeal membrane oxygenation |
| TEVAR | Thoracic endovascular aortic repair |
| DIC | Disseminated intravascular coagulation |
References
- Mazzei, M.A.; Mazzei, F.G.; Marrelli, D.; Imbriaco, G.; Guerrini, S.; Vindigni, C.; Civitelli, S.; Roviello, F.; Grassi, R.; Volterrani, L. Computed Tomographic Evaluation of Mesentery: Diagnostic Value in Acute Mesenteric Ischemia. J. Comput. Assist. Tomogr. 2012, 36, 1–7. [Google Scholar] [CrossRef]
- Reginelli, A.; Genovese, E.; Cappabianca, S.; Iacobellis, F.; Berritto, D.; Fonio, P.; Coppolino, F.; Grassi, R. Intestinal Ischemia: US-CT findings correlations. Crit. Ultrasound J. 2013, 5, S7. [Google Scholar] [CrossRef]
- Furukawa, A.; Kanasaki, S.; Kono, N.; Wakamiya, M.; Tanaka, T.; Takahashi, M.; Murata, K. CT Diagnosis of Acute Mesenteric Ischemia from Various Causes. Am. J. Roentgenol. 2009, 192, 408–416. [Google Scholar] [CrossRef]
- Wasnik, A.; Kaza, R.K.; Al-Hawary, M.M.; Liu, P.S.; Platt, J.F. Multidetector CT imaging in mesenteric ischemia—Pearls and pitfalls. Emerg. Radiol. 2011, 18, 145–156. [Google Scholar] [CrossRef]
- Blachar, A.; Barnes, S.; Adam, S.Z.; Levy, G.; Weinstein, I.; Precel, R.; Federle, M.P.; Sosna, J. Radiologists’ performance in the diagnosis of acute intestinal ischemia, using MDCT and specific CT findings, using a variety of CT protocols. Emerg. Radiol. 2011, 18, 385–394. [Google Scholar] [CrossRef]
- Tual, A.; Garzelli, L.; Nuzzo, A.; Corcos, O.; Castier, Y.; Ben Abdallah, I.; Ronot, M. Strengthening the Description of Superior Mesenteric Artery Occlusions in Acute Mesenteric Ischaemia: Proposition for an Anatomical Classification. Eur. J. Vasc. Endovasc. Surg. 2023, 65, 802–808. [Google Scholar] [CrossRef]
- Ronza, F.M.; Di Gennaro, T.L.; Buzzo, G.; Piccolo, L.; Della Noce, M.; Giordano, G.; Posillico, G.; Pietrobono, L.; Mazzei, F.G.; Ricci, P.; et al. Diagnostic Role of Multi-Detector Computed Tomography in Acute Mesenteric Ischemia. Diagnostics 2024, 14, 1214. [Google Scholar] [CrossRef]
- Fitzpatrick, L.A.; Rivers-Bowerman, M.D.; Thipphavong, S.; Clarke, S.E.; Rowe, J.A.; Costa, A.F. Pearls, Pitfalls, and Conditions that Mimic Mesenteric Ischemia at CT. RadioGraphics 2020, 40, 545–561. [Google Scholar] [CrossRef]
- Reginelli, A.; Iacobellis, F.; Berritto, D.; Gagliardi, G.; Di Grezia, G.; Rossi, M.; Fonio, P.; Grassi, R. Mesenteric ischemia: The importance of differential diagnosis for the surgeon. BMC Surg. 2013, 13, S51. [Google Scholar] [CrossRef]
- Chang, M.; Kistler, E.B.; Schmid-Schönbein, G.W. Disruption of the Mucosal Barrier During Gut Ischemia Allows Entry of Digestive Enzymes Into the Intestinal Wall. Shock 2012, 37, 297–305. [Google Scholar] [CrossRef]
- Bala, M.; Kashuk, J.; Moore, E.E.; Kluger, Y.; Biffl, W.; Gomes, C.A.; Ben-Ishay, O.; Rubinstein, C.; Balogh, Z.J.; Civil, I.; et al. Acute mesenteric ischemia: Guidelines of the World Society of Emergency Surgery. World J. Emerg. Surg. 2017, 12, 38. [Google Scholar] [CrossRef] [PubMed]
- Numata, S.; Tsutsumi, Y.; Ohashi, H. Gas in the superior mesenteric artery: Severe malperfusion and bowel necrosis caused by acute aortic dissection. Eur. J. Cardiothorac. Surg. 2013, 43, 1267–1268. [Google Scholar] [CrossRef] [PubMed]
- Devos, P.; Brisbois, D.; Demaret, P.; Thiry, E. Massive air embolism in the abdominal aorta. Intensive Care Med. 2018, 44, 249–250. [Google Scholar] [CrossRef] [PubMed]
- Lambert, L.; Grus, T.; Spunda, R.; Balik, M.; Trca, S. Air Embolism into Superior Mesenteric Artery Following Replacement of Ascending Aorta for Aortic Dissection—A Rare and Fatal Case. J. Belg. Soc. Radiol. 2018, 102, 68. [Google Scholar] [CrossRef] [PubMed]
- Giulio, F.; Ruggiero, S.; Vicini, S.; Bellini, D.; Rengo, M.; Carbone, I. Unusual computed tomography findings of gas in the superior mesenteric artery system with no signs of porto-mesenteric venous gas in a case of acute mesenteric ischemia. Radiol. Case Rep. 2022, 17, 2568–2572. [Google Scholar] [CrossRef]
- Khripun, A.; Pryamikov, A.; Mironkov, A.; Abashin, M.; Sazhin, I.; Stepanenko, K.; Motylev, E. Gas in superior mesenteric artery and celiac axis as a rare CT-sign of extensive bowel necrosis. Khirurgiya Z. Im. NI Pirogova 2022, 8, 98–105. [Google Scholar] [CrossRef]
- Fujiwara, S.; Sekine, Y. Gas in the superior mesenteric artery. BMJ Case Rep. 2017, 2017, bcr2017219470. [Google Scholar] [CrossRef]
- D’Agostino, V.; Coppola, L.; Barillaro, A.; Spaziano, M.; Bonacci, N.; Castaldo, S.; Nappa, C.; Iacuessa, G.; Cerrone, F.; Salzano, A. Could CT finding of gas in the sole mesenteric artery be a sign of a severe acute ischemia? Presentation of a rare fatal case and a literature review. Radiol. Case Rep. 2023, 18, 3390–3394. [Google Scholar] [CrossRef]
- Bidari, A.; Mohamadnejad, M. Arterial air embolism as a complication of pleurodesis. Am. J. Med. 2002, 112, 426–428. [Google Scholar] [CrossRef]
- Kantarci, F.; Adaletli, I.; Yalcin, G.; Selcuk, D.; Kurugoglu, S.; Mihmanli, I. Lower Extremity Arterial Air Embolism Secondary to Clostridial Gas Gangrene: Diagnosis by Doppler Sonography. J. Ultrasound Med. 2004, 23, 1531–1534. [Google Scholar] [CrossRef]
- Tsai, M.-J.; Chen, H.-C.; Wu, D.-W.; Huang, M.-S. Air in the Aorta. Intern. Med. 2010, 49, 1253. [Google Scholar] [CrossRef]
- Tulmaç, M.; Şimşek, V.; Şahin, Ö.; Ebinç, H. Massive Systemic Air Embolism During Aortic Root Angiography: A Dire Complication. Circulation. 2012. Available online: https://www.ahajournals.org/doi/10.1161/CIRCULATIONAHA.112.107102 (accessed on 7 October 2024).
- Lynn, A.-M.; Yang, M.-J.; Wang, P.-H.; Chang, C.-M.; Chen, C.-Y.; Hwang, S.-J.; Yen, M.-S.; Chao, K.-C. Postpartum eclampsia with cerebral air embolism. Taiwan. J. Obstet. Gynecol. 2013, 52, 431–434. [Google Scholar] [CrossRef]
- Surve, R.; Reddy, K.R.M.; Bansal, S.; Ramalingaiah, A. Massive cerebral air embolism during stent-assisted coiling of internal carotid artery aneurysm. Neurol. India 2013, 61, 95. [Google Scholar] [PubMed]
- Pua, U.; Tan, G.W.L.; Quek, L.H.H. Bubble Trouble: Air Embolism during Multiple EndoAnchor Application. J. Vasc. Interv. Radiol. 2017, 28, 768–770. [Google Scholar] [CrossRef]
- Edler, C.; Klein, A.; Püschel, K.; Schröder, A.S. Fatal air embolism in hospital confirmed by autopsy and postmortem computed tomography. Forensic Sci. Med. Pathol. 2018, 14, 251–254. [Google Scholar] [CrossRef] [PubMed]
- Popa, D.; Grover, I.; Hayden, S.; Witucki, P. Iatrogenic Arterial Gas Embolism From Esophagogastroduodenoscopy. J. Emerg. Med. 2019, 57, 683–688. [Google Scholar] [CrossRef]
- Chuang, D.Y.; Sundararajan, S.; Sundararajan, V.A.; Feldman, D.I.; Xiong, W. Accidental Air Embolism: An Uncommon Cause of Iatrogenic Stroke. Stroke. 2019. Available online: https://www.ahajournals.org/doi/10.1161/STROKEAHA.119.025340 (accessed on 7 October 2024). [CrossRef]
- Dioscoridi, L.; Roselli, E.; Melis, V.; Mutignani, M. Air embolism of right coronary artery after ERCP. BMJ Case Rep. 2020, 13, e236135. [Google Scholar] [CrossRef]
- Bapteste, L.; Kamar, Z.; Mazaud, A.; Balança, B. Air embolism during lumbar surgery in the prone position. Diving Hyperb. Med. J. 2021, 51, 303–305. [Google Scholar] [CrossRef]
- Malik, N.; Claus, P.L.; Illman, J.E.; Kligerman, S.J.; Moynagh, M.R.; Levin, D.L.; Woodrum, D.A.; Arani, A.; Arunachalam, S.P.; Araoz, P.A. Air Embolism: Diagnosis and Management. Future Cardiol. 2017, 13, 365–378. [Google Scholar] [CrossRef]
- Kramer, M.; Parekh, M.; Modi, R.Y.; Donuru, A. Review of Thoracic Causes of Systemic Arterial Air Embolism on Computed Tomography. J. Thorac. Imaging. 2020, 35, W68–W74. [Google Scholar] [CrossRef] [PubMed]
- Björck, M.; Koelemay, M.; Acosta, S.; Goncalves, F.B.; Kölbel, T.; Kolkman, J.; Lees, T.; Lefevre, J.; Menyhei, G.; Oderich, G.; et al. Editor’s Choice—Management of the Diseases of Mesenteric Arteries and Veins. Eur. J. Vasc. Endovasc. Surg. 2017, 53, 460–510. [Google Scholar] [CrossRef] [PubMed]





| Author | Year | Type of Study | Cause of Air Embolism | Site of Air Embolism | Prognosis |
|---|---|---|---|---|---|
| Numata S. et al. [12] | 2013 | Case report | Acute aortic dissection | SMA | Death |
| Devos P. et al. [13] | 2017 | Case report | Endovascular stenting of the superior mesenteric artery | SMA, hepatic artery, and abdominal aorta | No sequels (after hyperbaric chamber session) |
| Lambert L. et al. [14] | 2018 | Case report | TEVAR, after type A aortic dissection | Superior mesenteric artery (SMA) | Death |
| Giulio F. et al. [15] | 2022 | Case report | Associated with thrombotic disease of the SMA | SMA | Death |
| Khripun A.I. et al. [16] | 2022 | Case report | Post-thromboaspiration of thrombotic occlusion in the SMA | SMA and celiac axis (CA) | Death |
| Fujwara S., Sekine Y. [17] | 2022 | Case Report | Associated with thrombotic disease of the SMA, in a patient with a mediastinal tumor (Trousseau’s syndrome cannot be ruled out) | SMA | Death 27 days post-operation |
| D’Agostino V et al. [18] | 2023 | Case report | Pneumatosis without involvement of the portal mesenteric venous system | SMA | Death |
| Author | Year | Type of Study | Cause of Air Embolism | Site of Air Embolism | Prognosis |
|---|---|---|---|---|---|
| Bidari A et Mohamadnejad M [19] | 2002 | Letter to editor | Pleurodesis | Cerebral arterial gas embolism; concurrent acute coronary syndrome | Hemiplegic and aphasic |
| Kantarci F et al. [20] | 2004 | Case report | Clostridial gas gangrene, in a patient with myelodysplastic syndrome and thrombosis of bilateral tibial arteries | Left posterior tibial artery (diagnosis made by Doppler-US) | Lower extremity amputation |
| Tsai Ming-Ju et al. [21] | 2010 | Case report | Salmonella infection | Aorta | No sequels |
| Tulmac M. et al. [22] | 2012 | Case report | Aortic root angiography (accidental injection of massive air) | Cerebral vasculature (no images) and coronary arteries | No sequels (after hyperbaric chamber session) |
| Lynn A. et al. [23] | 2013 | Research letter | Postpartum eclampsia, in a patient with PRES and pituitary apoplexy | Right side internal carotid artery, anterior communicating artery, and pericallosal artery | No sequels |
| Surve R.M. et al. [24] | 2013 | Letter to editor | Stent-assisted coiling of internal carotid artery aneurism | Case 1: complete occlusion of internal carotid artery Case 2: anterior cerebral artery | Case 1: severe disability Case 2: no sequels |
| Pua U. et al. [25] | 2017 | Letter to editor | Multiple EndoAnchor application, during endograft fixation | In the left limb of the bifurcated stent | No symptoms (thanks to prompt free air aspiration) |
| Edler C. et al. [26] | 2018 | Case report | Human error: connection between the infusion system and inhalation tubing system, in a patient affected by pneumonia | Arterial vessels and venous vessels (diagnosis by postmortem CT) | Death (postmortem diagnosis) |
| Popa D. et al. [27] | 2019 | Case report and review | Esophagogastroduodenoscopy | Cerebral vessels | Left-sided hemineglect, left upper extremity without movement (after hyperbaric chamber sessions) |
| Chuang D.Y. et al. [28] | 2019 | Case report | Peripheral intravenous catheter (accidental injection) | Cerebral vasculature | Left homonymous hemianopsia and mild left upper extremity weakness |
| Dioscoridi L et al. [29] | 2020 | Case report | ERCP | Right coronary artery and ventricles | No sequels |
| Bapteste L. et al. [30] | 2021 | Case report | Lumbar spine surgery | Cerebral arterial gas embolism (no examination; the clinical picture evokes the diagnosis) | No symptoms (after hyperbaric chamber session) |
Disclaimer/Publisher’s Note: The statements, opinions and data contained in all publications are solely those of the individual author(s) and contributor(s) and not of MDPI and/or the editor(s). MDPI and/or the editor(s) disclaim responsibility for any injury to people or property resulting from any ideas, methods, instructions or products referred to in the content. |
© 2025 by the authors. Licensee MDPI, Basel, Switzerland. This article is an open access article distributed under the terms and conditions of the Creative Commons Attribution (CC BY) license (https://creativecommons.org/licenses/by/4.0/).
Share and Cite
Timpanaro, C.; Musmeci, L.; Tiralongo, F.; Foti, P.V.; Tamburrini, S.; Ini’, C.; Castiglione, D.G.; Comune, R.; Tiralongo, M.; Vacirca, F.; et al. Acute Mesenteric Ischemia with Air Embolism in the Superior Mesenteric Artery: A Rare Case and a Literature Review. Gastrointest. Disord. 2025, 7, 37. https://doi.org/10.3390/gidisord7020037
Timpanaro C, Musmeci L, Tiralongo F, Foti PV, Tamburrini S, Ini’ C, Castiglione DG, Comune R, Tiralongo M, Vacirca F, et al. Acute Mesenteric Ischemia with Air Embolism in the Superior Mesenteric Artery: A Rare Case and a Literature Review. Gastrointestinal Disorders. 2025; 7(2):37. https://doi.org/10.3390/gidisord7020037
Chicago/Turabian StyleTimpanaro, Concetta, Lorenzo Musmeci, Francesco Tiralongo, Pietro Valerio Foti, Stefania Tamburrini, Corrado Ini’, Davide Giuseppe Castiglione, Rosita Comune, Mariapaola Tiralongo, Francesco Vacirca, and et al. 2025. "Acute Mesenteric Ischemia with Air Embolism in the Superior Mesenteric Artery: A Rare Case and a Literature Review" Gastrointestinal Disorders 7, no. 2: 37. https://doi.org/10.3390/gidisord7020037
APA StyleTimpanaro, C., Musmeci, L., Tiralongo, F., Foti, P. V., Tamburrini, S., Ini’, C., Castiglione, D. G., Comune, R., Tiralongo, M., Vacirca, F., Palmucci, S., & Basile, A. (2025). Acute Mesenteric Ischemia with Air Embolism in the Superior Mesenteric Artery: A Rare Case and a Literature Review. Gastrointestinal Disorders, 7(2), 37. https://doi.org/10.3390/gidisord7020037

