Journal Description
Neuroglia
Neuroglia
is an international, peer-reviewed, open access journal on Neuroscience published quarterly online by MDPI.
- Open Access— free for readers, with article processing charges (APC) paid by authors or their institutions.
- High Visibility: indexed within ESCI (Web of Science), Scopus and other databases.
- Rapid Publication: manuscripts are peer-reviewed and a first decision is provided to authors approximately 29.5 days after submission; acceptance to publication is undertaken in 4.7 days (median values for papers published in this journal in the first half of 2025).
- Recognition of Reviewers: reviewers who provide timely, thorough peer-review reports receive vouchers entitling them to a discount on the APC of their next publication in any MDPI journal, in appreciation of the work done.
- Journal Cluster of Neurosciences: Brain Sciences, Neurology International, NeuroSci, Clinical and Translational Neuroscience, Neuroglia, Psychiatry International, Clocks & Sleep and Journal of Dementia and Alzheimer's Disease.
Latest Articles
Early Aging of the Brain in Rats: Insights from Two Markers, IL-17 and Aquaporin-4, and Region-Specific Glial and Vascular Alterations in the Hippocampus
Neuroglia 2026, 7(1), 1; https://doi.org/10.3390/neuroglia7010001 (registering DOI) - 19 Dec 2025
Abstract
Introduction: This study investigates how early aging affects the rat brain, focusing on aquaporin-4 and IL-17 levels in the whole brain, as well as glial cell alterations in the hippocampus. The hippocampus, essential for learning and memory, undergoes age-related changes contributing to
[...] Read more.
Introduction: This study investigates how early aging affects the rat brain, focusing on aquaporin-4 and IL-17 levels in the whole brain, as well as glial cell alterations in the hippocampus. The hippocampus, essential for learning and memory, undergoes age-related changes contributing to cognitive decline and neuroinflammation. Glial cells—particularly microglia and astrocytes—are central to these processes. Most research focuses on advanced aging; in this study, we examine early aging effects. Methods: Male Wistar rats (13 weeks and 13 months old) were used. Whole-brain IL-17 and aquaporin-4 levels were assessed by ELISA. Immunohistology targeting GFAP, Iba1, and CD31 was performed on hippocampal sections to assess glial and vascular changes in CA1, CA2/3, and the dentate gyrus (DG). Results: Middle-aged rats brains showed significantly higher IL-17 and aquaporin-4 levels, confirming low-grade inflammation and metabolic alteration. In the hippocampus, microglia, astrocytes, and cerebral microvessels increased in CA2/3, with no significant changes in CA1 or DG. Conclusions: Early aging induces whole-brain neuroinflammation and metabolic changes and region-specific hippocampal alterations, with CA2/3 being particularly susceptible. These findings advance understanding of early brain aging and highlight CA2/3 as a potential target for intervention.
Full article
(This article belongs to the Special Issue Neuroglia at the Crossroads: Emerging Insights into Neurological Disease Mechanisms)
Open AccessReview
The Role of Oligodendrocytes in Alzheimer’s Disease Pathogenesis and Therapy
by
Shihui Guo, Xinyi Yu and Hongsheng Zhang
Neuroglia 2025, 6(4), 46; https://doi.org/10.3390/neuroglia6040046 - 11 Dec 2025
Abstract
Oligodendrocytes (OLs) constitute the main glial population in the central nervous system and are indispensable for the stability and performance of neural networks. Although best known for generating and maintaining myelin to speed impulse conduction, their influence extends further. By modulating myelin in
[...] Read more.
Oligodendrocytes (OLs) constitute the main glial population in the central nervous system and are indispensable for the stability and performance of neural networks. Although best known for generating and maintaining myelin to speed impulse conduction, their influence extends further. By modulating myelin in response to activity, supplying metabolic substrates, and engaging in neuroimmune communication, OLs help preserve the structural integrity and plasticity of neuronal circuits. Growing evidence now positions defective OLs as central players in Alzheimer’s disease (AD). Experimental work suggests that OL injury can act as an early trigger, fostering amyloid-β (Aβ) deposition and Tau hyperphosphorylation. Conversely, toxic Aβ aggregates and pathological Tau proteins damage OLs, causing myelin breakdown and progressive neurodegeneration that fuels a self-perpetuating cycle. Here, we synthesize current knowledge of OL physiology and its multifaceted contributions to AD pathogenesis, with particular attention to the bidirectional interplay between OL dysfunction and the disease’s core features—Aβ and tau. On this basis, we outline prospective therapeutic avenues to protect or restore oligodendrocyte function in AD.
Full article
(This article belongs to the Special Issue Neuroglia at the Crossroads: Emerging Insights into Neurological Disease Mechanisms)
►▼
Show Figures

Figure 1
Open AccessReview
How Does Maternal Immune Activity Affect Fetal Survival and Brain Development? The Critical Roles of IL-17A and Microglia
by
Asumi Kubo, Sara Kamiya, Sae Sanaka, Kenyu Nakamura, Kyoko Kishi and Tetsuya Sasaki
Neuroglia 2025, 6(4), 45; https://doi.org/10.3390/neuroglia6040045 - 20 Nov 2025
Abstract
►▼
Show Figures
Maternal immune activation (MIA) during pregnancy has been associated with increased risk of fetal loss and neurodevelopmental disorders in offspring. This review summarizes recent findings on the effects of MIA on fetal survival and microglial phenotype. Studies using polyinosinic–polycytidylic acid [poly(I:C)-induced MIA mouse
[...] Read more.
Maternal immune activation (MIA) during pregnancy has been associated with increased risk of fetal loss and neurodevelopmental disorders in offspring. This review summarizes recent findings on the effects of MIA on fetal survival and microglial phenotype. Studies using polyinosinic–polycytidylic acid [poly(I:C)-induced MIA mouse models have revealed the crucial role of interleukin-17A (IL-17A) in mediating these effects. Overexpression of RORγt, a key transcription factor for IL-17A production, enhances poly(I: C)-induced fetal loss, possibly due to increased placental vulnerability. Intraventricular administration of IL-17A in fetal brains activates microglia and alters their localization, particularly in periventricular regions and the medial cortex. These activated microglia may contribute to abnormal synaptic pruning and excessive phagocytosis of neural progenitor cells, potentially leading to long-term neurodevelopmental abnormalities. The insights gained from MIA research have important clinical implications, including the potential for early identification of high-risk pregnancies and the development of novel preventive and therapeutic strategies. Future research should focus on elucidating the roles of other cytokines, determining critical periods of MIA susceptibility, and translating findings to human populations, while carefully considering ethical implications and the need for appropriate risk communication.
Full article

Figure 1
Open AccessReview
Glia Between Resistance and Radiotoxicity in Glioblastoma: Mechanisms and Translational Perspectives—A Narrative Review
by
Flavio Donnini, Giuseppe Minniti, Giovanni Rubino, Giuseppe Battaglia, Pierpaolo Pastina, Tommaso Carfagno, Marta Vannini, Maria Antonietta Mazzei and Paolo Tini
Neuroglia 2025, 6(4), 44; https://doi.org/10.3390/neuroglia6040044 - 11 Nov 2025
Abstract
Background: Glioblastoma (GBM) remains refractory to chemoradiotherapy. Glial populations—microglia/monocyte-derived macrophages, reactive astrocytes, and the oligodendrocyte lineage—shape both treatment resistance and radiation-related brain injury. Scope: We synthesize how myeloid ontogeny and plasticity, astrocytic hubs (IL-6/STAT3, TGF-β, connexin-43/gap junctions), and oligodendrocyte precursor cells (OPCs)–linked programs
[...] Read more.
Background: Glioblastoma (GBM) remains refractory to chemoradiotherapy. Glial populations—microglia/monocyte-derived macrophages, reactive astrocytes, and the oligodendrocyte lineage—shape both treatment resistance and radiation-related brain injury. Scope: We synthesize how myeloid ontogeny and plasticity, astrocytic hubs (IL-6/STAT3, TGF-β, connexin-43/gap junctions), and oligodendrocyte precursor cells (OPCs)–linked programs intersect with DNA-damage responses, hypoxia-driven metabolism, and extracellular vesicle signaling to support tumor fitness while predisposing normal brain to radiotoxicity. Translational implications: Convergent, targetable pathways (IL-6/JAK–STAT3, TGF-β, chemokine trafficking, DDR/senescence) enable co-design of radiosensitization and neuroprotection. Pragmatic levers include myeloid reprogramming (CSF-1R, CCR2), astrocyte-axis modulation (STAT3, TGF-β, Cx43), and brain-penetrant DDR inhibition (e.g., ATM inhibitors), paired with delivery strategies that raise intratumoral exposure while sparing healthy tissue (focused-ultrasound blood–brain barrier opening, myeloid-targeted dendrimers; Tumor Treating Fields as an approved adjunct therapy). Biomarker frameworks (TSPO-PET, macrophage-oriented MRI radiomics, extracellular vesicle liquid biopsy) can support selection and pharmacodynamic readouts alongside neurocognitive endpoints. Outlook: Timing-aware combinations around radiotherapy and hippocampal/white-matter sparing offer a near-term roadmap for “glia-informed” precision radiotherapy.
Full article
(This article belongs to the Special Issue Neuroglia at the Crossroads: Emerging Insights into Neurological Disease Mechanisms)
►▼
Show Figures

Figure 1
Open AccessArticle
Reelin Signaling by the Prime Neurogenic Niche of the Adult Brain
by
Francisco Javier Pérez-Martínez, Manuel Cifuentes and Juan M. Luque
Neuroglia 2025, 6(4), 43; https://doi.org/10.3390/neuroglia6040043 - 6 Nov 2025
Abstract
►▼
Show Figures
Background: During development, reelin sets the pace of neocortical neurogenesis, enabling newborn neurons to migrate. However, whether—and, if so, how—reelin signaling affects the adult neurogenic niches remains uncertain. Methods: In the present study, we use both loss- and gain-of-function genetic approaches, along with
[...] Read more.
Background: During development, reelin sets the pace of neocortical neurogenesis, enabling newborn neurons to migrate. However, whether—and, if so, how—reelin signaling affects the adult neurogenic niches remains uncertain. Methods: In the present study, we use both loss- and gain-of-function genetic approaches, along with in vivo and ex vivo assays, to investigate this question. Results: We show that reelin signaling, resulting in Dab1 phosphorylation, occurs in the ependymal-subependymal zone (EZ/SEZ) of the lateral ventricles, where, along with its associated rostral migratory stream (RMS), the highest density of functional ApoER2 accumulates. Mice deficient in Reelin, ApoER2, or Dab1 exhibit enlarged ventricles and a dysplastic RMS. Moreover, while the conditional ablation of Dab1 in neural progenitor cells (NPCs) enlarges the ventricles and impairs neuroblast clearance from the SEZ, the transgenic misexpression of Reelin in NPCs of Reelin-deficient mice normalizes the ventricular lumen and the density of ependymal cilia, thereby ameliorating neuroblast migration. Consistently, intraventricular infusion of reelin reroutes neuroblasts. Conclusions: These results demonstrate that reelin signaling persists, sustaining the germinal niche of the lateral ventricles and influencing neuroblast migration in the adult brain.
Full article

Figure 1
Open AccessReview
Stress-Induced Transcriptional and Epigenetic Plasticity of Astrocytes, Microglia and Oligodendrocytes in the Pathophysiology of Depression
by
Shashikant Patel, Roli Kushwaha, Debiprasad Sinha, Arvind Kumar and Sumana Chakravarty
Neuroglia 2025, 6(4), 42; https://doi.org/10.3390/neuroglia6040042 - 6 Nov 2025
Abstract
Major Depressive Disorder (MDD) remains a leading cause of disability worldwide, perpetuated by an incomplete understanding of its pathophysiology and the limited efficacy of conventional antidepressants. Historically, research has focused on neuron-centric models, particularly the monoamine hypothesis. However, the field is now recognizing
[...] Read more.
Major Depressive Disorder (MDD) remains a leading cause of disability worldwide, perpetuated by an incomplete understanding of its pathophysiology and the limited efficacy of conventional antidepressants. Historically, research has focused on neuron-centric models, particularly the monoamine hypothesis. However, the field is now recognizing the critical role of glial cells such as astrocytes, microglia, and oligodendrocytes, establishing them as key contributors to the molecular basis of depression. Rather than serving solely supportive roles, these cells actively modulate neuroinflammation, synaptic plasticity, neurotransmitter homeostasis, and metabolic regulation, processes disrupted in MDD. We discuss how stress-induced epigenetic modifications such as histone acetylation, methylation, and DNA methylation are linked to alterations in astrocytic glutamate transport, microglial inflammatory states, and oligodendrocyte-mediated myelination. Special emphasis is placed on the concept of glial transcriptional plasticity, whereby environmental adversity induces durable and cell type specific gene expression changes that underlie neuroinflammation, excitatory–inhibitory imbalance, and white matter deficits observed in MDD. By integrating findings from postmortem human tissue, single-cell omics, and stress-based animal models, this review highlights converging molecular mechanisms linking stress to glial dysfunction. We further outline how targeting glial transcriptional regulators may provide new therapeutic avenues beyond conventional monoaminergic approaches.
Full article
(This article belongs to the Special Issue The Multifaceted Roles of Glia: From Cellular Functions to Neurological Implications, 2nd Edition)
►▼
Show Figures

Figure 1
Open AccessArticle
Aging Effects on Metabolic Sensor and Glycogen Metabolism in Old Male vs. Female Rat Primary Hypothalamic Astrocyte Cultures
by
Rami Shrestha, Madhu Babu Pasula and Karen Patrice Briski
Neuroglia 2025, 6(4), 41; https://doi.org/10.3390/neuroglia6040041 - 1 Nov 2025
Abstract
►▼
Show Figures
Background/Objectives: Compartmentalized glucose metabolism in the brain contributes to neuro-metabolic stability and shapes hypothalamic control of glucose homeostasis. Glucose transporter-2 (GLUT2) is a plasma membrane glucose sensor that exerts sex-specific control of hypothalamic astrocyte glucose and glycogen metabolism. Aging causes counterregulatory dysfunction. Methods:
[...] Read more.
Background/Objectives: Compartmentalized glucose metabolism in the brain contributes to neuro-metabolic stability and shapes hypothalamic control of glucose homeostasis. Glucose transporter-2 (GLUT2) is a plasma membrane glucose sensor that exerts sex-specific control of hypothalamic astrocyte glucose and glycogen metabolism. Aging causes counterregulatory dysfunction. Methods: The current research used Western blot and HPLC–electrospray ionization–mass spectrometry to investigate whether aging affects the GLUT2-dependent hypothalamic astrocyte metabolic sensor, glycogen enzyme protein expression, and glycogen mass according to sex. Results: The data document GLUT2-dependent upregulated glucokinase (GCK) protein in glucose-deprived old male and female astrocyte cultures, unlike GLUT2 inhibition of this protein in young astrocytes. Glucoprivation of old male and female astrocytes caused GLUT2-independent downregulation of 5′-AMP-activated protein kinase (AMPK) protein, indicating loss of GLUT2 stimulation of this protein with age. This metabolic stress also caused GLUT2-dependent suppression of phospho-AMPK profiles in each sex, differing from GLUT2-mediated glucoprivic enhancement of activated AMPK in young male astrocytes and phospho-AMPK insensitivity to glucoprivation in young female cultures. GS and GP isoform proteins were refractory to glucoprivation of old male cultures, contrary to downregulation of these proteins in young glucose-deprived male astrocytes. Aging elicited a shift from GLUT2 inhibition to stimulation of male astrocyte glycogen accumulation and caused gain of GLUT2 control of female astrocyte glycogen. Conclusions: The outcomes document sex-specific, aging-related alterations in GLUT2 control of hypothalamic astrocyte glucose and ATP monitoring and glycogen mass and metabolism. These results warrant future initiatives to assess how these adjustments in hypothalamic astrocyte function may affect neural operations that are shaped by astrocyte–neuron metabolic partnership.
Full article

Figure 1
Open AccessSystematic Review
Antineoplastic Effect of Metformin Against Glioblastoma Multiforme In Vitro and In Vivo: A Systematic Review and Meta-Analysis
by
Bhavya Vashi, Daniel Gonzales-Portillo and Jorge Cervantes
Neuroglia 2025, 6(4), 40; https://doi.org/10.3390/neuroglia6040040 - 14 Oct 2025
Abstract
Background/Objectives: Glioblastoma multiforme (GBM) is a highly aggressive brain tumor associated with poor survival outcomes. Given the significant financial burden of cancer treatments, repurposing existing drugs can reduce costs and enhance therapeutic efficacy. Metformin, an antidiabetic medication, has been investigated for its antineoplastic
[...] Read more.
Background/Objectives: Glioblastoma multiforme (GBM) is a highly aggressive brain tumor associated with poor survival outcomes. Given the significant financial burden of cancer treatments, repurposing existing drugs can reduce costs and enhance therapeutic efficacy. Metformin, an antidiabetic medication, has been investigated for its antineoplastic effects against GBM. Here, we reviewed the in vitro and in vivo effects of metformin through GBM cell viability and overall animal survival, respectively. Methods: A systematic review was conducted following the Preferred Reporting Items for Systematic Reviews and Meta-Analyses (PRISMA) guidelines. Data extraction and statistical analyses were performed using Microsoft Excel, and R. Effect sizes were calculated as standard mean differences (SMDs) for in vitro studies assessing cell viability and hazard ratios (HRs) for in vivo mice survival analyses. Results: A total of two-hundred-thirty in vitro studies and five-hundred-sixty-six in vivo studies were screened. Of these, seven in vitro and eight in vivo studies were compatible for the meta-analysis. The random-effects model showed a reduction in cell viability (SMD [95% CI]: 3.70 [2.28, 5.12]). A pooled in vivo survival analysis suggests an increase in overall survival in mice receiving metformin (p-value = 0.055). A random-effects model for overall survival supports this pooled analysis (HR [95% CI]: 0.76 [0.39, 1.46]). Additionally, metformin also showed a reduction in cell viability (SMD [CI]; 2.27 [0.79, 3.75]) and an increase in overall animal survival (HR [CI], 0.23 [0.12, 0.45]) when it was added as an adjuvant to traditional GBM therapies. Conclusions: Our findings from in vitro and in vivo studies support the potential of metformin as an antineoplastic agent against GBM. We plan to extend our analyses into clinical studies to determine if these benefits extend to human patients. Metformin has the potential to revolutionize GBM therapy if a relationship exists due to its inexpensive nature.
Full article
(This article belongs to the Special Issue The Multifaceted Roles of Glia: From Cellular Functions to Neurological Implications)
►▼
Show Figures

Figure 1
Open AccessReview
An FGFR1-Altered Intramedullary Thoracic Tumor with Unusual Clinicopathological Features: A Case Report and Literature Review
by
Sze Jet Aw, Jian Yuan Goh, Jonis M. Esguerra, Timothy S. E. Tan, Enrica E. K. Tan and Sharon Y. Y. Low
Neuroglia 2025, 6(4), 39; https://doi.org/10.3390/neuroglia6040039 - 4 Oct 2025
Abstract
►▼
Show Figures
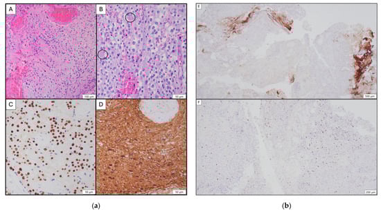
Background: Primary spinal gliomas are rare in the pediatric population. Separately, FGFR1 genomic aberrations are also uncommon in spinal cord tumors. We report a case of a previously well adolescent who presented with progressive symptoms secondary to an intramedullary tumor with unique radiological
[...] Read more.
Background: Primary spinal gliomas are rare in the pediatric population. Separately, FGFR1 genomic aberrations are also uncommon in spinal cord tumors. We report a case of a previously well adolescent who presented with progressive symptoms secondary to an intramedullary tumor with unique radiological and molecular characteristics. Case Presentation: A previously well 17-year-old male presented with worsening mid-back pain associated with lower limb long-tract signs. Magnetic resonance imaging (MRI) of his neuro-axis reported a long-segment intramedullary lesion with enhancing foci and a multi-septate syrinx containing hemorrhagic components from C4 to T12. The largest enhancement focus was centered at T7. Additional MRI sequences observed no intracranial involvement or vascular anomaly. He underwent an emergent laminoplasty and excision of the thoracic lesion. Intraoperative findings demonstrated a soft, grayish intramedullary tumor associated with extensive hematomyelia that had multiple septations. Active fenestration of the latter revealed blood products in various stages of resolution. Postoperatively, the patient recovered well, with neurological improvement. Final histology reported a circumscribed low-grade glial neoplasm. Further molecular interrogation via next-generation sequencing panels showed FGFR1 p.K656E and V561M alterations. The unique features of this case are presented and discussed in corroboration with a focused literature review. Conclusions: We highlight an interesting case of an intramedullary tumor with unusual radiological and pathological findings. Emphasis is on the importance of tissue sampling in corroboration with genomic investigations to guide clinical management.
Full article

Figure 1
Open AccessReview
The Dual Role of Astrocytes in CNS Homeostasis and Dysfunction
by
Aarti Tiwari, Satyabrata Rout, Prasanjit Deep, Chandan Sahu and Pradeep Kumar Samal
Neuroglia 2025, 6(4), 38; https://doi.org/10.3390/neuroglia6040038 - 29 Sep 2025
Cited by 1
Abstract
Astrocytes are the most common type of glial cell in the central nervous system (CNS). They have many different functions that go beyond just supporting other cells. Astrocytes were once thought of as passive parts of the CNS. However, now they are known
[...] Read more.
Astrocytes are the most common type of glial cell in the central nervous system (CNS). They have many different functions that go beyond just supporting other cells. Astrocytes were once thought of as passive parts of the CNS. However, now they are known to be active regulators of homeostasis and active participants in both neurodevelopmental and neurodegenerative processes. This article looks at the both sides of astrocytic function: how they safeguard synaptic integrity, ion and neurotransmitter balance, and blood-brain barrier (BBB) stability, as well as how astrocytes can become activated and participate in the immune response by releasing cytokines, upregulating interferons, and modulating the blood–brain barrier and inflammation disease condition. Astrocytes affect and influence neuronal function through the tripartite synapse, gliotransmission, and the glymphatic system. When someone is suffering from neurological disorders, reactive astrocytes become activated after being triggered by factors such as pro-inflammatory cytokines, chemokines, and inflammatory mediators, these reactive astrocytes, which have higher levels of glial fibrillary acidic protein (GFAP), can cause neuroinflammation, scar formation, and the loss of neurons. This review describes how astrocytes are involved in important CNS illnesses such as Alzheimer’s disease, Parkinson’s disease, multiple sclerosis, amyotrophic lateral sclerosis, and ischemia. It also emphasizes how these cells can change from neuroprotective to neurotoxic states depending on the situation. Researchers look at important biochemical pathways, such as those involving toll-like receptors, GLP-1 receptors, and TREM2, to see if they can change how astrocytes respond. Astrocyte-derived substances, including BDNF, GDNF, and IL-10, are also essential for protecting and repairing neurons. Astrocytes interact with other CNS cells, especially microglia and endothelial cells, thereby altering the neuroimmune environment. Learning about the molecular processes that control astrocytic plasticity opens up new ways to treat glial dysfunction. This review focuses on the importance of astrocytes in the normal and abnormal functioning of the CNS, which has a significant impact on the development of neurotherapeutics that focus on glia.
Full article
(This article belongs to the Special Issue The Multifaceted Roles of Glia: From Cellular Functions to Neurological Implications)
►▼
Show Figures

Figure 1
Open AccessReview
Current Knowledge in Planarian Glia and Its Future Implications in Modeling Neurodegenerative Diseases
by
David Gonzalez, Víctor Alarcón and Constanza Vásquez-Doorman
Neuroglia 2025, 6(4), 37; https://doi.org/10.3390/neuroglia6040037 - 24 Sep 2025
Abstract
Neurodegenerative diseases are characterized by progressive loss of neurons and remain largely incurable. Numerous mammalian models have been developed to study the mechanisms underlying their physiopathology; however, their high cost, complexity and time requirements highlight the need for alternative systems. Glial cells are
[...] Read more.
Neurodegenerative diseases are characterized by progressive loss of neurons and remain largely incurable. Numerous mammalian models have been developed to study the mechanisms underlying their physiopathology; however, their high cost, complexity and time requirements highlight the need for alternative systems. Glial cells are increasingly recognized as key contributors to neurodegenerative disease progression through non-cell autonomous mechanisms. Planarians possess a nervous system with diverse neuronal subtypes and glial cells, offering an attractive combination of evolutionary conservation and remarkable regenerative capacity. Unlike mammalian glia, planarian glia originate from phagocytic progenitors and exhibit distinctive molecular markers, including if-1, cali and cathepsin. Emerging evidence suggests that planarian glia may contribute to neurotransmitter homeostasis, neuron–glia interactions and phagocytic activity. Additionally, planarians display robust and quantifiable behavioral responses, making them well suited for modeling neurodegenerative disease. In this review, we summarize the current findings regarding neuronal subtypes and glial cells in planaria, emphasizing their relevance as a model system. Further research into planarian glia will be crucial for understanding their roles in pathological contexts and for exploring their potential applications in neurodegenerative diseases research. Planarian simplicity, regenerative capacity, and compatibility with high-throughput approaches position planarians as a powerful model for investigating the cellular and molecular mechanisms underlying neurodegenerative diseases and for identifying potential therapeutic targets.
Full article
(This article belongs to the Special Issue The Multifaceted Roles of Glia: From Cellular Functions to Neurological Implications)
►▼
Show Figures

Figure 1
Open AccessArticle
Insights into Parkinson’s Disease Pathology Focusing on Glial Response and Apoptosis in a Classic Rat Model of Dopaminergic Degeneration
by
Marco Aurelio M. Freire, Gabriel S. Rocha, Nelson Alessandretti M. Lemos, Rafael R. Lima, Stanley Bittar, Lissandra B. Jenkins, Daniel Falcao, Harry W. M. Steinbusch and Jose Ronaldo Santos
Neuroglia 2025, 6(3), 36; https://doi.org/10.3390/neuroglia6030036 - 18 Sep 2025
Abstract
Background/Objectives: Parkinson’s disease (PD) is the second-most prevalent neurodegenerative disorder, characterized by the progressive loss of dopaminergic neurons in the Substantia Nigra pars compacta (SNpc). Experimental models that replicate core features of PD are critical to investigate underlying mechanisms and therapeutic strategies.
[...] Read more.
Background/Objectives: Parkinson’s disease (PD) is the second-most prevalent neurodegenerative disorder, characterized by the progressive loss of dopaminergic neurons in the Substantia Nigra pars compacta (SNpc). Experimental models that replicate core features of PD are critical to investigate underlying mechanisms and therapeutic strategies. Here we evaluated the effects of an acute unilateral intrastriatal lesion induced by 6-hydroxydopamine (6-OHDA) on neuronal loss and the associated inflammatory response. Methods: Adult male Wistar rats received an injection of 6-OHDA into the right striatum, while the contralateral side received vehicle. Motor behavior was assessed by cylinder and open field tests on post-lesion days (PLDs) 7 and 14. Brains were analyzed by immunohistochemistry for tyrosine hydroxylase (TH), glial response (GFAP and Iba1), and caspase-3 at PLD +14. Results: A marked reduction in TH-immunoreactivity in the lesioned striatum was observed, with ~40% loss of TH-positive neurons in the ipsilateral SNpc. Surviving neurons displayed a 28% increase in soma size compared to the contralateral side. The lesion was accompanied by robust astrocytic and microglial activation at the injection site, as well as enhanced GFAP immunoreactivity in the ipsilateral SN pars reticulata. Apoptotic profiles emerged in the SNpc at PLD +14. Functionally, these alterations were reflected in significant motor asymmetry and decreased locomotor activity. Conclusions: Our findings demonstrate that neuroinflammation accompanies early dopaminergic degeneration following intrastriatal 6-OHDA administration, contributing to motor deficits. Future studies with older animals and broader behavioral and anatomical assessments—including regions such as the ventral tegmental area and motivational or anxiety-related paradigms—may enhance translational relevance.
Full article
(This article belongs to the Special Issue Neuroglia at the Crossroads: Emerging Insights into Neurological Disease Mechanisms)
►▼
Show Figures

Figure 1
Open AccessReview
Pro- and Anti-Inflammatory Neuropeptides and Glia: The Balance Between Neuroprotection and Neuroinflammation
by
Eli J. Futran-Sheinberg, Victoria Urbina, Sofia Nava, Daniel Sanchez, Gilberto Guzmán-Valdivia and Mario A. Zetter
Neuroglia 2025, 6(3), 35; https://doi.org/10.3390/neuroglia6030035 - 10 Sep 2025
Abstract
Neuropeptides (NPs) are small molecular messengers synthesized in large dense core vesicles (LDCVs) and secreted to the extracellular space. In the central nervous system (CNS), NPs are secreted to the synaptic space, playing crucial roles in modulating neurons, astrocytes, microglia, oligodendrocytes, and other
[...] Read more.
Neuropeptides (NPs) are small molecular messengers synthesized in large dense core vesicles (LDCVs) and secreted to the extracellular space. In the central nervous system (CNS), NPs are secreted to the synaptic space, playing crucial roles in modulating neurons, astrocytes, microglia, oligodendrocytes, and other glial cells, through G-protein-coupled receptors, thereby influencing complex multicellular responses. During neuroinflammation, NPs regulate glial and neuronal reactions to inflammatory signals, promoting resolution and preventing chronic, non-resolving inflammation. For example, NPs inhibit apoptosis in neurons and oligodendrocytes while inducing anti-inflammatory effects in microglia and astrocytes, modulating cytokine secretion. Here, we present the notion that neuropeptides could participate in neuroinflammatory progression, altering glial responses, leading to excessive, non-resolutive inflammation when dysregulated. NP signaling—whether excessive or deficient—can disrupt specific cellular processes, leading to pathological inflammation, gliosis, and functional loss—hallmarks of neurodegenerative diseases. Despite their significance, the precise mechanisms underlying NP-mediated effects remain incompletely understood. This review synthesizes experimental and translational evidence highlighting the pivotal role of NPs in resolving neuroinflammation and explores how targeting NPs or their receptors could offer novel therapeutic strategies for neurodegenerative disorders. Further research is needed to elucidate the specific signaling pathways and receptor dynamics involved, which could pave the way for innovative treatments that address the root causes of these debilitating conditions.
Full article
(This article belongs to the Special Issue Neuroglia at the Crossroads: Emerging Insights into Neurological Disease Mechanisms)
►▼
Show Figures

Figure 1
Open AccessReview
The Role of Neuroglia in Neurodevelopmental Disorders and Disruptive Behavior: A Broad Review of Current Literature
by
Samet Çetin, Serap Uysal, Dilara Girgin, Ayşenur Alp, Ecem Kiliç and Oğulcan Çiray
Neuroglia 2025, 6(3), 34; https://doi.org/10.3390/neuroglia6030034 - 10 Sep 2025
Abstract
Neurodevelopmental disorders represent a significant health concern, leading to a wide range of clinical, cognitive, and social impairments. Although the exact causes of these disorders remain unclear, genetic, epigenetic, and environmental factors all contribute to their emergence. Recently, the role of neuroglia in
[...] Read more.
Neurodevelopmental disorders represent a significant health concern, leading to a wide range of clinical, cognitive, and social impairments. Although the exact causes of these disorders remain unclear, genetic, epigenetic, and environmental factors all contribute to their emergence. Recently, the role of neuroglia in the pathophysiology of these conditions has received increasing attention. Various glial mechanisms (e.g., neuroinflammation, neurotransmitter regulation, gliosis) have been implicated in both shared and distinct features of these disorders. The identification of novel etiological factors may facilitate the development of new therapeutic modalities targeting glial dysfunction. This review provides a comprehensive overview of neuroglia and summarizes the current understanding of neurodevelopmental disorders and co-occurring disruptive behavioral disorders from a glial perspective. Furthermore, gaps in the literature are highlighted, and potential strategies for addressing these gaps and integrating findings into clinical practice are discussed.
Full article
Open AccessArticle
Astrocyte FABP7 Modulates Seizure Activity-Dependent Protein Expression in Mouse Brain
by
Adam P. Berg, Shahroz H. Tariq, Carlos C. Flores, Micah Lefton, Yuji Owada, Christopher J. Davis, Thomas N. Ferraro, Jon M. Jacobs, Marina A. Gritsenko, Yool Lee, Wheaton L. Schroeder and Jason R. Gerstner
Neuroglia 2025, 6(3), 33; https://doi.org/10.3390/neuroglia6030033 - 3 Sep 2025
Abstract
Background/Objectives: Patients with epilepsy commonly experience patterns of seizures that change with sleep/wake behavior or diurnal rhythms. The cellular and molecular mechanisms that underlie these patterns in seizure activity are not well understood but may involve non-neuronal cells, such as astrocytes. Our previous
[...] Read more.
Background/Objectives: Patients with epilepsy commonly experience patterns of seizures that change with sleep/wake behavior or diurnal rhythms. The cellular and molecular mechanisms that underlie these patterns in seizure activity are not well understood but may involve non-neuronal cells, such as astrocytes. Our previous studies show the critical importance of one specific astrocyte factor, the brain-type fatty acid binding protein Fabp7, in the regulation of time-of-day-dependent electroshock seizure threshold and neural activity-dependent gene expression in mice. Here, we examined whether Fabp7 influences differential seizure activity-dependent protein expression, by comparing Fabp7 knockout (KO) to wild-type (WT) mice under control conditions and after reaching the maximal electroshock seizure threshold (MEST). Methods: We analyzed the proteome in cortical–hippocampal extracts from MEST and SHAM groups of WT and KO mice using mass spectrometry (MS), followed by Gene Ontology (GO) and pathway analyses. GO and pathway analyses of all groups revealed a diverse set of up- and downregulated differentially expressed proteins (DEPs). Results: We identified 65 significant DEPs in the comparison of KO SHAM versus WT SHAM; 33 proteins were upregulated and 32 were downregulated. We found downregulation in mitochondrial-associated proteins in WT MEST compared to WT SHAM controls, including Slc1a4, Slc25a27, Cox7a2, Cox8a, Micos10, and Atp5mk. Several upregulated DEPs in the KO SHAM versus WT SHAM comparison were associated with the 20S proteasomal subunit, suggesting proteasomal activity is elevated in the absence of Fabp7 expression. We also observed 92 DEPs significantly altered in the KO MEST versus WT MEST, with 49 proteins upregulated and 43 downregulated. Conclusions: Together, these data suggest that the astrocyte Fabp7 regulation of time-of-day-mediated neural excitability is modulated by multiple cellular mechanisms, which include proteasomal pathways, independent of its role in activity-dependent gene expression.
Full article
(This article belongs to the Special Issue The Multifaceted Roles of Glia: From Cellular Functions to Neurological Implications)
►▼
Show Figures

Figure 1
Open AccessReview
Annexin A1 in Pain: Bridging Immune Modulation and Nociceptive Signaling
by
Luiz Philipe de Souza Ferreira, Diego Dias dos Santos, Renata Pereira Lourenço, José Marcos Sanches and Cristiane D. Gil
Neuroglia 2025, 6(3), 32; https://doi.org/10.3390/neuroglia6030032 - 28 Aug 2025
Abstract
►▼
Show Figures
Pain is a multifactorial phenomenon involving neuronal, immune, and glial components. Annexin A1 (AnxA1), a glucocorticoid-regulated protein with pro-resolving properties, has emerged as a critical modulator of pain. Present in both peripheral and central compartments, AnxA1 acts through the formyl peptide receptor FPR2/ALX
[...] Read more.
Pain is a multifactorial phenomenon involving neuronal, immune, and glial components. Annexin A1 (AnxA1), a glucocorticoid-regulated protein with pro-resolving properties, has emerged as a critical modulator of pain. Present in both peripheral and central compartments, AnxA1 acts through the formyl peptide receptor FPR2/ALX to regulate immune responses, modulate nociceptive signaling, and promote tissue homeostasis. Its mimetic peptide, Ac2–26, has demonstrated robust antinociceptive effects in various pain models, including those induced by inflammation, tissue injury, viral infection, and opioid exposure. AnxA1 modulates cytokine expression, inhibits pro-nociceptive pathways such as TRPV1 and CXCL12/CXCR4, and reprograms macrophages. In the central nervous system, it attenuates neuroinflammation and central sensitization. Notably, AnxA1 can exhibit context-dependent effects, contributing to either the resolution or exacerbation of inflammation. This review examines the molecular mechanisms by which AnxA1 bridges the immune and nervous system pathways, highlighting its therapeutic potential in pain management.
Full article

Figure 1
Open AccessReview
Microglia and Macrophages in Central Nervous System Homeostasis and Disease Progression: Guardians and Executioners
by
Hossein Chamkouri and Sahar Motlagh Mohavi
Neuroglia 2025, 6(3), 31; https://doi.org/10.3390/neuroglia6030031 - 23 Aug 2025
Cited by 1
Abstract
►▼
Show Figures
Microglia and macrophages are critical immune cells within the central nervous system (CNS), with distinct roles in development, homeostasis, and disease. Once viewed as passive bystanders, these cells are now recognized for their dynamic phenotypic plasticity, which enables them to respond to a
[...] Read more.
Microglia and macrophages are critical immune cells within the central nervous system (CNS), with distinct roles in development, homeostasis, and disease. Once viewed as passive bystanders, these cells are now recognized for their dynamic phenotypic plasticity, which enables them to respond to a wide range of physiological and pathological stimuli. During homeostasis, microglia and CNS-resident macrophages actively participate in synaptic pruning, neuronal support, myelin regulation, and immune surveillance, contributing to CNS integrity. However, under pathological conditions, these cells can adopt neurotoxic phenotypes, exacerbating neuroinflammation, oxidative stress, and neuronal damage in diseases such as Alzheimer’s, Parkinson’s, multiple sclerosis, and glioblastoma. This review synthesizes emerging insights into the molecular, epigenetic, and metabolic mechanisms that govern the behavior of microglia and macrophages, highlighting their developmental origins, niche-specific programming, and interactions with other CNS cells. We also explore novel therapeutic strategies aimed at modulating these immune cells to restore CNS homeostasis, including nanotechnology-based approaches for selective targeting, reprogramming, and imaging. Understanding the complex roles of microglia and macrophages in both health and disease is crucial for the development of precise therapies targeting neuroimmune interfaces. Continued advances in single-cell technologies and nanomedicine are paving the way for future therapeutic interventions in neurological disorders.
Full article

Figure 1
Open AccessReview
The Role of Oral Microbiota and Glial Cell Dynamics in Relation to Gender in Cardiovascular Disease Risk
by
Devlina Ghosh and Alok Kumar
Neuroglia 2025, 6(3), 30; https://doi.org/10.3390/neuroglia6030030 - 22 Aug 2025
Abstract
►▼
Show Figures
The oral microbiota, long recognized for their role in local pathologies, are increasingly implicated in systemic disorders, particularly cardiovascular disease (CVD). This review focuses on emerging evidence linking oral dysbiosis to neuroglial activation and autonomic dysfunction as key mediators of cardiovascular pathology. Pathogen-associated
[...] Read more.
The oral microbiota, long recognized for their role in local pathologies, are increasingly implicated in systemic disorders, particularly cardiovascular disease (CVD). This review focuses on emerging evidence linking oral dysbiosis to neuroglial activation and autonomic dysfunction as key mediators of cardiovascular pathology. Pathogen-associated molecular patterns, as well as gingipains and leukotoxin A from Porphyromonas gingivalis, Fusobacterium nucleatum, Treponema denticola, Aggregatibacter actinomycetemcomitans, etc., disrupt the blood–brain barrier, activate glial cells in autonomic centers, and amplify pro-inflammatory signaling. This glia driven sympathetic overactivity fosters hypertension, endothelial injury, and atherosclerosis. Crucially, sex hormones modulate these neuroimmune interactions, with estrogen and testosterone shaping microbial composition, glial reactivity, and cardiovascular outcomes in distinct ways. Female-specific factors such as early menarche, pregnancy, adverse pregnancy outcomes, and menopause exert profound influences on oral microbial ecology, systemic inflammation, and long-term CVD risk. By mapping this oral–brain–heart axis, this review highlights the dual role of oral microbial virulence factors and glial dynamics as mechanistic bridges linking periodontal disease to neurogenic cardiovascular regulation. Integrating salivary microbiome profiling with glial biomarkers [e.g., GFAP (Glial Fibrillary Acidic Protein) and sTREM2 (soluble Triggering Receptor Expressed on Myeloid cells 2)] offers promising avenues for sex-specific precision medicine. This framework not only reframes oral dysbiosis as a modifiable cardiovascular risk factor, but also charts a translational path toward gender tailored diagnostics and therapeutics to reduce the global CVD burden.
Full article

Figure 1
Open AccessReview
Glial Remodeling in the Ventricular–Subventricular Zone and Corpus Callosum Following Hydrocephalus
by
Tania Campos-Ordoñez, Brenda Nayeli Ortega-Valles and Oscar González-Pérez
Neuroglia 2025, 6(3), 29; https://doi.org/10.3390/neuroglia6030029 - 26 Jul 2025
Abstract
►▼
Show Figures
Hydrocephalus is a neurological disorder caused by cerebrospinal fluid (CSF) accumulation due to impaired production, circulation, or reabsorption from trauma, neurocysticercosis, neoplasms, subarachnoid hemorrhage, or genetic mutations. This review examines glial remodeling in the ventricular–subventricular zone (V-SVZ) and corpus callosum (CC) in response
[...] Read more.
Hydrocephalus is a neurological disorder caused by cerebrospinal fluid (CSF) accumulation due to impaired production, circulation, or reabsorption from trauma, neurocysticercosis, neoplasms, subarachnoid hemorrhage, or genetic mutations. This review examines glial remodeling in the ventricular–subventricular zone (V-SVZ) and corpus callosum (CC) in response to hydrocephalus, as ventricular enlargement leads to structural alterations that impact cellular composition in the V-SVZ and CC of patients with hydrocephalus. Animal models of hydrocephalus indicate V-SVZ niche remodeling, ependymal thinning, reduced neuroblast proliferation, increased microglia and astrocytes, increased cell death, and enlarged extracellular matrix structures (fractones). Alterations in the corpus callosum encompass a reduction in width, abnormalities in myelin, astrogliosis, microglial reactivity, a decreased expression of myelin-related proteins (MOG and CNPase), and a reduced number of oligodendrocytes. Additionally, this narrative review highlights important cellular and molecular findings before and after CSF diversion surgery. This primary treatment restores the ventricular size but does not completely reverse glial changes, indicating that ongoing neuroinflammatory processes may interfere with neural recovery.
Full article

Figure 1
Open AccessReview
Nanomedicine-Based Advances in Brain Cancer Treatment—A Review
by
Borish Loushambam, Mirinrinchuiphy M. K. Shimray, Reema Khangembam, Venkateswaran Krishnaswami and Sivakumar Vijayaraghavalu
Neuroglia 2025, 6(3), 28; https://doi.org/10.3390/neuroglia6030028 - 18 Jul 2025
Cited by 3
Abstract
►▼
Show Figures
Brain cancer is a heterogeneous collection of malignant neoplasms, such as glioblastoma multiforme (GBM), astrocytomas and medulloblastomas, with high morbidity and mortality. Its treatment is complicated by the tumor’s site, infiltrative growth mode and selective permeability of the blood–brain barrier (BBB). During tumor
[...] Read more.
Brain cancer is a heterogeneous collection of malignant neoplasms, such as glioblastoma multiforme (GBM), astrocytomas and medulloblastomas, with high morbidity and mortality. Its treatment is complicated by the tumor’s site, infiltrative growth mode and selective permeability of the blood–brain barrier (BBB). During tumor formation, the BBB dynamically remodels into the blood–brain tumor barrier (BBTB), disrupting homeostasis and preventing drug delivery. Furthermore, the TME (Tumor Micro Environment) supports drug resistance, immune evasion and treatment failure. This review points out the ways in which nanomedicine overcomes these obstacles with custom-designed delivery systems, sophisticated diagnostics and personalized therapies. Traditional treatments fail through a lack of BBB penetration, non-specific cytotoxicity and swift tumor adaptation. Nanomedicine provides greater drug solubility, protection against enzymatic degradation, target drug delivery and control over the release. Nanotheranostics’ confluence of therapeutic and diagnostic modalities allows for dynamic adjustment and real-time monitoring. Nanotechnology has paved the way for the initiation of a new era in precision neuro-oncology. Transcending the limitations of conventional therapy protocols, nanomedicine promises to deliver better outcomes by way of enhanced targeting, BBB penetration and real-time monitoring. Multidisciplinary collaboration, regulatory advancements and patient-centered therapy protocols customized to the individual patient’s tumor biology will be necessary to facilitate translation success in the future.
Full article

Figure 1
Highly Accessed Articles
Latest Books
E-Mail Alert
News
Topics
Topic in
Brain Sciences, Neuroglia, Neurology International, NeuroSci
Advances in Motor Control and Neuromotor Interfacing in Sports
Topic Editors: Eleftherios Paraskevopoulos, Maria Papandreou, Dimitris G. Mandalidis, George M. PamborisDeadline: 31 May 2026
Topic in
Brain Sciences, IJMS, Life, Neuroglia, NeuroSci
The Blood-Brain Barrier: Cellular Collaboration and Neurological Health
Topic Editors: Richard A. Hawkins, Anna-Maria BarciszewskaDeadline: 31 May 2027
Conferences
Special Issues
Special Issue in
Neuroglia
The Multifaceted Roles of Glia: From Cellular Functions to Neurological Implications, 2nd Edition
Guest Editor: Penha BarradasDeadline: 30 April 2026
Special Issue in
Neuroglia
Glial Dynamics in Neurological Disorders: From Molecular Mechanisms to Therapeutic Perspectives
Guest Editor: Héctor Romo-ParraDeadline: 29 June 2026
Special Issue in
Neuroglia
Neuroglia at the Crossroads: Emerging Insights into Neurological Disease Mechanisms
Guest Editor: Ruoli ChenDeadline: 30 June 2026




