Stable Non-Competitive DPP-IV Inhibitory Hexapeptide from Parkia timoriana Seeds: A Candidate for Functional Food Development in Type 2 Diabetes
Abstract
1. Introduction
2. Materials and Methods
2.1. Materials and Chemicals
2.2. SDS-PAGE Profiling and Protein Extraction of Tree Bean Seeds
2.3. Enzymatic Hydrolysis of Tree Bean Seed Proteins
2.4. Determination of Degree of Hydrolysis (DH)
2.5. DPP-IV Inhibitory Activity Assay
2.6. Sequential Bioassay-Guided Fractionation TBSP SGI Hydrolysate
2.7. LC-MS/MS Peptide Analysis, Peptide Synthesis, and In Silico Assessment
2.8. DPP-IV Inhibition Pattern of AF6
2.9. Molecular Docking Simulation
2.10. Peptide Stability Toward SGI and DPP-IV
2.11. Statistical Analysis
3. Results and Discussion
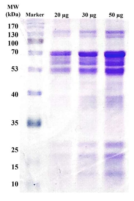
3.1. SDS-PAGE Protein Profiling of Tree Bean Seed Protein Isolate
3.2. Degree of Hydrolysis and DPP-IV Inhibitory Potential of Tree Bean Seed Protein Hydrolysates
3.3. Sequential DPP-IV Assay Guided-Fractionation of TBSP SGI Hydrolysate
3.4. LC-MS/MS Peptide Identification from RP-HPLC Fraction H5 and Bioactivity Confirmation
3.5. Mechanism of AF6 Inhibition and Molecular Interactions with DPP-IV
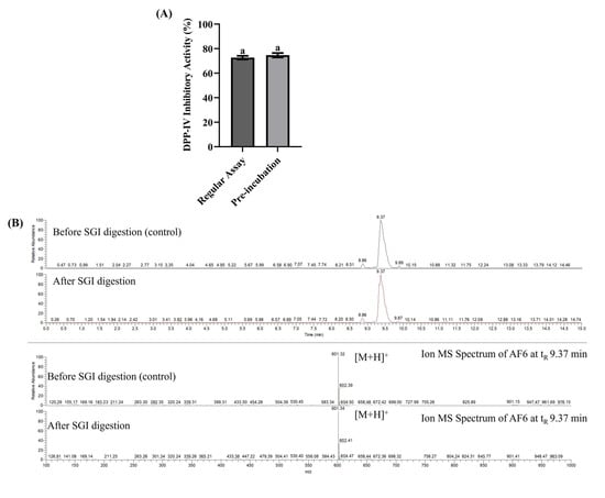
3.6. Stability of AF6 Toward DPP-IV and Gastrointestinal Proteases
4. Conclusions
Author Contributions
Funding
Data Availability Statement
Acknowledgments
Conflicts of Interest
References
- Majid, A.; Lakshmikanth, M.; Lokanath, N.K.; Poornima Priyadarshini, C.G. Generation, characterization and molecular binding mechanism of novel dipeptidyl peptidase-4 inhibitory peptides from sorghum bicolor seed protein. Food Chem. 2022, 369, 130888. [Google Scholar] [CrossRef] [PubMed]
- Angami, T.; Bhagawati, R.; Touthang, L.; Makdoh, B.; Nirmal; Lungmuana; Bharati, K.A.; Silambarasan, R.; Ayyanar, M. Traditional uses, phytochemistry and biological activities of Parkia timoriana (DC.) Merr., an underutilized multipurpose tree bean: A review. Genet. Resour. Crop Evol. 2018, 65, 679–692. [Google Scholar] [CrossRef]
- Sathya, A.; Siddhuraju, P. Effect of processing methods on compositional evaluation of underutilized legume, Parkia roxburghii G. Don (yongchak) seeds. J. Food Sci. Technol. 2015, 52, 6157–6169. [Google Scholar] [CrossRef]
- Hidayati, A.N.; Zuhud, E.A.M.; Andarwulan, N. Population structure, vegetation composition and economic potentials of Parkia timoriana in Meru Betiri National Park, East Java, Indonesia. Biodiversitas J. Biol. Divers. 2020, 21, 210126. [Google Scholar] [CrossRef]
- Devi, N.L.; Singha, D.; Tripathi, S.K. Phenology, population structure and carbon sequestration potential of Parkia timoriana: A heirloom tree in traditional Meitei homegarden of northeast India. Vegetos 2020, 33, 222–228. [Google Scholar] [CrossRef]
- Saleh, M.S.M.; Jalil, J.; Zainalabidin, S.; Asmadi, A.Y.; Mustafa, N.H.; Kamisah, Y. Genus Parkia: Phytochemical, medicinal uses, and pharmacological properties. Int. J. Mol. Sci. 2021, 22, 618. [Google Scholar] [CrossRef] [PubMed]
- Saeedi, P.; Petersohn, I.; Salpea, P.; Malanda, B.; Karuranga, S.; Unwin, N.; Colagiuri, S.; Guariguata, L.; Motala, A.A.; Ogurtsova, K.; et al. Global and regional diabetes prevalence estimates for 2019 and projections for 2030 and 2045: Results from the International Diabetes Federation Diabetes Atlas, 9th edition. Diabetes Res. Clin. Pract. 2019, 157, 107843. [Google Scholar] [CrossRef] [PubMed]
- Bouslamti, M.; Loukili, E.H.; Elrherabi, A.; El Moussaoui, A.; Chebaibi, M.; Bencheikh, N.; Nafidi, H.-A.; Bin Jardan, Y.A.; Bourhia, M.; Bnouham, M.; et al. Phenolic Profile, Inhibition of α-Amylase and α-Glucosidase Enzymes, and Antioxidant Properties of Solanum elaeagnifolium Cav. (Solanaceae): In Vitro and In Silico Investigations. Processes 2023, 11, 1384. [Google Scholar] [CrossRef]
- Fitria, F.; Annisa, A.; Nikita, S.; Ranna, C. Alpha glukosidase inhibitory test and total phenolic content of ethanol extract of parkia speciosa plant. Sci. Technol. Indones. 2019, 4, 1–4. [Google Scholar] [CrossRef]
- Jamaluddin, F.; Mohamed, S.; Lajis, M.N. Hypoglycaemic effect of Parkia speciosa seeds due to the synergistic action of β-sitosterol and stigmasterol. Food Chem. 1994, 49, 339–345. [Google Scholar] [CrossRef]
- Azemi, A.K.; Nordin, M.L.; Hambali, K.A.; Noralidin, N.A.; Mokhtar, S.S.; Rasool, A.H.G. Phytochemical Contents and Pharmacological Potential of Parkia speciosa Hassk. for Diabetic Vasculopathy: A Review. Antioxidants 2022, 11, 431. [Google Scholar] [CrossRef]
- Kshirsagar, A.D.; Aggarwal, A.S.; Harle, U.N.; Deshpande, A.D. DPP IV inhibitors: Successes, failures and future prospects. Diabetes Metab. Syndr. Clin. Res. Rev. 2011, 5, 105–112. [Google Scholar] [CrossRef]
- Odeyemi, S.; Dewar, J. In Vitro Antidiabetic Activity Affecting Glucose Uptake in HepG2 Cells Following Their Exposure to Extracts of Lauridia tetragona (L.f.) R.H. Archer. Processes 2020, 8, 33. [Google Scholar] [CrossRef]
- Nong, N.T.P.; Chen, Y.-K.; Shih, W.-L.; Hsu, J.-L. Characterization of novel dipeptidyl peptidase-IV inhibitory peptides from soft-shelled turtle yolk hydrolysate using orthogonal bioassay-guided fractionations coupled with in vitro and in silico study. Pharmaceuticals 2020, 13, 308. [Google Scholar] [CrossRef] [PubMed]
- Sutopo, C.C.Y.; Hung, W.-T.; Hsu, J.-L. A simple tandem bioassay-guided SCX-RP SPE fractionation for efficient active peptide screening from Inca nut cake protein hydrolysate. J. Chromatogr. B 2024, 1236, 124061. [Google Scholar] [CrossRef]
- Lee, C.-W.; Sutopo, C.C.Y.; Lee, J.-Y.; Hung, W.-T.; Chen, Y.-K.; Hsu, J.-L. Antidiabetic potential of chinese giant salamander (Andrias davidianus)-derived peptide: Isolation and characterization of DPP4 inhibitory peptides. Processes 2025, 13, 453. [Google Scholar] [CrossRef]
- Chakravorty, P.; Das, A.B. Impact of ultrasound-assisted extraction on functional, thermal, and structural properties of Parkia timoriana seed protein. J. Food Meas. Charact. 2023, 17, 5288–5298. [Google Scholar] [CrossRef]
- Ralte, L.; Khiangte, L.; Thangjam, N.M.; Kumar, A.; Singh, Y.T. GC–MS and molecular docking analyses of phytochemicals from the underutilized plant, Parkia timoriana revealed candidate anti-cancerous and anti-inflammatory agents. Sci. Rep. 2022, 12, 3395. [Google Scholar] [CrossRef]
- Nongonierma, A.B.; FitzGerald, R.J. Investigation of the potential of hemp, pea, rice and soy protein hydrolysates as a source of dipeptidyl peptidase IV (DPP-IV) inhibitory peptides. Food Dig. Res. Curr. Opin. 2015, 6, 19–29. [Google Scholar] [CrossRef]
- Rivero-Pino, F.; Espejo-Carpio, F.J.; Guadix, E.M. Production and identification of dipeptidyl peptidase IV (DPP-IV) inhibitory peptides from discarded Sardine pilchardus protein. Food Chem. 2020, 328, 127096. [Google Scholar] [CrossRef]
- Wu, W.; Wang, L.; Qiu, J.; Zhuang, Z.; Qin, F.; Tan, Q.; Wang, Y.; Wu, L. Exploring dipeptidyl peptidase-IV inhibitory peptides from tartary buckwheat protein: A study of hydrolysis, fractionation, and molecular interactions. J. Food Sci. Technol. 2024, 89, 9108–9119. [Google Scholar] [CrossRef]
- Rivero-Pino, F.; Espejo-Carpio, F.J.; Guadix, E.M. Identification of dipeptidyl peptidase IV (DPP-IV) inhibitory peptides from vegetable protein sources. Food Chem. 2021, 354, 129473. [Google Scholar] [CrossRef] [PubMed]
- González-Montoya, M.; Hernández-Ledesma, B.; Mora-Escobedo, R.; Martínez-Villaluenga, C. Bioactive Peptides from Germinated Soybean with Anti-Diabetic Potential by Inhibition of Dipeptidyl Peptidase-IV, α-Amylase, and α-Glucosidase Enzymes. Int. J. Mol. Sci. 2018, 19, 2883. [Google Scholar] [CrossRef] [PubMed]
- Nongonierma, A.B.; FitzGerald, R.J. Inhibition of dipeptidyl peptidase IV (DPP-IV) by proline containing casein-derived peptides. J. Funct. Foods 2013, 5, 1909–1917. [Google Scholar] [CrossRef]
- Manadas, B.; Mendes, V.M.; English, J.; Dunn, M.J. Peptide fractionation in proteomics approaches. Expert Rev. Proteom. 2010, 7, 655–663. [Google Scholar] [CrossRef]
- Chen, X.; Zhang, W.; Pan, Y.; Ran, J.; Liu, X.; Yu, X.; He, Q. Preparation, identification, and molecular mechanism of novel DPP-IV inhibitory peptides from pumpkin seed: In silico screening and experimental validation. Food Chem. 2025, 486, 144530. [Google Scholar] [CrossRef]
- Theysgeur, S.; Cudennec, B.; Deracinois, B.; Perrin, C.; Guiller, I.; Lepoudère, A.; Flahaut, C.; Ravallec, R. New bioactive peptides identified from a tilapia byproduct hydrolysate exerting effects on DPP-IV activity and intestinal hormones regulation after canine gastrointestinal simulated digestion. Molecules 2021, 26, 136. [Google Scholar] [CrossRef]
- Mohd Salim, M.A.S.; Gan, C.-Y. Dual-function peptides derived from egg white ovalbumin: Bioinformatics identification with validation using in vitro assay. J. Funct. Foods 2020, 64, 103618. [Google Scholar] [CrossRef]
- Zhang, S.; Li, Z.-m.; Feng, Y.; Yu, S.; Li, Z.; Zhang, D.; Wang, C. DPP-IV Inhibitory Peptides from Coix Seed Prolamins: Release, Identification, and Analysis of the Interaction between Key Residues and Enzyme Domains. J. Agric. Food Chem. 2023, 71, 14575–14592. [Google Scholar] [CrossRef]
- Mojica, L.; Luna-Vital, D.A.; González de Mejía, E. Characterization of peptides from common bean protein isolates and their potential to inhibit markers of type-2 diabetes, hypertension and oxidative stress. J. Sci. Food Agric. 2017, 97, 2401–2410. [Google Scholar] [CrossRef]
- Hung, W.-T.; Sutopo, C.C.Y.; Wu, M.-L.; Hsu, J.-L. Discovery and characterization of a dual-function peptide derived from bitter gourd seed protein using two orthogonal bioassay-guided fractionations coupled with in silico analysis. Pharmaceuticals 2023, 16, 1629. [Google Scholar] [CrossRef] [PubMed]
- Hung, W.-T.; Sutopo, C.C.Y.; Mahatmanto, T.; Wu, M.-L.; Hsu, J.-L. Exploring the Antidiabetic and Antihypertensive Potential of Peptides Derived from Bitter Melon Seed Hydrolysate. Biomedicines 2024, 12, 2452. [Google Scholar] [CrossRef] [PubMed]
- Mu, X.; Wang, R.; Cheng, C.; Ma, Y.; Zhang, Y.; Lu, W. Preparation, structural properties, and in vitro and in vivo activities of peptides against dipeptidyl peptidase IV (DPP-IV) and α-glucosidase: A general review. Crit. Rev. Food Sci. Nutr. 2024, 64, 9844–9858. [Google Scholar] [CrossRef]
- Amanatidou, D.; Eleftheriou, P.; Petrou, A.; Geronikaki, A.; Lialiaris, T. Τhiazolidine-4-one derivatives with variable modes of inhibitory action against DPP4, a drug target with multiple activities and established role in diabetes mellitus type II. Pharmaceuticals 2025, 18, 52. [Google Scholar] [CrossRef]
- De Meester, I.; Durinx, C.; Bal, G.; Proost, P.; Struyf, S.; Goossens, F.; Augustyns, K.; Scharpé, S. Natural Substrates of Dipeptidyl Peptidase IV. In Cellular Peptidases in Immune Functions and Diseases 2; Langner, J., Ansorge, S., Eds.; Springer US: Boston, MA, USA, 2002. [Google Scholar] [CrossRef]
- Fujita, H.; Yoshikawa, M. LKPNM: A prodrug-type ACE-inhibitory peptide derived from fish protein. Immunopharmacology 1999, 44, 123–127. [Google Scholar] [CrossRef]
- Power, O.; Nongonierma, A.B.; Jakeman, P.; FitzGerald, R.J. Food protein hydrolysates as a source of dipeptidyl peptidase IV inhibitory peptides for the management of type 2 diabetes. Proc. Nutr. Soc. 2014, 73, 34–46. [Google Scholar] [CrossRef]
- Müller, T.D.; Finan, B.; Bloom, S.R.; D’Alessio, D.; Drucker, D.J.; Flatt, P.R.; Fritsche, A.; Gribble, F.; Grill, H.J.; Habener, J.F.; et al. Glucagon-like peptide 1 (GLP-1). Mol. Metab. 2019, 30, 72–130. [Google Scholar] [CrossRef] [PubMed]









Disclaimer/Publisher’s Note: The statements, opinions and data contained in all publications are solely those of the individual author(s) and contributor(s) and not of MDPI and/or the editor(s). MDPI and/or the editor(s) disclaim responsibility for any injury to people or property resulting from any ideas, methods, instructions or products referred to in the content. |
© 2025 by the authors. Licensee MDPI, Basel, Switzerland. This article is an open access article distributed under the terms and conditions of the Creative Commons Attribution (CC BY) license (https://creativecommons.org/licenses/by/4.0/).
Share and Cite
Abida, S.H.; Sutopo, C.C.Y.; Hung, W.-T.; Nong, N.T.P.; Mahatmanto, T.; Hsu, J.-L. Stable Non-Competitive DPP-IV Inhibitory Hexapeptide from Parkia timoriana Seeds: A Candidate for Functional Food Development in Type 2 Diabetes. Processes 2025, 13, 3079. https://doi.org/10.3390/pr13103079
Abida SH, Sutopo CCY, Hung W-T, Nong NTP, Mahatmanto T, Hsu J-L. Stable Non-Competitive DPP-IV Inhibitory Hexapeptide from Parkia timoriana Seeds: A Candidate for Functional Food Development in Type 2 Diabetes. Processes. 2025; 13(10):3079. https://doi.org/10.3390/pr13103079
Chicago/Turabian StyleAbida, Sakinah Hilya, Christoper Caesar Yudho Sutopo, Wei-Ting Hung, Nhung Thi Phuong Nong, Tunjung Mahatmanto, and Jue-Liang Hsu. 2025. "Stable Non-Competitive DPP-IV Inhibitory Hexapeptide from Parkia timoriana Seeds: A Candidate for Functional Food Development in Type 2 Diabetes" Processes 13, no. 10: 3079. https://doi.org/10.3390/pr13103079
APA StyleAbida, S. H., Sutopo, C. C. Y., Hung, W.-T., Nong, N. T. P., Mahatmanto, T., & Hsu, J.-L. (2025). Stable Non-Competitive DPP-IV Inhibitory Hexapeptide from Parkia timoriana Seeds: A Candidate for Functional Food Development in Type 2 Diabetes. Processes, 13(10), 3079. https://doi.org/10.3390/pr13103079

