Investigating the Phytochemistry and Underlying Glycemic Control Mechanisms of Litchi chinensis Sonn. (Litchi) Peel Ethyl Acetate Extract in a Fructose/Streptozotocin Diabetic Model of Rats
Highlights
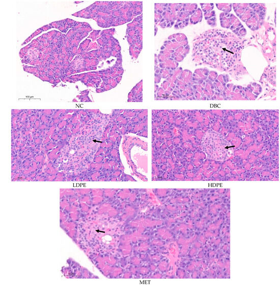
- The ethyl acetate extract of litchi peel improved glycemic control in a fructose/STZ rat model of diabetes by improving pancreatic histology, antioxidant status, insulin secretion, glycogen storage, and cellular glucose uptake and utilization.
- Bioactive flavonoids including catechins and proanthocyanidins may be key phytochemicals influencing the extract’s bioactivity.
- The extract could be a source of bioactive flavonoids improving glycemic control in diabetes and mitigating oxidative stress-related pathologies.
Abstract
1. Introduction
2. Materials and Methods
2.1. Plant Material and Extraction
2.2. LC-MS Analysis of the Ethyl Acetate Extract of Litchi Peel
2.3. Animals
2.4. Diabetes Induction
2.5. Treatment
- NC group: The vehicle of the extract or metformin (5% DMSO solution);
- DBC group: The vehicle of the extract or metformin (5% DMSO solution);
- LDPE: 150 mg/kg bw of extract dissolved in 5% DMSO solution;
- HDPE: 300 mg/kg bw of extract dissolved in 5% DMSO solution;
- MET: 200 mg/kg bw of Metformin hydrochloride (Merck, Johannesburg South Africa) dissolved in dissolved in 5% DMSO solution.
2.6. Measurement of Fluid Intake, Food Intake, and Non-Fasting Blood Glucose
2.7. Measurement of Oral Glucose Tolerance
2.8. Euthanization and Sampling
2.9. Measurement of Liver and Muscle Glycogen Content
2.10. Measurement of Serum Insulin
2.11. Tissue Homogenization and Protein Estimation
2.12. Measurement of Muscle Tissue Hexokinase Activity
2.13. Measurement of Muscle Tissue Akt Phosphorylation
2.14. Measurement of Lipid Peroxidation
2.15. Measurement of Superoxide Dismutase Activity
2.16. Measurement of Catalase Activity
2.17. Histopathological Examination of Pancreatic Tissues
2.18. Data and Statistics Presentation
3. Results and Discussion
3.1. Phytochemical Profile of Litchi Peel Ethyl Acetate Extracts
3.2. Glycemic Control and Antioxidant Potential of Litchi Peel Ethyl Acetate
4. Conclusions
Author Contributions
Funding
Institutional Review Board Statement
Informed Consent Statement
Data Availability Statement
Conflicts of Interest
References
- International Diabetes Federation. IDF Diabetes Atlas, 10th ed.; International Diabetes Federation: Brussels, Belgium, 2021; Available online: https://diabetesatlas.org/idfawp/resource-files/2021/07/IDF_Atlas_10th_Edition_2021.pdf (accessed on 2 January 2022).
- Sanyaolu, A.; Marinkovic, A.; Prakash, S.; Williams, M.; Dixon, Y.; Okorie, C.; Orish, N.; Izurieta, R. Diabetes mellitus: An overview of the types, prevalence, comorbidity, complication, genetics, economic implication, and treatment. World J. Meta-Anal. 2023, 11, 134–143. [Google Scholar] [CrossRef]
- Zhu, J.; Chen, M.; Pang, Y.; Li, S. Impact of lifestyle education for type 2 diabetes mellitus: Protocol for a randomized controlled trial. J. Med. 2021, 100, e24208. [Google Scholar] [CrossRef] [PubMed]
- Galicia-Garcia, U.; Benito-Vicente, A.; Jebari, S.; Larrea-Sebal, A.; Siddiqi, H.; Uribe, K.; Ostolaza, H.; Martín, C. Pathophysiology of Type 2 Diabetes Mellitus. Int. J. Mol. Sci. 2020, 21, 6275. [Google Scholar] [CrossRef] [PubMed]
- Bhatti, S.; Sehrawat, A.; Mishra, J.; Sidhu, S.; Navik, U.; Khullar, N.; Kumar, S.; Bhatti, K.; Reddy, H. Oxidative stress in the pathophysiology of type 2 diabetes and related complications: Current therapeutics strategies and future perspectives. Free Radic. Biol. Med. 2022, 184, 114–134. [Google Scholar] [CrossRef]
- Pizzino, G.; Irrera, N.; Cucinotta, M.; Pallio, G.; Mannino, F.; Arcoraci, V.; Squadrito, F.; Altavilla, D.; Bitto, A. Oxidative Stress: Harms and Benefits for Human Health. Oxid. Med. Cell. Longev. 2017, 2017, 8416763. [Google Scholar] [CrossRef]
- Afam, J.; Silungwe, H.; Takalani, T.; Omolola, O.; Udeh, O.; Anyasi, A. Antioxidant-rich natural fruit and vegetable products and human health. Int. J. Food Prop. 2021, 24, 41–67. [Google Scholar]
- Zhao, L.; Wang, K.; Wang, K.; Zhu, J.; Hu, Z. Nutrient components, health benefits, and safety of litchi (Litchi chinensis Sonn.): A review. Compr. Rev. Food Sci. Food Saf. 2020, 19, 2139–2163. [Google Scholar] [CrossRef]
- Chukwuma, I.; Izu, O.; Chukwuma, S.; Samson, S.; Makhafola, J.; Erukainure, L. A review on the medicinal potential, toxicology, and phytochemistry of litchi fruit peel and seed. J. Food Biochem. 2021, 45, e13997. [Google Scholar] [CrossRef]
- Cano-Gómez, I.; Alonso-Castro, J.; Carranza-Alvarez, C.; Wong-Paz, E. Advancements in Litchi chinensis Peel Processing: A Scientific Review of Drying, Extraction, and Isolation of Its Bioactive Compounds. Foods 2024, 13, 1461. [Google Scholar] [CrossRef]
- Zhao, M.; Yang, B.; Wang, J.; Li, B.; Jiang, Y. Identification of the major flavonoids from pericarp tissues of lychee fruit in relation to their antioxidant activities. Food Chem. 2006, 98, 539–544. [Google Scholar] [CrossRef]
- Tanaka, R.; de Souza Mataruco, L.; Frota, G.; Coelho, S.; dos Santos Lima, M.; Pimentel, C.; Barão, E. Lychee peel extract obtained by ultrasound-assisted extraction: Bioactive compounds and functional properties. Acta Sci. Technol. 2024, 46, e66447. [Google Scholar] [CrossRef]
- Derosa, G.; Maffioli, P. α-Glucosidase inhibitors and their use in clinical practice. Arch. Med. 2012, 8, 899–906. [Google Scholar] [CrossRef]
- Rong, S.; Hu, X.; Zhao, S.; Zhao, Y.; Xiao, X.; Bao, W.; Liu, L. Procyanidins extracted from the litchi pericarp ameliorate atherosclerosis in ApoE knockout mice: Their effects on nitric oxide bioavailability and oxidative stress. Food Funct. 2017, 8, 4210–4216. [Google Scholar] [CrossRef] [PubMed]
- Queiroz, R.; Abreu, C.; Rocha, A.; Sousa, V.; Fráguas, M.; Braga, A.; César, P. Lychee (Litchi chinensis Sonn.) peel flour: Effects on hepatoprotection and dyslipidemia induced by a hypercholesterolemic diet. An. Acad. Bras. Ciências 2018, 90, 267–281. [Google Scholar] [CrossRef] [PubMed]
- Yang, Z.; Zhang, L.; Liu, J.; Li, D. Litchi Pericarp Extract Treats Type 2 Diabetes Mellitus by Regulating Oxidative Stress, Inflammatory Response, and Energy Metabolism. Antioxidants. 2024, 13, 495. [Google Scholar] [CrossRef]
- Prasad, N.; Chew, Y.; Khoo, E.; Kong, W.; Azlan, A.; Ismail, A. Antioxidant capacities of peel, pulp, and seed fractions of Canarium odontophyllum Miq. fruit. J. Biomed. Biotechnol. 2010, 2010, 871379. [Google Scholar] [CrossRef]
- Chauhan, S.; Gupta, S.; Yasmin, S.; Saini, M. Antihyperglycemic and Antioxidant Potential of Plant Extract of Litchi chinensis and Glycine max. Int. J. Nutr. Pharmacol. Neurol. Dis. 2021, 11, 225–233. [Google Scholar] [CrossRef]
- Yang, R.; Tang, X.; Zhou, Y.; Wu, Q.; Sun, Y. Effect of ethyl acetate extracts from litchi fruit on the Th1/Th2 cell balance in mice. Mod. Food Sci. Technol. 2013, 29, 1467–1470. [Google Scholar]
- Wilson, D.; Islam, S. Fructose-fed streptozotocin-injected rat: An alternative model for type 2 diabetes. Pharmacol. Rep. 2012, 64, 129–139. [Google Scholar] [CrossRef]
- Sakaguchi, K.; Takeda, K.; Maeda, M.; Ogawa, W.; Sato, T.; Okada, S.; Ohnishi, Y.; Nakajima, H.; Kashiwagi, A. Glucose area under the curve during oral glucose tolerance test as an index of glucose intolerance. Diabetol. Int. 2015, 7, 53–58. [Google Scholar] [CrossRef]
- Lo, S.; Russel, C.; and Taylor, W. Determination of glycogen in small tissue samples. J. Appl. Physiol. 1970, 28, 234–236. [Google Scholar] [CrossRef] [PubMed]
- Matowane, R.; Mashele, S.; Makhafola, J.; Chukwuma, I. The ameliorative effect of zinc acetate with caffeic acid in the animal model of type 2 diabetes. Biomed. Pharmacother. 2023, 163, 114779. [Google Scholar] [CrossRef] [PubMed]
- Tshane, L.; Mashele, S.; Matowane, R.; Bonnet, L.; Makhafola, J.; Noreljaleel, M.; Swain, S.; Sekhoacha, M.; Chukwuma, I. Zinc(II) mineral increased the in vitro, cellular and ex vivo antihyperglycemic and antioxidative pharmacological profile of p-hydroxybenzoic acid upon complexation. J. Food Biochem. 2021, 45, e13609. [Google Scholar] [CrossRef] [PubMed]
- Li, J.; Jiang, Y. Litchi flavonoids: Isolation, identification and biological activity. Molecules 2007, 12, 745–758. [Google Scholar] [CrossRef] [PubMed]
- Nigro, N.; Grossmann, M.; Chiang, C.; Inder, J. Polyuria-polydipsia syndrome: A diagnostic challenge. Intern. Med. J. 2018, 48, 244–253. [Google Scholar] [CrossRef]
- Lenzen, S. The mechanisms of alloxan- and streptozotocin-induced diabetes. Diabetologia 2008, 51, 216–226. [Google Scholar] [CrossRef]
- Lee, E.; Park, S. The Emerging Roles of Antioxidant Enzymes by Dietary Phytochemicals in Vascular Diseases. Life 2021, 11, 199. [Google Scholar] [CrossRef]
- Patanè, T.; Putaggio, S.; Tellone, E.; Barreca, D.; Ficarra, S.; Maffei, C.; Calderaro, A.; Laganà, G. Catechins and Proanthocyanidins Involvement in Metabolic Syndrome. Int. J. Mol. Sci. 2023, 24, 9228. [Google Scholar] [CrossRef]
- Yang, K.; Chan, C. Epicatechin potentiation of glucose-stimulated insulin secretion in INS-1 cells is not dependent on its antioxidant activity. Acta Pharmacol. Sin. 2018, 39, 893–902. [Google Scholar] [CrossRef]
- Martin, M.Á.; Goya, L.; Ramos, S. Antidiabetic actions of cocoa flavanols. Mol. Nutr. Food Res. 2016, 60, 1756–1769. [Google Scholar] [CrossRef]
- Taskinen, R.; Packard, J.; Borén, J. Dietary Fructose and the Metabolic Syndrome. Nutrients 2019, 11, 1987. [Google Scholar] [CrossRef] [PubMed]
- Röder, V.; Wu, B.; Liu, Y.; Han, W. Pancreatic regulation of glucose homeostasis. Exp. Mol. Med. 2016, 48, e219. [Google Scholar] [CrossRef] [PubMed]
- Wasserman, H. Insulin, Muscle Glucose Uptake, and Hexokinase: Revisiting the Road Not Taken. Physiology 2022, 37, 115–127. [Google Scholar] [CrossRef] [PubMed]
- Chang, L.; Chiang, H.; Saltiel, R. Insulin Signaling and the Regulation of Glucose Transport. Mol. Med. 2004, 10, 65–71. [Google Scholar] [CrossRef]
- Rena, G.; Hardie, D.G.; Pearson, E.R. The mechanisms of action of metformin. Diabetologia 2017, 60, 1577–1585. [Google Scholar] [CrossRef]






| Identified Compounds | Ontology | ART (min) | AMz | Total Score | Peak Height | Conc. (mg/kg) |
|---|---|---|---|---|---|---|
| Aralidioside | Iridoid O-glycosides | 5.648 | 447.11478 | 6.9378 | 12,228 | 502 |
| Cinnamtannin B2 | Flavonoids | 5.923 | 575.11932 | 7.0967 | 17,074 | 701 |
| Procyanidin B5 | Flavonoids | 6.635 | 577.13574 | 8.5544 | 6652 | 273 |
| Epicatechin | Flavonoids | 6.952 | 289.07196 | 8.1009 | 39,675 | 1,630 |
| Epicatechin-(4beta->8)-epicatechin-(2beta->7,4beta->8)-catechin | Flavonoids | 7.168 | 863.18451 | 7.0737 | 286,371 | 11,763 |
| Aesculitannin G | Flavonoids | 7.917 | 574.11267 | 5.7575 | 90,599 | 3721 |
| Proanthocyanidin A2 | Flavonoids | 8.306 | 575.12164 | 7.9145 | 110,862 | 4554 |
| Quercetin 3-galactoside | Flavonoid-3-O-glycosides | 8.447 | 463.08835 | 6.7863 | 10,707 | 440 |
| epi-12-Palmatoside G | Naphthopyranone glycosides | 8.671 | 491.19287 | 5.8164 | 11,744 | 482 |
| Astragalin 7-rhamnoside | Flavonoid-7-O-glycosides | 8.82 | 593.1521 | 7.0845 | 16,335 | 671 |
| Groups | Body Weight (g) | Food Intake (g/rat/d) | Water Intake (mL/rat/d) | |||||
|---|---|---|---|---|---|---|---|---|
| Week 0 | Week 1 | Week 2 | Week 3 | Week 3 | Week 5 | |||
| NC | 281 ± 9.97 | 307 ± 15.3 b | 323 ± 17.7 b | 324 ± 18.8 b | 320 ± 19.5 b | 328 ± 20.4 b | 23.0 ± 1.25 c | 47.7 ± 8.52 b |
| DBC | 294 ± 16.1 | 279 ± 24.2 a | 271 ± 25.9 a | 256 ± 23.9 a | 252 ± 28.0 a | 245 ± 20.8 a | 46.3 ± 2.86 a | 160 ± 30.8 a |
| LDPE | 291 ± 23.6 | 279 ± 18.4 a | 279 ± 26.3 a | 268 ± 23.5 a | 257 ± 25.3 a | 254 ± 32.0 a | 37.6 ± 8.13 b | 159 ± 26.6 a |
| HDPE | 306 ± 11.2 | 289 ± 18.6 a | 282 ± 21.9 a | 273 ± 28.3 a | 265 ± 26.5 a | 265 ± 28.6 a | 35.2 ± 1.19 b | 136 ± 3.61 a |
| MET | 302 ± 17.3 | 285 ± 20.3 a | 268 ± 23.6 a | 261 ± 24.8 a | 252 ± 25.8 a | 259 ± 29.4 a | 40.9 ± 5.66 ab | 152 ± 5.87 a |
| Groups | Serum Insulin Level (µIU/mL) | Glycogen Content (mg/g tissue) | Muscle Hexokinase Activity (nmol/min/mg protein) | |
|---|---|---|---|---|
| Liver | Muscle | |||
| NC | 2.43 ± 0.31 b | 17.3 ± 3.56 c | 1.35 ± 0.23 b | 19.0 ± 5.33 b |
| DBC | 1.16 ± 0.36 a | 9.61 ± 1.19 a | 0.88 ± 0.08 a | 10.2 ± 1.68 a |
| LDPE | 1.50 ± 0.16 a | 12.4 ± 4.65 ab | 0.95 ± 0.19 ab | 11.8 ± 3.58 a |
| HDPE | 2.17 ± 0.51 b | 14.6 ± 2.40 abc | 1.10 ± 0.20 ab | 15.3 ± 2.00 ab |
| MET | 1.12 ± 0.11 a | 16.2 ± 4.68 c | 1.30 ± 0.15 b | 16.5 ± 5.07 ab |
| Groups | TBARS Level (µM MDS Equivalent) | SOD Activity (% Inhibition rate/mg Protein) | Catalase Activity (µmol/min/mg Protein) | ||||||
|---|---|---|---|---|---|---|---|---|---|
| Serum | Liver | Pancreas | Serum | Liver | Pancreas | Serum | Liver | Pancreas | |
| NC | 140 ± 28.0 c | 78.0 ± 16.9 c | 123 ± 37.3 c | 90.1 ± 6.90 b | 79.4 ± 5.91 b | 72.2 ± 8.19 c | 45.8 ± 7.24 b | 126 ± 13.8 | 47.3 ± 4.00 d |
| DBC | 564 ± 143 a | 234 ± 23.0 a | 294 ± 70.7 a | 66.3 ± 4.09 a | 66.4 ± 6.28 a | 44.4 ± 3.89 a | 27.3 ± 5.77 a | 112 ± 24.4 | 15.2 ± 4.67 a |
| LDPE | 419 ± 42.4 ab | 209 ± 62.4 ab | 222 ± 53.6 ab | 84.0 ± 8.71 b | 69.1 ± 1.24 a | 48.2 ± 3.38 a | 33.3 ± 6.67 a | 123 ± 15.7 | 26.0 ± 2.32 b |
| HDPE | 305 ± 62.1 a | 146 ± 22.2 bc | 210 ± 20.2 b | 85.8 ± 5.95 b | 74.7 ± 4.25 ab | 57.5 ± 2.00 b | 35.4 ± 3.08 ab | 131 ± 16.6 | 38.2 ± 3.85 c |
| MET | 411 ± 117 b | 217 ± 71.5 ab | 257 ± 37.9 ab | 70.5 ± 6.59 a | 68.3 ± 7.80 a | 47.4 ± 4.46 a | 30.7 ± 9.03 a | 116 ± 8.42 | 22.9 ± 8.35 ab |
Disclaimer/Publisher’s Note: The statements, opinions and data contained in all publications are solely those of the individual author(s) and contributor(s) and not of MDPI and/or the editor(s). MDPI and/or the editor(s) disclaim responsibility for any injury to people or property resulting from any ideas, methods, instructions or products referred to in the content. |
© 2024 by the authors. Licensee MDPI, Basel, Switzerland. This article is an open access article distributed under the terms and conditions of the Creative Commons Attribution (CC BY) license (https://creativecommons.org/licenses/by/4.0/).
Share and Cite
Izu, G.O.; Mashele, S.S.; Chukwuma, C.I. Investigating the Phytochemistry and Underlying Glycemic Control Mechanisms of Litchi chinensis Sonn. (Litchi) Peel Ethyl Acetate Extract in a Fructose/Streptozotocin Diabetic Model of Rats. Nutrients 2024, 16, 3644. https://doi.org/10.3390/nu16213644
Izu GO, Mashele SS, Chukwuma CI. Investigating the Phytochemistry and Underlying Glycemic Control Mechanisms of Litchi chinensis Sonn. (Litchi) Peel Ethyl Acetate Extract in a Fructose/Streptozotocin Diabetic Model of Rats. Nutrients. 2024; 16(21):3644. https://doi.org/10.3390/nu16213644
Chicago/Turabian StyleIzu, Gloria O., Samson S. Mashele, and Chika I. Chukwuma. 2024. "Investigating the Phytochemistry and Underlying Glycemic Control Mechanisms of Litchi chinensis Sonn. (Litchi) Peel Ethyl Acetate Extract in a Fructose/Streptozotocin Diabetic Model of Rats" Nutrients 16, no. 21: 3644. https://doi.org/10.3390/nu16213644
APA StyleIzu, G. O., Mashele, S. S., & Chukwuma, C. I. (2024). Investigating the Phytochemistry and Underlying Glycemic Control Mechanisms of Litchi chinensis Sonn. (Litchi) Peel Ethyl Acetate Extract in a Fructose/Streptozotocin Diabetic Model of Rats. Nutrients, 16(21), 3644. https://doi.org/10.3390/nu16213644

