Sign in to use this feature.

Years

Between: -

Subjects

remove_circle_outline
remove_circle_outline
remove_circle_outline
remove_circle_outline
remove_circle_outline

Journals

Article Types

Countries / Regions

Search Results (9)

Search Parameters:
Keywords = litchi fruit peel

Order results
Result details
Results per page
Select all
Export citation of selected articles as:
16 pages, 2944 KB  
Article
LcMYB2, a R2R3-MYB Transcription Factor, Regulates Anthocyanin and Proanthocyanidin Biosynthesis in Litchi chinensis Through Interaction with LcbHLH3
by Biao Lai, Li Jiang, Qi Zhu, Chongying Xie, Xiangyu Gong, Guolu He, Shuyi Zhang, Gangjun Luo, Huicong Wang, Lina Du and Guibing Hu
Horticulturae 2025, 11(11), 1309; https://doi.org/10.3390/horticulturae11111309 - 1 Nov 2025
Viewed by 508
Abstract
Litchi (Litchi chinensis Sonn.) is a popular subtropical fruit with a red pericarp that is primarily determined by the accumulation of anthocyanins. The peel color and fruit quality are also influenced by proanthocyanins (PAs), which play roles in fruit development and postharvest [...] Read more.
Litchi (Litchi chinensis Sonn.) is a popular subtropical fruit with a red pericarp that is primarily determined by the accumulation of anthocyanins. The peel color and fruit quality are also influenced by proanthocyanins (PAs), which play roles in fruit development and postharvest quality. In this study, we identified LcMYB2 as a key regulator of both anthocyanin and PA biosynthesis in litchi. Phylogenetic analysis revealed that LcMYB2 belongs to the VvMYB5 subclade. Expression analysis showed that LcMYB2 is highly expressed in the early stages of fruit development. Its expression pattern was consistent with that of LcLAR and LcANR, two key genes in the PA biosynthetic pathway. Subcellular localization and protein–protein interaction assays confirmed that LcMYB2 localizes to the nucleus and interacts with LcbHLH3. Dual-luciferase reporter assays demonstrated that the LcMYB2-LcbHLH3 complex activates the promoters of LcLAR and LcANR, supporting its role in regulating PA biosynthesis. Furthermore, overexpression of LcMYB2 in tobacco resulted in the synthesis of anthocyanins and PAs in the flower, indicating that LcMYB2 can regulate anthocyanin and PA biosynthesis. Additionally, transgenic tobacco plants with LcMYB2 overexpression exhibited delayed anther dehiscence, suggesting a broader role in plant development. These findings highlight the multifunctional nature of LcMYB2 in regulating both anthocyanin and PA biosynthesis, as well as its involvement in reproductive development. Full article
Show Figures

Figure 1

22 pages, 7658 KB  
Article
Genome-Wide Identification and Expression Profiling of Pyruvate Kinase Genes in Litchi Under Calcium-Magnesium Foliar Treatment
by Muhammad Sajjad, Jiabing Jiao, Hassam Tahir, Ling Wei, Wuqiang Ma, Muhammad Zeeshan Ul Haq, Muhammad Amir Farooq and Kaibing Zhou
Plants 2025, 14(17), 2764; https://doi.org/10.3390/plants14172764 - 4 Sep 2025
Cited by 1 | Viewed by 892
Abstract
Pyruvate kinase (PK) is a key enzyme in glycolysis that regulates sugar metabolism and energy production, thereby influencing fruit quality. The ‘Feizixiao’ litchi, widely cultivated in Hainan Province, faces sugar reduction during fruit ripening. This study evaluated the effects of the foliar application [...] Read more.
Pyruvate kinase (PK) is a key enzyme in glycolysis that regulates sugar metabolism and energy production, thereby influencing fruit quality. The ‘Feizixiao’ litchi, widely cultivated in Hainan Province, faces sugar reduction during fruit ripening. This study evaluated the effects of the foliar application of calcium and magnesium (Ca+Mg) during the fruit expansion stage to alleviate this problem. Ca+Mg foliar application significantly enhanced soluble sugar content, promoted peel coloration, and reduced respiration and PK activity. Genome-wide analysis identified 19 PK genes (LcPKs) exhibiting diverse exon-intron structures and conserved motifs. Phylogenetic analysis revealed both conserved and species-specific features, while subcellular localization predicted that most LcPK proteins are likely to be localized in the cytoplasm. Synteny analysis showed closer evolutionary relationships with species in the same genus than with Arabidopsis. Cis-regulatory element analysis implicated LcPKs in light response, hormone signaling, growth, and stress adaptation. Hormonal assays at 63 and 70 DAA after treatment revealed increased abscisic acid (ABA) and ethylene levels under Ca+Mg application. These hormonal changes correlated with the downregulation of LcPK3, LcPK4, LcPK5, LcPK8, and LcPK15, as confirmed by qRT-PCR, indicating negative regulation by ABA and ethylene. This regulatory mechanism likely contributes to overcoming sugar receding in litchi pulp. These findings offer insights into the regulation of sugar metabolism and strategies for enhancing fruit quality through the management of genes and nutrients. Full article
(This article belongs to the Section Plant Genetics, Genomics and Biotechnology)
Show Figures

Figure 1

15 pages, 2980 KB  
Article
Response of Calcium-Dependent Protein Kinase Genes’ Expression in ‘Feizixiao’ Litchi Pulp to Foliar Nutrient Treatment of Calcium–Magnesium Mixed Solution and Their Regulation of Sugar Transformation
by Jiabing Jiao, Ling Wei, Shaopu Shi, Yijia Gao, Chenyu Jiang, Muhammad Sajjad and Kaibing Zhou
Plants 2025, 14(11), 1583; https://doi.org/10.3390/plants14111583 - 23 May 2025
Viewed by 736
Abstract
Previous studies have shown that foliar spraying with a 0.3% CaCl2 + 0.3% MgCl2 solution can mitigate the “sugar receding” phenomenon in fruit pulp, partly by regulating sugar conversion in the pulp of ‘Feizixiao’ litchi (Litchi chinensis Sonn.). Given that [...] Read more.
Previous studies have shown that foliar spraying with a 0.3% CaCl2 + 0.3% MgCl2 solution can mitigate the “sugar receding” phenomenon in fruit pulp, partly by regulating sugar conversion in the pulp of ‘Feizixiao’ litchi (Litchi chinensis Sonn.). Given that calcium-dependent protein kinases (CDPKs) in plants regulate sugar metabolism by modulating the activity of key sugar conversion enzymes, this study investigated the expression response of CDPK genes in ‘Feizixiao’ litchi pulp to foliar calcium–magnesium nutrient treatment and their regulatory characteristics on sugar conversion. After the fruit set, ‘Feizixiao’ litchi trees were subjected to three consecutive foliar spray applications of 0.3% CaCl2 + 0.3% MgCl2, with water spraying as the control. The dynamic changes in peel h values and soluble sugar and monosaccharides, water-soluble calcium (Ca2+) and magnesium (Mg2+), plant hormones, and the concentration of CDPKs in the pulp were compared throughout fruit development. Key differentially expressed members of the CDPK gene family were screened through real-time quantitative PCR analysis. The results showed that the peel color transition occurred earlier in the control (CK) than in the treatment (T), but the coloration process accelerated in the treated fruit, leading to no significant difference in peel h values between the groups at 76 days after anthesis (DAA), when both reached the lowest levels. The total of soluble sugar in the pulp peaked at 70 DAA in both groups, but while the CK exhibited a significant decline thereafter, T maintained stable sugar levels, thereby mitigating the “sugar receding” phenomenon. Water-soluble calcium and water magnesium levels were significantly higher in the T at 42 and 63 DAA, with water calcium remaining significantly higher at 70 DAA. Furthermore, sucrose, glucose, fructose, abscisic acid (ABA) contents, and CDPK concentration were significantly higher in the T at 70 and 76 DAA. The CDPK gene family members LcCDPK1, LcCDPK2, LcCDPK3, LcCDPK4, LcCDPK5, LcCDPK9, LcCDPK15, and LcCDPK17 were upregulated in response to T. Among them, LcCDPK1, LcCDPK4, LcCDPK5, LcCDPK9, and LcCDPK17 were identified as key structural genes due to their significant correlation with soluble sugar content and CDPK concentration, as well as their differential expression between T and CK. In conclusion, foliar calcium–magnesium nutrient treatment upregulates the expression of these five CDPK gene family members by increasing the ABA levels in the pulp, leading to more CDPK accumulation. This accumulation inhibits sugar conversion and promotes sucrose and fructose accumulation, thereby mitigating the “sugar receding” phenomenon in ‘Feizixiao’ litchi pulp. Full article
(This article belongs to the Section Plant Molecular Biology)
Show Figures

Figure 1

16 pages, 2077 KB  
Article
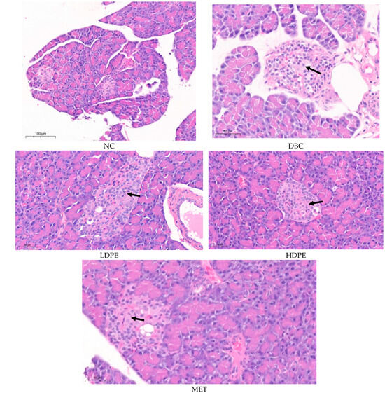
Investigating the Phytochemistry and Underlying Glycemic Control Mechanisms of Litchi chinensis Sonn. (Litchi) Peel Ethyl Acetate Extract in a Fructose/Streptozotocin Diabetic Model of Rats
by Gloria O. Izu, Samson S. Mashele and Chika I. Chukwuma
Nutrients 2024, 16(21), 3644; https://doi.org/10.3390/nu16213644 - 26 Oct 2024
Cited by 2 | Viewed by 2148
Abstract
The glycemic control potential and flavonoid profile of litchi have been documented for its hydroalcoholic extracts, while there is scarce information regarding its ethyl acetate extract. This study investigated the flavonoid profile, as well as the ameliorative potential and possible underlying mechanisms of [...] Read more.
The glycemic control potential and flavonoid profile of litchi have been documented for its hydroalcoholic extracts, while there is scarce information regarding its ethyl acetate extract. This study investigated the flavonoid profile, as well as the ameliorative potential and possible underlying mechanisms of litchi peel ethyl acetate extract on type 2 diabetes-related pathologies in a fructose/streptozotocin (STZ) model of diabetic rats. Sprague Dawley rats were induced with diabetes by administering 10% fructose for 2 weeks and a single i.p. injection of low-dose (40 mg/kg bw) STZ. Thereafter, the animals were orally administered with a low-dose (150 mg/kg bw) and high-dose (300 mg/kg bw) of the peel extract (LDPE and HDPE, respectively) and metformin (200 mg/kg bw). Compared to untreated diabetic rats (AUC = 1004 mg.h/dL), the HDPE significantly (p < 0.05) improved glucose tolerance (AUC = 847 mg.h/dL), which was statistically comparable (p ˃ 0.05) to the effect of metformin (AUC = 903 mg.h/dL). Serum insulin and pancreatic histology data showed that the STZ-induced pancreatic damage and insulin depletion was improved by the HDPE, which could be linked to the observed ameliorative effect of the extract on pancreatic lipid peroxidation and SOD and catalase activity. The extract further improved liver and muscle glycogen storage, as well as muscle hexokinase activity and Akt phosphorylation, suggesting that the extract exerts glycemic control by enhancing glycogen storage and modulating insulin-mediated signaling of glucose uptake and utilization. LC-MS data and documented reports suggest that flavonoids, such as epicatechin, cinnamtannin B2, procyanidin B5, and proanthocyanidin A2, are the possible influencing compounds. The ethyl acetate extract of litchi peel could be a source of bioactive flavonoids that can potentiate glycemic control in diabetes and mitigate oxidative stress-related pathologies. Full article
(This article belongs to the Section Nutrition and Diabetes)
Show Figures

Figure 1

16 pages, 2049 KB  
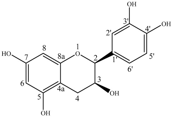
Article
Epicatechin Isolated from Litchi chinensis Sonn. (Litchi) Fruit Peel Ethyl Acetate Extract Modulated Glucose Uptake in Chang Cells and Suppressed ROS Production in RAW 264.7 Macrophages
by Gloria O. Izu, Nomonde P. Mapasa, Jennifer Nambooze, Maria S. Chukwuma, Emmanuel Mfotie Njoya, Gaetan T. Tabakam, Susanna L. Bonnet, Tshepiso J. Makhafola, Samson S. Mashele and Chika I. Chukwuma
Antioxidants 2024, 13(10), 1233; https://doi.org/10.3390/antiox13101233 - 14 Oct 2024
Cited by 1 | Viewed by 2418
Abstract
Bioactive flavonoid epicatechin has been reported in the peel of litchi fruit but isolated from its hydroalcoholic extracts. This study isolated epicatechin with cellular glucose uptake modulatory and ROS production inhibitory properties from the ethyl acetate (EtOAc) extract using a bioassay-guided approach. The [...] Read more.
Bioactive flavonoid epicatechin has been reported in the peel of litchi fruit but isolated from its hydroalcoholic extracts. This study isolated epicatechin with cellular glucose uptake modulatory and ROS production inhibitory properties from the ethyl acetate (EtOAc) extract using a bioassay-guided approach. The fruit peel was defatted with hexane and sequentially extracted using dichloromethane (DCM), EtOAc, methanol (MeOH) and water. In vitro phytochemical models, namely antioxidant (Fe3+ reducing, radical scavenging and anti-linoleic acid peroxidative) and glycaemic control (α-glucosidase and α-amylase inhibitory and glucose uptake modulatory), were employed for the bioassay-guided isolation, while the isolated compound was characterised using NMR and mass spectrometry and assessed for dose-dependent inhibition of α-glucosidase and lipopolysaccharide (LPS)-induced cellular ROS production, as well as modulation of cellular glucose uptake. Relative to the other extracts, the EtOAc extract had appreciable phenol and flavonoid contents, which perhaps influenced its potent anti-lipid peroxidative (65.0%) and α-glucosidase inhibitory (52.4%) effects. The α-glucosidase inhibitory potency of the fractions (1–8) from the EtOAc extracts correlated with their flavonoid contents, with fraction 5 outperforming other fractions. The fraction comprised a pool of fractions obtained from the DCM:MeOH:water (7:3:0.281 v/v/v) solvent system. LC-MS revealed the predominant presence of epicatechin in fraction 5, which was later isolated from one of the sub-fractions (sub-fraction 4) of fraction 5. This sub-fraction had stronger anti-lipid peroxidative (65.5%), α-glucosidase inhibitory (65.8%) and glucose uptake modulatory (38.2%) effects than the other sub-fractions from fraction 5, which could have been influenced by the isolated epicatechin. Moreover, the isolated epicatechin inhibited α-glucosidase (IC50 = 35.3 µM), modulated cellular glucose uptake (EC50 = 78.5 µM) and inhibited LPS-induced ROS production in RAW 264.7 macrophages in a dose-dependent fashion [IC50 = 18.9 µM; statistically comparable (p > 0.05) to ascorbic acid, IC50 = 9.57 µM]. Epicatechin from litchi peel EtOAc extract could potentiate glucose uptake modulatory, α-glucosidase inhibitory and ROS suppressive capacities, which could be influential in the use of litchi fruit peel for managing diabetes and associated oxidative damage. Full article
(This article belongs to the Section Natural and Synthetic Antioxidants)
Show Figures

Figure 1

13 pages, 2849 KB  
Article
Exiguobacterium acetylicum Strain SI17: A Potential Biocontrol Agent against Peronophythora litchii Causing Post-Harvest Litchi Downy Blight
by Shilian Huang, Xinmin Lv, Li Zheng and Dongliang Guo
Horticulturae 2024, 10(8), 888; https://doi.org/10.3390/horticulturae10080888 - 22 Aug 2024
Cited by 4 | Viewed by 2164
Abstract
Litchi downy blight (LDB) caused by Peronophythora litchii destroys 20–30% of litchi fruit every year and causes significant economic losses. Some Exiguobacterium strains exhibit considerable promise in both agricultural and industrial sectors. E. acetylicum SI17, isolated from the litchi fruit carposphere, demonstrated significant [...] Read more.
Litchi downy blight (LDB) caused by Peronophythora litchii destroys 20–30% of litchi fruit every year and causes significant economic losses. Some Exiguobacterium strains exhibit considerable promise in both agricultural and industrial sectors. E. acetylicum SI17, isolated from the litchi fruit carposphere, demonstrated significant biocontrol activity against LDB through pre-harvest treatment. To elucidate its underlying regulatory mechanisms, the genome of SI17 was sequenced and analyzed, revealing a circular chromosome spanning 3,157,929 bp and containing 3541 protein-coding genes and 101 RNA genes. Notably, 94 genes were implicated in the production of secondary metabolites. Among the 29 Exiguobacterium strains so far sequenced, SI17 possessed the largest genome. In the phylogenomic analysis encompassing the entire genome, SI17 was clustered into Group I. Treating litchi fruit with SI17 before harvesting resulted in a decrease in H2O2 content in the fruit peel and an increase in superoxide dismutase activity, thus enhancing resistance to LDB. Interestingly, SI17 did not display plate antagonism against Peronophythora litchii SC18. It can be inferred that SI17 generates secondary metabolites, which enhance litchi’s resistance to LDB. This study represents the first documentation of an Exiguobacterium strain exhibiting a role in litchi plant disease and showcasing significant potential for the biological control of LDB. Full article
Show Figures

Figure 1

10 pages, 478 KB  
Article
Diversity, Abundance and Impact of Insect Visitors in Litchi chinensis Production
by Pooja Kumari, Shagun Rana, Bhavya Bhargava and S. G. Eswara Reddy
Agronomy 2023, 13(2), 298; https://doi.org/10.3390/agronomy13020298 - 18 Jan 2023
Cited by 4 | Viewed by 3093
Abstract
Litchi chinensis is the “queen of fruits”, and pollination is an essential requirement for fruit set and production. The present study was conducted in litchi orchards to study the diversity/abundance of insect visitors, the impact of pollination on quantitative parameters, and different modes [...] Read more.
Litchi chinensis is the “queen of fruits”, and pollination is an essential requirement for fruit set and production. The present study was conducted in litchi orchards to study the diversity/abundance of insect visitors, the impact of pollination on quantitative parameters, and different modes of pollination. The results showed that 75 insect species during flowering were reported including Hymenoptera, Lepidoptera, Diptera, and Coleoptera. In natural pollination, the abundance of insect visitors of Hymenoptera was more during morning and evening (50.25% and 44.89%, respectively) compared to Lepidoptera (21.83 and 26.67%) and Diptera (24.37 and 23.33%). Similarly, natural pollination with one Apis mellifera colony also showed higher abundance of insect visitors of Hymenoptera during morning and evening (50.15 and 57.31%, respectively) as compared to Lepidoptera and Diptera. The Dipteran insect visitors under natural pollination showed significant positive correlation with temperature, wind speed and UV. The fruit/seed size, peel weight, juice pH, pulp weight, moisture, and total soluble solids were higher in natural pollination with A. mellifera. The percentage of fruit set and fruit weight (g) was significantly higher in natural pollination with A. mellifera (23.24 ± 1.40% and 1.60 ± 0.11 g, respectively). There was no fruit set observed in bagged panicles with nylon mesh. Full article
(This article belongs to the Section Farming Sustainability)
Show Figures

Figure 1

17 pages, 4868 KB  
Article
Genome-Wide Identification and Expression Analysis of m6A Writers, Erasers, and Readers in Litchi (Litchi chinensis Sonn.)
by Liwen Tang, Jiali Xue, Xingyu Ren, Yue Zhang, Liqing Du, Feng Ding, Kaibing Zhou and Wuqiang Ma
Genes 2022, 13(12), 2284; https://doi.org/10.3390/genes13122284 - 4 Dec 2022
Cited by 9 | Viewed by 3287
Abstract
N6-methyladenosine (m6A) RNA modification is the most prevalent type of RNA methylation and plays a pivotal role in the development of plants. However, knowledge of the m6A modification in litchi remains limited. In this study, a complete analysis of m6A writers, erasers, and [...] Read more.
N6-methyladenosine (m6A) RNA modification is the most prevalent type of RNA methylation and plays a pivotal role in the development of plants. However, knowledge of the m6A modification in litchi remains limited. In this study, a complete analysis of m6A writers, erasers, and readers in litchi was performed and 31 litchi m6A regulatory genes were identified in total, including 7 m6A writers, 12 m6A erases, and 12 readers. Phylogeny analysis showed that all three of the kinds of litchi m6A regulatory proteins could be divided into three groups; domains and motifs exhibited similar patterns in the same group. MiRNA target site prediction showed that 77 miRNA target sites were located in 25 (80.6%) litchi m6A regulatory genes. Cis-elements analysis exhibited that litchi m6A regulatory genes were mainly responsive to light and plant hormones, followed by environmental stress and plant development. Expression analysis revealed litchi m6A regulatory genes might play an important role during the peel coloration and fruit abscission of litchi. This study provided valuable and expectable information of litchi m6A regulatory genes and their potential epigenetic regulation mechanism in litchi. Full article
(This article belongs to the Special Issue Biotechnology and Genetics in Fruits)
Show Figures

Figure 1

15 pages, 1184 KB  
Review
Litchi chinensis as a Functional Food and a Source of Antitumor Compounds: An Overview and a Description of Biochemical Pathways
by Sonia Emanuele, Marianna Lauricella, Giuseppe Calvaruso, Antonella D’Anneo and Michela Giuliano
Nutrients 2017, 9(9), 992; https://doi.org/10.3390/nu9090992 - 8 Sep 2017
Cited by 74 | Viewed by 14801
Abstract
Litchi is a tasty fruit that is commercially grown for food consumption and nutritional benefits in various parts of the world. Due to its biological activities, the fruit is becoming increasingly known and deserves attention not only for its edible part, the pulp, [...] Read more.
Litchi is a tasty fruit that is commercially grown for food consumption and nutritional benefits in various parts of the world. Due to its biological activities, the fruit is becoming increasingly known and deserves attention not only for its edible part, the pulp, but also for its peel and seed that contain beneficial substances with antioxidant, cancer preventive, antimicrobial, and anti-inflammatory functions. Although literature demonstrates the biological activity of Litchi components in reducing tumor cell viability in in vitro or in vivo models, data about the biochemical mechanisms responsible for these effects are quite fragmentary. This review specifically describes, in a comprehensive analysis, the antitumor properties of the different parts of Litchi and highlights the main biochemical mechanisms involved. Full article
Show Figures

Figure 1

Back to TopTop