- Case Report
Oldest Survivors After Repair of Tetralogy of Fallot
- Pia K. Schuler,
- Erwin Oechslin,
- Juraj Turina and
- Rolf Jenni
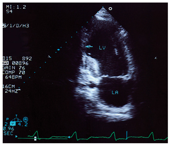
Summary. We report two cases of a 83- and a 78-year-old female with tetralogy of Fallot (TOF) who underwent operation at an advanced age in their 30’s, making them the oldest patients repaired for tetralogy of Fallot [...]

