Journal Description
Cardiovascular Medicine
Cardiovascular Medicine
is an international, peer-reviewed, scholarly, open access journal that covers the entire spectrum of cardiovascular medicine, published quarterly online by MDPI (from Volume 28, Issue 1 - 2025). The Swiss Society of Perfusion (SSoP) is affiliated with Cardiovascular Medicine and their members receive a discount on the article processing charges.
- Open Access— free for readers, with article processing charges (APC) paid by authors or their institutions.
- High Visibility: indexed within Scopus, Embase, and other databases
- Rapid Publication: manuscripts are peer-reviewed and a first decision is provided to authors approximately 15.7 days after submission; acceptance to publication is undertaken in 1.9 days (median values for papers published in this journal in the second half of 2025).
- Recognition of Reviewers: reviewers who provide timely, thorough peer-review reports receive vouchers entitling them to a discount on the APC of their next publication in any MDPI journal, in appreciation of the work done.
Latest Articles
Anatomy-Specific Association of Circulating Sortilin with Proximal Left Anterior Descending Artery Obstruction
Cardiovasc. Med. 2026, 29(2), 13; https://doi.org/10.3390/cardiovascmed29020013 - 25 Mar 2026
Abstract
►
Show Figures
Background: Sortilin (SORT1), linked to the 1p13.3 coronary risk locus, is implicated in lipid trafficking and atherogenesis; however, clinical studies of circulating SORT1 have produced inconsistent results. We evaluated whether circulating SORT1 is associated with angiographic burden and lesion localization in patients with
[...] Read more.
Background: Sortilin (SORT1), linked to the 1p13.3 coronary risk locus, is implicated in lipid trafficking and atherogenesis; however, clinical studies of circulating SORT1 have produced inconsistent results. We evaluated whether circulating SORT1 is associated with angiographic burden and lesion localization in patients with premature or early clinical debut coronary atherosclerosis. Methods: This single-center, cross-sectional study analyzed a dataset collected from January to May 2023. Participants were classified as coronary atherosclerosis cases if the dataset contained an age of clinical debut of clinically significant atherosclerosis (n = 101). Controls had no recorded debut age and 0% stenosis in all assessed coronary segments (n = 27). Blood was collected in clot activator tubes; serum was stored at −40 °C until analysis. SORT1 (ng/mL) was measured using an Aviscera Bioscience ELISA. Coronary stenoses were recorded as percent diameter stenosis for left main (LM), proximal/mid/distal LAD, proximal/mid/distal LCx, and proximal/mid/distal RCA. Burden metrics included the number of segments with any stenosis (>0%), the number of obstructive segments (≥50%), the number of diseased vessels, and maximum stenosis. The prespecified primary endpoint was obstructive proximal LAD stenosis (≥50%). Nonparametric tests and Spearman correlations were used. Logistic regression evaluated the association between log2-transformed SORT1 and proximal LAD obstruction, adjusted for age, sex, LDL-C, statin use, and smoking/diabetes/hypertension durations. Results: SORT1 was higher in cases than controls (8.60 [2.60–17.10] vs. 2.30 [1.25–10.65] ng/mL; p = 0.0058). Within cases, SORT1 did not correlate with global angiographic burden (any-stenosis segments: ρ = −0.066, p = 0.513; obstructive segments: ρ = −0.060, p = 0.552; diseased vessels: ρ = −0.045, p = 0.652; maximum stenosis: ρ = −0.084, p = 0.403). Obstructive proximal LAD stenosis occurred in 44/101 (43.6%) and was associated with higher SORT1 (12.25 [4.18–17.45] vs. 4.10 [2.20–11.60] ng/mL; p = 0.0093). Each doubling of SORT1 was independently associated with proximal LAD obstruction (adjusted OR 1.48, 95% CI 1.12–1.95; p = 0.005). Conclusions: In this cross-sectional cohort, circulating SORT1 was associated with obstructive proximal LAD stenosis but not with global angiographic burden metrics. These findings are hypothesis-generating and warrant validation in independent cohorts with standardized preanalytics and prospective designs to assess temporal relationships and clinical utility.
Full article
Open AccessArticle
Atrial Fibrillation as a Marker of High-Risk Phenotype in Acute Coronary Syndrome
by
Gamze Yeter Arslan and Erkan Baysal
Cardiovasc. Med. 2026, 29(1), 12; https://doi.org/10.3390/cardiovascmed29010012 - 9 Mar 2026
Abstract
►▼
Show Figures
Background: Atrial fibrillation (AF) is frequently encountered in patients presenting with acute coronary syndrome (ACS); however, its clinical significance beyond being a simple rhythm disturbance remains debated. We hypothesized that AF at presentation may be associated with a high-risk clinical profile characterized
[...] Read more.
Background: Atrial fibrillation (AF) is frequently encountered in patients presenting with acute coronary syndrome (ACS); however, its clinical significance beyond being a simple rhythm disturbance remains debated. We hypothesized that AF at presentation may be associated with a high-risk clinical profile characterized by hemodynamic instability and increased inflammatory and ischemic activity. Methods: This single-center, retrospective observational study included consecutive adult patients with acute coronary syndrome admitted to a tertiary cardiology center between January 2022 and December 2024. Patients were classified into two groups according to cardiac rhythm at presentation: AF and sinus rhythm. Baseline demographic characteristics, hemodynamic parameters, laboratory biomarkers, validated risk scores, and revascularization strategies were compared between groups. Multivariable logistic regression analysis was performed to evaluate whether AF was independently associated with a high-risk presentation, primarily defined by elevated GRACE risk score, reduced left ventricular ejection fraction, and increased inflammatory markers. Results: A total of 158 patients were included, of whom 50 (31.6%) presented with atrial fibrillation (mean age 71.2 ± 11.4 years, 46% female). Compared with patients in sinus rhythm, those with AF had significantly higher GRACE risk scores, lower left ventricular ejection fraction, faster heart rate, and higher white blood cell counts and peak high-sensitivity troponin levels. These associations remained significant after multivariable adjustment. Patients with AF also showed a numerically higher prevalence of severe angina at presentation. Conclusions: In patients presenting with ACS, atrial fibrillation is associated with a high-risk hemodynamic profile accompanied by increased inflammatory and ischemic activity. Rather than being an incidental finding, AF may represent a clinically relevant marker of acute cardiovascular stress and may contribute to early risk stratification in this setting.
Full article

Graphical abstract
Open AccessCase Report
OCT Findings from a Spontaneously Recanalized Coronary Thrombus Treated with a Drug-Coated Balloon
by
Firat Erdogan, Luca Vercelli, Mehdi Madanchi, Nicola von Rotz, Florim Cuculi and Matthias Bossard
Cardiovasc. Med. 2026, 29(1), 11; https://doi.org/10.3390/cardiovascmed29010011 - 2 Mar 2026
Abstract
►▼
Show Figures
Background: Spontaneous recanalized coronary thrombus (SRCT) is an uncommon and often underrecognized coronary pathology that may be angiographically subtle despite having functional significance. Optical coherence tomography (OCT) enables accurate diagnosis and treatment planning. However, optimal treatment strategies remain incompletely defined. Materials and Methods:
[...] Read more.
Background: Spontaneous recanalized coronary thrombus (SRCT) is an uncommon and often underrecognized coronary pathology that may be angiographically subtle despite having functional significance. Optical coherence tomography (OCT) enables accurate diagnosis and treatment planning. However, optimal treatment strategies remain incompletely defined. Materials and Methods: A 55-year-old man presenting with severe exertional dyspnea, atypical chest pain episodes, and abnormal stress echocardiography underwent invasive coronary assessment with angiography, fractional flow reserve (FFR), and OCT. An SRCT of the left anterior descending artery (LAD) was identified and treated using OCT-guided lesion preparation followed by sirolimus-coated drug-coated-balloon (DCB) angioplasty. Results: Although there was only moderate angiographic disease, a functional assessment confirmed significant ischemia. OCT revealed a characteristic honeycomb morphology. Post-procedural OCT demonstrated satisfactory lumen gain, with preserved vessel integrity. Follow-up imaging showed vessel-healing and late lumen enlargement, and the patient remained asymptomatic. Conclusion: OCT-guided drug-coated-balloon angioplasty may be an effective “leave-nothing-behind” strategy for selected SRCT lesions, highlighting the importance of intracoronary imaging beyond angiography.
Full article

Figure 1
Open AccessArticle
External Validation and Performance of an Artificial Intelligence-Based Quantitative Coronary Angiography Software in a European Cohort
by
Sangmin Lee, Bora Kim, Soyeon Kim, Soohyun Kim, Rahel Kesterke, Barbara E. Stähli and Alessandro Candreva
Cardiovasc. Med. 2026, 29(1), 10; https://doi.org/10.3390/cardiovascmed29010010 - 20 Feb 2026
Abstract
►▼
Show Figures
Artificial intelligence-based quantitative coronary angiography (AI-QCA) has recently emerged as a promising tool for real-time lesion assessment in cardiology. We aimed to validate a novel AI-QCA software, trained on a Korean dataset, in a European cohort. We analyzed 556 lesions from 252 subjects
[...] Read more.
Artificial intelligence-based quantitative coronary angiography (AI-QCA) has recently emerged as a promising tool for real-time lesion assessment in cardiology. We aimed to validate a novel AI-QCA software, trained on a Korean dataset, in a European cohort. We analyzed 556 lesions from 252 subjects in two European datasets. The AI-QCA system performed automated vessel segmentation and measurements of minimum lumen diameter, proximal and distal reference diameters, percent diameter stenosis (%DS) and lesion length. The performance of AI-QCA was assessed using both automated and manual frame selection methods, with all measurements validated against expert manual QCA. AI-QCA achieved a lesion detection rate of 86.2% in automated frame selection. AI-QCA and manual QCA showed strong agreement (Pearson’s r > 0.90, R2 > 0.8 for all QCA measurements). For %DS categorization (<50%, 50% to <70%, and ≥70%), 433 lesions were classified into the same category by both methods, with a weighted κ of 0.832 (95% CI, 0.743–0.922). Vessel segmentation achieved a mean DSC of 0.953. This study validated the performance of AI-QCA using a European dataset and demonstrated high lesion detection rate and its strong agreement with manual QCA, which supports its applicability for real-time clinical decision-making during percutaneous coronary intervention.
Full article

Figure 1
Open AccessArticle
Factors Associated with Developing Cancer Therapy-Related Cardiac Dysfunction Differ by Cancer Diagnosis
by
Ella Dunsmore, Alda Aleksi, Debra Bosley, Jeffrey Cao, Andrew Daly, Jonathan Howlett, Louis Kolman, Lyndsay Litwin, Sasha Lupichuk, Sudhir Nishtala, Roger Y. Tsang and Robert J. H. Miller
Cardiovasc. Med. 2026, 29(1), 9; https://doi.org/10.3390/cardiovascmed29010009 - 20 Feb 2026
Abstract
►▼
Show Figures
Background: Cancer and cardiovascular disease are the two leading causes of death in Canada. Although treatments have improved tremendously across the years, interventions such as radiotherapy and chemotherapies are known to have negative impacts on cardiovascular health and can lead to death if
[...] Read more.
Background: Cancer and cardiovascular disease are the two leading causes of death in Canada. Although treatments have improved tremendously across the years, interventions such as radiotherapy and chemotherapies are known to have negative impacts on cardiovascular health and can lead to death if not treated in time. Using a retrospective approach, we determined factors associated with cancer therapy-related cardiac dysfunction (CTRCD). Methods: Patients followed through a dedicated Cardio-Oncology clinic with comprehensive screening for CTRCD were identified. CTRCD was defined as a drop in left ventricular ejection fraction of at least 10% to a value lower than 53%. We performed multivariable logistic regression to determine factors associated with CTRCD. Results: In total, 2460 patients with cancer were identified from clinical records—919 had breast cancer, 758 had hematologic malignancies, and 783 had other cancer types. Patients with breast cancer and hematologic malignancies were more likely to experience CTRCD, with odds ratios (ORs) of 2.10 (p = 0.059) and 1.96 (p = 0.047), respectively. Anthracycline and trastuzumab use were independently associated with CTRCD, with ORs of 1.98 (p = 0.002) and 3.19 (p < 0.001), respectively. In hematologic malignancy patients, hypertension (OR = 2.18, p = 0.047) and diabetes (OR = 2.31, p = 0.036) were also significant predictors of CTRCD. Conclusions: We confirmed the importance of anthracycline, trastuzumab, and radiation in the development of CTRCD. However, among patients with hematologic malignancies, traditional cardiovascular risk factors are also associated with CTRCD. This information could help physicians personalize CTRCD surveillance strategies.
Full article

Graphical abstract
Open AccessArticle
Impact of New-Onset Atrial Fibrillation in Critically Ill Patients—A Retrospective Study
by
Catarina Gregório, Ana Rita Figueiredo, Inês Pinto, João Ribeiro, Susana M. Fernandes and Doroteia Silva
Cardiovasc. Med. 2026, 29(1), 8; https://doi.org/10.3390/cardiovascmed29010008 - 20 Feb 2026
Abstract
Background and Aim: New-onset atrial fibrillation (NOAF) is a common condition in critically ill patients, yet the evidence on optimal NOAF management and outcomes is limited. This study evaluates the impact of management strategies on short- and long-term outcomes in patients who develop
[...] Read more.
Background and Aim: New-onset atrial fibrillation (NOAF) is a common condition in critically ill patients, yet the evidence on optimal NOAF management and outcomes is limited. This study evaluates the impact of management strategies on short- and long-term outcomes in patients who develop NOAF during their intensive care unit (ICU) stay. Methods: A retrospective, single-centre study was conducted of all patients with NOAF admitted in a multidisciplinary ICU between 2020 and 2023. The clinical characteristics and outcomes of the patients were collected. The endpoints included the characterisation of management strategies, short-term outcomes during ICU stays (including atrial fibrillation [AF] recurrence), and long-term outcomes after discharge (including AF recurrence and a composite of death or cardiovascular hospitalisation). Results: A total of 160 patients developed NOAF (mean age 69.5 ± 11.8 years; 63% male). Most had cardiovascular comorbidities and high illness severity, with frequent mechanical ventilation (87%) and vasopressor (89%) use. Rhythm-control strategies—predominantly amiodarone—were associated with lower in-hospital AF recurrence (OR 0.28, p = 0.044) and a numerical reduction in post-discharge recurrence. Anticoagulation was initiated in 45% of patients and continued at discharge in 44%, without major bleeding. ICU and in-hospital mortality were 33% and 43%, respectively. During a median follow-up of 10 (range 0–56) months, post-ICU discharge AF recurrence occurred in 34% of patients initially discharged in sinus rhythm. Anticoagulation at discharge was not associated with recurrence, while rhythm control in the ICU and absence of in-hospital recurrence strongly predicted reduced post-discharge recurrence (p < 0.001). Nine patients required readmission, mainly for heart failure or ischaemic stroke. The composite long-term outcome occurred in 24 patients (27%). Conclusions: Post-ICU discharge AF recurrence after NOAF was common. Early rhythm-control strategies were associated with lower in-hospital and post-discharge AF recurrence, and individualised anticoagulation appeared safe in this observational cohort. These findings support proactive post-ICU monitoring and risk-adapted management strategies.
Full article
Open AccessArticle
Short-Term Outcomes in Influenza Virus-Related Myocarditis: A Single-Centre Real-Life Experience
by
Lucia Ilaria Birtolo, Antonio Lattanzio, Vincenzo Myftari, Gianluca Di Pietro, Giovanna Manzi, Bartolomeo Fabrizio Lovero, Margherita Pugliese, Annalisa Caputo, Gianmarco Scoccia, Maria Antonella Zingaropoli, Nicola Galea, Cristina Chimenti, Paolo Severino, Viviana Maestrini, Massimo Mancone, Roberto Badagliacca, Guido Antonelli and Carmine Dario Vizza
Cardiovasc. Med. 2026, 29(1), 7; https://doi.org/10.3390/cardiovascmed29010007 - 12 Feb 2026
Abstract
►▼
Show Figures
Background: Myocarditis is a potentially life-threatening inflammation of the myocardium that can be triggered by viral infections, including influenza. While corticosteroids have historically been used with caution in viral myocarditis due to concerns over impaired viral clearance, recent insights—particularly those emerging from
[...] Read more.
Background: Myocarditis is a potentially life-threatening inflammation of the myocardium that can be triggered by viral infections, including influenza. While corticosteroids have historically been used with caution in viral myocarditis due to concerns over impaired viral clearance, recent insights—particularly those emerging from the COVID-19 pandemic—suggest that early, moderate-dose corticosteroid therapy may offer clinical benefits in selected inflammatory cardiac syndromes. This study aimed to assess the incidence and clinical features, as well as short-term outcomes of influenza-related myocarditis and/or pericarditis. Methods: A retrospective, observational study was conducted, including all consecutive patients diagnosed with acute myocarditis and/or pericarditis between December 2024 and March 2025 who presented with chest pain or dyspnea and had a confirmed Influenza A (H1N1) infection. The diagnostic evaluation included cardiac biomarkers, ECG, TTE, and cardiovascular magnetic resonance (CMR). All patients were monitored during a three-month follow-up period. Results: Of 281 patients with laboratory-confirmed H1N1 infection, six (2%) were diagnosed with myocarditis and/or pericarditis. All patients diagnosed with myocarditis received corticosteroid therapy and an antiviral drug (oseltamivir). CMR confirmed the diagnosis in all cases of inflammatory cardiomyopathy. At 30 days, median LVEF improved from 49% to 58%. No deaths or rehospitalizations were reported. Conclusions: Influenza-related myocarditis and/or pericarditis are relatively uncommon, occurring in approximately 2% of cases. When they occur, they are primarily associated with an uncomplicated clinical course and with favourable short-term outcomes, including a rapid recovery of left ventricular function and the absence of adverse events at three-month follow-up.
Full article

Graphical abstract
Open AccessCase Report
Prolonged Sinus Arrest Following Traumatic Brain Injury: A Case of Reversible Autonomic Cardiac Dysfunction
by
Krishna Patel, Chris Sani, Asher Gorantla, Varshitha T. Panduranga, Usaid Raqeeb and Adam Budzikowski
Cardiovasc. Med. 2026, 29(1), 6; https://doi.org/10.3390/cardiovascmed29010006 - 10 Feb 2026
Abstract
►▼
Show Figures
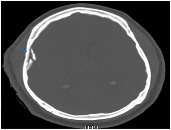
Cardiac disturbances are well-recognized in traumatic brain injury (TBI), but most involve supraventricular arrhythmias or repolarization abnormalities, while sinus arrest is rarely reported. We present a case of a 37-year-old man who developed recurrent, prolonged sinus arrest following severe TBI. He arrived intubated
[...] Read more.
Cardiac disturbances are well-recognized in traumatic brain injury (TBI), but most involve supraventricular arrhythmias or repolarization abnormalities, while sinus arrest is rarely reported. We present a case of a 37-year-old man who developed recurrent, prolonged sinus arrest following severe TBI. He arrived intubated for airway protection after an assault, and imaging demonstrated an acute, depressed, comminuted right temporoparietal skull fracture scattered subarachnoid hemorrhage, and bilateral humeral head fractures with posterior shoulder subluxation. After craniotomy and placement of an external ventricular drain (EVD) for intracranial pressure (ICP) monitoring, the patient experienced multiple spontaneous sinus arrest episodes lasting up to 15 s despite normal metabolic, electrolyte, and toxicology evaluations. A transvenous pacemaker (TVP) was inserted to maintain adequate cardiac output and cerebral perfusion. As ICP improved, the sinus arrests resolved and the TVP was removed. This case highlights a rare neurocardiac manifestation of TBI, demonstrating that elevated ICP can precipitate profound conduction disturbances that may require temporary pacing to manage hemodynamics and prevent secondary brain injury.
Full article

Figure 1
Open AccessArticle
The Prevalence of Cardiovascular–Kidney–Metabolic Syndrome: A Review of Published Estimates and New Findings from BRFSS Surveys
by
Steven S. Coughlin, Nikul Parikh, Ashley Oh, Biplab Datta, Marlo Vernon and Jennifer Sullivan
Cardiovasc. Med. 2026, 29(1), 5; https://doi.org/10.3390/cardiovascmed29010005 - 3 Feb 2026
Abstract
Because CKMS was only proposed by the American Heart Association in 2023, there has been a paucity of information about the distribution and determinants of the syndrome across population groups. We reviewed published studies of the prevalence of CKMS in the U.S. and
[...] Read more.
Because CKMS was only proposed by the American Heart Association in 2023, there has been a paucity of information about the distribution and determinants of the syndrome across population groups. We reviewed published studies of the prevalence of CKMS in the U.S. and other countries and obtained new estimates of the prevalence of this syndrome among U.S. adults by birth decade and sociodemographic attributes using 2019, 2021, and 2023 Behavioral Risk Factor Surveillance System (BRFSS) data. The results of this study indicate that CKMS is widespread in the general U.S. population, especially among older cohorts born before 1940 and during the 1940s, 1950s, and 1960s. Except for the three younger cohorts, born in the 1980s, 1990s, and 2000 or later, the prevalence of CKMS stage 4 was significantly higher among males than in females. Among those born between the 1950s and 1990s, the prevalence was significantly higher among non-Hispanic Blacks compared to their non-Hispanic white counterparts. Across all birth decades, prevalence of CKMS stage 4 was generally higher among those without a college degree, from a low-income household, and residing in rural areas. These prevalence rate estimates will further our understanding of the burden and unique needs of different population groups in improving cardiovascular–kidney–metabolic health across the life course.
Full article
Open AccessArticle
Pharmacovigilance-Based Safety Profile of Bortezomib: A Disproportionality Analysis Using FAERS Data
by
Matthew Nho, Ayushi Mittal, Ahmed Abdel-Latif and Anand Prakash Singh
Cardiovasc. Med. 2026, 29(1), 4; https://doi.org/10.3390/cardiovascmed29010004 - 31 Jan 2026
Abstract
►▼
Show Figures
Bortezomib is a 26S proteasome inhibitor used to treat multiple myeloma and systemic amyloidosis. While effective in prolonging survival, bortezomib has been increasingly associated with cardiovascular adverse events (CVAEs), including cardiac failure and arrhythmias, yet a comprehensive post-marketing cardiac safety profile remains incompletely
[...] Read more.
Bortezomib is a 26S proteasome inhibitor used to treat multiple myeloma and systemic amyloidosis. While effective in prolonging survival, bortezomib has been increasingly associated with cardiovascular adverse events (CVAEs), including cardiac failure and arrhythmias, yet a comprehensive post-marketing cardiac safety profile remains incompletely defined. We analyzed cardiovascular adverse events reported between May 2003 and May 2025 using the U.S. Food and Drug Administration Adverse Event Reporting System (FAERS) via the OpenVigil 2.1 platform. Disproportionality analysis was performed using reporting odds ratios (RORs) with 95% confidence intervals (CIs). Among over 9 million drug-related adverse events in FAERS, 552 cardiac events were linked to bortezomib. Several cardiac outcomes, including atrial flutter, left ventricular dysfunction, cardiac failure, cardiomyopathy, atrial fibrillation, right ventricular failure, myocarditis, and supraventricular tachycardia, demonstrated elevated disproportionality signals. Separately, cardiac amyloidosis exhibited the highest disproportionality signal (ROR: 35.58; 95% CI: 28.16–44.95), a finding that reflects underlying disease severity rather than treatment-emergent cardiotoxicity. Cardiac failure accounted for the greatest number of hospitalizations (301) and deaths (208), followed by atrial fibrillation and cardiac amyloidosis. Older adults (≥65 years) and patients with amyloidosis or multiple myeloma were the most vulnerable populations. Overall, bortezomib was associated with serious cardiac adverse events, particularly cardiac failure and atrial arrhythmias, underscoring the need for routine cardiovascular risk assessment and proactive monitoring in high-risk patients.
Full article

Graphical abstract
Open AccessConference Report
The 2023 Senning Lecture—Developments in Heart Surgery and Shaping the Future of Younger Surgeons
by
Carlos A. Mestres
Cardiovasc. Med. 2026, 29(1), 3; https://doi.org/10.3390/cardiovascmed29010003 - 30 Jan 2026
Abstract
►▼
Show Figures
This is the summary of the 2023 SGHC Senning Lecture, in which surgical developments and the components of education and training in cardiovascular surgery are discussed. Special emphasis is placed on the problems, challenges, education models, and the dynamics of education and training
[...] Read more.
This is the summary of the 2023 SGHC Senning Lecture, in which surgical developments and the components of education and training in cardiovascular surgery are discussed. Special emphasis is placed on the problems, challenges, education models, and the dynamics of education and training for the benefit of the trainees and, ultimately, the patients.
Full article

Figure 1
Open AccessEditorial
A Promising New Beginning for Cardiovascular Medicine—The Journal for the Interdisciplinary Heart Team
by
Peter Matt
Cardiovasc. Med. 2026, 29(1), 2; https://doi.org/10.3390/cardiovascmed29010002 - 16 Jan 2026
Cited by 2
Abstract
What a remarkable first three months it has been for Cardiovascular Medicine! [...]
Full article
Open AccessCase Report
The Heart Under Pressure: Transient ST-Segment Elevation Due to Severe Intestinal Distension
by
Fulvio Cacciapuoti, Angela Iannuzzi, Ferdinando Fusco, Alessandro De Masi, Flavia Casolaro and Angelo Sasso
Cardiovasc. Med. 2026, 29(1), 1; https://doi.org/10.3390/cardiovascmed29010001 - 24 Dec 2025
Abstract
►▼
Show Figures
Acute extracardiac conditions can occasionally produce electrocardiographic abnormalities that closely mimic acute coronary occlusion, posing a diagnostic challenge and increasing the risk of unnecessary activation of invasive cardiac pathways. Severe gastrointestinal distension, although uncommon, is a recognized cause of transient ST-segment elevation due
[...] Read more.
Acute extracardiac conditions can occasionally produce electrocardiographic abnormalities that closely mimic acute coronary occlusion, posing a diagnostic challenge and increasing the risk of unnecessary activation of invasive cardiac pathways. Severe gastrointestinal distension, although uncommon, is a recognized cause of transient ST-segment elevation due to mechanical displacement of the heart, autonomic imbalance, and abrupt changes in ventricular loading conditions. These alterations may be particularly misleading in patients with chronic regional wall motion abnormalities, in whom new ECG changes risk being misinterpreted as recurrent ischemia. We report the case of a 68-year-old man with a history of inferior myocardial infarction who presented with marked abdominal distension secondary to a closed-loop small bowel obstruction. Despite the absence of chest pain, his ECG showed significant anterolateral ST-segment elevation. High-sensitivity troponin I remained negative, and transthoracic echocardiography demonstrated preserved anterior and apical motion, chronic inferior akinesia, and unchanged global longitudinal strain. Following nasogastric decompression, the ST-segment normalized completely within fifteen minutes. Subsequent imaging confirmed a closed-loop volvulus requiring urgent surgical intervention, with full bowel viability preserved. This case underscores the importance of integrating clinical context, biomarkers, and rapid echocardiographic assessment when evaluating ST-segment elevation, helping avoid unnecessary coronary angiography in the presence of extracardiac causes.
Full article

Figure 1
Open AccessCase Report
A Didactic Case of Long QT Associated with Pheochromocytoma
by
Selma T. Cook and Malica Cook
Cardiovasc. Med. 2025, 28(1), 6; https://doi.org/10.3390/cardiovascmed28010006 - 11 Dec 2025
Abstract
►▼
Show Figures
Long QT associated with pheochromocytoma is rare but clinically significant. A 43-year-old woman presented with palpitations, chest pain, and recurrent syncope. ECG showed ST-segment elevation, while coronary angiography revealed normal arteries but Takotsubo-like left ventricular dysfunction. Hypertension and tachycardia raised suspicion for pheochromocytoma,
[...] Read more.
Long QT associated with pheochromocytoma is rare but clinically significant. A 43-year-old woman presented with palpitations, chest pain, and recurrent syncope. ECG showed ST-segment elevation, while coronary angiography revealed normal arteries but Takotsubo-like left ventricular dysfunction. Hypertension and tachycardia raised suspicion for pheochromocytoma, later confirmed by imaging and biochemical tests. The patient exhibited QT prolongation (QTc 570 ms) in parallel with Takotsubo episodes. Following adrenalectomy, both QT duration and ventricular function normalized. The European Society of Cardiology now classifies pheochromocytoma-induced cardiomyopathy within the Takotsubo spectrum. Early recognition is crucial due to the risk of sudden cardiac death.
Full article

Figure 1
Open AccessReview
Mechanisms Involved in the Adverse Cardiovascular Effects of Selective Cyclooxygenase-2 Inhibitors
by
Oscar Jesus Leal-Ramos, Luis Felipe Arias-Ruiz, José Miguel Huerta-Velázquez, José Pablo Lamoreaux-Aguayo, Dalton Butcher, Asela Berenice López-Cuellar, Karina Iveth Orozco-Jiménez and Olivia Torres-Bugarín
Cardiovasc. Med. 2025, 28(1), 5; https://doi.org/10.3390/cardiovascmed28010005 - 28 Nov 2025
Cited by 1
Abstract
►▼
Show Figures
Nonsteroidal anti-inflammatory drugs (NSAIDs) are widely used for managing inflammation, but they are associated with gastrointestinal and renal toxicity upon long-term use. Selective cyclooxygenase-2 (COX-2) inhibitors, or coxibs, were developed to avoid these adverse effects while maintaining anti-inflammatory efficacy. However, accumulating evidence indicates
[...] Read more.
Nonsteroidal anti-inflammatory drugs (NSAIDs) are widely used for managing inflammation, but they are associated with gastrointestinal and renal toxicity upon long-term use. Selective cyclooxygenase-2 (COX-2) inhibitors, or coxibs, were developed to avoid these adverse effects while maintaining anti-inflammatory efficacy. However, accumulating evidence indicates that coxibs may increase the risk of cardiovascular complications. This review explores the pathophysiological mechanisms underlying adverse cardiovascular effects in patients treated with COX-2 inhibitors. These mechanisms include an imbalance between prothrombotic and antithrombotic factors, an altered endocannabinoid metabolism, and downregulation of PPARδ, contributing to thrombosis. Additionally, COX-2 inhibition disrupts renal prostaglandin synthesis, particularly PGE2 and prostacyclins, reduces EP4 receptor expression in macrophages, promotes chemotaxis, and elevates arterial pressure via increased iNOS, ADMA, and L-NMMA activity. At the molecular level, genetic polymorphisms, matrix metalloproteinases, signaling cross-talk, and direct cardiomyocyte injury are implicated. Collectively, these alterations promote a prothrombotic state, fluid retention, enhanced vasoconstriction, impaired vasodilation, myocardial injury, cell death, and cardiac fibrosis. Despite these risks, coxibs are often prescribed without adequate cardiovascular assessment, particularly in patients with pre-existing cardiovascular risk factors. Greater awareness of these mechanisms is essential to optimize the benefit–risk ratio in clinical decision-making involving selective COX-2 inhibitors.
Full article

Graphical abstract
Open AccessCase Report
Double TAVI: What’s Next?
by
Ruta Ratyte, Mirjam Löffel and Christoph Ado Kaiser
Cardiovasc. Med. 2025, 28(1), 4; https://doi.org/10.3390/cardiovascmed28010004 - 20 Nov 2025
Abstract
►▼
Show Figures
Transcatheter aortic valve implantation is rapidly emerging as the leading treatment for severe aortic valve stenosis, especially in elderly and high-risk or inoperable patients. Prosthetic embolism is a rare but serious complication of transcatheter aortic valve replacement. Patients who develop prosthetic embolism are
[...] Read more.
Transcatheter aortic valve implantation is rapidly emerging as the leading treatment for severe aortic valve stenosis, especially in elderly and high-risk or inoperable patients. Prosthetic embolism is a rare but serious complication of transcatheter aortic valve replacement. Patients who develop prosthetic embolism are at increased risk of mortality and morbidity. These include stroke and aortic dissection associated with manipulation of the prosthesis in the ascending aorta. Treatment of valve embolisms into the aorta may differ depending on the type of valve; however, it traditionally relies on repositioning the valve to an appropriate position. To date, there are no established pharmaceutical guidelines for the management of patients with valve prosthesis embolization. We present a case report of the implantation of a second aortic valve prosthesis after periprocedural embolization of the first transcatheter valve, resulting in residual floating in the ascending aorta and following treatment with oral anticoagulation as well as single antiplatelet therapy due to the increased risk of thrombogenesis. This case report provides an example of the management of a transcatheter valve embolization with residual floating and highlights the need for further studies to address this issue.
Full article

Figure 1
Open AccessSystematic Review
Global Prevalence of Isolated Systolic, Isolated Diastolic, and Systodiastolic Hypertension: A Systematic Review and Meta-Analysis
by
Víctor Juan Vera-Ponce, Lupita Ana Maria Valladolid-Sandoval, Jhosmer Ballena-Caicedo and Fiorella E. Zuzunaga-Montoya
Cardiovasc. Med. 2025, 28(1), 3; https://doi.org/10.3390/cardiovascmed28010003 - 17 Nov 2025
Abstract
►▼
Show Figures
Arterial hypertension (HTN) is a global public health problem with three distinct subtypes: isolated systolic hypertension (ISH), isolated diastolic hypertension (IDH), and systodiastolic hypertension (SDH), each with unique clinical implications. This systematic review and meta-analysis aimed to determine the global prevalence of ISH,
[...] Read more.
Arterial hypertension (HTN) is a global public health problem with three distinct subtypes: isolated systolic hypertension (ISH), isolated diastolic hypertension (IDH), and systodiastolic hypertension (SDH), each with unique clinical implications. This systematic review and meta-analysis aimed to determine the global prevalence of ISH, IDH, and SDH and their variability. Following PRISMA guidelines, a search was conducted in SCOPUS, Web of Science, PubMed, and EMBASE. A random-effects model with the Freeman-Tukey transformation was used for the meta-analysis, and a meta-regression was performed to assess temporal trends. Twenty-seven studies from five continents were included, revealing pooled global prevalence rates of 10.72% for ISH, 5.07% for IDH, and 11.71% for SDH. Extreme heterogeneity was observed (I2 = 100%), reflecting substantial methodological diversity. The meta-regression suggested an increasing trend for ISH over time, while non-significant decreasing trends were observed for IDH and SDH. In conclusion, all three HTN subtypes show clinically relevant prevalences, with ISH and SDH being nearly twice as common as IDH. The high heterogeneity underscores the urgent need for research standardization, and these findings highlight the importance of differentiating subtypes for more effective population-level screening and public health planning.
Full article

Figure 1
Open AccessEditorial
Editor-in-Chief’s Editorial: A New Chapter for Cardiovascular Medicine
by
Peter Matt
Cardiovasc. Med. 2025, 28(1), 2; https://doi.org/10.3390/cardiovascmed28010002 - 10 Oct 2025
Abstract
It is with great pride and enthusiasm that we announce the relaunch of Cardiovascular Medicine, a journal with a longstanding tradition in the Swiss and international cardiology community [...]
Full article
Open AccessEditorial
Publisher’s Note: Welcome to the New Home of Cardiovascular Medicine
by
Carla Aloè
Cardiovasc. Med. 2025, 28(1), 1; https://doi.org/10.3390/cardiovascmed28010001 - 17 Sep 2025
Abstract
Cardiovascular Medicine was launched in 1998 under the title Kardiovaskuläre Medizin, publishing articles in German, French, and English [...]
Full article
Open AccessEditorial
A Paradox or a Different Perspective?
by
Peter Matt
Cardiovasc. Med. 2023, 26(5), 139; https://doi.org/10.4414/cvm.2023.1239215883 - 14 Aug 2024
Abstract
The latest issue of Cardiovascular Medicine deals with various topics on cardiovascular diseases, again with a focus on sex-specific subjects [...]
Full article
Journal Menu
► ▼ Journal MenuJournal Browser
► ▼ Journal Browser-
arrow_forward_ios
Forthcoming issue
arrow_forward_ios Current issue - Volumes not published by MDPI
- Vol. 27 (2024)
- Vol. 26 (2023)
- Vol. 25 (2022)
- Vol. 24 (2021)
- Vol. 23 (2020)
- Vol. 22 (2019)
- Vol. 21 (2018)
- Vol. 20 (2017)
- Vol. 19 (2016)
- Vol. 18 (2015)
- Vol. 17 (2014)
- Vol. 16 (2013)
- Vol. 15 (2012)
- Vol. 14 (2011)
- Vol. 13 (2010)
- Vol. 12 (2009)
- Vol. 11 (2008)
- Vol. 10 (2007)
- Vol. 9 (2006)
- Vol. 8 (2005)
- Vol. 7 (2004)
- Vol. 1 (1998)
Highly Accessed Articles
Latest Books
E-Mail Alert
News
Topics



