Uncommon History of a Giant Cell Myocarditis
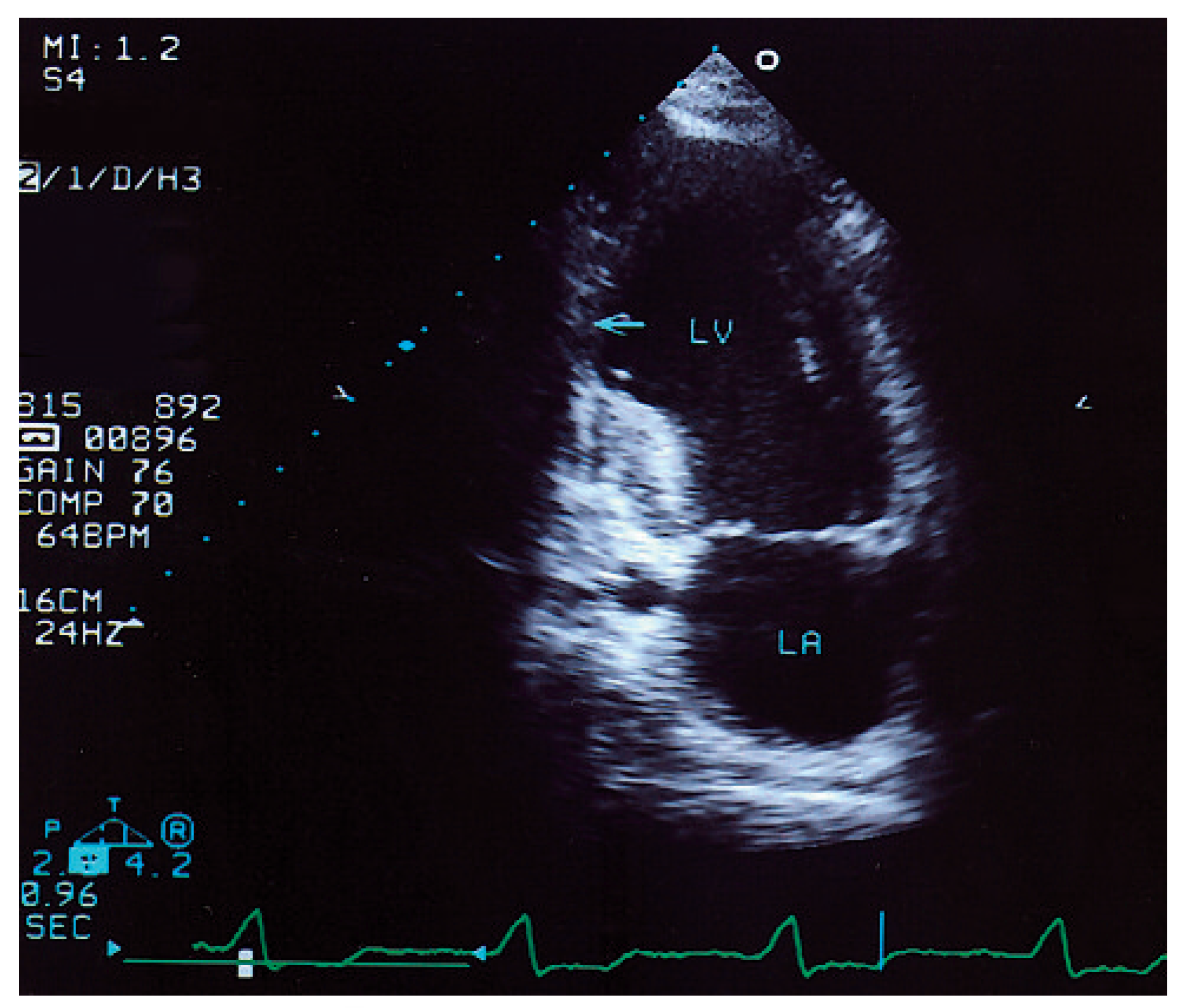
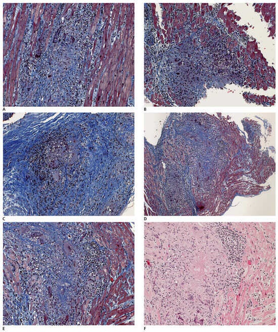
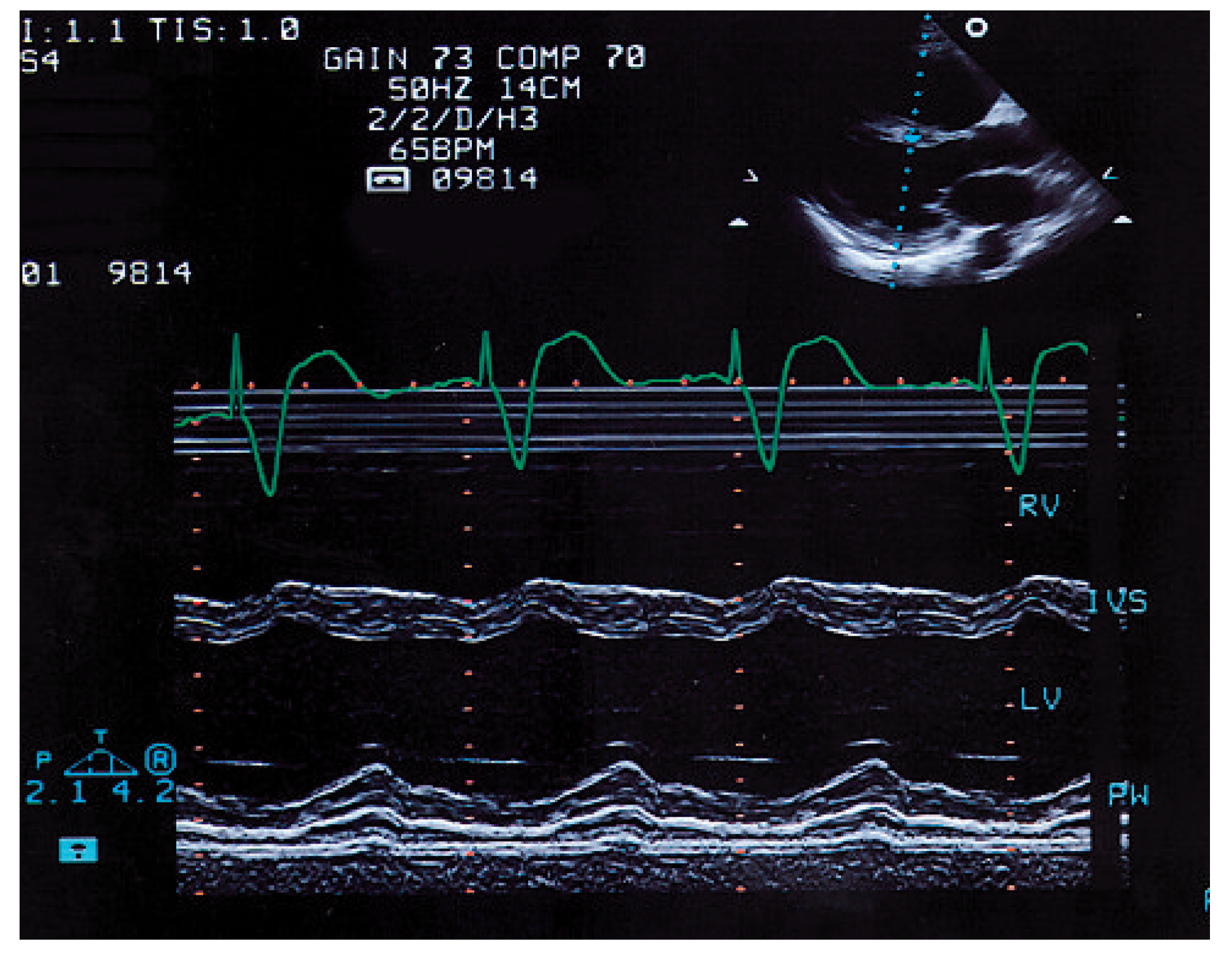
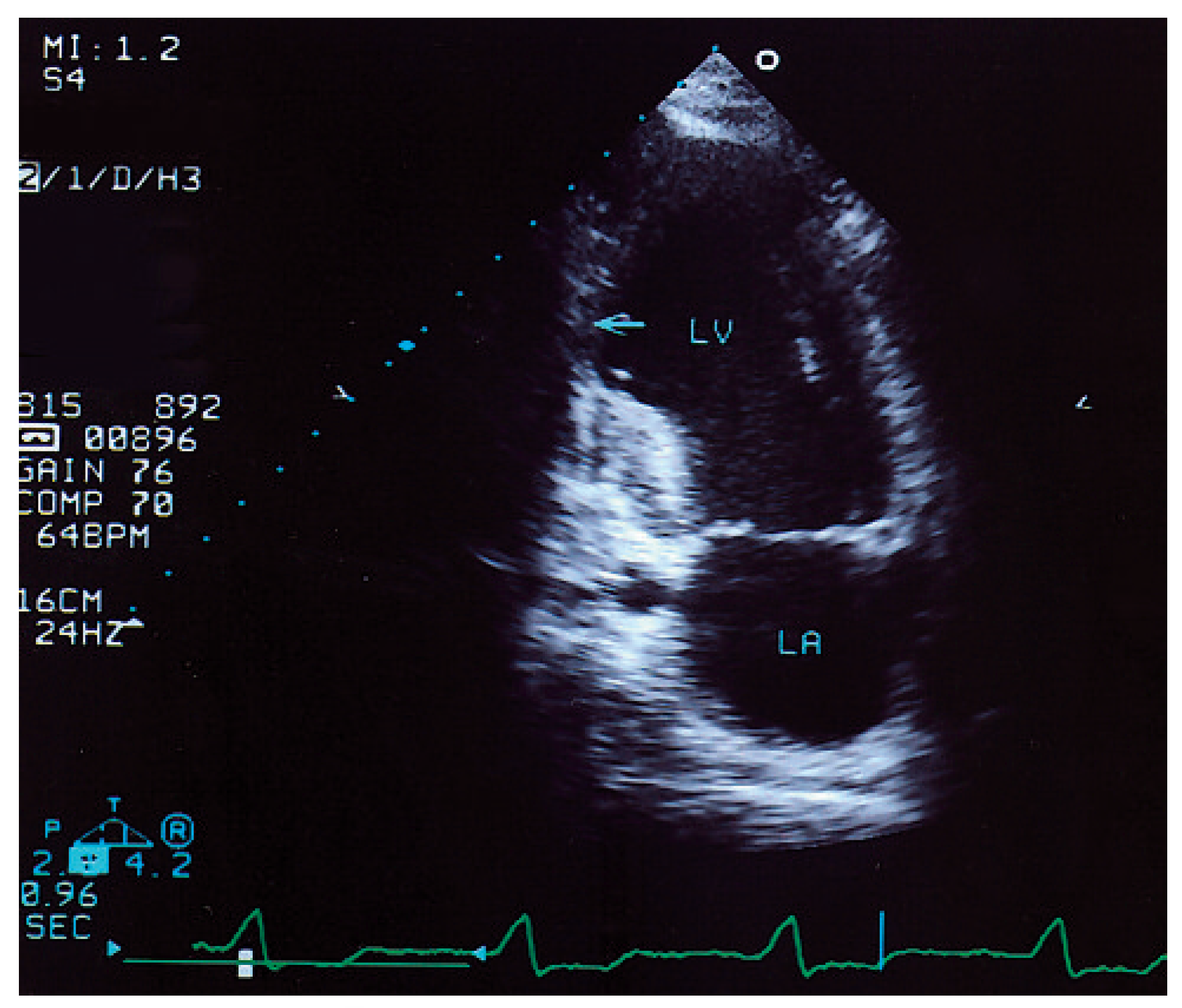
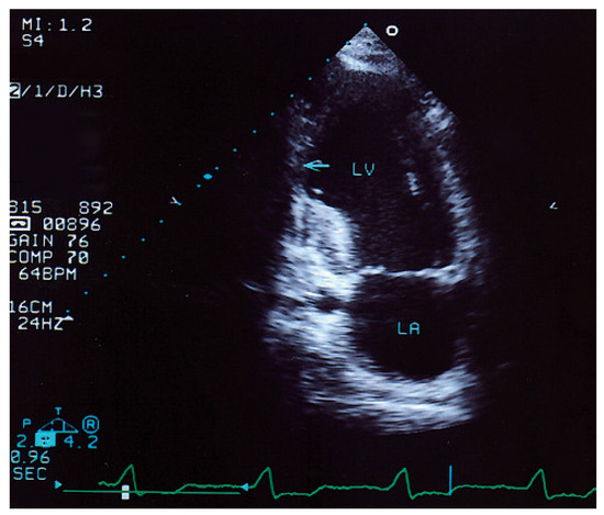
Case report
Conflicts of Interest
References
- McCarthy, R.E., 3rd.; Boehmer, J.P.; Hruban, R.H.; Hutchins, G.M.; Kasper, E.K.; Hare, J.M.; et al. Long-term outcome of fulminant myocarditis as compared with acute (nonfulminant) myocarditis. N. Engl. J. Med. 2000, 342, 690–695. [Google Scholar] [CrossRef] [PubMed]
- Cooper, L.T., Jr.; Berry, G.J.; Shabetai, R.; for the multicenter Giant Cell Myocarditis Study Group Investigators. Idiopathic giant-cell myocarditis – natural history and treatment. N. Engl. J. Med. 1997, 336, 1860–1866. [Google Scholar] [CrossRef] [PubMed]






© 2009 by the author. Attribution - Non-Commercial - NoDerivatives 4.0
Share and Cite
der Maur, C.A.; Zuber, M.; Mihatsch, M.J.; Erne, P. Uncommon History of a Giant Cell Myocarditis. Cardiovasc. Med. 2009, 12, 164. https://doi.org/10.4414/cvm.2009.01419
der Maur CA, Zuber M, Mihatsch MJ, Erne P. Uncommon History of a Giant Cell Myocarditis. Cardiovascular Medicine. 2009; 12(5):164. https://doi.org/10.4414/cvm.2009.01419
Chicago/Turabian Styleder Maur, C. Auf, Michel Zuber, Michael Jörg Mihatsch, and Paul Erne. 2009. "Uncommon History of a Giant Cell Myocarditis" Cardiovascular Medicine 12, no. 5: 164. https://doi.org/10.4414/cvm.2009.01419
APA Styleder Maur, C. A., Zuber, M., Mihatsch, M. J., & Erne, P. (2009). Uncommon History of a Giant Cell Myocarditis. Cardiovascular Medicine, 12(5), 164. https://doi.org/10.4414/cvm.2009.01419
