First Characterization and Regulatory Function of piRNAs in the Apis mellifera Larval Response to Ascosphaera apis Invasion
Abstract
:1. Introduction
2. Results
2.1. Number, Characteristics, and Overall Expression Level of piRNAs in A. m. ligustica Larval Guts Inoculated with A. apis
2.2. Differential Expression Pattern of piRNAs in A. m. ligustica Larval Guts Following A. apis Infection
2.3. Annotation and Analysis of DEpiRNA-Targeted mRNAs
2.4. Regulatory Networks between DEpiRNAs and Target mRNAs
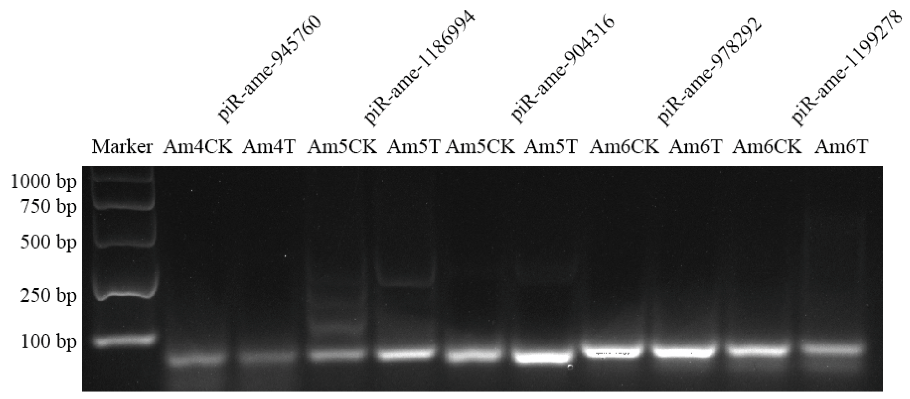
2.5. RT-PCR and RT-qPCR Validation of DEpiRNA
2.6. RT-qPCR Confirmation of Target mRNAs
2.7. Overexpression and Knockdown of piR-ame-945760 in A. apis-Infected Larval Guts
2.8. Detection of the Relative Expression Level of SOCS5 and ARF1 in A. apis-Infected Larval Guts after the Overexpression and Knockdown of piR-ame-945760
3. Discussion
4. Materials and Methods
4.1. Bee Larvae and Fungi
4.2. sRNA-Seq Data Source
4.3. Bioinformatic Prediction and Analysis of piRNAs
4.4. Identification of DEpiRNAs
4.5. Prediction and Investigation of DEpiRNA-Targeted mRNAs
4.6. Analysis of the DEpiRNA-mRNA Regulatory Network
4.7. Validation of DEpiRNAs by Stem-Loop RT-PCR
4.8. RT-qPCR Verification of DEpiRNAs and Target mRNAs
4.9. Overexpression and Knockdown of piR-ame-945760 in A. apis-Infected Larval Guts
4.10. RT-qPCR Detection of piR-ame-945760-Targeted mRNAs
4.11. Statistical Analysis
5. Conclusions
Supplementary Materials
Author Contributions
Funding
Institutional Review Board Statement
Informed Consent Statement
Data Availability Statement
Conflicts of Interest
References
- Aronstein, K.A.; Murray, K.D. Chalkbrood disease in honey bees. J. Invertebr. Pathol. 2010, 103 (Suppl. S1), S20–S29. [Google Scholar] [CrossRef]
- Toden, S.; Zumwalt, T.J.; Goel, A. Non-coding RNAs and potential therapeutic targeting in cancer. Biochim. Biophys. Acta Rev. Cancer 2021, 1875, 188491. [Google Scholar] [CrossRef] [PubMed]
- Iwasaki, Y.W.; Siomi, M.C.; Siomi, H. PIWI-interacting RNA: Its biogenesis and functions. Annu. Rev. Biochem. 2015, 84, 405–433. [Google Scholar] [CrossRef] [PubMed]
- Wang, X.; Ramat, A.; Simonelig, M.; Liu, M.F. Emerging roles and functional mechanisms of PIWI-interacting RNAs. Nat. Rev. Mol. Cell Biol. 2022, 24, 123–141. [Google Scholar] [CrossRef] [PubMed]
- Das, P.P.; Bagijn, M.P.; Goldstein, L.D.; Woolford, J.R.; Lehrbach, N.J.; Sapetschnig, A.; Buhecha, H.R.; Gilchrist, M.J.; Howe, K.L.; Stark, R.; et al. Piwi and piRNAs act upstream of an endogenous siRNA pathway to suppress Tc3 transposon mobility in the Caenorhabditis elegans germline. Mol. Cell 2008, 31, 79–90. [Google Scholar] [CrossRef]
- Dai, P.; Wang, X.; Liu, M.F. A dual role of the PIWI/piRNA machinery in regulating mRNAs during mouse spermiogenesis. Sci. China Life Sci. 2020, 63, 447–449. [Google Scholar] [CrossRef]
- Kotov, A.A.; Adashev, V.E.; Godneeva, B.K.; Ninova, M.; Shatskikh, A.S.; Bazylev, S.S.; Aravin, A.A.; Olenina, L.V. piRNA silencing contributes to interspecies hybrid sterility and reproductive isolation in Drosophila melanogaster. Nucleic Acids Res. 2019, 47, 4255–4271. [Google Scholar] [CrossRef]
- Katsuma, S.; Shoji, K.; Suzuki, Y.; Iwanaga, M. Potential for small RNA production against Bombyx mori latent virus in Bombyx mori ovaries. Arch. Insect Biochem. Physiol. 2021, 106, e21761. [Google Scholar] [CrossRef]
- Joosten, J.; Overheul, G.J.; Van Rij, R.P.; Miesen, P. Endogenous piRNA-guided slicing triggers responder and trailer piRNA production from viral RNA in Aedes aegypti mosquitoes. Nucleic Acids Res. 2021, 49, 8886–8899. [Google Scholar] [CrossRef]
- Pek, J.W.; Patil, V.S.; Kai, T. piRNA pathway and the potential processing site, the nuage, in the Drosophila germline. Dev. Growth Differ. 2012, 54, 66–77. [Google Scholar] [CrossRef]
- Khurana, J.S.; Xu, J.; Weng, Z.; Theurkauf, W.E. Distinct functions for the Drosophila piRNA pathway in genome maintenance and telomere protection. PLoS Genet. 2010, 6, e1001246. [Google Scholar] [CrossRef] [PubMed]
- Ashe, A.; Sapetschnig, A.; Weick, E.M.; Mitchell, J.; Bagijn, M.P.; Cording, A.C.; Doebley, A.L.; Goldstein, L.D.; Lehrbach, N.J.; Le Pen, J.; et al. piRNAs can trigger a multigenerational epigenetic memory in the germline of C. elegans. Cell 2012, 150, 88–99. [Google Scholar] [CrossRef] [PubMed]
- Kiuchi, T.; Koga, H.; Kawamoto, M.; Shoji, K.; Sakai, H.; Arai, Y.; Ishihara, G.; Kawaoka, S.; Sugano, S.; Shimada, T.; et al. A single female-specific piRNA is the primary determiner of sex in the silkworm. Nature 2014, 509, 633–636. [Google Scholar] [CrossRef] [PubMed]
- Jones, B.C.; Wood, J.G.; Chang, C.; Tam, A.D.; Franklin, M.J.; Siegel, E.R.; Helfand, S.L. A somatic piRNA pathway in the Drosophila fat body ensures metabolic homeostasis and normal lifespan. Nat. Commun. 2016, 7, 13856. [Google Scholar] [CrossRef]
- Wang, Z.Z.; Ye, X.Q.; Huang, J.H.; Chen, X.X. Virus and endogenous viral element-derived small non-coding RNAs and their roles in insect-virus interaction. Curr. Opin. Insect Sci. 2022, 49, 85–92. [Google Scholar] [CrossRef]
- Xu, Y.J.; Long, Q.; Fan, X.X.; Ye, Y.P.; Zhang, K.Y.; Zhang, J.X.; Zhao, H.D.; Yao, Y.T.; Fu, Z.M.; Chen, D.F.; et al. Transcriptome-wide characterization of piRNAs during the developmental process of European honey-bee larval guts. Genes 2022, 13, 1879. [Google Scholar] [CrossRef]
- Feng, M.; Kolliopoulou, A.; Zhou, Y.H.; Fei, S.G.; Xia, J.M.; Swevers, L.; Sun, J.C. The piRNA response to BmNPV infection in the silkworm fat body and midgut. Insect Sci. 2021, 28, 662–679. [Google Scholar] [CrossRef]
- Guo, Z.; Li, Y.; Ding, S.W. Small RNA-based antimicrobial immunity. Nat. Rev. Immunol. 2019, 19, 31–44. [Google Scholar] [CrossRef]
- Ye, Y.; Fan, X.; Cai, Z.; Wu, Y.; Zhang, W.; Zhao, H.; Guo, S.; Feng, P.; Li, Q.; Zou, P.; et al. Unveiling the circRNA-Mediated Immune Responses of Western Honey Bee Larvae to Ascosphaera apis Invasion. Int. J. Mol. Sci. 2022, 24, 613. [Google Scholar] [CrossRef]
- Yu, T.; Koppetsch, B.S.; Pagliarani, S.; Johnston, S.; Silverstein, N.J.; Luban, J.; Chappell, K.; Weng, Z.; Theurkauf, W.E. The piRNA response to retroviral invasion of the koala genome. Cell 2019, 179, 632–643.e12. [Google Scholar] [CrossRef]
- Li, J.; Wang, X.; Wang, Y.; Song, J.; Song, Q.; Wang, Y.; Han, J. HRV16 infection induces changes in the expression of multiple piRNAs. Virol. Sin. 2021, 36, 736–745. [Google Scholar] [CrossRef] [PubMed]
- Wang, Y.; Jin, B.; Liu, P.; Li, J.; Chen, X.; Gu, J. piRNA profiling of dengue virus type 2-infected Asian tiger mosquito and midgut tissues. Viruses 2018, 10, 213. [Google Scholar] [CrossRef] [PubMed]
- La, Y.; Ma, X.; Bao, P.; Chu, M.; Yan, P.; Guo, X.; Liang, C. Identification and characterization of Piwi-Interacting RNAs for early testicular development in Yak. Int. J. Mol. Sci. 2022, 23, 12320. [Google Scholar] [CrossRef] [PubMed]
- Haase, A.D.; Fenoglio, S.; Muerdter, F.; Guzzardo, P.M.; Czech, B.; Pappin, D.J.; Chen, C.; Gordon, A.; Hannon, G.J. Probing the initiation and effector phases of the somatic piRNA pathway in Drosophila. Genes. Dev. 2010, 24, 2499–2504. [Google Scholar] [CrossRef]
- Nishimasu, H.; Ishizu, H.; Saito, K.; Fukuhara, S.; Kamatani, M.K.; Bonnefond, L.; Matsumoto, N.; Nishizawa, T.; Nakanaga, K.; Aoki, J.; et al. Structure and function of Zucchini endoribonuclease in piRNA biogenesis. Nature 2012, 491, 284–287. [Google Scholar] [CrossRef]
- Vourekas, A.; Zheng, K.; Fu, Q.; Maragkakis, M.; Alexiou, P.; Ma, J.; Pillai, R.S.; Mourelatos, Z.; Wang, P.J. The RNA helicase MOV10L1 binds piRNA precursors to initiate piRNA processing. Genes. Dev. 2015, 29, 617–629. [Google Scholar] [CrossRef]
- Li, C.; Zhang, R.; Zhang, Z.; Ren, C.; Wang, X.; He, X.; Mwacharo, J.M.; Zhang, X.; Zhang, J.; Di, R.; et al. Expression characteristics of piRNAs in ovine luteal phase and follicular phase ovaries. Front. Vet. Sci. 2022, 9, 21868. [Google Scholar] [CrossRef]
- Morazzani, E.M.; Wiley, M.R.; Murreddu, M.G.; Adelman, Z.N.; Myles, K.M. Production of virus-derived ping-pong-dependent piRNA-like small RNAs in the mosquito soma. PLoS Pathog. 2012, 8, e1002470. [Google Scholar] [CrossRef]
- Katsuma, S.; Kawamoto, M.; Shoji, K.; Aizawa, T.; Kiuchi, T.; Izumi, N.; Ogawa, M.; Mashiko, T.; Kawasaki, H.; Sugano, S.; et al. Transcriptome profiling reveals infection strategy of an insect maculavirus. DNA Res. 2018, 25, 277–286. [Google Scholar] [CrossRef]
- Xu, Y.J.; Sun, M.H.; Liu, J.M.; Guo, Y.L.; Hu, Y.; Zhang, J.X.; Zhao, X.; Zhang, K.Y.; Xiong, C.L.; Chen, D.F.; et al. Differential expression profiles and potential function of piRNAs in Apis mellifera ligustica workers under Nosema ceranae stress. J. Sichuan Univ. (Nat. Sci. Ed.) 2022, 59, 178–186. (In Chinese) [Google Scholar]
- Gou, L.T.; Dai, P.; Yang, J.H.; Xue, Y.; Hu, Y.P.; Zhou, Y.; Kang, J.Y.; Wang, X.; Li, H.; Hua, M.M.; et al. Pachytene piRNAs instruct massive mRNA elimination during late spermiogenesis. Cell Res. 2014, 24, 680–700. [Google Scholar] [CrossRef] [PubMed]
- Guo, Q.; Xu, L.; Bi, Y.; Qiu, L.; Chen, Y.; Kong, L.; Pan, R.; Chang, G. piRNA-19128 regulates spermatogenesis by silencing of KIT in chicken. J. Cell Biochem. 2018, 119, 7998–8010. [Google Scholar] [CrossRef] [PubMed]
- Cao, C.; Xue, C. More than just cleaning: Ubiquitin-mediated proteolysis in fungal pathogenesis. Front. Cell Infect. Microbiol. 2021, 11, 774613. [Google Scholar] [CrossRef]
- Wang, X.; Huang, P.; Lei, M.; Ma, Y.; Chen, H.; Sun, J.; Hu, Y.; Shi, J. Global expression and functional analysis of human piRNAs during HSV-1 infection. Virus Res. 2023, 328, 199087. [Google Scholar] [CrossRef] [PubMed]
- Hillyer, J.F. Insect immunology and hematopoiesis. Dev. Comp. Immunol. 2016, 58, 102–118. [Google Scholar] [CrossRef] [PubMed]
- Xin, P.; Xu, X.; Deng, C.; Liu, S.; Wang, Y.; Zhou, X.; Ma, H.; Wei, D.; Sun, S. The role of JAK/STAT signaling pathway and its inhibitors in diseases. Int. Immunopharmacol. 2020, 80, 106210. [Google Scholar] [CrossRef]
- Dong, C.; Davis, R.J.; Flavell, R.A. MAP kinases in the immune response. Annu. Rev. Immunol. 2002, 20, 55–72. [Google Scholar] [CrossRef]
- Guo, J.; Ye, W.; Liu, X.; Sun, X.; Guo, Q.; Huang, Y.; Ma, L.; Sun, Y.; Shen, B.; Zhou, D.; et al. piRNA-3312: A putative role for pyrethroid resistance in Culex pipiens pallens (Diptera: Culicidae). J. Med. Entomol. 2017, 54, 1013–1018. [Google Scholar] [CrossRef]
- Chen, G.; Wang, S.; Long, C.; Wang, Z.; Chen, X.; Tang, W.; He, X.; Bao, Z.; Tan, B.; Lu, W.W.; et al. piRNA-63049 inhibits bone formation through Wnt/β-catenin signaling pathway. Int. J. Biol. Sci. 2021, 17, 4409–4425. [Google Scholar] [CrossRef]
- Strebovsky, J.; Walker, P.; Dalpke, A.H. Suppressor of cytokine signaling proteins as regulators of innate immune signaling. Front. Biosci. (Landmark Ed.) 2012, 17, 1627–1639. [Google Scholar] [CrossRef]
- Kedzierski, L.; Tan, A.E.Q.; Foo, I.J.H.; Nicholson, S.E.; Fazakerley, J.K. Suppressor of cytokine signalling 5 (SOCS5) modulates inflammatory responses during alphavirus Infection. Viruses 2022, 14, 2476. [Google Scholar] [CrossRef] [PubMed]
- Wang, Q.; Muhammad, T.A.; Muhammad, W.H.; Muhammad, A.M.; Muhammad, H.; Yan, R.; Xu, L.; Song, X.; Li, X. Hepatocellular carcinoma-associated antigen 59 and ADP-ribosylation factor 1 with poly (lactic-co-glycolic acid): A promising candidate as nanovaccine against haemonchosis. Microb. Pathog. 2022, 168, 105614. [Google Scholar] [CrossRef] [PubMed]
- Khadilkar, R.J.; Ray, A.; Chetan, D.R.; Sinha, A.R.; Magadi, S.S.; Kulkarni, V.; Inamdar, M.S. Differential modulation of the cellular and humoral immune responses in Drosophila is mediated by the endosomal ARF1-Asrij axis. Sci. Rep. 2017, 7, 118. [Google Scholar] [CrossRef] [PubMed]
- Wu, Y.; Guo, Y.; Fan, X.; Zhao, H.; Zhang, Y.; Guo, S.; Jing, X.; Liu, Z.; Feng, P.; Liu, X.; et al. ame-miR-34 Modulates the Larval Body Weight and Immune Response of Apis mellifera Workers to Ascosphara apis Invasion. Int. J. Mol. Sci. 2023, 24, 1214. [Google Scholar] [CrossRef] [PubMed]
- Sajjad, N.; Wang, S.; Liu, P.; Chen, J.L.; Chi, X.; Liu, S.; Ma, S. Functional Roles of Non-coding RNAs in the Interaction Between Host and Influenza A Virus. Front. Microbiol. 2021, 12, 742984. [Google Scholar] [CrossRef]
- Guo, R.; Chen, D.; Xiong, C.; Hou, C.; Zheng, Y.; Fu, Z.; Diao, Q.; Zhang, L.; Wang, H.; Hou, Z.; et al. Identification of long non-coding RNAs in the chalkbrood disease pathogen Ascospheara apis. J. Invertebr. Pathol. 2018, 156, 1–5. [Google Scholar] [CrossRef] [PubMed]
- Guo, R.; Du, Y.; Xiong, C.L.; Zheng, Y.Z.; Fu, Z.M.; Xu, G.J.; Wang, H.P.; Chen, H.Z.; Geng, S.H.; Zhou, D.D.; et al. Differentially expressed microRNA and their regulation networks during the developmental process of Apis mellifera ligustica larval gut. Sci. Agric. Sin. 2018, 51, 4197–4209. (In Chinese) [Google Scholar]
- Guo, R.; Du, Y.; Tong, X.Y.; Xiong, C.L.; Zheng, Y.Z.; Xu, G.J.; Wang, H.P.; Zhou, D.D.; Guo, Y.L.; Wu, S.Z.; et al. Differentially expressed microRNAs and their regulation networks in Apis mellifera ligustica larval gut during the early stage of Ascosphaera apis infection. Sci. Agric. Sin. 2019, 52, 166–180. (In Chinese) [Google Scholar]
- Guo, R.; Du, Y.; Zhou, N.H.; Liu, S.Y.; Xiong, C.L.; Zheng, Y.Z.; Fu, Z.M.; Xu, G.J.; Wang, H.P.; Geng, S.H.; et al. Comprehensive analysis of differentially expressed microRNAs and their target genes in the larval gut of Apis mellifera ligustica during the late stage of Ascosphaera apis stress. Acta Entomol. Sin. 2019, 62, 49–60. (In Chinese) [Google Scholar]
- Benson, D.A.; Cavanaugh, M.; Clark, K.; Karsch-Mizrachi, I.; Ostell, J.; Pruitt, K.D.; Sayers, E.W. GenBank. Nucleic Acids Res. 2018, 46, D41–D47. [Google Scholar] [CrossRef]
- Griffiths-Jones, S.; Moxon, S.; Marshall, M.; Khanna, A.; Eddy, S.R.; Bateman, A. Rfam: Annotating non-coding RNAs in complete genomes. Nucleic Acids Res. 2005, 33, D121–D124. [Google Scholar] [CrossRef] [PubMed]
- Wang, J.; Zhang, P.; Lu, Y.; Li, Y.; Zheng, Y.; Kan, Y.; Chen, R.; He, S. piRBase: A comprehensive database of piRNA sequences. Nucleic Acids Res. 2019, 47, D175–D180. [Google Scholar] [PubMed]
- Robinson, M.D.; McCarthy, D.J.; Smyth, G.K. edgeR: A Bioconductor package for differential expression analysis of digital gene expression data. Bioinformatics 2010, 26, 139–140. [Google Scholar] [CrossRef] [PubMed]
- Allen, E.; Xie, Z.; Gustafson, A.M.; Carrington, J.C. microRNA-directed phasing during trans-acting siRNA biogenesis in plants. Cell 2005, 121, 207–221. [Google Scholar]
- Smoot, M.E.; Ono, K.; Ruscheinski, J.; Wang, P.L.; Ideker, T. Cytoscape 2.8: New features for data integration and network visualization. Bioinformatics 2011, 27, 431–432. [Google Scholar]
- Livak, K.J.; Schmittgen, T.D. Analysis of relative gene expression data using real-time quantitative PCR and the 2(-Delta Delta C(T)) Method. Methods 2001, 25, 402–408. [Google Scholar] [CrossRef]
- Peng, C.Y.; Mussen, E.; Fong, A.; Montague, M.A.; Tyler, T. Effect of chlortetracycline of honeybee worker larvae reared in vitro. J. Invertebr. Pathol. 1992, 60, 127–133. [Google Scholar]












Disclaimer/Publisher’s Note: The statements, opinions and data contained in all publications are solely those of the individual author(s) and contributor(s) and not of MDPI and/or the editor(s). MDPI and/or the editor(s) disclaim responsibility for any injury to people or property resulting from any ideas, methods, instructions or products referred to in the content. |
© 2023 by the authors. Licensee MDPI, Basel, Switzerland. This article is an open access article distributed under the terms and conditions of the Creative Commons Attribution (CC BY) license (https://creativecommons.org/licenses/by/4.0/).
Share and Cite
Sun, M.; Fan, X.; Long, Q.; Zang, H.; Zhang, Y.; Liu, X.; Feng, P.; Song, Y.; Li, K.; Wu, Y.; et al. First Characterization and Regulatory Function of piRNAs in the Apis mellifera Larval Response to Ascosphaera apis Invasion. Int. J. Mol. Sci. 2023, 24, 16358. https://doi.org/10.3390/ijms242216358
Sun M, Fan X, Long Q, Zang H, Zhang Y, Liu X, Feng P, Song Y, Li K, Wu Y, et al. First Characterization and Regulatory Function of piRNAs in the Apis mellifera Larval Response to Ascosphaera apis Invasion. International Journal of Molecular Sciences. 2023; 24(22):16358. https://doi.org/10.3390/ijms242216358
Chicago/Turabian StyleSun, Minghui, Xiaoxue Fan, Qi Long, He Zang, Yiqiong Zhang, Xiaoyu Liu, Peilin Feng, Yuxuan Song, Kunze Li, Ying Wu, and et al. 2023. "First Characterization and Regulatory Function of piRNAs in the Apis mellifera Larval Response to Ascosphaera apis Invasion" International Journal of Molecular Sciences 24, no. 22: 16358. https://doi.org/10.3390/ijms242216358
APA StyleSun, M., Fan, X., Long, Q., Zang, H., Zhang, Y., Liu, X., Feng, P., Song, Y., Li, K., Wu, Y., Jiang, H., Chen, D., & Guo, R. (2023). First Characterization and Regulatory Function of piRNAs in the Apis mellifera Larval Response to Ascosphaera apis Invasion. International Journal of Molecular Sciences, 24(22), 16358. https://doi.org/10.3390/ijms242216358

