Titanium Particles Modulate Lymphocyte and Macrophage Polarization in Peri-Implant Gingival Tissues
Abstract
1. Introduction
2. Results
2.1. Transcriptional Profiling Distinguishes between FI, SI and NI Gingival Tissue Samples
2.2. Dysregulation of Cellular Response to Chemical Stress and Immune Response in Gingival Tissues from SI and FI
2.3. GSEA Identifies the Activated Cellular Pathways in Gingival Tissues from SI and FI
2.4. Polarization of Macrophage in Peri-Implant Gingival Tissues
2.5. Titanium Particles Result in Triggering the Immune System in Both FI and SI
2.6. Higher Infiltration of Immune Cells in Peri-Implant Gingival Tissues of FI Compared to SI or NI
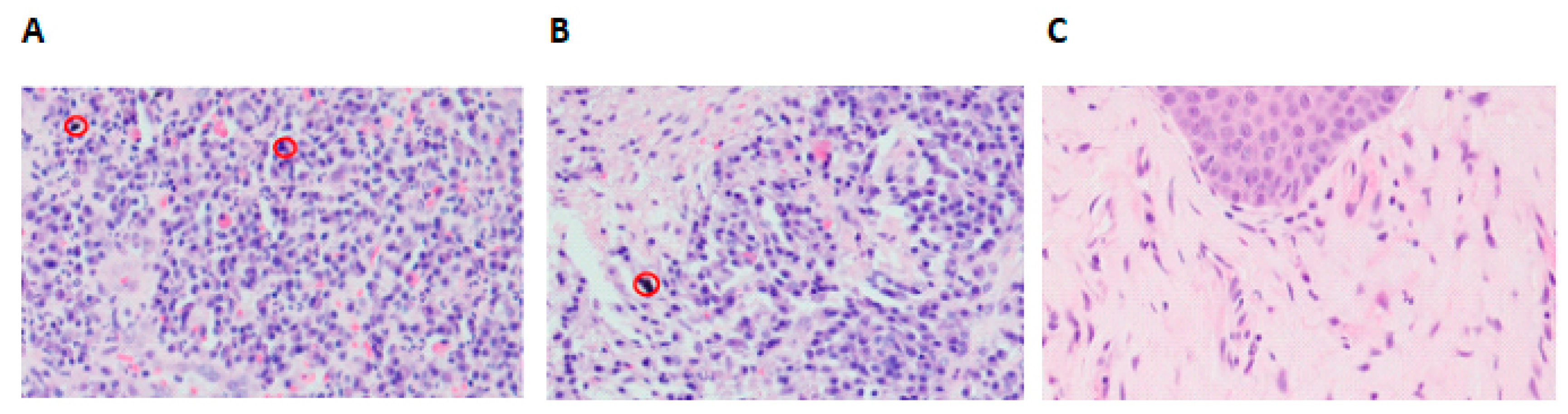
2.7. Immunohistochemistry Analysis Validates the Infiltration of Macrophages and Lymphocytes into Peri-Implant Gingival Tissues
2.8. Protein Expression of Various Cytokines by M0 Macrophages Treated with TiO2
2.9. Protein Interaction Network of the Significantly Altered Cytokines in the Peri-Implant Gingival Tissues with the Presence of TiO2
3. Discussion
4. Materials and Methods
4.1. Patients’ Selection Criteria
4.2. Collection of Gingival Tissue Samples
4.3. Processing of Gingival Tissue Samples and Paraffin-Embedded Blocks’ Preparation
4.4. Whole Transcriptome Analysis
4.4.1. RNA Sequencing
4.4.2. RNA-Seq Data Analysis
4.4.3. Clustering and Functional Enrichment Analysis of the Differentially Expressed Genes
4.4.4. Gene Set Enrichment Analysis
4.4.5. In Silico Prediction of the Immune Cells’ Subsets in the Peri-Implant Gingival Tissues
4.5. Histological and Cytological Staining
4.6. Validation of Cytokines’ Release in the Presence of TiO2
4.6.1. THP-1 Monocyte-Derived M0 Macrophages Cell Line Culture
4.6.2. Titanium Dioxide Solutions’ Preparation
4.6.3. Validation of Cytokines’ Protein Expression
4.7. Protein–Protein Interaction (PPI) Network Analysis
4.8. Statistical Analysis
5. Conclusions
Supplementary Materials
Author Contributions
Funding
Institutional Review Board Statement
Informed Consent Statement
Data Availability Statement
Acknowledgments
Conflicts of Interest
References
- Hermann, J.S.; Buser, D.; Schenk, R.K.; Schoolfield, J.D.; Cochran, D.L. Biologic Width around one- and two-piece titanium implants. Clin. Oral Implants Res. 2001, 12, 559–571. [Google Scholar] [CrossRef] [PubMed]
- Lang, N.P.; Berglundh, T.; Working Group 4 of Seventh European Workshop on Periodontology. Periimplant diseases: Where are we now?—Consensus of the Seventh European Workshop on Periodontology. J. Clin. Periodontol. 2011, 38, 178–181. [Google Scholar] [CrossRef] [PubMed]
- Guglielmotti, M.B.; Domingo, M.G.; Steimetz, T.; Ramos, E.; Paparella, M.L.; Olmedo, D.G. Migration of titanium dioxide microparticles and nanoparticles through the body and deposition in the gingiva: An experimental study in rats. Eur. J. Oral Sci. 2015, 123, 242–248. [Google Scholar] [CrossRef] [PubMed]
- Chaturvedi, T.P. An overview of the corrosion aspect of dental implants (titanium and its alloys). Indian J. Dent. Res. Off. Publ. Indian. Soc. Dent. Res. 2009, 20, 91–98. [Google Scholar] [CrossRef] [PubMed]
- Chi, M.; Qi, M.; A, L.; Wang, P.; Weir, M.D.; Melo, M.A.; Sun, X.; Dong, B.; Li, C.; Wu, J.; et al. Novel Bioactive and Therapeutic Dental Polymeric Materials to Inhibit Periodontal Pathogens and Biofilms. Int. J. Mol. Sci. 2019, 20, 278. [Google Scholar] [CrossRef]
- Li, W.; Qi, M.; Sun, X.; Chi, M.; Wan, Y.; Zheng, X.; Li, C.; Wang, L.; Dong, B. Novel dental adhesive containing silver exchanged EMT zeolites against cariogenic biofilms to combat dental caries. Microporous Mesoporous Mater. 2020, 299, 110113. [Google Scholar] [CrossRef]
- Tawse-Smith, A.; Ma, S.; Duncan, W.J.; Gray, A.; Reid, M.R.; Rich, A.M. Implications of Wear at the Titanium-Zirconia Implant-Abutment Interface on the Health of Peri-implant Tissues. Int. J. Oral Maxillofac. Implants 2017, 32, 599–609. [Google Scholar] [CrossRef]
- Rodrigues, D.C.; Valderrama, P.; Wilson, T.G.; Palmer, K.; Thomas, A.; Sridhar, S.; Adapalli, A.; Burbano, M.; Wadhwani, C. Titanium Corrosion Mechanisms in the Oral Environment: A Retrieval Study. Materials 2013, 6, 5258–5274. [Google Scholar] [CrossRef]
- Shah, R.; Penmetsa, D.S.L.; Thomas, R.; Mehta, D.S. Titanium Corrosion: Implications For Dental Implants. Eur. J. Prosthodont. Restor. Dent. 2016, 24, 171–180. [Google Scholar] [CrossRef]
- Park, J.-B.; Jeon, Y.; Ko, Y. Effects of titanium brush on machined and sand-blasted/acid-etched titanium disc using confocal microscopy and contact profilometry. Clin. Oral Implants Res. 2015, 26, 130–136. [Google Scholar] [CrossRef]
- Berglundh, T.; Zitzmann, N.U.; Donati, M. Are peri-implantitis lesions different from periodontitis lesions? J. Clin. Periodontol. 2011, 38, 188–202. [Google Scholar] [CrossRef] [PubMed]
- Wilson, T.G., Jr.; Valderrama, P.; Burbano, M.; Blansett, J.; Levine, R.; Kessler, H.; Rodrigues, D.C. Foreign Bodies Associated With Peri-Implantitis Human Biopsies. J. Periodontol. 2015, 86, 9–15. [Google Scholar] [CrossRef] [PubMed]
- Eger, M.; Sterer, N.; Liron, T.; Kohavi, D.; Gabet, Y. Scaling of titanium implants entrains inflammation-induced osteolysis. Sci. Rep. 2017, 7, 39612. [Google Scholar] [CrossRef]
- Noronha Oliveira, M.; Schunemann, W.V.H.; Mathew, M.T.; Henriques, B.; Magini, R.S.; Teughels, W.; Souza, J.C.M. Can degradation products released from dental implants affect peri-implant tissues? J. Periodontal Res. 2018, 53, 1–11. [Google Scholar] [CrossRef]
- Gomes, F.I.F.; Aragão, M.G.B.; Barbosa, F.C.B.; Bezerra, M.M.; de Paulo Teixeira Pinto, V.; Chaves, H.V. Inflammatory Cytokines Interleukin-1β and Tumour Necrosis Factor-α—Novel Biomarkers for the Detection of Periodontal Diseases: A Literature Review. J. Oral Maxillofac. Res. 2016, 7, e2. [Google Scholar] [CrossRef] [PubMed]
- Derks, J.; Tomasi, C. Peri-implant health and disease. A systematic review of current epidemiology. J. Clin. Periodontol. 2015, 42, S158–S171. [Google Scholar] [CrossRef]
- Baseri, M.; Radmand, F.; Hamedi, R.; Yousefi, M.; Kafil, H.S. Immunological Aspects of Dental Implant Rejection. BioMed Res. Int. 2020, 2020, e7279509. [Google Scholar] [CrossRef]
- Wang, Y.; Zhang, Y.; Sculean, A.; Bosshardt, D.; Miron, R. Macrophage behavior and interplay with gingival fibroblasts cultured on six commercially available titanium, zirconium, and titanium-zirconium dental implants. Clin. Oral Investig. 2019, 23, 3219–3227. [Google Scholar] [CrossRef]
- Goodman, S. Wear Particles, Periprosthetic Osteolysis and the Immune System. Biomaterials 2008, 28, 5044–5048. [Google Scholar] [CrossRef]
- Schwarz, F.; Sahm, N.; Mihatovic, I.; Golubovic, V.; Becker, J. Surgical therapy of advanced ligature-induced peri-implantitis defects: Cone-beam computed tomographic and histological analysis. J. Clin. Periodontol. 2011, 38, 939–949. [Google Scholar] [CrossRef]
- Wang, J.; Tian, Y.; Phillips, K.L.E.; Chiverton, N.; Haddock, G.; Bunning, R.A.; Cross, A.K.; Shapiro, I.M.; LeMaitre, C.L.; Risbud, M.V. TNF-α and IL-1β Dependent Induction of CCL3 Expression by Nucleus Pulposus Cells Promotes Macrophage Migration through CCR1. Arthritis Rheum. 2013, 65, 832–842. [Google Scholar] [CrossRef] [PubMed]
- Engelhardt, E.; Toksoy, A.; Goebeler, M.; Debus, S.; Bröcker, E.B.; Gillitzer, R. Chemokines IL-8, GROalpha, MCP-1, IP-10, and Mig are sequentially and differentially expressed during phase-specific infiltration of leukocyte subsets in human wound healing. Am. J. Pathol. 1998, 153, 1849–1860. [Google Scholar] [CrossRef]
- Yang, S.-Y.; Zhang, K.; Bai, L.; Song, Z.; Yu, H.; McQueen, D.A.; Wooley, P.H. Polymethylmethacrylate and titanium alloy particles activate peripheral monocytes during periprosthetic inflammation and osteolysis. J. Orthop. Res. 2011, 29, 781–786. [Google Scholar] [CrossRef] [PubMed]
- Ben-Mordechai, T.; Holbova, R.; Landa-Rouben, N.; Harel-Adar, T.; Feinberg, M.S.; Abd Elrahman, I.; Blum, G.; Epstein, F.H.; Silman, Z.; Cohen, S.; et al. Macrophage subpopulations are essential for infarct repair with and without stem cell therapy. J. Am. Coll. Cardiol. 2013, 62, 1890–1901. [Google Scholar] [CrossRef] [PubMed]
- Becker, S.T.; Beck-Broichsitter, B.E.; Graetz, C.; Dörfer, C.E.; Wiltfang, J.; Häsler, R. Peri-implantitis versus periodontitis: Functional differences indicated by transcriptome profiling. Clin. Implant. Dent. Relat. Res. 2014, 16, 401–411. [Google Scholar] [CrossRef] [PubMed]
- Roediger, M.; Miró, X.; Geffers, R.; Irmer, M.; Huels, A.; Miosge, N.; Gersdorff, N. Profiling of Differentially Expressed Genes in Peri-implantitis and Periodontitis in vivo by Microarray Analysis. J. Oral Biosci. 2009, 51, 31–45. [Google Scholar] [CrossRef]
- Cho, Y.-D.; Kim, P.-J.; Kim, H.-G.; Seol, Y.-J.; Lee, Y.-M.; Ryoo, H.-M.; Ku, Y. Transcriptome and methylome analysis of periodontitis and peri-implantitis with tobacco use. Gene 2020, 727, 144258. [Google Scholar] [CrossRef]
- Liu, Y.; Liu, Q.; Li, Z.; Acharya, A.; Chen, D.; Chen, Z.; Mattheos, N.; Chen, Z.; Huang, B. Long non-coding RNA and mRNA expression profiles in peri-implantitis vs periodontitis. J. Periodontal Res. 2020, 55, 342–353. [Google Scholar] [CrossRef]
- Tilton, S.C.; Karin, N.J.; Tolic, A.; Xie, Y.; Lai, X.; Hamilton, R.F.; Waters, K.M.; Holian, A.; Witzmann, F.A.; Orr, G. Three human cell types respond to multi-walled carbon nanotubes and titanium dioxide nanobelts with cell-specific transcriptomic and proteomic expression patterns. Nanotoxicology 2014, 8, 533–548. [Google Scholar] [CrossRef]
- Kheder, W.; Soumya, S.; Samsudin, A.R. Impact of titanium dioxide particle size on macrophage production of intracellular reactive oxygen species. Arch. Oral Biol. 2021, 127, 105133. [Google Scholar] [CrossRef]
- Dapunt, U.; Giese, T.; Lasitschka, F.; Reinders, J.; Lehner, B.; Kretzer, J.P.; Ewerbeck, V.; Hänsch, G.M. On the inflammatory response in metal-on-metal implants. J. Transl. Med. 2014, 12, 74. [Google Scholar] [CrossRef] [PubMed]
- Rao, A.J.; Gibon, E.; Ma, T.; Yao, Z.; Smith, R.L.; Goodman, S.B. Revision joint replacement, wear particles, and macrophage polarization. Acta Biomater. 2012, 8, 2815–2823. [Google Scholar] [CrossRef] [PubMed]
- Galarraga Vinueza, M.E.; Obreja, K.; Begic, A.; Sader, R.; Ramanauskaite, A.; Magini, R.; Schwarz, F. Macrophage polarization in peri-implantitis lesions. Clin. Oral Implants Res. 2020, 31, 6. [Google Scholar] [CrossRef]
- Bijukumar, D.R.; Salunkhe, S.; Zheng, G.; Barba, M.; Hall, D.J.; Pourzal, R.; Mathew, M.T. Wear particles induce a new macrophage phenotype with the potential to accelerate material corrosion within total hip replacement interfaces. Acta Biomater. 2020, 101, 586–597. [Google Scholar] [CrossRef]
- Amengual-Peñafiel, L.; Córdova, L.A.; Constanza Jara-Sepúlveda, M.; Brañes-Aroca, M.; Marchesani-Carrasco, F.; Cartes-Velásquez, R. Osteoimmunology drives dental implant osseointegration: A new paradigm for implant dentistry. Jpn. Dent. Sci. Rev. 2021, 57, 12–19. [Google Scholar] [CrossRef] [PubMed]
- Rex, J.; Lutz, A.; Faletti, L.E.; Albrecht, U.; Thomas, M.; Bode, J.G.; Borner, C.; Sawodny, O.; Merfort, I. IL-1β and TNFα Differentially Influence NF-κB Activity and FasL-Induced Apoptosis in Primary Murine Hepatocytes During LPS-Induced Inflammation. Front. Physiol. 2019, 10, 117. Available online: https://www.frontiersin.org/article/10.3389/fphys.2019.00117 (accessed on 16 May 2022). [CrossRef] [PubMed]
- Iocca, O. Evidence-Based Implant Dentistry; Springer: Cham, Switzerland, 2016; p. 241. ISBN 978-3-319-26870-5. [Google Scholar]
- Turner, M.; Nedjai, B.; Hurst, T.; Pennington, D. Cytokines and chemokines: At the crossroads of cell signaling and inflammatory disease. Biochim. Biophys. Acta 2014, 1843, 2563–2582. [Google Scholar] [CrossRef] [PubMed]
- Bhavsar, I.; Miller, C.S.; Al-Sabbagh, M. Macrophage Inflammatory Protein-1 Alpha (MIP-1 alpha)/CCL3: As a Biomarker. Gen. Methods Biomark. Res. Their Appl. 2015, 223–249. [Google Scholar] [CrossRef]
- Amir Levy, Y.; Ciaraldi, T.P.; Mudaliar, S.R.; Phillips, S.A.; Henry, R.R. Excessive secretion of IL-8 by skeletal muscle in type 2 diabetes impairs tube growth: Potential role of PI3K and the Tie2 receptor. Am. J. Physiol.-Endocrinol. Metab. 2015, 309, E22–E34. [Google Scholar] [CrossRef]
- Dinarello, C.; Novick, D.; Kim, S.; Kaplanski, G. Interleukin-18 and IL-18 Binding Protein. Front. Immunol. 2013, 4, 289. Available online: https://www.frontiersin.org/article/10.3389/fimmu.2013.00289 (accessed on 18 February 2022). [CrossRef]
- Safioti, L.M.; Kotsakis, G.A.; Pozhitkov, A.E.; Chung, W.O.; Daubert, D.M. Increased Levels of Dissolved Titanium Are Associated With Peri-Implantitis—A Cross-Sectional Study. J. Periodontol. 2017, 88, 436–442. [Google Scholar] [CrossRef] [PubMed]
- Schminke, B.; vom Orde, F.; Gruber, R.; Schliephake, H.; Bürgers, R.; Miosge, N. The Pathology of Bone Tissue during Peri-Implantitis. J. Dent. Res. 2015, 94, 354–361. [Google Scholar] [CrossRef] [PubMed]
- Chanput, W.; Mes, J.J.; Wichers, H.J. THP-1 cell line: An in vitro cell model for immune modulation approach. Int. Immunopharmacol. 2014, 23, 37–45. [Google Scholar] [CrossRef] [PubMed]
- Chi, M.; Li, N.; Sharma, N.; Li, W.; Chen, C.; Dong, B.; Cheng, L.; Wang, L.; Thieringer, F.M. Positive regulation of osteogenesis on titanium surface by modification of nanosized Ca2+-exchanged EMT zeolites. Mater. Today Commun. 2022, 33, 104874. [Google Scholar] [CrossRef]
- Mombelli, A.; Hashim, D.; Cionca, N. What is the impact of titanium particles and biocorrosion on implant survival and complications? A critical review. Clin. Oral Implants Res. 2018, 29, 37–53. [Google Scholar] [CrossRef]
- Hammoudeh, S.M.; Hammoudeh, A.M.; Venkatachalam, T.; Rawat, S.; Jayakumar, M.N.; Rahmani, M.; Hamoudi, R. Enriched transcriptome analysis of laser capture microdissected populations of single cells to investigate intracellular heterogeneity in immunostained FFPE sections. Comput. Struct. Biotechnol. J. 2021, 19, 5198–5209. [Google Scholar] [CrossRef]
- Abdul Razzaq, E.A.; Bajbouj, K.; Bouzid, A.; Alkhayyal, N.; Hamoudi, R.; Bendardaf, R. Transcriptomic Changes Associated with ERBB2 Overexpression in Colorectal Cancer Implicate a Potential Role of the Wnt Signaling Pathway in Tumorigenesis. Cancers 2022, 15, 130. [Google Scholar] [CrossRef]
- Hamoudi, R.A.; Appert, A.; Ye, H.; Ruskone-Fourmestraux, A.; Streubel, B.; Chott, A.; Raderer, M.; Gong, L.; Wlodarska, I.; De Wolf-Peeters, C.; et al. Differential expression of NF-κB target genes in MALT lymphoma with and without chromosome translocation: Insights into molecular mechanism. Leukemia 2010, 24, 1487–1497. [Google Scholar] [CrossRef]
- Zhou, Y.; Zhou, B.; Pache, L.; Chang, M.; Khodabakhshi, A.H.; Tanaseichuk, O.; Benner, C.; Chanda, S.K. Metascape provides a biologist-oriented resource for the analysis of systems-level datasets. Nat. Commun. 2019, 10, 1523. [Google Scholar] [CrossRef]
- Heberle, H.; Meirelles, G.V.; da Silva, F.R.; Telles, G.P.; Minghim, R. InteractiVenn: A web-based tool for the analysis of sets through Venn diagrams. BMC Bioinform. 2015, 16, 169. [Google Scholar] [CrossRef]
- Chiu, Y.-J.; Hsieh, Y.-H.; Huang, Y.-H. Improved cell composition deconvolution method of bulk gene expression profiles to quantify subsets of immune cells. BMC Med. Genomics 2019, 12, 169. [Google Scholar] [CrossRef] [PubMed]
- Szklarczyk, D.; Franceschini, A.; Wyder, S.; Forslund, K.; Heller, D.; Huerta-Cepas, J.; Simonovic, M.; Roth, A.; Santos, A.; Tsafou, K.P.; et al. STRING v10: Protein-protein interaction networks, integrated over the tree of life. Nucleic Acids Res. 2015, 43, D447–D452. [Google Scholar] [CrossRef] [PubMed]










| Group | Expression | Description | Category | Gene Count | p-Value |
|---|---|---|---|---|---|
| Successful Implants (SI) | Up regulated | Detection of chemical stimulus | Biological Processes: GO:0009593 | 55 | 1.12 × 10−7 |
| Leukocyte migration | Biological Processes: GO:0050900 | 37 | 5.77 × 10−5 | ||
| Myeloid leukocyte activation | Biological Processes: GO:0002274 | 26 | 6.33 × 10−5 | ||
| Neutrophil degranulation | Reactome Gene Sets: R-HSA-6798695 | 44 | 8.49 × 10−5 | ||
| Regulation of cytokine production | Biological Processes: GO:0001817 | 64 | 1.44 × 10−4 | ||
| Cellular defense response | Biological Processes: GO:0006968 | 10 | 2.3 × 10−4 | ||
| Leukocyte degranulation | Biological Processes: GO:0043299 | 12 | 3.23 × 10−4 | ||
| Positive regulation of interleukin-10 production | Biological Processes: GO:0032733 | 8 | 8.28 × 10−4 | ||
| Apoptotic cell clearance | Biological Processes: GO:0043277 | 9 | 9.91 × 10−4 | ||
| Downregulated | Cellular responses to stimuli | Reactome Gene Sets: R-HSA-8953897 | 422 | 3.88 × 10−54 | |
| Programmed cell death | Reactome Gene Sets: R-HSA-5357801 | 50 | 2.83 × 10−15 | ||
| Failed Implants (FI) | Upregulated | Cellular response to cadmium ion | Biological Processes: GO:0071276 | 10 | 1.9 × 10−3 |
| Lymphocyte proliferation | Biological Processes: GO:0002376 | 12 | 3.4 × 10−4 | ||
| B-Cell activation | Biological Processes: GO:0042113 | 21 | 1.92 × 10−5 | ||
| T-Cell activation involved in immune response | Biological Processes: GO:0002286 | 9 | 4.69 × 10−3 | ||
| Downregulated | Cellular response to chemical stress | Reactome Gene Sets: R-HSA-9711123 | 47 | 4.7 × 10−6 | |
| Response to alcohol | Biological Processes: GO:0097305 | 24 | 1.9 × 10−6 |
| Comparison | Gene Set | Source | Size | ES | NES | NOM p |
|---|---|---|---|---|---|---|
| FI vs. NI | M1 vs. M2 | GSE5099 | 23 | 0.62 | 1.64 | <0.001 |
| CD4 EFF MEM VS PBMC DN | GSE11057 | 21 | 0.52 | 1.49 | <0.05 | |
| LYMPHOCYTE PROLIFERATION | GO:0008283 | 50 | 0.40 | 1.52 | <0.05 | |
| CSF1 IFNG VS CSF1 IFNG PAM3CYS IN MAC UP | GSE11864 | 15 | 0.53 | 1.54 | <0.05 | |
| UNTREATED VS CSF1 IFNG PAM3CYS IN MAC DN | GSE11864 | 16 | 0.53 | 1.82 | <0.001 | |
| TFH VS TH17 CD4 TCELL DN | GSE11924 | 15 | 0.62 | 1.60 | <0.001 | |
| IGD POS BLOOD VS NAIVE TONSIL BCELL DN | GSE12845 | 17 | 0.63 | 1.42 | <0.001 | |
| IMM VS MATURE NKCELL DN | GSE13229 | 16 | 0.60 | 1.66 | <0.05 | |
| SI vs. NI | NAIVE VS MEMORY CD8 TCELL DN | GSE10239 | 47 | 0.49 | 1.58 | <0.001 |
| CD4 TCELL VS LUPUS CD4 TCELL DN | GSE10325 | 35 | 0.56 | 1.59 | <0.001 | |
| NAIVE VS CENT MEMORY CD4 TCELL UP | GSE11057 | 30 | 0.54 | 1.69 | <0.001 | |
| NAIVE VS EFF MEMORY CD4 TCELL UP | GSE11057 | 41 | 0.54 | 1.71 | <0.001 | |
| NAIVE VS DAY8 EFF CD8 TCELL UP | GSE1000001 | 41 | 0.59 | 1.38 | <0.001 | |
| RESPONSE TO CHEMICAL STIMULUS | GO:0042221 | 63 | 0.44 | 1.64 | <0.001 |
| Immune Cells | Successful Implants SI (%) | Failed Implants FI (%) |
|---|---|---|
| Memory CD8 T-Cells | 6.8 | 6 |
| CD8 T-Cells | 13.4 | 0 |
| Regulatory T cells (Tregs) | 3.15 | 16.4 |
| M1 macrophages | 9.9 | 9.4 |
| M2 macrophages | 18.7 | 22.3 |
| CD4 T-Cells | 19.6 | 45.9 |
| Target | Retrieval Condition | Primary Antibody Cat. No. | Dilution Used of Primary Antibody | Secondary Antibody Cat. No. | Dilution Used of Secondary Antibody |
|---|---|---|---|---|---|
| CD3 | PH-9, Tris-EDTA buffer | PA5-79720 | 1:3000 | ab 205718 | 1:4000 |
| CD68 | PH-6 Sodium citrate | EPR-20545 | 1:50 | ab 201795 | 1:500 |
Disclaimer/Publisher’s Note: The statements, opinions and data contained in all publications are solely those of the individual author(s) and contributor(s) and not of MDPI and/or the editor(s). MDPI and/or the editor(s) disclaim responsibility for any injury to people or property resulting from any ideas, methods, instructions or products referred to in the content. |
© 2023 by the authors. Licensee MDPI, Basel, Switzerland. This article is an open access article distributed under the terms and conditions of the Creative Commons Attribution (CC BY) license (https://creativecommons.org/licenses/by/4.0/).
Share and Cite
Kheder, W.; Bouzid, A.; Venkatachalam, T.; Talaat, I.M.; Elemam, N.M.; Raju, T.K.; Sheela, S.; Jayakumar, M.N.; Maghazachi, A.A.; Samsudin, A.R.; et al. Titanium Particles Modulate Lymphocyte and Macrophage Polarization in Peri-Implant Gingival Tissues. Int. J. Mol. Sci. 2023, 24, 11644. https://doi.org/10.3390/ijms241411644
Kheder W, Bouzid A, Venkatachalam T, Talaat IM, Elemam NM, Raju TK, Sheela S, Jayakumar MN, Maghazachi AA, Samsudin AR, et al. Titanium Particles Modulate Lymphocyte and Macrophage Polarization in Peri-Implant Gingival Tissues. International Journal of Molecular Sciences. 2023; 24(14):11644. https://doi.org/10.3390/ijms241411644
Chicago/Turabian StyleKheder, Waad, Amal Bouzid, Thenmozhi Venkatachalam, Iman M. Talaat, Noha Mousaad Elemam, Tom Kalathil Raju, Soumya Sheela, Manju Nidagodu Jayakumar, Azzam A. Maghazachi, Abdul Rani Samsudin, and et al. 2023. "Titanium Particles Modulate Lymphocyte and Macrophage Polarization in Peri-Implant Gingival Tissues" International Journal of Molecular Sciences 24, no. 14: 11644. https://doi.org/10.3390/ijms241411644
APA StyleKheder, W., Bouzid, A., Venkatachalam, T., Talaat, I. M., Elemam, N. M., Raju, T. K., Sheela, S., Jayakumar, M. N., Maghazachi, A. A., Samsudin, A. R., & Hamoudi, R. (2023). Titanium Particles Modulate Lymphocyte and Macrophage Polarization in Peri-Implant Gingival Tissues. International Journal of Molecular Sciences, 24(14), 11644. https://doi.org/10.3390/ijms241411644

