-
Impact of Stocking Density on Growth, Feeding Behavior, and Flesh Quality of Largemouth Bass (Micropterus salmoides) in Coupled Aquaponic Systems -
Bias-Adjusting Observer Species Composition Estimates of Tuna Caught by Purse-Seiners Using Port-Sampling Data: A Mixed-Effects Modeling Approach Based on Paired Well-Level Data -
Nitrogen Budget of Yellow-Tail Lambari Farming in Monoculture and in Integrated Culture with Amazon River Prawn and Curimbata -
Using Citizen Science to Improve Our Understanding of Northern Shortfin Squid (Illex illecebrosus) and Longfin Inshore Squid (Doryteuthis pealeii) Ecology and Fisheries off Atlantic Canada
Journal Description
Fishes
Fishes
is an international, peer-reviewed, scientific, open access journal covering fishes and aquatic animals research, and is published monthly online by MDPI. The Iberian Society of Ichthyology (SIBIC) and Brazilian Society of Aquaculture and Aquatic Biology (Aquabio) are affiliated with Fishes and their members receive a discount on the article processing charges.
- Open Access— free for readers, with article processing charges (APC) paid by authors or their institutions.
- High Visibility: indexed within Scopus, SCIE (Web of Science), PubAg, FSTA, and other databases.
- Journal Rank: JCR - Q1 (Marine and Freshwater Biology)
- Rapid Publication: manuscripts are peer-reviewed and a first decision is provided to authors approximately 18.7 days after submission; acceptance to publication is undertaken in 3.6 days (median values for papers published in this journal in the second half of 2025).
- Recognition of Reviewers: reviewers who provide timely, thorough peer-review reports receive vouchers entitling them to a discount on the APC of their next publication in any MDPI journal, in appreciation of the work done.
- Testimonials: See what our editors and authors say about Fishes.
- Companion Journal: Aquaculture Journal
Impact Factor:
2.4 (2024);
5-Year Impact Factor:
2.4 (2024)
Latest Articles
Modulatory Role of Oral GHRP-6 in the Immune Response and Digestive Enzyme Function in Juvenile Tilapia (Oreochromis sp.) Challenged with Pseudomonas aeruginosa
Fishes 2026, 11(1), 33; https://doi.org/10.3390/fishes11010033 - 7 Jan 2026
Abstract
Aquaculture has been established as a sustainable alternative to traditional fisheries, which face challenges such as overexploitation and environmental degradation. However, disease outbreaks, often caused by poor farming conditions, pollution, and environmental stress, remain a major concern, leading to economic losses and increasing
[...] Read more.
Aquaculture has been established as a sustainable alternative to traditional fisheries, which face challenges such as overexploitation and environmental degradation. However, disease outbreaks, often caused by poor farming conditions, pollution, and environmental stress, remain a major concern, leading to economic losses and increasing the risk of antibiotic resistance due to the overuse of antibiotics. Therefore, it is crucial to seek new strategies that improve fish health and well-being, preventing drug resistance and promoting sustainable practices. GHRP-6, a synthetic growth hormone-releasing peptide that mimics ghrelin, has shown potential immunostimulatory properties and feed efficiency in fish. In this study, we evaluated the effects of orally administered GHRP-6 in an oil-based formulation on juvenile tilapia (Oreochromis sp.) challenged or unchallenged with Pseudomonas aeruginosa. We assessed its influence on immune gene expression and digestive enzyme activity. The results demonstrated that GHRP-6 treatment significantly enhanced growth performance (weight and length), reduced in vivo bacterial load after infection, and modulated key genes related to innate and adaptive immunity in the gills, intestine and head kidney. In addition, our results demonstrated, for the first time, a direct link between a growth hormone secretagogue in fish and the modulation of specific enzyme activity in the gut following a bacterial challenge. These findings highlight the potential of GHRP-6 as a dietary immunomodulator and growth promoter in fish farming, offering a promising strategy to reduce antibiotic usage and promote more sustainable aquaculture practices.
Full article
(This article belongs to the Special Issue Dietary Supplementation in Aquaculture)
Open AccessArticle
Analysis of Incorporating Market Prices into Stock Assessments for the Japanese Flying Squid (Todarodes pacificus)
by
Dong-Jin Kwak, Ji-Hoon Choi and Do-Hoon Kim
Fishes 2026, 11(1), 32; https://doi.org/10.3390/fishes11010032 - 7 Jan 2026
Abstract
This study aimed to evaluate the stock status of the Japanese flying squid (Todarodes pacificus), a critical fishery resource in the waters of Korea, China, and Japan. To achieve this objective, we employed the Bio-Economic Stock Assessment (BESA) model, which integrates
[...] Read more.
This study aimed to evaluate the stock status of the Japanese flying squid (Todarodes pacificus), a critical fishery resource in the waters of Korea, China, and Japan. To achieve this objective, we employed the Bio-Economic Stock Assessment (BESA) model, which integrates catch and market price data to estimate the biological and economic parameters of Japanese flying squid biomass. The assessment results indicated that the current biomass level of Japanese flying squid is below the biomass at Maximum Sustainable Yield ( ), suggesting that the stock is overfished. Moreover, the findings from the BESA model were consistent with results obtained from the Monte Carlo Method (CMSY) and Bayesian State-Space (BSS) models, both of which also indicated a collapsed status. Unlike the CMSY and BSS models, which rely on catch and catch per unit effort (CPUE) data, the BESA model utilizes market price data from National Statistics and the Food and Agriculture Organization (FAO), thereby eliminating the need for CPUE standardization. Consequently, the BESA model presents an alternative framework that complements existing assessment methods and enhances the reliability of fishery stock evaluations through its integrated approach, suggesting its potential applicability to the stock assessment of Japanese flying squid in Korea.
Full article
(This article belongs to the Special Issue Fish Monitoring and Stock Assessment for Fishery Management)
►▼
Show Figures

Figure 1
Open AccessArticle
Investigation of SNPs at NKCC Gene of Scylla paramamosain to Unveil the Low-Salinity Tolerance Phenotype
by
Chunyan Yin, Yanqing Ma, Zhiqiang Liu, Xueyang Wang, Keyi Ma, Wei Wang, Chunyan Ma and Fengying Zhang
Fishes 2026, 11(1), 31; https://doi.org/10.3390/fishes11010031 - 5 Jan 2026
Abstract
The Na+/K+/2Cl− cotransporter (NKCC) gene encodes a critical membrane transporter involved in cellular ion homeostasis and plays a pivotal role in osmoregulation and salinity adaptation in aquatic organisms. This study identified and validated SNP markers in
[...] Read more.
The Na+/K+/2Cl− cotransporter (NKCC) gene encodes a critical membrane transporter involved in cellular ion homeostasis and plays a pivotal role in osmoregulation and salinity adaptation in aquatic organisms. This study identified and validated SNP markers in the NKCC gene associated with low-salinity tolerance in Scylla paramamosain. Four SNPs (g.196C>A, g.8374T>A, g.8385T>A and g.91143T>A) were screened and genotyped in low-salinity tolerant and intolerant groups. Association analysis revealed that mutant genotypes at all four sites were significantly enriched in the tolerant group (p <0.05), with the values of odds ratios (OR) greater than 1. The tolerant group exhibited significantly higher genetic diversity than the intolerant group. Haplotype analysis showed the wild CTTT haplotype dominated in the intolerant group, while mutant-containing haplotypes were significantly elevated in the tolerant group. A positive correlation was observed between the mutant and NKCC expression. Functional validation by qRT-PCR demonstrated that mutant allele carriers exhibited significantly higher NKCC mRNA expression levels than the wild-type carriers. Moreover, the expression level of homozygous mutations is significantly higher than that of heterozygous mutations. These validated SNPs could provide effective molecular markers for marker-assisted selection breeding of low-salinity tolerant S. paramamosain strains, offering important theoretical and practical implications for sustainable aquaculture development.
Full article
(This article belongs to the Section Genetics and Biotechnology)
►▼
Show Figures

Figure 1
Open AccessArticle
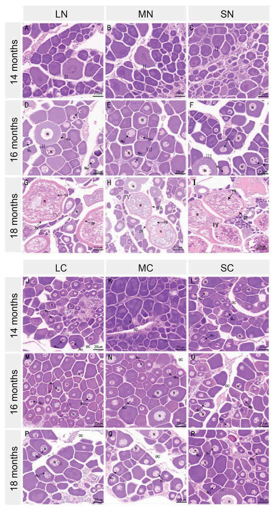
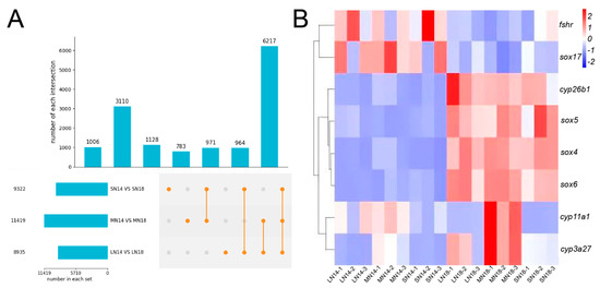
Ovarian Developmental Characteristics and Hypothalamic Transcriptomic Analysis of P. leopardus Under Different Aquaculture Modes
by
Jingjing Ding, Xin Zhang, Tianyu Jiang, Feng Tang, Liangtao Zheng, Yafeng Tan, Mengmeng Zhang, Jian Luo and Xin Wen
Fishes 2026, 11(1), 30; https://doi.org/10.3390/fishes11010030 - 5 Jan 2026
Abstract
Two rearing systems are used for Plectropomus leopardus: sea-cage culture and the land-based flow-through aquaculture system. Cages approximate natural conditions and yield many high-quality eggs but offer limited control over ovarian development; the land-based system is highly controllable yet ovaries develop slowly
[...] Read more.
Two rearing systems are used for Plectropomus leopardus: sea-cage culture and the land-based flow-through aquaculture system. Cages approximate natural conditions and yield many high-quality eggs but offer limited control over ovarian development; the land-based system is highly controllable yet ovaries develop slowly and seldom reach full maturity. We compared these systems by analyzing growth–gonad relationships, monthly hormone profiles (GnRH, E2, GnIH), and hypothalamic transcriptomes in 14- and 18-month-old females. Within each system, body weight did not predict gonadal stage and energy allocation was size-independent. In cages, ovaries reached full maturity with normal histology; in tanks, gonads of all sizes remained at stage III, indicating arrested development. Serum GnRH and E2 displayed parallel increases from 12 to 14 months, declined at 16 months and surged at 18 months in both systems, while GnIH fluctuated inversely, suggesting antagonistic control. Transcriptome analysis identified fshr, cyp11a1 and sox17 as key down-regulated genes in tank-reared fish. KEGG (Kyoto Encyclopedia of Genes and Genomes) pathway enrichment implicated GnRH, oxidative phosphorylation, ribosome and Wnt pathways in ovarian progression. These findings elucidate reproductive constraints under artificial conditions and provide molecular targets for controllable breeding of P. leopardus.
Full article
(This article belongs to the Special Issue Advances in Fish Reproductive Physiology)
►▼
Show Figures

Figure 1
Open AccessArticle
Life-History Traits and Fisheries of Coral Groupers Plectropomus areolatus (Rüppell, 1830) and Plectropomus marisrubri (Randall & Hoese, 1986) in the Eastern Red Sea
by
Goutham Bharathi Muthu Palani, Ronald Grech Santucci, Eyüp Mümtaz Tıraşın, Zahra Okba and Mark Dimech
Fishes 2026, 11(1), 29; https://doi.org/10.3390/fishes11010029 - 4 Jan 2026
Abstract
This study presents updated biological and stock assessment information for two coral groupers, Plectropomus areolatus and Plectropomus marisrubri, in the Eastern Red Sea. A large sample collected from nine landing sites provided new estimates of growth, maturity, mortality, and exploitation, derived from
[...] Read more.
This study presents updated biological and stock assessment information for two coral groupers, Plectropomus areolatus and Plectropomus marisrubri, in the Eastern Red Sea. A large sample collected from nine landing sites provided new estimates of growth, maturity, mortality, and exploitation, derived from otolith ageing, length–weight relationships, and yield-per-recruit and spawning potential ratio analyses. The two species showed distinct life-history patterns, with P. areolatus maturing earlier and exhibiting faster growth. Both species were found to be overexploited under current fishing pressure, with spawning biomass reduced well below commonly used sustainability thresholds. These results indicate that reductions in fishing mortality are required to rebuild reproductive capacity, particularly for P. areolatus. Management actions, such as increasing hook selectivity and enforcing minimum landing sizes, are supported by the observed maturity schedules. Seasonal protection of spawning periods is consistent with the low spawning potential ratios. This study provides the first recent age-based assessment for these two species in the region, offering a biological basis for species-specific management planning in the Eastern Red Sea.
Full article
(This article belongs to the Special Issue Life History and Population Dynamics of Marine Fish)
►▼
Show Figures

Figure 1
Open AccessArticle
Reproductive Biology of the Speckled Smooth-Hound Shark Mustelus mento (Carcharhiniformes: Triakidae) from the Southeastern Pacific
by
Krishna Tapia, Angel Mancilla, Leandro Brizuela, Carolina Vargas-Caro and Carlos Bustamante
Fishes 2026, 11(1), 28; https://doi.org/10.3390/fishes11010028 - 3 Jan 2026
Abstract
The speckled smooth-hound Mustelus mento is an endemic coastal shark from the southeastern Pacific, currently listed as “Critically Endangered” due to intense fishing pressure and the absence of species-specific management across its distribution range. Between November 2021 and October 2023, 925 individuals were
[...] Read more.
The speckled smooth-hound Mustelus mento is an endemic coastal shark from the southeastern Pacific, currently listed as “Critically Endangered” due to intense fishing pressure and the absence of species-specific management across its distribution range. Between November 2021 and October 2023, 925 individuals were examined from artisanal landings in northern Chile to describe their reproductive biology and embryonic development characteristics. The total length ranged from 27.6–159.3 cm in females and 14.2–165.0 cm in males, with a sex ratio of 1:1.2, which was slightly biased towards females. The estimated size at 50% maturity was 53.6 cm for females and 48.7 cm for males, with 70.6% of females and 66.0% of males caught below these thresholds, indicating a predominance of immature individuals in landings. Nine gravid females (106–139 cm) contained 71 embryos, which were classified into five developmental stages (encapsulated ovum, early organogenesis, fin differentiation, pigmentation and growth, and pre-partum) based on their external morphology and yolk sac reduction. The litter size ranged from 4 to 12 embryos, and the estimated size at birth was 13–14 cm in length. Embryos were recorded only during the summer months, suggesting a seasonal reproductive cycle with parturition in the early autumn. The persistent yolk sac connection throughout development and the absence of placental structures confirm that M. mento exhibits aplacental viviparity. These results document the first population-level description of the reproductive biology of M. mento, redefine its reproductive mode, and provide baseline information essential for implementing species-specific management and conservation measures in Chilean waters.
Full article
(This article belongs to the Special Issue Biology and Conservation of Elasmobranchs)
►▼
Show Figures

Figure 1
Open AccessArticle
Participatory Monitoring Tool to Assess the Sustainability of Tilapia (Oreochromis niloticus) Fish Farming in West Africa
by
Waly Ndianco Ndiaye, Patrice Brehmer, Adama Mbaye, Fulgence Diedhiou, Kamarel Ba and Hamet Diaw Diadhiou
Fishes 2026, 11(1), 27; https://doi.org/10.3390/fishes11010027 - 3 Jan 2026
Abstract
Sustainable freshwater aquaculture is crucial for food security and economic development in Africa, particularly in North West Africa’s less advanced countries. Existing complex monitoring methods are often impractical for these contexts due to technical and resource limitations. We developed and tested a localised
[...] Read more.
Sustainable freshwater aquaculture is crucial for food security and economic development in Africa, particularly in North West Africa’s less advanced countries. Existing complex monitoring methods are often impractical for these contexts due to technical and resource limitations. We developed and tested a localised tool to evaluate the sustainability of tilapia farms across diverse agroecological zones in Senegal. The approach involved engaging farmers in a participatory process to identify context-relevant indicators for the environmental, social, and economic dimensions of tilapia farming. These indicators were scored to create a composite sustainability index. Key sustainability challenges identified included a lack of technical support, profitability issues, inadequate environmental management, and social welfare concerns. However, we found promising potential for integrated community-based farms. The sustainability indicators inform policies and practices that promote localised sustainability in sub-Saharan Africa, while considering smallholder farms’ unique needs and characteristics. These assessments contribute to implementing targeted interventions, improved resource management, and enhanced social and environmental outcomes in the freshwater farming industry. Collaboration and knowledge sharing among stakeholders can significantly contribute to developing sustainable aquaculture practices, though successful implementation requires specific, medium-term practice programmes. The tool successfully discriminated between farm types, with intensive private farms scoring highest overall (up to 73% of the maximum sustainability score), while extensive farms in the southern region scored lowest (≈40%). The study demonstrates the value of participatory, context-specific tools for diagnosing sustainability and guiding improvements in African aquaculture.
Full article
(This article belongs to the Special Issue Advances in Tilapia Aquaculture)
►▼
Show Figures

Graphical abstract
Open AccessArticle
Ultrastructural, Osmoregulation, Physiological Metabolism, and Antioxidative Response of Red Tilapia (Oreochromis spp.) Under Acute Alkaline Stress
by
Endalew Alemu, Wei Ye, Jixiang Hua, Lynda Djemaoun, Siqi Lu, Mohamed Fekri Badran, Yalun Dong, Rahma Halim Mahmoud Aboueleila, Mustafa Hassan Lotfy Saleh, Jun Qiang and Yifan Tao
Fishes 2026, 11(1), 26; https://doi.org/10.3390/fishes11010026 - 2 Jan 2026
Abstract
With increasing global demand for fishery products, saline-alkaline aquaculture has emerged as a potential solution. However, limited information exists regarding the tolerance and adaptability of red tilapia (Oreochromis spp.) to alkaline environments. This study evaluated the acute semi-lethal toxicity of alkaline water
[...] Read more.
With increasing global demand for fishery products, saline-alkaline aquaculture has emerged as a potential solution. However, limited information exists regarding the tolerance and adaptability of red tilapia (Oreochromis spp.) to alkaline environments. This study evaluated the acute semi-lethal toxicity of alkaline water and its physiological effects on juvenile red tilapia (44.80 ± 1.09 g; 12.84 ± 1.02 cm). Fish were exposed to NaHCO3 for 96 h at five alkalinity levels (50, 55, 60, 65, and 70 mmol/L). Survival declined significantly with increasing alkalinity, and the 96 h LC50 was 60.66 mmol/L, indicating relatively high alkaline tolerance. Gill tissue and serum samples were collected at 0, 12, 24, 48, and 96 h under 50 mmol/L NaHCO3 and freshwater (control). Under prolonged alkaline exposure, gill structure exhibited marked alterations, with SLL and ILCMT progressively decreasing over time. Serum antioxidant responses were impaired, showing a sustained decline in SOD activity and a rise in MDA content, indicating the onset of oxidative stress. TAOC, CAT, and GSH-Px displayed a biphasic response, rising initially before declining with continued stress. TP and GLU levels remained largely stable throughout. Energy metabolism indices also shifted dynamically: TC showed a transient increase followed by a decrease, whereas TG and LDH initially declined before rising later in the exposure period. Stress-related markers, including cortisol, T3, ALP, and ACP, were notably elevated during the exposure. Additionally, serum ion concentrations (K+, Ca2+, Na+, Cl−) increased gradually over the 96 h period, reflecting progressive osmoregulatory disturbance under alkaline stress. Overall, this study shows that juvenile red tilapia (Oreochromis spp.) have high alkaline tolerance (96 h LC50 = 60.66 mmol/L NaHCO3), but exposure to alkaline water causes significant physiological stress, affecting gill structure, antioxidant defense, metabolism, and ion balance. These results offer valuable insights into their adaptability to saline-alkaline aquaculture.
Full article
(This article belongs to the Special Issue Tilapia Aquaculture: State-of-the-Art)
►▼
Show Figures

Graphical abstract
Open AccessArticle
The Impact of New Quality Productivity on Fishery Industrial Chain Resilience: Evidence from a Dual Machine Learning Model
by
Daqing Wu, Yingying Ma and Shousong Cai
Fishes 2026, 11(1), 25; https://doi.org/10.3390/fishes11010025 - 1 Jan 2026
Abstract
Fisheries are fundamental for food security, and enhancing fishery industry chain resilience (FCR) is essential for safeguarding national supply and promoting high-quality development. With the rapid advancement of new quality productivity (NQP), its integration into the fishery industry chain provides a critical pathway
[...] Read more.
Fisheries are fundamental for food security, and enhancing fishery industry chain resilience (FCR) is essential for safeguarding national supply and promoting high-quality development. With the rapid advancement of new quality productivity (NQP), its integration into the fishery industry chain provides a critical pathway to resilience enhancement and modernization. Using provincial-level data from China between 2012 and 2022, this study evaluates FCR across 29 provinces. A dual machine-learning framework is applied to assess the effects of a provincial NQP index on FCR and its underlying mechanisms. The results show that NQP has a statistically significant positive effect on overall FCR, with estimated coefficients ranging from 0.221 to 0.223 across model specifications. Dimension-specific analysis reveals pronounced heterogeneity: NQP significantly enhances resistance and recovery capacity (rr) as well as innovation and transformation capacity (it), while exerting a negative effect on adjustment and adaptive capacity (aa). Its impact on green ecological restoration capacity (ger) is positive but not statistically significant. Regional heterogeneity analysis shows that the resilience-enhancing effect of NQP is more pronounced in coastal provinces than in inland regions. Mechanism analysis suggests that improvements in labor productivity constitute a key channel through which NQP strengthens FCR. These findings highlight the importance of regionally differentiated strategies for promoting resilient and sustainable fishery development.
Full article
(This article belongs to the Special Issue Advances in Fisheries Economics)
►▼
Show Figures

Figure 1
Open AccessArticle
Zebrafish Girella zebra (Richardson 1846): Biological Characteristics of an Unexploited Fish Population
by
Peter Graham Coulson
Fishes 2026, 11(1), 24; https://doi.org/10.3390/fishes11010024 - 1 Jan 2026
Abstract
►▼
Show Figures
Kyphosids are prominent members of temperate and subtropical reef fish communities, though many species are not targeted due to their poor eating qualities. This study investigated the biology of the non-targeted zebrafish, Girella zebra, from waters off southern Western Australia. Frequent captures
[...] Read more.
Kyphosids are prominent members of temperate and subtropical reef fish communities, though many species are not targeted due to their poor eating qualities. This study investigated the biology of the non-targeted zebrafish, Girella zebra, from waters off southern Western Australia. Frequent captures of small juveniles enabled confirmation of the formation of the first otolith zone, and marginal increment analysis verified the annual formation of opaque zones. Female G. zebra reached a maximum total length and age of 399 mm and 45 years, while males attained 431 mm and 36 years. Girella zebra exhibits a “square” form of growth, as do other Kyphosids, whereby rapid growth occurs during the first 6–8 years, followed by minimal growth throughout a long adult lifespan. Length and age at maturity were 290 mm and 6.7 years for females and 269 mm and 4.9 years for males. Spawning occurs from August to December, and large gonads in both sexes are indicative of spawning in large schools. Natural mortality (M) estimates (females: 0.10–0.15 year−1; males: 0.12–0.18 year−1) exceeded total mortality from catch curves, reflecting that commonly used M estimators are based on heavily fished stocks. This study provides rare biological data for a species unaffected by fishing.
Full article

Figure 1
Open AccessArticle
De Novo Transcriptome Analysis Reveals the Primary Metabolic Capacity of the Sponge Xestospongia sp. from Vietnam
by
Le Bich Hang Pham, Hai Quynh Do, Chi Mai Nguyen, Tuong Van Nguyen, Hai Ha Nguyen, Huu Hong Thu Nguyen, Khanh Linh Nguyen, Thi Hoe Pham, Quang Hung Nguyen, Quang Trung Le, My Linh Tran and Thi Thu Hien Le
Fishes 2026, 11(1), 23; https://doi.org/10.3390/fishes11010023 - 31 Dec 2025
Abstract
Marine sponges possess complex metabolic systems that support their growth, physiology, and ecological interactions. However, the primary metabolic capacity of the sponge hosts remains incompletely characterized at the molecular level. In this study, we performed de novo transcriptome sequencing of a pooled sample
[...] Read more.
Marine sponges possess complex metabolic systems that support their growth, physiology, and ecological interactions. However, the primary metabolic capacity of the sponge hosts remains incompletely characterized at the molecular level. In this study, we performed de novo transcriptome sequencing of a pooled sample of three individuals of Xestospongia sp. collected in Vietnam, using a high-throughput Illumina sequencing system, to characterize the host-derived metabolic pathways. A total of 43,278 unigenes were assembled, of which 69.15% were functionally annotated using multiple public databases. Functional annotation revealed a broad repertoire of genes associated with core metabolic pathways, including carbohydrate, lipid, and sterol metabolisms, as well as cofactor-related processes. Specifically, complete pathways involved in folate biosynthesis, terpenoid backbone biosynthesis, ubiquinone (Coenzyme Q) metabolism, and steroid biosynthesis were identified, reflecting the independent metabolic framework of the sponge host. Several highly expressed genes related to these pathways, including COQ7, ERG6, NUDX1, QDPR, and PCBD, were detected, and their expression patterns were confirmed by quantitative RT-PCR. Furthermore, protein-based phylogenetic analyses indicated that these genes are closely related to homologous proteins from other sponge species, supporting their host origin. This study provides the first comprehensive transcriptomic resource for Xestospongia sp. from Vietnam, and offers baseline molecular insights into the primary metabolic capacity of the sponge host. These data establish a foundation for future investigations of sponge physiology and host–microbe metabolic partitioning.
Full article
(This article belongs to the Special Issue Functional Gene Analysis and Genomic Technologies in Aquatic Animals)
►▼
Show Figures

Figure 1
Open AccessReview
Methodologies for Data-Poor Fisheries Assessment in the Mediterranean Basin: Status, Challenges, and Future Directions
by
Dimitris Klaoudatos and Alexandros Theocharis
Fishes 2026, 11(1), 22; https://doi.org/10.3390/fishes11010022 - 31 Dec 2025
Abstract
Fisheries management in the Mediterranean Sea faces persistent challenges due to the prevalence of data-poor and data-limited stocks, small-scale multi-species fisheries, and limited long-term monitoring programs. Effective assessment methodologies are critical to ensuring sustainable exploitation, yet traditional data-rich stock assessment models remain infeasible
[...] Read more.
Fisheries management in the Mediterranean Sea faces persistent challenges due to the prevalence of data-poor and data-limited stocks, small-scale multi-species fisheries, and limited long-term monitoring programs. Effective assessment methodologies are critical to ensuring sustainable exploitation, yet traditional data-rich stock assessment models remain infeasible for many Mediterranean fisheries. This review provides a comprehensive synthesis of current methodologies developed and applied to assess data-poor fisheries in the Mediterranean context. We examine catch-only approaches, length-based methods, empirical indicators, and multi-indicator frameworks increasingly adopted by the General Fisheries Commission for the Mediterranean (GFCM) and the EU’s Data Collection Framework (DCF). Special attention is given to case studies from the western, central, and eastern Mediterranean that demonstrate the opportunities and limitations of these approaches. We further explore emerging tools, including integrated modeling frameworks, simulation-based harvest control rules, and participatory approaches involving fishers’ local knowledge, to highlight innovations suited to mixed, small-scale Mediterranean fisheries. The review concludes by identifying key gaps in data collection, assessment capacity, and institutional coordination, and proposes a roadmap for improving data-poor fisheries management under Mediterranean-specific ecological, socio-economic, and governance constraints. By consolidating methodological advances and practical lessons, this review aims to provide a reference framework for researchers, managers, and policymakers seeking to design robust, adaptive strategies for sustainable fisheries management in data-limited Mediterranean contexts.
Full article
(This article belongs to the Special Issue Fisheries Monitoring and Management)
►▼
Show Figures

Figure 1
Open AccessArticle
Research on Underwater Fish Scale Loss Detection Method Based on Improved YOLOv8m and Transfer Learning
by
Qiang Wang, Zhengyang Yu, Renxin Liu, Xingpeng Peng, Xiaoling Yang and Xiuwen He
Fishes 2026, 11(1), 21; https://doi.org/10.3390/fishes11010021 - 29 Dec 2025
Abstract
Monitoring fish skin health is essential in aquaculture, where scale loss serves as a critical indicator of fish health and welfare. However, automatic detection of scale loss regions remains challenging due to factors such as uneven underwater illumination, water turbidity, and complex background
[...] Read more.
Monitoring fish skin health is essential in aquaculture, where scale loss serves as a critical indicator of fish health and welfare. However, automatic detection of scale loss regions remains challenging due to factors such as uneven underwater illumination, water turbidity, and complex background conditions. To address this issue, we constructed a scale loss dataset comprising approximately 2750 images captured under both clear above-water and complex underwater conditions, featuring over 7200 annotated targets. Various image enhancement techniques were evaluated, and the Clarity method was selected for preprocessing underwater samples to enhance feature representation. Based on the YOLOv8m architecture, we replaced the original FPN + PAN structure with a weighted bidirectional feature pyramid network to improve multi-scale feature fusion. A convolutional block attention module was incorporated into the output layers to highlight scale loss features in both channel and spatial dimensions. Additionally, a two-stage transfer learning strategy was employed, involving pretraining the model on above water data and subsequently fine-tuning it on a limited set of underwater samples to mitigate the effects of domain shift. Experimental results demonstrate that the proposed method achieves a mAP50 of 96.81%, a 5.98 percentage point improvement over the baseline YOLOv8m, with Precision and Recall increased by 10.14% and 8.70%, respectively. This approach reduces false positives and false negatives, showing excellent detection accuracy and robustness in complex underwater environments, offering a practical and effective approach for early fish disease monitoring in aquaculture.
Full article
(This article belongs to the Special Issue Application of Artificial Intelligence in Aquaculture)
►▼
Show Figures

Graphical abstract
Open AccessArticle
Prevalence and Intensity Effects of Anisakidae Nematode on Eastern Baltic Cod (Gadus morhua Linnaeus, 1758) Condition Factors and Energy Reserves
by
Maija Selezņova, Ēriks Krūze, Aivars Cīrulis, Tatjana Baranova, Maira Mateusa, Ivo Šics, Kārlis Heimrāts, Jānis Gruduls, Laura Briekmane and Gunita Deksne
Fishes 2026, 11(1), 20; https://doi.org/10.3390/fishes11010020 - 29 Dec 2025
Abstract
Over the past few decades, the population of cod in the Eastern Baltic has faced numerous challenges due to environmental changes, overfishing, and predation, as well as the effects of infection by third-stage larvae of the Anisakidae parasite in the liver. The aim
[...] Read more.
Over the past few decades, the population of cod in the Eastern Baltic has faced numerous challenges due to environmental changes, overfishing, and predation, as well as the effects of infection by third-stage larvae of the Anisakidae parasite in the liver. The aim of this study was to estimate the prevalence and infection level of Anisakidae nematodes in the Eastern Baltic cod stock over a five-year period and analyze the effect of infection on cod health condition. A total of 1946 samples of the Eastern Baltic cod (Gadus morhua) were collected and tested for the presence of Anisakidae nematode larvae. All nematodes found in livers were identified as Anisakidae with an overall prevalence of 30.9%, a mean infection density of 0.8 (median 0.4) nematodes per gram of liver tissue, and a range of 0.01–29.2 nematodes per gram. The prevalence of infection tended to increase with the age of the fish. In multivariate analysis, increasing infection intensity decreased the odds of cod having good Fulton’s and Clark’s condition scores and a hepatosomatic index (HSI) above the population average. While our study shows a clear Anisakidae effect on Fulton’s and Clark’s condition scores and the HSI, these indicators could also be influenced by other environmental, physiological, and pathological factors.
Full article
(This article belongs to the Special Issue Ecology and Treatment of Parasitic Diseases in Aquatic Species)
►▼
Show Figures

Figure 1
Open AccessSystematic Review
Essential Oils and Their Use as Anesthetics and Sedatives for Nile tilapia (Oreochromis niloticus): A Systematic Review
by
Bruno Mendes Visoni, Thaise Pinto de Melo, Sharine Nunes Descovi, Berta Maria Heinzmann and Bernardo Baldisserotto
Fishes 2026, 11(1), 19; https://doi.org/10.3390/fishes11010019 - 29 Dec 2025
Abstract
Essential oils (EOs) are increasingly studied as natural anesthetics for fish, offering potential alternatives to synthetic agents. This systematic review aimed to summarize the effects of EOs on Oreochromis niloticus, focusing on their efficacy in inducing sedation and anesthesia, recovery times, and
[...] Read more.
Essential oils (EOs) are increasingly studied as natural anesthetics for fish, offering potential alternatives to synthetic agents. This systematic review aimed to summarize the effects of EOs on Oreochromis niloticus, focusing on their efficacy in inducing sedation and anesthesia, recovery times, and associated physiological responses. A comprehensive search was conducted in the Scopus, Web of Science, and Wiley Online Library databases for studies published up to 10 December 2024. Studies evaluating EOs or their main components in O. niloticus with quantitative data on anesthesia or sedation were included. From 355 records initially identified, studies meeting the inclusion criteria were analyzed qualitatively. EOs rich in compounds such as linalool, carvacrol, and pulegone effectively induced anesthesia in less than 3 min, with recovery times under 10 min, aligning with operational standards for fish anesthesia. However, some EOs caused physiological changes that may be related to stress responses. Variability in experimental protocols and incomplete reporting of chemical composition limited the comparability between studies. EOs demonstrate promising anesthetic potential for O. niloticus, representing safe and environmentally sustainable alternatives. Further standardized and controlled studies are required to confirm their safety and optimize application in aquaculture.
Full article
(This article belongs to the Section Welfare, Health and Disease)
►▼
Show Figures

Figure 1
Open AccessArticle
Dietary Chia Seed Oil Enhances Growth, Immunological Response, and Disease Resistance Against Aeromonas hydrophila in Common Carp (Cyprinus carpio)
by
Ümit Acar, Osman Sabri Kesbiç, Sercan Yapıcı, Rifat Tezel, Gökçen Bilge, Ali Türker, Kenan Güllü, Hüseyin Serkan Erol, Funda Terzi, Beste Demirci and Daniela Giannetto
Fishes 2026, 11(1), 18; https://doi.org/10.3390/fishes11010018 - 28 Dec 2025
Abstract
This study was conducted to evaluate the effects of chia seed oil (CSO; Salvia hispanica L.) on the growth performance, haematological-biochemical parameters, immune-related gene expression, and disease resistance to Aeromonas hydrophila in common carp (Cyprinus carpio). The fish were fed diets
[...] Read more.
This study was conducted to evaluate the effects of chia seed oil (CSO; Salvia hispanica L.) on the growth performance, haematological-biochemical parameters, immune-related gene expression, and disease resistance to Aeromonas hydrophila in common carp (Cyprinus carpio). The fish were fed diets containing 0%, 0.5%, 1%, and 2% CSO for 60 days. The results showed a significant improvement in final weight, specific growth rate (SGR), and feed conversion ratio (FCR) in fish fed diets containing 1% and 2% CSO compared to the control group. Haematocrit (Hct) and haemoglobin (Hb) levels increased in the CSO groups, while serum triglyceride and cholesterol levels decreased significantly, particularly in the 1% CSO group. The observed decrease in liver enzyme activities (AST, ALT) suggested a hepatoprotective effect of CSO. In the stress test with A. hydrophila, the highest survival rate (80%) was recorded in the 2% CSO group. Furthermore, gene expression analyses performed on spleen tissue revealed an increase in the expression of pro-inflammatory cytokines such as TNF-α, IL-1β, and IL-8 in the groups fed with CSO, particularly at the 1% level. These findings indicate that adding 1–2% CSO to carp feed promotes growth, improves lipid metabolism, strengthens immune status, and increases resistance to bacterial infection. Consequently, the use of CSO as a sustainable and functional additive to fish oil in fish feed is suggested.
Full article
(This article belongs to the Special Issue Advances in the Immunology of Aquatic Animals)
►▼
Show Figures

Figure 1
Open AccessReview
How May the Increase in Pink Salmon (Oncorhynchus gorbucsha) Cause the Populations of the Atlantic Salmon (Salmo salar) to Decline?
by
Marja Keinänen and Pekka J. Vuorinen
Fishes 2026, 11(1), 17; https://doi.org/10.3390/fishes11010017 - 27 Dec 2025
Abstract
Atlantic salmon (Salmo salar) populations in the Arctic River Teno (Tana) and other North Atlantic rivers have declined at the same time as pink salmon (Oncorhynchus gorbuscha) have begun to spawn extensively in these rivers in odd-numbered years. In
[...] Read more.
Atlantic salmon (Salmo salar) populations in the Arctic River Teno (Tana) and other North Atlantic rivers have declined at the same time as pink salmon (Oncorhynchus gorbuscha) have begun to spawn extensively in these rivers in odd-numbered years. In the River Teno, especially, the number of one-sea-year Atlantic salmon ascendants has decreased. In this short review, we assess, based on current information, how the abundance of pink salmon may weaken the survival of Atlantic salmon. Our hypothesis is based on recent evidence from Atlantic salmon in the Baltic Sea showing that the high marine lipid content in the diet of Atlantic salmon post-smolts impairs their growth and survival and is manifested in low numbers of ascendants and in poor thiamine (vitamin B1) status in both juvenile and spawning Baltic salmon. The high energy density of lipids increases the need for thiamine in the metabolism, and the high content of highly unsaturated fatty acids (n–3 HUFAs), like docosahexaenoic acid (DHA, 22:6n–3), in marine fish lipids increases the rate of lipid peroxidation, which consumes thiamine as it acts as an antioxidant against lipid peroxidation. The review presents information that could be used in planning possible future research on the topic.
Full article
(This article belongs to the Section Biology and Ecology)
►▼
Show Figures

Graphical abstract
Open AccessArticle
Population Structure of the European Seabass (Dicentrarchus labrax) in the Atlantic Iberian Coastal Waters Inferred from Body Morphometrics and Otolith Shape Analyses
by
Rafael Gaio Kulzer, Rodolfo Miguel Silva, Ana Filipa Rocha, João Soares Carrola, Rosária Catarino Seabra, Eduardo Rocha, Karim Erzini and Alberto Teodorico Correia
Fishes 2026, 11(1), 16; https://doi.org/10.3390/fishes11010016 - 27 Dec 2025
Abstract
The European seabass (Dicentrarchus labrax) is one of the most emblematic coastal fish species in the Northeast Atlantic, with high commercial value for fisheries and aquaculture, and importance for sport and recreational fishing. Despite its socio-economic importance, the Iberian divisions, Cantabrian
[...] Read more.
The European seabass (Dicentrarchus labrax) is one of the most emblematic coastal fish species in the Northeast Atlantic, with high commercial value for fisheries and aquaculture, and importance for sport and recreational fishing. Despite its socio-economic importance, the Iberian divisions, Cantabrian Sea (8c) and the Atlantic Iberian waters (9a), defined by the International Council for the Exploration of the Sea (ICES), lack stock delimitation data. Moreover, this species is missing basic biological information, a seasonal reproductive fishing ban, and the annual landings in this region are more than double the levels recommended by ICES. To investigate the population structure of D. labrax in these areas, 140 adult individuals (36–51 cm of total length) were collected between January and March 2025 in three locations along the Atlantic coast of the Iberian Peninsula: Avilés (n = 47), Peniche (n = 48), and Lagos (n = 45). Fish from each location were analyzed for body geometric morphometrics (truss network) and otolith shape contour (Elliptical Fourier Descriptors). Data were evaluated using univariate and multivariate tests to assess spatial differences and reclassification success among locations. Results revealed regional differences using body morphometry and otolith shape analyses. The overall reclassification success was 68% for truss networking, 51% for otolith shape, and 65% when both methods were combined. Despite the observed differences, the absence of clear, isolated populations supports the ICES definition of a single, though not homogeneous, European seabass stock in the Atlantic Iberian coastal waters. Nevertheless, individuals from Avilés exhibited distinctive morphometric patterns and otolith shapes, suggesting possible adaptations to local selective pressures in slightly different environments. Further studies integrating genetic tools, otolith chemistry, parasitic fauna and telemetry analyses, as well as other fish samples from adjacent areas such as the Bay of Biscay, are recommended to achieve a more comprehensive understanding of the population structure and migration patterns of this key species in the Atlantic Iberian coastal waters.
Full article
(This article belongs to the Section Biology and Ecology)
►▼
Show Figures

Figure 1
Open AccessArticle
Integrative COI Barcoding and Species Delimitation in Echinodermata from Vietnam
by
Tran My Linh, Nguyen Chi Mai, Pham Thi Hoe, Le Quang Trung, Nguyen Tuong Van, Luu Xuan Hoa, Hoang Dinh Chieu, Pham Tran Dinh Nho, Nguyen Kim Thoa, Le Quynh Lien and Do Cong Thung
Fishes 2026, 11(1), 15; https://doi.org/10.3390/fishes11010015 - 27 Dec 2025
Abstract
Echinoderms are marine invertebrates that play important roles in structuring marine benthic ecosystems. DNA barcoding has become a valuable tool for species identification; however, reference DNA barcode libraries for echinoderms remain incomplete. This study aims to: (i) develop a COI-5′ reference dataset for
[...] Read more.
Echinoderms are marine invertebrates that play important roles in structuring marine benthic ecosystems. DNA barcoding has become a valuable tool for species identification; however, reference DNA barcode libraries for echinoderms remain incomplete. This study aims to: (i) develop a COI-5′ reference dataset for echinoderms from Vietnam by integrating DNA barcodes with morphological data; (ii) evaluate species resolution and barcode gaps using multiple analytical approaches; (iii) assess the consistency of species assignments from BOLD and GenBank for echinoderms collected in Vietnam; (iv) make barcode data publicly available to support global reference database development. Thirty-two echinoderm specimens representing 16 species were analyzed for COI-5′ sequences, and BLAST assignments were highly concordant with those from GenBank and BOLD. Integrative validation confirmed that all taxa were monophyletic in the Neighbor Joining Tree, formed single OTUs in Cluster Sequences, and exhibited clear barcode gaps greater than 3% to the nearest-neighbor species. These results provided species-level resolution for 75% and genus-level resolution for 90% of the records. The dataset, spanning four classes, eight orders, and eleven families, enhances barcode coverage and contributes records (ProcessIDs. BINs; GenBank accessions) to public repositories. This study delivers the first curated COI-5′ reference library, supporting regional baselines for taxonomy, conservation, and biodiversity assessment.
Full article
(This article belongs to the Special Issue Molecular Phylogeny and Taxonomy of Aquatic Animals)
►▼
Show Figures

Figure 1
Open AccessArticle
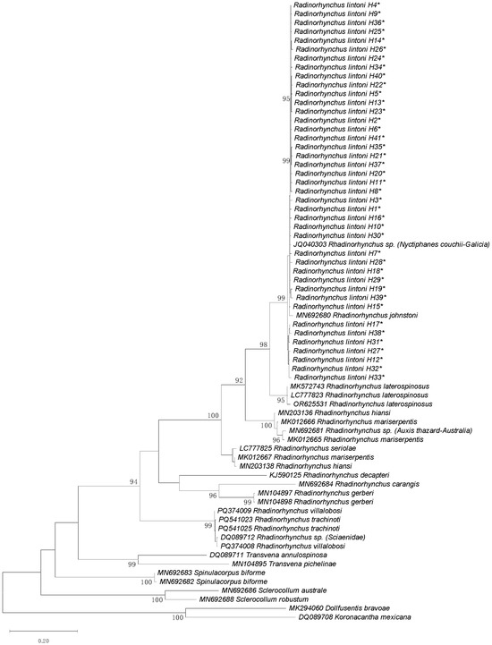
Tracking the Transmission Pathway of Rhadinorhynchus lintoni (Echinorhynchida: Rhadinorhynchidae) in Temperate NE Atlantic
by
Andrea Ramilo, Lara García-Alves, Francisco Javier Aznar, Helena Rodríguez, Elvira Abollo and Santiago Pascual
Fishes 2026, 11(1), 14; https://doi.org/10.3390/fishes11010014 - 27 Dec 2025
Abstract
Rhadinorhynchus is a parasitic genus within the order Echinorhynchida (family Rhadinorhynchidae), comprising over 50 species found in marine ecosystems. The life cycle of Rhadinorhynchus species generally includes marine fish as definitive hosts and zooplankton as intermediate hosts. During a routine marine parasitological survey
[...] Read more.
Rhadinorhynchus is a parasitic genus within the order Echinorhynchida (family Rhadinorhynchidae), comprising over 50 species found in marine ecosystems. The life cycle of Rhadinorhynchus species generally includes marine fish as definitive hosts and zooplankton as intermediate hosts. During a routine marine parasitological survey carried out in temperate waters off the NE Atlantic, we recorded adults (from fish) and cystacanths (from mesozooplankton) of an acanthocephalan morphologically corresponding to the genus Rhadinorhynchus. Species identification as R. lintoni was confirmed based on morphological features. Additionally, new genetic data were added for this species based on several molecular markers, including 18S-ITS1-5.8S-ITS2-28S region of the rRNA gene and cytochrome c oxidase subunit 1 gene. Molecular data also provide evidence of a key trophic transmission involving the primary intermediate host—the euphausiid Nyctiphanes couchii—and higher-level consumers (definitive hosts), including the pelagic fish Sardina pilchardus, Scomber scombrus, and Trachurus trachurus. Genetic matching of different life cycle stages of R. lintoni across these host–parasite assemblages underscores the complexity of transmission dynamics within this ecoregion. These findings are discussed in relation to the growing interest of integrating genetic profiles of host–parasite assemblages to understand the life-cycle of marine parasites, especially for those having seafood security and safety concerns.
Full article
(This article belongs to the Section Fish Pathology and Parasitology)
►▼
Show Figures

Figure 1
Journal Menu
► ▼ Journal Menu-
- Fishes Home
- Aims & Scope
- Editorial Board
- Reviewer Board
- Topical Advisory Panel
- Instructions for Authors
- Special Issues
- Topics
- Sections & Collections
- Article Processing Charge
- Indexing & Archiving
- Editor’s Choice Articles
- Most Cited & Viewed
- Journal Statistics
- Journal History
- Journal Awards
- Society Collaborations
- Conferences
- Editorial Office
Journal Browser
► ▼ Journal BrowserHighly Accessed Articles
Latest Books
E-Mail Alert
News
Topics
Topic in
Animals, Antioxidants, Fishes, Biology
Immunology and Disease Prevention and Control in Aquatic Animals
Topic Editors: Hongliang Zuo, Jiejie Sun, Linwei YangDeadline: 31 August 2026
Topic in
Fishes, Foods, Microplastics, Veterinary Sciences, Poultry, Animals, Ruminants
Micro- and Nanoplastics in Animals and Livestock Production
Topic Editors: Sonia Tassone, Beniamino T. Cenci-Goga, Samia Ben Said, Khalil AbidDeadline: 31 December 2026
Topic in
Animals, Aquaculture Journal, Biology, Fishes, Life
Sex Differentiation Mechanisms in Aquatic Species
Topic Editors: Mingyou Li, Zhihui Sun, Jun ZhangDeadline: 31 January 2027
Topic in
Biology, Data, Diversity, Fishes, Animals, Conservation, Hydrobiology
Intersection Between Macroecology and Data Science
Topic Editors: Paulo Branco, Gonçalo DuarteDeadline: 23 April 2027
Conferences
Special Issues
Special Issue in
Fishes
Advances in Fish Reproductive Physiology
Guest Editors: Walisson De Souza e Silva, Deliane Cristina Costa, Wei Ge, Raphael Nogueira BahienseDeadline: 10 January 2026
Special Issue in
Fishes
Advances in Catfish Research
Guest Editors: Liqiang Zhong, Kai Hao, Zhengyong Wen, Shiyong ZhangDeadline: 10 January 2026
Special Issue in
Fishes
Physiology and Aquaculture of Pearl-Producing Mollusks
Guest Editor: Pedro E. SaucedoDeadline: 10 January 2026
Special Issue in
Fishes
Adaptation and Response of Fish to Environmental Changes
Guest Editors: Jie Li, Mingdian Liu, Yaqiu LiuDeadline: 15 January 2026



