Anti-Inflammatory and Prebiotic Potential of Ethanol Extracts and Mucilage Polysaccharides from Korean Yams (Dioscorea polystachya and Dioscorea bulbifera)
Abstract
1. Introduction
2. Materials and Methods
2.1. Materials
2.2. Preparation of Various Extracts from D. polystachya and D. bulbifera
2.3. Preparation of Yam Mucilage Polysaccharides
2.4. Cell Cultures
2.5. Cell Viability
2.6. NO Production
2.7. Interacellular ROS Formation
2.8. Phagocytosis Activity
2.9. Western Blot Analysis
2.10. Physicochemical Properties of DpMP and DbMP
2.10.1. Total Glucose, Protein, and Uronic Acid Contents
2.10.2. Monosaccharide Analysis
2.10.3. Fourier Transform Infrared Spectroscopy (FT-IR) Analysis
2.11. Preparation of Probiotic Strains and Cultures
2.12. Determining the Effect of DpMP and DbMP on the Growth of Probiotics
2.13. Analysis of Probiotics Attachment to Intestinal Epithelial Cells
2.14. Analysis of Probiotics Inhibition of Attachment to Intestinal Epithelial Cells
2.15. Statistical Analysis
3. Results and Discussion
3.1. Extraction Yields of D. polystachya and D. bulbifera Using a Different Solvent
3.2. Effects of D. polystachya and D. bulbifera on LPS-Stimulated Inflammation in RAW 264.7 Cells
3.2.1. Cell Viability of the D. polystachya and D. bulbifera Extracts in RAW 264.7 Cells
3.2.2. Inhibition of ROS Suppression in LPS-Induced RAW 264.7 Cells
3.2.3. Inhibition of NO Production in LPS-Induced RAW 264.7 Cells
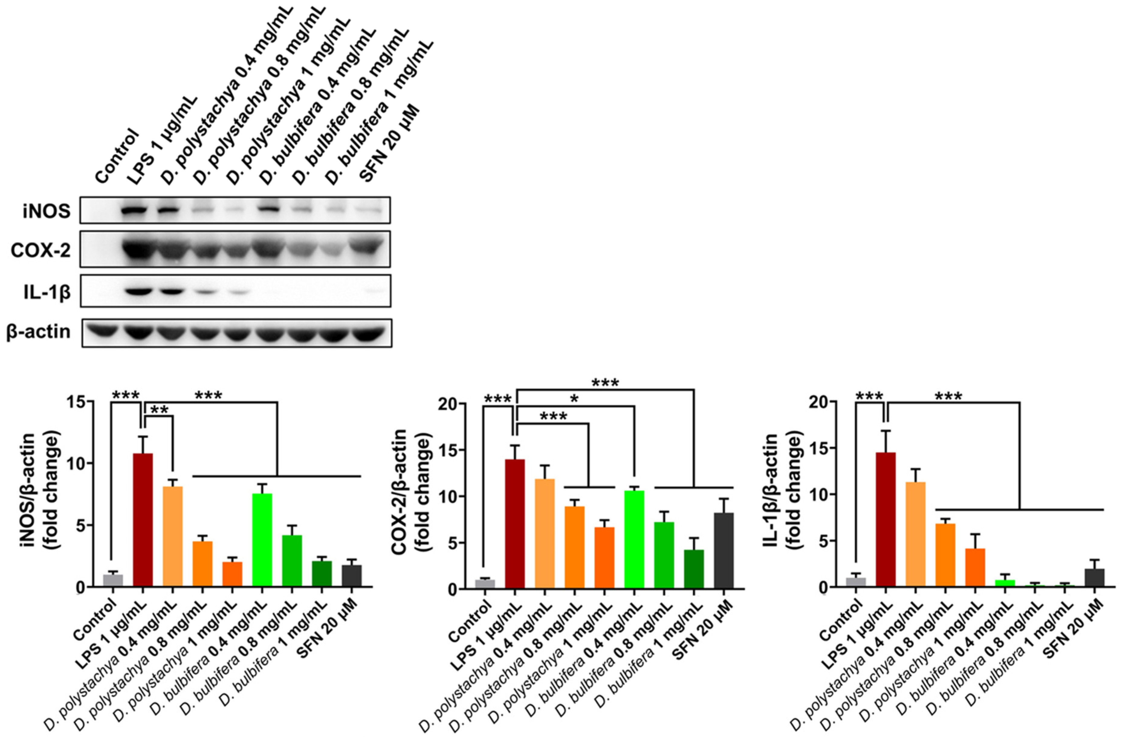
3.2.4. Anti-Inflammatory Effects of D. polystachya and D. bulbifera in LPS-Stimulated RAW 264.7 Cells
3.3. Inhibition of the MAPK and NF-κB Signaling Pathways by D. polystachya and D. bulbifera Extracts in RAW 264.7 Cells
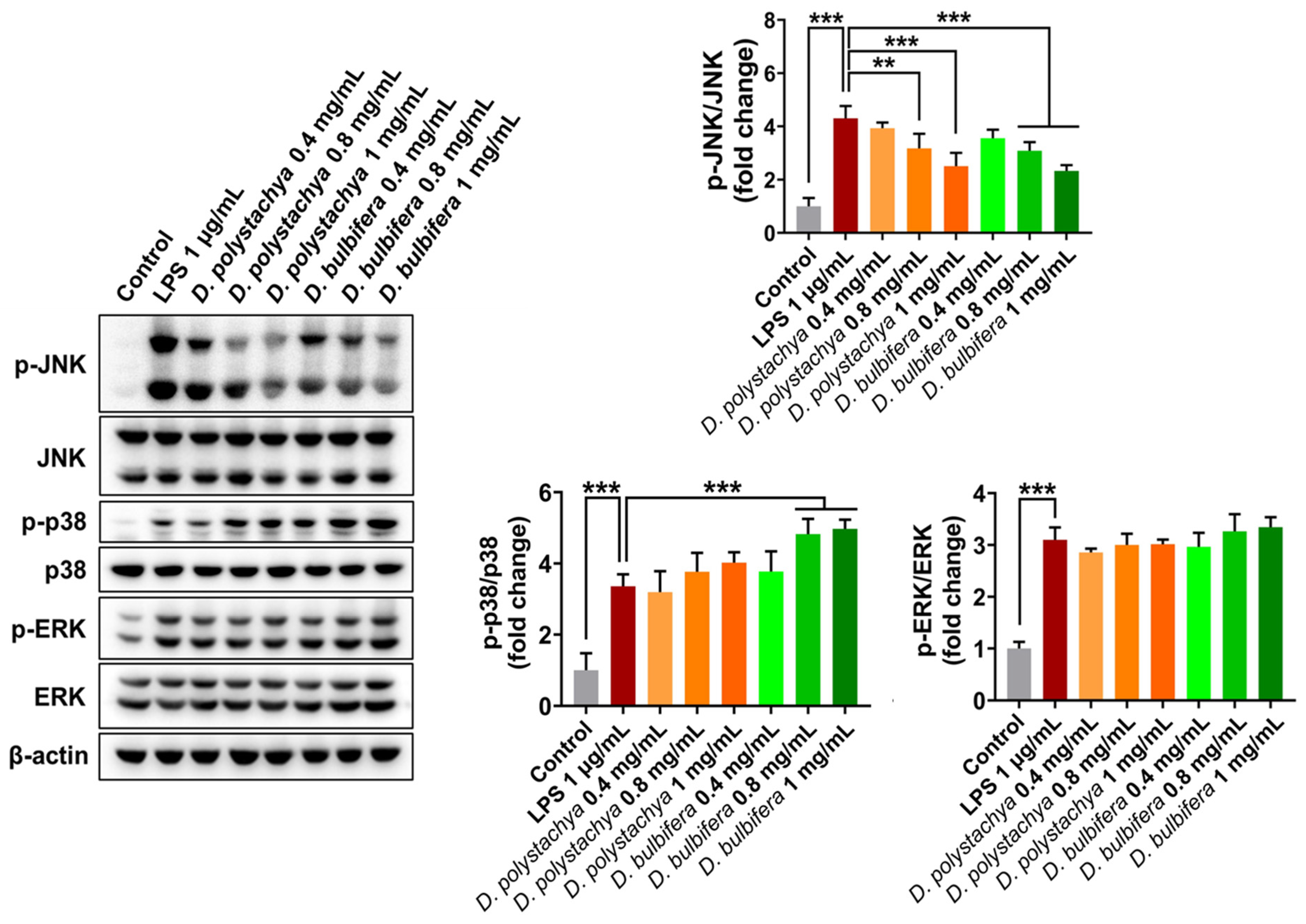
3.3.1. Effects on the MAPK Signaling Pathways in RAW 264.7 Cells
3.3.2. Effects on NF-κB Signaling Pathways in RAW 264.7 Cells
3.3.3. Role of the MAPK/JNK Signaling Pathway in LPS-Induced RAW 264.7 Cells
3.4. Physicochemical Characterization of Yam Mucilage Polysaccharides
3.4.1. Chemicals Properties of DpMP and DbMP
3.4.2. Monosaccharide Composition of DpMP and DbMP
3.4.3. FT-IR Spectrum Analysis
3.5. Immuno-Enhancing and Antioxidant Effect of DpMP and DbMP in RAW 264.7 Cells
3.5.1. Cell Viability of DpMP and DbMP in RAW 264.7 Cells
3.5.2. Immuno-Enhancing Effect of DpMP and DbMP in RAW 264.7 Cells
3.6. Antioxidant Activities of DpMP and DbMP in RAW 264.7 Cells
3.7. Prebiotic Effects of DpMP and DbMP in Probiotics
3.7.1. Effects on the Growth of Beneficial Probiotics
3.7.2. Effects on Gut Epithelial Adhesion of Probiotics and Protection Against Enteropathogens
4. Conclusions
Author Contributions
Funding
Institutional Review Board Statement
Informed Consent Statement
Data Availability Statement
Conflicts of Interest
References
- Obidiegwu, J.E.; Lyons, J.B.; Chilaka, C.A. The Dioscorea Genus (Yam)—An appraisal of nutritional and therapeutic potentials. Foods 2020, 9, 1304. [Google Scholar] [CrossRef]
- Adomėnienė, A.; Venskutonis, P.R. Dioscorea spp.: Comprehensive review of antioxidant properties and their relation to phytochemicals and health benefits. Molecules 2022, 27, 2530. [Google Scholar] [CrossRef] [PubMed]
- Li, Y.; Ji, S.; Xu, T.; Zhong, Y.; Xu, M.; Liu, Y.; Li, M.; Fan, B.; Wang, F.; Xiao, J. Chinese yam (Dioscorea): Nutritional value, beneficial effects, and food and pharmaceutical applications. Trends Food Sci. Technol. 2023, 134, 29–40. [Google Scholar] [CrossRef]
- Jena, B.; Padhan, B.; Pati, K.; Chauhan, V.B.S. Critical review on Nutra-pharmaceutical usage of yams. Food Humanit. 2024, 2, 100273. [Google Scholar] [CrossRef]
- Zhang, H.; Tsao, R. Dietary polyphenols, oxidative stress and antioxidant and anti-inflammatory effects. Curr. Opin. Food Sci. 2016, 8, 33–42. [Google Scholar] [CrossRef]
- Steven, S.; Frenis, K.; Oelze, M.; Kalinovic, S.; Kuntic, M.; Bayo Jimenez, M.T.; Vujacic-Mirski, K.; Helmstädter, J.; Kröller-Schön, S.; Münzel, T. Vascular inflammation and oxidative stress: Major triggers for cardiovascular disease. Oxidative Med. Cell. Longev. 2019, 2019, 7092151. [Google Scholar] [CrossRef] [PubMed]
- Chatterjee, S. Oxidative stress, inflammation, and disease. In Oxidative Stress and Biomaterials; Elsevier: Amsterdam, The Netherlands, 2016; pp. 35–58. [Google Scholar]
- Tian, T.; Wang, Z.; Zhang, J. Pathomechanisms of oxidative stress in inflammatory bowel disease and potential antioxidant therapies. Oxidative Med. Cell. Longev. 2017, 2017, 4535194. [Google Scholar] [CrossRef] [PubMed]
- Ambriz-Pérez, D.L.; Leyva-López, N.; Gutierrez-Grijalva, E.P.; Heredia, J.B. Phenolic compounds: Natural alternative in inflammation treatment. A Review. Cogent Food Agric. 2016, 2, 1131412. [Google Scholar]
- Teodoro, A.J. Bioactive compounds of food: Their role in the prevention and treatment of diseases. Oxidative Med. Cell. Longev. 2019, 2019, 3765986. [Google Scholar] [CrossRef] [PubMed]
- Kim, J.-H.; Kim, D.-Y. Anti-inflammatory Effect of Ethanol Extracts from Dioscorea bulbifera. J. Korean Soc. Beauty Art 2016, 17, 91–102. [Google Scholar] [CrossRef]
- Mbiantcha, M.; Kamanyi, A.; Teponno, R.; Tapondjou, A.; Watcho, P.; Nguelefack, T. Analgesic and Anti-Inflammatory Properties of Extracts from the Bulbils of Dioscorea bulbifera L. var sativa (Dioscoreaceae) in Mice and Rats. Evid. Based Complement. Altern. Med. 2011, 2011, 912935. [Google Scholar] [CrossRef]
- Mueed, A.; Shibli, S.; Korma, S.A.; Madjirebaye, P.; Esatbeyoglu, T.; Deng, Z. Flaxseed bioactive compounds: Chemical composition, functional properties, food applications and health benefits-related gut microbes. Foods 2022, 11, 3307. [Google Scholar] [CrossRef] [PubMed]
- Tiwari, A.; Melchor-Martínez, E.M.; Saxena, A.; Kapoor, N.; Singh, K.J.; Saldarriaga-Hernández, S.; Parra-Saldívar, R.; Iqbal, H.M. Therapeutic attributes and applied aspects of biological macromolecules (polypeptides, fucoxanthin, sterols, fatty acids, polysaccharides, and polyphenols) from diatoms—A review. Int. J. Biol. Macromol. 2021, 171, 398–413. [Google Scholar] [CrossRef]
- Khan, I.U.; Jamil, Y.; Shams, F.; Farsi, S.; Humayun, M.; Hussain, A.; Ahmad, A.; Iqbal, A.; Alrefaei, A.F.; Ali, S. Unlocking the in vitro and in vivo antioxidant and anti-inflammatory activities of polysaccharide fractions from Lepidium sativum seed-coat mucilage. Heliyon 2024, 10, e36797. [Google Scholar] [CrossRef]
- Murphy, E.J.; Fehrenbach, G.W.; Abidin, I.Z.; Buckley, C.; Montgomery, T.; Pogue, R.; Murray, P.; Major, I.; Rezoagli, E. Polysaccharides—Naturally occurring immune modulators. Polymers 2023, 15, 2373. [Google Scholar] [CrossRef] [PubMed]
- Schepetkin, I.A.; Xie, G.; Kirpotina, L.N.; Klein, R.A.; Jutila, M.A.; Quinn, M.T. Macrophage immunomodulatory activity of polysaccharides isolated from Opuntia polyacantha. Int. Immunopharmacol. 2008, 8, 1455–1466. [Google Scholar] [CrossRef]
- Wang, X.; Li, X.; Zhang, L.; An, L.; Guo, L.; Huang, L.; Gao, W. Recent progress in plant-derived polysaccharides with prebiotic potential for intestinal health by targeting gut microbiota: A review. Crit. Rev. Food Sci. Nutr. 2023, 64, 12242–12271. [Google Scholar] [CrossRef]
- Yang, Y.; Wang, Y.; Zhao, L.; Wang, F.; Li, M.; Wang, Q.; Luo, H.; Zhao, Q.; Zeng, J.; Zhao, Y. Chinese herbal medicines for treating ulcerative colitis via regulating gut microbiota-intestinal immunity axis. Chin. Herb. Med. 2023, 15, 181–200. [Google Scholar] [CrossRef]
- Gasmi, A.; Shanaida, M.; Oleshchuk, O.; Semenova, Y.; Mujawdiya, P.K.; Ivankiv, Y.; Pokryshko, O.; Noor, S.; Piscopo, S.; Adamiv, S. Natural ingredients to improve immunity. Pharmaceuticals 2023, 16, 528. [Google Scholar] [CrossRef] [PubMed]
- Wagenaar, C.A.; van de Put, M.; Bisschops, M.; Walrabenstein, W.; de Jonge, C.S.; Herrema, H.; van Schaardenburg, D. The effect of dietary interventions on chronic inflammatory diseases in relation to the microbiome: A systematic review. Nutrients 2021, 13, 3208. [Google Scholar] [CrossRef]
- Huang, R.; Xie, J.; Yu, Y.; Shen, M. Recent progress in the research of yam mucilage polysaccharides: Isolation, structure and bioactivities. Int. J. Biol. Macromol. 2020, 155, 1262–1269. [Google Scholar] [CrossRef]
- Ma, J.; Meng, X.; Liu, Y.; Yin, C.; Zhang, T.; Wang, P.; Park, Y.-K.; Jung, H.W. Effects of a rhizome aqueous extract of Dioscorea batatas and its bioactive compound, allantoin in high fat diet and streptozotocin-induced diabetic mice and the regulation of liver, pancreas and skeletal muscle dysfunction. J. Ethnopharmacol. 2020, 259, 112926. [Google Scholar] [CrossRef] [PubMed]
- Okwu, G.I.; Enweani, I.B.; Amengialue, O.O.; Obiazi, H.A. Comparative study of the phytochemical and antibacterial properties of two different varieties of Dioscorea bulbifera. Am. J. Res. Commun. 2016, 4, 46–59. [Google Scholar]
- Ismail, I.; Khumaidi, A.; Putri, A.D.; Primadia, R.; Syamsidi, A.; Khaerati, K. Standardization of Ethanol Extract of Dioscorea alata L. Variety of Paoateno from Banggai Islands District, Central Sulawesi. J. Farm. Galen. (Galen. J. Pharm.) (e-J.) 2023, 9, 208–223. [Google Scholar] [CrossRef]
- Juan, C.A.; Pérez de la Lastra, J.M.; Plou, F.J.; Pérez-Lebeña, E. The chemistry of reactive oxygen species (ROS) revisited: Outlining their role in biological macromolecules (DNA, lipids and proteins) and induced pathologies. Int. J. Mol. Sci. 2021, 22, 4642. [Google Scholar] [CrossRef] [PubMed]
- Kanwar, J.R.; Kanwar, R.K.; Burrow, H.; Baratchi, S. Recent advances on the roles of NO in cancer and chronic inflammatory disorders. Curr. Med. Chem. 2009, 16, 2373–2394. [Google Scholar] [CrossRef] [PubMed]
- Zhu, F.; Du, B.; Xu, B. Anti-inflammatory effects of phytochemicals from fruits, vegetables, and food legumes: A review. Crit. Rev. Food Sci. Nutr. 2018, 58, 1260–1270. [Google Scholar] [CrossRef] [PubMed]
- Bak, M.-J.; Truong, V.L.; Kang, H.-S.; Jun, M.; Jeong, W.-S. Anti-inflammatory effect of procyanidins from wild grape (Vitis amurensis) seeds in LPS-induced RAW 264.7 cells. Oxidative Med. Cell. Longev. 2013, 2013, 409321. [Google Scholar] [CrossRef]
- Johnson, G.L.; Lapadat, R. Mitogen-activated protein kinase pathways mediated by ERK, JNK, and p38 protein kinases. Science 2002, 298, 1911–1912. [Google Scholar] [CrossRef] [PubMed]
- Bak, M.-J.; Hong, S.-G.; Lee, J.-W.; Jeong, W.-S. Red ginseng marc oil inhibits iNOS and COX-2 via NFκB and p38 pathways in LPS-stimulated RAW 264.7 macrophages. Molecules 2012, 17, 13769–13786. [Google Scholar] [CrossRef]
- Wang, B.; Yan, L.; Guo, S.; Wen, L.; Yu, M.; Feng, L.; Jia, X. Structural elucidation, modification, and structure-activity relationship of polysaccharides in Chinese herbs: A review. Front. Nutr. 2022, 9, 908175. [Google Scholar] [CrossRef]
- Zhou, W.; Zhao, Y.; Yan, Y.; Mi, J.; Lu, L.; Luo, Q.; Li, X.; Zeng, X.; Cao, Y. Antioxidant and immunomodulatory activities in vitro of polysaccharides from bee collected pollen of Chinese wolfberry. Int. J. Biol. Macromol. 2020, 163, 190–199. [Google Scholar] [CrossRef] [PubMed]
- Zhang, W.; Hu, Y.; Zhao, J.; Zhang, Y.; Guo, D.; Gao, C.; Duan, J.; Li, P. Immunoregulation and antioxidant activities of a novel acidic polysaccharide from Radix Paeoniae Alba. Glycoconj. J. 2020, 37, 361–371. [Google Scholar] [CrossRef]
- Ouyang, J.; Wang, F.; Li, W.; Li, Q.; Su, X. Structure characterization of polysaccharide from Chinese Yam (Dioscorea opposite Thunb.) and its growth-promoting effects on Streptococcus thermophilus. Foods 2021, 10, 2698. [Google Scholar] [CrossRef]
- Wang, F.; Jiang, Y.; Jin, S.; Wang, D.; Wu, K.; Yang, Q.; Han, R.; Chen, S.; Liang, Z.; Jia, Q. Structure characterization and bioactivity of neutral polysaccharides from different sources of Polygonatum Mill. Biopolymers 2022, 113, e23490. [Google Scholar] [CrossRef]
- Li, X.; Wang, X.; Guo, X.; Li, D.; Huo, J.; Yu, Z. Structural and biochemical characterization of a polysaccharide isolated from Vaccinium uliginosum L. Starch Stärke 2022, 74, 2100109. [Google Scholar] [CrossRef]
- Chen, S.; Saeed, A.F.; Liu, Q.; Jiang, Q.; Xu, H.; Xiao, G.G.; Rao, L.; Duo, Y. Macrophages in immunoregulation and therapeutics. Signal Transduct. Target. Ther. 2023, 8, 207. [Google Scholar] [CrossRef] [PubMed]
- Yin, M.; Zhang, Y.; Li, H. Advances in research on immunoregulation of macrophages by plant polysaccharides. Front. Immunol. 2019, 10, 145. [Google Scholar] [CrossRef] [PubMed]
- Yang, W.; Liu, H.; Liu, X.; Cao, Y.; Wang, X.; Wang, X.; Cao, W.; Guo, C.; Chen, D. Biomimetic fucoidan nanoparticles with regulation of macrophage polarization for targeted therapy of acute lung injury. Carbohydr. Polym. 2024, 351, 122967. [Google Scholar] [CrossRef]
- Li, L.; Xu, T.; Qi, X. Balanced regulation of ROS production and inflammasome activation in preventing early development of colorectal cancer. Immunol. Rev. 2024. Online ahead of print. [Google Scholar] [CrossRef]
- Wang, Q.; Nie, X.; Song, Y.; Qiu, H.; Chen, L.; Zhu, H.; Zhang, X.; Yang, M.; Xu, X.; Chen, P. Redox nanodrugs alleviate chronic kidney disease by reducing inflammation and regulating ROS. Biomater. Sci. 2024, 12, 6403–6415. [Google Scholar] [CrossRef] [PubMed]
- Bogdan, C. Nitric oxide synthase in innate and adaptive immunity: An update. Trends Immunol. 2015, 36, 161–178. [Google Scholar] [CrossRef] [PubMed]
- Karpuzoglu, E.; Ahmed, S.A. Estrogen regulation of nitric oxide and inducible nitric oxide synthase (iNOS) in immune cells: Implications for immunity, autoimmune diseases, and apoptosis. Nitric Oxide 2006, 15, 177–186. [Google Scholar] [CrossRef] [PubMed]
- Kulesza, A.; Paczek, L.; Burdzinska, A. The role of COX-2 and PGE2 in the regulation of immunomodulation and other functions of mesenchymal stromal cells. Biomedicines 2023, 11, 445. [Google Scholar] [CrossRef]
- Le Bon, A.; Etchart, N.; Rossmann, C.; Ashton, M.; Hou, S.; Gewert, D.; Borrow, P.; Tough, D.F. Cross-priming of CD8+ T cells stimulated by virus-induced type I interferon. Nat. Immunol. 2003, 4, 1009–1015. [Google Scholar] [CrossRef]
- Nitti, M.; Marengo, B.; Furfaro, A.L.; Pronzato, M.A.; Marinari, U.M.; Domenicotti, C.; Traverso, N. Hormesis and oxidative distress: Pathophysiology of reactive oxygen species and the open question of antioxidant modulation and supplementation. Antioxidants 2022, 11, 1613. [Google Scholar] [CrossRef]
- Kumar, H.; Dhalaria, R.; Guleria, S.; Cimler, R.; Sharma, R.; Siddiqui, S.A.; Valko, M.; Nepovimova, E.; Dhanjal, D.S.; Singh, R. Anti-oxidant potential of plants and probiotic spp. in alleviating oxidative stress induced by H2O2. Biomed. Pharmacother. 2023, 165, 115022. [Google Scholar] [CrossRef]
- Mates, J. Effects of antioxidant enzymes in the molecular control of reactive oxygen species toxicology. Toxicology 2000, 153, 83–104. [Google Scholar] [CrossRef] [PubMed]
- Pinto, M.; Robine-Leon, S.; Appay, M.-D.; Kedinger, M.; Triadou, N.; Dussaulx, E.; Lacroix, B.; Simon-Assmann, P.; Haffen, K.; Fogh, J. Enterocyte-like differentiation and polarization of the human colon carcinoma cell line Caco-2 in culture. Biol. Cell 1983, 47, 323–330. [Google Scholar]
- Abedi, D.; Feizizadeh, S.; Akbari, V.; Jafarian-Dehkordi, A. In vitro anti-bacterial and anti-adherence effects of Lactobacillus delbrueckii subsp bulgaricus on Escherichia coli. Res. Pharm. Sci. 2013, 8, 260. [Google Scholar]
- Yu, Q.; Wang, Z.; Yang, Q. Ability of Lactobacillus to inhibit enteric pathogenic bacteria adhesion on Caco-2 cells. World J. Microbiol. Biotechnol. 2011, 27, 881–886. [Google Scholar] [CrossRef]
- Álvarez-Mercado, A.I.; Plaza-Diaz, J. Dietary polysaccharides as modulators of the gut microbiota ecosystem: An update on their impact on health. Nutrients 2022, 14, 4116. [Google Scholar] [CrossRef] [PubMed]
















| Sample | Ethanol | Water | ||
|---|---|---|---|---|
| 50% | 95% | 75 °C | 95 °C | |
| D. polystachya | 10.6% | 2.1% | 6.93% | 6.2% |
| D. bulbifera | 8.3% | 1.3% | 4.4% | 3% |
| Yield (%) | Total Carbohydrates (%) | Total Protein (%) | Uronic Acid (%) | |
|---|---|---|---|---|
| DpMP | 0.93 ± 0.31 | 26.44 ± 1.21 | 20.83 ± 1.51 | 19.18 ± 0.93 |
| DbMP | 4.05 ± 0.96 | 22.16 ± 1.47 | 23.43 ± 1.50 | 13.48 ± 0.51 |
| Ratio (%) | Galacturonic Acid | Glucose | Galactose | Mannose |
|---|---|---|---|---|
| DpMP | 69.98 | 8.84 | 18.38 | 2.80 |
| DbMP | 68.09 | 7.22 | 22.09 | 2.60 |
Disclaimer/Publisher’s Note: The statements, opinions and data contained in all publications are solely those of the individual author(s) and contributor(s) and not of MDPI and/or the editor(s). MDPI and/or the editor(s) disclaim responsibility for any injury to people or property resulting from any ideas, methods, instructions or products referred to in the content. |
© 2025 by the authors. Licensee MDPI, Basel, Switzerland. This article is an open access article distributed under the terms and conditions of the Creative Commons Attribution (CC BY) license (https://creativecommons.org/licenses/by/4.0/).
Share and Cite
Park, S.-Y.; Truong, V.-L.; Jeon, S.-G.; Choe, S.-Y.; Rarison, R.H.G.; Yoon, B.-H.; Park, J.-W.; Jeong, H.-J.; Jeong, W.-S. Anti-Inflammatory and Prebiotic Potential of Ethanol Extracts and Mucilage Polysaccharides from Korean Yams (Dioscorea polystachya and Dioscorea bulbifera). Foods 2025, 14, 173. https://doi.org/10.3390/foods14020173
Park S-Y, Truong V-L, Jeon S-G, Choe S-Y, Rarison RHG, Yoon B-H, Park J-W, Jeong H-J, Jeong W-S. Anti-Inflammatory and Prebiotic Potential of Ethanol Extracts and Mucilage Polysaccharides from Korean Yams (Dioscorea polystachya and Dioscorea bulbifera). Foods. 2025; 14(2):173. https://doi.org/10.3390/foods14020173
Chicago/Turabian StylePark, So-Yoon, Van-Long Truong, Su-Gyeong Jeon, So-Young Choe, Razanamanana H. G. Rarison, Byoung-Hoon Yoon, Ji-Won Park, Hye-Jeong Jeong, and Woo-Sik Jeong. 2025. "Anti-Inflammatory and Prebiotic Potential of Ethanol Extracts and Mucilage Polysaccharides from Korean Yams (Dioscorea polystachya and Dioscorea bulbifera)" Foods 14, no. 2: 173. https://doi.org/10.3390/foods14020173
APA StylePark, S.-Y., Truong, V.-L., Jeon, S.-G., Choe, S.-Y., Rarison, R. H. G., Yoon, B.-H., Park, J.-W., Jeong, H.-J., & Jeong, W.-S. (2025). Anti-Inflammatory and Prebiotic Potential of Ethanol Extracts and Mucilage Polysaccharides from Korean Yams (Dioscorea polystachya and Dioscorea bulbifera). Foods, 14(2), 173. https://doi.org/10.3390/foods14020173

