Complexation with Alginate in Pumpkin Leaf Protein Solutions for the Encapsulation of Folic Acid: The Effect of Extraction Protocols
Abstract
1. Introduction
2. Materials and Methods
2.1. Plant Materials and Chemical Reagents
2.2. Leaf Protein Concentrate Extraction Procedures
2.3. Chemical Composition of Leaf Protein Concentrate
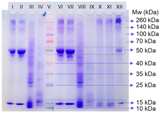
2.4. Analysis of Protein Purity and Subunit Molecular Weights
2.5. Preparation of LPC-Alginate Coacervates
2.6. FTIR
2.7. Light Microscopy
2.8. Complex Coacervate Yield (Cy)
2.9. Encapsulation of Folic Acid and Encapsulation Efficiency (EE)
2.10. Molecular Docking
2.11. Scanning Electron Microscopy
2.12. Release Kinetics of Folic Acid in Simulated Gastrointestinal Medium
2.13. Statistical Analysis
3. Results and Discussion
3.1. Comparison of the LPC Fractions
3.2. Complexation Between Alginate and Leaf Protein as a Function of pH
3.3. Encapsulation of Folic Acid in Complexes
3.4. Molecular Docking
3.5. Scanning Electron Microscopy
3.6. Release Kinetics of Folic Acid in Simulated Gastrointestinal Medium
4. Conclusions
Author Contributions
Funding
Institutional Review Board Statement
Informed Consent Statement
Data Availability Statement
Acknowledgments
Conflicts of Interest
References
- Turgeon, S.L.; Laneuville, S.I. Protein +Polysaccharide Coacervates and Complexes: From Scientific Background to their Application as Functional Ingredients in Food Products. In Modern Biopolymer Science; Kasapis, S., Norton, I.T., Ubbink, J.B., Eds.; Academic Press: Cambridge, MA, USA, 2009; pp. 327–363. [Google Scholar]
- De Kruif, C.G.; Weinbreck, F.; De Vries, R. Complex coacervation of proteins and anionic polysaccharides. Curr. Opin. Colloid Interface Sci. 2004, 9, 340–349. [Google Scholar] [CrossRef]
- Eghbal, N.; Choudhary, R. Complex coacervation: Encapsulation and controlled release of active agents in food systems. LWT 2018, 90, 254–264. [Google Scholar] [CrossRef]
- Devi, N.; Sarmah, M.; Khatun, B.; Maji, T.K. Encapsulation of active ingredients in polysaccharide–protein complex coacervates. Adv. Colloid Interface Sci. 2017, 239, 136–145. [Google Scholar] [CrossRef] [PubMed]
- Timilsena, Y.P.; Akanbi, T.O.; Khalid, N.; Adhikari, B.; Barrow, C.J. Complex coacervation: Principles, mechanisms and applications in microencapsulation. Int. J. Biol. Macromol. 2019, 121, 1276–1286. [Google Scholar] [CrossRef] [PubMed]
- Muhoza, B.; Qi, B.; Harindintwali, J.D.; Koko, M.Y.F.; Zhang, S.; Li, Y. Combined plant protein modification and complex coacervation as a sustainable strategy to produce coacervates encapsulating bioactives. Food Hydrocoll. 2022, 124, 107239. [Google Scholar] [CrossRef]
- Nieuwland, M.; Geerdink, P.; Engelen-Smit, N.P.; Van Der Meer, I.M.; America, A.H.; Mes, J.J.; Mulder, W.J. Isolation and gelling properties of duckweed protein concentrate. ACS Food Sci. Technol. 2021, 1, 908–916. [Google Scholar] [CrossRef]
- Ishikawa, C.; Hatanaka, T.; Misoo, S.; Miyake, C.; Fukayama, H. Functional incorporation of sorghum small subunit increases the catalytic turnover rate of Rubisco in transgenic rice. Plant Physiol. 2011, 156, 1603–1611. [Google Scholar] [CrossRef]
- Shen, Z.X.; Li, S.Y. Increasing the atom economy of glucose fermentation for bioethanol production in Rubisco-based engineered Escherichia coli. Bioresour. Technol. Rep. 2023, 21, 101370. [Google Scholar] [CrossRef]
- Martin, A.H.; Castellani, O.; de Jong, G.A.; Bovetto, L.; Schmitt, C. Comparison of the functional properties of RuBisCO protein isolate extracted from sugar beet leaves with commercial whey protein and soy protein isolates. J. Sci. Food Agric. 2019, 99, 1568–1576. [Google Scholar] [CrossRef]
- Tan, Y.; Lee, P.W.; Martens, T.D.; McClements, D.J. Comparison of emulsifying properties of plant and animal proteins in oil-in-water emulsions: Whey, soy, and RuBisCo proteins. Food Biophys. 2022, 17, 409–421. [Google Scholar] [CrossRef]
- Tenorio, A.T.; Gieteling, J.; De Jong, G.A.; Boom, R.M.; Van Der Goot, A.J. Recovery of protein from green leaves: Overview of crucial steps for utilisation. Food Chem. 2016, 203, 402–408. [Google Scholar] [CrossRef] [PubMed]
- Santamaría-Fernández, M.; Lübeck, M. Production of leaf protein concentrates in green biorefineries as alternative feed for monogastric animals. Anim. Feed Sci. Technol. 2020, 268, 114605. [Google Scholar] [CrossRef]
- Kornet, R.; Roozalipour, S.L.; Venema, P.; van der Goot, A.J.; Meinders, M.B.; van der Linden, E. Coacervation in pea protein solutions: The effect of pH, salt, and fractionation processing steps. Food Hydrocoll. 2022, 125, 107379. [Google Scholar] [CrossRef]
- Biswas, S.; Hecht, A.L.; Noble, S.A.; Huang, Q.; Gillilan, R.E.; Xu, A.Y. Understanding the impacts of molecular and macromolecular crowding agents on protein–polymer complex coacervates. Biomacromolecules 2023, 24, 4771–4782. [Google Scholar] [CrossRef]
- Razzak, M.A.; Cho, S.J. Physicochemical and functional properties of capsaicin loaded cricket protein isolate and alginate complexes. J. Colloid Interface Sci. 2023, 641, 653–665. [Google Scholar] [CrossRef]
- Wingfield, P. Protein precipitation using ammonium sulfate. Curr. Protocol. Protein Sci. 1998, 13, A-3F. [Google Scholar] [CrossRef]
- Tola, A.J.; Missihoun, T.D. Ammonium sulfate-based prefractionation improved proteome coverage and detection of carbonylated proteins in Arabidopsis thaliana leaf extract. Planta 2023, 257, 62. [Google Scholar] [CrossRef]
- Chapeau, A.L.; Bertrand, N.; Briard-Bion, V.; Hamon, P.; Poncelet, D.; Bouhallab, S. Coacervates of whey proteins to protect and improve the oral delivery of a bioactive molecule. J. Funct. Foods 2017, 38, 197–204. [Google Scholar] [CrossRef]
- Yingleardrattanakul, P.; Thompson, A.K.; Taprap, R.; Pinsirodom, P.; Bindu, C. Evaluation of the efficiency of various folic acid microencapsulation techniques for rice vermicelli (Khanom Jeen) fortification. Food Humanit. 2024, 2, 100198. [Google Scholar] [CrossRef]
- Ghosh, S.; Melton, L.D.; Kihara, S.; Xu, A.; Mata, J.; Whitten, A.; Rekas, A.; McGillivray, D. Effect of Encapsulation and Freeze-Drying on the Structural Organisation of Β-Lactoglobulin-Pectin Complex Coacervates with Bioactive Molecules. 2024. Available online: https://www.researchgate.net/publication/384587790_Effect_of_Encapsulation_and_Freeze-Drying_on_the_Structural_Organisation_of_B-Lactoglobulin_-_Pectin_Complex_Coacervates_with_Bioactive_Molecules (accessed on 7 November 2024).
- Xie, Y.; Liu, Q.; Ge, Y.; Liu, Y.; Yang, R. Formation and Applications of Typical Basic Protein-Based Heteroprotein Complex Coacervations. Foods 2024, 13, 3281. [Google Scholar] [CrossRef]
- ISO, I. 5983-1; Animal Feeding Stuffs: Determination of Nitrogen Content and Calculation of Crude Protein Content—Part 1: Kjeldahl Method. ISO: Geneva, Switzerland, 2005.
- DuBois, M.; Gilles, K.A.; Hamilton, J.K.; Rebers, P.T.; Smith, F. Colorimetric method for determination of sugars and related substances. Anal. Chem. 1956, 28, 350–356. [Google Scholar] [CrossRef]
- Skotti, E.; Anastasaki, E.; Kanellou, G.; Polissiou, M.; Tarantilis, P.A. Total phenolic content, antioxidant activity and toxicity of aqueous extracts from selected Greek medicinal and aromatic plants. Ind. Crops Prod. 2014, 53, 46–54. [Google Scholar] [CrossRef]
- Laemmli, U. Cleavage of Structural Proteins during the Assembly of the Head of Bacteriophage T4. Nature 1970, 227, 680–685. [Google Scholar] [CrossRef] [PubMed]
- Liu, Y.; Yang, X.; Gan, J.; Chen, S.; Xiao, Z.X.; Cao, Y. CB-Dock2: Improved protein–ligand blind docking by integrating cavity detection, docking and homologous template fitting. Nucleic Acids Res. 2022, 50, W159–W164. [Google Scholar] [CrossRef] [PubMed]
- Yang, X.; Liu, Y.; Gan, J.; Xiao, Z.X.; Cao, Y. FitDock: Protein–ligand docking by template fitting. Brief. Bioinf. 2022, 23, bbac087. [Google Scholar] [CrossRef]
- The UniProt Consortium. UniProt: The universal protein knowledgebase. Nucleic Acids Res. 2018, 46, 2699. [Google Scholar] [CrossRef]
- Kim, S.; Chen, J.; Cheng, T.; Gindulyte, A.; He, J.; He, S.; Li, Q.; Shoemaker, B.A.; Thiessen, P.A.; Yu, B.; et al. PubChem 2023 update. Nucleic Acids Res. 2023, 51, D1373–D1380. [Google Scholar] [CrossRef]
- Liu, W.; Ye, A.; Liu, C.; Liu, W.; Singh, H. Structure and integrity of liposomes prepared from milk-or soybean-derived phospholipids during in vitro digestion. Food Res. Int. 2012, 48, 499–506. [Google Scholar] [CrossRef]
- Pérez-Vila, S.; Fenelon, M.A.; O’Mahony, J.A.; Gómez-Mascaraque, L.G. Extraction of plant protein from green leaves: Biomass composition and processing considerations. Food Hydrocoll. 2022, 133, 107902. [Google Scholar] [CrossRef]
- Everette, J.D.; Bryant, Q.M.; Green, A.M.; Abbey, Y.A.; Wangila, G.W.; Walker, R.B. Thorough study of reactivity of various compound classes toward the Folin−Ciocalteu reagent. J. Agric. Food. Chem. 2010, 58, 8139–8144. [Google Scholar] [CrossRef]
- Derardja, A.E.; Pretzler, M.; Kampatsikas, I.; Radovic, M.; Fabisikova, A.; Zehl, M.; Rompel, A. Polyphenol oxidase and enzymatic browning in apricot (Prunus armeniaca L.): Effect on phenolic composition and deduction of main substrates. Curr. Res. Food Sci. 2022, 5, 196–206. [Google Scholar] [CrossRef] [PubMed]
- Perović, M.N.; Jugović, Z.D.K.; Antov, M.G. Heat-induced nanoparticles from pumpkin leaf protein for potential application as β-carotene carriers. Future Foods 2024, 9, 100310. [Google Scholar] [CrossRef]
- Ghaly, A.E.; Alkoaik, F.N. Extraction of protein from common plant leaves for use as human food. Am. J. Appl. Sci. 2010, 7, 331–342. [Google Scholar] [CrossRef]
- Martin, A.H.; Nieuwland, M.; de Jong, G.A. Characterization of heat-set gels from RuBisCO in comparison to those from other proteins. J. Agric. Food. Chem. 2014, 62, 10783–10791. [Google Scholar] [CrossRef] [PubMed]
- Doubnerová, V.; Ryšlavá, H. What can enzymes of C4 photosynthesis do for C3 plants under stress? Plant Sci. 2011, 180, 575–583. [Google Scholar] [CrossRef]
- Famuwagun, A.A.; Alashi, A.M.; Gbadamosi, S.O.; Taiwo, K.A.; Oyedele, D.J.; Adebooye, O.C.; Aluko, R.E. Comparative study of the structural and functional properties of protein isolates prepared from edible vegetable leaves. Int. J. Food Prop. 2020, 23, 955–970. [Google Scholar] [CrossRef]
- Valente, A.I.; Ferreira, A.M.; Almeida, M.R.; Mohamadou, A.; Freire, M.G.; Tavares, A.P. Efficient Extraction of the RuBisCO Enzyme from Spinach Leaves Using Aqueous Solutions of Biocompatible Ionic Liquids. Sustain. Chem. 2021, 3, 1–18. [Google Scholar] [CrossRef]
- Yücetepe, A.; Yavuz-Düzgün, M.; Şensu, E.; Bildik, F.; Demircan, E.; Özçelik, B. The impact of pH and biopolymer ratio on the complex coacervation of Spirulina platensis protein concentrate with chitosan. J. Food Sci. Technol. 2021, 58, 1274–1285. [Google Scholar] [CrossRef]
- Jones, O.G.; Lesmes, U.; Dubin, P.; McClements, D.J. Effect of polysaccharide charge on formation and properties of biopolymer nanoparticles created by heat treatment of β-lactoglobulin–pectin complexes. Food Hydrocoll. 2010, 24, 374–383. [Google Scholar] [CrossRef]
- Zheng, J.; Van der Meeren, P.; Sun, W. New insights into protein–polysaccharide complex coacervation: Dynamics, molecular parameters, and applications. Aggregate 2024, 5, e449. [Google Scholar] [CrossRef]
- Wu, Z.; Li, X.; Hou, C.; Qian, Y. Solubility of folic acid in water at pH values between 0 and 7 at temperatures (298.15, 303.15, and 313.15) K. J. Chem. Eng. Data. 2010, 55, 3958–3961. [Google Scholar] [CrossRef]
- Saravanan, M.; Rao, K.P. Pectin–gelatin and alginate–gelatin complex coacervation for controlled drug delivery: Influence of anionic polysaccharides and drugs being encapsulated on physicochemical properties of microcapsules. Carbohydr. Polym. 2010, 80, 808–816. [Google Scholar] [CrossRef]
- Liang, L.; Subirade, M. β-Lactoglobulin/folic acid complexes: Formation, characterization, and biological implication. J. Phys. Chem. B 2010, 114, 6707–6712. [Google Scholar] [CrossRef] [PubMed]
- Zhang, J.; Liu, X.; Subirade, M.; Zhou, P.; Liang, L. A study of multi-ligand beta-lactoglobulin complex formation. Food Chem. 2014, 165, 256–261. [Google Scholar] [CrossRef] [PubMed]
- Tavares, G.M.; Croguennec, T.; Lê, S.; Lerideau, O.; Hamon, P.; Carvalho, A.F.; Bouhallab, S. Binding of folic acid induces specific self-aggregation of lactoferrin: Thermodynamic characterization. Langmuir 2015, 31, 12481–12488. [Google Scholar] [CrossRef] [PubMed]
- Chapeau, A.L.; Hamon, P.; Rousseau, F.; Croguennec, T.; Poncelet, D.; Bouhallab, S. Scale-up production of vitamin loaded heteroprotein coacervates and their protective property. J. Food Eng. 2017, 206, 67–76. [Google Scholar] [CrossRef]
- Ding, X.; Yao, P. Soy protein/soy polysaccharide complex nanogels: Folic acid loading, protection, and controlled delivery. Langmuir 2013, 29, 8636–8644. [Google Scholar] [CrossRef]
- Zhang, S.; Zhang, Z.; Vardhanabhuti, B. Effect of charge density of polysaccharides on self-assembled intragastric gelation of whey protein/polysaccharide under simulated gastric conditions. Food Funct. 2014, 5, 1829–1838. [Google Scholar] [CrossRef]
- Strugala, V.; Kennington, E.J.; Campbell, R.J.; Skjåk-Bræk, G.; Dettmar, P.W. Inhibition of pepsin activity by alginates in vitro and the effect of epimerization. Int. J. Pharm. 2005, 304, 40–50. [Google Scholar] [CrossRef]
- Chater, P.I.; Wilcox, M.D.; Brownlee, I.A.; Pearson, J.P. Alginate as a protease inhibitor in vitro and in a model gut system; selective inhibition of pepsin but not trypsin. Carbohydr. Polym. 2015, 131, 142–151. [Google Scholar] [CrossRef]
- Wang, B.; Blanch, E.; Barrow, C.J.; Adhikari, B. Preparation and study of digestion behavior of lactoferrin-sodium alginate complex coacervates. J. Funct. Foods 2017, 37, 97–106. [Google Scholar] [CrossRef]
- Bernstein, L.H.; Gutstein, S.; Weiner, S.; Efron, G. The absorption and malabsorption of folic acid and its polyglutamates. Am. J. Med. 1970, 48, 570–579. [Google Scholar] [CrossRef] [PubMed]











| Sample | Yield, % (g/100 g Dry Leaf) | Carbohydrates, % (g/100 g Powder) | Proteins (Kjeldahl), % (g/100 g Powder) | TPC * (mg GAE/g) |
|---|---|---|---|---|
| LPCTA | 1.31 ± 0.07 b** | 3.70 ± 0.31 cd | 83.23 ± 1.05 b | 0.277 ± 0.002 a |
| LPCAA | 0.92 ± 0.07 c | 6.23 ± 0.42 c | 74.82 ± 1.20 c | 0.250 ± 0.051 b |
| LPC40 | 2.30 ± 0.12 a | 5.20 ± 0.20 c | 90.22 ± 1.55 a | 0.180 ± 0.010 c |
| LPC60 | 1.14 ± 0.06 b | 10.6 ± 0.20 b | 80.28 ± 1.02 b | 0.290 ± 0.010 a |
| LPC80–100 | 0.50 ± 0.04 d | 21.3 ± 0.40 a | 62.71 ± 1.64 d | 0.241 ± 0.002 b |
| LPC:Alginate Ratio | 2:1 | 5:1 | 10:1 | |
|---|---|---|---|---|
| Sample | Cy % | Cy, % | Cy, % | EE, % |
| LPCTA | nd * | nd | 67.9 ± 3.9 a** | 85.2 ± 3.8 a |
| LPCAA | nd | nd | 71.0 ± 4.4 a | 92.1 ± 4.6 a |
| LPC40 | nd | nd | 64.3 ± 3.6 a | 88.3 ± 4.2 a |
| LPC60 | nd | 46.7 ± 2.5 b | 51.2 ± 2.5 b | 65.2 ± 2.1 b |
| LPC80–100 | nd | nd | 42.3 ± 3.2 b | 46.4 ± 3.7 c |
Disclaimer/Publisher’s Note: The statements, opinions and data contained in all publications are solely those of the individual author(s) and contributor(s) and not of MDPI and/or the editor(s). MDPI and/or the editor(s) disclaim responsibility for any injury to people or property resulting from any ideas, methods, instructions or products referred to in the content. |
© 2024 by the authors. Licensee MDPI, Basel, Switzerland. This article is an open access article distributed under the terms and conditions of the Creative Commons Attribution (CC BY) license (https://creativecommons.org/licenses/by/4.0/).
Share and Cite
Petrović, P.; Balanč, B.; Mijalković, J.; Đukić, T.; Bošković, S.; Đorđević, V.; Bugarski, B.; Nedović, V.; Knežević-Jugović, Z. Complexation with Alginate in Pumpkin Leaf Protein Solutions for the Encapsulation of Folic Acid: The Effect of Extraction Protocols. Foods 2024, 13, 3695. https://doi.org/10.3390/foods13223695
Petrović P, Balanč B, Mijalković J, Đukić T, Bošković S, Đorđević V, Bugarski B, Nedović V, Knežević-Jugović Z. Complexation with Alginate in Pumpkin Leaf Protein Solutions for the Encapsulation of Folic Acid: The Effect of Extraction Protocols. Foods. 2024; 13(22):3695. https://doi.org/10.3390/foods13223695
Chicago/Turabian StylePetrović, Predrag, Bojana Balanč, Jelena Mijalković, Tamara Đukić, Stefan Bošković, Verica Đorđević, Branko Bugarski, Viktor Nedović, and Zorica Knežević-Jugović. 2024. "Complexation with Alginate in Pumpkin Leaf Protein Solutions for the Encapsulation of Folic Acid: The Effect of Extraction Protocols" Foods 13, no. 22: 3695. https://doi.org/10.3390/foods13223695
APA StylePetrović, P., Balanč, B., Mijalković, J., Đukić, T., Bošković, S., Đorđević, V., Bugarski, B., Nedović, V., & Knežević-Jugović, Z. (2024). Complexation with Alginate in Pumpkin Leaf Protein Solutions for the Encapsulation of Folic Acid: The Effect of Extraction Protocols. Foods, 13(22), 3695. https://doi.org/10.3390/foods13223695

