Authentication of Argan (Argania spinosa L.) Oil Using Novel DNA-Based Approaches: Detection of Olive and Soybean Oils as Potential Adulterants
Abstract
:1. Introduction
2. Materials and Methods
2.1. Sampling and Reference Oil Mixtures
2.2. DNA Extraction
2.3. DNA Quality and Purity
2.4. Oligonucleotide Primers
2.5. Qualitative PCR
2.6. Real-Time PCR
3. Results
3.1. DNA Quality and Selection of Target Region
3.2. Real-Time PCR Assays
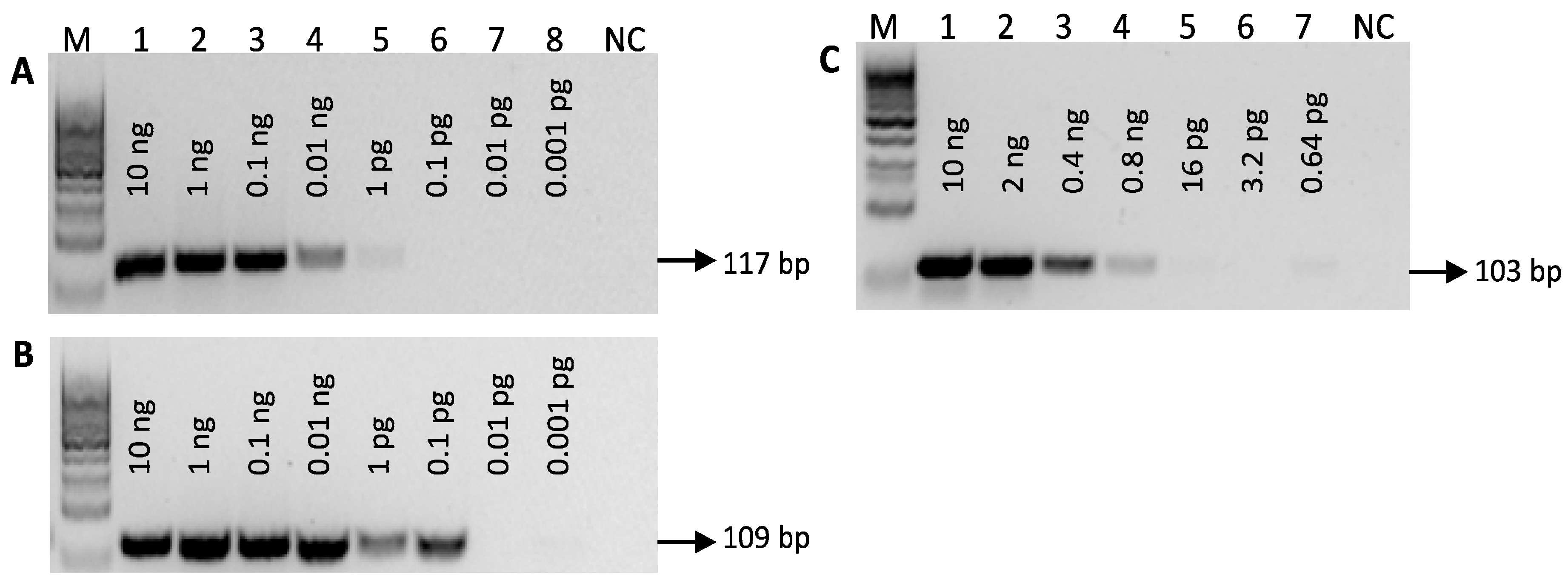
3.2.1. Absolute LOD and LOQ
3.2.2. Construction of the Normalized Calibration Curves
3.2.3. Validation of Quantitative Real-Time PCR Systems
4. Discussion
Supplementary Materials
Author Contributions
Funding
Institutional Review Board Statement
Informed Consent Statement
Data Availability Statement
Acknowledgments
Conflicts of Interest
References
- Krajnc, B.; Bontempo, L.; Araus, J.L.; Giovanetti, M.; Alegria, C.; Lauteri, M.; Augusti, A.; Atti, N.; Smeti, S.; Taous, F.; et al. Selective methods to investigate authenticity and geographical origin of Mediterranean food products. Food Rev. Int. 2021, 37, 656–682. [Google Scholar] [CrossRef]
- Charrouf, Z.; Guillaume, D. Argan oil: Occurrence, composition and impact on human health. Eur. J. Lipid Sci. Technol. 2008, 110, 632–636. [Google Scholar] [CrossRef]
- Charrouf, Z.; Guillaume, D. Argan oil, the 35-years-of-research product. Eur. J. Lipid Sci. Technol. 2014, 116, 1316–1321. [Google Scholar] [CrossRef]
- Charrouf, Z.; Guillaume, D.; Driouich, A. The argan tree, an asset for Morocco. Biofutur 2002, 220, 54–57. [Google Scholar]
- Gharby, S.; Charrouf, Z. Argan Oil: Chemical composition, extraction process, and quality control. Front. Nutr. 2022, 8, 804587. [Google Scholar] [CrossRef] [PubMed]
- Guillaume, D.; Charrouf, Z. Argan oil and other argan products: Use in dermocosmetology. Eur. J. Lipid Sci. Technol. 2011, 113, 403–408. [Google Scholar] [CrossRef]
- El Abbassi, A.; Khalid, N.; Zbakh, H.; Ahmad, A. Physicochemical characteristics, nutritional properties, and health benefits of argan oil: A review. Crit. Rev. Food Sci. Nutr. 2014, 54, 1401–1414. [Google Scholar] [CrossRef]
- Mohammed, F.; Guillaume, D.; Warland, J.; Abdulwali, N. Analytical methods to detect adulteration of argan oil: A critical review. Microchem. J. 2021, 168, 106501. [Google Scholar] [CrossRef]
- Hilali, M.; Charrouf, Z.; Soulhi, A.E.A.; Hachimi, L.; Guillaume, D. Detection of argan oil adulteration using quantitative campesterol GC-analysis. J. Am. Oil Chem. Soc. 2007, 84, 761–764. [Google Scholar] [CrossRef]
- Celik, S.E.; Asfoor, A.; Senol, O.; Apak, R. Screening method for argan oil adulteration with vegetable oils: An online HPLC assay with postcolumn detection utilizing chemometric multidata analysis. J. Agric. Food Chem. 2019, 67, 8279–8289. [Google Scholar] [CrossRef] [PubMed]
- Ourrach, I.; Rada, M.; Perez-Camino, M.C.; Benaissa, M.; Guinda, A. Detection of argan oil adulterated with vegetable oils: New markers. Grasas Aceites 2012, 63, 355–364. [Google Scholar] [CrossRef]
- Salghi, R.; Armbruster, W.; Schwack, W. Detection of argan oil adulteration with vegetable oils by high-performance liquid chromatography-evaporative light scattering detection. Food Chem. 2014, 153, 387–392. [Google Scholar] [CrossRef] [PubMed]
- Pagliuca, G.; Bozzi, C.; Gallo, F.R.; Multari, G.; Palazzino, G.; Porra, R.; Panusa, A. Triacylglycerol “hand-shape profile” of Argan oil. Rapid and simple UHPLC-PDA-ESI-TOF/MS and HPTLC methods to detect counterfeit argan oil and argan-oil-based products. J. Pharm. Biomed. Anal. 2018, 150, 121–131. [Google Scholar] [CrossRef] [PubMed]
- El Orche, A.; Elhamdaoui, O.; Cheikh, A.; Zoukeni, B.; El Karbane, M.; Mbarki, M.; Bouatia, M. Comparative study of three fingerprint analytical approaches based on spectroscopic sensors and chemometrics for the detection and quantification of argan oil adulteration. J. Sci. Food Agric. 2022, 102, 95–104. [Google Scholar] [CrossRef] [PubMed]
- Oussama, A.; Elabadi, F.; Devos, O. Analysis of Argan oil adulteration using infrared spectroscopy. Spectrosc. Lett. 2012, 45, 458–463. [Google Scholar] [CrossRef]
- Gunning, Y.; Jackson, A.J.; Colmer, J.; Taous, F.; Philo, M.; Brignall, R.M.; El Ghali, T.; Defernez, M.; Kemsley, E.K. High-throughput screening of argan oil composition and authenticity using benchtop 1H NMR. Magn. Reson. Chem. 2020, 58, 1177–1186. [Google Scholar] [CrossRef] [PubMed]
- Farres, S.; Srata, L.; Fethi, F.; Kadaoui, A. Argan oil authentication using visible/near infrared spectroscopy combined to chemometrics tools. Vib. Spectrosc. 2019, 102, 79–84. [Google Scholar] [CrossRef]
- Kharbach, M.; Yu, H.W.; Kamal, R.; Marmouzi, I.; Alaoui, K.; Vercammen, J.; Bouklouze, A.; Vander Heyden, Y. Authentication of extra virgin argan oil by selected-ion flow-tube mass-spectrometry fingerprinting and chemometrics. Food Chem. 2022, 383, 132565. [Google Scholar] [CrossRef]
- El Adib, S.; Aissi, O.; Charrouf, Z.; Ben Jeddi, F.; Messaoud, C. Argania spinosa var. mutica and var. apiculata: Variation of fatty-acid composition, phenolic content, and antioxidant and alpha-amylase-inhibitory activities among varieties, organs, and development stages. Chem. Biodivers. 2015, 12, 1322–1338. [Google Scholar] [CrossRef] [PubMed]
- Costa, J.; Mafra, I.; Amaral, J.S.; Oliveira, M.B.P.P. Detection of genetically modified soybean DNA in refined vegetable oils. Eur. Food Res. Technol. 2010, 230, 915–923. [Google Scholar] [CrossRef]
- Costa, J.; Mafra, I.; Amaral, J.S.; Oliveira, M.B.P.P. Monitoring genetically modified soybean along the industrial soybean oil extraction and refining processes by polymerase chain reaction techniques. Food Res. Int. 2010, 43, 301–306. [Google Scholar] [CrossRef]
- Duan, Y.Z.; Pi, Y.; Li, C.W.; Jiang, K.J. An optimized procedure for detection of genetically modified DNA in refined vegetable oils. Food Sci. Biotechnol. 2021, 30, 129–135. [Google Scholar] [CrossRef] [PubMed]
- Batrinou, A.; Strati, I.F.; Houhoula, D.; Tsaknis, J.; Sinanoglou, V.J. Authentication of olive oil based on DNA analysis. Grasas Aceites 2020, 71, e366. [Google Scholar] [CrossRef]
- Li, Y.Y.; Wu, Y.J.; Han, J.X.; Wang, B.; Ge, Y.Q.; Chen, Y. Species-Specific Identification of Seven Vegetable Oils Based on Suspension Bead Array. J. Agric. Food Chem. 2012, 60, 2362–2367. [Google Scholar] [CrossRef] [PubMed]
- Su, T.F.; Wei, P.F.; Wu, L.L.; Guo, Y.W.; Zhao, W.Q.; Zhang, Y.; Chi, Z.Y.; Qiu, L.Y. Development of nucleic acid isolation by non-silica-based nanoparticles and real-time PCR kit for edible vegetable oil traceability. Food Chem. 2019, 300, 125205. [Google Scholar] [CrossRef]
- Vietina, M.; Agrimonti, C.; Marmiroli, N. Detection of plant oil DNA using high resolution melting (HRM) post PCR analysis: A tool for disclosure of olive oil adulteration. Food Chem. 2013, 141, 3820–3826. [Google Scholar] [CrossRef] [PubMed]
- Ganopoulos, I.; Bazakos, C.; Madesis, P.; Kalaitzis, P.; Tsaftaris, A. Barcode DNA high-resolution melting (Bar-HRM) analysis as a novel close-tubed and accurate tool for olive oil forensic use. J. Sci. Food Agric. 2013, 93, 2281–2286. [Google Scholar] [CrossRef]
- Costa, J.; Amaral, J.S.; Grazina, L.; Oliveira, M.B.P.P.; Mafra, I. Matrix-normalised real-time PCR approach to quantify soybean as a potential food allergen as affected by thermal processing. Food Chem. 2017, 221, 1843–1850. [Google Scholar] [CrossRef]
- Grazina, L.; Amaral, J.S.; Costa, J.; Mafra, I. Authentication of Ginkgo biloba herbal products by a novel quantitative real-time PCR approach. Foods 2020, 9, 1233. [Google Scholar] [CrossRef]
- Grazina, L.; Amaral, J.S.; Costa, J.; Mafra, I. Towards authentication of Korean ginseng-containing foods: Differentiation of five Panax species by a novel diagnostic tool. LWT-Food Sci. Technol. 2021, 151, 112211. [Google Scholar] [CrossRef]
- Grazina, L.; Amaral, J.S.; Mafra, I. Botanical origin authentication of dietary supplements by DNA-based approaches. Compr. Rev. Food Sci. Food Saf. 2020, 19, 1080–1109. [Google Scholar] [CrossRef] [PubMed]
- Grazina, L.; Batista, A.; Amaral, J.S.; Costa, J.; Mafra, I. Botanical authentication of globe artichoke-containing foods: Differentiation of Cynara scolymus by a novel HRM approach. Food Chem. 2022, 366, 130621. [Google Scholar] [CrossRef] [PubMed]
- Soares, S.; Grazina, L.; Costa, J.; Amaral, J.S.; Oliveira, M.B.P.P.; Mafra, I. Botanical authentication of lavender (Lavandula spp.) honey by a novel DNA-barcoding approach coupled to high resolution melting analysis. Food Control 2018, 86, 367–373. [Google Scholar] [CrossRef]
- Costa, J.; Campos, B.; Amaral, J.S.; Nunes, M.E.; Oliveira, M.B.P.P.; Mafra, I. HRM analysis targeting ITS1 and matK loci as potential DNA mini-barcodes for the authentication of Hypericum perforatum and Hypericum androsaemum in herbal infusions. Food Control 2016, 61, 105–114. [Google Scholar] [CrossRef]
- Mafra, I.; Silva, S.A.; Moreira, E.J.M.O.; Ferreira da Silva, C.S.; Oliveira, M.B.P.P. Comparative study of DNA extraction methods for soybean derived food products. Food Control 2008, 19, 1183–1190. [Google Scholar] [CrossRef]
- Villa, C.; Costa, J.; Oliveira, M.B.P.P.; Mafra, I. Novel quantitative real-time PCR approach to determine safflower (Carthamus tinctorius) adulteration in saffron (Crocus sativus). Food Chem. 2017, 229, 680–687. [Google Scholar] [CrossRef]
- Bustin, S.A.; Benes, V.; Garson, J.A.; Hellemans, J.; Huggett, J.; Kubista, M.; Mueller, R.; Nolan, T.; Pfaffl, M.W.; Shipley, G.L.; et al. The MIQE guidelines: Minimum information for publication of quantitative real-time PCR experiments. Clin. Chem. 2009, 55, 611–622. [Google Scholar] [CrossRef]
- ENGL. Definition of Minimum Performance Requirements for Analytical Methods of GMO Testing. European Network of GMO Laboratories, Joint Research Center, EURL. 2015. Available online: http://gmo-crl.jrc.ec.europa.eu/doc/MPR%20Report%20Application%2020_10_2015.pdf (accessed on 10 July 2022).
- Li, X.; Yang, Y.; Henry, R.J.; Maurizio, R.; Yitao, W.; Shilin, C. Plant DNA barcoding: From gene to genome. Biol. Rev. 2015, 90, 157–166. [Google Scholar] [CrossRef]
- Costa, J.; Mafra, I.; Oliveira, M.B.P.P. Advances in vegetable oil authentication by DNA-based markers. Trends Food Sci. Technol. 2012, 26, 43–55. [Google Scholar] [CrossRef]
- Muzzalupo, I.; Pisani, F.; Greco, F.; Chiappetta, A. direct DNA amplification from virgin olive oil for traceability and authenticity. Eur. Food Res. Technol. 2015, 241, 151–155. [Google Scholar] [CrossRef]
- Amaral, J.S.; Santos, G.; Oliveira, M.B.P.P.; Mafra, I. Quantitative detection of pork meat by EvaGreen real-time PCR to assess the authenticity of processed meat products. Food Control 2017, 72, 53–61. [Google Scholar] [CrossRef]
- Villa, C.; Costa, J.; Gondar, C.; Oliveira, M.B.P.P.; Mafra, I. Effect of food matrix and thermal processing on the performance of a normalised quantitative real-time PCR approach for lupine (Lupinus albus) detection as a potential allergenic food. Food Chem. 2018, 262, 251–259. [Google Scholar] [CrossRef] [PubMed]
- Villa, C.; Costa, J.; Mafra, I. Detection and quantification of milk ingredients as hidden allergens in meat products by a novel specific real-time PCR method. Biomolecules 2019, 9, 804. [Google Scholar] [CrossRef] [PubMed]



| Species | Target Gene | Primers | Sequence (5′-3′) | Amplicon (bp) | Reference |
|---|---|---|---|---|---|
| Argan | ITS2 | ITS2A-F | CTCGTCCCGTCCCGCAAAG | 117 | This work (AM408056.1) |
| ITS2A-R | CCACCACTCGTCGTGACGTT | ||||
| Olive | matK | matKO-F | GCTGTGGTTTCATCCAAGAAGGA | 109 | This work (AJ429335.1) |
| matKO-R | GCTCCGTACCACTGAAGCGT | ||||
| Soybean | Lectin | LE1 | CAAAGCAATGGCTACTTCAAAG | 103 | [35] |
| LE2 | TGAGTTTGCCTTGCTGGTCAGT | ||||
| Eukaryotic | 18S rRNA | EG-F | TCGATGGTAGGATAGTGGCCTACT | 109 | [36] |
| EG-R | TGCTGCCTTCCTTGGATGTGGTA |
| Samples | Adulterant Oil (%, w/w) | SD b | CV (%) c | Bias d | |
|---|---|---|---|---|---|
| Actual | Mean Predicted a | ||||
| Olive oil in argan oil | |||||
| A | 7.5 | 9.7 | 0.0 | 0.41 | 22.9 |
| B | 15.0 | 14.0 | 0.2 | 1.1 | −7.5 |
| Soybean oil in argan oil | |||||
| C | 7.5 | 5.9 | 0.8 | 13.1 | −21.2 |
| D | 15.0 | 11.4 | 0.6 | 5.6 | −24.0 |
Publisher’s Note: MDPI stays neutral with regard to jurisdictional claims in published maps and institutional affiliations. |
© 2022 by the authors. Licensee MDPI, Basel, Switzerland. This article is an open access article distributed under the terms and conditions of the Creative Commons Attribution (CC BY) license (https://creativecommons.org/licenses/by/4.0/).
Share and Cite
Amaral, J.S.; Raja, F.Z.; Costa, J.; Grazina, L.; Villa, C.; Charrouf, Z.; Mafra, I. Authentication of Argan (Argania spinosa L.) Oil Using Novel DNA-Based Approaches: Detection of Olive and Soybean Oils as Potential Adulterants. Foods 2022, 11, 2498. https://doi.org/10.3390/foods11162498
Amaral JS, Raja FZ, Costa J, Grazina L, Villa C, Charrouf Z, Mafra I. Authentication of Argan (Argania spinosa L.) Oil Using Novel DNA-Based Approaches: Detection of Olive and Soybean Oils as Potential Adulterants. Foods. 2022; 11(16):2498. https://doi.org/10.3390/foods11162498
Chicago/Turabian StyleAmaral, Joana S., Fatima Z. Raja, Joana Costa, Liliana Grazina, Caterina Villa, Zoubida Charrouf, and Isabel Mafra. 2022. "Authentication of Argan (Argania spinosa L.) Oil Using Novel DNA-Based Approaches: Detection of Olive and Soybean Oils as Potential Adulterants" Foods 11, no. 16: 2498. https://doi.org/10.3390/foods11162498
APA StyleAmaral, J. S., Raja, F. Z., Costa, J., Grazina, L., Villa, C., Charrouf, Z., & Mafra, I. (2022). Authentication of Argan (Argania spinosa L.) Oil Using Novel DNA-Based Approaches: Detection of Olive and Soybean Oils as Potential Adulterants. Foods, 11(16), 2498. https://doi.org/10.3390/foods11162498

