Development of Loop-Mediated Isothermal Amplification (LAMP) Assays for the Rapid Authentication of Three Swimming Crab Species
Abstract
:1. Introduction
2. Materials and Methods
2.1. Raw and Cooked Samples
2.2. DNA Extraction and Quality Evaluation
2.3. LAMP Primer Design
2.4. LAMP Reaction
2.5. Polymerase Chain Reaction (PCR) Reaction
2.6. Specificity and Sensitivity Testing
3. Results
3.1. LAMP Primer Design and Characteristics
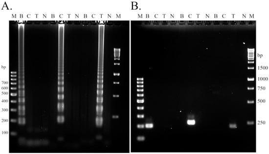
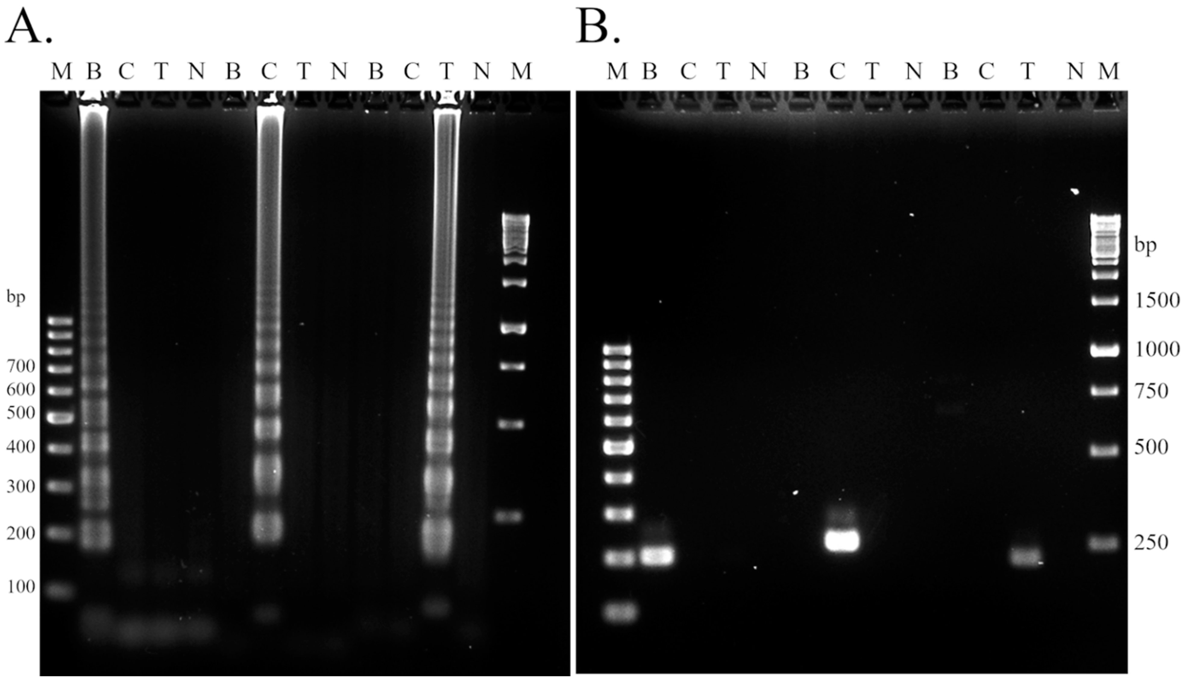
3.2. Specific Amplification of LAMP Primers to Different Types of Swimming Crabs
3.3. Sensitivity Testing of LAMP Primers
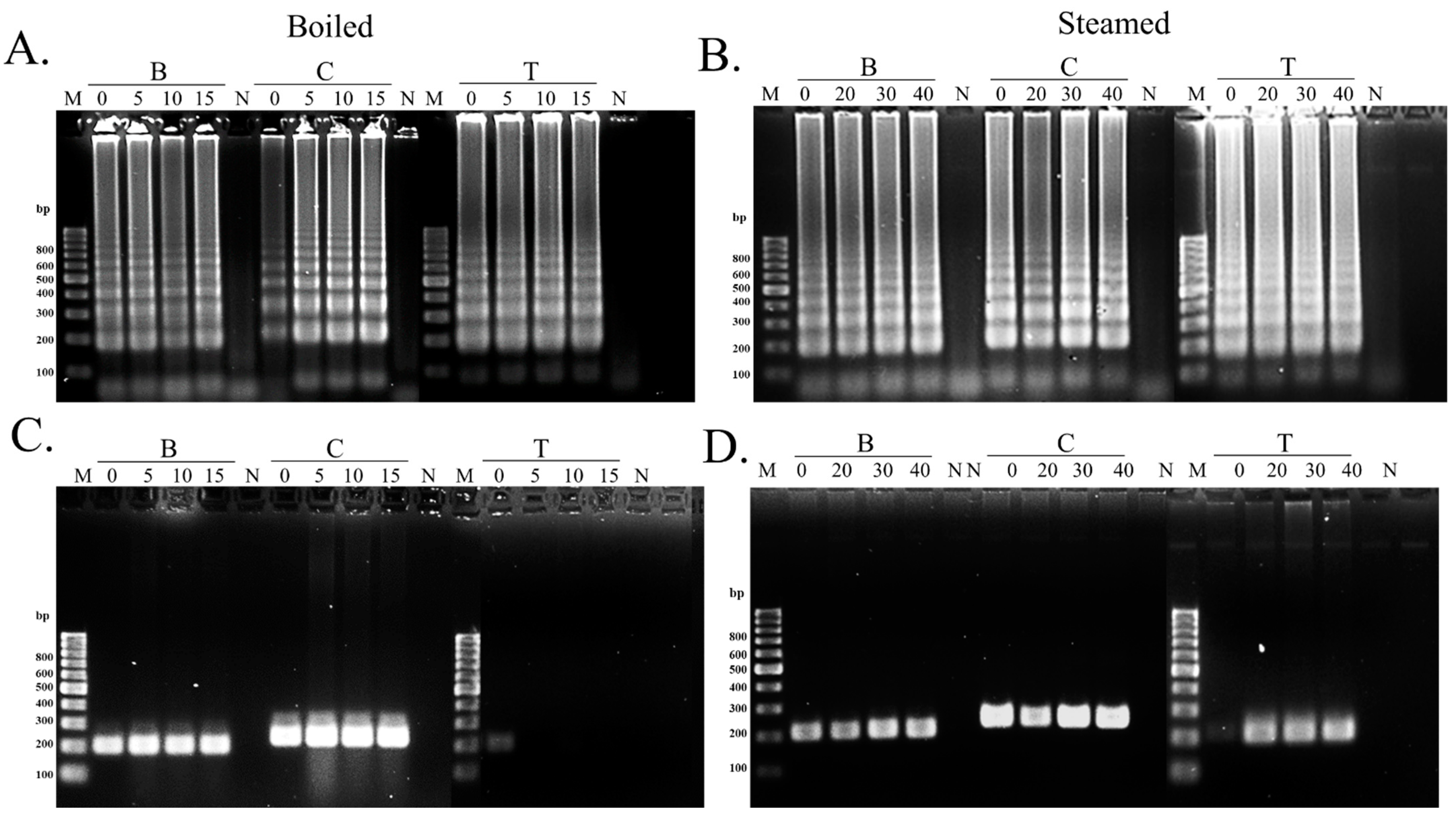
3.4. Application of the LAMP Assay in Cooked Swimming Crabs
4. Discussion
5. Conclusions
Author Contributions
Funding
Institutional Review Board Statement
Informed Consent Statement
Data Availability Statement
Acknowledgments
Conflicts of Interest
References
- das Nevis, A.B.; Martinelli, J.M.; Carvalho, A.S.S.; Nahum, V.J.I. Abundance and spatial-temporal distribution of the family Portunidae (Crustacea, Decapoda) in the Curuçá estuary on the northern coast of Brazil. Braz. J. Aquat. Sci. Technol. 2009, 13, 71–79. [Google Scholar] [CrossRef]
- Hazerli, D.; Richter, S. Why “swimming crabs” are able to swim—The importance of the axial skeleton: A comparison between the “swimming crab” Liocarcinus depurator and two other Brachyuran crabs (Cancer pagurus, Carcinus maenas) using ΜCT and 3D-reconstruction. Arthropod Struct. Dev. 2020, 59, 100972. [Google Scholar] [CrossRef]
- Zhoua, Q.; Ma, H.; Yuan, Y.; Lu, Y.; Ding, L.; Jin, M.; Sun, P. Effect of dietary soybean lecithin and cholesterol on growth, antioxidant status and fatty acid composition of juvenile swimming crab. Portunus trituberculatus. Isr. J. Aquac. Bamidgeh 2017, 69, 20856. [Google Scholar] [CrossRef]
- Crona, B.; Käll, S.; Van Holt, T. Fishery improvement projects as a governance tool for fisheries sustainability: A global comparative analysis. PLoS ONE 2019, 14, e0223054. [Google Scholar] [CrossRef] [PubMed]
- Carpenter, K.E.; Niem, V.H. Batoid Fishes, Chimaeras and Bony Fishes Part 1 (Elopidae to Linophrynidae). In The living Marine Resources of the Western Central Pacific; FAO: Rome, Italy, 1998; Volume 3. [Google Scholar]
- Asche, F.; Bellemare, M.F.; Roheim, C.; Smith, M.D.; Tveteras, S. Fair enough? Food security and the international trade of seafood. World Dev. 2015, 67, 151–160. [Google Scholar] [CrossRef]
- FAO. The State of World Fisheries and Aquaculture 2020: Sustainability in Action; FAO: Rome, Italy, 2020; ISBN 978-92-5-132692-3. [Google Scholar]
- Soundarapandian, P. Fishery potential of commercially important crab Portuns sanguinolentus (Herbst) along Parangipettai Coast, South East Cost of India. Int. J. Anim. Vet. Adv. 2009, 1, 99–104. Available online: http://maxwellsci.com/jp/issue.php?jid=IJAVA&no=18 (accessed on 27 April 2022).
- Varrà, M.O.; Ghidini, S.; Husáková, L.; Ianieri, A.; Zanardi, E. Advances in troubleshooting fish and seafood authentication by inorganic elemental composition. Foods 2021, 10, 270. [Google Scholar] [CrossRef]
- Gopi, K.; Mazumder, D.; Sammut, J.; Saintilan, N. Determining the provenance and authenticity of seafood: A review of current methodologies. Trends Food Sci. Technol. 2019, 91, 294–304. [Google Scholar] [CrossRef]
- Lenstra, J.A. DNA Methods for Identifying Plant and Animal Species in Food. In Food Authenticity and Traceability; Lees, M., Ed.; Woodhead Publishing Series in Food Science, Technology and Nutrition; Woodhead Publishing: Sawston, UK, 2003; pp. 34–53. ISBN 978-1-85573-526-2. [Google Scholar]
- Costa, F.O.; de Waard, J.R.; Boutillier, J.; Ratnasingham, S.; Dooh, R.T.; Hajibabaei, M.; Hebert, P.D. Biological identifications through DNA barcodes: The case of the crustacea. Can. J. Fish. Aquat. Sci. 2007, 64, 272–295. [Google Scholar] [CrossRef]
- Deeds, J.R.; Handy, S.M.; Fry, F.; Granade, H.; Williams, J.T.; Powers, M.; Shipp, R.; Weigt, L.A. Protocol for building a reference standard sequence library for DNA-based seafood identification. J. AOAC Int. 2014, 97, 1626–1633. [Google Scholar] [CrossRef]
- Armani, A.; Tinacci, L.; Lorenzetti, R.; Benvenuti, A.; Susini, F.; Gasperetti, L.; Ricci, E.; Guarducci, M.; Guidi, A. Is raw better? A multiple DNA barcoding approach (full and mini) based on mitochondrial and nuclear markers reveals low rates of misdescription in sushi products sold on the Italian market. Food Control 2017, 79, 126–133. [Google Scholar] [CrossRef]
- Suwannarat, S.; Sangthong, D.; Samipak, S.; Sangthong, P. A Multiplex PCR assay for the identification of five commercially important Portunid crabs: Portunus pelagicus, P. gladiator, P. sanguinolentus, Charybdis natator, and C. feriatus. Food Biotechnol. 2017, 31, 177–192. [Google Scholar] [CrossRef]
- Verrez-Bagnis, V.; Sotelo, C.G.; Mendes, R.; Silva, H.; Kappel, K.; Schröder, U. Methods for seafood authenticity testing in Europe. In Bioactive Molecules in Food; Mérillon, J.-M., Ramawat, K.G., Eds.; Reference Series in Phytochemistry; Springer International Publishing: Cham, Switzerland, 2019; pp. 2063–2117. ISBN 978-3-319-78030-6. [Google Scholar]
- Scarano, D.; Rao, R. DNA markers for food products authentication. Diversity 2014, 6, 579–596. [Google Scholar] [CrossRef]
- Berry, O.; Sarre, S.D. Gel-free species identification using melt-curve analysis. Mol. Ecol. Notes 2007, 7, 1–4. [Google Scholar] [CrossRef]
- Notomi, T.; Okayama, H.; Masubuchi, H.; Yonekawa, T.; Watanabe, K.; Amino, N.; Hase, T. Loop-mediated isothermal amplification of DNA. Nucleic Acids Res. 2000, 28, e63. [Google Scholar] [CrossRef] [PubMed] [Green Version]
- Martinsohn, J.T.; Maquet, A.; Puertas-Gallardo, A.; Hofherr, J.; Lievens, A.; Paracchini, V.; Ballin, N.Z.; Petrillo, M.; Kagkli, D.M.; Angers, A. Enhancing Fish Species Identification Using Novel Markers and Emerging Technologies; Publications Office of the European Union: Luxembourg, 2017; ISBN 978-92-79-66293-5. [Google Scholar]
- Williams, M.; Primavera, J. Choosing tropical Portunid species for culture, domestication and stock enhancement in the Indo-Pacific. Asian Fish. Sci. 2001, 14, 121–142. [Google Scholar] [CrossRef]
- Apel, M.; Spiridonov, V. Taxonomy and zoogeography of the Portunid crabs (Crustacea: Decapoda: Brachyura: Portunidae) of the Arabian gulf and adjacent waters. Fauna Arab. 1998, 17, 159–331, pls 1. [Google Scholar]
- Eischeid, A.C.; Stadig, S.R.; Handy, S.M.; Fry, F.S.; Deeds, J. Optimization and evaluation of a method for the generation of DNA barcodes for the identification of crustaceans. LWT 2016, 73, 357–367. [Google Scholar] [CrossRef]
- Harris, D.J.; Rosado, D.; Xavier, R. DNA barcoding reveals extensive mislabeling in seafood sold in Portuguese supermarkets. J. Aquat. Food Prod. Technol. 2016, 25, 1375–1380. [Google Scholar] [CrossRef]
- Haye, P.A.; Segovia, N.I.; Vera, R.; de los Ángeles Gallardo, M.; Gallardo-Escárate, C. Authentication of commercialized crab-meat in Chile using DNA barcoding. Food Control 2012, 25, 239–244. [Google Scholar] [CrossRef]
- Dermauw, W.; Van Moerkercke, Y.; Ebrahimi, N.; Casteels, H.; Bonte, J.; Witters, J. A Loop-mediated isothermal amplification (LAMP) assay for rapid identification of Ceratitis capitata and related species. Curr. Res. Insect Sci. 2022, 2, 100029. [Google Scholar] [CrossRef]
- He, Z.; Su, Y.; Li, S.; Long, P.; Zhang, P.; Chen, Z. Development and evaluation of isothermal amplification methods for rapid detection of lethal Amanita species. Front. Microbiol. 2019, 10, 1523. [Google Scholar] [CrossRef] [PubMed] [Green Version]
- Soroka, M.; Wasowicz, B.; Rymaszewska, A. Loop-mediated isothermal amplification (LAMP): The better sibling of PCR? Cells 2021, 10, 1931. [Google Scholar] [CrossRef]
- Bista, B.R.; Ishwad, C.; Wadowsky, R.M.; Manna, P.; Randhawa, P.S.; Gupta, G.; Adhikari, M.; Tyagi, R.; Gasper, G.; Vats, A. Development of a loop-mediated isothermal amplification assay for rapid detection of BK virus. J. Clin. Microbiol. 2007, 45, 1581–1587. [Google Scholar] [CrossRef] [PubMed] [Green Version]
- Ablordey, A.; Ahotor, E.; Narh, C.A.; King, S.A.; Cruz, I.; Ndung’u, J.M.; de Souza, D.K. Evaluation of different DNA extraction methods and loop-mediated isothermal amplification primers for the detection of Mycobacterium ulcerans in clinical specimens. BMC Infect. Dis. 2021, 21, 598. [Google Scholar] [CrossRef]
- Moon, Y.-J.; Lee, S.-Y.; Oh, S.-W. A Review of isothermal amplification methods and food-origin inhibitors against detecting food-borne pathogens. Foods 2022, 11, 322. [Google Scholar] [CrossRef]
- Piskata, Z.; Servusova, E.; Babak, V.; Nesvadbova, M.; Borilova, G. The quality of DNA isolated from processed food and feed via different extraction procedures. Molecules 2019, 24, 1188. [Google Scholar] [CrossRef] [PubMed] [Green Version]
- Wang, X.; Seo, D.J.; Lee, M.H.; Choi, C. Comparison of conventional PCR, multiplex PCR, and loop-mediated isothermal amplification assays for rapid detection of Arcobacter species. J. Clin. Microbiol. 2014, 52, 557–563. [Google Scholar] [CrossRef] [Green Version]
- Das, A.; Babiuk, S.; McIntosh, M.T. Development of a loop-mediated isothermal amplification assay for rapid detection of Capripoxviruses. J. Clin. Microbiol. 2012, 50, 1613–1620. [Google Scholar] [CrossRef] [Green Version]
- Aslan, O.; Hamill, R.M.; Sweeney, T.; Reardon, W.; Mullen, A.M. Integrity of nuclear genomic deoxyribonucleic acid in cooked meat: Implications for food traceability. J. Anim. Sci. 2009, 87, 57–61. [Google Scholar] [CrossRef]
- Şakalar, E.; Abasiyanik, M.F.; Bektik, E.; Tayyrov, A. Effect of heat processing on DNA quantification of meat species. J. Food Sci. 2012, 77, N40–N44. [Google Scholar] [CrossRef] [PubMed]
- Choi, Y.-S.; Hwang, K.-E.; Jeong, T.-J.; Kim, Y.-B.; Jeon, K.-H.; Kim, E.-M.; Sung, J.-M.; Kim, H.-W.; Kim, C.-J. Comparative study on the effects of boiling, steaming, grilling, microwaving and superheated steaming on quality characteristics of marinated chicken steak. Korean J. Food Sci. Anim. Resour. 2016, 36, 1–7. [Google Scholar] [CrossRef] [PubMed]
- Xu, B.; Chang, S.K.C. Effect of soaking, boiling, and steaming on total phenolic content and antioxidant activities of cool season food legumes. Food Chem. 2008, 110, 1–13. [Google Scholar] [CrossRef] [PubMed]
- Yuan, G.; Sun, B.; Yuan, J.; Wang, Q. Effects of different cooking methods on health-promoting compounds of broccoli. J. Zhejiang Univ. Sci. B 2009, 10, 580–588. [Google Scholar] [CrossRef] [Green Version]
- Šimat, V.; Rathod, N.B.; Čagalj, M.; Hamed, I.; Generalić Mekinić, I. Astaxanthin from crustaceans and their byproducts: A Bioactive Metabolite Candidate for Therapeutic Application. Mar. Drugs 2022, 20, 206. [Google Scholar] [CrossRef] [PubMed]
- Nawaz, A.; Li, E.; Khalifa, I.; Walayat, N.; Liu, J.; Irshad, S.; Zahra, A.; Ahmed, S.; Simirgiotis, M.J.; Pateiro, M.; et al. Effect of different processing methods on quality, structure, oxidative properties and water distribution properties of fish meat-based snacks. Foods 2021, 10, 2467. [Google Scholar] [CrossRef]
- Sudharshan, S.J.; Dyavaiah, M. Astaxanthin protects oxidative stress mediated DNA damage and enhances longevity in Saccharomyces cerevisiae. Biogerontology 2021, 22, 81–100. [Google Scholar] [CrossRef]
- Davinelli, S.; Nielsen, M.E.; Scapagnini, G. Astaxanthin in skin health, repair, and disease: A comprehensive review. Nutrients 2018, 10, 522. [Google Scholar] [CrossRef] [Green Version]




| Primers * | Sequences (5′->3′) |
|---|---|
| Blue swimming crab F3 B3 FIP (F1c-TTTT-F2) BIP (B1c-TTTT-B2) LF | TGTTAATGTAACTTTCTTCCCA AGGAGAGAACATAACAGGTC AGTAGTATAGGCGTCTGGATAATCGTTTTAGCATTTCCTAGGACTTAACG ATTGTGTCCTCGATAGGGTCCATATTTTGTTGGAAATTAAAGCTTCTCAG GTATCGCCGCGGCATA |
| Crucifix crab F3 B3 FIP (F1c-TTTT-F2) BIP (B1c-TTTT-B2) LF | GGATAGTTGAAAGAGGTGTCG GAATTGCGGTAATAAATACTGATC TCAACAGAAGCACCTGCGTGTTTTGTACTGGATGAACCGTGT CTGGCCGGTGTTTCCTCTATTTTTTTTTCTATTCTTATACCAAAAGAGCGTA CAATAGCGGCTGCTAAAGG |
| Three spotted swimming crab F3 B3 FIP (F1c-TTTT-F2) BIP (B1c-TTTT-B2) LF LB | TCCCTACCTGTTCTTGCA CCAAATGATTCCTTTTTACCAGA AGTGTTGATATAAAACAGGGTCTCCTTTTTACTATGCTTTTAACAGATCGTAAC GGTTCTTTGGCCACCCTGAGTTTTTTCTTGGCTAACAATATGAGAG CAGGATCAAAGAAGGAGGTGT GTCTATATTCTAATCCTCCCTGCTT |
| Crab Names | Percent Identity (%) | ||
|---|---|---|---|
| Three Spotted Swimming Crab | Blue Swimming Crab | Crucifix Crab | |
| Three spotted swimming crab | 100.00 | 83.31 | 82.01 |
| Blue swimming crab | 83.31 | 100.00 | 85.14 |
| Crucifix crab | 82.01 | 85.14 | 100.00 |
Publisher’s Note: MDPI stays neutral with regard to jurisdictional claims in published maps and institutional affiliations. |
© 2022 by the authors. Licensee MDPI, Basel, Switzerland. This article is an open access article distributed under the terms and conditions of the Creative Commons Attribution (CC BY) license (https://creativecommons.org/licenses/by/4.0/).
Share and Cite
Benjakul, S.; Saetang, J. Development of Loop-Mediated Isothermal Amplification (LAMP) Assays for the Rapid Authentication of Three Swimming Crab Species. Foods 2022, 11, 2247. https://doi.org/10.3390/foods11152247
Benjakul S, Saetang J. Development of Loop-Mediated Isothermal Amplification (LAMP) Assays for the Rapid Authentication of Three Swimming Crab Species. Foods. 2022; 11(15):2247. https://doi.org/10.3390/foods11152247
Chicago/Turabian StyleBenjakul, Soottawat, and Jirakrit Saetang. 2022. "Development of Loop-Mediated Isothermal Amplification (LAMP) Assays for the Rapid Authentication of Three Swimming Crab Species" Foods 11, no. 15: 2247. https://doi.org/10.3390/foods11152247
APA StyleBenjakul, S., & Saetang, J. (2022). Development of Loop-Mediated Isothermal Amplification (LAMP) Assays for the Rapid Authentication of Three Swimming Crab Species. Foods, 11(15), 2247. https://doi.org/10.3390/foods11152247

