Structural Changes, Electrophoretic Pattern, and Quality Attributes of Camel Meat Treated with Fresh Ginger Extract and Papain Powder
Abstract
:1. Introduction
2. Materials and Methods
2.1. Experimental Design
2.2. Enzyme Preparation
2.3. Muscle-Sample Preparation
2.4. Enzyme Treatment and Marination
2.5. Investigations
2.5.1. Quality Attributes
Measurement of Collagen Solubility, Sarcoplasmic Protein Solubility, and Myofibrillar Protein Solubility
Measurement of Myofibrillar Fragmentation Index
Measurement of Sarcomere Length and Muscle-Fiber Diameter
The pH Value
Thiobarbituric Acid Reactive Substances
Cooking Loss
Shear Force
Color Evaluation
Bacterial Counts
Sensory Panel Analysis
2.5.2. Structural Examination
Light Microscope
Transmission Electron Microscope
Scanning Electron Microscope
2.5.3. Electrophoresis
2.6. Statistical Analysis
3. Results and Discussions
3.1. Quality Attributes
3.1.1. Bacterial Counts
3.1.2. Sensory Evaluation
3.2. Structural Changes
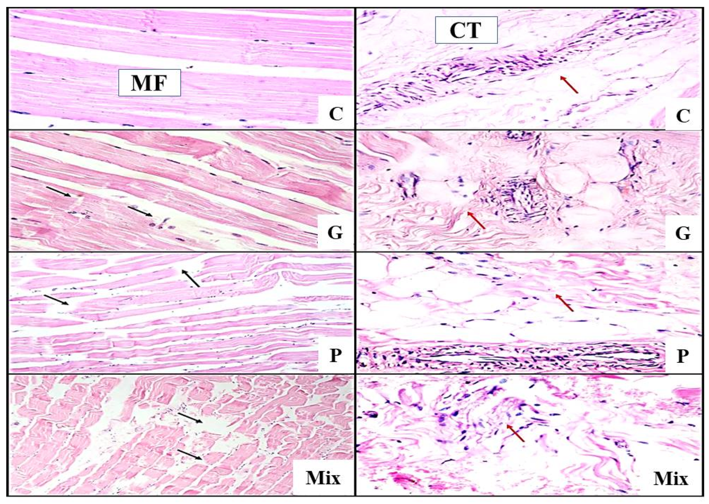
3.2.1. Light Microscope
3.2.2. Transmission Electron Microscope and Scanning Electron Microscope
3.3. The Electrophoretic Pattern of Muscle Proteins
4. Conclusions
Author Contributions
Funding
Institutional Review Board Statement
Informed Consent Statement
Data Availability Statement
Acknowledgments
Conflicts of Interest
References
- Abdel-Naeem, H.H.S.; Mohamed, H.M.H. Improving the physico-chemical and sensory characteristics of camel meat burger patties using ginger extract and papain. Meat Sci. 2016, 118, 52–60. [Google Scholar] [CrossRef]
- Maqsood, S.; Abushelaibi, A.; Manheem, K.; Rashedi, A.A.; Kadim, I.T. Lipid oxidation, protein degradation, microbial and sensorial quality of camel meat as influenced by phenolic compounds. LWT-Food Sci. Technol. 2015, 63, 953–959. [Google Scholar] [CrossRef]
- Mohammed, H.H.H.; Jina, G.; Maa, M.; Khalifaa, I.; Shukatc, R.; Elkhedira, A.E.; Zenga, Q.; Noman, A.E. Comparative characterization of proximate nutritional compositions, microbial quality and safety of camel meat in relation to mutton, beef, and chicken. LWT-Food Sci. Technol. 2020, 118, 108714. [Google Scholar] [CrossRef]
- Wilson, R.T. Camel. In The Tropical Agricultural Series; Costa, R., Ed.; Centre for Tropical Veterinary Medicine, University of Edinburgh: Edinburgh, UK, 1998. [Google Scholar]
- Lantto, R.; Kruus, K.; Puolanne, E.; Honkapää, K.; Roininen, K.; Buchert, J. Enzymes in food processing. In Enzymes in Meat Technology, 2nd ed.; Whitehurst, R.J., Van Oort, M., Eds.; Wiley-Blackwell: Hoboken, NJ, USA, 2010; Chapter 12; pp. 264–291. [Google Scholar] [CrossRef]
- Mendiratta, S.K.; Sharma, B.D.; Narayan, R.; Mane, B.G. Effect of proteolytic enzyme treatments and pressure cooking on quality of spent sheep meat curry. J. Muscle Foods 2010, 21, 685–701. [Google Scholar] [CrossRef]
- Naveena, B.M.; Mendiratta, S.K.; Anjaneyulu, A.S.R. Tenderization of buffalo meat using plant proteases from Cucumin trigonus Roxb (Kachri) and Zingiber officinale rescoe (Ginger rhizome). Meat Sci. 2004, 68, 363–369. [Google Scholar] [CrossRef]
- Garg, V.; Mendiratta, S.K. Studies on tenderization and preparation of enrobed pork chunk in microwave oven. Meat Sci. 2006, 74, 718–726. [Google Scholar] [CrossRef]
- Naewbanij, J.O.; Dorothy, L.H.; Stone, M.B. Roasting vs cooking in a model system: Tenderness of bull adductor muscle conventionally chilled or electrically stimulated-Hot boned. J. Food Sci. 1983, 48, 337–342. [Google Scholar] [CrossRef]
- Joo, S.T.; Kauffman, R.G.; Kim, B.C.; Park, G.B. The relationship of sarcoplasmic and myofibrillar protein solubility to color and water holding capacity in porcine Longissimus muscle. Meat Sci. 1999, 52, 291–297. [Google Scholar] [CrossRef]
- Davis, G.W.; Dutson, T.R.; Smith, G.C.; Carpenter, Z.L. Fragmentation procedure for bovine Longissimus muscle as an index of cooked steak tenderness. J. Food Sci. 1980, 45, 880–885. [Google Scholar] [CrossRef]
- Tuma, H.J.; Venable, J.H.; Wuthier, P.R.; Henrickson, R.L. Relationship of fibre diameter to tenderness and meatiness as influenced by bovine age. J. Anim. Sci. 1962, 21, 33–36. [Google Scholar] [CrossRef]
- Abdel-Naeem, H.H.S.; Sallam, K.I.; Zaki, H.M.B.A. Effect of different cooking methods of rabbit meat on topographical changes, physicochemical characteristics, fatty acids profile, microbial quality and sensory attributes. Meat Sci. 2021, 181, 108612. [Google Scholar] [CrossRef]
- Du, M.; Ahn, D.U. Effect of antioxidants on the quality of irradiated sausages prepared with turkey thigh meat. Poultry Sci. 2002, 81, 1251–1256. [Google Scholar] [CrossRef]
- Shackelford, S.D.; Wheeler, T.L.; Koohmaraie, M. Evaluation of sampling, cookery, and shear force protocols for objective evaluation of lamb Longissimus tenderness. J. Anim. Sci. 2004, 82, 802–807. [Google Scholar] [CrossRef]
- Shin, H.; Choi, Y.; Kim, H.; Ryu, Y.; Lee, S.; Kim, B. Tenderization and fragmentation of myofibrillar proteins in bovine Longissimus dorsi muscle using proteolytic extract from Sarcodon aspratus. Food Sci. Technol. 2008, 41, 1389–1395. [Google Scholar] [CrossRef]
- Ryser, E.T.; Schuman, J.D. Mesophilic aerobic plate count. In Compendium of Methods for the Microbiological Examination of Foods, 5th ed.; Salfinger, Y., Tortorello, M.L., Eds.; American Public Health Association: Washington, DC, USA, 2015; Chapter 8; pp. 95–102. [Google Scholar]
- Vasavada, P.C.; Critzer, F.J. Psychrotrophic microorganisms. In Compendium of Methods for the Microbiological Examination of Foods, 5th ed.; Salfinger, Y., Tortorello, M.L., Eds.; American Public Health Association: Washington, DC, USA, 2015; Chapter 13; pp. 175–190. [Google Scholar]
- AMSA “American Meat Science Association”. Research Guidelines for Cookery, Sensory Evaluation and Instrumental Tenderness Measurements of Fresh Meat; American Meat Science Association: Chicago, IL, USA, 1995. [Google Scholar]
- Banchroft, J.D.; Stevens, A.; Turner, D.R. Theory and Practice of Histological Techniques, 4th ed.; Churchil Livingstone: New York, NY, USA; London, UK; San Francisco, CA, USA; Tokyo, Japan, 1996. [Google Scholar]
- Nagaraj, N.S.; Anilakumar, K.R.; Santhanam, K. Post-mortem changes in myofibrillar proteins of goat skeletal muscles. J. Food Biochem. 2005, 29, 152–170. [Google Scholar] [CrossRef]
- Ketnawa, S.; Rawdkuen, S. Application of bromelain extract for muscle foods tenderization. Food Nutr. Sci. 2011, 2, 5736. [Google Scholar] [CrossRef] [Green Version]
- Laemmli, U.K. Cleavage of structural proteins during the assembly of head of bacteriophage T4. Nature 1970, 227, 680–685. [Google Scholar] [CrossRef]
- Mendiratta, S.K.; Anjaneyulu, A.S.R.; Lakshmanan, V.; Naveena, B.M.; Bisht, G.S. Tenderizing and antioxidant effect of ginger extract on sheep meat. J. Food Sci. Technol. 2000, 37, 565–570. [Google Scholar]
- Pawar, V.D.; Mule, B.D.; Machewad, G.M. Effect of marination with ginger rhizome extract on properties of raw and cooked chevon. J. Muscle Foods 2007, 18, 349–369. [Google Scholar] [CrossRef]
- Abdeldaiem, M.H.; Ali, H.G.M. Tenderization of camel meat by using fresh ginger (Zingiber officinale) extract. Food Sci. Qual. Manag. 2014, 23, 25–38. [Google Scholar]
- Maqsood, S.; Manheem, K.; Gani, A.; Abushelaibi, A. Degradation of myofibrillar, sarcoplasmic and connective tissue proteins by plant proteolytic enzymes and their impact on camel meat tenderness. J. Food Sci. Technol. 2018, 55, 3427–3438. [Google Scholar] [CrossRef]
- Rawdkuen, S.; Benjakul, S. Biochemical and microstructural characteristics of meat samples treated with different plant proteases. Afr. J. Biotechnol. 2012, 11, 14088–14095. [Google Scholar] [CrossRef]
- Ha, M.; Bekhit, A.A.; Carne, A.; Hopkins, D.L. Characterisation of commercial papain, bromelain, actinidin and zingibain protease preparations and their activities toward meat proteins. Food Chem. 2012, 134, 95–105. [Google Scholar] [CrossRef]
- Naveena, B.M.; Mendiratta, S.K. The tenderization of buffalo meat using ginger extract. J. Muscle foods 2004, 15, 235–244. [Google Scholar] [CrossRef]
- Frank, F.; Xu, Y.; Jiang, Q.; Xia, W. Protective effects of garlic (Allium sativum) and ginger (Zingiber officinale) on physicochemical and microbial attributes of liquid smoked silver carp (Hypophthalmichthys molitrix) wrapped in aluminum foil during chilled storage. Afr. J. Food Sci. 2014, 8, 1–8. [Google Scholar] [CrossRef] [Green Version]
- Singh, P.; Sahoo, J.; Chatli, M.K.; Biswas, A.K. Shelf life evaluation of raw chicken meat emulsion incorporated with clove powder, ginger and garlic paste as natural preservatives at refrigerated storage (4 ± 1 °C). Int. Food Res. J. 2014, 21, 1363–1373. [Google Scholar]
- Mancini, S.; Paci, G.; Fratini, F.; Torracca, B.; Nuvoloni, R.; Bosco, A.D.; Roscini, A.; Preziuso, G. Improving pork burgers quality using Zingiber officinale Roscoe powder (ginger). Meat Sci. 2017, 129, 161–168. [Google Scholar] [CrossRef]
- Ekwenye, U.N.; Elegalam, N.N. Antibacterial activity of ginger (Zingiber officinale) Roscoe and garlic (Allium sativum L.) extracts on Escherichia coli and Salmonella typhi. Int. J. Mol. Med. Adv. Sci. 2005, 1, 411–416. [Google Scholar]
- Park, M.; Bae, J.; Lee, D.S. Antibacterial activity of [10]-gingerol and [12]-gingerol isolated from ginger rhizome against periodontal bacteria. Phytother. Res. 2008, 22, 1446–1449. [Google Scholar] [CrossRef]
- Karuppiah, P.; Rajaram, S. Antibacterial effect of Allium sativum cloves and Zingiber officinale rhizomes against multiple-drug resistant clinical pathogens. Asian Pac. J. Trop. Biomed. 2012, 2, 597–601. [Google Scholar] [CrossRef] [Green Version]
- Rababah, T.M.; Hettiarachchy, N.S.; Horax, R. Total phenolics and antioxidant activities of fenugreek, green tea, black tea, grape seed, ginger, rosemary, gotu kola, and ginkgo extracts, vitamin E, and tert-butylhydroquinone. J. Agric. Food Chem. 2004, 52, 5183–5186. [Google Scholar] [CrossRef]
- Chan, E.W.C.; Lim, Y.Y.; Wong, L.F.; Lianto, F.S.; Wong, S.K.; Lim, K.K.; Joe, C.E.; Lim, T.Y. Antioxidant and tyrosinase inhibition properties of leaves and rhizomes of ginger species. Food Chem. 2008, 109, 477–483. [Google Scholar] [CrossRef]
- Sullivan, G.A.; Calkins, C.R. Application of exogenous enzymes to beef muscle of high and low-connective tissue. Meat Sci. 2010, 85, 730–734. [Google Scholar] [CrossRef]
- Lee, Y.B.; Sehnert, D.J.; Ashmore, C.R. Tenderization of meat with ginger rhizome protease. J. Food Sci. 1986, 51, 1558–1559. [Google Scholar] [CrossRef]
- Naveena, B.M.; Kiran, M.; Reddy, K.S.; Ramakrishna, C.; Vaithiyanathan, S.; Devatkal, S.K. Effect of ammonium hydroxide on ultrastructure and tenderness of buffalo meat. Meat Sci. 2011, 88, 727–732. [Google Scholar] [CrossRef]
- Naqvi, Z.B.; Campbell, M.A.; Latif, S.; Thomson, P.C.; Astruc, T.; Friend, M.A.; Vaskoskag, R.; Warner, R.D. The effect of extended refrigerated storage on the physicochemical, structural, and microbial quality of sous vide cooked biceps femoris treated with ginger powder (zingibain). Meat Sci. 2022, 186, 108729. [Google Scholar] [CrossRef]
- Kumar, Y.; Singh, P.; Pandey, A.; Tanwar, V.K.; Kumar, R.R. Augmentation of meat quality attributes of spent hen breast muscle (Pectoralis Major) by marination with lemon juice vis-a-vis ginger extract. J. Anim. Res. 2017, 7, 523–529. [Google Scholar] [CrossRef]
- Zhao, G.Y.; Zhou, M.Y.; Zhao, H.L.; Chen, X.L.; Xie, B.B.; Zhang, X.Y.; He, H.L.; Zhou, B.C.; Zhang, Y.Z. Tenderization effect of cold-adapted collagenolytic protease MCP-01 on beef meat at low temperature and its mechanism. Food Chem. 2012, 134, 1738–1744. [Google Scholar] [CrossRef]







| Parameters | Treatments | |||
|---|---|---|---|---|
| Control | 7% Ginger | 0.7% Papain | 5% Ginger + 0.5% Papain | |
| Collagen solubility (%) | 3.60 c ± 0.19 * | 10.36 b ± 2.67 | 18.28 a ± 2.70 | 23.85 a ± 3.19 |
| Sarcoplasmic protein solubility (mg/g) | 1.85 b ± 0.17 | 2.73 a ± 0.18 | 2.91 a ± 0.21 | 3.45 a ± 0.14 |
| Myofibrillar protein solubility (mg/g) | 1.40 b ± 0.21 | 2.49 a ± 0.23 | 3.03 a ± 0.27 | 3.58 a ± 0.37 |
| Myofibrillar fragmentation index% | 69.00 b ± 0.87 | 86.00 a ± 1.76 | 78.33 a ± 0.37 | 82.44 a ± 1.48 |
| Muscle-fiber diameter (µm) | 113.40 a ± 3.15 | 59.40 b ± 5.85 | 77.40 b ± 4.95 | 61.65 b ± 6.30 |
| Sarcomere length (µm) | 2.61 b ± 0.09 | 4.50 a ± 0.18 | 3.38 a ± 0.14 | 4.10 a ± 0.18 |
| pH | 5.76 a ± 0.03 | 5.60 b ± 0.01 | 5.67 b ± 0.04 | 5.62 b ± 0.02 |
| TBARS (mg/kg) | 0.33 a ± 0.03 | 0.15 c ± 0.01 | 0.20 b ± 0.01 | 0.13 c ± 0.01 |
| Cooking loss % | 33.40 c ± 0.74 | 36.57 b ± 1.20 | 39.56 a ± 1.40 | 42.85 a ± 0.90 |
| Shear force (N) | 87.67 a ± 0.36 | 63.55 b ± 0.55 | 56.39 b ± 0.22 | 57.86 b ± 0.53 |
| Color values | ||||
| L* | 36.39 a ± 0.40 | 38.84 a ± 1.70 | 38.24 a ± 1.61 | 38.66 a ± 1.74 |
| a* | 18.87 a ± 0.26 | 14.08 b ± 0.81 | 15.04 b ± 1.26 | 15.41 b ± 1.07 |
| b* | 7.63 a ± 0.38 | 6.70 a ± 0.74 | 5.65 a ± 0.95 | 6.99 a ± 0.20 |
| Bacterial counts | ||||
| Aerobic plate count (Log10 CFU/g) | 6.23 a ± 0.06 | 5.08 b ± 0.05 | 5.39 b ± 0.04 | 3.97 c ± 0.13 |
| Psychrotrophic (Log10 CFU/g) | 5.70 a ± 0.03 | 5.00 b ± 0.03 | 5.02 b ± 0.01 | 4.40 c ± 0.05 |
| Sensory Attributes | Treatments | |||
|---|---|---|---|---|
| Control | 7% Ginger | 0.7% Papain | 5% Ginger + 0.5% Papain | |
| Raw | ||||
| Appearance | 4.67 b ± 0.24 * | 6.89 a ± 0.20 | 6.33 a ± 0.17 | 7.00 a ± 0.24 |
| Odor | 4.00 c ± 0.17 | 7.50 a ± 0.10 | 6.22 b ± 0.15 | 7.33 a ± 0.29 |
| Consistency | 4.33 b ± 0.17 | 6.67 a ± 0.29 | 7.44 a ± 0.29 | 7.11 a ± 0.35 |
| Overall acceptability | 4.78 b ± 0.22 | 7.00 a ± 0.17 | 7.22 a ± 0.15 | 7.11 a ± 0.35 |
| Cooked | ||||
| Appearance | 5.85 b ± 0.14 | 7.07 a ± 0.16 | 5.96 b ± 0.23 | 6.63 a ± 0.13 |
| Flavor | 4.37 c ± 0.17 | 7.11 a ± 0.20 | 6.07 b ± 0.10 | 6.67 a ± 0.12 |
| Juiciness | 4.45 b ± 0.17 | 6.30 a ± 0.19 | 6.74 a ± 0.23 | 6.78 a ± 0.22 |
| Tenderness | 3.46 c ± 0.11 | 6.11 b ± 0.21 | 6.99 a ± 0.20 | 6.81 a,b ± 0.37 |
| Overall acceptability | 3.89 b ± 0.11 | 6.81 a ± 0.10 | 6.63 a ± 0.15 | 6.96 a ± 0.10 |
| Parameters | 7% Ginger | 0.7% Papain | 5% Ginger + 0.5% Papain |
|---|---|---|---|
| Tenderness | |||
| Collagen content | −0.844 ** | −0.884 ** | −0.887 ** |
| Collagen solubility % | 0.715 ** | 0.731 ** | 0.852 ** |
| Total soluble protein | 0.670 ** | 0.919 ** | 0.876 ** |
| Myofibrillar fragmentation index | 0.866 ** | 0.878 ** | 0.856 ** |
| Muscle-fiber diameter | −0.772 ** | −0.655 ** | −0.761 ** |
| Sarcomere length | 0.860 ** | 0.722 ** | 0.769 ** |
| Shear force | −0.647 ** | −0.886 ** | −0.733 ** |
| Juiciness | |||
| Collagen content | −0.883 ** | −0.897 ** | −0.903 ** |
| Collagen solubility % | 0.630 ** | 0.721 ** | 0.828 ** |
| Total soluble protein | 0.707 ** | 0.920 ** | 0.865 ** |
| Myofibrillar fragmentation index | 0.838 ** | 0.878 ** | 0.874 ** |
| Muscle-fiber diameter | −0.806 ** | −0.706 ** | −0.792 ** |
| Sarcomere length | 0.867 ** | 0.740 ** | 0.806 ** |
| Shear force | −0.676 ** | −0.854 ** | −0.702 ** |
Publisher’s Note: MDPI stays neutral with regard to jurisdictional claims in published maps and institutional affiliations. |
© 2022 by the authors. Licensee MDPI, Basel, Switzerland. This article is an open access article distributed under the terms and conditions of the Creative Commons Attribution (CC BY) license (https://creativecommons.org/licenses/by/4.0/).
Share and Cite
Abdel-Naeem, H.H.S.; Talaat, M.M.; Imre, K.; Morar, A.; Herman, V.; El-Nawawi, F.A.M. Structural Changes, Electrophoretic Pattern, and Quality Attributes of Camel Meat Treated with Fresh Ginger Extract and Papain Powder. Foods 2022, 11, 1876. https://doi.org/10.3390/foods11131876
Abdel-Naeem HHS, Talaat MM, Imre K, Morar A, Herman V, El-Nawawi FAM. Structural Changes, Electrophoretic Pattern, and Quality Attributes of Camel Meat Treated with Fresh Ginger Extract and Papain Powder. Foods. 2022; 11(13):1876. https://doi.org/10.3390/foods11131876
Chicago/Turabian StyleAbdel-Naeem, Heba H.S., Mohammed M. Talaat, Kálmán Imre, Adriana Morar, Viorel Herman, and Fathi A.M. El-Nawawi. 2022. "Structural Changes, Electrophoretic Pattern, and Quality Attributes of Camel Meat Treated with Fresh Ginger Extract and Papain Powder" Foods 11, no. 13: 1876. https://doi.org/10.3390/foods11131876
APA StyleAbdel-Naeem, H. H. S., Talaat, M. M., Imre, K., Morar, A., Herman, V., & El-Nawawi, F. A. M. (2022). Structural Changes, Electrophoretic Pattern, and Quality Attributes of Camel Meat Treated with Fresh Ginger Extract and Papain Powder. Foods, 11(13), 1876. https://doi.org/10.3390/foods11131876

