Bacterial Community Structure Responds to Soil Management in the Rhizosphere of Vine Grape Vineyards
Abstract
Simple Summary
Abstract
1. Introduction
2. Materials and Methods
2.1. Sampled Vineyards
2.2. Sampling
2.3. Physical Parameters
2.4. Soil DNA Extraction
2.5. PCR Amplification of 16S rRNA Gene
2.6. Denaturing Gradient Gel Electrophoresis (DGGE)
2.7. Sequence Analysis of DGGE Bands
3. Results and Discussions
3.1. Results of Soil Analysis
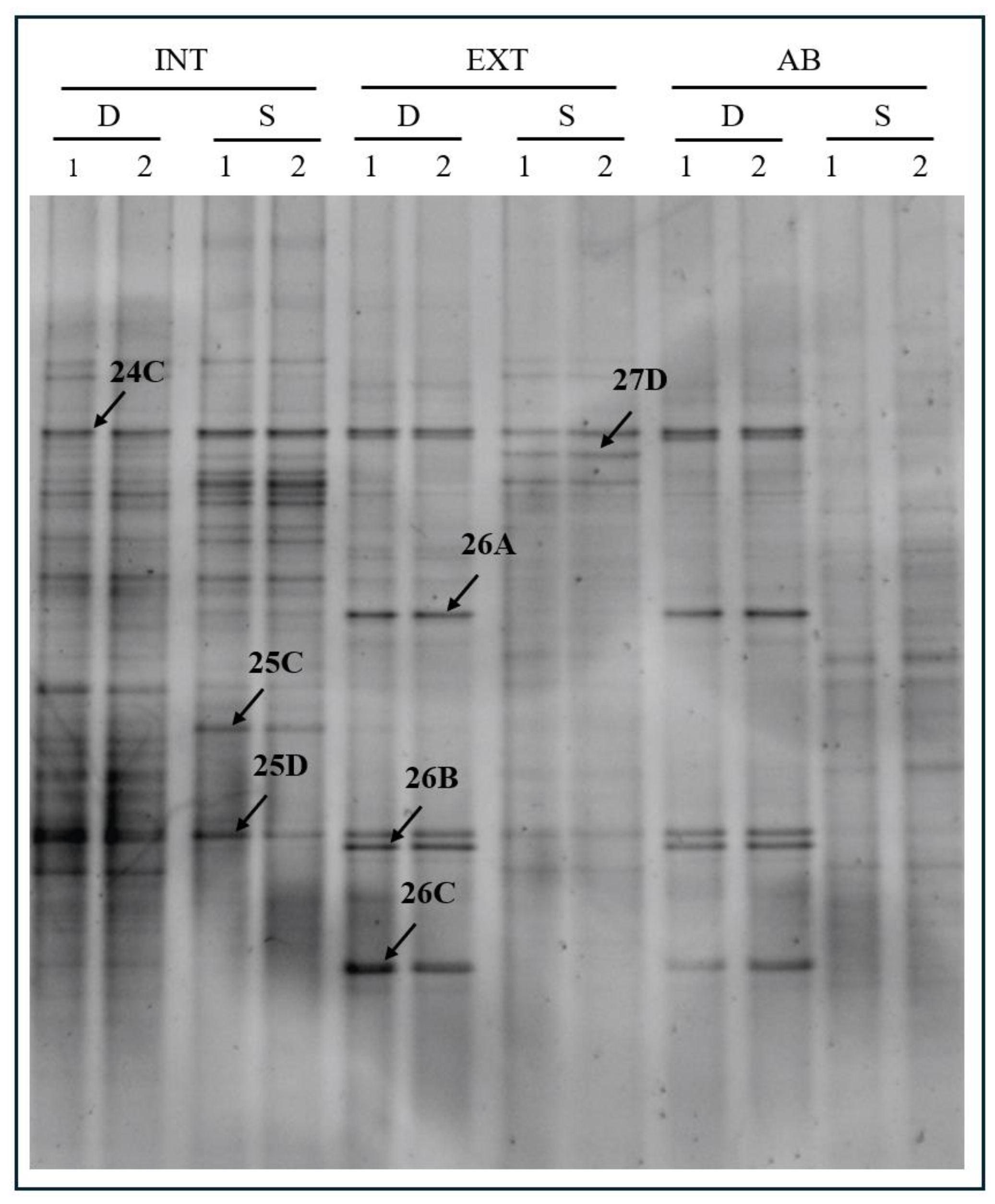
3.2. PCR-DGGE on the Grapevine Rhizosphere among Different Vineyards
3.3. Identification Analysis of the Most Representative DGGE Bands
4. Conclusions
Author Contributions
Funding
Institutional Review Board Statement
Informed Consent Statement
Data Availability Statement
Conflicts of Interest
References
- De Corato, U. Towards New Soil Management Strategies for Improving Soil Quality and Ecosystem Services in Sustainable Agriculture: Editorial Overview. Sustainability 2020, 12, 9398. [Google Scholar] [CrossRef]
- Mendes, R.; Garbeva, P.; Raaijmakers, J.M. The Rhizosphere Microbiome: Significance of Plant Beneficial, Plant Pathogenic, and Human Pathogenic Microorganisms. FEMS Microbiol. Rev. 2013, 37, 634–663. [Google Scholar] [CrossRef] [PubMed]
- Huber, L.; Hoffmann, M.; Rühl, E.H.; Kirchmair, M. Disease Suppressiveness of Vineyard Soils Infested with Grape Phylloxera. Acta Hortic. 2009, 816, 41–52. [Google Scholar] [CrossRef]
- Pancher, M.; Ceol, M.; Corneo, P.E.; Longa, C.M.O.; Yousaf, S.; Pertot, I.; Campisano, A. Fungal Endophytic Communities in Grapevines (Vitis vinifera L.) Respond to Crop Management. Appl. Environ. Microbiol. 2012, 78, 4308–4317. [Google Scholar] [CrossRef] [PubMed]
- O’Brien, S.L.; Gibbons, S.M.; Owens, S.M.; Hampton-Marcell, J.; Johnston, E.R.; Jastrow, J.D.; Gilbert, J.A.; Meyer, F.; Antonopoulos, D.A. Spatial Scale Drives Patterns in Soil Bacterial Diversity. Environ. Microbiol. 2016, 18, 2039–2051. [Google Scholar] [CrossRef] [PubMed]
- Kyselková, M.; Kopecký, J.; Frapolli, M.; Défago, G.; Ságová-Marečková, M.; Grundmann, G.L.; Moënne-Loccoz, Y. Comparison of Rhizobacterial Community Composition in Soil Suppressive or Conducive to Tobacco Black Root Rot Disease. ISME J. 2009, 3, 1127–1138. [Google Scholar] [CrossRef]
- Hayat, R.; Ali, S.; Amara, U.; Khalid, R.; Ahmed, I. Soil Beneficial Bacteria and Their Role in Plant Growth Promotion: A Review. Ann. Microbiol. 2010, 60, 579–598. [Google Scholar] [CrossRef]
- Odelade, K.A.; Babalola, O.O. Bacteria, Fungi and Archaea Domains in Rhizospheric Soil and Their Effects in Enhancing Agricultural Productivity. Int. J. Environ. Res. Public Health 2019, 16, 3873. [Google Scholar] [CrossRef] [PubMed]
- Biró, B.; Köves-Péchy, K.; Tsimilli-Michael, M.; Strasser, R.J. Role of Beneficial Microsymbionts on the Plant Performance and Plant Fitness. In Microbial Activity in the Rhizoshere; Mukerji, K.G., Manoharachary, C., Singh, J., Eds.; Soil Biology; Springer: Berlin/Heidelberg, Germany, 2006; pp. 265–296. ISBN 978-3-540-29420-7. [Google Scholar]
- Parray, J.A.; Shameem, N. Chapter 3—Molecular Mechanism of Plant-Microbe Interactions. In Sustainable Agriculture; Parray, J.A., Shameem, N., Eds.; Academic Press: San Diego, CA, USA, 2020; pp. 85–136. ISBN 978-0-12-817109-7. [Google Scholar]
- Jha, C.K.; Saraf, M. Plant Growth Promoting Rhizobacteria (PGPR): A Review. J. Agric. Res. Dev. 2015, 5, 108–119. [Google Scholar]
- Knight, S.; Klaere, S.; Fedrizzi, B.; Goddard, M.R. Regional Microbial Signatures Positively Correlate with Differential Wine Phenotypes: Evidence for a Microbial Aspect to Terroir. Sci. Rep. 2015, 5, 14233. [Google Scholar] [CrossRef]
- Uroz, S.; Calvaruso, C.; Turpault, M.P.; Pierrat, J.C.; Mustin, C.; Frey-Klett, P. Effect of the Mycorrhizosphere on the Genotypic and Metabolic Diversity of the Bacterial Communities Involved in Mineral Weathering in a Forest Soil. Appl. Environ. Microbiol. 2007, 73, 3019–3027. [Google Scholar] [CrossRef]
- Zarraonaindia, I.; Owens, S.M.; Weisenhorn, P.; West, K.; Hampton-Marcell, J.; Lax, S.; Bokulich, N.A.; Mills, D.A.; Martin, G.; Taghavi, S.; et al. The Soil Microbiome Influences Grapevine-Associated Microbiota. mBio 2015, 6, 2527. [Google Scholar] [CrossRef]
- Bao, L.; Sun, B.; Wei, Y.; Xu, N.; Zhang, S.; Gu, L.; Bai, Z. Grape Cultivar Features Differentiate the Grape Rhizosphere Microbiota. Plants 2022, 11, 1111. [Google Scholar] [CrossRef]
- Martins, G.; Lauga, B.; Miot-Sertier, C.; Mercier, A.; Lonvaud, A.; Soulas, M.-L.; Soulas, G.; Masneuf-Pomarède, I. Characterization of Epiphytic Bacterial Communities from Grapes, Leaves, Bark and Soil of Grapevine Plants Grown, and Their Relations. PLoS ONE 2013, 8, e73013. [Google Scholar] [CrossRef]
- Feliciano, A.J.; Gubler, W.D. Histological Investigations on Infection of Grape Roots and Shoots by Phaeoacremonium spp. Phytopathol. Mediterr. 2001, 40, S387–S393. [Google Scholar]
- Willsey, T.; Chatterton, S.; Cárcamo, H. Interactions of Root-Feeding Insects with Fungal and Oomycete Plant Pathogens. Front. Plant Sci. 2017, 8, 1764. [Google Scholar] [CrossRef]
- Agrios, G. Plant Pathology, 5th ed.; Academic Press: San Diego, CA, USA, 2005; ISBN 978-0-08-047378-9. [Google Scholar]
- Granett, J.; Walker, M.A.; Kocsis, L.; Omer, A.D. Biology and Management of Grape Phylloxera. Annu. Rev. Entomol. 2001, 46, 387–412. [Google Scholar] [CrossRef]
- Burns, K.N.; Bokulich, N.A.; Cantu, D.; Greenhut, R.F.; Kluepfel, D.A.; O’Geen, A.T.; Strauss, S.L.; Steenwerth, K.L. Vineyard Soil Bacterial Diversity and Composition Revealed by 16S rRNA Genes: Differentiation by Vineyard Management. Soil Biol. Biochem. 2016, 103, 337–348. [Google Scholar] [CrossRef]
- Hoogsteen, M.J.J.; Lantinga, E.A.; Bakker, E.J.; Groot, J.C.J.; Tittonell, P.A. Estimating Soil Organic Carbon through Loss on Ignition: Effects of Ignition Conditions and Structural Water Loss. Eur. J. Soil Sci. 2015, 66, 320–328. [Google Scholar] [CrossRef]
- Andreolli, M.; Lampis, S.; Zenaro, E.; Salkinoja-Salonen, M.; Vallini, G. Burkholderia Fungorum DBT1: A Promising Bacterial Strain for Bioremediation of PAHs-Contaminated Soils. FEMS Microbiol. Lett. 2011, 319, 11–18. [Google Scholar] [CrossRef]
- van Belkum, A.; Sluijuter, M.; de Groot, R.; Verbrugh, H.; Hermans, P.W. Novel BOX Repeat PCR Assay for High-Resolution Typing of Streptococcus Pneumoniae Strains. J. Clin. Microbiol. 1996, 34, 1176–1179. [Google Scholar] [CrossRef] [PubMed]
- Guo, F.; Zheng, Z.; Zhang, J. Research on microbe community in tower earthworm ecology-filter by PCR-DGGE. China Environ. Sci. 2011, 31, 597–602. [Google Scholar]
- Alabouvette, C.; Steinberg, C. The Soil as a Reservoir for Antagonists to Plant Diseases. In An Ecological and Societal Approach to Biological Control; Eilenberg, J., Hokkanen, H.M.T., Eds.; Progress in Biological Control; Springer: Dordrecht, The Netherlands, 2006; pp. 123–144. ISBN 978-1-4020-4401-4. [Google Scholar]
- Weisburg, W.G.; Barns, S.M.; Pelletier, D.A.; Lane, D.J. 16S Ribosomal DNA Amplification for Phylogenetic Study. J. Bacteriol. 1991, 173, 697–703. [Google Scholar] [CrossRef] [PubMed]
- Muyzer, G.; de Waal, E.C.; Uitterlinden, A.G. Profiling of Complex Microbial Populations by Denaturing Gradient Gel Electrophoresis Analysis of Polymerase Chain Reaction-Amplified Genes Coding for 16S rRNA. Appl. Environ. Microbiol. 1993, 59, 695–700. [Google Scholar] [CrossRef] [PubMed]
- Frison, N.; Andreolli, M.; Botturi, A.; Lampis, S.; Fatone, F. Effects of the Sludge Retention Time and Carbon Source on Polyhydroxyalkanoate-Storing Biomass Selection under Aerobic-Feast and Anoxic-Famine Conditions. ACS Sustain. Chem. Eng. 2021, 9, 9455–9464. [Google Scholar] [CrossRef] [PubMed]
- Bombardi, L.; Salini, A.; Aulitto, M.; Zuliani, L.; Andreolli, M.; Bordoli, P.; Coltro, A.; Vitulo, N.; Zaccone, C.; Lampis, S.; et al. Lignocellulolytic Potential of Microbial Consortia Isolated from a Local Biogas Plant: The Case of Thermostable Xylanases Secreted by Mesophilic Bacteria. Int. J. Mol. Sci. 2024, 25, 1090. [Google Scholar] [CrossRef] [PubMed]
- Altschul, S.F.; Madden, T.L.; Schäffer, A.A.; Zhang, J.; Zhang, Z.; Miller, W.; Lipman, D.J. Gapped BLAST and PSI-BLAST: A New Generation of Protein Database Search Programs. Nucleic Acids Res. 1997, 25, 3389–3402. [Google Scholar] [CrossRef]
- Federhen, S. The NCBI Taxonomy Database. Nucleic Acids Res. 2012, 40, D136–D143. [Google Scholar] [CrossRef]
- Kalocsai, R.; Giczi, Z.; Schmidt, G.; Szakál, P. A talajvizsgálati eredmények értelmezése. Acta Agron. Óváriensis 2002, 42, 3–10. [Google Scholar]
- Sztahura, E. Amiről a Talajvizsgálati Eredmények Beszélnek III. Available online: https://www.nak.hu/tajekoztatasi-szolgaltatas/kornyezetgazdalkodas/100477-amirol-a-talajvizsgalati-eredmenyek-beszelnek-iii (accessed on 17 May 2021).
- Jahn, R.; Blume, H.P.; Asio, V.B.; Spaargaren, O.; Schad, P. Guidelines for Soil Description, 4th ed.; FAO: Rome, Italy, 2006; ISBN 978-92-5-105521-2. [Google Scholar]
- Filep, G.; Füleky, G.; Stefanovics, P. Talajtan; Mezőgazda Kiadó: Budapest, Hungary, 2010; ISBN 978-963-286-676-5. [Google Scholar]
- Komárek, M.; Čadková, E.; Chrastný, V.; Bordas, F.; Bollinger, J.-C. Contamination of Vineyard Soils with Fungicides: A Review of Environmental and Toxicological Aspects. Environ. Int. 2010, 36, 138–151. [Google Scholar] [CrossRef] [PubMed]
- Fleurat-Lessard, P.; Dédaldéchamp, F.; Thibault, F.; Béré, E.; Roblin, G. Antifungal Effects of Iron Sulfate on Grapevine Fungal Pathogens. Sci. Hortic. 2011, 130, 517–523. [Google Scholar] [CrossRef]
- Fernández-Calviño, D.; Martín, A.; Arias-Estévez, M.; Bååth, E.; Díaz-Raviña, M. Microbial Community Structure of Vineyard Soils with Different pH and Copper Content. Appl. Soil Ecol. 2010, 46, 276–282. [Google Scholar] [CrossRef]
- Ge, C.-R.; Zhang, Q.-C. Microbial Community Structure and Enzyme Activities in a Sequence of Copper-Polluted Soils. Pedosphere 2011, 21, 164–169. [Google Scholar] [CrossRef]
- Holland, T.C.; Bowen, P.A.; Bogdanoff, C.P.; Lowery, T.D.; Shaposhnikova, O.; Smith, S.; Hart, M.M. Evaluating the Diversity of Soil Microbial Communities in Vineyards Relative to Adjacent Native Ecosystems. Appl. Soil Ecol. 2016, 100, 91–103. [Google Scholar] [CrossRef]
- Cavani, L.; Manici, L.M.; Caputo, F.; Peruzzi, E.; Ciavatta, C. Ecological Restoration of a Copper Polluted Vineyard: Long-Term Impact of Farmland Abandonment on Soil Bio-Chemical Properties and Microbial Communities. J. Environ. Manag. 2016, 182, 37–47. [Google Scholar] [CrossRef] [PubMed]
- Khmelevtsova, L.E.; Sazykin, I.S.; Azhogina, T.N.; Sazykina, M.A. Influence of Agricultural Practices on Bacterial Community of Cultivated Soils. Agriculture 2022, 12, 371. [Google Scholar] [CrossRef]
- Rincon-Florez, V.A.; Carvalhais, L.C.; Dang, Y.P.; Crawford, M.H.; Schenk, P.M.; Dennis, P.G. Significant Effects on Soil Microbial Communities Were Not Detected after Strategic Tillage Following 44 Years of Conventional or No-Tillage Management. Pedobiologia 2020, 80, 150640. [Google Scholar] [CrossRef]
- Johnsen, K.; Jacobsen, C.S.; Torsvik, V.; Sørensen, J. Pesticide Effects on Bacterial Diversity in Agricultural Soils–A Review. Biol. Fertil. Soils 2001, 33, 443–453. [Google Scholar] [CrossRef]
- Lee, H.S.; Hwang, W.M.; Kang, K.; Ahn, T.-Y. Flavobacterium Parvum sp. nov., Isolated from Soil Polluted by Sewer Water. J. Microbiol. 2018, 56, 542–548. [Google Scholar] [CrossRef] [PubMed]
- La Scola, B.; Barrassi, L.; Raoult, D. A Novel Alpha-Proteobacterium, Nordella oligomobilis gen. nov., sp. nov., Isolated by Using Amoebal Co-Cultures. Res. Microbiol. 2004, 155, 47–51. [Google Scholar] [CrossRef] [PubMed]
- Wang, M.-Q.; Wang, Z.; Yu, L.-N.; Zhang, C.-S.; Bi, J.; Sun, J. Pseudomonas qingdaonensis sp. nov., an Aflatoxin-Degrading Bacterium, Isolated from Peanut Rhizospheric Soil. Arch. Microbiol. 2019, 201, 673–678. [Google Scholar] [CrossRef] [PubMed]
- Pseudomonas brassicae sp. nov., a Pathogen Causing Head Rot of Broccoli in Japan|Microbiology Society. Available online: https://www.microbiologyresearch.org/content/journal/ijsem/10.1099/ijsem.0.004412 (accessed on 29 March 2024).
- IJMS|Free Full-Text|Analysis of the Genome of the Heavy Metal Resistant and Hydrocarbon-Degrading Rhizospheric Pseudomonas Qingdaonensis ZCR6 Strain and Assessment of Its Plant-Growth-Promoting Traits. Available online: https://www.mdpi.com/1422-0067/23/1/214 (accessed on 28 March 2024).
- Cheng, J.; Zhang, M.-Y.; Zhao, J.-C.; Xu, H.; Zhang, Y.; Zhang, T.-Y.; Wu, Y.-Y.; Zhang, Y.-X. Arthrobacter ginkgonis sp. nov., an Actinomycete Isolated from Rhizosphere of Ginkgo biloba L. Int. J. Syst. Evol. Microbiol. 2017, 67, 319–324. [Google Scholar] [CrossRef] [PubMed]
- Hahne, J.; Isele, D.; Heidler von Heilborn, D.; Czaja-Hasse, L.; Hüttel, B.; Lipski, A. Galactobacter caseinivorans gen. nov., sp. nov. and Galactobacter valiniphilus sp. nov., Two Novel Species of the Family Micrococcaceae, Isolated from High Bacterial Count Raw Cow’s Milk. Int. J. Syst. Evol. Microbiol. 2019, 69, 2862–2869. [Google Scholar] [CrossRef] [PubMed]
- Khianngam, S.; Akaracharanya, A.; Lee, J.-S.; Lee, K.C.; Kim, K.-W.; Tanasupawat, S. Flavobacterium arsenitoxidans sp. nov., an Arsenite-Oxidizing Bacterium from Thai Soil. Antonie Van Leeuwenhoek 2014, 106, 1239–1246. [Google Scholar] [CrossRef] [PubMed]
- Hwang, W.M.; Kim, D.; Kang, K.; Ahn, T.-Y. Flavobacterium eburneum sp. nov., Isolated from Reclaimed Saline Land Soil. Int. J. Syst. Evol. Microbiol. 2017, 67, 55–59. [Google Scholar] [CrossRef] [PubMed]
- Sun, C.; Wang, R.; Su, Y.; Fu, G.; Zhao, Z.; Yu, X.; Zhang, C.; Chen, C.; Han, S.; Huang, M.; et al. Hyphobacterium vulgare gen. nov., sp. nov., a Novel Alphaproteobacterium Isolated from Seawater. Int. J. Syst. Evol. Microbiol. 2017, 67, 1169–1176. [Google Scholar] [CrossRef] [PubMed]
- Reimer, L.C.; Sarda Carbasse, J.; Koblitz, J.; Podstawka, A.; Overmann, J. Hyphomicrobium vulgare Stutzer and Hartleb 1899. Int. J. Syst. Bacteriol. 2023, 30, 308. [Google Scholar]
- Anil Kumar, P.; Srinivas, T.N.R.; Sasikala, C.; Ramana, C.V.; Imhoff, J.F. Thiophaeococcus mangrovi gen. nov., sp. nov., a Photosynthetic, Marine Gammaproteobacterium Isolated from the Bhitarkanika Mangrove Forest of India. Int. J. Syst. Evol. Microbiol. 2008, 58, 2660–2664. [Google Scholar] [CrossRef] [PubMed]
- Thiophaeococcus mangrovi gen. nov., sp. nov., a Photosynthetic, Marine Gammaproteobacterium Isolated from the Bhitarkanika Mangrove Forest of India|Microbiology Society. Available online: https://www.microbiologyresearch.org/content/journal/ijsem/10.1099/ijs.0.65775-0 (accessed on 29 March 2024).
- Srinivas, T.; Thiel, V.; Tank, M.; Sasikala, C.; Ramana, C.V.; Imhoff, J. Thiohalocapsa marina sp. nov., from an Indian Marine Aquaculture Pond. Int. J. Syst. Evol. Microbiol. 2009, 59, 2333–2338. [Google Scholar] [CrossRef]
- Imhoff, J.F.; Suling, J.; Petri, R. Phylogenetic Relationships among the Chromatiaceae, Their Taxonomic Reclassification and Description of the New Genera Allochromatium, Halochromatium, Isochromatium, Marichromatium, Thiococcus, Thiohalocapsa and Thermochromatium. Int. J. Syst. Bacteriol. 1998, 48, 1129–1143. [Google Scholar] [CrossRef]
- Kluepfel, D.A. The Behavior and Tracking of Bacteria in the Rhizosphere. Annu. Rev. Phytopathol. 1993, 31, 441–472. [Google Scholar] [CrossRef]



| Sample Labels: | INT-S (0–30 cm) | INT-D (30–60 cm) | EXT-S (0–30 cm) | EXT-D (30–60 cm) | AB-S (0–30 cm) | AB-D (30–60 cm) |
|---|---|---|---|---|---|---|
| pH (H2O) | 7.48 | 7.74 | 6.89 | 6.93 | 6.16 | 6.35 |
| pH (KCl) | 7.09 | 7.36 | 6.55 | 6.60 | 5.41 | 5.70 |
| slightly acidic | slightly acidic | slightly acidic | slightly acidic | slightly acidic | slightly acidic | |
| KA (soil texture) | 23 | 23 | 23 | 25 | 26 | 25 |
| coarse sand | coarse sand | coarse sand | sand | sand | sand | |
| Total salt (m/m%) | <0.02 | <0.02 | <0.02 | <0.02 | <0.02 | <0.02 |
| low salinity | low salinity | low salinity | low salinity | low salinity | low salinity | |
| CaCO3 (m/m%) | 0.17 | 0.25 | 0.13 | 0.35 | 0.22 | 0.30 |
| slightly calcareous | slightly calcareous | slightly calcareous | slightly calcareous | slightly calcareous | slightly calcareous | |
| Organic matter (SOC) (m/m%) | 0.63 | 0.58 | 0.75 | 0.71 | 0.78 | 0.89 |
| poor | poor | medium | medium | medium | medium | |
| P2O5 (mg/kg) | 278.0 | 296.0 | 228.6 | 234.2 | 126.69 | 202.93 |
| good | very good | very good | very good | good | very good | |
| K2O (mg/kg) | 88.4 | 66.0 | 240.35 | 360.10 | 140.20 | 188.45 |
| very good | very good | very good | very good | good | very good | |
| (NO3 + NO2)-N (mg/kg) | 3.79 | 4.33 | 3.20 | 2.40 | 2.25 | 2.31 |
| low | low | low | low | low | low | |
| Na (mg/kg) | 6.45 | 11.9 | 11.30 | 2.10 | 1.08 | 21.10 |
| optimal | optimal | optimal | optimal | optimal | optimal | |
| Mg (mg/kg) | 43.1 | 43.6 | 56.5 | 46.7 | 42.0 | 33.1 |
| medium | medium | medium | medium | medium | poor | |
| SO4-S (mg/kg) | 36.8 | 40.7 | 46.29 | 41.77 | 30.25 | 21.33 |
| good | good | good | good | good | good | |
| Mn (mg/kg) | 109 | 99.1 | 82.92 | 75.10 | 55.70 | 60.8 |
| sufficient | sufficient | sufficient | sufficient | sufficient | sufficient | |
| Zn (mg/kg) | 6.05 | 5.84 | 8.65 | 6.56 | 4.21 | 3.95 |
| good | good | good | good | good | good | |
| Cu (mg/kg) | 69 | 37.9 | 52.28 | 42.48 | 28.60 | 47.92 |
| sufficient | sufficient | sufficient | sufficient | sufficient | sufficient |
| Band | Closest Bacterial Strain | Accession Number | Class | Occurrence in Samples | Occurrence According to the Literature |
|---|---|---|---|---|---|
| (Identity %) | |||||
| 24C | Flavobacterium sp. HS916 (100) | NR_165696 | Flavobacteriia | All | Polluted bulk soil [46] |
| 25C | Nordella oligomobilis N21 (100) | NR_114615 | Alphaproteobacteria | INT-S | Environmental uncultured (order: Rhizobiales) bacteria [47] |
| 25D | Pseudomonas qingdaonensis JJ3 (100) | NR_169411 | Gammaproteobacteria | All | Aerobic bacteria from peanut rhizosphere with aflatoxin degradation capability [48], head rot of lesions of broccoli (Brassica oleracea L. var. italica Plenck) [49], PGPR bacteria in Zea mays’s rhizosphere with resistance of heavy metals (e.g., Cu) [50] |
| Pseudomonas flavescens NBRC 103044 (100) | NR_114195 | Gammaproteobacteria | All | Rhizosphere of tomato, soil, ater [42] | |
| 26A | Arthrobacter ginkgonis SYP-A7299 (99.43) | NR_156061 | Actinobacteria | AB-D, EXT-D, INT-S, INT-D | Aerobic strain from the rhizosphere of Ginkgo biloba [51] |
| Galactobacter valiniphilus JZ7 (99.43) | NR_165018 | Actinobacteria | AB-D, EXT-D, INT-S | Raw cow milk sample [52] | |
| 26B | Flavobacterium arsenitoxidans S2-3H | NR_134726 | Flavobacteriia | AB-D, EXT-D | Arsenate-oxidizing bacterium from contaminated bulk soil [53] |
| Flavobacterium eburneum SA31 (98.94) | NR_156035 | Flavobacteriia | AB-D, EXT-D | Soil (aerobe) [54] | |
| 26C | Hyphomicrobium vulgare JCM 6889 (98.83) | NR_104697 | Alphaproteobacteria | AB-D, EXT-D | Sea water, river [55] |
| Hyphomicrobium aestuarii ATCC 27483 (98.83) | NR_104954 | Alphaproteobacteria | AB-D, EXT-D, INT-D | River [56] | |
| 27D | Thiophaeococcus mangrovi JA304 (93.4) | NR_042643 | Gammaproteobacteria | Mud of brackish water [57], obligate anaerobe [58] | |
| Thiohalocapsa halophila strain DSM 6210 (93.4) | NR_115076 | Gammaproteobacteria | EXT-S, INT-S, INT-D | Anoxic sediment in a marine aquaculture pond, phototrophic [59] it has a requirement for NaCl [60] |
Disclaimer/Publisher’s Note: The statements, opinions and data contained in all publications are solely those of the individual author(s) and contributor(s) and not of MDPI and/or the editor(s). MDPI and/or the editor(s) disclaim responsibility for any injury to people or property resulting from any ideas, methods, instructions or products referred to in the content. |
© 2024 by the authors. Licensee MDPI, Basel, Switzerland. This article is an open access article distributed under the terms and conditions of the Creative Commons Attribution (CC BY) license (https://creativecommons.org/licenses/by/4.0/).
Share and Cite
Kovács, B.; Andreolli, M.; Lampis, S.; Biró, B.; Kotroczó, Z. Bacterial Community Structure Responds to Soil Management in the Rhizosphere of Vine Grape Vineyards. Biology 2024, 13, 254. https://doi.org/10.3390/biology13040254
Kovács B, Andreolli M, Lampis S, Biró B, Kotroczó Z. Bacterial Community Structure Responds to Soil Management in the Rhizosphere of Vine Grape Vineyards. Biology. 2024; 13(4):254. https://doi.org/10.3390/biology13040254
Chicago/Turabian StyleKovács, Barnabás, Marco Andreolli, Silvia Lampis, Borbála Biró, and Zsolt Kotroczó. 2024. "Bacterial Community Structure Responds to Soil Management in the Rhizosphere of Vine Grape Vineyards" Biology 13, no. 4: 254. https://doi.org/10.3390/biology13040254
APA StyleKovács, B., Andreolli, M., Lampis, S., Biró, B., & Kotroczó, Z. (2024). Bacterial Community Structure Responds to Soil Management in the Rhizosphere of Vine Grape Vineyards. Biology, 13(4), 254. https://doi.org/10.3390/biology13040254

