Unusual Mass Mortality of Atlantic Puffins (Fratercula arctica) in the Canary Islands Associated with Adverse Weather Events
Simple Summary
Abstract
1. Introduction
2. Materials and Methods
2.1. Stranding Records
2.2. Necropsy and Histopathology
2.3. Molecular Analysis
3. Results
3.1. Stranding Records
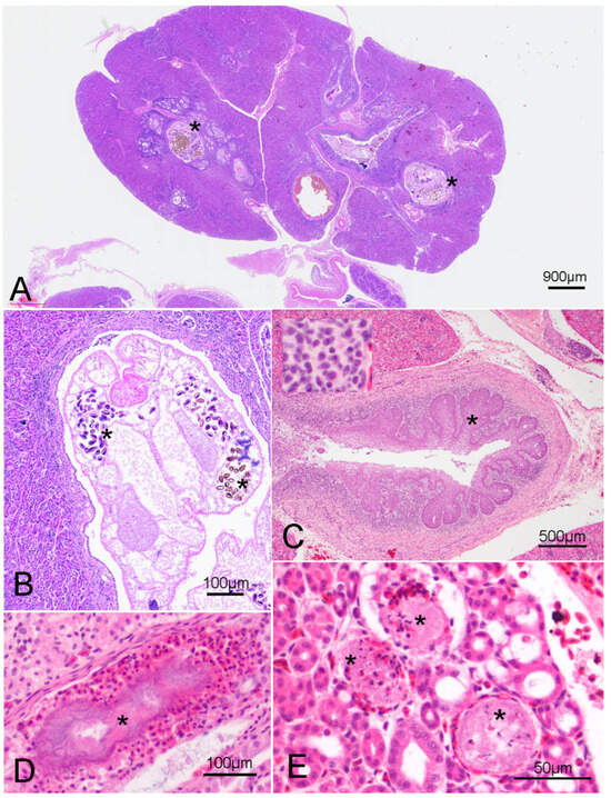
3.2. Necropsy and Histopathology
3.3. Molecular Analysis
4. Discussion
5. Conclusions
Supplementary Materials
Author Contributions
Funding
Data Availability Statement
Acknowledgments
Conflicts of Interest
Abbreviations
| BS | Body Score |
| PCR | Polimerase Chain Reaction |
| BLAST | Basic Local Alignment Search Tool |
References
- Burnham, K.K.; Burnham, J.L.; Johnson, J.A. Morphological measurements of Atlantic puffin (Fratercula arctica naumanni) in High-Arctic Greenland. Polar Res. 2020, 39, 3614. [Google Scholar] [CrossRef]
- Anker-Nilssen, T.; Jensen, J.K.; Harris, M.P. Fit is fat: Winter body mass of Atlantic Puffins Fratercula arctica. Bird Study 2018, 65, 451–457. [Google Scholar] [CrossRef]
- Corkhill, P. Measurements of Puffins as criteria of sex and age. Bird Study 1972, 19, 193–202. [Google Scholar] [CrossRef]
- Barrett, R.T.; Nilsen, E.B.; Anker-Nilssen, T. Long-term decline in egg size of Atlantic puffins Fratercula arctica is related to changes in forage fish stocks and climate conditions. Mar. Ecol. Prog. Ser. 2012, 457, 1–10. [Google Scholar] [CrossRef]
- Miles, W.T.; Mavor, R.; Riddiford, N.J.; Harvey, P.V.; Riddington, R.; Shaw, D.N.; Reid, J.M. Decline in an Atlantic puffin population: Evaluation of magnitude and mechanisms. PLoS ONE 2015, 10, e0131527. [Google Scholar] [CrossRef]
- Leighton, F.A. Clinical, gross, and histological findings in herring gulls and Atlantic puffins that ingested Prudhoe Bay crude oil. Vet. Pathol. 1986, 23, 254–263. [Google Scholar] [CrossRef]
- Burnham, K.K.; Burnham, J.L.; Johnson, J.A.; Huffman, A. Migratory movements of Atlantic puffins Fratercula arctica naumanni from high Arctic Greenland. PLoS ONE 2021, 16, e0252055. [Google Scholar] [CrossRef]
- Jones, T.; Divine, L.M.; Renner, H.; Knowles, S.; Lefebvre, K.A.; Burgess, H.K.; Wright, C.; Parrish, J.K. Unusual mortality of Tufted puffins (Fratercula cirrhata) in the eastern Bering Sea. PLoS ONE 2019, 14, e0216532. [Google Scholar] [CrossRef]
- Duff, J.P.; Harris, M.P.; Turner, D.M. Mass mortality of puffins, linked to starvation. Vet. Rec. 2013, 173, 224. [Google Scholar] [CrossRef]
- Matos, A.M.R.N.; Lavorente, F.L.P.; Lorenzetti, E.; Meira-Filho, M.R.C.; Nóbrega, D.F.; Chryssafidis, A.L.; Oliveira, A.G.; Domit, C.; Bracarense, A.P.F.R.L. Molecular identification and histological aspects of Renicola sloanei (Digenea: Renicolidae) in Puffinus puffinus (Aves: Procellariiformes): A first record. Rev. Bras. Parasitol. Vet. 2019, 28, 367–375. [Google Scholar] [CrossRef]
- Wright, C.A. Studies on the life-history and ecology of the trematode genus Renicola Cohn, 1904. Proc. Zool. Soc. Lond. 1956, 126, 1–50. [Google Scholar] [CrossRef]
- Hill, W.C.O. Report, of the Society’s Prosector for the year 1953. Proc. Zool. Soc. Lond. 1954, 124, 303–316. [Google Scholar] [CrossRef]
- Rae, M. Practical avian necropsy. Semin. Avian Exot. Pet Med. 2003, 12, 62–70. [Google Scholar] [CrossRef]
- Burton, E.J.; Newnham, R.; Bailey, S.J.; Alexander, L.G. Evaluation of a fast, objective tool for assessing body condition of budgerigars (Melopsittacus undulatus). J. Anim. Physiol. Anim. Nutr. 2014, 98, 223–227. [Google Scholar] [CrossRef] [PubMed]
- Spackman, E.; Senne, D.A.; Myers, T.J.; Bulaga, L.L.; Garber, L.P.; Perdue, M.L.; Lohman, K.; Daum, L.T.; Suarez, D.L. Development of a real-time reverse transcriptase PCR assay for type A influenza virus and the avian H5 and H7 hemagglutinin subtypes. J. Clin. Microbiol. 2002, 40, 3256–3260. [Google Scholar] [CrossRef]
- Pino-Vera, R.; Miquel, J.; Suárez-Santana, C.; Martín-Carrillo, N.; Abreu-Acosta, N.; Marrero-Ponce, L.; Fariña-Brito, A.; Rodríguez, B.; Fernández, A.; Foronda, P. Record of Renicola sloanei Wright, 1954 (Plagiorchiida: Renicolidae) in the Atlantic puffin Fratercula arctica (Linnaeus, 1758) arrived at the Canary Islands (Spain). J. Helminthol. 2024, 98, e83. [Google Scholar] [CrossRef]
- Heneberg, P.; Sitko, J.; Bizos, J.; Horne, E.C. Central European parasitic flatworms of the family Renicolidae Dollfus, 1939 (Trematoda: Plagiorchiida): Molecular and comparative morphological analysis rejects the synonymization of Renicola pinguis complex suggested by Odening. Parasitology 2016, 143, 1592–1604. [Google Scholar] [CrossRef]
- DataZone by Birdlife. Atlantic Puffin, Range Description. Available online: https://datazone.birdlife.org/species/factsheet/atlantic-puffin-fratercula-arctica#Distribution (accessed on 20 April 2025).
- Swanson, D.L.; Zhang, Y.; Jimenez, A.G. Skeletal muscle and metabolic flexibility in response to changing energy demands in wild birds. Front. Physiol. 2022, 13, 961392. [Google Scholar] [CrossRef]
- Jerdy, H.; Baldassin, P.; Werneck, M.R.; Bianchi, M.; Ribeiro, R.B.; Carvalho, E.C.Q. First report of kidney lesions due to Renicola sp. (Digenea: Trematoda) in free-living Magellanic Penguins (Spheniscus magellanicus Forster, 1781) found on the coast of Brazil. J. Parasitol. 2016, 102, 650–652. [Google Scholar] [CrossRef]
- Heinz, J.; Anderson, K.; Wolf, K. Retrospective mortality review of tufted puffins (Fratercula cirrhata) at a single institution (1982–2017). J. Zoo Wildl. Med. 2022, 53, 11–18. [Google Scholar] [CrossRef]
- Bush, O.; Fernández, J.C.; Esch, G.W.; Seed, J.R. Parasitism: The Diversity and Ecology of Animal Parasites; Cambridge University Press: Cambridge, UK, 2001; ISBN 0521662788. [Google Scholar] [CrossRef]
- Cornet, S.; Bichet, C.; Larcombe, S.; Faivre, B.; Sorci, G. Impact of host nutritional status on infection dynamics and parasite virulence in a bird-malaria system. J. Anim. Ecol. 2014, 83, 256–265. [Google Scholar] [CrossRef]
- Konstantinov, A. A Contribution to the Pathomorphology of Vitamin A Deficiency in Chickens. Zentralbl. Veterinarmed. Reihe A 1972, 19, 407–416. [Google Scholar] [CrossRef] [PubMed]
- Wobeser, G.; Kost, W. Starvation, staphylococcosis and vitamin A deficiency among mallards overwintering in Saskatchewan. J. Wildl. Dis. 1991, 28, 215–222. [Google Scholar] [CrossRef] [PubMed]
- Laurenson, K.; Wood, M.J.; Birkhead, T.R.; Priestley, M.D.; Sherley, R.B.; Fayet, A.L.; Votier, S.C. Long-term multi-species demographic studies reveal divergent negative impacts of winter storms on seabird survival. J. Anim. Ecol. 2025, 94, 139–153. [Google Scholar] [CrossRef] [PubMed]
- Guglielmo, C.G.; Piersma, T.; Williams, T.D. A sport-physiological perspective on bird migration: Evidence for flight-induced muscle damage. J. Exp. Biol. 2001, 204, 2683–2690. [Google Scholar] [CrossRef]
- Puig-Lozano, R.; de Quirós, Y.B.; Díaz-Delgado, J.; García-Álvarez, N.; Sierra, E.; De la Fuente, J.; Arbelo, M. Retrospective study of foreign body-associated pathology in stranded cetaceans, Canary Islands (2000–2015). Environ. Pollut. 2018, 243, 519–527. [Google Scholar] [CrossRef]
- Provencher, J.F.; Bond, A.L.; Hedd, A.; Montevecchi, W.A.; Muzaffar, S.B.; Courchesne, S.J.; Mallory, M.L. Prevalence of marine debris in marine birds from the North Atlantic. Mar. Pollut. Bull. 2014, 84, 411–417. [Google Scholar] [CrossRef]
- De Sales-Ribeiro, C.; Brito-Casillas, Y.; Fernandez, A.; Caballero, M.J. An end to the controversy over the microscopic detection and effects of pristine microplastics in fish organs. Sci. Rep. 2020, 10, 12434. [Google Scholar] [CrossRef]



Disclaimer/Publisher’s Note: The statements, opinions and data contained in all publications are solely those of the individual author(s) and contributor(s) and not of MDPI and/or the editor(s). MDPI and/or the editor(s) disclaim responsibility for any injury to people or property resulting from any ideas, methods, instructions or products referred to in the content. |
© 2025 by the authors. Licensee MDPI, Basel, Switzerland. This article is an open access article distributed under the terms and conditions of the Creative Commons Attribution (CC BY) license (https://creativecommons.org/licenses/by/4.0/).
Share and Cite
Suárez-Santana, C.M.; Marrero-Ponce, L.; Quesada-Canales, Ó.; Colom-Rivero, A.; Pino-Vera, R.; Cabrera-Pérez, M.A.; Miquel, J.; Melián-Melián, A.; Foronda, P.; Rivero-Herrera, C.; et al. Unusual Mass Mortality of Atlantic Puffins (Fratercula arctica) in the Canary Islands Associated with Adverse Weather Events. Animals 2025, 15, 1281. https://doi.org/10.3390/ani15091281
Suárez-Santana CM, Marrero-Ponce L, Quesada-Canales Ó, Colom-Rivero A, Pino-Vera R, Cabrera-Pérez MA, Miquel J, Melián-Melián A, Foronda P, Rivero-Herrera C, et al. Unusual Mass Mortality of Atlantic Puffins (Fratercula arctica) in the Canary Islands Associated with Adverse Weather Events. Animals. 2025; 15(9):1281. https://doi.org/10.3390/ani15091281
Chicago/Turabian StyleSuárez-Santana, Cristian M., Lucía Marrero-Ponce, Óscar Quesada-Canales, Ana Colom-Rivero, Román Pino-Vera, Miguel A. Cabrera-Pérez, Jordi Miquel, Ayose Melián-Melián, Pilar Foronda, Candela Rivero-Herrera, and et al. 2025. "Unusual Mass Mortality of Atlantic Puffins (Fratercula arctica) in the Canary Islands Associated with Adverse Weather Events" Animals 15, no. 9: 1281. https://doi.org/10.3390/ani15091281
APA StyleSuárez-Santana, C. M., Marrero-Ponce, L., Quesada-Canales, Ó., Colom-Rivero, A., Pino-Vera, R., Cabrera-Pérez, M. A., Miquel, J., Melián-Melián, A., Foronda, P., Rivero-Herrera, C., Caballero-Hernández, L., Velázquez-Wallraf, A., & Fernandez, A. (2025). Unusual Mass Mortality of Atlantic Puffins (Fratercula arctica) in the Canary Islands Associated with Adverse Weather Events. Animals, 15(9), 1281. https://doi.org/10.3390/ani15091281

