Sigma Factor Engineering in Actinoplanes sp. SE50/110: Expression of the Alternative Sigma Factor Gene ACSP50_0507 (σHAs) Enhances Acarbose Yield and Alters Cell Morphology
Abstract
1. Introduction
2. Materials and Methods
2.1. Software and Databases Used for Bioinformatic Analysis
2.2. Strains, Media and Supplements
2.3. Creation of Expression, Deletion and Complementation Strains
2.3.1. Cloning of ACSP50_0507 into the Integrative pSETT4tipA Expression Vector
2.3.2. Plasmid Transfer into Actinoplanes sp. SE50/110
2.4. Creation of the ACSP50_0507 Deletion Strain
2.4.1. Construction of the Deletion Plasmid
2.4.2. Conjugation
2.5. Cultivation of Actinoplanes sp. SE50/110 Strains
2.6. Scanning Electron Microscopy (SEM)
2.7. Acarbose Quantification Using High-Performance Liquid Chromatography (HPLC)
2.8. RNA Isolation
2.9. Reverse Transcription Quantitative PCR (RT-qPCR)
2.10. RNA-Sequencing and Data Processing
2.11. Electrophoretic Mobility Shift Assays (EMSA)
3. Results
3.1. Sigma Factor Gene ACSP50_0507 Encodes a σH Homolog of Streptomyces coelicolor
3.2. The Cell Morphology Is Highly Affected by sigHAs Expression
3.3. The sigHAs Expression Strain Achieves a Two-Fold Acarbose Yield Due to Prolonged Acarbose Production during Stationary Growth
3.4. Increased Transcription of Acarbose Biosynthesis Genes during Growth and Late Stationary Growth Phase
3.5. Altogether, 185 Genes Are Permanently Upregulated in the sigHAs Expression Mutant
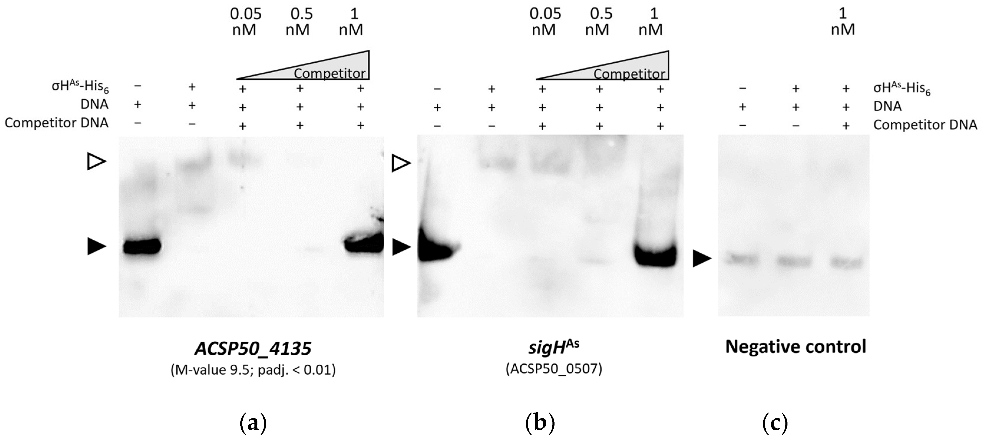
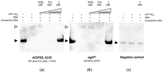
3.6. σHAs Binds to a Determined Promoter Region, Upstream of Genes Permanently Upregulated in the Expression Strain
4. Discussion
5. Conclusions
Supplementary Materials
Author Contributions
Funding
Data Availability Statement
Acknowledgments
Conflicts of Interest
References
- Parenti, F.; Coronelli, C. Members of the genus Actinoplanes and their antibiotics. Annu. Rev. Microbiol. 1979, 33, 389–411. [Google Scholar] [CrossRef] [PubMed]
- Truscheit, E.; Frommer, W.; Junge, B.; Müller, L.; Schmidt, D.D.; Wingender, W. Chemistry and Biochemistry of Microbialα-Glucosidase Inhibitors. Angew. Chem. Int. Ed. Engl. 1981, 20, 744–761. [Google Scholar] [CrossRef]
- Wehmeier, U.F.; Piepersberg, W. Biotechnology and molecular biology of the?-glucosidase inhibitor acarbose. Appl. Microbiol. Biotechnol. 2004, 63, 613–625. [Google Scholar] [CrossRef] [PubMed]
- Nölting, S.; März, C.; Jacob, L.; Persicke, M.; Schneiker-Bekel, S.; Kalinowski, J. The 4-α-Glucanotransferase AcbQ Is Involved in Acarbose Modification in Actinoplanes sp. SE50/110. Microorganisms 2023, 11, 848. [Google Scholar] [CrossRef]
- Tsunoda, T.; Samadi, A.; Burade, S.; Mahmud, T. Complete biosynthetic pathway to the antidiabetic drug acarbose. Nat Commun 2022, 13, 3455. [Google Scholar] [CrossRef] [PubMed]
- Zhang, C.-S.; Podeschwa, M.; Altenbach, H.-J.; Piepersberg, W.; Wehmeier, U.F. The acarbose-biosynthetic enzyme AcbO from Actinoplanes sp. SE 50/110 is a 2-epi-5-epi-valiolone-7-phosphate 2-epimerase. FEBS Lett. 2003, 540, 47–52. [Google Scholar] [CrossRef] [PubMed]
- Zhang, C.-S.; Podeschwa, M.; Block, O.; Altenbach, H.-J.; Piepersberg, W.; Wehmeier, U.F. Identification of a 1-epi-valienol 7-kinase activity in the producer of acarbose, Actinoplanes sp. SE50/110. FEBS Lett. 2003, 540, 53–57. [Google Scholar] [CrossRef] [PubMed]
- Zhang, C.-S.; Stratmann, A.; Block, O.; Brückner, R.; Podeschwa, M.; Altenbach, H.-J.; Wehmeier, U.F.; Piepersberg, W. Biosynthesis of the C(7)-cyclitol moiety of acarbose in Actinoplanes species SE50/110. 7-O-phosphorylation of the initial cyclitol precursor leads to proposal of a new biosynthetic pathway. J. Biol. Chem. 2002, 277, 22853–22862. [Google Scholar] [CrossRef] [PubMed]
- Stratmann, A.; Mahmud, T.; Lee, S.; Distler, J.; Floss, H.G.; Piepersberg, W. The AcbC protein from Actinoplanes species is a C7-cyclitol synthase related to 3-dehydroquinate synthases and is involved in the biosynthesis of the alpha-glucosidase inhibitor acarbose. J. Biol. Chem. 1999, 274, 10889–10896. [Google Scholar] [CrossRef]
- Drepper, A.; Pape, H. Acarbose 7-phosphotransferase from Actinoplanes sp.: Purification, properties, and possible physiological function. J. Antibiot. 1996, 49, 664–668. [Google Scholar] [CrossRef][Green Version]
- Wolf, T.; Schneiker-Bekel, S.; Neshat, A.; Ortseifen, V.; Wibberg, D.; Zemke, T.; Pühler, A.; Kalinowski, J. Genome improvement of the acarbose producer Actinoplanes sp. SE50/110 and annotation refinement based on RNA-seq analysis. J. Biotechnol. 2017, 251, 112–123. [Google Scholar] [CrossRef] [PubMed]
- Droste, J.; Ortseifen, V.; Schaffert, L.; Persicke, M.; Schneiker-Bekel, S.; Pühler, A.; Kalinowski, J. The expression of the acarbose biosynthesis gene cluster in Actinoplanes sp. SE50/110 is dependent on the growth phase. BMC Genom. 2020, 21, 818. [Google Scholar] [CrossRef] [PubMed]
- Wolf, T.; Droste, J.; Gren, T.; Ortseifen, V.; Schneiker-Bekel, S.; Zemke, T.; Pühler, A.; Kalinowski, J. The MalR type regulator AcrC is a transcriptional repressor of acarbose biosynthetic genes in Actinoplanes sp. SE50/110. BMC Genom. 2017, 18, 3. [Google Scholar] [CrossRef] [PubMed]
- Wendler, S.; Ortseifen, V.; Persicke, M.; Klein, A.; Neshat, A.; Niehaus, K.; Schneiker-Bekel, S.; Walter, F.; Wehmeier, U.F.; Kalinowski; et al. Carbon source dependent biosynthesis of acarviose metabolites in Actinoplanes sp. SE50/110. J. Biotechnol. 2014, 191, 113–120. [Google Scholar] [CrossRef]
- Yuan, B.; Keller, N.P.; Oakley, B.R.; Stajich, J.E.; Wang, C.C.C. Manipulation of the Global Regulator mcrA Upregulates Secondary Metabolite Production in Aspergillus wentii Using CRISPR-Cas9 with In Vitro Assembled Ribonucleoproteins. ACS Chem. Biol. 2022, 17, 2828–2835. [Google Scholar] [CrossRef]
- Zhuo, Y.; Zhang, W.; Chen, D.; Gao, H.; Tao, J.; Liu, M.; Gou, Z.; Zhou, X.; Ye, B.-C.; Zhang, Q.; et al. Reverse biological engineering of hrdB to enhance the production of avermectins in an industrial strain of Streptomyces avermitilis. Proc. Natl. Acad. Sci. USA 2010, 107, 11250–11254. [Google Scholar] [CrossRef] [PubMed]
- Taniguchi, H.; Henke, N.A.; Heider, S.A.E.; Wendisch, V.F. Overexpression of the primary sigma factor gene sigA improved carotenoid production by Corynebacterium glutamicum: Application to production of β-carotene and the non-native linear C50 carotenoid bisanhydrobacterioruberin. Metab. Eng. Commun. 2017, 4, 1–11. [Google Scholar] [CrossRef] [PubMed]
- Viollier, P.H.; Kelemen, G.H.; Dale, G.E.; Nguyen, K.T.; Buttner, M.J.; Thompson, C.J. Specialized osmotic stress response systems involve multiple SigB-like sigma factors in Streptomyces coelicolor. Mol. Microbiol. 2003, 47, 699–714. [Google Scholar] [CrossRef] [PubMed]
- Paget, M.S.; Kang, J.G.; Roe, J.H.; Buttner, M.J. sigmaR, an RNA polymerase sigma factor that modulates expression of the thioredoxin system in response to oxidative stress in Streptomyces coelicolor A3(2). EMBO J. 1998, 17, 5776–5782. [Google Scholar] [CrossRef]
- Kormanec, J.; Sevcíková, B.; Halgasová, N.; Knirschová, R.; Rezuchová, B. Identification and transcriptional characterization of the gene encoding the stress-response sigma factor sigma(H) in Streptomyces coelicolor A3(2). FEMS Microbiol. Lett. 2000, 189, 31–38. [Google Scholar]
- Sevciková, B.; Benada, O.; Kofronova, O.; Kormanec, J. Stress-response sigma factor sigma(H) is essential for morphological differentiation of Streptomyces coelicolor A3(2). Arch. Microbiol. 2001, 177, 98–106. [Google Scholar] [CrossRef] [PubMed]
- Lee, E.-J.; Karoonuthaisiri, N.; Kim, H.-S.; Park, J.-H.; Cha, C.-J.; Kao, C.M.; Roe, J.-H. A master regulator sigmaB governs osmotic and oxidative response as well as differentiation via a network of sigma factors in Streptomyces coelicolor. Mol. Microbiol. 2005, 57, 1252–1264. [Google Scholar] [CrossRef] [PubMed]
- Yamazaki, H.; Ohnishi, Y.; Horinouchi, S. An A-factor-dependent extracytoplasmic function sigma factor (sigma(AdsA)) that is essential for morphological development in Streptomyces griseus. J. Bacteriol. 2000, 182, 4596–4605. [Google Scholar] [CrossRef] [PubMed]
- Gallagher, K.A.; Schumacher, M.A.; Bush, M.J.; Bibb, M.J.; Chandra, G.; Holmes, N.A.; Zeng, W.; Henderson, M.; Zhang, H.; Findlay, K.C.; et al. c-di-GMP Arms an Anti-σ to Control Progression of Multi-cellular Differentiation in Streptomyces. Mol. Cell 2020, 77, 586–599.e6. [Google Scholar] [CrossRef]
- Chater, K.F.; Bruton, C.J.; Plaskitt, K.A.; Buttner, M.J.; Méndez, C.; Helmann, J.D. The developmental fate of S. coelicolor hyphae depends upon a gene product homologous with the motility sigma factor of B. subtilis. Cell 1989, 59, 133–143. [Google Scholar] [PubMed]
- Taniguchi, H.; Busche, T.; Patschkowski, T.; Niehaus, K.; Pátek, M.; Kalinowski, J.; Wendisch, V.F. Physiological roles of sigma factor SigD in Corynebacterium glutamicum. BMC Microbiol. 2017, 17, 158. [Google Scholar] [CrossRef] [PubMed]
- Wang, H.; Yang, L.; Wu, K.; Li, G. Rational selection and engineering of exogenous principal sigma factor (σ(HrdB)) to increase teicoplanin production in an industrial strain of Actinoplanes teichomyceticus. Microb. Cell Factories 2014, 13, 10. [Google Scholar] [CrossRef]
- Kang, J.G.; Paget, M.S.; Seok, Y.J.; Hahn, M.Y.; Bae, J.B.; Hahn, J.S.; Kleanthous, C.; Buttner, M.J.; Roe, J.H. RsrA, an anti-sigma factor regulated by redox change. EMBO J. 1999, 18, 4292–4298. [Google Scholar] [CrossRef] [PubMed]
- Li, W.; Bottrill, A.R.; Bibb, M.J.; Buttner, M.J.; Paget, M.S.B.; Kleanthous, C. The Role of zinc in the disulphide stress regulated anti-sigma factor RsrA from Streptomyces coelicolor. J. Mol. Biol. 2003, 333, 461–472. [Google Scholar] [CrossRef]
- Walsh, N.P.; Alba, B.M.; Bose, B.; Gross, C.A.; Sauer, R.T. OMP peptide signals initiate the envelope stress response by activating DegS protease via relief of inhibition mediated by its PDZ domain. Cell 2003, 113, 61–71. [Google Scholar] [CrossRef]
- Schöbel, S.; Zellmeier, S.; Schumann, W.; Wiegert, T. The Bacillus subtilis sigmaW antisigma factor RsiW is degraded by intramembrane proteolysis through YluC. Mol. Microbiol. 2004, 52, 1091–1105. [Google Scholar] [CrossRef] [PubMed]
- Homerova, D.; Sevcikova, B.; Rezuchova, B.; Kormanec, J. Regulation of an alternative sigma factor σI by a part-ner switching mechanism with an anti-sigma factor PrsI and an anti-anti-sigma factor ArsI in Streptomyces coe-licolor A3(2). Gene 2012, 492, 71–80. [Google Scholar] [CrossRef] [PubMed]
- Grossman, A.D.; Straus, D.B.; Walter, W.A.; Gross, C.A. Sigma 32 synthesis can regulate the synthesis of heat shock proteins in Escherichia coli. Genes Dev. 1987, 1, 179–184. [Google Scholar] [CrossRef]
- Missiakas, D.; Mayer, M.P.; Lemaire, M.; Georgopoulos, C.; Raina, S. Modulation of the Escherichia coli sigmaE (RpoE) heat-shock transcription-factor activity by the RseA, RseB and RseC proteins. Mol. Microbiol. 1997, 24, 355–371. [Google Scholar] [CrossRef] [PubMed]
- Wiegeshoff, F.; Beckering, C.L.; Debarbouille, M.; Marahiel, M.A. Sigma L is important for cold shock adaptation of Bacillus subtilis. J. Bacteriol. 2006, 188, 3130–3133. [Google Scholar] [CrossRef] [PubMed]
- Hecker, M.; Pané-Farré, J.; Völker, U. SigB-dependent general stress response in Bacillus subtilis and related gram-positive bacteria. Annu. Rev. Microbiol. 2007, 61, 215–236. [Google Scholar] [CrossRef] [PubMed]
- Gruber, T.M.; Gross, C.A. Multiple sigma subunits and the partitioning of bacterial transcription space. Annu. Rev. Microbiol. 2003, 57, 441–466. [Google Scholar] [CrossRef] [PubMed]
- Bentley, S.D.; Chater, K.F.; Cerdeño-Tárraga, A.-M.; Challis, G.L.; Thomson, N.R.; James, K.D.; Harris, D.E.; Quail, M.A.; Kieser, H.; Harper, D.; et al. Complete genome sequence of the model actinomycete Streptomyces coelicolor A3(2). Nature 2002, 417, 141–147. [Google Scholar] [CrossRef] [PubMed]
- Helmann, J.D.; Moran, C.P. RNA Polymerase and Sigma Factors. In Bacillus Subtilis and Its Closest Relatives; Sonenshein, A.L., Hoch, J.A., Losick, R., Eds.; ASM Press: Washington, DC, USA, 2001; pp. 287–312. [Google Scholar]
- Kunst, F.; Ogasawara, N.; Moszer, I.; Albertini, A.M.; Alloni, G.; Azevedo, V.; Bertero, M.G.; Bessières, P.; Bolotin, A.; Borchert, S.; et al. The complete genome sequence of the gram-positive bacterium Bacillus subtilis. Nature 1997, 390, 249–256. [Google Scholar] [CrossRef]
- Bentley, S.D.; Brown, S.; Murphy, L.D.; Harris, D.E.; Quail, M.A.; Parkhill, J.; Barrell, B.G.; McCormick, J.R.; San-tamaria, R.I.; Losick, R.; et al. SCP1, a 356,023 bp linear plasmid adapted to the ecology and developmental biology of its host, Streptomyces coelicolor A3(2). Mol. Microbiol. 2004, 51, 1615–1628. [Google Scholar] [CrossRef]
- Kormanec, J.; Sevcikova, B.; Novakova, R.; Homerova, D.; Rezuchova, B.; Mingyar, E. The Complex Roles and Regulation of Stress Response σ Factors in Streptomyces coelicolor. In Stress and Environmental Regulation of Gene Expression and Adaptation in Bacteria; De Bruijn, F.J., Ed.; Wiley: Hoboken, NJ, USA, 2016; pp. 328–343. [Google Scholar]
- Sevcikova, B.; Rezuchova, B.; Mazurakova, V.; Homerova, D.; Novakova, R.; Feckova, L.; Kormanec, J. Cross-Recognition of Promoters by the Nine SigB Homologues Present in Streptomyces coelicolor A3(2). Inter-Natl. J. Mol. Sci. 2021, 22, 7849. [Google Scholar] [CrossRef] [PubMed]
- Kelemen, G.H.; Viollier, P.H.; Tenor, J.; Marri, L.; Buttner, M.J.; Thompson, C.J. A connection between stress and development in the multicellular prokaryote Streptomyces coelicolor A3(2). Mol. Microbiol. 2001, 40, 804–814. [Google Scholar] [CrossRef] [PubMed]
- Sevcikova, B.; Kormanec, J. Activity of the Streptomyces coelicolor stress-response sigma factor sigmaH is regulated by an anti-sigma factor. FEMS Microbiol. Lett. 2002, 209, 229–235. [Google Scholar] [PubMed]
- Mazurakova, V.; Sevcikova, B.; Rezuchova, B.; Kormanec, J. Cascade of sigma factors in streptomycetes: Identi-fication of a new extracytoplasmic function sigma factor sigmaJ that is under the control of the stress-response sigma factor sigmaH in Streptomyces coelicolor A3(2). Arch. Microbiol. 2006, 186, 435–446. [Google Scholar] [CrossRef] [PubMed]
- Sevcikova, B.; Rezuchova, B.; Mingyar, E.; Homerova, D.; Novakova, R.; Feckova, L.; Kormanec, J. Pleiotropic an-ti-anti-sigma factor BldG is phosphorylated by several anti-sigma factor kinases in the process of activating multiple sigma factors in Streptomyces coelicolor A3(2). Gene 2020, 755, 144883. [Google Scholar] [CrossRef] [PubMed]
- Schaffert, L.; Jacob, L.; Schneiker-Bekel, S.; Persicke, M.; März, C.; Rückert, C.; Pühler, A.; Kalinowski, J. pSETT4, an Improved φC31-Based Integrative Vector System for Actinoplanes sp. SE50/110. Microbiol. Resour. Announc. 2020, 9, 10–1128. [Google Scholar] [CrossRef] [PubMed]
- Wolf, T.; Gren, T.; Thieme, E.; Wibberg, D.; Zemke, T.; Pühler, A.; Kalinowski, J. Targeted genome editing in the rare actinomycete Actinoplanes sp. SE50/110 by using the CRISPR/Cas9 System. J. Biotechnol. 2016, 231, 122–128. [Google Scholar] [CrossRef] [PubMed]
- Zhao, Q.; Xie, H.; Peng, Y.; Wang, X.; Bai, L. Improving acarbose production and eliminating the by-product component C with an efficient genetic manipulation system of Actinoplanes sp. SE50/110. Synth. Syst. Biotechnol. 2017, 2, 302–309. [Google Scholar] [PubMed]
- Dieckmann, M.A.; Beyvers, S.; Nkouamedjo-Fankep, R.C.; Hanel, P.H.G.; Jelonek, L.; Blom, J.; Goesmann, A. EDGAR3.0: Comparative genomics and phylogenomics on a scalable infrastructure. Nucleic Acids Res. 2021, 49, W185–W192. [Google Scholar] [CrossRef]
- Altschul, S.F.; Gish, W.; Miller, W.; Myers, E.W.; Lipman, D.J. Basic local alignment search tool. J. Mol. Biol. 1990, 215, 403–410. [Google Scholar] [CrossRef]
- Altschul, S.F.; Madden, T.L.; Schäffer, A.A.; Zhang, J.; Zhang, Z.; Miller, W.; Lipman, D.J. Gapped BLAST and PSI-BLAST: A new generation of protein database search programs. Nucleic Acids Res. 1997, 25, 3389–3402. [Google Scholar] [CrossRef] [PubMed]
- Altschul, S.F.; Wootton, J.C.; Gertz, E.M.; Agarwala, R.; Morgulis, A.; Schäffer, A.A.; Yu, Y.-K. Protein database searches using compositionally adjusted substitution matrices. FEBS J. 2005, 272, 5101–5109. [Google Scholar] [CrossRef] [PubMed]
- Marchler-Bauer, A.; Bryant, S.H. CD-Search: Protein domain annotations on the fly. Nucleic Acids Res. 2004, 32, W327–W331. [Google Scholar] [CrossRef] [PubMed]
- Marchler-Bauer, A.; Lu, S.; Anderson, J.B.; Chitsaz, F.; Derbyshire, M.K.; DeWeese-Scott, C.; Fong, J.H.; Geer, L.Y.; Geer, R.C.; Gonzales, N.R.; et al. CDD: A Conserved Domain Database for the functional annotation of proteins. Nucleic Acids Res. 2011, 39, D225–D229. [Google Scholar] [CrossRef]
- Marchler-Bauer, A.; Derbyshire, M.K.; Gonzales, N.R.; Lu, S.; Chitsaz, F.; Geer, L.Y.; Geer, R.C.; He, J.; Gwadz, M.; Hurwitz, D.I.; et al. CDD: NCBI’s conserved domain database. Nucleic Acids Res. 2015, 43, D222–D226. [Google Scholar] [CrossRef] [PubMed]
- Marchler-Bauer, A.; Bo, Y.; Han, L.; He, J.; Lanczycki, C.J.; Lu, S.; Chitsaz, F.; Derbyshire, M.K.; Geer, R.C.; Gonza-les, N.R.; et al. CDD/SPARCLE: Functional classification of proteins via subfamily domain architectures. Nucleic Acids Res. 2017, 45, D200–D203. [Google Scholar] [CrossRef] [PubMed]
- Hilker, R.; Stadermann, K.B.; Schwengers, O.; Anisiforov, E.; Jaenicke, S.; Weisshaar, B.; Zimmermann, T.; Goesmann, A. ReadXplorer 2-detailed read mapping analysis and visualization from one single source. Bioinformatics 2016, 32, 3702–3708. [Google Scholar] [CrossRef] [PubMed]
- Ao, W.; Gaudet, J.; Kent, W.J.; Muttumu, S.; Mango, S.E. Environmentally induced foregut remodeling by PHA-4/FoxA and DAF-12/NHR. Science 2004, 305, 1743–1746. [Google Scholar] [CrossRef] [PubMed]
- Crooks, G.E.; Hon, G.; Chandonia, J.-M.; Brenner, S.E. WebLogo: A sequence logo generator. Genome Res. 2004, 14, 1188–1190. [Google Scholar] [CrossRef]
- Militello, K.T.; Simon, R.D.; Qureshi, M.; Maines, R.; VanHorne, M.L.; Hennick, S.M.; Jayakar, S.K.; Pounder, S. Conservation of Dcm-mediated cytosine DNA methylation in Escherichia coli. FEMS Microbiol. Lett. 2012, 328, 78–85. [Google Scholar] [CrossRef]
- Kieser, T.; Bibb, M.; Buttner, M.; Chater, K. Practical Streptomyces Genetics; Innes: Norwich, UK, 2000. [Google Scholar]
- Gibson, D.G.; Young, L.; Chuang, R.-Y.; Venter, J.C.; Hutchison, C.A.; Smith, H.O. Enzymatic assembly of DNA molecules up to several hundred kilobases. Nat. Methods 2009, 6, 343–345. [Google Scholar] [CrossRef] [PubMed]
- Beyer, H.M.; Gonschorek, P.; Samodelov, S.L.; Meier, M.; Weber, W.; Zurbriggen, M.D. AQUA Cloning: A Versatile and Simple Enzyme-Free Cloning Approach. PLoS ONE 2015, 10, e0137652. [Google Scholar] [CrossRef]
- Cobb, R.E.; Wang, Y.; Zhao, H. High-efficiency multiplex genome editing of Streptomyces species using an engi-neered CRISPR/Cas system. ACS Synth. Biol. 2015, 4, 723–728. [Google Scholar] [CrossRef] [PubMed]
- Blin, K.; Pedersen, L.E.; Weber, T.; Lee, S.Y. CRISPy-web: An online resource to design sgRNAs for CRISPR appli-cations. Synth. Syst. Biotechnol. 2016, 1, 118–121. [Google Scholar] [CrossRef]
- Schaffert, L.; März, C.; Burkhardt, L.; Droste, J.; Brandt, D.; Busche, T.; Rosen, W.; Schneiker-Bekel, S.; Persicke, M.; Pühler, A.; et al. Evaluation of vector systems and promoters for overexpression of the acarbose biosynthesis gene acbC in Actinoplanes sp. SE50/110. Microb. Cell Fact 2019, 18, 195. [Google Scholar] [CrossRef] [PubMed]
- Li, H. New strategies to improve minimap2 alignment accuracy. Bioinformatics 2021, 37, 4572–4574. [Google Scholar] [CrossRef]
- Danecek, P.; Bonfield, J.K.; Liddle, J.; Marshall, J.; Ohan, V.; Pollard, M.O.; Whitwham, A.; Keane, T.; McCarthy, S.A.; Davies, R.M.; et al. Twelve years of SAMtools and BCFtools. GigaScience 2021, 10, giab008. [Google Scholar] [CrossRef] [PubMed]
- Robinson, J.T.; Thorvaldsdóttir, H.; Winckler, W.; Guttman, M.; Lander, E.S.; Getz, G.; Mesirov, J.P. Integrative genomics viewer. Nat. Biotechnol. 2011, 29, 24–26. [Google Scholar] [CrossRef]
- Love, M.I.; Huber, W.; Anders, S. Moderated estimation of fold change and dispersion for RNA-seq data with DESeq2. Genome Biol. 2014, 15, 550. [Google Scholar] [CrossRef]
- Busche, T.; Dostálová, H.; Rucká, L.; Holátko, J.; Barvík, I.; Štěpánek, V.; Pátek, M.; Kalinowski, J. Overlapping SigH and SigE sigma factor regulons in Corynebacterium glutamicum. Front. Microbiol. 2022, 13, 1059649. [Google Scholar] [CrossRef]
- Paget, M.S. Bacterial Sigma Factors and Anti-Sigma Factors: Structure, Function and Distribution. Biomolecules 2015, 5, 1245–1265. [Google Scholar] [CrossRef]
- Campbell, E.A.; Westblade, L.F.; Darst, S.A. Regulation of bacterial RNA polymerase sigma factor activity: A structural perspective. Curr. Opin. Microbiol. 2008, 11, 121–127. [Google Scholar] [CrossRef]
- Sevcikova, B.; Kormanec, J. The ssgB gene, encoding a member of the regulon of stress-response sigma factor sigmaH, is essential for aerial mycelium septation in Streptomyces coelicolor A3(2). Arch. Microbiol. 2003, 180, 380–384. [Google Scholar] [CrossRef] [PubMed]
- Viollier, P.H.; Weihofen, A.; Folcher, M.; Thompson, C.J. Post-transcriptional regulation of the Streptomyces coe-licolor stress responsive sigma factor, SigH, involves translational control, proteolytic processing, and an an-ti-sigma factor homolog. J. Mol. Biol. 2003, 325, 637–649. [Google Scholar] [CrossRef] [PubMed]
- Sievers, F.; Higgins, D.G. Clustal Omega for making accurate alignments of many protein sequences. Protein Sci. A Publ. Protein Soc. 2018, 27, 135–145. [Google Scholar] [CrossRef] [PubMed]
- Paysan-Lafosse, T.; Blum, M.; Chuguransky, S.; Grego, T.; Pinto, B.L.; Salazar, G.A.; Bileschi, M.L.; Bork, P.; Bridge, A.; Colwell, L.; et al. InterPro in 2022. Nucleic Acids Res. 2023, 51, D418–D427. [Google Scholar] [CrossRef] [PubMed]
- Lee, E.-J.; Cho, Y.-H.; Kim, H.-S.; Ahn, B.-E.; Roe, J.-H. Regulation of sigmaB by an anti- and an anti-anti-sigma factor in Streptomyces coelicolor in response to osmotic stress. J. Bacteriol. 2004, 186, 8490–8498. [Google Scholar] [CrossRef] [PubMed]
- Lee, E.-J.; Cho, Y.-H.; Kim, H.-S.; Roe, J.-H. Identification of sigmaB-dependent promoters using consen-sus-directed search of Streptomyces coelicolor genome. J. Microbiol. 2004, 42, 147–151. [Google Scholar] [PubMed]
- Sevcikova, B.; Rezuchova, B.; Homerova, D.; Kormanec, J. The anti-anti-sigma factor BldG is involved in activa-tion of the stress response sigma factor σ(H) in Streptomyces coelicolor A3(2). J. Bacteriol. 2010, 192, 5674–5681. [Google Scholar] [CrossRef]
- Palmer, T.; Finney, A.J.; Saha, C.K.; Atkinson, G.C.; Sargent, F. A holin/peptidoglycan hydrolase-dependent pro-tein secretion system. Mol. Microbiol. 2021, 115, 345–355. [Google Scholar] [CrossRef]
- Brüser, T.; Mehner-Breitfeld, D. Occurrence and potential mechanism of holin-mediated non-lytic protein translocation in bacteria. Microb. Cell 2022, 9, 159–173. [Google Scholar] [CrossRef]
- Govind, R.; Dupuy, B. Secretion of Clostridium difficile toxins A and B requires the holin-like protein TcdE. PLoS Pathog. 2012, 8, e1002727. [Google Scholar] [CrossRef]
- Real, G.; Pinto, S.M.; Schyns, G.; Costa, T.; Henriques, A.O.; Moran, C.P. A gene encoding a holin-like protein in-volved in spore morphogenesis and spore germination in Bacillus subtilis. J. Bacteriol. 2005, 187, 6443–6453. [Google Scholar] [CrossRef] [PubMed]
- Bhowmick, S.; Shenouda, M.L.; Tschowri, N. Osmotic stress responses and the biology of the second messenger c-di-AMP in Streptomyces. microLife 2023, 4, uqad020. [Google Scholar] [CrossRef]
- Fuchino, K.; Flärdh, K.; Dyson, P.; Ausmees, N. Cell-Biological Studies of Osmotic Shock Response in Streptomyces spp. J. Bacteriol. 2017, 199, 10–1128. [Google Scholar] [CrossRef]
- de Jong, W.; Vijgenboom, E.; Dijkhuizen, L.; Wösten, H.A.B.; Claessen, D. SapB and the rodlins are required for development of Streptomyces coelicolor in high osmolarity media. FEMS Microbiol. Lett. 2012, 329, 154–159. [Google Scholar] [CrossRef]
- Wood, J.M. Bacterial osmoregulation: A paradigm for the study of cellular homeostasis. Annu. Rev. Microbiol. 2011, 65, 215–238. [Google Scholar] [CrossRef] [PubMed]
- Kol, S.; Merlo, M.E.; Scheltema, R.A.; de Vries, M.; Vonk, R.J.; Kikkert, N.A.; Dijkhuizen, L.; Breitling, R.; Takano, E. Metabolomic characterization of the salt stress response in Streptomyces coelicolor. Appl. Environ. Microbiol. 2010, 76, 2574–2581. [Google Scholar] [PubMed]
- Ignatova, Z.; Gierasch, L.M. Inhibition of protein aggregation in vitro and in vivo by a natural osmoprotectant. Proc. Natl. Acad. Sci. USA 2006, 103, 13357–13361. [Google Scholar] [CrossRef]
- Masulis, I.S.; Sukharycheva, N.A.; Kiselev, S.S.; Andreeva, Z.S.; Ozoline, O.N. Between computational predic-tions and high-throughput transcriptional profiling: In depth expression analysis of the OppB trans-membrane subunit of Escherichia coli OppABCDF oligopeptide transporter. Res. Microbiol. 2020, 171, 55–63. [Google Scholar] [CrossRef]
- Perego, M.; Higgins, C.F.; Pearce, S.R.; Gallagher, M.P.; Hoch, J.A. The oligopeptide transport system of Bacillus subtilis plays a role in the initiation of sporulation. Mol. Microbiol. 1991, 5, 173–185. [Google Scholar] [CrossRef] [PubMed]
- Payne, J.W.; Grail, B.M.; Marshall, N.J. Molecular recognition templates of peptides: Driving force for molecular evolution of peptide transporters. Biochem. Biophys. Res. Commun. 2000, 267, 283–289. [Google Scholar]
- Pletzer, D.; Braun, Y.; Dubiley, S.; Lafon, C.; Köhler, T.; Page, M.G.P.; Mourez, M.; Severinov, K.; Weingart, H. The Pseudomonas aeruginosa PA14 ABC Transporter NppA1A2BCD Is Required for Uptake of Peptidyl Nucleoside Antibiotics. J. Bacteriol. 2015, 197, 2217–2228. [Google Scholar] [CrossRef] [PubMed]
- Zaprasis, A.; Brill, J.; Thüring, M.; Wünsche, G.; Heun, M.; Barzantny, H.; Hoffmann, T.; Bremer, E. Osmoprotec-tion of Bacillus subtilis through import and proteolysis of proline-containing peptides. Appl. Environ. Microbiol. 2013, 79, 576–587. [Google Scholar] [CrossRef]
- Detmers, F.J.; Lanfermeijer, F.C.; Poolman, B. Peptides and ATP binding cassette peptide transporters. Res. Microbiol. 2001, 152, 245–258. [Google Scholar] [CrossRef]
- Slamti, L.; Lereclus, D. The oligopeptide ABC-importers are essential communication channels in Gram-positive bacteria. Res. Microbiol. 2019, 170, 338–344. [Google Scholar]
- Rimmele, M.; Boos, W. Trehalose-6-phosphate hydrolase of Escherichia coli. J. Bacteriol. 1994, 176, 5654–5664. [Google Scholar] [CrossRef]
- Strøm, A.R.; Kaasen, I. Trehalose metabolism in Escherichia coli: Stress protection and stress regulation of gene expression. Mol. Microbiol. 1993, 8, 205–210. [Google Scholar] [CrossRef] [PubMed]
- Pospísl, S.; Halada, P.; Petrícek, M.; Sedmera, P. Glucosylglycerate is an osmotic solute and an extracellular metabolite produced by Streptomyces caelestis. Folia Microbiol. 2007, 52, 451–456. [Google Scholar] [CrossRef]
- Jürgen, B.; Michael, S.; Ulrich, S. Osmotically Controlled Fermentation Process for the Preparation of Acarbose. Patent US6130072A, 10 October 2000. [Google Scholar]
- Wang, Y.-J.; Liu, L.-L.; Wang, Y.-S.; Xue, Y.-P.; Zheng, Y.-G.; Shen, Y.-C. Actinoplanes utahensis ZJB-08196 fed-batch fermentation at elevated osmolality for enhancing acarbose production. Bioresour. Technol. 2012, 103, 337–342. [Google Scholar] [CrossRef]
- Choi, B.T.; Shin, C.S. Reduced formation of byproduct component C in acarbose fermentation by Actinoplanes sp. CKD485-16. Biotechnol. Prog. 2003, 19, 1677–1682. [Google Scholar] [CrossRef]
- Cheng, X.; Peng, W.-F.; Huang, L.; Zhang, B.; Li, K. A novel osmolality-shift fermentation strategy for im-proving acarbose production and concurrently reducing byproduct component C formation by Actinoplanes sp. A56. J. Ind. Microbiol. Biotechnol. 2014, 41, 1817–1821. [Google Scholar] [CrossRef]
- Wendler, S.; Otto, A.; Ortseifen, V.; Bonn, F.; Neshat, A.; Schneiker-Bekel, S.; Walter, F.; Wolf, T.; Zemke, T.; Wehmeier, U.F.; et al. Comprehensive proteome analysis of Actinoplanes sp. SE50/110 highlighting the location of proteins encoded by the acarbose and the pyochelin biosyn-thesis gene cluster. J. Proteom. 2015, 125, 1–16. [Google Scholar] [CrossRef]
- Wehmeier, U.F.; Piepersberg, W. Chapter 19 Enzymology of Aminoglycoside Biosynthesis—Deduction from Gene Clusters. In Complex Enzymes in Microbial Natural Product Biosynthesis; Hopwood, D., Ed.; Academic Press: London, UK, 2009; Volume 459, pp. 459–491. [Google Scholar]
- Wendler, S.; Hürtgen, D.; Kalinowski, J.; Klein, A.; Niehaus, K.; Schulte, F.; Schwientek, P.; Wehlmann, H.; Wehmeier, U.F.; Pühler, A. The cytosolic and extracellular proteomes of Actinoplanes sp. SE50/110 led to the identification of gene products involved in acarbose metabolism. J. Biotechnol. 2013, 167, 178–189. [Google Scholar] [CrossRef]
- Licht, A.; Bulut, H.; Scheffel, F.; Daumke, O.; Wehmeier, U.F.; Saenger, W.; Schneider, E.; Vahedi-Faridi, A. Crystal structures of the bacterial solute receptor AcbH displaying an exclusive substrate preference for β-D-galactopyranose. J. Mol. Biol. 2011, 406, 92–105. [Google Scholar] [CrossRef]







| Locus Tag | Function Annotation (NZ_LT827010.1) | Highest M-Value | Padj | Cultivation Time [h] |
|---|---|---|---|---|
| ACSP50_0208 | Putative secreted protein | 8.93 | 1.09 × 10−14 | 166 |
| ACSP50_0424 | PadR family transcriptional regulator | 4.48 | 9.69 × 10−15 | 166 |
| ACSP50_2587 | HAD (haloacid dehalogenase) family hydrolase | 5.03 | 2.184 × 10−50 | 142 |
| ACSP50_2935 | Protein of unknown function | 4.79 | 3.81 × 10−19 | 142 |
| ACSP50_3039 2 | oligosaccharide flippase, MATE like superfamily | 4.78 | 2.63 × 10−44 | 142 |
| ACSP50_3041 1,2 | Putative secreted protein | 4.19 | 9.58 × 10−23 | 166 |
| ACSP50_3042 1,2 | protein of unknown function (DUF 4082) | 3.89 | 1.67 × 10−23 | 142 |
| ACSP50_3043 1,2 | Glycosyltransferase family 2 protein | 5.52 | 9.44 × 10−21 | 166 |
| ACSP50_3047 2 | MbtH-like protein | 5.26 | 6.89 × 10−34 | 166 |
| ACSP50_3058 2 | Gfo/Idh/MocA family oxidoreductase | 4.63 | 1.66 × 10−40 | 96 |
| ACSP50_3379 | Putative secreted protein | 4.29 | 3.26 × 10−13 | 142 |
| ACSP50_3380 | Membrane protein of unknown function (DUF4235) | 4.8 | 1.40 × 10−12 | 142 |
| ACSP50_3381 | Putative transmembrane protein (DUF 3618) | 5.24 | 3.93 × 10−28 | 118 |
| ACSP50_3382 | Putative Actinobacterial Holin-X, holin superfamily III | 5.33 | 1.93 × 10−37 | 118 |
| ACSP50_3383 | Uncharacterized BrkB/YihY/UPF0761 family membrane protein | 4.95 | 7.99 × 10−32 | 118 |
| ACSP50_3888 | Putative secreted protein | 8.35 | 1.54 × 10−48 | 118 |
| ACSP50_4135 | Putative secreted protein | 9.53 | 1.63 × 10−54 | 118 |
| ACSP50_4921 | Putative membrane protein (DUF3618) | 4.6 | 9.46 × 10−16 | 142 |
| ACSP50_4922 1 | Putative Actinobacterial Holin-X, holin superfamily III | 4.24 | 1.24 × 10−12 | 142 |
| ACSP50_4923 1 | Protein of unknown function | 4.44 | 1.69 × 10−11 | 118 |
| ACSP50_5880 | Putative secreted protein | 10.17 | 3.46 × 10−20 | 118 |
| ACSP50_6038 | MFS transporter DHA2 family | 6.54 | 2.72 × 10−44 | 166 |
| ACSP50_6083 | Putative transmembrane protein | 6.98 | 6.50 × 10−72 | 118 |
| ACSP50_6593 | Putative transmembrane protein | 4.91 | 1.81 × 10−35 | 142 |
| ACSP50_7588 | Protein of unknown function | 5.36 | 4.39 × 10−86 | 96 |
Disclaimer/Publisher’s Note: The statements, opinions and data contained in all publications are solely those of the individual author(s) and contributor(s) and not of MDPI and/or the editor(s). MDPI and/or the editor(s) disclaim responsibility for any injury to people or property resulting from any ideas, methods, instructions or products referred to in the content. |
© 2024 by the authors. Licensee MDPI, Basel, Switzerland. This article is an open access article distributed under the terms and conditions of the Creative Commons Attribution (CC BY) license (https://creativecommons.org/licenses/by/4.0/).
Share and Cite
Schlüter, L.; Busche, T.; Bondzio, L.; Hütten, A.; Niehaus, K.; Schneiker-Bekel, S.; Pühler, A.; Kalinowski, J. Sigma Factor Engineering in Actinoplanes sp. SE50/110: Expression of the Alternative Sigma Factor Gene ACSP50_0507 (σHAs) Enhances Acarbose Yield and Alters Cell Morphology. Microorganisms 2024, 12, 1241. https://doi.org/10.3390/microorganisms12061241
Schlüter L, Busche T, Bondzio L, Hütten A, Niehaus K, Schneiker-Bekel S, Pühler A, Kalinowski J. Sigma Factor Engineering in Actinoplanes sp. SE50/110: Expression of the Alternative Sigma Factor Gene ACSP50_0507 (σHAs) Enhances Acarbose Yield and Alters Cell Morphology. Microorganisms. 2024; 12(6):1241. https://doi.org/10.3390/microorganisms12061241
Chicago/Turabian StyleSchlüter, Laura, Tobias Busche, Laila Bondzio, Andreas Hütten, Karsten Niehaus, Susanne Schneiker-Bekel, Alfred Pühler, and Jörn Kalinowski. 2024. "Sigma Factor Engineering in Actinoplanes sp. SE50/110: Expression of the Alternative Sigma Factor Gene ACSP50_0507 (σHAs) Enhances Acarbose Yield and Alters Cell Morphology" Microorganisms 12, no. 6: 1241. https://doi.org/10.3390/microorganisms12061241
APA StyleSchlüter, L., Busche, T., Bondzio, L., Hütten, A., Niehaus, K., Schneiker-Bekel, S., Pühler, A., & Kalinowski, J. (2024). Sigma Factor Engineering in Actinoplanes sp. SE50/110: Expression of the Alternative Sigma Factor Gene ACSP50_0507 (σHAs) Enhances Acarbose Yield and Alters Cell Morphology. Microorganisms, 12(6), 1241. https://doi.org/10.3390/microorganisms12061241

