Upper Limb Compartment Syndrome—An Extremely Rare Life-Threatening Complication of Cutaneous Anthrax
Abstract
1. Introduction
2. Materials and Methods
2.1. Case Series
2.2. Data Collected and Systematic Review Method
3. Results
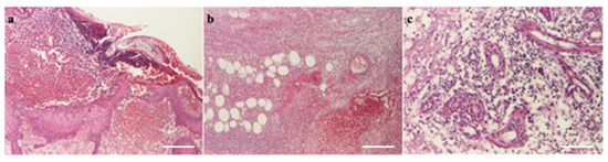
3.1. Case Report 1
3.2. Case Report 2
3.3. Case Reports 3–6
3.4. Results—Systematic Review
4. Discussion
5. Conclusions
Author Contributions
Funding
Data Availability Statement
Conflicts of Interest
References
- Sternbach, G. The history of anthrax. J. Emerg. Med. 2003, 24, 463–467. [Google Scholar] [CrossRef]
- Tuncali, D.; Akbuga, U.B.; Aslan, G. Cutaneous anthrax of the hand: Some clinical observations. Indian J. Plastic Surg. 2004, 37, 131–133. [Google Scholar] [CrossRef]
- Stern, E.J.; Uhde, K.B.; Shadomy, S.V.; Messonnier, N. Conference report on public health and clinical guidelines for anthrax. Emerg. Infect. Dis. 2008, 14, e1. [Google Scholar] [CrossRef]
- Dirckx, J.H. Virgil on anthrax. Am. J. Dermatopathol. 1981, 3, 191–195. [Google Scholar] [CrossRef]
- Doganay, M.; Dinc, G.; Kutmanova, A.; Baillie, L. Human Anthrax: Update of the Diagnosis and Treatment. Diagnostics 2023, 13, 1056. [Google Scholar] [CrossRef] [PubMed]
- Parcell, B.J.; Wilmshurst, A.D.; France, A.J.; Motta, L.; Brooks, T.; Olver, W.J. Injection anthrax causing compartment syndrome and necrotising fasciitis. J. Clin. Pathol. 2011, 64, 95–96. [Google Scholar] [CrossRef]
- Russell, L.; Pedersen, M.; Jensen, A.V.; Søes, L.M.; Hansen, A.B. Two anthrax cases with soft tissue infection, severe oedema and sepsis in Danish heroin users. BMC Infect. Dis. 2013, 13, 408. [Google Scholar] [CrossRef] [PubMed]
- Carlson, C.J.; Kracalik, I.T.; Ross, N.; Alexander, K.A.; Hugh-Jones, M.E.; Fegan, M.; Elkin, B.T.; Epp, T.; Shury, T.K.; Zhang, W.; et al. The global distribution of Bacillus anthracis and associated anthrax risk to humans, livestock and wildlife. Nat. Microbiol. 2019, 4, 1337–1343. [Google Scholar] [CrossRef] [PubMed]
- Hendricks, K.; Person, M.K.; Bradley, J.S.; Mongkolrattanothai, T.; Hupert, N.; Eichacker, P.; Friedlander, A.M.; Bower, W.A. Clinical features of patients hospitalized for all routes of anthrax, 1880–2018: A systematic review. Clin. Infect. Dis. 2022, 75 (Suppl. 3), S341–S353. [Google Scholar] [CrossRef]
- Dumitrescu, F.; Georgescu, E.F.; Giubelan, L.; Pădureanu, V.; Stoian, A.C.; Dincă, V.; Georgescu, M.; Dragonu, L.; Marinescu, D. Human Anthrax in Dolj County, Romania—A Series of Three Cases. Pathogens 2021, 10, 644. [Google Scholar] [CrossRef]
- Janik, E.; Ceremuga, M.; Niemcewicz, M.; Bijak, M. Dangerous Pathogens as a Potential Problem for Public Health. Medicina 2020, 56, 591. [Google Scholar] [CrossRef] [PubMed]
- Antonation, K.S.; Grützmacher, K.; Dupke, S. Bacillus cereus biovar anthracis causing anthrax in sub-Saharan Africa—Chromosomal monophyly and broad geographic distribution. PLoS Negl. Trop. Dis. 2016, 10, e000492. [Google Scholar] [CrossRef] [PubMed]
- Zhao, C.; Zhang, Q.; Zhang, Y. Surgical Treatment of Cutaneous Anthrax. Rev. Soc. Bras. Med. Trop. 2019, 53, e20190062. [Google Scholar] [CrossRef] [PubMed]
- Jernigan, J.A.; Stephens, D.S.; Ashford, D.A.; Omenaca, C.; Topiel, M.S.; Galbraith, M.; Tapper, M.; Fisk, T.L.; Zaki, S.; Popovic, T.; et al. Bioterrorism-related inhalation anthrax: The first 10 cases reported in the United States. Emerg. Infect. Dis. 2001, 7, 933–944. [Google Scholar] [CrossRef] [PubMed]
- Parlak, E.; Aydın, A.; Parlak, M. Cutaneous anthrax cases leading compartment syndrome. J. Microbiol. Infect. Dis. JMID 2013, 3, 214–217. [Google Scholar] [CrossRef][Green Version]
- Kılınç, S.; Keskinbıçkı, M.V.; Şengül, M.; Nergiz, S.; Örtücü, A.; Bulut, O. A serious case of anthrax associated with compartment syndrome. Cutan. Ocul. Toxicol. 2017, 36, 404–406. [Google Scholar] [CrossRef] [PubMed]
- Knox, D.; Murray, G.; Millar, M.; Hamilton, D.; Connor, M.; Ferdinand, R.D.; Jones, G.A. Subcutaneous anthrax in three intravenous drug users: A new clinical diagnosis. J. Bone Jt. Surg. Br. 2011, 93, 414–417. [Google Scholar] [CrossRef] [PubMed][Green Version]
- Booth, M.G.; Hood, J.; Brooks, T.J.G.; Hart, A.; Health Protection Scotland Anthrax Clinical Network. Anthrax infection in drug users. Lancet 2010, 375, 1345–1346. [Google Scholar] [CrossRef] [PubMed]
- Elbahr, U.S.; Tekin, R.; Papić, M.; Pandak, N.; Erdem, H.; Can, F.K.; Alpat, S.N.; Pekok, A.U.; Pehlivanoglu, F.; Karamese, M.; et al. Factors leading to dissemination of cutaneous anthrax: An international ID-IRI study. New Microbes New Infect. 2022, 48, 101028. [Google Scholar] [CrossRef] [PubMed]
- Sweeney, D.A.; Hicks, C.W.; Cui, X.; Li, Y.; Eichacker, P.Q. Anthrax infection. Am. J. Respir. Crit. Care Med. 2011, 184, 1333–1341. [Google Scholar] [CrossRef]
- Finke, E.J.; Beyer, W.; Loderstädt, U.; Frickmann, H. Review: The risk of contracting anthrax from spore-contaminated soil—A military medical perspective. Eur. J. Microbiol. Immunol. 2020, 10, 29–63. [Google Scholar] [CrossRef] [PubMed]
- Yu, X.; Fang, M.; Wang, S.; Li, Z.; Cheng, L.; Liu, Z.; Zhang, D.; Dong, D.; Kou, Z. Investigation on an outbreak of cutaneous anthrax in a county of Shandong Province, China, 2021. BMC Infect. Dis. 2022, 22, 875. [Google Scholar] [CrossRef] [PubMed]
- Ramsay, C.N.; Stirling, A.; Smith, J.; Hawkins, G.; Brooks, T.; Hood, J.; Penrice, G.; Browning, L.M.; Ahmed, S.; NHS GGC; et al. An outbreak of infection with Bacillus anthracis in injecting drug users in Scotland. Eurosurveillance 2010, 15, 19465. [Google Scholar] [CrossRef] [PubMed]
- Ringertz, S.H.; Høiby, E.A.; Jensenius, M.; Maehlen, J.; Caugant, D.A.; Myklebust, A.; Fossum, K. Injectional anthrax in a heroin skin-popper. Lancet 2000, 356, 1574–1575. [Google Scholar] [CrossRef] [PubMed]
- Parai, D.; Pattnaik, M.; Choudhary, H.R.; Padhi, A.K.; Pattnaik, S.; Jena, S.; Sahoo, S.K.; Rout, U.K.; Padhi, A.; Sahoo, N.; et al. Investigation of human anthrax outbreak in Koraput district of Odisha, India. Travel. Med. Infect. Dis. 2023, 56, 102659. [Google Scholar] [CrossRef] [PubMed]
- World Health Organization. Anthrax in Humans and Animals, 4th ed.; World Health Organization: Geneva, Switzerland, 2008; pp. 4–82. [Google Scholar]
- Hicks, C.W.; Sweeney, D.A.; Cui, X.; Li, Y.; Eichacker, P.Q. An overview of anthrax infection including the recently identified form of disease in injection drug users. Intensive Care Med. 2012, 38, 1092–1104. [Google Scholar] [CrossRef] [PubMed]
- Inverarity, D.J.; Forrester, V.M.; Cumming, J.G.; Paterson, P.J.; Campbell, R.J.; Brooks, T.J.; Carson, G.L.; Ruddy, J.P. Injectional anthrax at a Scottish district general hospital. Epidemiol. Infect. 2015, 143, 1311–1321. [Google Scholar] [CrossRef]














| Search Terms | |
|---|---|
| 1 | Cutaneous anthrax |
| 2 | Compartment syndrome |
| 3 | 1 and 2 |
| 4 | English |
| 5 | 01.01.2008 to 31.12.2023 |
| Day 1 | Day 4 | Day 17 | |
|---|---|---|---|
| WBC | 19.73 | 19.81 | 5.85 |
| CRP | 1.24 | - | 0.39 |
| % neutrophils | 18.15 | 16.02 | 2.9 |
| Age | Sex | Occupation | History | Single/Multiple Cutaneous Lesions + Location Site | Clinical Diagnosis | Paraclinical Diagnosis | Microbiology | Treatment | Evolution | |
|---|---|---|---|---|---|---|---|---|---|---|
| Case 3 | 38 | M | Animal farm worker | 7 days | Multiple lesions on the left forearm | Characteristics of skin lesions and epidemiological context, fever, no CS | Increased CRP, leukocytosis | The presence of BA has not been confirmed | Ciprofloxacin, Cefort, no surgery | Favorable evolution, self-limitation of skin lesions |
| Case 4 | 45 | M | Animal farm worker | 7 days | Single injury on the right forearm | Characteristics of skin lesions and epidemiological context, fever, no CS | Increased CRP, leukocytosis | The presence of BA has not been confirmed | Ciprofloxacin, Cefort, no surgery | Favorable evolution, self-limitation of skin lesions |
| Case 5 | 52 | M | Animal farm worker | 7 days | Multiple lesions in both thoracic limbs | Characteristics of skin lesions and epidemiological context, fever, no CS | Increased CRP, leukocytosis | The presence of BA has not been confirmed | Ciprofloxacin, Cefort, no surgery | Favorable evolution, self-limitation of skin lesions |
| Case 6 | 48 | M | Animal farm worker | 7days | Multiple lesions in both thoracic limbs | Characteristics of skin lesions and epidemiological context, fever, no CS | Increased CRP, leukocytosis | The presence of BA has not been confirmed | Ciprofloxacin, Cefort, no surgery | Favorable evolution, self-limitation of skin lesions |
| Year | No. of Cases in the Study | Age | Sex | Source | History | Lesion Localization | Lesion Characteristics | Diagnosis | Treatment | |
|---|---|---|---|---|---|---|---|---|---|---|
| 1 | 2013 Parlak et al. [15] | 3 | 50 y | M | Contact with sick bovine animal | 10 days | Left arm | Pruritic pustule erythema, edema, crusted hemorrhagic bullae scar, CS | BacillusG+ in the lesions smears | Penicillin G, fasciotomy |
| 41 y | M | Contact with sick bovine animal | 7 days | Left arm | Pruritic pustule-like, erythema, panicula, bullae with necrotic center, edema, CS | No microorganism | Penicillin, fasciotomy | |||
| 35 y | M | Works in husbandry | - | Left hand, left forearm | Erythematous lesions, edema, disseminated bullae cyanosed, crusted lesions, CS | No microorganism | Penicillin G, no surgery | |||
| 2 | 2019 Zhao et al. [13] | 1 | 45 y | M | Contact with a dead cow | - | Right upper limb | Cutaneous rash, increased in size and ulcerated, CS | BA nucleic acid + | Meropemen, Clindamycin, Levofloxacin, fasciotomy |
| 3 | 2011 Parcell et al. [6] | 1 | 28 y | F | Intravenous drug user | 2 days | Right arm, right shoulder | Erythema, pain, swelling, CS | Confirmed on histopathology Gram + PCR + for BA | Benzylpenicil, ciprofloxacin, Metronidazole, fasciotomy |
| 4 | 2017 Kilinc et al. [16] | 1 | 43 y | M | Contact with a dead animal | 10 days | Left arm | Swelling, pain, redness hemorrhagic bullous lesions CS | Wound culture result - | Penicillin, Ciprofloxacin, fasciotomy, skin graft |
| 5 | 2021 Dumitrescu et al. [10] | 3 | 44 y | M | Insect bite | 10 days | Right upper limb | Edema, malignant pustule, no CS | Serology for BA + after 12 days | |
| 44 y | F | Insect bite | - | Right upper limb | Massive edema with blisters, CS | BA + on Gram-stained smear and in blood agar culture Serology for BA + after 12 days | Meropenem, ciprofloxacin, vancomycin, fasciotomy and reconstruction | |||
| 41 y | M | Contact with a dead goat | 5 days | Both forearms | Malignant pustule, no CS | Serology for BA negative at admission and after 12 days | Ciprofloxacin, Penicillin, vancomycin | |||
| 6 | 2010 Knox et al. [17] | 3 | 44 y | M | Intravenous drug user | 2 days | Right upper limb | Erythema, Swelling, CS | PCR + | Benzypenicilin, Flucloxacilin, clindamycin, fasciotomy |
| 36 y | M | Intravenous drug user | 3 days | Left forearm | Swelling No CS | Tissue samples tested positive by polymerase chain reaction for Bacillus anthracis but Gram stain revealed only scanty pus cells and culture was negative. | Ciprofloxacin, clindamicin, benzylpenicillin, metroniadazole, pre-emptive fasciotomy | |||
| 32 y | F | Intravenous drug user | - | Both lower limbs, both hands | Swelling pain, cellulite, abscesses with a central necrotic plug, no CS | PCR + | Antibiotics, debridation, necrectomy Split skin graft, | |||
| 7 | 2010 Booth et al. [18] | 31 cases 1 case with CS | - | - | Heroin user | - | Upper limb | Edema, necrosis | Gram stain, culture, and PCR + | antibiotics, fasciotomy |
Disclaimer/Publisher’s Note: The statements, opinions and data contained in all publications are solely those of the individual author(s) and contributor(s) and not of MDPI and/or the editor(s). MDPI and/or the editor(s) disclaim responsibility for any injury to people or property resulting from any ideas, methods, instructions or products referred to in the content. |
© 2024 by the authors. Licensee MDPI, Basel, Switzerland. This article is an open access article distributed under the terms and conditions of the Creative Commons Attribution (CC BY) license (https://creativecommons.org/licenses/by/4.0/).
Share and Cite
Pertea, M.; Luca, S.; Moraru, D.C.; Veliceasa, B.; Filip, A.; Grosu, O.M.; Poroch, V.; Panuta, A.; Luca, C.M.; Avadanei, A.N.; et al. Upper Limb Compartment Syndrome—An Extremely Rare Life-Threatening Complication of Cutaneous Anthrax. Microorganisms 2024, 12, 1240. https://doi.org/10.3390/microorganisms12061240
Pertea M, Luca S, Moraru DC, Veliceasa B, Filip A, Grosu OM, Poroch V, Panuta A, Luca CM, Avadanei AN, et al. Upper Limb Compartment Syndrome—An Extremely Rare Life-Threatening Complication of Cutaneous Anthrax. Microorganisms. 2024; 12(6):1240. https://doi.org/10.3390/microorganisms12061240
Chicago/Turabian StylePertea, Mihaela, Stefana Luca, Dan Cristian Moraru, Bogdan Veliceasa, Alexandru Filip, Oxana Madalina Grosu, Vladimir Poroch, Andrian Panuta, Catalina Mihaela Luca, Andrei Nicolae Avadanei, and et al. 2024. "Upper Limb Compartment Syndrome—An Extremely Rare Life-Threatening Complication of Cutaneous Anthrax" Microorganisms 12, no. 6: 1240. https://doi.org/10.3390/microorganisms12061240
APA StylePertea, M., Luca, S., Moraru, D. C., Veliceasa, B., Filip, A., Grosu, O. M., Poroch, V., Panuta, A., Luca, C. M., Avadanei, A. N., & Lunca, S. (2024). Upper Limb Compartment Syndrome—An Extremely Rare Life-Threatening Complication of Cutaneous Anthrax. Microorganisms, 12(6), 1240. https://doi.org/10.3390/microorganisms12061240

