BmooMPα-I, a Metalloproteinase Isolated from Bothrops moojeni Venom, Reduces Blood Pressure, Reverses Left Ventricular Remodeling and Improves Cardiac Electrical Conduction in Rats with Renovascular Hypertension
Abstract
1. Introduction
2. Results
2.1. Purification and Activity of BmooMPα-I Protease from B. moojeni Crude Venom
2.2. Treatment with BmooMPα-I Decreased Systolic Blood Pressure (SBP) and Diastolic Blood Pressure (DBP) in Hypertensive Animals
2.3. Treatment with BmooMPα-I Not Changed the Hematological Profile in Sham and 2K1C Animals
2.4. Treatment with BmooMPα-I Reversed Electrocardiographic Changes in Hypertensive Animals
2.5. Treatment with BmooMPα-I Ameliorates the Cardiac Remodeling
2.6. Treatment with BmooMPα-I Decreased the Myocyte Hypertrophy in the Left Ventricle of Hypertensive Animals
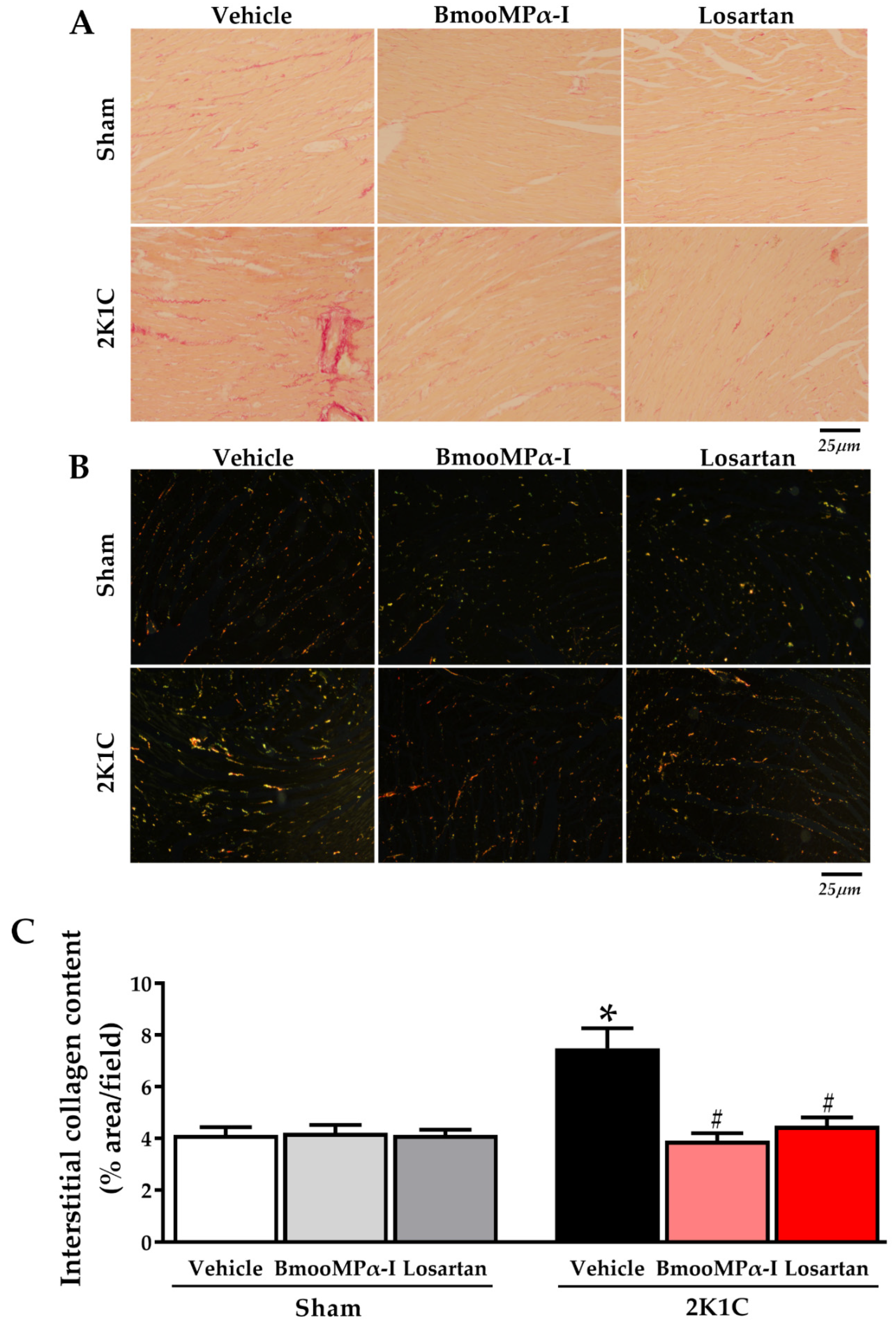
2.7. Treatment with BmooMPα-I Decreased Interstitial Collagen Content in the Left Ventricle of Hypertensive Animals
3. Discussion
4. Conclusions
5. Materials and Methods
5.1. Venom
5.2. BmooMPα-I Purification
5.3. SDS-PAGE
5.4. Proteolytic Activity over Casein
5.5. Mass Spectrometry
5.6. Animals
5.7. Experimental Design
5.8. Electrocardiographic Record
5.9. Sample Collection and Histological Preparation of Hearts
5.10. Serum Measurement of Blood Cells
5.11. Heart Morphometry, Myocyte Diameter and Collagen Content
5.12. Statistical Analysis
Supplementary Materials
Author Contributions
Funding
Institutional Review Board Statement
Informed Consent Statement
Data Availability Statement
Acknowledgments
Conflicts of Interest
References
- Mills, K.T.; Stefanescu, A.; He, J. The global epidemiology of hypertension. Nat. Rev. Nephrol. 2020, 16, 223–237. [Google Scholar] [CrossRef] [PubMed]
- Cicalese, S.M.; da Silva, J.F.; Priviero, F.; Webb, R.C.; Eguchi, S.; Tostes, R.C. Vascular Stress Signaling in Hypertension. Circ. Res. 2021, 128, 969–992. [Google Scholar] [CrossRef] [PubMed]
- Griendling, K.K.; Camargo, L.L.; Rios, F.J.; Alves-Lopes, R.; Montezano, A.C.; Touyz, R.M. Oxidative Stress and Hypertension. Circ. Res. 2021, 128, 993–1020. [Google Scholar] [CrossRef] [PubMed]
- Acelajado, M.C.; Hughes, Z.H.; Oparil, S.; Calhoun, D.A. Treatment of Resistant and Refractory Hypertension. Circ. Res. 2019, 124, 1061–1070. [Google Scholar] [CrossRef]
- Gao, Y.; Ren, C.; Li, X.; Yu, W.; Li, S.; Li, H.; Wang, Y.; Li, D.; Ren, M.; Ji, X. Ischemic Conditioning Ameliorated Hypertension and Vascular Remodeling of Spontaneously Hypertensive Rat via Inflammatory Regulation. Aging Dis. 2021, 12, 116–131. [Google Scholar] [CrossRef]
- Camargo, A.C.; Ianzer, D.; Guerreiro, J.R.; Serrano, S.M. Bradykinin-potentiating peptides: Beyond captopril. Toxicon Off. J. Int. Soc. Toxinol. 2012, 59, 516–523. [Google Scholar] [CrossRef] [PubMed]
- Hung, C.C.; Chiou, S.H. Fibrinogenolytic proteases isolated from the snake venom of Taiwan habu: Serine proteases with kallikrein-like and angiotensin-degrading activities. Biochem. Biophys. Res. Commun. 2001, 281, 1012–1018. [Google Scholar] [CrossRef]
- Megale, A.A.A.; Magnoli, F.C.; Kuniyoshi, A.K.; Iwai, L.K.; Tambourgi, D.V.; Portaro, F.C.V.; da Silva, W.D. Kn-Ba: A novel serine protease isolated from Bitis arietans snake venom with fibrinogenolytic and kinin-releasing activities. J. Venom. Anim. Toxins Incl. Trop. Dis. 2018, 24, 38. [Google Scholar] [CrossRef]
- Peterfi, O.; Boda, F.; Szabo, Z.; Ferencz, E.; Baba, L. Hypotensive Snake Venom Components-A Mini-Review. Molecules 2019, 24, 2778. [Google Scholar] [CrossRef]
- Gan, Z.; Huang, D.; Jiang, J.; Li, Y.; Li, H.; Ke, Y. Captopril alleviates hypertension-induced renal damage, inflammation, and NF-kappaB activation. Braz. J. Med. Biol. Res. 2018, 51, e7338. [Google Scholar] [CrossRef] [PubMed]
- Schuinski, A.F.; Baroni, G.; Pecoits Filho, R.F.; Meyer, F.; Cerqueira, M.L.; da Silva, M.A.; de Carvalho, V. Evaluation of the use of captopril on peritoneal fibrosis induced in rats by the use of glucose solution 4.25%. J. Braz. Nephrol. 2013, 35, 273–278. [Google Scholar] [CrossRef]
- Silveira, L.B.; Marchi-Salvador, D.P.; Santos-Filho, N.A.; Silva, F.P., Jr.; Marcussi, S.; Fuly, A.L.; Nomizo, A.; da Silva, S.L.; Stabeli, R.G.; Arantes, E.C.; et al. Isolation and expression of a hypotensive and anti-platelet acidic phospholipase A2 from Bothrops moojeni snake venom. J. Pharm. Biomed. Anal. 2013, 73, 35–43. [Google Scholar] [CrossRef] [PubMed]
- Okamoto, D.N.; Kondo, M.Y.; Oliveira, L.C.; Honorato, R.V.; Zanphorlin, L.M.; Coronado, M.A.; Araujo, M.S.; da Motta, G.; Veronez, C.L.; Andrade, S.S.; et al. P-I class metalloproteinase from Bothrops moojeni venom is a post-proline cleaving peptidase with kininogenase activity: Insights into substrate selectivity and kinetic behavior. Biochim. Biophys. Acta 2014, 1844, 545–552. [Google Scholar] [CrossRef] [PubMed]
- Bernardes, C.P.; Santos-Filho, N.A.; Costa, T.R.; Gomes, M.S.; Torres, F.S.; Costa, J.; Borges, M.H.; Richardson, M.; dos Santos, D.M.; de Castro Pimenta, A.M.; et al. Isolation and structural characterization of a new fibrin(ogen)olytic metalloproteinase from Bothrops moojeni snake venom. Toxicon Off. J. Int. Soc. Toxinol. 2008, 51, 574–584. [Google Scholar] [CrossRef] [PubMed]
- Salvador, G.H.M.; Borges, R.J.; Eulalio, M.M.C.; dos Santos, L.D.; Fontes, M.R.M. Biochemical, pharmacological and structural characterization of BmooMP-I, a new P-I metalloproteinase from Bothrops moojeni venom. Biochimie 2020, 179, 54–64. [Google Scholar] [CrossRef]
- Kang, T.S.; Georgieva, D.; Genov, N.; Murakami, M.T.; Sinha, M.; Kumar, R.P.; Kaur, P.; Kumar, S.; Dey, S.; Sharma, S.; et al. Enzymatic toxins from snake venom: Structural characterization and mechanism of catalysis. FEBS J. 2011, 278, 4544–4576. [Google Scholar] [CrossRef]
- Franchi, F.; Knudsen, B.E.; Oehler, E.; Textor, S.C.; Lerman, L.O.; Grande, J.P.; Rodriguez-Porcel, M. Non-invasive assessment of cardiac function in a mouse model of renovascular hypertension. Hypertens. Res. Off. J. Jpn. Soc. Hypertens. 2013, 36, 770–775. [Google Scholar] [CrossRef] [PubMed]
- Rizzi, E.; Ceron, C.S.; Guimaraes, D.A.; Prado, C.M.; Rossi, M.A.; Gerlach, R.F.; Tanus-Santos, J.E. Temporal changes in cardiac matrix metalloproteinase activity, oxidative stress, and TGF-beta in renovascular hypertension-induced cardiac hypertrophy. Exp. Mol. Pathol. 2013, 94, 1–9. [Google Scholar] [CrossRef]
- Al-Roomi, K.A.; Heller, R.F.; Wlodarczyk, J. Hypertension control and the risk of myocardial infarction and stroke: A population-based study. Med. J. Aust. 1990, 153, 595–603. [Google Scholar] [CrossRef]
- Liu, J.; He, Z.Y.; Xu, S.M.; Liu, F.Y.; Wang, P.Y. [Inositol 1,4,5-triphosphate receptors (IP(3)Rs) in myocardial nuclei involved in pressure overload-induced hypertrophy of rat heart]. Sheng Li Xue Bao Acta Physiol. Sin. 2001, 53, 281–285. [Google Scholar]
- Maytin, M.; Siwik, D.A.; Ito, M.; Xiao, L.; Sawyer, D.B.; Liao, R.; Colucci, W.S. Pressure overload-induced myocardial hypertrophy in mice does not require gp91phox. Circulation 2004, 109, 1168–1171. [Google Scholar] [CrossRef] [PubMed]
- Yamada, S.; Kane, G.C.; Behfar, A.; Liu, X.K.; Dyer, R.B.; Faustino, R.S.; Miki, T.; Seino, S.; Terzic, A. Protection conferred by myocardial ATP-sensitive K+ channels in pressure overload-induced congestive heart failure revealed in KCNJ11 Kir6.2-null mutant. J. Physiol. 2006, 577, 1053–1065. [Google Scholar] [CrossRef] [PubMed]
- Brilla, C.G. Regression of myocardial fibrosis in hypertensive heart disease: Diverse effects of various antihypertensive drugs. Cardiovasc. Res. 2000, 46, 324–331. [Google Scholar] [CrossRef][Green Version]
- Martins-Oliveira, A.; Castro, M.M.; Oliveira, D.M.; Rizzi, E.; Ceron, C.S.; Guimaraes, D.; Reis, R.I.; Costa-Neto, C.M.; Casarini, D.E.; Ribeiro, A.A.; et al. Contrasting effects of aliskiren versus losartan on hypertensive vascular remodeling. Int. J. Cardiol. 2013, 167, 1199–1205. [Google Scholar] [CrossRef]
- Correa, J.; Prado, C.M.; Riul, M.E.; Araujo, A.V.; Rossi, M.A.; Bendhack, L.M. Reversion of cardiovascular remodelling in renovascular hypertensive 2K-1C rats by renin-angiotensin system inhibitors. Clin. Exp. Pharmacol. Physiol. 2020, 47, 1965–1977. [Google Scholar] [CrossRef] [PubMed]
- Ceron, C.S.; Rizzi, E.; Guimaraes, D.A.; Martins-Oliveira, A.; Gerlach, R.F.; Tanus-Santos, J.E. Nebivolol attenuates prooxidant and profibrotic mechanisms involving TGF-beta and MMPs, and decreases vascular remodeling in renovascular hypertension. Free Radic. Biol. Med. 2013, 65, 47–56. [Google Scholar] [CrossRef]
- Rizzi, E.; Guimaraes, D.A.; Ceron, C.S.; Prado, C.M.; Pinheiro, L.C.; Martins-Oliveira, A.; Gerlach, R.F.; Tanus-Santos, J.E. Beta1-Adrenergic blockers exert antioxidant effects, reduce matrix metalloproteinase activity, and improve renovascular hypertension-induced cardiac hypertrophy. Free Radic. Biol. Med. 2014, 73, 308–317. [Google Scholar] [CrossRef]
- Ceron, C.S.; Castro, M.M.; Rizzi, E.; Montenegro, M.F.; Fontana, V.; Salgado, M.C.; Gerlach, R.F.; Tanus-Santos, J.E. Spironolactone and hydrochlorothiazide exert antioxidant effects and reduce vascular matrix metalloproteinase-2 activity and expression in a model of renovascular hypertension. Br. J. Pharmacol. 2010, 160, 77–87. [Google Scholar] [CrossRef] [PubMed]
- Marcal, D.M.; Rizzi, E.; Martins-Oliveira, A.; Ceron, C.S.; Guimaraes, D.A.; Gerlach, R.F.; Tanus-Santos, J.E. Comparative study on antioxidant effects and vascular matrix metalloproteinase-2 downregulation by dihydropyridines in renovascular hypertension. Naunyn-Schmiedeberg’s Arch. Pharmacol. 2011, 383, 35–44. [Google Scholar] [CrossRef]
- Rizzi, E.; Castro, M.M.; Ceron, C.S.; Neto-Neves, E.M.; Prado, C.M.; Rossi, M.A.; Tanus-Santos, J.E.; Gerlach, R.F. Tempol inhibits TGF-beta and MMPs upregulation and prevents cardiac hypertensive changes. Int. J. Cardiol. 2013, 165, 165–173. [Google Scholar] [CrossRef]
- Dell’Italia, L.J.; Oparil, S. Bradykinin in the heart: Friend or foe? Circulation 1999, 100, 2305–2307. [Google Scholar] [CrossRef] [PubMed][Green Version]
- Gallagher, A.M.; Yu, H.; Printz, M.P. Bradykinin-induced reductions in collagen gene expression involve prostacyclin. Hypertension 1998, 32, 84–88. [Google Scholar] [CrossRef] [PubMed]
- Scridon, A.; Balan, A.I. Targeting Myocardial Fibrosis-A Magic Pill in Cardiovascular Medicine? Pharmaceutics 2022, 14, 1599. [Google Scholar] [CrossRef] [PubMed]
- Sigusch, H.H.; Campbell, S.E.; Weber, K.T. Angiotensin II-induced myocardial fibrosis in rats: Role of nitric oxide, prostaglandins and bradykinin. Cardiovasc. Res. 1996, 31, 546–554. [Google Scholar] [CrossRef]
- Tanaka, Y.; Nagai, M.; Date, T.; Okada, T.; Abe, Y.; Seki, S.; Taniguchi, M.; Taniguchi, I.; Mochizuki, S. Effects of bradykinin on cardiovascular remodeling in renovascular hypertensive rats. Hypertens. Res. Off. J. Jpn. Soc. Hypertens. 2004, 27, 865–875. [Google Scholar] [CrossRef]
- Pereañez, J.A.; Patiño, A.C.; Gutiérrez, J.M.; Preciado, L.M. Preliminary studies on different modes of interaction between hemorrhagic and nonhemorrhagic p-i snake venom metalloproteinases with basement membrane substrates: Insights from an In silico approach. Med. Res. Arch. 2018, 6, 1–19. [Google Scholar] [CrossRef]
- Ahmad, T.; Fiuzat, M.; Neely, B.; Neely, M.L.; Pencina, M.J.; Kraus, W.E.; Zannad, F.; Whellan, D.J.; Donahue, M.P.; Pina, I.L.; et al. Biomarkers of myocardial stress and fibrosis as predictors of mode of death in patients with chronic heart failure. JACC Heart Fail. 2014, 2, 260–268. [Google Scholar] [CrossRef]
- Briasoulis, A.; Mallikethi-Reddy, S.; Palla, M.; Alesh, I.; Afonso, L. Myocardial fibrosis on cardiac magnetic resonance and cardiac outcomes in hypertrophic cardiomyopathy: A meta-analysis. Heart 2015, 101, 1406–1411. [Google Scholar] [CrossRef]
- Cowling, R.T.; Kupsky, D.; Kahn, A.M.; Daniels, L.B.; Greenberg, B.H. Mechanisms of cardiac collagen deposition in experimental models and human disease. Transl. Res. J. Lab. Clin. Med. 2019, 209, 138–155. [Google Scholar] [CrossRef]
- Gulati, A.; Jabbour, A.; Ismail, T.F.; Guha, K.; Khwaja, J.; Raza, S.; Morarji, K.; Brown, T.D.; Ismail, N.A.; Dweck, M.R.; et al. Association of fibrosis with mortality and sudden cardiac death in patients with nonischemic dilated cardiomyopathy. JAMA 2013, 309, 896–908. [Google Scholar] [CrossRef]
- Zile, M.R.; Baicu, C.F.; Ikonomidis, J.S.; Stroud, R.E.; Nietert, P.J.; Bradshaw, A.D.; Slater, R.; Palmer, B.M.; van Buren, P.; Meyer, M.; et al. Myocardial stiffness in patients with heart failure and a preserved ejection fraction: Contributions of collagen and titin. Circulation 2015, 131, 1247–1259. [Google Scholar] [CrossRef] [PubMed]
- Zorzi, A.; Perazzolo Marra, M.; Rigato, I.; de Lazzari, M.; Susana, A.; Niero, A.; Pilichou, K.; Migliore, F.; Rizzo, S.; Giorgi, B.; et al. Nonischemic Left Ventricular Scar as a Substrate of Life-Threatening Ventricular Arrhythmias and Sudden Cardiac Death in Competitive Athletes. Circ. Arrhythm. Electrophysiol. 2016, 9, e004229. [Google Scholar] [CrossRef] [PubMed]
- Kharin, S.N.; Krandycheva, V.V.; Shmakov, D.N. Depolarization pattern of ventricular epicardium in two-kidney one-clip hypertensive rats. Exp. Physiol. 2005, 90, 621–626. [Google Scholar] [CrossRef] [PubMed]
- Paulin, F.V.; Palozi, R.A.C.; Lorencone, B.R.; Macedo, A.L.; Guarnier, L.P.; Tirloni, C.A.S.; Romao, P.V.M.; Gasparotto Junior, A.; Silva, D.B. Prolonged Administration of Rudgea viburnoides (Cham.) Benth. Prevents Impairment of Redox Status, Renal Dysfunction, and Cardiovascular Damage in 2K1C-Hypertensive Rats by Inhibiting ACE Activity and NO-GMPC Pathway Activation. Pharmaceutics 2021, 13, 1579. [Google Scholar] [CrossRef]
- Bacharova, L.; Schocken, D.D.; Wagner, G.S. The 1st symposium on ECG changes in left or right ventricular hypertension or hypertrophy in conditions of pressure overload. J. Electrocardiol. 2014, 47, 589–592. [Google Scholar] [CrossRef]
- Kahyaoglu, M.; Gecmen, C.; Candan, O.; Celik, M.; Yilmaz, Y.; Bayam, E.; Cakmak, E.O.; Izgi, I.A.; Kirma, C. The usefulness of morphology-voltage-P wave duration ECG score for predicting early left atrial dysfunction in hypertensive patients. Clin. Exp. Hypertens. 2021, 43, 572–578. [Google Scholar] [CrossRef]
- Losito, A.; Fagugli, R.M.; Zampi, I.; Parente, B.; de Rango, P.; Giordano, G.; Cao, P. Comparison of target organ damage in renovascular and essential hypertension. Am. J. Hypertens. 1996, 9, 1062–1067. [Google Scholar] [CrossRef]
- Bernadic, M.; Zlatos, L. Cardioelectrical field in experimental cardiomegaly in rats. Bratisl. Lek. Listy 1996, 97, 543–549. [Google Scholar] [PubMed]
- Dunn, F.G.; Pfeffer, M.A.; Frohlich, E.D. ECG alterations with progressive left ventricular hypertrophy in spontaneous hypertension. Clin. Exp. Hypertens. 1978, 1, 67–86. [Google Scholar] [CrossRef] [PubMed]
- Sambhi, M.P.; White, F.N. The electrocardiogram of the normal and hypertensive rat. Circ. Res. 1960, 8, 129–134. [Google Scholar] [CrossRef]
- Schoemaker, R.G.; Smits, J.F. Systolic time intervals as indicators for cardiac function in rat models for heart failure. Eur. Heart J. 1990, 11 (Suppl. 1), 114–123. [Google Scholar] [CrossRef] [PubMed]
- Carey, P.A.; Turner, M.; Fry, C.H.; Sheridan, D.J. Reduced anisotropy of action potential conduction in left ventricular hypertrophy. J. Cardiovasc. Electrophysiol. 2001, 12, 830–835. [Google Scholar] [CrossRef] [PubMed]
- McIntyre, H.; Fry, C.H. Abnormal action potential conduction in isolated human hypertrophied left ventricular myocardium. J. Cardiovasc. Electrophysiol. 1997, 8, 887–894. [Google Scholar] [CrossRef] [PubMed]
- Oikarinen, L.; Nieminen, M.S.; Toivonen, L.; Viitasalo, M.; Wachtell, K.; Papademetriou, V.; Jern, S.; Dahlof, B.; Devereux, R.B.; Okin, P.M.; et al. Relation of QT interval and QT dispersion to regression of echocardiographic and electrocardiographic left ventricular hypertrophy in hypertensive patients: The Losartan Intervention For Endpoint Reduction (LIFE) study. Am. Heart J. 2003, 145, 919–925. [Google Scholar] [CrossRef]
- Kunisek, J.; Zaputovic, L.; Cubranic, Z.; Kunisek, L.; Zuvic Butorac, M.; Lukin-Eskinja, K.; Karlavaris, R. Influence of the left ventricular types on QT intervals in hypertensive patients. Anatol. J. Cardiol. 2015, 15, 33–39. [Google Scholar] [CrossRef]
- Chao, J.; Chao, L. Experimental kallikrein gene therapy in hypertension, cardiovascular and renal diseases. Pharmacol. Res. 1997, 35, 517–522. [Google Scholar] [CrossRef]
- Siltari, A.; Korpela, R.; Vapaatalo, H. Bradykinin-induced vasodilatation: Role of age, ACE1-inhibitory peptide, mas- and bradykinin receptors. Peptides 2016, 85, 46–55. [Google Scholar] [CrossRef]
- Wettschureck, N.; Rutten, H.; Zywietz, A.; Gehring, D.; Wilkie, T.M.; Chen, J.; Chien, K.R.; Offermanns, S. Absence of pressure overload induced myocardial hypertrophy after conditional inactivation of Galphaq/Galpha11 in cardiomyocytes. Nat. Med. 2001, 7, 1236–1240. [Google Scholar] [CrossRef]
- De Morais-Zani, K.; Grego, K.F.; Tanaka, A.S.; Tanaka-Azevedo, A.M. Depletion of plasma albumin for proteomic analysis of Bothrops jararaca snake plasma. J. Biomol. Tech. 2011, 22, 67–73. [Google Scholar]
- De Morais-Zani, K.; Grego, K.F.; Tanaka, A.S.; Tanaka-Azevedo, A.M. Proteomic Analysis of the Ontogenetic Variability in Plasma Composition of Juvenile and Adult Bothrops jararaca Snakes. Int. J. Proteom. 2013, 2013, 135709. [Google Scholar] [CrossRef]
- Guerreiro, J.R.; Lameu, C.; Oliveira, E.F.; Klitzke, C.F.; Melo, R.L.; Linares, E.; Augusto, O.; Fox, J.W.; Lebrun, I.; Serrano, S.M.; et al. Argininosuccinate synthetase is a functional target for a snake venom anti-hypertensive peptide: Role in arginine and nitric oxide production. J. Biol. Chem. 2009, 284, 20022–20033. [Google Scholar] [CrossRef]
- Negraes, P.D.; Lameu, C.; Hayashi, M.A.; Melo, R.L.; Camargo, A.C.; Ulrich, H. The snake venom peptide Bj-PRO-7a is a M1 muscarinic acetylcholine receptor agonist. Cytom. A 2011, 79, 77–83. [Google Scholar] [CrossRef] [PubMed]
- Goncalves, P.R.; Nascimento, L.D.; Gerlach, R.F.; Rodrigues, K.E.; Prado, A.F. Matrix Metalloproteinase 2 as a Pharmacological Target in Heart Failure. Pharmaceuticals 2022, 15, 920. [Google Scholar] [CrossRef]
- Prado, A.F.; Batista, R.I.M.; Tanus-Santos, J.E.; Gerlach, R.F. Matrix Metalloproteinases and Arterial Hypertension: Role of Oxidative Stress and Nitric Oxide in Vascular Functional and Structural Alterations. Biomolecules 2021, 11, 585. [Google Scholar] [CrossRef] [PubMed]
- Prado, A.F.; Pernomian, L.; Azevedo, A.; Costa, R.A.P.; Rizzi, E.; Ramos, J.; Paes Leme, A.F.; Bendhack, L.M.; Tanus-Santos, J.E.; Gerlach, R.F. Matrix metalloproteinase-2-induced epidermal growth factor receptor transactivation impairs redox balance in vascular smooth muscle cells and facilitates vascular contraction. Redox Biol. 2018, 18, 181–190. [Google Scholar] [CrossRef]
- Wang, X.; Chow, F.L.; Oka, T.; Hao, L.; Lopez-Campistrous, A.; Kelly, S.; Cooper, S.; Odenbach, J.; Finegan, B.A.; Schulz, R.; et al. Matrix metalloproteinase-7 and ADAM-12 (a disintegrin and metalloproteinase-12) define a signaling axis in agonist-induced hypertension and cardiac hypertrophy. Circulation 2009, 119, 2480–2489. [Google Scholar] [CrossRef]
- Wang, X.; Oka, T.; Chow, F.L.; Cooper, S.B.; Odenbach, J.; Lopaschuk, G.D.; Kassiri, Z.; Fernandez-Patron, C. Tumor necrosis factor-alpha-converting enzyme is a key regulator of agonist-induced cardiac hypertrophy and fibrosis. Hypertension 2009, 54, 575–582. [Google Scholar] [CrossRef]
- Kmecova, J.; Klimas, J. Heart rate correction of the QT duration in rats. Eur. J. Pharmacol. 2010, 641, 187–192. [Google Scholar] [CrossRef] [PubMed]
- Freitas, S.C.F.; Dos Santos, C.P.; Arnold, A.; Stoyell-Conti, F.F.; Dutra, M.R.H.; Veras, M.; Irigoyen, M.C.; De Angelis, K. A method to assess heart rate variability in neonate rats: Validation in normotensive and hypertensive animals. Braz. J. Med. Biol. Res. 2020, 53, e9493. [Google Scholar] [CrossRef] [PubMed]
- Kruger, C.; Landerer, V.; Zugck, C.; Ehmke, H.; Kubler, W.; Haass, M. The bradycardic agent zatebradine enhances baroreflex sensitivity and heart rate variability in rats early after myocardial infarction. Cardiovasc. Res. 2000, 45, 900–912. [Google Scholar] [CrossRef][Green Version]
- Mangin, L.; Swynghedauw, B.; Benis, A.; Thibault, N.; Lerebours, G.; Carre, F. Relationships between heart rate and heart rate variability: Study in conscious rats. J. Cardiovasc. Pharmacol. 1998, 32, 601–607. [Google Scholar] [CrossRef] [PubMed]






| Erythrocyte (×106/μL) | Hemoglobin (g/dL) | Platelets (×103/μL) | Leucocytes (×106/μL) | |
|---|---|---|---|---|
| Sham Vehicle | 7.2 ± 0.4 | 13 ± 0.6 | 725 ± 73 | 4883 ± 1156 |
| Sham BmooMPα-I | 8.1 ± 0.4 | 13 ± 0.5 | 693 ± 34 | 4583 ± 647 |
| Sham Losartan | 7.8 ± 0.8 | 14 ± 0.2 | 695 ± 71 | 4983 ± 938 |
| 2K1C Vehicle | 7.9 ± 0.3 | 13 ± 0.3 | 726 ± 75 | 4400 ± 800 |
| 2K1C BmooMPα-I | 8.2 ± 0.5 | 13 ± 1.1 | 758 ± 67 | 3980 ± 326 |
| 2K1C Losartan | 8.3 ± 1.2 | 13 ± 2.4 | 681 ± 111 | 4316 ± 609 |
| Hearth Rate (bpm) | PR (ms) | QRS (ms) | QT (ms) | QTc (ms) | |
|---|---|---|---|---|---|
| Sham Vehicle | 302 ± 2 | 50 ± 0.1 | 36 ± 0.4 | 89 ± 2 | 79 ± 3 |
| Sham BmooMPα-I | 297 ± 3 | 50 ± 0.2 | 36 ± 0.1 | 90 ± 1 | 78 ± 7 |
| Sham Losartan | 291 ± 8 | 49 ± 0.2 | 40 ± 0.1 | 91 ± 1 | 80 ± 9 |
| 2K1C Vehicle | 332 ± 6 * | 52 ± 0.1 | 48 ± 0.2 * | 122 ± 1 * | 126 ± 2 |
| 2K1C BmooMPα-I | 297 ± 4 # | 50 ± 0.1 | 42 ± 0.1 # | 92 ± 1 # | 80 ± 4 |
| 2K1C Losartan | 300 ± 5 # | 51 ± 0.2 | 36 ± 0.1 # | 89 ± 2 # | 80 ± 5 |
| HW/BW Ratio (mm/g) | LVWT (mm) | ISWT (mm) | LVCA (mm2) | Myocyte Diameter (µm) | Collagen Content (% Area) | |
|---|---|---|---|---|---|---|
| Sham Vehicle | 3.0 ± 0.1 | 2.4 ± 0.04 | 2.1 ± 0.02 | 12.1 ± 0.5 | 4.4 ± 0.1 | 4.1 ± 0.3 |
| Sham BmooMPα-I | 3.2 ± 0.1 | 2.4 ± 0.04 | 2.2 ± 0.03 | 11.8 ± 0.5 | 4.6 ± 0.1 | 4.2 ± 0.3 |
| Sham Losartan | 3.0 ± 0.2 | 2.4 ± 0.03 | 2.3 ± 0.02 | 12.4 ± 0.6 | 4.3 ± 0.1 | 4.1 ± 0.2 |
| 2K1C Vehicle | 3.6 ± 0.1 * | 2.8 ± 0.05 * | 2.5 ± 0.04 * | 10.5 ± 0.3 * | 6.0 ± 0.1 * | 7.4 ± 0.8 * |
| 2K1C BmooMPα-I | 3.2 ± 0.1 # | 2.5 ± 0.02 # | 2.3 ± 0.06 # | 12.1 ± 0.3 # | 4.9 ± 0.1 # | 3.9 ± 0.3 # |
| 2K1C Losartan | 3.0 ± 0.1 # | 2.5 ± 0.06 # | 2.2 ± 0.02 # | 12.2 ± 0.4 # | 4.8 ± 0.1 # | 4.4 ± 0.3 # |
Publisher’s Note: MDPI stays neutral with regard to jurisdictional claims in published maps and institutional affiliations. |
© 2022 by the authors. Licensee MDPI, Basel, Switzerland. This article is an open access article distributed under the terms and conditions of the Creative Commons Attribution (CC BY) license (https://creativecommons.org/licenses/by/4.0/).
Share and Cite
Estrada, J.E.C.; Rodrigues, K.E.; Maciel, A.; Bannwart, C.M.; Dias, W.F.; Hamoy, M.; Zingali, R.B.; Soares, A.M.; Ribeiro, C.H.M.A.; Gerlach, R.F.; et al. BmooMPα-I, a Metalloproteinase Isolated from Bothrops moojeni Venom, Reduces Blood Pressure, Reverses Left Ventricular Remodeling and Improves Cardiac Electrical Conduction in Rats with Renovascular Hypertension. Toxins 2022, 14, 766. https://doi.org/10.3390/toxins14110766
Estrada JEC, Rodrigues KE, Maciel A, Bannwart CM, Dias WF, Hamoy M, Zingali RB, Soares AM, Ribeiro CHMA, Gerlach RF, et al. BmooMPα-I, a Metalloproteinase Isolated from Bothrops moojeni Venom, Reduces Blood Pressure, Reverses Left Ventricular Remodeling and Improves Cardiac Electrical Conduction in Rats with Renovascular Hypertension. Toxins. 2022; 14(11):766. https://doi.org/10.3390/toxins14110766
Chicago/Turabian StyleEstrada, Jorge Eduardo Chang, Keuri Eleutério Rodrigues, Anderson Maciel, Cahy Manoel Bannwart, Wictória Farias Dias, Moisés Hamoy, Russolina Benedeta Zingali, Andreimar Martins Soares, Carolina Heitmann Mares Azevedo Ribeiro, Raquel Fernanda Gerlach, and et al. 2022. "BmooMPα-I, a Metalloproteinase Isolated from Bothrops moojeni Venom, Reduces Blood Pressure, Reverses Left Ventricular Remodeling and Improves Cardiac Electrical Conduction in Rats with Renovascular Hypertension" Toxins 14, no. 11: 766. https://doi.org/10.3390/toxins14110766
APA StyleEstrada, J. E. C., Rodrigues, K. E., Maciel, A., Bannwart, C. M., Dias, W. F., Hamoy, M., Zingali, R. B., Soares, A. M., Ribeiro, C. H. M. A., Gerlach, R. F., Monteiro, M. C., & Prado, A. F. (2022). BmooMPα-I, a Metalloproteinase Isolated from Bothrops moojeni Venom, Reduces Blood Pressure, Reverses Left Ventricular Remodeling and Improves Cardiac Electrical Conduction in Rats with Renovascular Hypertension. Toxins, 14(11), 766. https://doi.org/10.3390/toxins14110766

