Elucidating the Skin Delivery of Aglycone and Glycoside Flavonoids: How the Structures Affect Cutaneous Absorption
Abstract
1. Introduction
2. Materials and Methods
2.1. Materials
2.2. Capacity Factor (Log K’)
2.3. Partition Coefficient (Log P)
2.4. Saturated Solubility in 20% PEG400 Aqueous Solution
2.5. Animals
2.6. Preparation of SC-Disrupted Skin
2.7. In Vitro Franz Cell Assembly
2.8. Inhibition of Neutrophilic Inflammation by Flavonoids
2.9. Molecular Modeling
2.10. In Vivo Cutaneous Tolerance of Flavonoids
2.11. Data Analysis
3. Results
3.1. Physicochemical Properties of Flavonoids
3.2. Cutaneous Absorption of Flavonoids
3.3. Flavonoid Permeation via SC-Disrupted Skin
3.4. Inhibition of Neutrophil Inflammation by Flavonoids
3.5. Molecular Modeling
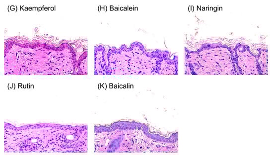
3.6. In Vivo Cutaneous Tolerance of Flavonoids
4. Discussion
5. Conclusions
Acknowledgments
Author Contributions
Conflicts of Interest
References
- Petrou, A.L.; Terzidaki, A. A meta-analysis and review examining a possible role for oxidative stress and singlet oxygen in diverse diseases. Biochem. J. 2017, 474, 2713–2731. [Google Scholar] [CrossRef] [PubMed]
- Rinnerthaler, M.; Bischof, J.; Streubel, M.K.; Trost, A.; Richter, K. Oxidative stress in aging human skin. Biomolecules 2015, 5, 545–589. [Google Scholar] [CrossRef] [PubMed]
- Ascenso, A.; Ribeiro, H.M.; Marques, H.C.; Simões, S. Topical delivery of antioxidants. Curr. Drug Deliv. 2011, 8, 640–660. [Google Scholar] [CrossRef] [PubMed]
- George, V.C.; Vijesh, V.V.; Amararathna, D.I.M.; Lakshmi, C.A.; Anbarasu, K.; Kumar, D.R.N.; Ethiraj, K.R.; Kumar, R.A.; Rupasinghe, H.P.V. Mechanism of action of flavonoids in prevention of inflammation-associated skin cancer. Curr. Med. Chem. 2016, 23, 1–20. [Google Scholar]
- Shen, C.Y.; Jiang, J.G.; Yang, L.; Wang, D.W.; Zhu, W. Anti-ageing active ingredients from herbs and nutraceuticals used in traditional Chinese medicine: Pharmacological mechanisms and implications for drug discovery. Br. J. Pharmacol. 2017, 174, 1395–1425. [Google Scholar] [CrossRef] [PubMed]
- Abd, E.; Roberts, M.S.; Grice, J.E. A comparison of the penetration and permeation of caffeine into and through human epidermis after application in various vesicle formulations. Skin Pharmacol. Physiol. 2016, 29, 24–30. [Google Scholar] [CrossRef] [PubMed]
- Arct, J.; Pytkowska, K. Flavonoids as components of biologically active cosmeceuticals. Clin. Dermatol. 2008, 26, 347–357. [Google Scholar] [CrossRef] [PubMed]
- Zhou, B.R.; Liu, W.L.; Luo, D. Protective effect of baicalin against multiple ultraviolet b exposure-mediated injuries in C57BL/6 mouse skin. Arch. Pharm. Res. 2011, 34, 261–268. [Google Scholar] [CrossRef] [PubMed]
- Dayan, N. Pathways for skin penetration. Cosmet. Toilet. 2005, 120, 67–76. [Google Scholar]
- Liu, K.S.; Chen, Y.W.; Aljuffali, I.A.; Chang, C.W.; Wang, J.J.; Fang, J.Y. Topically applied mesoridazine exhibits the strongest cutaneous analgesia and minimized skin disruption among tricyclic antidepressants: The skin absorption assessment. Eur. J. Pharm. Biopharm. 2016, 105, 59–68. [Google Scholar] [CrossRef] [PubMed]
- Campbell, C.S.J.; Contreras-Rojas, L.R.; Delgado-Charro, M.B.; Guy, R.H. Objective assessment of nanoparticle disposition in mammalian skin after topical exposure. J. Control. Release 2012, 162, 201–207. [Google Scholar] [CrossRef] [PubMed]
- Boyum, A.; Lovhaug, D.; Tresland, L.; Nordlie, E.M. Separation of leucocytes: Improved cell purity by fine adjustments of gradient medium density and osmolality. Scand. J. Immunol. 1991, 34, 697–712. [Google Scholar] [CrossRef] [PubMed]
- Yang, S.C.; Chung, P.J.; Ho, C.M.; Kuo, C.Y.; Hung, M.F.; Huang, Y.T.; Chang, W.Y.; Chang, Y.W.; Chan, K.H.; Hwang, T.L.; et al. Propofol inhibits superoxide production, elastase release, and chemotaxis in formyl peptide-activated human neutrophils by blocking formyl peptide receptor 1. J. Immunol. 2013, 190, 6511–6519. [Google Scholar] [CrossRef] [PubMed]
- Sawamura, R.; Sakurai, H.; Wada, N.; Nishiya, Y.; Honda, T.; Kazui, M.; Kurihara, A.; Shinagawa, A.; Izumi, T. Bioactivation of loxoprofen to a pharmacologically active metabolite and its disposition kinetics in human skin. Biopharm. Drug Dispos. 2015, 36, 352–363. [Google Scholar] [CrossRef] [PubMed]
- Riviere, J.E.; Brooks, J.D. Predicting skin permeability from complex chemical mixtures: Dependency of quantitative structure permeation relationships on biology of skin model used. Toxicol. Sci. 2011, 119, 224–232. [Google Scholar] [CrossRef] [PubMed]
- Mir-Palomo, S.; Nácher, A.; Díez-Sales, O.; Busó, O.V.; Caddeo, C.; Manca, M.L.; Manconi, M.; Fadda, A.M.; Saurí, A.R. Inhibition of skin inflammation by baicalin ultradeformable vesicles. Int. J. Pharm. 2016, 511, 23–29. [Google Scholar] [CrossRef] [PubMed]
- Lin, C.F.; Leu, Y.L.; Al-Suwayeh, S.A.; Ku, M.C.; Hwang, T.L.; Fang, J.Y. Anti-inflammatory activity and percutaneous absorption of quercetin and its polymethoxylated compound and glycosides: The relationships to chemical structures. Eur. J. Pharm. Sci. 2012, 47, 857–864. [Google Scholar] [CrossRef] [PubMed]
- Lin, C.F.; Hung, C.F.; Aljuffali, I.A.; Huang, Y.L.; Liao, W.C.; Fang, J.Y. Methylation and esterification of magnolol for ameliorating cutaneous targeting and therapeutic index by topical application. Pharm. Res. 2016, 33, 2152–2167. [Google Scholar] [CrossRef] [PubMed]
- Schaftenaar, G.; De Vlieg, J. Quantum mechanical polar surface area. J. Comput. Aided Mol. Des. 2012, 26, 311–318. [Google Scholar] [CrossRef] [PubMed]
- Ertl, P.; Rohde, B.; Selzer, P. Fast calculation of molecular polar surface area as a sum of fragment-based contributions and its application to the prediction of drug transport properties. J. Med. Chem. 2000, 43, 3714–3717. [Google Scholar] [CrossRef] [PubMed]
- Liu, K.S.; Hsieh, P.W.; Aljuffali, I.A.; Lin, Y.K.; Chang, S.H.; Wang, J.J.; Fang, J.Y. Impact of ester promoieties on transdermal delivery of ketorolac. J. Pharm. Sci. 2014, 103, 974–986. [Google Scholar] [CrossRef] [PubMed]
- Liu, X.; Testa, B.; Fahr, A. Lipophilicity and its relationship with passive drug permeation. Pharm. Res. 2011, 28, 962–977. [Google Scholar] [CrossRef] [PubMed]
- Song, K.; An, S.M.; Kim, M.; Koh, J.S.; Boo, Y.C. Comparison of the antimelanogenic effects of p-coumaric acid and its methyl ester and their skin permeabilities. J. Dermatol. Sci. 2011, 63, 17–22. [Google Scholar] [CrossRef] [PubMed]
- Schneider, M.; Stracke, F.; Hansen, S.; Schaefer, U.F. Nanoparticles and their interactions with the dermal barrier. Dermatoendocrinology 2009, 1, 197–206. [Google Scholar] [CrossRef]
- Yan, Y.D.; Sung, J.H.; Lee, D.W.; Kim, J.S.; Jeon, E.M.; Kim, D.D.; Kin, D.W.; Kim, J.O.; Piao, M.G.; Li, D.X.; et al. Evaluation of physicochemical properties, skin permeation and accumulation profiles of salicylic acid amide prodrugs as sunscreen agent. Int. J. Pharm. 2011, 419, 154–160. [Google Scholar] [CrossRef] [PubMed]
- Pierre, M.B.R.; Lopez, R.F.V.; Bentley, M.V.L.B. Influence of ceramide 2 on in vitro skin permeation and retention of 5-ALA and its ester derivatives, for photodynamic therapy. Braz. J. Pharm. Sci. 2009, 45, 109–116. [Google Scholar] [CrossRef]
- Mojumdar, E.H.; Gooris, G.S.; Barlow, D.J.; Lawrence, M.J.; Deme, B.; Bouwstra, J.A. Skin lipids: Localization of ceramide and fatty acid in the unit cell of the long periodicity phase. Biophys. J. 2015, 108, 2670–2679. [Google Scholar] [CrossRef] [PubMed]
- Kessner, D.; Ruettinger, A.; Kiselev, M.A.; Wartewig, S.; Neubert, R.H.H. Properties of ceramides and their impact on the stratum corneum structure: A review. Skin Pharmacol. Physiol. 2008, 21, 58–74. [Google Scholar] [CrossRef] [PubMed]
- Paige, D.G.; Morse-Fisher, N.; Harper, J.I. Quantification of stratum corneum ceramides and lipid envelope ceramides in the hereditary ichthyoses. Br. J. Dermatol. 1994, 131, 23–27. [Google Scholar] [CrossRef] [PubMed]
- N’Da, D.D. Prodrug strategies for enhancing the percutaneous absorption of drugs. Molecules 2014, 19, 20780–20787. [Google Scholar] [CrossRef] [PubMed]
- Alikhan, A.; Farahmand, S.; Maibach, H.I. Correlating percutaneous absorption with physicochemical parameters in vivo in man: Agricultural, steroid, and other organic compounds. J. Appl. Toxicol. 2009, 29, 590–596. [Google Scholar] [CrossRef] [PubMed]
- Yamaguchi, K.; Mitsui, T.; Aso, Y.; Sugibayashi, K. Structure–permeability relationship analysis of the permeation barrier properties of the stratum corneum and viable epidermis/dermis of rat skin. J. Pharm. Sci. 2008, 97, 4391–4403. [Google Scholar] [CrossRef] [PubMed]
- Mohammed, D.; Matts, P.J.; Hadgraft, J.; Lane, M.E. In vitro–in vivo correlation in skin permeation. Pharm. Res. 2014, 31, 394–400. [Google Scholar] [CrossRef] [PubMed]
- Nauseef, W.M.; Borregaard, N. Neutrophils at work. Nat. Immunol. 2014, 15, 602–611. [Google Scholar] [CrossRef] [PubMed]
- Kim, J.; Krueger, J.G. The immunopathogenesis of psoriasis. Dermatol. Clin. 2015, 33, 13–23. [Google Scholar] [CrossRef] [PubMed]
- Amorati, R.; Zotova, J.; Baschieri, A.; Valgimigli, L. Antioxidant activity of magnolol and honokiol: Kinetic and mechanistic investigations of their reaction with peroxyl radicals. J. Org. Chem. 2015, 80, 10651–10659. [Google Scholar] [CrossRef] [PubMed]
- Alonso, C.; Lucas, R.; Barba, C.; Marti, M.; Rubio, L.; Comelles, F.; Morales, J.C.; Coderch, L.; Parra, J.L. Skin delivery of antioxidant surfactants based on gallic acid and hydroxytyrosol. J. Pharm. Pharmacol. 2015, 67, 900–908. [Google Scholar] [CrossRef] [PubMed]
- Takeuchi, H.; Gomi, T.; Shishido, M.; Watanabe, H.; Suenobu, N. Neutrophil elastase contributes to extracellular matrix damage induced by chronic low-dose UV irradiation in a hairless mouse photoaging model. J. Dermatol. Sci. 2010, 60, 151–158. [Google Scholar] [CrossRef] [PubMed]
- Lombardi Borgia, S.; Schlupp, P.; Mehnert, W.; Schäfer-Korting, M. In vitro skin absorption and drug release―A comparison of six commercial prednicarbate preparations for topical use. Eur. J. Pharm. Biopharm. 2008, 68, 380–389. [Google Scholar] [CrossRef] [PubMed]
- Al-Roujayee, A.S. Naringenin improves the healing process of thermally-induced skin damage in rats. J. Intern. Med. Res. 2017, 45, 570–582. [Google Scholar] [CrossRef] [PubMed]
- Yao, K.; Chen, H.; Liu, K.; Langfald, A.; Yang, G.; Zhang, Y.; Yu, D.H.; Kim, M.O.; Lee, M.H.; Li, H.; et al. Kaempferol targets RSK2 and MSK1 to suppress UV radiation-induced skin cancer. Cancer Prev. Res. 2014, 7, 958–967. [Google Scholar] [CrossRef] [PubMed]








| Category | Compound | MW (Da) | log K’ | log P | Solubility in 20% PEG400 (mM) |
|---|---|---|---|---|---|
| Aglycone | Myricetin | 318.24 | 0.34 | 3.18 ± 0.07 | 0.53 ± 0.01 |
| Naringenin | 272.25 | 0.51 | 3.21 ± 0.04 | 3.62 ± 0.28 | |
| Quercetin | 302.24 | 0.51 | 3.32 ± 0.09 | 0.38 ± 0.0025 | |
| Kaempferol | 286.24 | 0.65 | 3.71 ± 0.57 | 0.19 ± 0.0047 | |
| Baicalein | 270.24 | 0.73 | 3.59 ± 0.08 | 0.0077 ± 0.0019 | |
| Glycoside | Naringin | 580.54 | 0.19 | 0.15 ± 0.04 | >20 |
| Rutin | 610.52 | 0.24 | 0.76 ± 0.22 | 1.84 ± 0.04 | |
| Baicalin | 446.36 | 0.42 | 0.89 ± 0.02 | 5.32 ± 0.15 |
| Category | Compound | O2•– Inhibition | TIsuperoxide | Elastase Inhibition | TIelastase |
|---|---|---|---|---|---|
| Aglycone | Myricetin | 42.07 ± 6.22 | 0.58 | 16.81 ± 4.76 | 0.23 |
| Naringenin | 19.72 ± 8.23 | 7.36 | 17.97 ± 6.62 | 6.71 | |
| Quercetin | 26.44 ± 8.07 | 0.89 | 28.67 ± 8.51 | 0.96 | |
| Kaempferol | 26.49 ± 8.41 | 2.97 | 18.11 ± 9.01 | 2.03 | |
| Baicalein | 77.48 ± 5.27 | 2.60 | 12.25 ± 2.15 | 0.41 | |
| Glycoside | Naringin | 21.51 ± 2.53 | 1.59 | 13.89 ± 9.67 | 1.02 |
| Rutin | 33.87 ± 8.67 | 0.39 | 13.16 ± 3.39 | 0.15 | |
| Baicalin | 75.73 ± 6.21 | 0.53 | 0 | 0 |
| Category | Compound | Hydrogen Bond Acceptor Number | Hydrogen Bond Donor Number | Total Polarity Surface | Molecular Volume |
|---|---|---|---|---|---|
| Aglycone | Myricetin | 8 | 6 | 147.68 | 225.35 |
| Naringenin | 5 | 3 | 86.99 | 204.42 | |
| Quercetin | 7 | 5 | 127.45 | 217.11 | |
| Kaempferol | 6 | 4 | 107.22 | 203.74 | |
| Baicalein | 5 | 3 | 86.99 | 195.85 | |
| Glycoside | Naringin | 14 | 8 | 225.05 | 437.66 |
| Rutin | 16 | 10 | 265.52 | 444.18 | |
| Baicalin | 11 | 6 | 183.21 | 316.93 |
| Compound | Ceramide II | Ceramide III | Ceramide VI | Palmitic Acid | Cholesteryl Sulfate | Cholesterol |
|---|---|---|---|---|---|---|
| Myricetin | −19.454 | −25.852 | −22.285 | −19.048 | −117.792 | - |
| Naringenin | −19.143 | −25.670 | −24.231 | −18.155 | −121.188 | - |
| Quercetin | −18.928 | −21.850 | −22.063 | −18.032 | −118.533 | - |
| Kaempferol | −21.053 | −20.831 | −19.639 | −17.399 | −119.485 | - |
| Baicalein | −18.841 | −20.637 | −20.427 | −18.073 | −118.632 | - |
| Naringin | −27.144 | −28.937 | −37.266 | −17.326 | −109.196 | - |
| Rutin | −33.007 | −35.341 | −38.940 | −23.502 | −109.365 | −47.1637 |
| Baicalin | −24.573 | −30.721 | −28.555 | −19.751 | −112.425 | −53.8485 |
© 2017 by the authors. Licensee MDPI, Basel, Switzerland. This article is an open access article distributed under the terms and conditions of the Creative Commons Attribution (CC BY) license (http://creativecommons.org/licenses/by/4.0/).
Share and Cite
Chuang, S.-Y.; Lin, Y.-K.; Lin, C.-F.; Wang, P.-W.; Chen, E.-L.; Fang, J.-Y. Elucidating the Skin Delivery of Aglycone and Glycoside Flavonoids: How the Structures Affect Cutaneous Absorption. Nutrients 2017, 9, 1304. https://doi.org/10.3390/nu9121304
Chuang S-Y, Lin Y-K, Lin C-F, Wang P-W, Chen E-L, Fang J-Y. Elucidating the Skin Delivery of Aglycone and Glycoside Flavonoids: How the Structures Affect Cutaneous Absorption. Nutrients. 2017; 9(12):1304. https://doi.org/10.3390/nu9121304
Chicago/Turabian StyleChuang, Shih-Yi, Yin-Ku Lin, Chwan-Fwu Lin, Pei-Wen Wang, En-Li Chen, and Jia-You Fang. 2017. "Elucidating the Skin Delivery of Aglycone and Glycoside Flavonoids: How the Structures Affect Cutaneous Absorption" Nutrients 9, no. 12: 1304. https://doi.org/10.3390/nu9121304
APA StyleChuang, S.-Y., Lin, Y.-K., Lin, C.-F., Wang, P.-W., Chen, E.-L., & Fang, J.-Y. (2017). Elucidating the Skin Delivery of Aglycone and Glycoside Flavonoids: How the Structures Affect Cutaneous Absorption. Nutrients, 9(12), 1304. https://doi.org/10.3390/nu9121304

