Protective Effects of the Food Supplement Flexovital in a Model of Cardiovascular-Kidney-Metabolic Syndrome in Mice
Highlights
- A cardiovascular-kidney-metabolic (CKM) syndrome model was used to evaluate the therapeutic potential of the nitric oxide-enhancing supplement Flexovital® (FLX).
- FLX prevented the onset and progression of CKM syndrome induced by unilateral nephrectomy and a Western diet.
- Key benefits included reductions in body fat, improved glucose regulation, lowered blood pressure, enhanced kidney function, and reduced kidney injuries.
- This study highlights nitric oxide deficiency as a key pathophysiological mechanism contributing to CKM syndrome.
- These findings underscore the need for human trials to validate FLX as an innovative and accessible treatment option for CKM disorders.
Abstract
1. Introduction
2. Material and Methods
2.1. Animals and Experimental Design
2.2. Metabolic Function
2.3. Cardiovascular Function
2.4. Renal Function
2.5. Histopathological Evaluation
2.6. Statistics
3. Results
3.1. Flexovital Improves Metabolic Parameters in Mice with UNX+WD
3.2. Flexovital Improves Cardiovascular Health in Mice with UNX+WD
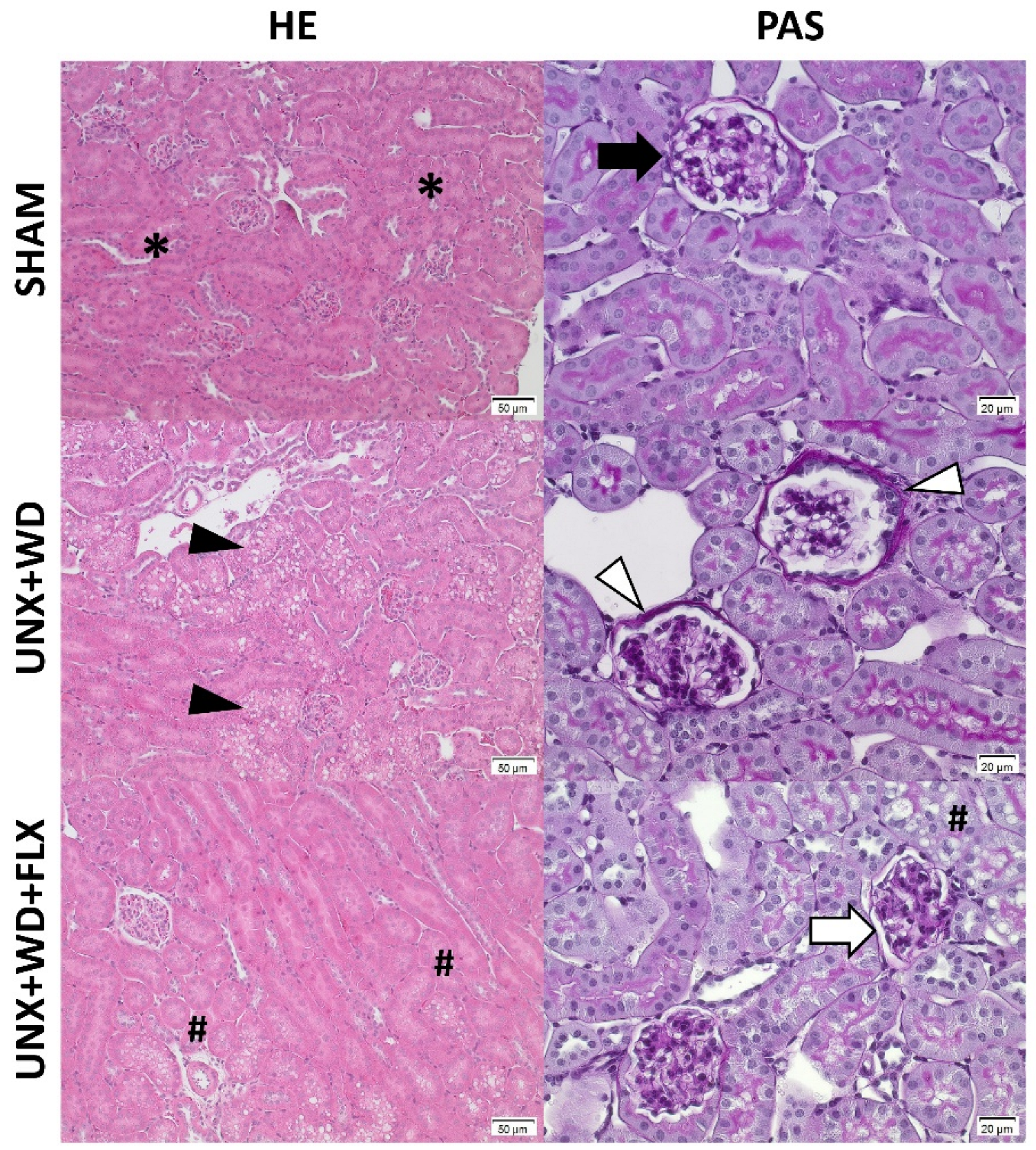
3.3. Flexovital Improves Kidney Function and Reduces Glomerular and Tubular Injuries in Mice with UNX+WD
4. Discussion
5. Conclusions and Future Perspectives
Author Contributions
Funding
Institutional Review Board Statement
Data Availability Statement
Acknowledgments
Conflicts of Interest
References
- National Kidney Foundation. K/DOQI clinical practice guidelines for chronic kidney disease: Evaluation, classification, and stratification. Am. J. Kidney Dis. 2002, 39, S1–S266. [Google Scholar]
- Jager, K.J.; Kovesdy, C.; Langham, R.; Rosenberg, M.; Jha, V.; Zoccali, C. A single number for advocacy and communication-worldwide more than 850 million individuals have kidney diseases. Nephrol. Dial. Transpl. 2019, 34, 1803–1805. [Google Scholar] [CrossRef] [PubMed]
- Chronic Kidney Disease Prognosis Consortium; Matsushita, K.; van der Velde, M.; Astor, B.C.; Woodward, M.; Levey, A.S.; de Jong, P.E.; Coresh, J.; Gansevoort, R.T. Association of estimated glomerular filtration rate and albuminuria with all-cause and cardiovascular mortality in general population cohorts: A collaborative meta-analysis. Lancet 2010, 375, 2073–2081. [Google Scholar] [CrossRef] [PubMed]
- Piepoli, M.F.; Hoes, A.W.; Agewall, S.; Albus, C.; Brotons, C.; Catapano, A.L.; Cooney, M.-T.; Corrà, U.; Cosyns, B.; Deaton, C.; et al. 2016 European Guidelines on cardiovascular disease prevention in clinical practice. Rev. Esp. Cardiol. (Engl. Ed.) 2016, 69, 939. [Google Scholar] [CrossRef]
- Briasoulis, A.; Bakris, G.L. Chronic kidney disease as a coronary artery disease risk equivalent. Curr. Cardiol. Rep. 2013, 15, 340. [Google Scholar] [CrossRef]
- Bansal, N.; Zelnick, L.R.; Scherzer, R.; Estrella, M.; Shlipak, M.G. Risk Factors and Outcomes Associated with Heart Failure with Preserved and Reduced Ejection Fraction in People with Chronic Kidney Disease. Circ. Heart Fail. 2024, 17, e011173. [Google Scholar] [CrossRef]
- Perk, J.; De Backer, G.; Gohlke, H.; Graham, I.; Reiner, Z.; Verschuren, M.; Albus, C.; Benlian, P.; Boysen, G.; Cifkova, R.; et al. European Guidelines on cardiovascular disease prevention in clinical practice (version 2012). The Fifth Joint Task Force of the European Society of Cardiology and Other Societies on Cardiovascular Disease Prevention in Clinical Practice (constituted by representatives of nine societies and by invited experts). Eur. Heart J. 2012, 33, 1635–1701. [Google Scholar] [CrossRef]
- Khedri, M.; Szummer, K.; Carrero, J.-J.; Jernberg, T.; Evans, M.; Jacobson, S.H.; Spaak, J. Systematic underutilisation of secondary preventive drugs in patients with acute coronary syndrome and reduced renal function. Eur. J. Prev. Cardiol. 2017, 24, 724–734. [Google Scholar] [CrossRef]
- Ndumele, C.E.; Rangaswami, J.; Chow, S.L.; Neeland, I.J.; Tuttle, K.R.; Khan, S.S.; Coresh, J.; Mathew, R.O.; Baker-Smith, C.M.; Carnethon, M.R.; et al. Cardiovascular-Kidney-Metabolic Health: A Presidential Advisory from the American Heart Association. Circulation 2023, 148, 1606–1635. [Google Scholar] [CrossRef]
- Arroyo-Johnson, C.; Mincey, K.D. Obesity Epidemiology Worldwide. Gastroenterol. Clin. N. Am. 2016, 45, 571–579. [Google Scholar] [CrossRef]
- Kovesdy, C.P.; Furth, S.L.; Zoccali, C.; World Kidney Day Steering Committee. Obesity and kidney disease: Hidden consequences of the epidemic. Future Sci. OA 2017, 3, FSO159. [Google Scholar] [CrossRef] [PubMed]
- Chang, A.; Van Horn, L.; Jacobs, D.R.; Liu, K.; Muntner, P.; Newsome, B.; Shoham, D.A.; Durazo-Arvizu, R.; Bibbins-Domingo, K.; Reis, J.; et al. Lifestyle-related factors, obesity, and incident microalbuminuria: The CARDIA (Coronary Artery Risk Development in Young Adults) study. Am. J. Kidney Dis. 2013, 62, 267–275. [Google Scholar] [CrossRef] [PubMed]
- Kramer, H.; Luke, A.; Bidani, A.; Cao, G.; Cooper, R.; McGee, D. Obesity and prevalent and incident CKD: The Hypertension Detection and Follow-Up Program. Am. J. Kidney Dis. 2005, 46, 587–594. [Google Scholar] [CrossRef] [PubMed]
- Calle, E.E.; Thun, M.J.; Petrelli, J.M.; Rodriguez, C.; Heath, C.W. Body-mass index and mortality in a prospective cohort of U.S. adults. N. Engl. J. Med. 1999, 341, 1097–1105. [Google Scholar] [CrossRef]
- Manson, J.E.; Willett, W.C.; Stampfer, M.J.; Colditz, G.A.; Hunter, D.J.; Hankinson, S.E.; Hennekens, C.H.; Speizer, F.E. Body weight and mortality among women. N. Engl. J. Med. 1995, 333, 677–685. [Google Scholar] [CrossRef]
- Landsberg, L.; Aronne, L.J.; Beilin, L.J.; Burke, V.; Igel, L.I.; Lloyd-Jones, D.; Sowers, J. Obesity-related hypertension: Pathogenesis, cardiovascular risk, and treatment: A position paper of The Obesity Society and the American Society of Hypertension. J. Clin. Hypertens. 2013, 15, 14–33. [Google Scholar] [CrossRef]
- Kahn, S.E.; Hull, R.L.; Utzschneider, K.M. Mechanisms linking obesity to insulin resistance and type 2 diabetes. Nature 2006, 444, 840–846. [Google Scholar] [CrossRef]
- Jordan, A.S.; McSharry, D.G.; Malhotra, A. Adult obstructive sleep apnoea. Lancet 2014, 383, 736–747. [Google Scholar] [CrossRef]
- Global Burden of Metabolic Risk Factors for Chronic Diseases Collaboration (BMI Mediated Effects); Lu, Y.; Hajifathalian, K.; Ezzati, M.; Woodward, M.; Rimm, E.B.; Danaei, G. Metabolic mediators of the effects of body-mass index, overweight, and obesity on coronary heart disease and stroke: A pooled analysis of 97 prospective cohorts with 1·8 million participants. Lancet 2014, 383, 970–983. [Google Scholar] [CrossRef]
- Piché, M.-E.; Poirier, P.; Lemieux, I.; Després, J.-P. Overview of Epidemiology and Contribution of Obesity and Body Fat Distribution to Cardiovascular Disease: An Update. Prog. Cardiovasc. Dis. 2018, 61, 103–113. [Google Scholar] [CrossRef]
- Sahakyan, K.R.; Somers, V.K.; Rodriguez-Escudero, J.P.; Hodge, D.O.; Carter, R.E.; Sochor, O.; Coutinho, T.; Jensen, M.D.; Roger, V.L.; Singh, P.; et al. Normal-Weight Central Obesity: Implications for Total and Cardiovascular Mortality. Ann. Intern. Med. 2015, 163, 827–835. [Google Scholar] [CrossRef] [PubMed]
- Rocha, V.Z.; Libby, P. Obesity, inflammation, and atherosclerosis. Nat. Rev. Cardiol. 2009, 6, 399–409. [Google Scholar] [CrossRef] [PubMed]
- Postorino, M.; Marino, C.; Tripepi, G.; Zoccali, C.; CREDIT (Calabria Registry of Dialysis and Transplantation) Working Group. Abdominal obesity and all-cause and cardiovascular mortality in end-stage renal disease. J. Am. Coll. Cardiol. 2009, 53, 1265–1272. [Google Scholar] [CrossRef] [PubMed]
- Kovesdy, C.P.; Czira, M.E.; Rudas, A.; Ujszaszi, A.; Rosivall, L.; Novak, M.; Kalantar-Zadeh, K.; Molnar, M.Z.; Mucsi, I. Body mass index, waist circumference and mortality in kidney transplant recipients. Am. J. Transpl. 2010, 10, 2644–2651. [Google Scholar] [CrossRef]
- Wang, Y.; Chen, X.; Song, Y.; Caballero, B.; Cheskin, L.J. Association between obesity and kidney disease: A systematic review and meta-analysis. Kidney Int. 2008, 73, 19–33. [Google Scholar] [CrossRef]
- Kramer, H. Kidney Disease and the Westernization and Industrialization of Food. Am. J. Kidney Dis. 2017, 70, 111–121. [Google Scholar] [CrossRef]
- Lin, J.; Fung, T.T.; Hu, F.B.; Curhan, G.C. Association of dietary patterns with albuminuria and kidney function decline in older white women: A subgroup analysis from the Nurses’ Health Study. Am. J. Kidney Dis. 2011, 57, 245–254. [Google Scholar] [CrossRef]
- Carlström, M.; Brown, R.D.; Yang, T.; Hezel, M.; Larsson, E.; Scheffer, P.G.; Teerlink, T.; Lundberg, J.O.; Persson, A.E.G. L-arginine or tempol supplementation improves renal and cardiovascular function in rats with reduced renal mass and chronic high salt intake. Acta Physiol. 2013, 207, 732–741. [Google Scholar] [CrossRef]
- Carlström, M.; Persson, A.E.G.; Larsson, E.; Hezel, M.; Scheffer, P.G.; Teerlink, T.; Weitzberg, E.; Lundberg, J.O. Dietary nitrate attenuates oxidative stress, prevents cardiac and renal injuries, and reduces blood pressure in salt-induced hypertension. Cardiovasc. Res. 2011, 89, 574–585. [Google Scholar] [CrossRef]
- Stamler, J. The INTERSALT Study: Background, methods, findings, and implications. Am. J. Clin. Nutr. 1997, 65, 626S–642S. [Google Scholar] [CrossRef]
- Tayo, B.O.; Luke, A.; McKenzie, C.A.; Kramer, H.; Cao, G.; Durazo-Arvizu, R.; Forrester, T.; Adeyemo, A.A.; Cooper, R.S. Patterns of sodium and potassium excretion and blood pressure in the African Diaspora. J. Hum. Hypertens. 2012, 26, 315–324. [Google Scholar] [CrossRef] [PubMed]
- Carlstrom, M.; Montenegro, M.F. Therapeutic value of stimulating the nitrate-nitrite-nitric oxide pathway to attenuate oxidative stress and restore nitric oxide bioavailability in cardiorenal disease. J. Intern. Med. 2019, 285, 2–18. [Google Scholar] [CrossRef] [PubMed]
- Carlström, M. Nitric oxide signalling in kidney regulation and cardiometabolic health. Nat. Rev. Nephrol. 2021, 17, 575–590. [Google Scholar] [CrossRef] [PubMed]
- Carvalho, L.R.R.A.; Shimari, M.; Boeder, A.M.; Zhuge, Z.; Cai, M.; Leijding, C.; Gastaldello, S.; Kleschyov, A.L.; Schiffer, T.A.; Guimarães, D.D.; et al. A novel model of cardiovascular-kidney-metabolic syndrome combining unilateral nephrectomy and high-salt-sugar-fat diet in mice. Lab Anim. 2024, 53, 336–346. [Google Scholar] [CrossRef]
- Lax, D.S.; Benstein, J.A.; Tolbert, E.; Dworkin, L.D. Effects of salt restriction on renal growth and glomerular injury in rats with remnant kidneys. Kidney Int. 1992, 41, 1527–1534. [Google Scholar] [CrossRef][Green Version]
- Lew, Q.-L.J.; Jafar, T.H.; Koh, H.W.L.; Jin, A.; Chow, K.Y.; Yuan, J.-M.; Koh, W.-P. Red Meat Intake and Risk of ESRD. J. Am. Soc. Nephrol. 2017, 28, 304–312. [Google Scholar] [CrossRef]
- Kramer, H. Diet and Chronic Kidney Disease. Adv. Nutr. 2019, 10, S367–S379. [Google Scholar] [CrossRef]
- Schiffer, T.A.; Gustafsson, H.; Palm, F. Kidney outer medulla mitochondria are more efficient compared with cortex mitochondria as a strategy to sustain ATP production in a suboptimal environment. Am. J. Physiol. Renal Physiol. 2018, 315, F677–F681. [Google Scholar] [CrossRef]
- Carlström, M.; Sällström, J.; Skøtt, O.; Larsson, E.; Persson, A.E.G. Uninephrectomy in young age or chronic salt loading causes salt-sensitive hypertension in adult rats. Hypertension 2007, 49, 1342–1350. [Google Scholar] [CrossRef]
- Kikuchi, H.; Chou, C.-L.; Yang, C.-R.; Chen, L.; Jung, H.J.; Park, E.; Limbutara, K.; Carter, B.; Yang, Z.-H.; Kun, J.F.; et al. Signaling mechanisms in renal compensatory hypertrophy revealed by multi-omics. Nat. Commun. 2023, 14, 3481. [Google Scholar] [CrossRef]
- Ito, K.; Chen, J.; Vaughan, E.D.; Seshan, S.V.; Poppas, D.P.; Felsen, D. Dietary L-arginine supplementation improves the glomerular filtration rate and renal blood flow after 24 hours of unilateral ureteral obstruction in rats. J. Urol. 2004, 171, 926–930. [Google Scholar] [CrossRef] [PubMed]
- Pillai, S.M.; Seebeck, P.; Fingerhut, R.; Huang, J.; Ming, X.-F.; Yang, Z.; Verrey, F. Kidney Mass Reduction Leads to l-Arginine Metabolism-Dependent Blood Pressure Increase in Mice. J. Am. Heart Assoc. 2018, 7, e008025. [Google Scholar] [CrossRef] [PubMed]
- Morris, R.C.; Pravenec, M.; Šilhavý, J.; DiCarlo, S.E.; Kurtz, T.W. Small Amounts of Inorganic Nitrate or Beetroot Provide Substantial Protection from Salt-Induced Increases in Blood Pressure. Hypertension 2019, 73, 1042–1048. [Google Scholar] [CrossRef] [PubMed]
- Clifford, T.; Howatson, G.; West, D.J.; Stevenson, E.J. The potential benefits of red beetroot supplementation in health and disease. Nutrients 2015, 7, 2801–2822. [Google Scholar] [CrossRef] [PubMed]
- Liu, Q.; Chen, J.; Zeng, A.; Song, L. Pharmacological functions of salidroside in renal diseases: Facts and perspectives. Front. Pharmacol. 2023, 14, 1309598. [Google Scholar] [CrossRef]
- Bernatoniene, J.; Jakstas, V.; Kopustinskiene, D.M. Phenolic Compounds of Rhodiola rosea L. as the Potential Alternative Therapy in the Treatment of Chronic Diseases. Int. J. Mol. Sci. 2023, 24, 12293. [Google Scholar] [CrossRef]
- Fu, H.; Zhang, Y.; An, Q.; Wang, D.; You, S.; Zhao, D.; Zhang, J.; Wang, C.; Li, M. Anti-Photoaging Effect of Rhodiola rosea Fermented by Lactobacillus plantarum on UVA-Damaged Fibroblasts. Nutrients 2022, 14, 2324. [Google Scholar] [CrossRef]
- Krajka-Kuźniak, V.; Paluszczak, J.; Szaefer, H.; Baer-Dubowska, W. Betanin, a beetroot component, induces nuclear factor erythroid-2-related factor 2-mediated expression of detoxifying/antioxidant enzymes in human liver cell lines. Br. J. Nutr. 2013, 110, 2138–2149. [Google Scholar] [CrossRef]
- Li, S.; Jin, H.; Sun, G.; Zhang, C.; Wang, J.; Xu, H.; Zhang, D.; Wang, S. Dietary Inorganic Nitrate Protects Hepatic Ischemia-Reperfusion Injury Through NRF2-Mediated Antioxidative Stress. Front. Pharmacol. 2021, 12, 634115. [Google Scholar] [CrossRef]
- Milanese, C.; Tapias, V.; Gabriels, S.; Cerri, S.; Levandis, G.; Blandini, F.; Tresini, M.; Shiva, S.; Greenamyre, J.T.; Gladwin, M.T.; et al. Mitochondrial Complex I Reversible S-Nitrosation Improves Bioenergetics and Is Protective in Parkinson’s Disease. Antioxid. Redox Signal. 2018, 28, 44–61. [Google Scholar] [CrossRef]








Disclaimer/Publisher’s Note: The statements, opinions and data contained in all publications are solely those of the individual author(s) and contributor(s) and not of MDPI and/or the editor(s). MDPI and/or the editor(s) disclaim responsibility for any injury to people or property resulting from any ideas, methods, instructions or products referred to in the content. |
© 2024 by the authors. Licensee MDPI, Basel, Switzerland. This article is an open access article distributed under the terms and conditions of the Creative Commons Attribution (CC BY) license (https://creativecommons.org/licenses/by/4.0/).
Share and Cite
Carvalho, L.R.R.A.; Tydén, M.; Shimari, M.; Zhuge, Z.; Schiffer, T.A.; de Oliveira Monteiro, M.M.; Lundberg, J.O.; Weitzberg, E.; Andersson, D.C.; Fellström, B.; et al. Protective Effects of the Food Supplement Flexovital in a Model of Cardiovascular-Kidney-Metabolic Syndrome in Mice. Nutrients 2024, 16, 4105. https://doi.org/10.3390/nu16234105
Carvalho LRRA, Tydén M, Shimari M, Zhuge Z, Schiffer TA, de Oliveira Monteiro MM, Lundberg JO, Weitzberg E, Andersson DC, Fellström B, et al. Protective Effects of the Food Supplement Flexovital in a Model of Cardiovascular-Kidney-Metabolic Syndrome in Mice. Nutrients. 2024; 16(23):4105. https://doi.org/10.3390/nu16234105
Chicago/Turabian StyleCarvalho, Lucas Rannier Ribeiro Antonino, Maria Tydén, Miho Shimari, Zhengbing Zhuge, Tomas A. Schiffer, Matheus Morais de Oliveira Monteiro, Jon O. Lundberg, Eddie Weitzberg, Daniel C. Andersson, Bengt Fellström, and et al. 2024. "Protective Effects of the Food Supplement Flexovital in a Model of Cardiovascular-Kidney-Metabolic Syndrome in Mice" Nutrients 16, no. 23: 4105. https://doi.org/10.3390/nu16234105
APA StyleCarvalho, L. R. R. A., Tydén, M., Shimari, M., Zhuge, Z., Schiffer, T. A., de Oliveira Monteiro, M. M., Lundberg, J. O., Weitzberg, E., Andersson, D. C., Fellström, B., & Carlström, M. (2024). Protective Effects of the Food Supplement Flexovital in a Model of Cardiovascular-Kidney-Metabolic Syndrome in Mice. Nutrients, 16(23), 4105. https://doi.org/10.3390/nu16234105

