Rosuvastatin Attenuates Vascular Dysfunction Induced by High-Fructose Diets and Allergic Asthma in Rats
Abstract
1. Introduction
2. Materials and Methods
2.1. Drugs
2.2. Animals
2.3. Experimental Design
2.4. Measurement of Anthropometric Parameters
2.5. Analysis of Blood Parameters
2.6. Organ Bath Myography System Protocol
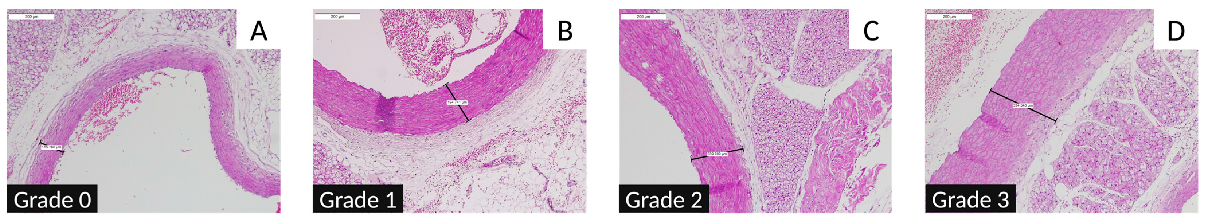
2.7. Histomorphometric Analysis of Aortic and Pulmonary Tissues
2.8. Statistical Analysis
3. Results
3.1. Anthropometric Parameters
3.2. The Impact on Serum Biomarkers
3.3. Organ Bath Vascular Reactivity
3.3.1. Evaluation of Aortic Reactivity and Vascular Relaxation Induced by Rosuvastatin and Acetylcholine
3.3.2. Assessment of Rosuvastatin and Acetylcholine-Induced Aortic Relaxation Following L-NAME Incubation
3.4. Histomorphometric Analysis of Pulmonary and Vascular Tissues
4. Discussion
5. Conclusions
Supplementary Materials
Author Contributions
Funding
Institutional Review Board Statement
Informed Consent Statement
Data Availability Statement
Acknowledgments
Conflicts of Interest
Appendix A
| Category | Nutrient | UM | Quantity |
|---|---|---|---|
| General | Energy | Kj/g | 16.00 |
| Fat | g/kg | 50.00 | |
| Crude protein | g/kg | 180.00 | |
| Arginine | g/kg | 4.30 | |
| Asparagine | g/kg | 4.00 | |
| Glutamic acid | g/kg | 40.00 | |
| Histidine | g/kg | 2.80 | |
| Isoleucine | g/kg | 6.20 | |
| Leucine | g/kg | 10.70 | |
| Lysine | g/kg | 9.20 | |
| Methionine + Cystine | g/kg | 9.80 | |
| Phenylalanine + Tyrosine | g/kg | 10.20 | |
| Threonine | g/kg | 6.20 | |
| Tryptophan | g/kg | 2.00 | |
| Valine | g/kg | 7.40 | |
| Minerals | Calcium | g/kg | 5.00 |
| Magnesium | g/kg | 0.50 | |
| Chlorine | g/kg | 0.50 | |
| Phosphorus | g/kg | 3.00 | |
| Potassium | g/kg | 3.60 | |
| Sodium | g/kg | 0.50 | |
| Copper | g/kg | 5.00 | |
| Iodine | g/kg | 0.15 | |
| Iron | g/kg | 35.00 | |
| Selenium | g/kg | 0.15 | |
| Vitamins | Thiamine (B1) | mg/kg | 4.00 |
| Riboflavin (B2) | mg/kg | 3.00 | |
| Pyridoxine (B6) | mg/kg | 6.00 | |
| Cyanocobalamin (B12) | mg/kg | 50.0 | |
| Menadione (K) | mg/kg | 1.00 | |
| Retinol (A) | mg/kg | 1.20 | |
| Cholecalciferol (D3) | mg/kg | 25.00 | |
| Tocopherol (E) | mg/kg | 27.00 | |
| Choline | mg/kg | 750.00 |
References
- Madan, S.A.; John, F.; Pyrsopoulos, N.; Pitchumoni, C.S. Nonalcoholic Fatty Liver Disease and Carotid Artery Atherosclerosis in Children and Adults: A Meta-Analysis. Eur. J. Gastroenterol. Hepatol. 2015, 27, 1237–1248. [Google Scholar] [CrossRef] [PubMed]
- Popkin, B.M.; Adair, L.S.; Ng, S.W. Global Nutrition Transition and the Pandemic of Obesity in Developing Countries. Nutr. Rev. 2012, 70, 3–21. [Google Scholar] [CrossRef] [PubMed]
- Hill, R.; Baker, N.; Chaikoff, I.L. Altered Metabolic Patterns Induced in the Normal Rat by Feeding an Adequate Diet Containing Fructose as Sole Carbohydrate. J. Biol. Chem. 1954, 209, 705–716. [Google Scholar] [CrossRef] [PubMed]
- Bohannon, N.V.; Karam, J.H.; Forsham, P.H. Endocrine Responses to Sugar Ingestion in Man. Advantages of Fructose over Sucrose and Glucose. J. Am. Diet. Assoc. 1980, 76, 555–560. [Google Scholar] [CrossRef] [PubMed]
- Malik, V.S.; Popkin, B.M.; Bray, G.A.; Després, J.-P.; Hu, F.B. Sugar-Sweetened Beverages, Obesity, Type 2 Diabetes Mellitus, and Cardiovascular Disease Risk. Circulation 2010, 121, 1356–1364. [Google Scholar] [CrossRef]
- Bray, G.A.; Nielsen, S.J.; Popkin, B.M. Consumption of High-Fructose Corn Syrup in Beverages May Play a Role in the Epidemic of Obesity. Am. J. Clin. Nutr. 2004, 79, 537–543. [Google Scholar] [CrossRef]
- Su, X.; Ren, Y.; Li, M.; Zhao, X.; Kong, L.; Kang, J. Association between Lipid Profile and the Prevalence of Asthma: A Meta-Analysis and Systemic Review. Curr. Med. Res. Opin. 2018, 34, 423–433. [Google Scholar] [CrossRef]
- Peng, J.; Huang, Y. Meta-Analysis of the Association between Asthma and Serum Levels of High-Density Lipoprotein Cholesterol and Low-Density Lipoprotein Cholesterol. Ann. Allergy Asthma Immunol. 2017, 118, 61–65. [Google Scholar] [CrossRef]
- Haidar, L.; Tamas, T.-P.; Stolz, F.; Petrisor Patrascu, R.F.; Chen, K.-W.; Panaitescu, C. Symptom Patterns and Comparison of Diagnostic Methods in Ragweed Pollen Allergy. Exp. Ther. Med. 2021, 21, 525. [Google Scholar] [CrossRef]
- Zbîrcea, L.-E.; Buzan, M.-R.; Grijincu, M.; Babaev, E.; Stolz, F.; Valenta, R.; Păunescu, V.; Panaitescu, C.; Chen, K.-W. Relationship between IgE Levels Specific for Ragweed Pollen Extract, Amb a 1 and Cross-Reactive Allergen Molecules. Int. J. Mol. Sci. 2023, 24, 4040. [Google Scholar] [CrossRef]
- Buzan, M.; Zbîrcea, L.; Gattinger, P.; Babaev, E.; Stolz, F.; Valenta, R.; Păunescu, V.; Panaitescu, C.; Chen, K. Complex IgE Sensitization Patterns in Ragweed Allergic Patients: Implications for Diagnosis and Specific Immunotherapy. Clin. Transl. Allergy 2022, 12, e12179. [Google Scholar] [CrossRef] [PubMed]
- Leishangthem, G.D.; Mabalirajan, U.; Singh, V.P.; Agrawal, A.; Ghosh, B.; Dinda, A.K. Ultrastructural Changes of Airway in Murine Models of Allergy and Diet-Induced Metabolic Syndrome. Int. Sch. Res. Not. 2013, 2013, 261297. [Google Scholar] [CrossRef] [PubMed]
- Hernández-Díazcouder, A.; González-Ramírez, J.; Sanchez, F.; Leija-Martínez, J.J.; Martínez-Coronilla, G.; Amezcua-Guerra, L.M.; Sánchez-Muñoz, F. Negative Effects of Chronic High Intake of Fructose on Lung Diseases. Nutrients 2022, 14, 4089. [Google Scholar] [CrossRef] [PubMed]
- DeChristopher, L.R.; Tucker, K.L. Excess Free Fructose, High-Fructose Corn Syrup and Adult Asthma: The Framingham Offspring Cohort. Br. J. Nutr. 2018, 119, 1157–1167. [Google Scholar] [CrossRef]
- DeChristopher, L.R.; Tucker, K.L. Excess Free Fructose, Apple Juice, High Fructose Corn Syrup and Childhood Asthma Risk—The National Children’s Study. Nutr. J. 2020, 19, 60. [Google Scholar] [CrossRef]
- Serb, A.-F.; Novaconi, C.; Georgescu, M.; Puiu, M.; Dema, A.; Onulov, R.; Sisu, E. Preliminary Analysis of the Glycolipid Profile in Secondary Brain Tumors. BioMed Res. Int. 2022, 2022, 4293172. [Google Scholar] [CrossRef]
- Winder, B.; Kiechl, S.J.; Gruber, N.M.; Bernar, B.; Gande, N.; Staudt, A.; Stock, K.; Hochmayr, C.; Geiger, R.; Griesmacher, A.; et al. The Association of Allergic Asthma and Carotid Intima-Media Thickness in Adolescence: Data of the Prospective Early Vascular Ageing (EVA)-Tyrol Cohort Study. BMC Cardiovasc. Disord. 2022, 22, 11. [Google Scholar] [CrossRef]
- Tattersall, M.C.; Dasiewicz, A.S.; McClelland, R.L.; Gepner, A.D.; Kalscheur, M.M.; Field, M.E.; Heckbert, S.R.; Hamdan, M.H.; Stein, J.H. Persistent Asthma Is Associated With Increased Risk for Incident Atrial Fibrillation in the MESA. Circ. Arrhythmia Electrophysiol. 2020, 13, e007685. [Google Scholar] [CrossRef]
- Tuleta, I.; Skowasch, D.; Aurich, F.; Eckstein, N.; Schueler, R.; Pizarro, C.; Schahab, N.; Nickenig, G.; Schaefer, C.; Pingel, S. Asthma Is Associated with Atherosclerotic Artery Changes. PLoS ONE 2017, 12, e0186820. [Google Scholar] [CrossRef]
- Bäck, M.; Hansson, G.K. Anti-Inflammatory Therapies for Atherosclerosis. Nat. Rev. Cardiol. 2015, 12, 199–211. [Google Scholar] [CrossRef]
- Eltzschig, H.K.; Carmeliet, P. Hypoxia and inflammation. N. Engl. J. Med. 2011, 364, 656–665. [Google Scholar] [CrossRef] [PubMed] [PubMed Central]
- Engin, A. Endothelial Dysfunction in Obesity. Adv. Exp. Med. Biol. 2017, 960, 345–379. [Google Scholar] [CrossRef] [PubMed]
- Manti, S.; Cuppari, C.; Marseglia, L.; D’Angelo, G.; Arrigo, T.; Gitto, E.; Leonardi, S.; Salpietro, C. Association between Allergies and Hypercholesterolemia: A Systematic Review. Int. Arch. Allergy Immunol. 2017, 174, 67–76. [Google Scholar] [CrossRef] [PubMed]
- Li, Y.; Feng, Y.; Li, S.; Ma, Y.; Lin, J.; Wan, J.; Zhao, M. The Atherogenic Index of Plasma (AIP) Is a Predictor for the Severity of Coronary Artery Disease. Front. Cardiovasc. Med. 2023, 10, 1140215. [Google Scholar] [CrossRef]
- Wu, T.-T.; Gao, Y.; Zheng, Y.-Y.; Ma, Y.-T.; Xie, X. Atherogenic Index of Plasma (AIP): A Novel Predictive Indicator for the Coronary Artery Disease in Postmenopausal Women. Lipids Health Dis. 2018, 17, 197. [Google Scholar] [CrossRef]
- Cai, G.; Shi, G.; Xue, S.; Lu, W. The Atherogenic Index of Plasma Is a Strong and Independent Predictor for Coronary Artery Disease in the Chinese Han Population. Medicine 2017, 96, e8058. [Google Scholar] [CrossRef]
- Bo, M.S.; Cheah, W.L.; Lwin, S.; Moe Nwe, T.; Win, T.T.; Aung, M. Understanding the Relationship between Atherogenic Index of Plasma and Cardiovascular Disease Risk Factors among Staff of an University in Malaysia. J. Nutr. Metab. 2018, 2018, 7027624. [Google Scholar] [CrossRef]
- Endo, A. A Historical Perspective on the Discovery of Statins. Proc. Jpn. Acad. Ser. B 2010, 86, 484–493. [Google Scholar] [CrossRef]
- Oesterle, A.; Laufs, U.; Liao, J.K. Pleiotropic Effects of Statins on the Cardiovascular System. Circ. Res. 2017, 120, 229–243. [Google Scholar] [CrossRef]
- Okyay, K. Pleiotropic Effects of Statins: New Evidences. Turk. Kardiyol. Dern. Ars.—Arch. Turk. Soc. Cardiol. 2021, 49, 533–535. [Google Scholar] [CrossRef]
- Verma, K.; Shukla, R.; Dwivedi, J.; Paliwal, S.; Sharma, S. New Insights on Mode of Action of Vasorelaxant Activity of Simvastatin. Inflammopharmacology 2023, 31, 1279–1288. [Google Scholar] [CrossRef] [PubMed]
- Bradbury, P.; Traini, D.; Ammit, A.J.; Young, P.M.; Ong, H.X. Repurposing of Statins via Inhalation to Treat Lung Inflammatory Conditions. Adv. Drug Deliv. Rev. 2018, 133, 93–106. [Google Scholar] [CrossRef] [PubMed]
- Olgun Yildizeli, S.; Kocakaya, D.; Balcan, B.; Ikinci, A.; Ahiskali, R.; Ceyhan, B. Influence of Rosuvastatin Treatment on Airway Inflammatory Markers and Health Related Quality of Life Domains in Asthmatic Patients. Marmara Med. J. 2017, 30, 73–81. [Google Scholar] [CrossRef][Green Version]
- Huang, C.-F.; Peng, H.-J.; Wu, C.-C.; Lo, W.-T.; Shih, Y.-L.; Wu, T.-C. Effect of Oral Administration with Pravastatin and Atorvastatin on Airway Hyperresponsiveness and Allergic Reactions in Asthmatic Mice. Ann. Allergy Asthma Immunol. 2013, 110, 11–17. [Google Scholar] [CrossRef]
- Amison, R.T.; Page, C.P. Novel Pharmacological Therapies for the Treatment of Bronchial Asthma. Minerva Med. 2022, 113, 31–50. [Google Scholar] [CrossRef]
- Global Initiative for Asthma. Global Strategy for Asthma Management and Prevention, 2024. Updated May 2024. Available online: https://ginasthma.org/2024-report/ (accessed on 14 June 2024).
- Capra, V.; Rovati, G.E. Rosuvastatin Inhibits Human Airway Smooth Muscle Cells Mitogenic Response to Eicosanoid Contractile Agents. Pulm. Pharmacol. Ther. 2014, 27, 10–16. [Google Scholar] [CrossRef]
- Naples, M.; Federico, L.M.; Xu, E.; Nelken, J.; Adeli, K. Effect of Rosuvastatin on Insulin Sensitivity in an Animal Model of Insulin Resistance: Evidence for Statin-Induced Hepatic Insulin Sensitization. Atherosclerosis 2008, 198, 94–103. [Google Scholar] [CrossRef]
- López-Canales, J.S.; Lozano-Cuenca, J.; López-Canales, O.A.; Aguilar-Carrasco, J.C.; Aranda-Zepeda, L.; López-Sánchez, P.; Castillo-Henkel, E.F.; López-Mayorga, R.M.; Valencia-Hernández, I. Pharmacological Characterization of Mechanisms Involved in the Vasorelaxation Produced by Rosuvastatin in Aortic Rings from Rats with a Cafeteria-style Diet. Clin. Exp. Pharmacol. Physiol. 2015, 42, 653–661. [Google Scholar] [CrossRef]
- Baena, M.; Sangüesa, G.; Dávalos, A.; Latasa, M.-J.; Sala-Vila, A.; Sánchez, R.M.; Roglans, N.; Laguna, J.C.; Alegret, M. Fructose, but Not Glucose, Impairs Insulin Signaling in the Three Major Insulin-Sensitive Tissues. Sci. Rep. 2016, 6, 26149. [Google Scholar] [CrossRef]
- Zimbru, R.-I.; Zimbru, E.-L.; Ordodi, V.-L.; Bojin, F.-M.; Crîsnic, D.; Grijincu, M.; Mirica, S.-N.; Tănasie, G.; Georgescu, M.; Huțu, I.; et al. The Impact of High-Fructose Diet and Co-Sensitization to House Dust Mites and Ragweed Pollen on the Modulation of Airway Reactivity and Serum Biomarkers in Rats. Int. J. Mol. Sci. 2024, 25, 8868. [Google Scholar] [CrossRef]
- Handayani, D.; Febrianingsih, E.; Desi Kurniawati, A.; Kusumastuty, I.; Nurmalitasari, S.; Widyanto, R.M.; Oktaviani, D.N.; Maghfirotun Innayah, A.; Sulistyowati, E. High-Fructose Diet Initially Promotes Increased Aortic Wall Thickness, Liver Steatosis, and Cardiac Histopathology Deterioration, but Does Not Increase Body Fat Index. J. Public Health Res. 2021, 10, 2181. [Google Scholar] [CrossRef] [PubMed]
- Lustig, R.H. Fructose: It’s “Alcohol Without the Buzz”. Adv. Nutr. 2013, 4, 226–235. [Google Scholar] [CrossRef] [PubMed]
- Arslan, S.O.; Doğan, M.F.; Çam, S.A.; Omar, I.A.; Uysal, F.; Parlar, A.; Andaç, A.C.; Yildiz, O. Hydroxychloroquine Induces Endothelium-Dependent and Endothelium-Independent Relaxation of Rat Aorta. Turk. J. Med. Sci. 2022, 52, 848–857. [Google Scholar] [CrossRef] [PubMed]
- McLaughlin, D.K.; Hoffmann, C.; Sasaki, M.; Li, F.; Ma, J.; Cui, X.; Sutliff, R.L.; Brewster, L.P. Comparison of Arterial Storage Conditions for Delayed Arterial Ring Testing. JVS-Vasc. Sci. 2023, 4, 100122. [Google Scholar] [CrossRef]
- Kirstetter, P.; Lagneau, F.; Lucas, O.; Krupa, Y.; Marty, J. Role of Endothelium in the Modulation of Isoflurane-Induced Vasodilatation in Rat Thoracic Aorta. Br. J. Anaesth. 1997, 79, 84–87. [Google Scholar] [CrossRef]
- Simões, F.V.; De Batista, P.R.; Botelho, T.; Ribeiro-Júnior, R.F.; Padilha, A.S.; Vassallo, D.V. Treatment with High Dose of Atorvastatin Reduces Vascular Injury in Diabetic Rats. Pharmacol. Rep. 2016, 68, 865–873. [Google Scholar] [CrossRef]
- White, J.S. Challenging the Fructose Hypothesis: New Perspectives on Fructose Consumption and Metabolism. Adv. Nutr. 2013, 4, 246–256. [Google Scholar] [CrossRef]
- Ishimoto, T.; Lanaspa, M.A.; Le, M.T.; Garcia, G.E.; Diggle, C.P.; MacLean, P.S.; Jackman, M.R.; Asipu, A.; Roncal-Jimenez, C.A.; Kosugi, T.; et al. Opposing Effects of Fructokinase C and A Isoforms on Fructose-Induced Metabolic Syndrome in Mice. Proc. Natl. Acad. Sci. USA 2012, 109, 4320–4325. [Google Scholar] [CrossRef]
- Mamikutty, N.; Thent, Z.C.; Sapri, S.R.; Sahruddin, N.N.; Mohd Yusof, M.R.; Haji Suhaimi, F. The Establishment of Metabolic Syndrome Model by Induction of Fructose Drinking Water in Male Wistar Rats. BioMed Res. Int. 2014, 2014, 263897. [Google Scholar] [CrossRef]
- Wang, Y.; Qi, W.; Song, G.; Pang, S.; Peng, Z.; Li, Y.; Wang, P. High-Fructose Diet Increases Inflammatory Cytokines and Alters Gut Microbiota Composition in Rats. Mediat. Inflamm. 2020, 2020, 6672636. [Google Scholar] [CrossRef]
- Wu, H.-W.; Ren, L.-F.; Zhou, X.; Han, D.-W. A High-Fructose Diet Induces Hippocampal Insulin Resistance and Exacerbates Memory Deficits in Male Sprague-Dawley Rats. Nutr. Neurosci. 2015, 18, 323–328. [Google Scholar] [CrossRef] [PubMed]
- Abd El-Haleim, E.A.; Bahgat, A.K.; Saleh, S. Resveratrol and Fenofibrate Ameliorate Fructose-Induced Nonalcoholic Steatohepatitis by Modulation of Genes Expression. World J. Gastroenterol. 2016, 22, 2931. [Google Scholar] [CrossRef] [PubMed]
- Miranda, C.A.; Schönholzer, T.E.; Klöppel, E.; Sinzato, Y.K.; Volpato, G.T.; Damasceno, D.C.; Campos, K.E. Repercussions of Low Fructose-Drinking Water in Male Rats. An. Acad. Bras. Ciênc. 2019, 91, e20170705. [Google Scholar] [CrossRef] [PubMed]
- Wang, Z.; Yang, Y.; Xiang, X.; Zhu, Y.; Men, J.; He, M. Estimation of the Normal Range of Blood Glucose in Rats. Wei Sheng Yan Jiu = J. Hyg. Res. 2010, 39, 133–137+142. (In Chinese) [Google Scholar] [PubMed]
- Bogomilov, I.; Boyadjieva, N.; Nikolov, R. New Insight into Selective Serotonin Receptor Agonists in the Central Nervous System, Studied with WAY163909 in Obese and Diabetic Wistar Rats. Brain Sci. 2023, 13, 545. [Google Scholar] [CrossRef]
- DeChristopher, L.R. 40 Years of Adding More Fructose to High Fructose Corn Syrup than Is Safe, through the Lens of Malabsorption and Altered Gut Health–Gateways to Chronic Disease. Nutr. J. 2024, 23, 16. [Google Scholar] [CrossRef]
- Jalal, R.; Bagheri, S.M.; Moghimi, A.; Rasuli, M.B. Hypoglycemic Effect of Aqueous Shallot and Garlic Extracts in Rats with Fructose-Induced Insulin Resistance. J. Clin. Biochem. Nutr. 2007, 41, 218–223. [Google Scholar] [CrossRef]
- Brnoliakova, Z.; Knezl, V.; Sotnikova, R.; Gasparova, Z. Metabolic Syndrome in Hypertriglyceridemic Rats: Effects of Antioxidants. Physiol. Res. 2023, 72, S31–S35. [Google Scholar] [CrossRef]
- Alwahsh, S.M.; Xu, M.; Schultze, F.C.; Wilting, J.; Mihm, S.; Raddatz, D.; Ramadori, G. Combination of Alcohol and Fructose Exacerbates Metabolic Imbalance in Terms of Hepatic Damage, Dyslipidemia, and Insulin Resistance in Rats. PLoS ONE 2014, 9, e104220. [Google Scholar] [CrossRef]
- Kawasaki, T.; Igarashi, K.; Koeda, T.; Sugimoto, K.; Nakagawa, K.; Hayashi, S.; Yamaji, R.; Inui, H.; Fukusato, T.; Yamanouchi, T. Rats Fed Fructose-Enriched Diets Have Characteristics of Nonalcoholic Hepatic Steatosis. J. Nutr. 2009, 139, 2067–2071. [Google Scholar] [CrossRef]
- van Zelst, C.M.; de Boer, G.M.; Türk, Y.; van Huisstede, A.; In’t Veen, J.C.C.M.; Birnie, E. Association between Elevated Serum Triglycerides and Asthma in Patients with Obesity: An Explorative Study. Allergy Asthma Proc. 2021, 42, 71–76. [Google Scholar] [CrossRef] [PubMed]
- Lozano-Cuenca, J.; Valencia-Hernández, I.; López-Canales, O.A.; Flores-Herrera, H.; López-Mayorga, R.M.; Castillo-Henkel, E.F.; López-Canales, J.S. Possible Mechanisms Involved in the Effect of the Subchronic Administration of Rosuvastatin on Endothelial Function in Rats with Metabolic Syndrome. Braz. J. Med. Biol. Res. 2020, 53, e9304. [Google Scholar] [CrossRef] [PubMed]
- ŞahiNtürk, S. Rosuvastatin Relaxes Rat Thoracic Aorta, Pulmonary Artery, and Trachea via Nitric Oxide, Prostanoids, and Potassium Channels. Cukurova Med. J. 2023, 48, 419–431. [Google Scholar] [CrossRef]
- Yoon, S.; Lee, E.; Kim, M.; Kim, I. Acute Exposure to Fructose Impairs Endothelium-Dependent Relaxation via Oxidative Stress in Isolated Rat Aortic Rings. J. Vasc. Res. 2020, 57, 213–222. [Google Scholar] [CrossRef]
- El-Bassossy, H.M.; El-Moselhy, M.A.; Mahmoud, M.F. Pentoxifylline Alleviates Vascular Impairment in Insulin Resistance via TNF-α Inhibition. Naunyn-Schmiedeberg’s Arch. Pharmacol. 2011, 384, 277–285. [Google Scholar] [CrossRef]
- Mahmoud, M.F.; El-Nagar, M.; El-Bassossy, H.M. Anti-Inflammatory Effect of Atorvastatin on Vascular Reactivity and Insulin Resistance in Fructose Fed Rats. Arch. Pharm. Res. 2012, 35, 155–162. [Google Scholar] [CrossRef]
- Mansouri, A.; Reiner, Ž.; Ruscica, M.; Tedeschi-Reiner, E.; Radbakhsh, S.; Bagheri Ekta, M.; Sahebkar, A. Antioxidant Effects of Statins by Modulating Nrf2 and Nrf2/HO-1 Signaling in Different Diseases. J. Clin. Med. 2022, 11, 1313. [Google Scholar] [CrossRef]
- De Groot, L.E.S.; Sabogal Piñeros, Y.S.; Bal, S.M.; Van De Pol, M.A.; Hamann, J.; Sterk, P.J.; Kulik, W.; Lutter, R. Do Eosinophils Contribute to Oxidative Stress in Mild Asthma? Clin. Exp. Allergy 2019, 49, 929–931. [Google Scholar] [CrossRef]
- Huang, K.-C.; Chen, C.-W.; Chen, J.-C.; Lin, W.-W. HMG-CoA Reductase Inhibitors Inhibit Inducible Nitric Oxide Synthase Gene Expression in Macrophages. J. Biomed. Sci. 2003, 10, 396–405. [Google Scholar] [CrossRef]
- Saadat, S.; Boskabady, M.H. Anti-Inflammatory and Antioxidant Effects of Rosuvastatin on Asthmatic, Hyperlipidemic, and Asthmatic-Hyperlipidemic Rat Models. Inflammation 2021, 44, 2279–2290. [Google Scholar] [CrossRef]
- Mahmoud, M.F.; El Bassossy, H.M. Curcumin Attenuates Fructose-Induced Vascular Dysfunction of Isolated Rat Thoracic Aorta Rings. Pharm. Biol. 2014, 52, 972–977. [Google Scholar] [CrossRef] [PubMed]
- Saleh, R.; Merghani, B.; Awadin, W. Effect of High Fructose Administration on Histopathology of Kidney, Heart and Aorta of Rats. J. Adv. Vet. Anim. Res. 2017, 4, 71–79. [Google Scholar] [CrossRef]
- Zhang, X.; Li, J.; Luo, S.; Wang, M.; Huang, Q.; Deng, Z.; De Febbo, C.; Daoui, A.; Liew, P.X.; Sukhova, G.K.; et al. IgE Contributes to Atherosclerosis and Obesity by Affecting Macrophage Polarization, Macrophage Protein Network, and Foam Cell Formation. Arterioscler. Thromb. Vasc. Biol. 2020, 40, 597–610. [Google Scholar] [CrossRef] [PubMed]
- Kounis, N.G.; Hahalis, G. Serum IgE Levels in Coronary Artery Disease. Atherosclerosis 2016, 251, 498–500. [Google Scholar] [CrossRef] [PubMed]
- Guo, X.; Yuan, S.; Liu, Y.; Zeng, Y.; Xie, H.; Liu, Z.; Zhang, S.; Fang, Q.; Wang, J.; Shen, Z. Serum IgE Levels Are Associated with Coronary Artery Disease Severity. Atherosclerosis 2016, 251, 355–360. [Google Scholar] [CrossRef]
- Lambert, K.; Tse, R.; Tettamanti, C.; Scarpelli, M.P.; Rousseau, G.; Bonsignore, A.; Palmiere, C. Postmortem IgE Determination in Coronary Artery Disease. J. Forensic Leg. Med. 2019, 62, 1–6. [Google Scholar] [CrossRef]
- Min, K.-B.; Min, J.-Y. Risk of Cardiovascular Mortality in Relation to Increased Total Serum IgE Levels in Older Adults: A Population-Based Cohort Study. Int. J. Environ. Res. Public. Health 2019, 16, 4350. [Google Scholar] [CrossRef]
- Xu, Z.; Wang, T.; Guo, X.; Li, Y.; Hu, Y.; Ma, C.; Wang, J. The Relationship of Serum Antigen-Specific and Total Immunoglobulin E with Adult Cardiovascular Diseases. Int. J. Med. Sci. 2018, 15, 1098–1104. [Google Scholar] [CrossRef]
- Ge, W.; Guo, X.; Song, X.; Pang, J.; Zou, X.; Liu, Y.; Niu, Y.; Li, Z.; Zhao, H.; Gao, R.; et al. The Role of Immunoglobulin E and Mast Cells in Hypertension. Cardiovasc. Res. 2022, 118, 2985–2999. [Google Scholar] [CrossRef]
- Gurgone, D.; McShane, L.; McSharry, C.; Guzik, T.J.; Maffia, P. Cytokines at the Interplay Between Asthma and Atherosclerosis? Front. Pharmacol. 2020, 11, 166. [Google Scholar] [CrossRef]
- Kovanen, P.T. Mast Cells: Multipotent Local Effector Cells in Atherothrombosis. Immunol. Rev. 2007, 217, 105–122. [Google Scholar] [CrossRef] [PubMed]
- Gao, S.; Wang, C.; Li, W.; Shu, S.; Zhou, J.; Yuan, Z.; Wang, L. Allergic Asthma Aggravated Atherosclerosis Increases Cholesterol Biosynthesis and Foam Cell Formation in Apolipoprotein E-Deficient Mice. Biochem. Biophys. Res. Commun. 2019, 519, 861–867. [Google Scholar] [CrossRef] [PubMed]
- Libby, P.; Lichtman, A.H.; Hansson, G.K. Immune Effector Mechanisms Implicated in Atherosclerosis: From Mice to Humans. Immunity 2013, 38, 1092–1104. [Google Scholar] [CrossRef] [PubMed]
- Binti Kamaruddin, N.A.; Fong, L.Y.; Tan, J.J.; Abdullah, M.N.H.; Singh Cheema, M.; Bin Yakop, F.; Yong, Y.K. Cytoprotective Role of Omentin Against Oxidative Stress-Induced Vascular Endothelial Cells Injury. Molecules 2020, 25, 2534. [Google Scholar] [CrossRef]
- Lahoute, C.; Herbin, O.; Mallat, Z.; Tedgui, A. Adaptive Immunity in Atherosclerosis: Mechanisms and Future Therapeutic Targets. Nat. Rev. Cardiol. 2011, 8, 348–358. [Google Scholar] [CrossRef]












Disclaimer/Publisher’s Note: The statements, opinions and data contained in all publications are solely those of the individual author(s) and contributor(s) and not of MDPI and/or the editor(s). MDPI and/or the editor(s) disclaim responsibility for any injury to people or property resulting from any ideas, methods, instructions or products referred to in the content. |
© 2024 by the authors. Licensee MDPI, Basel, Switzerland. This article is an open access article distributed under the terms and conditions of the Creative Commons Attribution (CC BY) license (https://creativecommons.org/licenses/by/4.0/).
Share and Cite
Zimbru, E.-L.; Zimbru, R.-I.; Ordodi, V.-L.; Bojin, F.-M.; Crîsnic, D.; Andor, M.; Mirica, S.-N.; Huțu, I.; Tănasie, G.; Haidar, L.; et al. Rosuvastatin Attenuates Vascular Dysfunction Induced by High-Fructose Diets and Allergic Asthma in Rats. Nutrients 2024, 16, 4104. https://doi.org/10.3390/nu16234104
Zimbru E-L, Zimbru R-I, Ordodi V-L, Bojin F-M, Crîsnic D, Andor M, Mirica S-N, Huțu I, Tănasie G, Haidar L, et al. Rosuvastatin Attenuates Vascular Dysfunction Induced by High-Fructose Diets and Allergic Asthma in Rats. Nutrients. 2024; 16(23):4104. https://doi.org/10.3390/nu16234104
Chicago/Turabian StyleZimbru, Elena-Larisa, Răzvan-Ionuț Zimbru, Valentin-Laurențiu Ordodi, Florina-Maria Bojin, Daniela Crîsnic, Minodora Andor, Silvia-Nicoleta Mirica, Ioan Huțu, Gabriela Tănasie, Laura Haidar, and et al. 2024. "Rosuvastatin Attenuates Vascular Dysfunction Induced by High-Fructose Diets and Allergic Asthma in Rats" Nutrients 16, no. 23: 4104. https://doi.org/10.3390/nu16234104
APA StyleZimbru, E.-L., Zimbru, R.-I., Ordodi, V.-L., Bojin, F.-M., Crîsnic, D., Andor, M., Mirica, S.-N., Huțu, I., Tănasie, G., Haidar, L., Nistor, D., Velcean, L., Păunescu, V., & Panaitescu, C. (2024). Rosuvastatin Attenuates Vascular Dysfunction Induced by High-Fructose Diets and Allergic Asthma in Rats. Nutrients, 16(23), 4104. https://doi.org/10.3390/nu16234104

