Effects of Chicken Egg Powder, Bovine Colostrum, and Combination Therapy for the Treatment of Gastrointestinal Disorders
Abstract
1. Introduction
2. Constituents of Chicken Egg Powder
2.1. Macro-Nutrients and Micro-Nutrients
2.1.1. Proteins
2.1.2. Fats and Lipids
2.1.3. Vitamins and Minerals
2.2. Bioactive Components
2.2.1. Antimicrobial Factors
2.2.2. Cytokines and Antioxidants
2.2.3. Growth Factors
3. Constituents of BC
3.1. Macro-Nutrients and Micro-Nutrients
3.1.1. Proteins and Peptides
3.1.2. Carbohydrates
3.1.3. Fats and Lipids
3.1.4. Vitamins and Minerals
3.2. Bioactive Components
3.2.1. Antimicrobial Factors
3.2.2. Cytokines
3.2.3. Growth Factors
3.2.4. Hormones
4. Studies of Potential Clinical Benefit
4.1. Egg Alone
4.2. BC Alone
4.2.1. Infectious Diarrhea and Environmental Enteropathy
4.2.2. Non-Steroidal Anti-Inflammatory Drug (NSAID)-Induced Gut Injury
4.2.3. Inflammatory Bowel Disease (IBD)
4.2.4. Sports Medicine and Intestinal Integrity
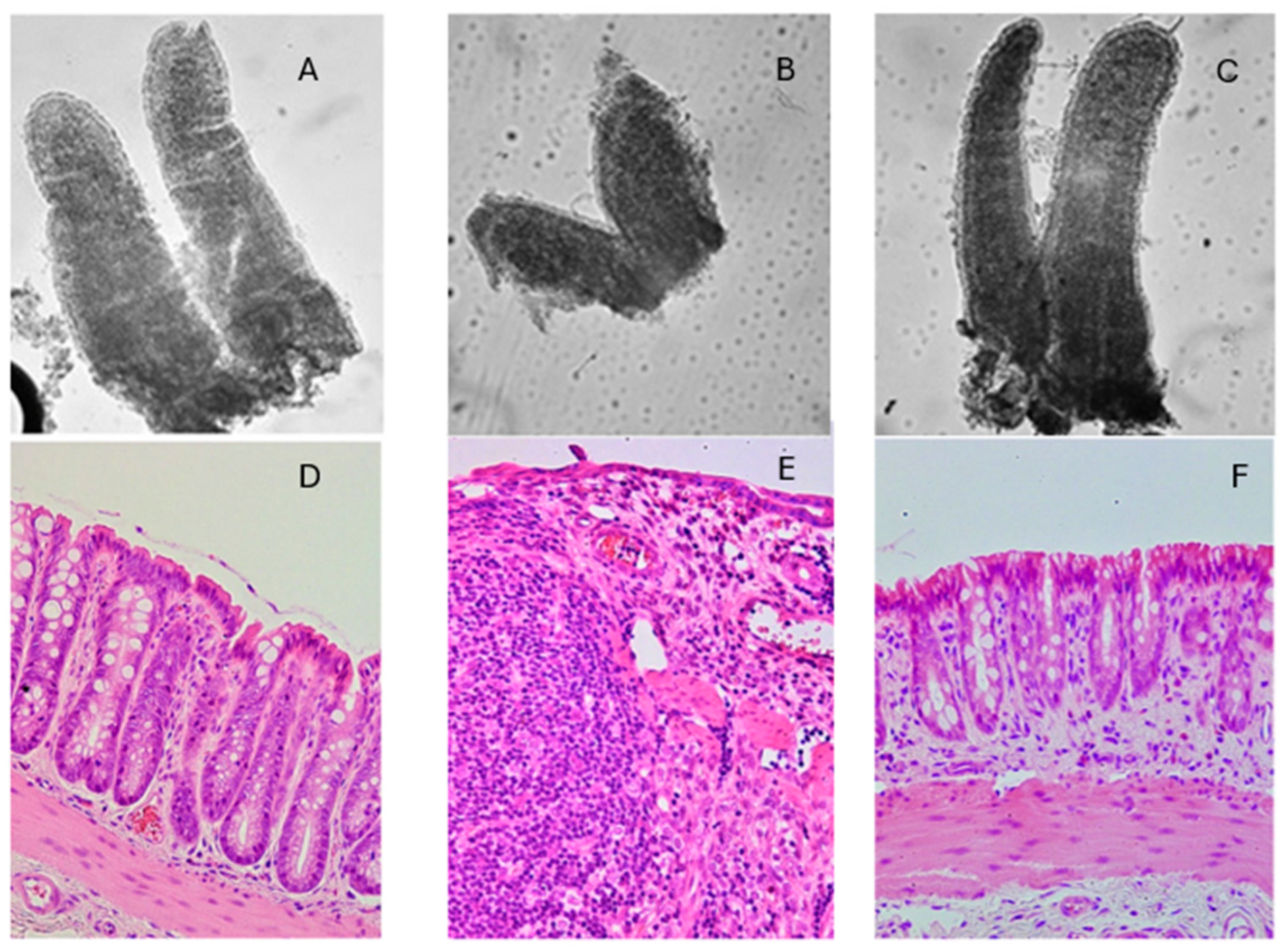
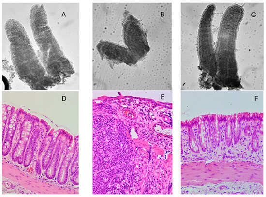
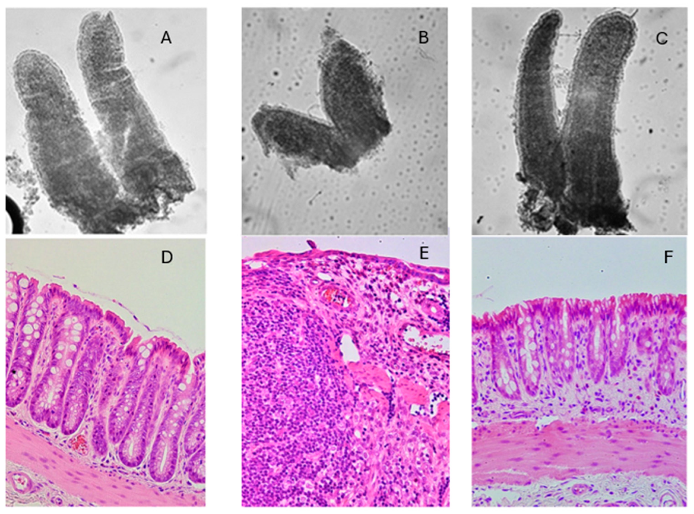
4.2.5. Necrotizing Enterocolitis (NEC)
4.3. Egg and BC Combination Therapy
4.3.1. NSAID and Inflammatory Bowel Disease
4.3.2. Environmental Enteropathy and Severe Growth Stunting
4.3.3. Small Intestinal Bacterial Overgrowth
4.3.4. Glucagon-like Peptide (GLP-1)-Related Gastrointestinal Symptoms
5. Limitations and Caveats on Published Studies of Egg and BC
5.1. Regulation of Health Claims
5.2. Small Number of High-Quality Clinical Trials
5.3. Quality Assessment and Bioactivity
5.4. Effective Dose
5.5. Safety
6. Conclusions
Funding
Acknowledgments
Conflicts of Interest
Abbreviations
References
- Nasim, N.; Sandeep, I.S.; Mohanty, S. Plant-based natural products for drug discovery: Current approaches and prospects. Nucleus 2022, 65, 399–411. [Google Scholar] [CrossRef] [PubMed]
- Mushtaq, S.; Abbasi, B.H.; Uzair, B.; Abbasi, R. Natural products as reservoirs of novel therapeutic agents. EXCLI J. 2018, 17, 420–451. [Google Scholar] [PubMed]
- Canning, A.D.; Death, R.G.; Waltham, N.J. Pharmaceutical companies should pay for raiding nature’s medicine cabinet. Lancet 2021, 398, 840–841. [Google Scholar] [CrossRef] [PubMed]
- Tripathi, A. Nature Is the World’s Original Pharmacy-Returning to Medicine’s Roots Could Help Fil Drug Discovery Gap. The Conversation, 27 July 2022. Available online: https://theconversation.com/nature-is-the-worlds-original-pharmacy-returning-to-medicines-roots-could-help-fill-drug-discovery-gaps-176963 (accessed on 14 October 2024).
- Chaachoyay, N.; Zidane, L. Plant-derived natural products: A source for drug discovery and development. Drugs Drug Candidates 2024, 3, 184–207. [Google Scholar] [CrossRef]
- Wang, H.; Chen, Y.; Wang, L.; Liu, Q.; Yang, S.; Wang, C. Advancing herbal medicine: Enhancing product quality and safety through robust quality control practices. Front. Pharmacol. 2023, 14, 1265178. [Google Scholar] [CrossRef]
- Heydari, M.; Rauf, A.; Thiruvengadem, M.; Chen, X.; Hashempar, H. Editorial: Clinical safety in natural products, an evidence-based approach. Front. Pharmacol. 2022, 13, 960556. [Google Scholar] [CrossRef]
- Balkrishna, A.; Sharma, N.; Srivastava, D.; Kukreti, A.; Srivastava, S.; Arya, V. Exploring the safety, efficacy, and bioactivity of herbal medicines: Bridging traditional wisdom and modern science in healthcare. Future Integr. Med. 2024, 3, 35–49. [Google Scholar] [CrossRef]
- Gaynor, P.M.; Bonnette, R.; Garcia, E., Jr.; Kahl, L.S.; Valerio, L., Jr. FDA’s Approach to the GRAS Provision: A History of Processes. 2018. Available online: https://www.fda.gov/food/generally-recognized-safe-gras/fdas-approach-gras-provision-history-processes (accessed on 14 October 2024).
- U.S. Food and Drug Administration (FDA). About the GRAS Notification Process. 2018. Available online: https://www.fda.gov/food/generally-recognized-safe-gras/about-gras-notification-program (accessed on 14 October 2024).
- U.S. Food and Drug Administration (FDA). Generally Recognized as Safe (GRAS). 2023. Available online: https://www.fda.gov/food/food-ingredients-packaging/generally-recognized-safe-gras#:~:text=%22GRAS%22%20is%20an%20acronym%20for,substance%20as%20a%20food%20additive.12 (accessed on 14 October 2024).
- Réhault-Godbert, S.; Guyot, N.; Nys, Y. The golden egg: Nutritional value, bioactivities, and emerging benefits for human health. Nutrients 2019, 11, 684. [Google Scholar] [CrossRef]
- Drewnowski, A. The Nutrient Rich Foods Index helps to identify healthy, affordable foods. Am. J. Clin. Nutr. 2010, 91, 1095S–1101S. [Google Scholar] [CrossRef]
- Berkheiser, K. Hard-Boiled Egg Nutrition Facts: Calories, Protein and More. Healthline, 14 February 2023. Available online: https://www.healthline.com/nutrition/boiled-egg-nutrition (accessed on 14 October 2024).
- Chang, C.; Lahti, T.; Tanaka, T.; Nickerson, M. Egg proteins: Fractionation, bioactive peptides and allergenicity. J. Sci. Food Agric. 2018, 98, 5547–5558. [Google Scholar] [CrossRef]
- Kuang, H.; Yang, F.; Zhang, Y.; Wang, T.; Chen, G. The impact of egg nutrient composition and its consumption on cholesterol homeostasis. Cholesterol 2018, 2018, 6303810. [Google Scholar] [CrossRef] [PubMed]
- Xiao, N.; Zhao, Y.; Yao, Y.; Wu, N.; Xu, M.; Du, H.; Tu, Y. Biological activities of egg yolk lipids. J. Agric. Food Chem. 2020, 68, 1948–1957. [Google Scholar] [CrossRef] [PubMed]
- Abbas, A.T.; El-Kafrawy, S.A.; Sohrab, S.S.; Azhar, E.I.A. IgY antibodies for the immunoprophylaxis and therapy of respiratory infections. Hum. Vaccin. Immunother. 2019, 15, 264–275. [Google Scholar] [CrossRef] [PubMed]
- Pereira, E.P.V.; van Tilburg, M.F.; Florean, E.O.P.T.; Guedes, M.I.F. Egg yolk antibodies (IgY) and their applications in human and veterinary health: A review. Int. Immunopharmacol. 2019, 73, 293–303. [Google Scholar] [CrossRef] [PubMed]
- León-Núñez, D.; Vizcaíno-López, M.F.; Escorcia, M.; Correa, D.; Pérez-Hernández, E.; Gómez-Chávez, F. IgY Antibodies as Biotherapeutics in Biomedicine. Antibodies 2022, 11, 62. [Google Scholar] [CrossRef]
- Jabalera, Y.; Dominguez-Gasca, N.; Munoz, A.; Hincke, M.; Jimenez, C.; Rodriguez-Navarro, A.B. Antimicrobial defenses of table eggs: Importance of antibacterial proteins in egg white as a function of hen age in an extended production cycle. Food Microbiol. 2022, 107, 104068. [Google Scholar] [CrossRef]
- Legros, J.; Jan, S.; Bonnassie, S.; Gautier, M.; Croguennec, T.; Pezennec, S.; Cochet, M.-F.; Nau, F.; Andrews, S.C.; Baron, F. The role of ovotransferrin in egg-white antimicrobial activity: A review. Foods 2021, 10, 823. [Google Scholar] [CrossRef]
- Pellegrini, A.; Hülsmeier, A.J.; Hunziker, P.; Thomas, U. Proteolytic fragments of ovalbumin display antimicrobial activity. Biochim. Biophys. Acta. 2004, 1672, 76–85. [Google Scholar] [CrossRef]
- Benede, S.; Molina, E. Chicken egg proteins and derived peptides with antioxidant properties. Foods 2020, 9, 735. [Google Scholar] [CrossRef]
- Playford, R.J.; Garbowsky, M.; Marchbank, T. Pasteurized chicken egg powder stimulates proliferation and migration of AGS, RIE1, and Caco-2 cells and reduces NSAID-induced injury in mice and colitis in rats. J. Nutr. 2020, 150, 1434–1442. [Google Scholar] [CrossRef]
- Marchbank, T.; Ten Bruggencate, S.J.M.; Playford, R.J. Protease inhibitors protect bovine colostrum or chicken egg growth factors from pancreatic enzyme digestion in AGS cells or colitic Rats. J. Nutr. 2021, 151, 3036–3044. [Google Scholar] [CrossRef] [PubMed]
- Playford, R.J.; Weiser, M.J. Bovine Colostrum: Its Constituents and Uses. Nutrients 2021, 13, 265. [Google Scholar] [CrossRef] [PubMed]
- Poonia, A.; Shiva. Bioactive compounds, nutritional profile and health benefits of colostrum. Food Prod. Process. Nutr. 2022, 4, 26. [Google Scholar] [CrossRef]
- Arslan, A.; Kaplan, M.; Duman, H.; Bayraktar, A.; Ertürk, M.; Henrick, B.M.; Frese, S.A.; Karav, S. Bovine colostrum and its potential for human health and nutrition. Front. Nutr. 2021, 8, 651721. [Google Scholar] [CrossRef]
- Woodford, K.B. Casomorphins and Gliadorphins Have Diverse Systemic Effects Spanning Gut, Brain and Internal Organs. Int J. Environ. Res. Public Health 2021, 18, 7911. [Google Scholar] [CrossRef]
- Pessi, T.; Isolauri, E.; Sütas, Y.; Kankaanranta, H.; Moilanen, E.; Hurme, M. Suppression of T-cell activation by Lactobacillus rhamnosus GG-degraded bovine casein. Int. Immunopharmacol. 2001, 1, 211–218. [Google Scholar] [CrossRef]
- Playford, R.J.; Woodman, A.C.; Vesey, D.; Deprez, P.H.; Calam, J.; Watanapa, P.; Williamson, R.C.N.; Clark, P. Effect of luminal growth factor preservation on intestinal growth. Lancet 1993, 341, 843–848. [Google Scholar] [CrossRef]
- Kiewiet, M.B.G.; Dekkers, R.; Gros, M.; van Neerven, R.J.J.; Groeneveld, A.; de Vos, P.; Faas, M.M. Toll-like receptor mediated activation is possibly involved in immunoregulating properties of cow’s milk hydrolysates. PLoS ONE 2017, 12, e0178191. [Google Scholar] [CrossRef]
- Zivkovic, A.M.; Barile, D. Bovine milk as a source of functional oligosaccharides for improving human health. Adv. Nutr. 2011, 2, 284–289. [Google Scholar] [CrossRef]
- Eker, F.; Akdaşçi, E.; Duman, H.; Yalçıntaş, Y.M.; Canbolat, A.A.; Kalkan, A.E.; Karav, S.; Šamec, D. Antimicrobial properties of colostrum and milk. Antibiotics 2024, 13, 251. [Google Scholar] [CrossRef]
- Pammi, M.; Suresh, G. Enteral lactoferrin supplementation for prevention of sepsis and necrotizing enterocolitis in preterm infants. Cochrane Database Syst. Rev. 2017, 3, CD007137. [Google Scholar] [CrossRef]
- Gao, X.; Li, Y.; Olin, A.B.; Nguyen, D.N. Fortification with bovine colostrum enhances antibacterial activity in human milk. J. Parentr. Enter. Nutr. 2021, 45, 1417–1424. [Google Scholar] [CrossRef] [PubMed]
- Ramani, A.; Taherabbasa, S.; Manik, S. Bovine colostrum as a promising nutraceutical: A systematic review. Sustain. Food Technol. 2024, 2, 531–547. [Google Scholar] [CrossRef]
- Sangild, P.T.; Vonderohe, C.; Hebib, V.M.; Burrin, D.G. Potential benefits of bovine colostrum in pediatric nutrition and health. Nutrients 2021, 13, 2551. [Google Scholar] [CrossRef]
- Wheeler, T.T.; Hodgkinson, A.J.; Prosser, C.G.; Davis, S.R. Immune components of colostrum and milk—A historical perspective. J. Mammary Gland Biol. Neoplasia 2007, 12, 237–247. [Google Scholar] [CrossRef]
- Grigaleviciute, R.; Matusevicius, P.; Planciuniene, R.; Stankevicius, R.; Eivina Radzeviciute-Valciuk, E.; Balevicute, A.; Želvys, A.; Zinkeviciene, A.; Zigmantaite, V.; Kucinskas, A.; et al. Understanding the immunomodulatory effects of bovine colostrum: Insights into IL-6/IL-10 axis-mediated inflammatory control. Vet. Sci. 2023, 10, 519. [Google Scholar] [CrossRef]
- Boldogh, I.; Aguilera-Aguirre, L.; Bacsi, A.; Choudhury, B.K.; Saavedra-Molina, A.; Kruzel, M. Colostrinin decreases hypersensitivity and allergic responses to common allergens. Int. Arch. Allergy Immunol. 2008, 146, 289–306. [Google Scholar] [CrossRef] [PubMed]
- Ragab, S.S.; Ibrahim, M.K. Role of Bovine colostrum and its biofunctional fraction PRP in oral treatment of enterogenic endotoxaemia in rats. Int. J. Agric. Biol. 2004, 6, 576–580. [Google Scholar]
- Yalçıntas, Y.M.; Duman, H.; López, J.M.M.; Mondragón Portocarrero, A.C.; Lombardo, M.; Khallouki, F.; Koch, W.; Bordiga, M.; El-Seedi, H.; Raposo, A.; et al. Revealing the potency of growth factors in bovine colostrum. Nutrients 2024, 16, 2359. [Google Scholar] [CrossRef] [PubMed]
- Linehan, K.; Ross, R.P.; Stanton, C. Bovine colostrum for veterinary and human health applications: A critical review. Annu. Rev. Food Sci. Technol. 2023, 14, 387–410. [Google Scholar] [CrossRef] [PubMed]
- Davison, G.; Jones, A.W.; Marchbank, T.; Playford, R.J. Oral bovine colostrum supplementation does not increase circulating insulin-like growth factor-1 concentration in healthy adults: Results from short- and long-term administration studies. Eur. J. Nutr. 2020, 59, 1473–1479. [Google Scholar] [CrossRef] [PubMed]
- Wang, X.; Song, L.; Tan, W.; Zhao, W. Clinical efficacy of oral immunoglobulin Y in infant rotavirus enteritis: Systematic re-view and meta-analysis. Medicine 2019, 98, e16100. [Google Scholar] [CrossRef] [PubMed]
- Bachtiar, E.W.; Soejoedono, R.D.; Bachtiar, B.M.; Henrietta, A.; Farhana, N.; Yuniastuti, M. Effects of soybean milk, chitosan, and anti-Streptococcus mutans IgY in malnourished rats’ dental biofilm and the IgY persistencyin saliva. Interv. Med. Appl. Sci. 2015, 7, 118–123. [Google Scholar] [CrossRef] [PubMed]
- Playford, R.J.; Choudhry, N.; Kelly, P.; Marchbank, T. Effects of bovine colostrum with or without egg on in vitro bacterial-induced intestinal damage with relevance for SIBO and infectious diarrhea. Nutrients 2021, 13, 1024. [Google Scholar] [CrossRef] [PubMed]
- Pannemans, D.L.; Wagenmakers, A.J.; Westerterp, K.R.; Schaafsma, G.; Halliday, D. Effect of protein source and quantity on protein metabolism in elderly women. Am. J. Clin. Nutr. 1998, 68, 1228–1235. [Google Scholar] [CrossRef] [PubMed]
- Puglisi, M.J.; Fernandez, M.L. The health benefits of egg protein. Nutrients 2022, 14, 2904. [Google Scholar] [CrossRef]
- Young, D.; Fan, M.Z.; Mine, Y. Egg yolk peptides up-regulate glutathione synthesis and antioxidant enzyme activities in a porcine model of intestinal oxidative stress. J. Agric. Food. Chem. 2010, 58, 7624–7633. [Google Scholar] [CrossRef]
- Lee, J.H.; Paik, H.-D. Anticancer and immunomodulatory activity of egg proteins and peptides: A review. Poult. Sci. 2019, 98, 6505–6516. [Google Scholar] [CrossRef]
- Sava, G. Reduction of B16 melanoma metastases by oral administration of egg-white lysozyme. Cancer Chemother. Pharmacol. 1989, 25, 221–222. [Google Scholar] [CrossRef]
- Liao, W.; Fan, H.; Davidge, S.T.; Wu, J. Egg white-derived antihypertensive peptide IRW (Ile-Arg-Trp) reduces blood pressure in spontaneously hypertensive rats via the ACE2/Ang (1-7)/mass receptor axis. Mol. Nutr. Food Res. 2019, 63, e1900063. [Google Scholar] [CrossRef]
- Ghosh, S.; Lacucci, M. Diverse immune effects of bovine colostrum and benefits in human halth and disease. Nutrients 2021, 13, 3798. [Google Scholar] [CrossRef] [PubMed]
- Guberti, M.; Botti, S.; Capuzzo, M.T.; Nardozi, S.; Fusco, A.; Cera, A.; Dugo, L.; Piredda, M.; De Marinis, M.G. Bovine colostrum applications in sick and healthy people: A systematic review. Nutrients 2021, 13, 2194. [Google Scholar] [CrossRef] [PubMed]
- Chandwe, K.; Kelly, P. Colostrum therapy for human gastrointestinal health and disease. Nutrients 2021, 13, 1956. [Google Scholar] [CrossRef] [PubMed]
- Davison, G. The use of bovine colostrum in sport and exercise. Nutrients 2021, 13, 1789. [Google Scholar] [CrossRef] [PubMed]
- Bagwe-Parab, S.; Yadav, P.; Kaur, G.; Tuli, H.S.; Buttar, H.S. Therapeutic applications of human and bovine colostrum in the treatment of gastrointestinal diseases and distinctive cancer types: The current evidence. Front. Pharmacol. 2020, 11, 01100. [Google Scholar] [CrossRef]
- Brooks, H.J.; McConnell, M.A.; Corbett, J.; Buchan, G.S.; Fitzpatrick, C.E.; Broadbent, R.S. Potential prophylactic value of bovine colostrum in necrotizing enterocolitis in neonates: An in vitro study on bacterial attachment, antibody levels and cytokine production. FEMS Immunol. Med. Microbiol. 2006, 48, 347–3554. [Google Scholar] [CrossRef]
- Li, J.; Xu, Y.W.; Jiang, J.J.; Song, Q.K. Bovine colostrum and product intervention associated with relief of childhood infectious diarrhea. Sci. Rep. 2019, 9, 3093. [Google Scholar] [CrossRef]
- Tawfeek, H.I.; Najim, N.H.; Al-Mashikhi, S. Efficacy of an infant formula containing anti-Escherichia coli colostral antibodies from hyperimmunized cows in preventing diarrhea in infants and children: A field trial. Int. J. Infect. Dis. 2003, 7, 120–128. [Google Scholar] [CrossRef]
- Davidson, G.P.; Daniels, E.; Nunan, H.; Moore, A.G.; Whyte, P.B.D.; Franklin, K.; Mccloud, P.; Moore, D. Passive immunisation of children with bovine colostrum containing antibodies to human rotavirus. Lancet 1989, 2, 709–712. [Google Scholar] [CrossRef]
- Ebina, T.; Sato, A.; Umezu, K.; Ishida, N.; Ohyama, S.; Oizumi, A.; Aikawa, K.; Katagiri, S.; Katsushima, N.; Imai, A. Prevention of rotavirus infection by oral administration of cow colostrum containing antihumanrotavirus antibody. Med. Microbiol. Immunol. 1985, 174, 177–185. [Google Scholar] [CrossRef]
- Sarker, S.A.; Casswall, T.H.; Mahalanabis, D.; Alam, N.H.; Albert, M.J.; Brüssow, H.; Fuchs, G.J.; Hammerström, L. Successful treatment of rotavirus diarrhea in children with immunoglobulin from immunized bovine colostrum. Pediatr. Infect. Dis. J. 1998, 17, 1149–1154. [Google Scholar] [CrossRef] [PubMed]
- Huppertz, H.I.; Rutkowski, S.; Busch, D.H.; Eisebit, R.; Lissner, R.; Karch, H. Bovine colostrum ameliorates diarrhea in infection with diarrheagenic Escherichia coli, shiga toxin-producing E. coli, and E. coli expressing intimin and hemolysin. J. Pediatr. Gastroenterol. Nutr. 1999, 29, 452–456. [Google Scholar] [CrossRef]
- Barakat, S.H.; Meheissen, M.A.; Omar, O.M.; Elbana, D.A. Bovine colostrum in the treatment of acute diarrhea in children: A double-blinded randomized controlled trial. J. Trop. Pediatr. 2019, 66, 46–55. [Google Scholar] [CrossRef] [PubMed]
- Sturgeon, J.P.; Mufukari, W.; Tome, J.; Dumbura, C.; Majo, F.D.; Ngosa, D.; Dzikiti, A.; Chulu, N.; Makuyana, R.; Zyambo, K.; et al. Malnutrition enteropathy in Zambian and Zimbabwean children with severe acute malnutrition: A multi-arm randomized phase II trial. Nat. Commun. 2024, 17, 2910. [Google Scholar] [CrossRef]
- Tai, F.W.D.; McAlindon, M.E. Non-steroidal anti-inflammatory drugs and the gastrointestinal tract. Clin. Med. 2021, 21, 131–134. [Google Scholar] [CrossRef] [PubMed]
- Kim, J.W.; Jeon, W.K.; Kim, E.J. Combined effects of bovine colostrum and glutamine in diclofenac-induced bacterial translocation in rat. Clin. Nutr. 2005, 24, 785–793. [Google Scholar] [CrossRef]
- Cairangzhuoma; Yamamoto, M.; Muranishi, H.; Inagaki, M.; Uchida, K.; Yamashita, K.; Saito, S.; Yabe, T.; Kanamaru, Y. Skimmed, sterilized, and concentrated bovine late colostrum promotes both prevention and recovery from intestinal tissue damage in mice. J. Dairy Sci. 2013, 96, 1347–1355. [Google Scholar] [CrossRef]
- Playford, R.J.; Macdonald, C.E.; Calnan, D.P.; Floyd, D.N.; Podas, T.; Johnson, W.; Wicks, A.C.; Marchbank, T. Co-administration of the health food supplement, bovine colostrum, reduces the acute NSAID-induced increase in intestinal permeability. Clin. Sci 2001, 6, 627–633. [Google Scholar] [CrossRef]
- Nadpara, N.; Reichenbach, Z.W.; Ehrlich, A.C.; Friedenberg, F. Current status of medical therapy for inflammatory bowel disease: The wealth of medications. Dig. Dis. Sci. 2020, 65, 2769–2779. [Google Scholar] [CrossRef]
- Menchetti, L.; Curone, G.; Filipescu, I.E.; Barbato, O.; Leonardi, L.; Guelfi, G.; Traina, G.; Casagrande-Proietti, P.; Riva, F.; Casano, A.B. The prophylactic use of bovine colostrum in a murine model of TNBS-induced colitis. Animals 2020, 10, 492. [Google Scholar] [CrossRef]
- Baydi, Z.; Limami, Y.; Khalki, L.; Zaid, N.; Naya, A.; Mtairag, E.M.; Oudghiri, M.; Zaid, Y. An update of research animal models of inflammatory bowel disease. Sci. World J. 2021, 2021, 7479540. [Google Scholar] [CrossRef] [PubMed]
- Khan, Z.; Macdonald, C.; Wicks, A.C.; Holt, M.P.; Floyd, D.; Ghosh, S.; Wright, N.A.; Playford, R.J. Use of the ‘nutraceutical’, bovine colostrum, for the treatment of distal colitis. Aliment. Pharmacol Ther. 2002, 16, 1917–1922. [Google Scholar] [CrossRef] [PubMed]
- Hartman, C.; Berkowitz, D.; Weiss, B.; Shaoul, R.; Levine, A.; Adiv, O.E.; Shapira, R.; Fradkin, A.; Wilschanski, M.; Tamir, A.; et al. Nutritional supplementation with polymeric diet enriched with transforming growth factor-beta 2 for children with Crohn’s disease. Isr. Med. Assoc. J. 2008, 10, 503–507. [Google Scholar] [PubMed]
- Jeukendrup, A.E.; Vet-Joop, K.; Sturk, A.; Stegen, J.H.; Senden, J.; Saris, W.H.; Wagenmakers, A.J. Relationship between gastro-intestinal complaints and endotoxaemia, cytokine release and the acute-phase reaction during and after a long-distance triathlon in highly trained men. Clin. Sci. 2000, 98, 47–55. [Google Scholar] [CrossRef]
- Marchbank, T.; Davison, G.; Oakes, J.R.; Ghatei, M.A.; Patterson, M.; Moyer, M.P.; Playford, R.J. The nutraceutical bovine colostrum truncates the increase in gut permeability caused by heavy exercise in athletes. Am. J. Physiol. Liver Physiol. 2011, 300, G477–G484. [Google Scholar] [CrossRef]
- March, D.S.; Marchbank, T.; Playford, R.J.; Jones, A.; Thatcher, R.; Davison, G. Intestinal fatty acid-binding protein and gut permeability responses to exercise. Graefe’s Arch. Clin. Exp. Ophthalmol. 2017, 117, 931–941. [Google Scholar] [CrossRef]
- March, D.S.; Jones, A.; Thatcher, R.; Davison, G. The effect of bovine colostrum supplementation on intestinal injury and circulating intestinal bacterial DNA following exercise in the heat. Eur. J. Nutr. 2018, 58, 1441–1451. [Google Scholar] [CrossRef]
- Hałasa, M.; Maciejewska, D.; Baśkiewicz-Hałasa, M.; Machaliński, B.; Safranow, K.; Stachowska, E. Oral supplementation with bovine colostrum decreases intestinal permeability and stool concentrations of Zonulin in athletes. Nutrients 2017, 9, 370. [Google Scholar] [CrossRef]
- McKenna, Z.; Berkemeier, Q.; Naylor, A.; Kleint, A.; Gorini, F.; Ng, J.; Kim, J.-K.; Sullivan, S.; Gillum, T. Bovine colostrum supplementation does not affect plasma I-FABP concentrations following exercise in a hot and humid environment. Graefe’s Arch. Clin. Exp. Ophthalmol. 2017, 117, 2561–2567. [Google Scholar] [CrossRef]
- Morrison, S.A.; Cheung, S.S.; Cotter, J.D. Bovine colostrum, training status, and gastrointestinal permeability during exercise in the heat: A placebo-controlled double-blind study. Appl. Physiol. Nutr. Metab. 2014, 39, 1070–1082. [Google Scholar] [CrossRef]
- Støy, A.C.F.; Heegaard, P.M.; Thymann, T.; Bjerre, M.; Skovgaard, K.; Boye, M.; Stoll, B.; Schmidt, M.; Jensen, B.B.; Sangild, P.T. Bovine colostrum improves intestinal function following formula-induced gut inflammation in preterm pigs. Clin. Nutr. 2014, 33, 322–329. [Google Scholar] [CrossRef] [PubMed]
- Balachandran, B.; Dutta, S.; Singh, R.; Prasad, R.; Kumar, P. Bovine colostrum in prevention of necrotizing enterocolitis and sepsis in very low birth weight neonates: A randomized, double-blind, placebo-controlled pilot trial. J. Trop. Pediatr. 2016, 63, 10–17. [Google Scholar] [CrossRef] [PubMed]
- Tao, J.; Mao, J.; Yang, J.; Su, Y. Effects of oropharyngeal administration of colostrum on the incidence of necrotizing enterocolitis, late-onset sepsis, and death in preterm infants: A meta-analysis of RCTs. Eur. J. Clin. Nutr. 2020, 74, 1122–1131. [Google Scholar] [CrossRef] [PubMed]
- Prendergast, A.J.; Kelly, P. Interactions between intestinal pathogens, enteropathy and malnutrition in developing countries. Curr. Opin. Infect. Dis. 2016, 29, 229–236. [Google Scholar] [CrossRef] [PubMed]
- Bierut, T.; Duckworth, L.; Grabowsky, M.; Ordiz, M.I.; Laury, M.L.; Callaghan-Gillespie, M.; Maleta, K.; Manary, M.J. The effect of bovine colostrum/egg supplementation compared with corn/soy flour in young Malawian children: A randomized, controlled clinical trial. Am. J. Clin. Nutr. 2021, 113, 420–427. [Google Scholar] [CrossRef]
- Jacobs, C.; Coss Adame, E.; Attaluri, A.; Valestin, J.; Rao, S.S. Dysmotility and proton pump inhibitor use are independent risk factors for small intestinal bacterial and/or fungal overgrowth. Aliment. Pharmacol. Ther. 2013, 37, 1103–1111. [Google Scholar] [CrossRef]
- Roszkowska, P.; Klimczak, E.; Ostrycharz, E.; Rączka, A.; Wojciechowska-Koszko, I.; Dybus, A.; Cheng, Y.-H.; Yu, Y.-H.; Mazgaj, S.; Hukowska-Szematowicz, B. Small intestinal bacterial overgrowth (SIBO) and twelve groups of related diseases—Current state of knowledge. Biomedicines 2024, 12, 1030. [Google Scholar] [CrossRef]
- Gorgojo-Martínez, J.J.; Mezquita-Raya, P.; Carretero-Gómez, J.; Castro, A.; Cebrián-Cuenca, A.; de Torres-Sánchez, A.; García-de-Lucas, M.D.; Núñez, J.; Obaya, J.C.; Soler, M.J.; et al. Clinical recommendations to manage gastrointestinal adverse events in patients treated with GLP-1 receptor agonists: A multidisciplinary expert consensus. J. Clin. Med. 2022, 12, 145. [Google Scholar] [CrossRef]
- Oken, H. (University of Mayland, Baltimore, MD, USA). Personal communication. 2024.
- Gautron, J.; Dombre, C.; Nau, F.; Feidt, C.; Guillier, L. Review: Production factors affecting the quality of chicken table eggs and egg products in Europe. Animal 2022, 16 (Suppl. 1), 100425. [Google Scholar] [CrossRef]
- Playford, R.J.; Cattell, M.; Marchbank, T. Marked variability in bioactivity between commercially available bovine colostrum for human use; implications for clinical trials. PLoS ONE 2020, 15, e0234719, Erratum in PLoS ONE 2020, 15, e0240392. [Google Scholar]
- Playford, R.J.; Weiser, M.J.; Marchbank, T. Methods to improve efficacy of orally administered bioactive peptides using bovine colostrum as an exemplar. PLoS ONE 2021, 16, e0253422. [Google Scholar] [CrossRef] [PubMed]



Disclaimer/Publisher’s Note: The statements, opinions and data contained in all publications are solely those of the individual author(s) and contributor(s) and not of MDPI and/or the editor(s). MDPI and/or the editor(s) disclaim responsibility for any injury to people or property resulting from any ideas, methods, instructions or products referred to in the content. |
© 2024 by the author. Licensee MDPI, Basel, Switzerland. This article is an open access article distributed under the terms and conditions of the Creative Commons Attribution (CC BY) license (https://creativecommons.org/licenses/by/4.0/).
Share and Cite
Playford, R.J. Effects of Chicken Egg Powder, Bovine Colostrum, and Combination Therapy for the Treatment of Gastrointestinal Disorders. Nutrients 2024, 16, 3684. https://doi.org/10.3390/nu16213684
Playford RJ. Effects of Chicken Egg Powder, Bovine Colostrum, and Combination Therapy for the Treatment of Gastrointestinal Disorders. Nutrients. 2024; 16(21):3684. https://doi.org/10.3390/nu16213684
Chicago/Turabian StylePlayford, Raymond John. 2024. "Effects of Chicken Egg Powder, Bovine Colostrum, and Combination Therapy for the Treatment of Gastrointestinal Disorders" Nutrients 16, no. 21: 3684. https://doi.org/10.3390/nu16213684
APA StylePlayford, R. J. (2024). Effects of Chicken Egg Powder, Bovine Colostrum, and Combination Therapy for the Treatment of Gastrointestinal Disorders. Nutrients, 16(21), 3684. https://doi.org/10.3390/nu16213684

