Hepatoprotective Effect of Antrodia camphorata Mycelium Powder on Alcohol-Induced Liver Damage
Abstract
1. Introduction
2. Materials and Methods
2.1. Cell Lines and Cell Culture Conditions
2.2. Cytotoxicity Assay
2.3. In Vitro Efficacy Assays
2.4. Oil Red O (ORO) Staining
2.5. Animal Studies
2.6. Clinical Signs and Body Weight Monitoring
2.7. Blood Biochemical Analysis, γ-GTP, and Adiponectin Assays
2.8. Liver Tissue Sampling and Analysis
2.9. Histopathological Analysis
2.10. Statistical Analysis
3. Results
3.1. Cytotoxicity Assay
3.2. In Vitro Activity Assays
3.3. In Vivo Studies
3.3.1. Clinical Signs and Body Weight
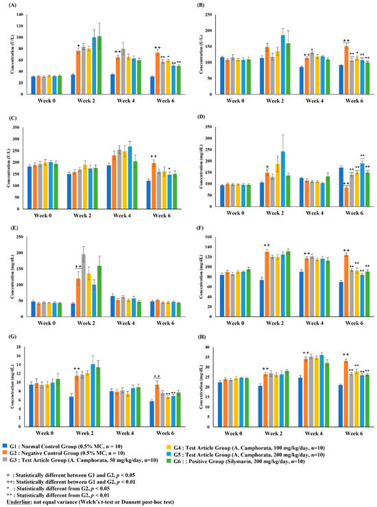
3.3.2. Blood Biochemical Analysis
3.3.3. γ-GTP and Adiponectin Assay
3.3.4. Liver Tissue Analysis
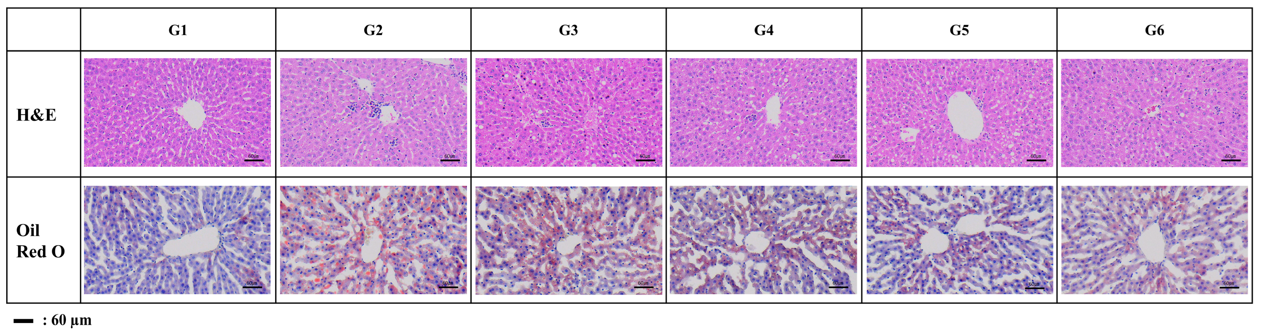
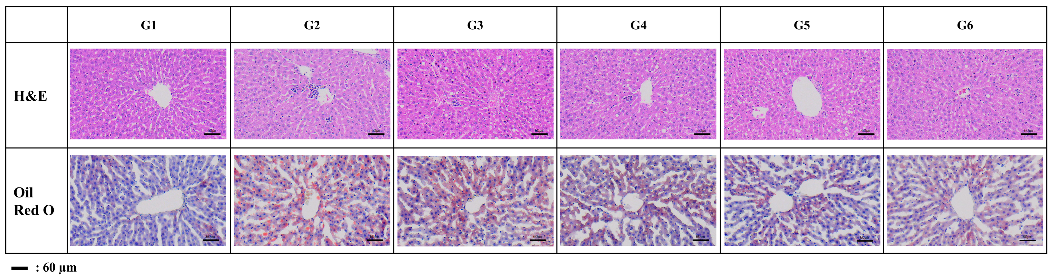
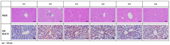
3.3.5. Histopathological Analysis
4. Discussion
5. Conclusions
Author Contributions
Funding
Institutional Review Board Statement
Informed Consent Statement
Data Availability Statement
Acknowledgments
Conflicts of Interest
References
- Moon, S.Y.; Son, M.; Kang, Y.W.; Koh, M.; Lee, J.Y.; Baek, Y.H. Alcohol Consumption and the Risk of Liver Disease: A Nationwide, Population-Based Study. Front. Med. 2023, 10, 1290266. [Google Scholar] [CrossRef] [PubMed]
- Osna, N.A.; Donohue, T.M.; Kharbanda, K.K. Alcoholic Liver Disease: Pathogenesis and Current Management. Alcohol. Res. 2017, 38, 147–161. [Google Scholar] [PubMed]
- Ohashi, K.; Pimienta, M.; Seki, E. Alcoholic Liver Disease: A Current Molecular and Clinical Perspective. Liver Res. 2018, 2, 161–172. [Google Scholar] [CrossRef] [PubMed]
- Litten, R.Z.; Bradley, A.M.; Moss, H.B. Alcohol Biomarkers in Applied Settings: Recent Advances and Future Research Opportunities. Alcohol. Clin. Exp. Res. 2010, 34, 955–967. [Google Scholar] [CrossRef] [PubMed]
- Cioarca-Nedelcu, R.; Atanasiu, V.; Stoian, I. Alcoholic Liver Disease-from Steatosis to Cirrhosis-a Biochemistry Approach. J. Med. Life 2021, 14, 594–599. [Google Scholar] [CrossRef]
- Teschke, R. Alcoholic Steatohepatitis (ASH) and Alcoholic Hepatitis (AH): Cascade of Events, Clinical Aspects, and Pharmacotherapy Options. Expert. Opin. Pharmacother. 2018, 19, 779–793. [Google Scholar] [CrossRef]
- Carolle, L.; Wandji, N.; Gnemmi, V.; Mathurin, P.; Louvet, A. Combined Alcoholic and Non-Alcoholic Steatohepatitis. JHEP Rep. 2020, 2, 100101. [Google Scholar] [CrossRef]
- Lee, S.W. Epidemiology of Alcoholic Liver Disease in Korea. Korean J. Gastroenterol. 2020, 76, 55–59. [Google Scholar] [CrossRef]
- Ao, Z.H.; Xu, Z.H.; Lu, Z.M.; Xu, H.Y.; Zhang, X.M.; Dou, W.F. Niuchangchih (Antrodia camphorata) and Its Potential in Treating Liver Diseases. J. Ethnopharmacol. 2009, 121, 194–212. [Google Scholar] [CrossRef]
- Kuang, Y.; Li, B.; Wang, Z.; Qiao, X.; Ye, M. Terpenoids from the Medicinal Mushroom: Antrodia camphorata: Chemistry and Medicinal Potential. Nat. Prod. Rep. 2021, 38, 83–102. [Google Scholar] [CrossRef]
- Angamuthu, V.; Shanmugavadivu, M.; Nagarajan, G.; Velmurugan, B.K. Pharmacological activities of antroquinonol—Mini review. Chem. Biol. Interact. 2019, 297, 8–15. [Google Scholar] [CrossRef] [PubMed]
- Tzeng, Y.M.; Geethangili, M. Review of Pharmacological Effects of Antrodia camphorate and Its Bioactive Compounds. Evid. Based Complement. Altern. Med. 2011, 2011, 212641. [Google Scholar] [CrossRef]
- Liu, X.; Yu, S.; Zhang, Y.; Zhang, W.; Zhong, H.; Lu, X.; Guan, R. A Review on the Protective Effect of Active Components in Antrodia camphorate against Alcoholic Liver Injury. J. Ethnopharmacol. 2023, 300, 115740. [Google Scholar] [CrossRef] [PubMed]
- Zhang, B.B.; Guan, Y.Y.; Hu, P.F.; Chen, L.; Xu, G.R.; Liu, L.; Cheung, P.C.K. Production of Bioactive Metabolites by Submerged Fermentation of the Medicinal Mushroom Antrodia cinnamomea: Recent Advances and Future Development. Crit. Rev. Biotechnol. 2019, 39, 541–554. [Google Scholar] [CrossRef] [PubMed]
- Cui, W.; Chen, S.L.; Hu, K.-Q. Quantification and Mechanisms of Oleic Acid-Induced Steatosis in HepG2 Cells. Am. J. Transl. Res. 2010, 2, 95–104. [Google Scholar]
- Müller, F.A.; Sturla, S.J. Human in Vitro Models of Nonalcoholic Fatty Liver Disease. Curr. Opin. Toxicol. 2019, 16, 9–16. [Google Scholar] [CrossRef]
- Seitz, H.K.; Stickel, F. Risk Factors and Mechanisms of Hepatocarcinogenesis with Special Emphasis on Alcohol and Oxidative Stress. Biol. Chem. 2006, 387, 349–360. [Google Scholar] [CrossRef]
- Tan, H.K.; Yates, E.; Lilly, K.; Dhanda, A.D. Oxidative Stress in Alcohol-Related Liver Disease. World J. Hepatol. 2020, 12, 332–349. [Google Scholar] [CrossRef]
- Ma, Y.; Lee, G.; Heo, S.Y.; Roh, Y.S. Oxidative Stress Is a Key Modulator in the Development of Nonalcoholic Fatty Liver Disease. Antioxidants 2022, 11, 91. [Google Scholar] [CrossRef]
- Giorgio, V.; Prono, F.; Graziano, F.; Nobili, V. Pediatric Non Alcoholic Fatty Liver Disease: Old and New Concepts on Development, Progression, Metabolic Insight and Potential Treatment Targets. BMC Pediatr. 2013, 13, 40. [Google Scholar] [CrossRef]
- Huang, C.H.; Chang, Y.Y.; Liu, C.W.; Kang, W.Y.U.; Lin, Y.I.L.; Chang, H.C.; Chen, Y.I.C. Fruiting Body of Niuchangchih (Antrodia camphorata) Protects Livers against Chronic Alcohol Consumption Damage. J. Agric. Food Chem. 2010, 58, 3859–3866. [Google Scholar] [CrossRef] [PubMed]
- Sharma, P.; Arora, A. Clinical Presentation of Alcoholic Liver Disease and Non-Alcoholic Fatty Liver Disease: Spectrum and Diagnosis. Transl. Gastroenterol. Hepatol. 2020, 5, 19. [Google Scholar] [CrossRef] [PubMed]
- Torruellas, C.; French, S.W.; Medici, V. Diagnosis of Alcoholic Liver Disease. World J. Gastroenterol. 2014, 20, 11684–11699. [Google Scholar] [CrossRef] [PubMed]
- Torkadi, P.P.; Apte, I.C.; Bhute, A.K. Biochemical Evaluation of Patients of Alcoholic Liver Disease and Non-Alcoholic Liver Disease. Indian J. Clin. Biochem. 2014, 29, 79–83. [Google Scholar] [CrossRef]
- Buechler, C.; Schäffler, A.; Johann, M.; Neumeier, M.; Köhl, P.; Weiss, T.; Wodarz, N.; Kiefer, P.; Hellerbrand, C. Elevated Adiponectin Serum Levels in Patients with Chronic Alcohol Abuse Rapidly Decline during Alcohol Withdrawal. J. Gastroenterol. Hepatol. 2009, 24, 558–563. [Google Scholar] [CrossRef]
- Adachi, M.; Ishii, H. Hyperadiponectinemia in Alcoholic Liver Disease: Friend or Foe? J. Gastroenterol. Hepatol. 2009, 24, 507–508. [Google Scholar] [CrossRef]
- Makita, S.; Abiko, A.; Nagai, M.; Yonezawa, S.; Koshiyama, M.; Ohta, M.; Nakamura, M. Influence of Daily Alcohol Consumption on Serum Adiponectin Levels in Men. Metabolism 2013, 62, 411–416. [Google Scholar] [CrossRef]
- Beulens, J.W.J.; Van Beers, R.M.; Stolk, R.P.; Schaafsma, G.; Hendriks, H.F.J. The Effect of Moderate Alcohol Consumption on Fat Distribution and Adipocytokines. Obesity 2006, 14, 60–66. [Google Scholar] [CrossRef]
- Pravdova, E.; Macho, L.; Fickova, M. Alcohol Intake Modifies Leptin, Adiponectin and Resistin Serum Levels and Their MRNA Expressions in Adipose Tissue of Rats. Endocr. Regul. 2009, 43, 117–125. [Google Scholar] [CrossRef]
- Wang, Z.; Yao, T.; Song, Z. Chronic Alcohol Consumption Disrupted Cholesterol Homeostasis in Rats: Down-Regulation of Low-Density Lipoprotein Receptor and Enhancement of Cholesterol Biosynthesis Pathway in the Liver. Alcohol. Clin. Exp. Res. 2010, 34, 471–478. [Google Scholar] [CrossRef]
- De Oliveira E Silva, E.R.; Foster, D.; Monnie Harper, M.; Seidman, C.E.; Smith, J.D.; Breslow, J.L.; Brinton, E.A. Alcohol Consumption Raises HDL Cholesterol Levels by Increasing the Transport Rate of Apolipoproteins A-I and A-II. Circulation 2000, 102, 2347–2352. [Google Scholar] [CrossRef] [PubMed]
- Jung, E.L.; Kim, J.I.; Lee, S.J.; Jae, W.S.; Lee, M.; Sun, H.J. The Associations between Alcohol Intake and HDL Cholesterol Subclasses in Korean Population. J. Lipid Atheroscler. 2012, 1, 61–68. [Google Scholar] [CrossRef]
- Kandi, S.; Deshpande, N.; Rao, P.; Ramana, K. V Alcoholism and Its Relation to Hypoglycemia-An Overview. Am. J. Med. Stud. 2014, 2, 46–49. [Google Scholar] [CrossRef]
- Oba-Yamamoto, C.; Takeuchi, J.; Nakamura, A.; Takikawa, R.; Ozaki, A.; Nomoto, H.; Kameda, H.; Cho, K.Y.; Atsumi, T.; Miyoshi, H. Combination of Alcohol and Glucose Consumption as a Risk to Induce Reactive Hypoglycemia. J. Diabetes Investig. 2021, 12, 651–657. [Google Scholar] [CrossRef]





| Group | Sex | Age of Animals at 1st Dosing | No. of Animals | Dose (mg/kg/day) | Volume (mL/kg/day) | Treatment |
|---|---|---|---|---|---|---|
| G1 | M | 10 weeks | 10 | - | 10 | 0.5% methyl cellulose |
| G2 | M | 10 weeks | 10 | - | 10 | 0.5% methyl cellulose |
| G3 | M | 10 weeks | 10 | 50 | 10 | A. camphorata mycelium powder |
| G4 | M | 10 weeks | 10 | 100 | 10 | A. camphorata mycelium powder |
| G5 | M | 10 weeks | 10 | 200 | 10 | A. camphorata mycelium powder |
| G6 | M | 10 weeks | 10 | 200 | 10 | Silymarin |
| Assay | Normal Control | Negative Control | Concentration of Test Substance (µg/mL) | Concentration of Positive Control (µg/mL) | ||
|---|---|---|---|---|---|---|
| 1 μg/mL | 4 μg/mL | 16 μg/mL | ||||
| SOD activity (%) | 100 ± 0.0 | 90.6 ± 7.9 | 93.5 ± 1.4 | 142.1 ± 14.1 | 107.4 ± 10.2 | 170.5 ± 59.9 |
| GST activity (%) | 100 ± 0.0 | 82.8 ± 0.1 ** | 109.9 ± 2.9 $$ | 99.5 ± 0.8 $$ | 119.6 ± 4.1 $$ | 108.2 ± 3.2 $$ |
| ALT concentration (pg/mL) | 712.9 ± 7.8 | 728.1 ± 16.0 | 707.4 ± 8.5 | 679.8 ± 16.7 | 697.7 ± 8.9 | 674.3 ± 18.6 |
| AST concentration (pg/mL) | 155.1 ± 2.4 | 198.5 ± 11.8 ** | 181.1 ± 4.7 a | 171.5 ± 3.6 aa | 155.1 ± 2.4 aa | 157.0 ± 5.9 aa |
| Oil Red O staining assay (OD values at 510 nm) | 0.150 ± 0.009 | 0.221 ± 0.009 ** | 0.190 ± 0.001 $$ | 0.159 ± 0.014 $$ | 0.141 ± 0.009 $$ | 0.044 ± 0.001 $$ |
| Group | Liver Weight (g) | Liver Weight-to-Body Weight Ratio (%) |
|---|---|---|
| G1 (n = 10) | 8.90 ± 0.20 | 2.13 ± 0.03 |
| G2 (n = 10) | 9.67 ± 0.37 | 2.56 ± 0.05 ++ |
| G3 (n = 10) | 10.20 ± 0.34 | 2.65 ± 0.05 |
| G4 (n = 10) | 10.03 ± 0.23 | 2.65 ± 0.07 |
| G5 (n = 10) | 9.95 ± 0.26 | 2.60 ± 0.04 |
| G6 (n = 10) | 10.03 ± 0.29 | 2.64 ± 0.04 |
| Group | MDA (nmol/g) | SOD (U/mg) | TG (nmol/mg) | ADH (ng/mg) | ALDH (ng/mg) |
|---|---|---|---|---|---|
| G1 (n = 10) | 0.52 ± 0.05 | 6.25 ± 0.32 | 26.86 ± 0.40 | 30.78 ± 6.43 | 0.21 ± 0.02 |
| G2 (n = 10) | 1.40 ± 0.14 ++ | 6.42 ± 0.96 | 33.64 ± 1.42 ++ | 56.26 ± 12.91 | 0.19 ± 0.01 |
| G3 (n = 10) | 0.89 ± 0.07 ** | 5.50 ± 0.49 | 32.04 ± 1.51 | 55.73 ± 14.66 | 0.19 ± 0.01 |
| G4 (n = 10) | 0.84 ± 0.08 ** | 6.05 ± 0.38 | 27.91 ± 0.82 * | 58.66 ± 12.91 | 0.19 ± 0.01 |
| G5 (n = 10) | 0.77 ± 0.07 ** | 6.14 ± 0.28 | 28.74 ± 0.72 * | 59.12 ± 12.24 | 0.23 ± 0.03 |
| G6 (n = 10) | 1.25 ± 0.09 | 6.61 ± 0.59 | 26.94 ± 1.54 ** | 39.03 ± 8.48 | 0.23 ± 0.01 |
| Group | FAS | CYP2E1 | CB1 | ERRγ |
|---|---|---|---|---|
| G1 (n = 10) | 1.00 ± 0.32 | 1.00 ± 0.29 | 1.00 ± 0.07 | 1.00 ± 0.04 |
| G2 (n = 10) | 1.14 ± 0.33 | 1.27 ± 0.46 | 0.96 ± 0.08 | 1.00 ± 0.05 |
| G3 (n = 10) | 1.04 ± 0.55 | 2.12 ± 1.69 | 1.03 ± 0.07 | 0.88 ± 0.06 |
| G4 (n = 10) | 0.73 ± 0.19 | 1.35 ± 0.49 | 0.89 ± 0.06 | 0.90 ± 0.07 |
| G5 (n = 10) | 2.97 ± 1.14 | 1.38 ± 0.53 | 0.81 ± 0.06 | 0.91 ± 0.07 |
| G6 (n = 10) | 1.91 ± 0.80 | 0.84 ± 0.17 | 0.86 ± 0.06 | 0.83 ± 0.07 |
| Group | Steatosis Score (Max = 3) | Inflammation Score (Max = 3) | Oil Red O-Positive Area (%) |
|---|---|---|---|
| G1 (n = 10) | 0.34 ± 0.06 | 0.24 ± 0.04 | 0.21 ± 0.04 |
| G2 (n = 10) | 1.00 ± 0.12 ++ | 1.20 ± 0.11 ++ | 2.15 ± 0.60 + |
| G3 (n = 10) | 0.94 ± 0.14 | 0.78 ± 0.08 ** | 1.68 ± 0.27 |
| G4 (n = 10) | 0.80 ± 0.08 | 0.74 ± 0.08 ** | 1.66 ± 0.43 |
| G5 (n = 10) | 0.80 ± 0.09 | 0.64 ± 0.08 ** | 1.70 ± 0.23 |
| G6 (n = 10) | 0.76 ± 0.09 | 0.70 ± 0.10 ** | 1.61 ± 0.25 |
Disclaimer/Publisher’s Note: The statements, opinions and data contained in all publications are solely those of the individual author(s) and contributor(s) and not of MDPI and/or the editor(s). MDPI and/or the editor(s) disclaim responsibility for any injury to people or property resulting from any ideas, methods, instructions or products referred to in the content. |
© 2024 by the authors. Licensee MDPI, Basel, Switzerland. This article is an open access article distributed under the terms and conditions of the Creative Commons Attribution (CC BY) license (https://creativecommons.org/licenses/by/4.0/).
Share and Cite
Kim, U.; Jang, S.-I.; Chen, P.-N.; Horii, S.; Wen, W.-C. Hepatoprotective Effect of Antrodia camphorata Mycelium Powder on Alcohol-Induced Liver Damage. Nutrients 2024, 16, 3406. https://doi.org/10.3390/nu16193406
Kim U, Jang S-I, Chen P-N, Horii S, Wen W-C. Hepatoprotective Effect of Antrodia camphorata Mycelium Powder on Alcohol-Induced Liver Damage. Nutrients. 2024; 16(19):3406. https://doi.org/10.3390/nu16193406
Chicago/Turabian StyleKim, Unyong, Sung-Il Jang, Pei-Ni Chen, Shingo Horii, and Wu-Che Wen. 2024. "Hepatoprotective Effect of Antrodia camphorata Mycelium Powder on Alcohol-Induced Liver Damage" Nutrients 16, no. 19: 3406. https://doi.org/10.3390/nu16193406
APA StyleKim, U., Jang, S.-I., Chen, P.-N., Horii, S., & Wen, W.-C. (2024). Hepatoprotective Effect of Antrodia camphorata Mycelium Powder on Alcohol-Induced Liver Damage. Nutrients, 16(19), 3406. https://doi.org/10.3390/nu16193406
