Amelioration of Ethanol-Induced Gastric Ulcers in Rats Pretreated with Phycobiliproteins of Arthrospira (Spirulina) Maxima
Abstract
1. Introduction
2. Materials and Methods
2.1. Preparation of the Phycobiliprotein Extract (ExPhy)
2.2. LC-MALDI-MS/MS and Data Analysis
2.3. Animals
2.4. Drugs and Chemicals
2.5. Antiulcer Activity and Experimental Design
2.6. Stomach Tissue Preparation
2.7. Biochemical Analysis
Lipoperoxidation Assessment
2.8. Histopathological Examination
2.9. Statistical Analysis
3. Results
3.1. Evaluation of Phycobiliprotein Content and Purity of ExPhy
3.2. LC-MALDI-MS/MS Analysis
3.3. Effect of ExPhy on Ethanol-Induced Gastric Lesions
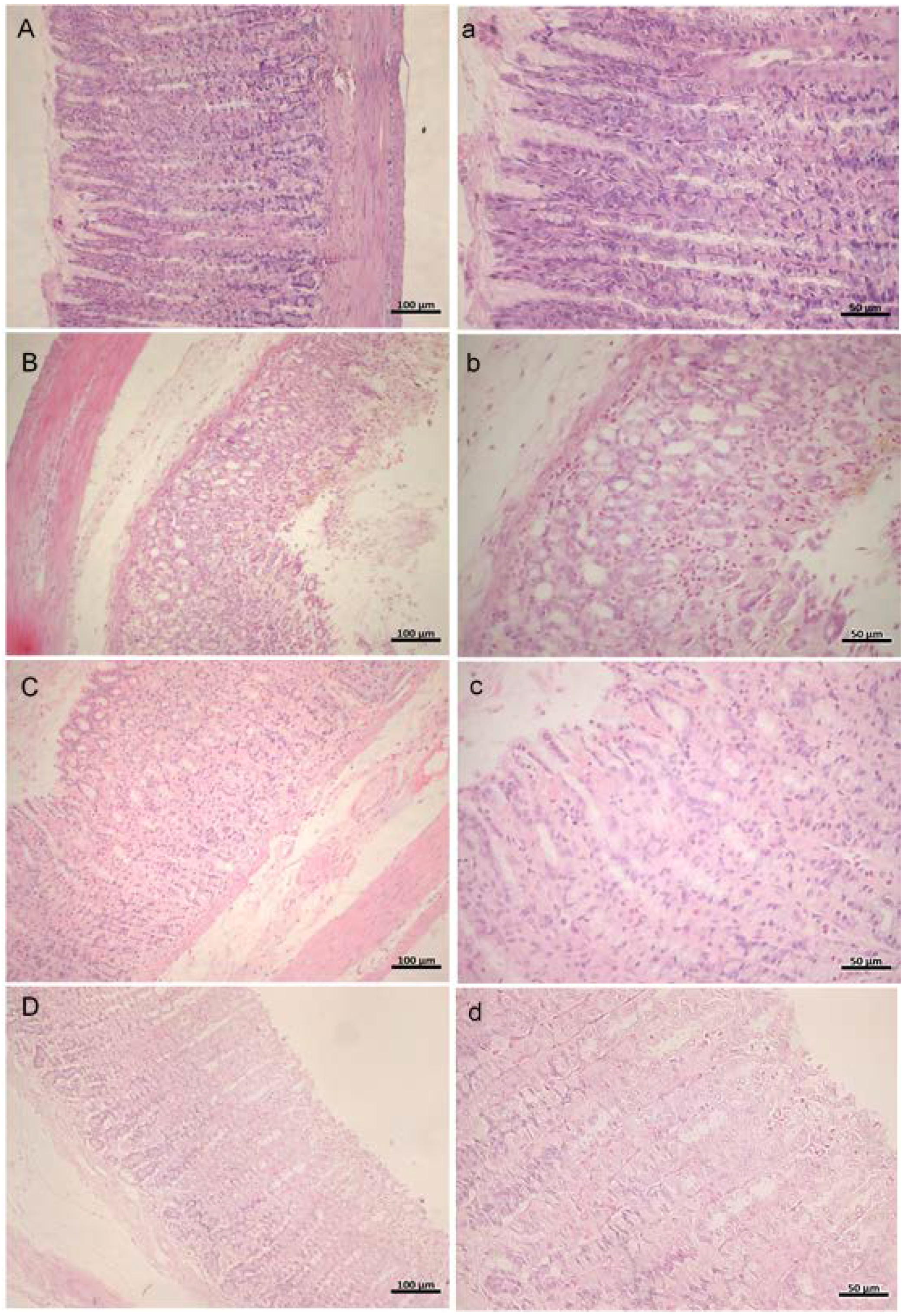
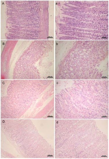
3.4. Histopathology
3.5. MDA and Antioxidant Enzyme Determination
4. Discussion
Supplementary Materials
Author Contributions
Acknowledgments
Conflicts of Interest
References
- Brucker, M.; Faucher, M. Pharmacologic Management of Common Gastrointestinal Health Problems in Women. J. Nurse. Midwifery 1997, 42, 145–162. [Google Scholar] [CrossRef]
- Dimaline, R.; Varro, A. Attack and Defence in the Gastric Epithelium—A Delicate Balance. Exp. Physiol. 2007, 92, 591–601. [Google Scholar] [CrossRef] [PubMed]
- Guslandi, M. Effects of Ethanol on the Gastric Mucosa. Dig. Dis. 1987, 5, 21–32. [Google Scholar] [CrossRef] [PubMed]
- Maity, P.; Biswas, K.; Roy, S.; Banerjee, R.K.; Bandyopadhyay, U. Smoking and the Pathogenesis of Gastroduodenal Ulcer—Recent Mechanistic Update. Mol. Cell. Biochem. 2003, 253, 329–338. [Google Scholar] [CrossRef] [PubMed]
- Spirt, M.J. Stress-Related Mucosal Disease: Risk Factors and Prophylactic Therapy. Clin. Ther. 2017, 26, 197–213. [Google Scholar] [CrossRef]
- Vonkeman, H.E.; Klok, R.M.; Postma, M.J.; Brouwers, J.R.B.J.; van de Laar, M.A.F.J. Direct Medical Costs of Serious Gastrointestinal Ulcers among Users of NSAIDs. Drugs Aging 2007, 24, 681–690. [Google Scholar] [CrossRef] [PubMed]
- Bujanda, L. The Effects of Alcohol Consumption upon the Gastrointestinal Tract. Am. J. Gastroenterol. 2000, 95, 3374–3382. [Google Scholar] [CrossRef] [PubMed]
- Bode, C.; Bode, J.C. Alcohol’s Role in Gastrointestinal Tract Disorders. Alcohol. Health Res. World 1997, 21, 76–83. [Google Scholar] [PubMed]
- Cadirci, E.; Suleyman, H.; Aksoy, H.; Halici, Z.; Ozgen, U.; Koc, A.; Ozturk, N. Effects of Onosma Armeniacum Root Extract on Ethanol-Induced Oxidative Stress in Stomach Tissue of Rats. Chem. Biol. Interact. 2007, 170, 40–48. [Google Scholar] [CrossRef] [PubMed]
- Alimi, H.; Hfaiedh, N.; Bouoni, Z.; Sakly, M.; Ben Rhouma, K. Evaluation of Antioxidant and Antiulcerogenic Activities of Opuntia Ficus Indica F. Inermis Flowers Extract in Rats. Environ. Toxicol. Pharmacol. 2011, 32, 406–416. [Google Scholar] [CrossRef] [PubMed]
- Melchiorri, D.; Sewerynek, E.; Reiter, R.J.; Ortiz, G.G.; Poeggeler, B.; Nisticò, G. Suppressive Effect of Melatonin Administration on Ethanol-Induced Gastroduodenal Injury in Rats in Vivo. Br. J. Pharmacol. 1997, 121, 264–270. [Google Scholar] [CrossRef] [PubMed]
- Pan, J.-S.; He, S.-Z.; Xu, H.-Z.; Zhan, X.-J.; Yang, X.-N.; Xiao, H.-M.; Shi, H.-X.; Ren, J.-L. Oxidative Stress Disturbs Energy Metabolism of Mitochondria in Ethanol-Induced Gastric Mucosa Injury. World J. Gastroenterol. 2008, 14, 5857–5867. [Google Scholar] [CrossRef] [PubMed]
- Arda-Pirincci, P.; Bolkent, S.; Yanardag, R. The Role of Zinc Sulfate and Metallothionein in Protection Against Ethanol-Induced Gastric Damage in Rats. Dig. Dis. Sci. 2006, 51, 2353–2360. [Google Scholar] [CrossRef] [PubMed]
- Vonshak, A. Spirulina Platensis Arthrospira: Physiology, Cell-Biology and Biotechnology; Taylor Francis Press: London, UK, 1997; p. 151. [Google Scholar]
- Al-Dhabi, N.A. Heavy Metal Analysis in Commercial Spirulina Products for Human Consumption. Saudi J. Biol. Sci. 2013, 20, 383–388. [Google Scholar] [CrossRef] [PubMed]
- Campanella, L.; Crescentini, G.; Avino, P. Chemical Composition and Nutritional Evaluation of Some Natural and Commercial Food Products Based on Spirulina. Analusis 1999, 27, 533–540. [Google Scholar] [CrossRef]
- Mao, T.K.; van de Water, J.; Gershwin, M.E. Effect of Spirulina on the Secretion of Cytokines from Peripheral Blood Mononuclear Cells. J. Med. Food 2000, 3, 135–140. [Google Scholar] [CrossRef] [PubMed]
- Hernández-Corona, A.; Nieves, I.; Meckes, M.; Chamorro, G.; Barron, B.L. Antiviral Activity of Spirulina Maxima against Herpes Simplex Virus Type 2. Antivir. Res. 2002, 56, 279–285. [Google Scholar] [CrossRef]
- Piñero Estrada, J. Antioxidant Activity of Different Fractions of Spirulina Platensis Protean Extract. Farmaco 2001, 56, 497–500. [Google Scholar] [CrossRef]
- Chamorro-Cevallos, G.; Garduño-Siciliano, L.; Barrón, B.L.; Madrigal-Bujaidar, E.; Cruz-Vega, D.E.; Pages, N. Chemoprotective Effect of Spirulina (Arthrospira) against Cyclophosphamide-Induced Mutagenicity in Mice. Food Chem. Toxicol. 2008, 46, 567–574. [Google Scholar] [CrossRef] [PubMed]
- Juárez-Oropeza, M.A.; Mascher, D.; Torres-Durán, P.V.; Farias, J.M.; Paredes-Carbajal, M.C. Effects of Dietary Spirulina on Vascular Reactivity. J. Med. Food 2009, 12, 15–20. [Google Scholar] [CrossRef] [PubMed]
- Jatav, S.K.; Kulshrestha, A.; Zacharia, A.; Singh, N.; Tejovathi, G.; Bisen, P.S.; Prasad, G.B.K.S. Spirulina Maxima Protects Liver From Isoniazid and Rifampicin Drug Toxicity. J. Evid. Based. Complement. Altern. Med. 2014, 19, 189–194. [Google Scholar] [CrossRef] [PubMed]
- Sinanoglu, O.; Yener, A.N.; Ekici, S.; Midi, A.; Aksungar, F.B. The Protective Effects of Spirulina in Cyclophosphamide Induced Nephrotoxicity and Urotoxicity in Rats. Urology 2012, 80, 1392.e1–1392.e6. [Google Scholar] [CrossRef] [PubMed]
- Miranda, M.S.; Cintra, R.G.; Barros, S.B.M.; Mancini-Filho, J. Antioxidant Activity of the Microalga Spirulina Maxima. Braz. J. Med. Biol. Res. 1998, 31, 1075–1079. [Google Scholar] [CrossRef] [PubMed]
- Bermejo-Bescós, P.; Piñero-Estrada, E.; Villar del Fresno, Á.M. Neuroprotection by Spirulina Platensis Protean Extract and Phycocyanin against Iron-Induced Toxicity in SH-SY5Y Neuroblastoma Cells. Toxicol. Vitr. 2008, 22, 1496–1502. [Google Scholar] [CrossRef] [PubMed]
- Romay, C.; Delgado, R.; Remirez, D.; Gonzalez, R.; Rojas, A. Effects of Phycocyanin Extract on Tumor Necrosis Factor-α and Nitrite Levels in Serum of Mice Treated with Endotoxin. Arzneimittelforschung 2001, 51, 733–736. [Google Scholar] [CrossRef] [PubMed]
- González, R.; Rodríguez, S.; Romay, C.; Ancheta, O.; González, A.; Armesto, J.; Remirez, D.; Merino, N. Anti-Inflammatory Activity of Phycocyanin Extract in Acetic Acid-Induced Colitis in Rats. Pharmacol. Res. 1999, 39, 55–59. [Google Scholar] [CrossRef] [PubMed]
- Remirez, D.; González, A.; Merino, N.; González, R.; Ancheta, O.; Romay, C.; Rodríguez, S. Effect of Phycocyanin in Zymosan-Induced Arthritis in Mice—Phycocyanin as an Antiarthritic Compound. Drug Dev. Res. 1999, 48, 70–75. [Google Scholar] [CrossRef]
- Cruz de Jesús, V. Methods for Extraction, Isolation and Purification of C-Phycocyanin: 50 Years of Research in Review. Int. J. Food Nutr. Sci. 2016, 3, 1–10. [Google Scholar]
- Bennett, A.; Bogorad, L. Complementary Chromatic Adaption in a Filamentous Blue-Green Alga. J. Cell. Biol. 1973, 58, 419–435. [Google Scholar]
- Boussiba, S.; Richmond, A.E. Isolation and Characterization of Phycocyanins from the Blue-Green Alga Spirulina Platensis. Arch. Microbiol. 1979, 120, 155–159. [Google Scholar] [CrossRef]
- Gallagher, S.R. One-Dimensional SDS Gel Electrophoresis of Proteins. Curr. Protoc. Protein Sci. 2012, 1, 1–44. [Google Scholar]
- Shevchenko, A.; Tomas, H.; Havli, J.; Olsen, J.V.; Mann, M. In-Gel Digestion for Mass Spectrometric Characterization of Proteins and Proteomes. Nat. Protoc. 2007, 1, 2856. [Google Scholar] [CrossRef] [PubMed]
- Shilov, I.V.; Seymour, S.L.; Patel, A.A.; Loboda, A.; Tang, W.H.; Keating, S.P.; Hunter, C.L.; Nuwaysir, L.M.; Schaeffer, D.A. The Paragon Algorithm, a Next Generation Search Engine That Uses Sequence Temperature Values and Feature Probabilities to Identify Peptides from Tandem Mass Spectra. Mol. Cell. Proteom. 2007, 6, 1638–1655. [Google Scholar] [CrossRef] [PubMed]
- Almasaudi, S.B.; El-Shitany, N.A.; Abbas, A.T.; Abdel-Dayem, U.A.; Ali, S.S.; Al Jaouni, S.K.; Harakeh, S. Antioxidant, Anti-Inflammatory, and Antiulcer Potential of Manuka Honey against Gastric Ulcer in Rats. Oxid. Med. Cell. Longev. 2016, 2016, 1–10. [Google Scholar] [CrossRef] [PubMed]
- Alirezaei, M.; Dezfoulian, O.; Neamati, S.; Rashidipour, M.; Tanideh, N.; Kheradmand, A. Oleuropein Prevents Ethanol-Induced Gastric Ulcers via Elevation of Antioxidant Enzyme Activities in Rats. J. Physiol. Biochem. 2012, 68, 583–592. [Google Scholar] [CrossRef] [PubMed]
- Adinortey, M.B.; Ansah, C.; Galyuon, I.; Nyarko, A. In Vivo Models Used for Evaluation of Potential Antigastroduodenal Ulcer Agents. Ulcers 2013, 2013, 1–12. [Google Scholar] [CrossRef]
- Paglia, D.E.; Valentine, W.N. Studies on the Quantitative and Qualitative Characterization of Erytrocyte Glutathione Peroxidase. J. Lab. Clin. Med. 1967, 70, 158–169. [Google Scholar] [PubMed]
- Mccord, J.; Fridovich, I.; McCOrd, J.M.; Fridovich, I. Superoxide Dismutase. An Enzymic Function for Erythrocuprein (Hemocuprein). J. Biol. Chem. J. Biol. Chem. 1969, 244, 6049–6055. [Google Scholar] [PubMed]
- Aebi, H. Catalase in vitro. In Oxygen Radicals in Biological Systems; Academic Press: Cambridge, MA, USA, 1984; Volume 105, pp. 121–126. [Google Scholar]
- Bradford, M.M. A Rapid and Sensitive Method for the Quantitation of Microgram Quantities of Protein Utilizing the Principle of Protein-Dye Binding. Anal. Biochem. 1976, 72, 248–254. [Google Scholar] [CrossRef]
- Esterbauer, H.; Cheeseman, K.H. Determination of Aldehydic Lipid Peroxidation Products: Malonaldehyde and 4-Hydroxynonenal. In Oxygen Radicals in Biological Systems Part B: Oxygen Radicals and Antioxidants; Academic Press: Cambridge, MA, USA, 1990; Volume 186, pp. 407–421. [Google Scholar]
- Vimala, G.; Gricilda Shoba, F. A Review on Antiulcer Activity of Few Indian Medicinal Plants. Int. J. Microbiol. 2014, 2014, 1–14. [Google Scholar] [CrossRef] [PubMed]
- Al-Wajeeh, N.S.; Halabi, M.F.; Hajrezaie, M.; Dhiyaaldeen, S.M.; Bardi, D.A.; Salama, S.M.; Rouhollahi, E.; Karimian, H.; Abdolmalaki, R.; Azizan, A.H.S.; et al. The Gastroprotective Effect of Vitex Pubescens Leaf Extract against Ethanol-Provoked Gastric Mucosal Damage in Sprague-Dawley Rats. PLoS ONE 2016, 11, 179072. [Google Scholar] [CrossRef] [PubMed]
- Gutiérrez-Salmeán, G.; Fabila-Castillo, L.; Chamorro-Cevallos, G. Aspectos Nutricionales Y Toxicológicos de Spirulina (Arthrospira). Nutr. Hosp. 2015, 32, 34–40. [Google Scholar] [PubMed]
- Viskari, P.J.; Colyer, C.L. Separation and Quantitation of Phycobiliproteins Using Phytic Acid in Capillary Electrophoresis with Laser-Induced Fluorescence Detection. J. Chromatogr. A 2002, 972, 269–276. [Google Scholar] [CrossRef]
- Bryant, D.A.; Guglielmi, G.; de Marsac, N.T.; Castets, A.M.; Cohen-Bazire, G. The Structure of Cyanobacterial Phycobilisomes: A Model. Arch. Microbiol. 1979, 123, 113–127. [Google Scholar] [CrossRef]
- Singh, N.K.; Sonani, R.R.; Prasad Rastogi, R.; Madamwar, D. The Phycobilisomes: An Early Requisite for Efficient Photosynthesis in Cyanobacteria. EXCLI J. 2015, 14, 268–289. [Google Scholar] [PubMed]
- Scheer, H.; Zhao, K.H. Biliprotein Maturation: The Chromophore Attachment. Mol. Microbiol. 2008, 68, 263–276. [Google Scholar] [CrossRef] [PubMed]
- Rito-Palomares, M.; Nuez, L.; Amador, D. Practical Application of Aqueous Two-Phase Systems for the Development of a Prototype Process for c-Phycocyanin Recovery from Spirulina Maxima. J. Chem. Technol. Biotechnol. 2001, 76, 1273–1280. [Google Scholar] [CrossRef]
- Cherdkiatikul, T.; Suwanwong, Y. Production of the α and β Subunits of Spirulina Allophycocyanin and C-Phycocyanin in Escherichia Coli: A Comparative Study of Their Antioxidant Activities. J. Biomol. Screen. 2014, 19, 959–965. [Google Scholar] [CrossRef] [PubMed]
- Romay, C.; Armesto, J.; Remirez, D.; González, R.; Ledon, N.; García, I. Antioxidant and Anti-Inflammatory Properties of C-Phycocyanin from Blue-Green Algae. Inflamm. Res. 1998, 47, 36–41. [Google Scholar] [CrossRef] [PubMed]
- Romay, C.; Gonzalez, R.; Ledon, N.; Remirez, D.; Rimbau, V. C-Phycocyanin: A Biliprotein with Antioxidant, Anti-Inflammatory and Neuroprotective Effects. Curr. Protein Pept. Sci. 2003, 4, 207–216. [Google Scholar] [CrossRef] [PubMed]
- Reddy, M.C.; Subhashini, J.; Mahipal, S.V.; Bhat, V.B.; Srinivas Reddy, P.; Kiranmai, G.; Madyastha, K.; Reddanna, P. C-Phycocyanin, a Selective Cyclooxygenase-2 Inhibitor, Induces Apoptosis in Lipopolysaccharide-Stimulated RAW 264.7 Macrophages. Biochem. Biophys. Res. Commun. 2003, 304, 385–392. [Google Scholar] [CrossRef]
- Belay, A. The Potential Application of Spirulina (Arthrospira) as a Nutritional Health and Therapeutic Supplement in Health Management. J. Am. Nutr. Assoc. 2002, 5, 27–48. [Google Scholar]
- El Sheikh, S.M.; Shalaby, M.A.M.; Hafez, R.A.; Metwally, W.S.A.; El-Ayoty, Y.M. The Immunomodulatory Effects of Probiotic Bacteria on Peripheral Blood Mononuclear Cells (PBMCS) of Allergic Patients. Am. J. Immunol. 2014, 10, 116–130. [Google Scholar] [CrossRef]
- Atmaca, G. Antioxidant Effects of Sulfur-Containing Amino Acids. Yonsei Med. J. 2004, 45, 776–788. [Google Scholar] [CrossRef] [PubMed]
- Ou, Y.; Zheng, S.; Lin, L.; Jiang, Q.; Yang, X. Chemico-Biological Interactions Protective Effect of C-Phycocyanin against Carbon Tetrachloride-Induced Hepatocyte Damage in Vitro and in Vivo. Chem. Biol. Interact. 2010, 185, 94–100. [Google Scholar] [CrossRef] [PubMed]
- Kumari, R.P.; Anbarasu, K. Protective Role of C-Phycocyanin Against Secondary Changes During Sodium Selenite Mediated Cataractogenesis. Nat. Products Bioprospect. 2014, 4, 81–89. [Google Scholar] [CrossRef] [PubMed]
- Fernandez-Rojas, B.; Medina-Campos, O.N.; Hernandez-Pando, R.; Negrette-Guzman, M.; Huerta-Yepez, S.; Pedraza-Chaverri, J. C-Phycocyanin Prevents Cisplatin-Induced Nephrotoxicity through Inhibition of Oxidative Stress. Food Funct. 2014, 5, 480–490. [Google Scholar] [CrossRef] [PubMed]
- Lulu, D.J.; Dragstedt, L.R. Massive Bleeding Due to Acute Hemorrhagic Gastritis. Arch. Surg. 1970, 101, 550–554. [Google Scholar] [CrossRef] [PubMed]
- Søreide, K.; Thorsen, K.; Harrison, E.M.; Bingener, J.; Møller, M.H.; Ohene-Yeboah, M.; Søreide, J.A. Perforated Peptic Ulcer. Lancet 2015, 386, 1288–1298. [Google Scholar] [CrossRef]
- Bighetti, A.E.; Antônio, M.A.; Kohn, L.K.; Rehder, V.L.G.; Foglio, M.A.; Possenti, A.; Vilela, L.; Carvalho, J.E. Antiulcerogenic Activity of a Crude Hydroalcoholic Extract and Coumarin Isolated from Mikania Laevigata Schultz Bip. Phytomedicine 2005, 12, 72–77. [Google Scholar] [CrossRef] [PubMed]
- Diniz D’Souza, R.S.; Dhume, V.G. Gastric Cytoprotection. Indian J. Physiol. Pharmacol. 1991, 35, 88–98. [Google Scholar]
- Ben Barka, Z.; Tlili, M.; Alimi, H.; Ben Miled, H.; Ben Rhouma, K.; Sakly, M.; Ksouri, R.; Schneider, Y.J.; Tebourbi, O. Protective Effects of Edible Rhus Tripartita (Ucria) Stem Extract against Ethanol-Induced Gastric Ulcer in Rats. J. Funct. Foods 2017, 30, 260–269. [Google Scholar] [CrossRef]
- Antonisamy, P.; Duraipandiyan, V.; Aravinthan, A.; Al-Dhabi, N.A.; Ignacimuthu, S.; Choi, K.C.; Kim, J.H. Protective Effects of Friedelin Isolated from Azima Tetracantha Lam. against Ethanol-Induced Gastric Ulcer in Rats and Possible Underlying Mechanisms. Eur. J. Pharmacol. 2015, 750, 167–175. [Google Scholar] [CrossRef] [PubMed]
- Sevimli Gur, C.; Erdogan, D.K.; Onbasılar, I.; Atilla, P.; Cakar, N.; Deliloglu Gurhan, I. In Vitro and in Vivo Investigations of the Wound Healing Effect of Crude Spirulina Extract and C-Phycocyanin. J. Med. Plants Res. 2013, 7, 425–433. [Google Scholar]
- Morais, M.; da Silva Vaz, B.; Morais, E.; Costa, J.A. Biological Effects of Spirulina (Arthrospira) Biopolymers and Biomass in the Development of Nanostructured Scaffolds. BioMed Res. Int. 2014, 2014, 1–9. [Google Scholar] [CrossRef] [PubMed]
- Zakaria, Z.A.; Abdul Hisam, E.E.; Rofiee, M.S.; Norhafizah, M.; Somchit, M.N.; Teh, L.K.; Salleh, M.Z. In Vivo Antiulcer Activity of the Aqueous Extract of Bauhinia Purpurea Leaf. J. Ethnopharmacol. 2011, 137, 1047–1054. [Google Scholar] [CrossRef] [PubMed]
- Rozza, A.L.; Hiruma-Lima, C.A.; Takahira, R.K.; Padovani, C.R.; Pellizzon, C.H. Effect of Menthol in Experimentally Induced Ulcers: Pathways of Gastroprotection. Chem. Biol. Interact. 2013, 206, 272–278. [Google Scholar] [CrossRef] [PubMed]
- Yao, J. Tiao He Yi Wei Granule, a Traditional Chinese Medicine, against Ethanol-Induced Gastric Ulcer in Mice. Evidence-based Complement. Altern. Med. 2015, 2015, 1–8. [Google Scholar]
- Hamauzu, Y.; Forest, F.; Hiramatsu, K.; Sugimoto, M. Effect of Pear (Pyrus Communis L.) Procyanidins on Gastric Lesions Induced by HCl/ethanol in Rats. Food Chem. 2007, 100, 255–263. [Google Scholar] [CrossRef]
- Naito, Y.; Yoshikawa, T.; Matsuyama, K.; Yagi, N.; Arai, M.; Nakamura, Y.; Kaneko, T.; Nishimura, S.; Yoshida, N.; Kondo, M. Role of Lipid Peroxidation and Neutrophil Accumulation in the Gastric Mucosal Injury Induced by Aspirin-HCl in Rats Effect of Roxatidine, a Histamine H2receptor Antagonist with Antioxidative Properties. Pathophysiology 1995, 2, 1–8. [Google Scholar] [CrossRef]
- Kobayashi, T.; Ohta, Y.; Yoshino, J.; Nakazawa, S. Teprenone Promotes the Healing of Acetic Acid-Induced Chronic Gastric Ulcers in Rats by Inhibiting Neutrophil Infiltration and Lipid Peroxidation in Ulcerated Gastric Tissues. Pharmacol. Res. 2001, 43, 23–30. [Google Scholar] [CrossRef] [PubMed]
- Romay, C.; Ledón, N.; González, R. Further Studies on Anti-Inflammatory Activity of Phycocyanin in Some Animal Models of Inflammation. Inflamm. Res. 1998, 47, 334–338. [Google Scholar] [CrossRef] [PubMed]
- Romay, C.; Ledón, N.; González, R. Phycocyanin Extract Reduces Leukotriene B4 Levels in Arachidonic Acid-Induced Mouse-Ear Inflammation Test. J. Pharm. Pharmacol. 1999, 51, 641–642. [Google Scholar] [CrossRef] [PubMed]
- Carlson, R.P.; Lynn, O.-D.; Chang, J.; Lewis, A.J. Modulation of Mouse Ear Edema by Cyclooxygenase and Lipoxygenase Inhibitors and other Pharmacologic Agents. Agents Actions 1985, 17, 197–204. [Google Scholar] [CrossRef] [PubMed]
- El-Naga, R.N. Apocynin Protects against Ethanol-Induced Gastric Ulcer in Rats by Attenuating the Upregulation of NADPH Oxidases 1 and 4. Chem. Biol. Interact. 2015, 242, 317–326. [Google Scholar] [CrossRef] [PubMed]
- Sun, Q.; Zhong, W.; Zhang, W.; Zhou, Z. Defect of Mitochondrial Respiratory Chain Is a Mechanism of ROS Overproduction in a Rat Model of Alcoholic Liver Disease: Role of Zinc Deficiency. Am. J. Physiol. Gastrointest. Liver Physiol. 2016, 310, G205–G214. [Google Scholar] [CrossRef] [PubMed]
- Tamura, M.; Matsui, H.; Kaneko, T.; Hyodo, I. Alcohol Is an Oxidative Stressor for Gastric Epithelial Cells: Detection of Superoxide in Living Cells. J. Clin. Biochem. Nutr. 2013, 53, 75–80. [Google Scholar] [CrossRef] [PubMed]
- Mittal, M.; Siddiqui, M.R.; Tran, K.; Reddy, S.P.; Malik, A.B. Reactive Oxygen Species in Inflammation and Tissue Injury. Antioxid. Redox Signal. 2014, 20, 1126–1167. [Google Scholar] [CrossRef] [PubMed]
- Ligumsky, M.; Sestieri, M.; Okon, E.; Ginsburg, I. Antioxidants Inhibit Ethanol-Induced Gastric Injury in the Rat: Role of Manganese, Glycine, and Carotene. Scand. J. Gastroenterol. 1995, 30, 854–860. [Google Scholar] [CrossRef]
- Neamati, S.; Alirezaei, M.; Kheradmand, A. Ghrelin Acts as an Antioxidant Agent in the Rat Kidney. Int. J. Pept. Res. Ther. 2011, 17, 239. [Google Scholar] [CrossRef]
- Li, X.L.; Xu, G.; Chen, T.; Wong, Y.S.; Zhao, H.L.; Fan, R.R.; Gu, X.M.; Tong, P.C.Y.; Chan, J.C.N. Phycocyanin Protects INS-1E Pancreatic Beta Cells against Human Islet Amyloid Polypeptide-Induced Apoptosis through Attenuating Oxidative Stress and Modulating JNK and P38 Mitogen-Activated Protein Kinase Pathways. Int. J. Biochem. Cell Biol. 2009, 41, 1526–1535. [Google Scholar] [CrossRef] [PubMed]
- Jeon, W.-Y.; Shin, I.-S.; Shin, H.-K.; Lee, M.-Y. Gastroprotective Effect of the Traditional Herbal Medicine, Sipjeondaebo-Tang Water Extract, against Ethanol-Induced Gastric Mucosal Injury. BMC Complement. Altern. Med. 2014, 14, 373. [Google Scholar] [CrossRef] [PubMed]
- Dursun, H.; Bilici, M.; Albayrak, F.; Ozturk, C.; Saglam, M.B.; Alp, H.H.; Suleyman, H. Antiulcer Activity of Fluvoxamine in Rats and Its Effect on Oxidant and Antioxidant Parameters in Stomach Tissue. BMC Gastroenterol. 2009, 9, 1–10. [Google Scholar] [CrossRef] [PubMed]
- Rodriguez-Sanchez, R.; Ortiz-Butron, R.; Blas-Valdivia, V.; Hernandez-Garcia, A.; Cano-Europa, E. Phycobiliproteins or C-Phycocyanin of Arthrospira (Spirulina) Maxima Protect against HgCl2-Caused Oxidative Stress and Renal Damage. Food Chem. 2012, 135, 2359–2365. [Google Scholar] [CrossRef] [PubMed]



| Phycobiliprotein | Concentration (mg/mL) | Purity Ratio A620/A280 (C-PC) A652/A280 (APC) |
|---|---|---|
| C-PC | 0.40 | 0.86 |
| APC | 0.56 | 0.81 |
| No. | Spot No. | Accession | Protein | Unused | % Cov | MW (Da) |
|---|---|---|---|---|---|---|
| 1 | 1, 2, 3, 4 | tr|Q8VRJ2 | Phycocyanin alpha chain | 16 | 69.75309 | 17,600 |
| 2 | 1, 2, 3, 4 | tr|Q7BA94 | Phycocyanin beta chain | 10.44 | 78.48837 | 18,094 |
| 3 | 1, 2, 3, 4 | tr|B5VUA2 | Allophycocyanin, beta subunit | 8 | 82.60869 | 17,330 |
| 4 | 1, 3, 4 | tr|B5W3K3 | Allophycocyanin, beta subunit | 4.85 | 56.80473 | 18,442 |
| 5 | 1, 2, 3, 4 | tr|B5W789 | Phycobilisome linker polypeptide | 2.8 | 52.7559 | 29,427 |
| 6 | 1, 2, 3 | tr|B5VV49 | Phycobilisome linker polypeptide | 2.75 | 30.90278 | 32,509 |
| 7 | 2 | tr|B5VV50 | Phycobilisome linker polypeptide | 3.67 | 59.77859 | 30,834 |
| 8 | 3, 4 | tr|B5W2H7 | Phycobilisome protein | 8.72 | 55.90062 | 18,002 |
| 9 | 1, 2, 3, 4 | tr|B5VUA1 | Phycobilisome protein | 9.49 | 80.12422 | 17,392 |
| Groups | Pretreatment | Ulcer Index (mm2) | Protection Percentage (%) |
|---|---|---|---|
| I | Vehicle control | 0 * | 0 |
| II | Ulcer control | 13.73 ± 1.50 | 0 |
| III | Omeprazole (40 mg/kg) | 1.32 ± 0.96 * | 90.36 |
| IV | ExPhy (100 mg/kg) | 8.91 ± 0.87 * | 35.10 |
| V | ExPhy (200 mg/kg) | 6.61 ± 1.10 * | 51.87 |
| VI | ExPhy (400 mg/kg) | 5.13 ± 0.94 * | 62.62 |
© 2018 by the authors. Licensee MDPI, Basel, Switzerland. This article is an open access article distributed under the terms and conditions of the Creative Commons Attribution (CC BY) license (http://creativecommons.org/licenses/by/4.0/).
Share and Cite
Guzmán-Gómez, O.; García-Rodríguez, R.V.; Quevedo-Corona, L.; Pérez-Pastén-Borja, R.; Rivero-Ramírez, N.L.; Ríos-Castro, E.; Pérez-Gutiérrez, S.; Pérez-Ramos, J.; Chamorro-Cevallos, G.A. Amelioration of Ethanol-Induced Gastric Ulcers in Rats Pretreated with Phycobiliproteins of Arthrospira (Spirulina) Maxima. Nutrients 2018, 10, 763. https://doi.org/10.3390/nu10060763
Guzmán-Gómez O, García-Rodríguez RV, Quevedo-Corona L, Pérez-Pastén-Borja R, Rivero-Ramírez NL, Ríos-Castro E, Pérez-Gutiérrez S, Pérez-Ramos J, Chamorro-Cevallos GA. Amelioration of Ethanol-Induced Gastric Ulcers in Rats Pretreated with Phycobiliproteins of Arthrospira (Spirulina) Maxima. Nutrients. 2018; 10(6):763. https://doi.org/10.3390/nu10060763
Chicago/Turabian StyleGuzmán-Gómez, Oscar, Rosa Virginia García-Rodríguez, Lucía Quevedo-Corona, Ricardo Pérez-Pastén-Borja, Nora Lilia Rivero-Ramírez, Emmanuel Ríos-Castro, Salud Pérez-Gutiérrez, Julia Pérez-Ramos, and Germán Alberto Chamorro-Cevallos. 2018. "Amelioration of Ethanol-Induced Gastric Ulcers in Rats Pretreated with Phycobiliproteins of Arthrospira (Spirulina) Maxima" Nutrients 10, no. 6: 763. https://doi.org/10.3390/nu10060763
APA StyleGuzmán-Gómez, O., García-Rodríguez, R. V., Quevedo-Corona, L., Pérez-Pastén-Borja, R., Rivero-Ramírez, N. L., Ríos-Castro, E., Pérez-Gutiérrez, S., Pérez-Ramos, J., & Chamorro-Cevallos, G. A. (2018). Amelioration of Ethanol-Induced Gastric Ulcers in Rats Pretreated with Phycobiliproteins of Arthrospira (Spirulina) Maxima. Nutrients, 10(6), 763. https://doi.org/10.3390/nu10060763

