- Letter
Detection of IgM/IgG Antibodies to the Novel Coronavirus (SARS-CoV-2) in Cardiology Caregivers Using a Qualitative Detection Kit
- Sara Schukraft,
- Benoît Fellay,
- Mario Togni,
- Jean-Luc Magnin,
- Patrice Nordmann and
- Stéphane Cook
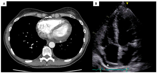
Since 25 February 2020, Switzerland has been affected by the coronavirus disease-2019 (COVID- 19) pandemic and has one of the highest number of cases per capita in the world. Cardiology caregivers are also at risk [...]

