COVID-19 Serology-Based Testing in Pericarditis: A Case Report
Abstract
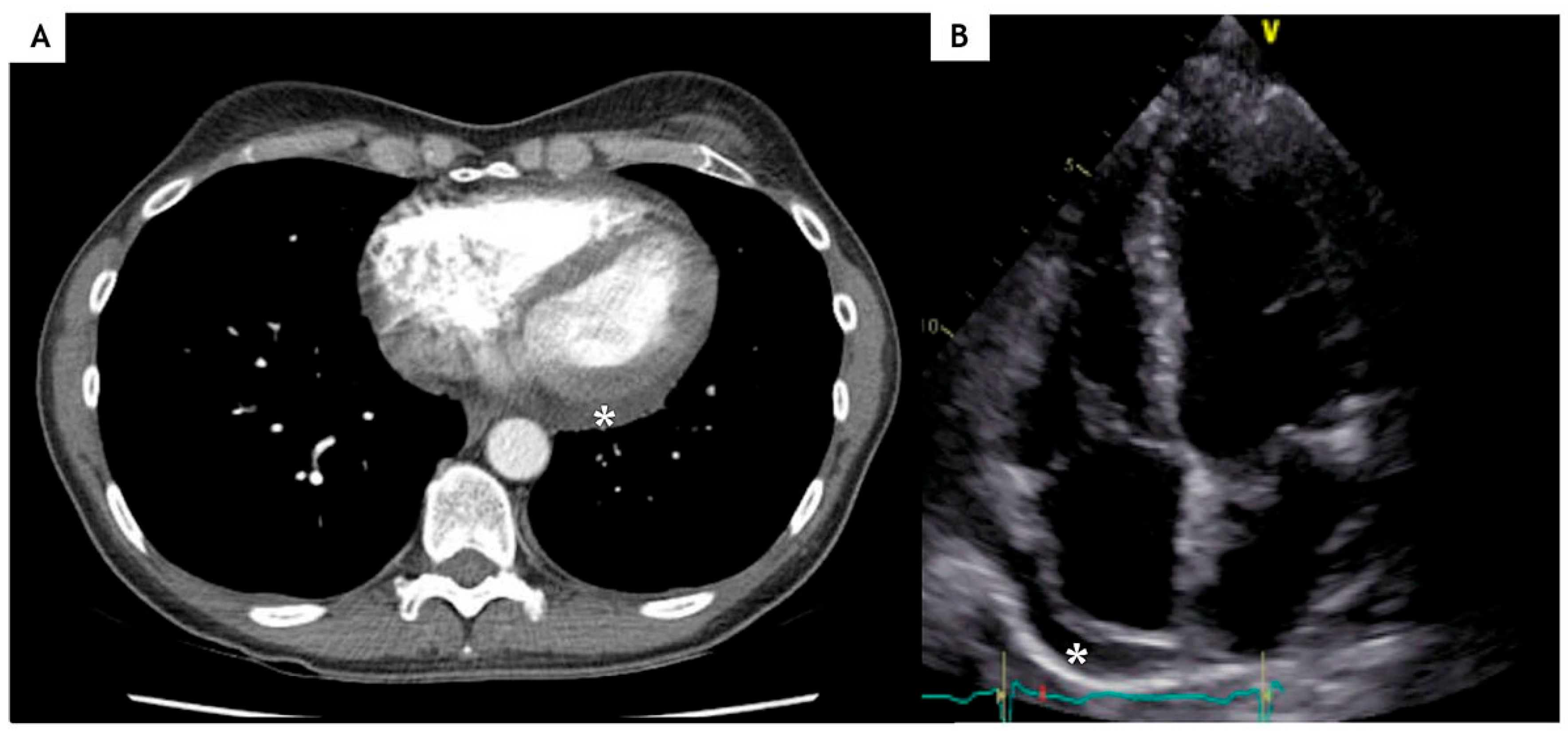
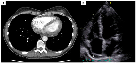
Case description
Discussion
Funding
Informed Consent Statement
Conflicts of Interest
References
- Adler, Y.; Charron, P.; Imazio, M.; Badano, L.; Barón-Esquivias, G.; Bogaert, J.; et al. ESC Scientific Document Group. 2015 ESC Guidelines for the diagnosis and management of pericardial diseases: The Task Force for the Diagnosis and Management of Pericardial Diseases of the European Society of Cardiology (ESC) Endorsed by: The European Association for Cardio-Thoracic Surgery (EACTS). Eur Heart J. 2015, 36, 2921–2964. [Google Scholar] [CrossRef] [PubMed]
- Marty, F.M.; Chen, K.; Verrill, K.A. How to Obtain a Nasopharyngeal Swab Specimen. N Engl J Med. 2020, 382. [Google Scholar] [CrossRef] [PubMed]
- Coronavirus (COVID-19) Rapid Test | Your Reliable Supplier of IVD Products. 2020. Available online: https://www.surebiotech.com/rapid-test/ coronavirus-covid-19-rapid-test/.
- Inciardi, R.M.; Lupi, L.; Zaccone, G.; Italia, L.; Raffo, M.; Tomasoni, D.; et al. Cardiac Involvement in a Patient With Coronavirus Disease 2019 (COVID-19). JAMA Cardiol. 2020. [Google Scholar] [CrossRef] [PubMed]

© 2020 by the author. Attribution - Non-Commercial - NoDerivatives 4.0.
Share and Cite
Sara, S.; Jean-Luc, M.; Stéphane, C. COVID-19 Serology-Based Testing in Pericarditis: A Case Report. Cardiovasc. Med. 2020, 23, w02115. https://doi.org/10.4414/cvm.2020.02115
Sara S, Jean-Luc M, Stéphane C. COVID-19 Serology-Based Testing in Pericarditis: A Case Report. Cardiovascular Medicine. 2020; 23(4):w02115. https://doi.org/10.4414/cvm.2020.02115
Chicago/Turabian StyleSara, Schukraft, Magnin Jean-Luc, and Cook Stéphane. 2020. "COVID-19 Serology-Based Testing in Pericarditis: A Case Report" Cardiovascular Medicine 23, no. 4: w02115. https://doi.org/10.4414/cvm.2020.02115
APA StyleSara, S., Jean-Luc, M., & Stéphane, C. (2020). COVID-19 Serology-Based Testing in Pericarditis: A Case Report. Cardiovascular Medicine, 23(4), w02115. https://doi.org/10.4414/cvm.2020.02115
