Sudden Unexpected Death Caused by Cardiac Metastasization from Histiocytic Sarcoma
Abstract
:1. Introduction
2. Materials and Methods
3. Results
3.1. Autopsy Findings
3.2. Toxicology Analysis
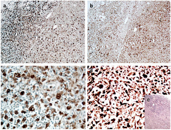
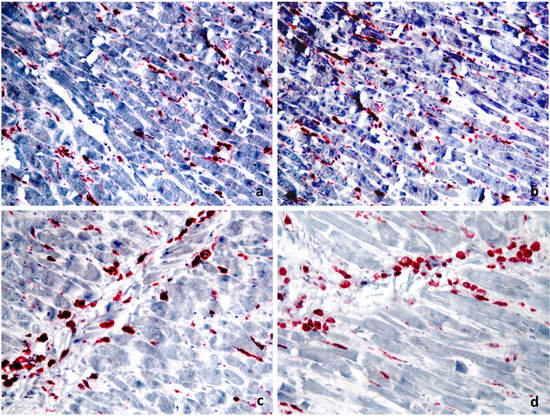
3.3. Histology and Immunohistochemistry. Microscopic Findings
4. Discussion
5. Conclusions
Author Contributions
Funding
Institutional Review Board Statement
Informed Consent Statement
Data Availability Statement
Conflicts of Interest
References
- Levine, E.G.; Hanson, C.A.; Jaszcz, W.; Peterson, B.A. True histiocytic lymphoma. Semin. Oncol. 1991, 18, 39–49. [Google Scholar] [PubMed]
- Hornick, J.L.; Jaffe, E.S.; Fletcher, C.D. Extranodal histiocytic sarcoma: Clinicopathologic analysis of 14 cases of a rare epithelioid malignancy. Am. J. Surg. Pathol. 2004, 28, 1133–1144. [Google Scholar] [CrossRef]
- Swerdlow, S.H.; Campo, E.; Harris, N.L.; Jaffe, E.S.; Pileri, S.A. WHO Classification of Tumours of Haematopoietic and Lymphoid Tissues, 4th ed.; IARC Press: Lyon, France, 2017; p. 467. [Google Scholar]
- Perrone, M.A.; Intorcia, A.; Morgagni, R.; Marchei, M.; Sergi, D.; Pugliese, L.; Ferrante, P.; Chiocchi, M.; Borzi, M.; Romeo, F. Primary cardiac lymphoma: The role of multimodality imaging. J. Cardiovasc Med. 2018, 19, 455–458. [Google Scholar] [CrossRef] [PubMed]
- Rose-Inman, H.; Kuehl, D. Acute leukemia. Emerg. Med. Clin. N. Am. 2014, 32, 579–596. [Google Scholar] [CrossRef] [PubMed]
- Mansueto, G.; Di Vito, A.; Belluomo, C.; Murino, P.; Natella, V.; Camastra, C.; Presta, I.; Malara, N.; de Rosa, G.; Donato, G.; et al. A case of intravascular large B cell lymphoma: New clinical and immunohistochemical findings. Neuropathology 2016, 36, 496–503. [Google Scholar] [CrossRef] [PubMed]
- Dierksen, J.; Buja, L.M.; Chen, L. Clinicopathologic Findings of Hematological Malignancy: A Retrospective Autopsy Study. Ann. Clin. Lab. Sci. 2015, 45, 565–573. [Google Scholar] [PubMed]
- Warnke, R.; Weiss, L.; Chan, J.; Cleary, M.; Dorfman, R. Tumours of the Lymph Nodes and Spleen; Armed Forces Institute of Pathology: Washington, DC, USA, 1995. [Google Scholar]
- Wilson, M.S.; Weiss, L.M.; Gatter, K.C.; Mason, D.Y.; Dorfman, R.F.; Warnke, R.A. Malignant histiocytosis. A reassessment of cases previously reported in 1975 based on paraffin section immunophenotyping studies. Cancer 1990, 66, 530–536. [Google Scholar] [CrossRef]
- Sun, W.; Nordberg, M.L.; Fowler, M.R. Histiocytic sarcoma involving the central nervous system: Clinical, immunohistochemical, and molecular genetic studies of a case with review of the literature. Am. J. Surg. Pathol. 2003, 27, 258–265. [Google Scholar] [CrossRef]
- Zhang, X.; Kryston, J.J.; Michalak, W.A.; Zhang, K.; Lin, F.; Schuerch, C. Histiocytic sarcoma in the small intestine: A case report with flow cytometry study and review of the literature. Pathol. Res. Pract. 2008, 204, 763–770. [Google Scholar] [CrossRef]
- Franchino, C.; Reich, C.; Distenfeld, A.; Ubriaco, A.; Knowles, D.M. A clinicopathologically distinctive primary splenic histiocytic neoplasm. Demonstration of its histiocyte derivation by immunophenotypic and molecular genetic analysis. Am. J. Surg. Pathol. 1988, 12, 398–404. [Google Scholar] [CrossRef]
- Kobayashi, S.; Kimura, F.; Hama, Y.; Ogura, K.; Torikai, H.; Kobayashi, A.; Ikeda, T.; Sato, K.; Aida, S.; Kosuda, S.; et al. Histiocytic sarcoma of the spleen: Case report of asymptomatic onset of thrombocytopenia and complex imaging features. Int. J. Hematol. 2008, 87, 83–87. [Google Scholar] [CrossRef] [PubMed]
- Akishima, Y.; Akasaka, Y.; Yih-Chang, G.; Ito, K.; Ishikawa, Y.; Lijun, Z.; Kiguchi, H.; Lipscomb, G.; Strong, J.P.; Ishii, T. Histiocytic sarcoma with fatal duodenal ulcers. Pathol. Res. Pract. 2004, 200, 473–478. [Google Scholar] [CrossRef] [PubMed]
- Haynes, H.R.; Melegh, Z.; Vanjani, S.; Cieka, M.; Beavers, S.; Rooney, N.; Purdue, B. Sudden unexpected death from an undiagnosed histiocytic sarcoma in an adolescent female. Forensic Sci. Med. Pathol. 2016, 12, 486–490. [Google Scholar] [CrossRef] [PubMed]
- Bonsignore, A.; Palmiere, C.; Buffelli, F.; Maselli, E.; Marzullo, A.; Orcioni, G.F.; Ventura, F.; De Stefano, F.; Dell’Erba, A. When is myocarditis indeed the cause of death? Forensic Sci. Int. 2018, 285, 72–76. [Google Scholar] [CrossRef] [PubMed]
- Basso, C.; Aguilera, B.; Banner, J.; Cohle, S.; d’Amati, G.; de Gouveia, R.H.; di Gioia, C.; Fabre, A.; Gallagher, P.J.; Leone, O.; et al. Association for European Cardiovascular Pathology. Guidelines for autopsy investigation of sudden cardiac death: 2017 update from the Association for European Cardiovascular Pathology. Virchows. Arch. 2017, 471, 691–705. [Google Scholar] [CrossRef] [PubMed] [Green Version]
- Dettmeyer, R.B.; Lang, J.; Birngruber, C.G.; Letter to the editor regarding, A.; Bonsignore, C.; Palmiere, F.; Buffelli, E.; Maselli, A.; Marzullo, G.; Fraternali Orcioni, F.; et al. When is myocarditis indeed the cause of death? Forensic Sci. Int. 2018, 285, 72–76. [Google Scholar]
- Sblano, S.; Campobasso, C.P.; Zotti, F.; Arpaio, A.; Di Vella, G.; Colonna, M. Beta-APP immunoreactivity as diagnostic tool of diffuse axonal injury (DAI). Rom. J. Leg. Med. 2012, 20, 89–94. [Google Scholar]
- Campobasso, C.P.; Colonna, M.F.; Zotti, F.; Sblano, S.; Dell’Erba, A.S. An immunohistochemical study of pulmonary surfactant apoprotein A (SP-A) in forensic autopsy materials. Rom. J. Leg. Med. 2012, 20, 1–12. [Google Scholar] [CrossRef] [Green Version]
- Campobasso, C.P.; Dell’Erba, A.S.; Addante, A.; Zotti, F.; Marzullo, A.; Colonna, M. Sudden cardiac death and myocardial ischemia indicators: A comparative study of four immunohistochemical markers. Am. J. Forensic Med. Pathol. 2008, 29, 154–161. [Google Scholar] [CrossRef]
- Mansueto, G.; Benincasa, G.; Capasso, E.; Graziano, V.; Russo, M.; Niola, M.; Napoli, C.; Buccelli, C. Autoptic findings of sudden cardiac death (SCD) in patients with arrhythmogenic ventricular cardiomiopathy (AVC) from left ventricle and biventricular involvement. Pathol. Res. Pract. 2020, 216, 153269. [Google Scholar] [CrossRef]
- Campobasso, C.P.; Bugelli, V.; De Micco, F.; Monticelli, F. Sudden cardiac death in elderly: The post-mortem examination of senile myocardium and myocardial infarction. JGG 2017, 65, 223–231. [Google Scholar]
- Pitti, E.; Petrella, G.; Di Marino, S.; Summa, V.; Perrone, M.; D’Ottavio, S.; Bernardini, A.; Cicero, D.O. Salivary Metabolome and Soccer Match: Challenges for Understanding Exercise induced Changes. Metabolites 2019, 9, 141. [Google Scholar] [CrossRef] [PubMed] [Green Version]



Publisher’s Note: MDPI stays neutral with regard to jurisdictional claims in published maps and institutional affiliations. |
© 2021 by the authors. Licensee MDPI, Basel, Switzerland. This article is an open access article distributed under the terms and conditions of the Creative Commons Attribution (CC BY) license (https://creativecommons.org/licenses/by/4.0/).
Share and Cite
Feola, A.; Ciamarra, P.; De Simone, M.; Carfora, A.; Mansueto, G.; Campobasso, C.P. Sudden Unexpected Death Caused by Cardiac Metastasization from Histiocytic Sarcoma. Int. J. Environ. Res. Public Health 2021, 18, 12911. https://doi.org/10.3390/ijerph182412911
Feola A, Ciamarra P, De Simone M, Carfora A, Mansueto G, Campobasso CP. Sudden Unexpected Death Caused by Cardiac Metastasization from Histiocytic Sarcoma. International Journal of Environmental Research and Public Health. 2021; 18(24):12911. https://doi.org/10.3390/ijerph182412911
Chicago/Turabian StyleFeola, Alessandro, Paola Ciamarra, Mariavictoria De Simone, Anna Carfora, Gelsomina Mansueto, and Carlo Pietro Campobasso. 2021. "Sudden Unexpected Death Caused by Cardiac Metastasization from Histiocytic Sarcoma" International Journal of Environmental Research and Public Health 18, no. 24: 12911. https://doi.org/10.3390/ijerph182412911
APA StyleFeola, A., Ciamarra, P., De Simone, M., Carfora, A., Mansueto, G., & Campobasso, C. P. (2021). Sudden Unexpected Death Caused by Cardiac Metastasization from Histiocytic Sarcoma. International Journal of Environmental Research and Public Health, 18(24), 12911. https://doi.org/10.3390/ijerph182412911

