Due to scheduled maintenance work on our servers, there may be short service disruptions on this website between 11:00 and 12:00 CEST on March 28th.
-
Pilonidal Sinus Recurrence Rates in Young Adults—Similar to Children or Adults? -
The “Double-Row Shoelace” Capsulodesis: A Novel Technique for the Repair and Reconstruction of the Scapholunate Ligament of the Wrist -
Artificial Intelligence Tools in Surgical Research: A Narrative Review of Current Applications and Ethical Challenges
Journal Description
Surgeries
Surgeries
is an international, peer-reviewed, open access journal on findings and developments in surgery published quarterly online by MDPI. The Academy of Surgical Research (ASR) and the Italian Society of Hand Surgery (SICM) are affiliated with Surgeries and their members receive discounts on the article processing charges.
- Open Access— free for readers, with article processing charges (APC) paid by authors or their institutions.
- High Visibility: indexed within ESCI (Web of Science), Scopus, and other databases.
- Rapid Publication: manuscripts are peer-reviewed and a first decision is provided to authors approximately 24.4 days after submission; acceptance to publication is undertaken in 3.7 days (median values for papers published in this journal in the second half of 2025).
- Recognition of Reviewers: APC discount vouchers, optional signed peer review, and reviewer names published annually in the journal.
Impact Factor:
1.1 (2024);
5-Year Impact Factor:
1.0 (2024)
Latest Articles
Reassessing Routine Postoperative Imaging in Acromegaly: Insights from a Cohort with Biochemical Remission
Surgeries 2026, 7(2), 43; https://doi.org/10.3390/surgeries7020043 - 26 Mar 2026
Abstract
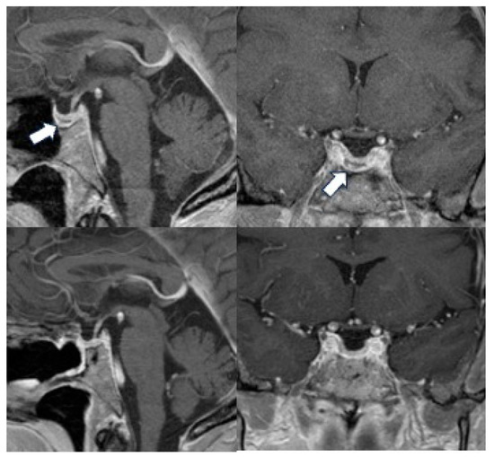
Background: Postoperative evaluation for growth hormone-producing pituitary tumors entails assessing remission via biochemical markers alongside MRI to detect residual tumors. While postoperative imaging provides important anatomical information regarding potential residual tumor, it is reasonable to ask if imaging offers largely redundant data
[...] Read more.
Background: Postoperative evaluation for growth hormone-producing pituitary tumors entails assessing remission via biochemical markers alongside MRI to detect residual tumors. While postoperative imaging provides important anatomical information regarding potential residual tumor, it is reasonable to ask if imaging offers largely redundant data when biochemical remission is already established. This study aimed to determine the clinical utility of post-surgical surveillance imaging in patients who achieved biochemical remission with normal age- and sex-matched IGF-1 at ~3 months postoperatively. Furthermore, we sought to evaluate the long-term durability of biochemical control in this patient subset. Methods: We conducted a retrospective analysis on patients who underwent endoscopic endonasal approach surgery for acromegaly and had a minimum of 3 years of follow-up clinical, biochemical and imaging data. Results: In total, 15 of 28 patients (54%) achieved initial biochemical remission and had a 100% sustained remission rate during the follow-up period of 3–14 years, underscoring the importance of surgical radicality for achieving durable remission. Conclusions: Our findings suggest that for patients who achieved biochemical remission following transsphenoidal surgery for acromegaly, routine postoperative imaging provides negligible additional diagnostic information from an endocrinological perspective. As such, we propose that no further postoperative imaging is needed for patients in clinical and biochemical remission. This approach offers a significant reduction in the clinical burden and healthcare costs for patients associated with long-term management of their disease.
Full article
(This article belongs to the Special Issue Surgery in Head and Neck Cancer)
►
Show Figures
Open AccessArticle
Stratified Procedural Risk Assessment in Colorectal Surgery: A Comparative Analysis of Statistical and Machine Learning Approaches Using Combined Surgical Approach and Operative Duration Categories
by
Dennis Elengickal, Michael Nizich and Milan Toma
Surgeries 2026, 7(2), 42; https://doi.org/10.3390/surgeries7020042 - 25 Mar 2026
Abstract
Background: Postoperative complications following colorectal surgery remain a persistent clinical challenge. Traditional risk stratification has focused on patient characteristics, while conventional modeling approaches treat procedural factors such as operative duration and surgical approach as independent predictors, potentially obscuring interaction effects. Methods: This study
[...] Read more.
Background: Postoperative complications following colorectal surgery remain a persistent clinical challenge. Traditional risk stratification has focused on patient characteristics, while conventional modeling approaches treat procedural factors such as operative duration and surgical approach as independent predictors, potentially obscuring interaction effects. Methods: This study developed a machine learning model stratifying 7908 colorectal surgery patients into four distinct procedural risk categories based on combined surgical approach and operative duration (laparoscopic-short, laparoscopic-long, open-short, open-long), rather than treating these factors as separate variables. A gradient boosting ensemble classifier with RUSBoost resampling was trained on predictor variables including patient demographics, comorbidities, and intraoperative factors. Results: Feature importance analysis revealed that the open-long category emerged as the single most important predictor, substantially exceeding all other variables. Weight loss, body mass index, patient age, and electrolyte abnormalities ranked as the next most important predictors. Stratified complication rates demonstrated a critical interaction: prolonged duration more than doubled complication risk in open procedures (short-duration: 9.99%, long-duration: 20.46%), whereas laparoscopic procedures showed only a modest increase from short-duration (10.45%) to long-duration (14.08%) cases. Logistic regression benchmark analysis confirmed the duration-approach interaction (OR = 1.53, 95% CI: 0.97–2.39), achieving comparable discrimination (c-statistic 0.678 vs. 0.665 for the ensemble model). Decision curve analysis demonstrated logistic regression provided superior clinical utility across most threshold probabilities. Conclusions: The dual analytical framework (i.e., statistical inference for quantifying associations and machine learning for predictive feature ranking) offers complementary insights for clinical application. These findings demonstrate that stratified feature engineering can elucidate complex risk phenotypes that may be obscured when procedural factors are analyzed independently.
Full article
(This article belongs to the Special Issue The Application of Artificial Intelligence in Surgical Procedures)
►▼
Show Figures

Figure 1
Open AccessArticle
Immediate Breast Reconstruction in Skin-Reducing Mastectomy Using Prepectoral Approach with Porcine-Derived Dermal Matrix and Autologous Dermal Sling: A Retrospective Observational Study
by
Luca Galassi, Simone Scotti, Federica Facchinetti and Roberta Gilardi
Surgeries 2026, 7(1), 41; https://doi.org/10.3390/surgeries7010041 - 23 Mar 2026
Abstract
Background: Immediate prepectoral implant-based breast reconstruction (IBR) following skin-reducing mastectomy (SRM) preserves the pectoralis major muscle, improving recovery and aesthetics. A dual-layer technique combining porcine-derived acellular dermal matrix (ADM) with an inferior autologous dermal sling may enhance implant support, vascularization, and lower-pole stability,
[...] Read more.
Background: Immediate prepectoral implant-based breast reconstruction (IBR) following skin-reducing mastectomy (SRM) preserves the pectoralis major muscle, improving recovery and aesthetics. A dual-layer technique combining porcine-derived acellular dermal matrix (ADM) with an inferior autologous dermal sling may enhance implant support, vascularization, and lower-pole stability, particularly in patients with macromastia or ptosis. Methods: This retrospective single-center study included 20 patients (24 breasts) who underwent SRM with immediate prepectoral IBR using the dual-layer technique between January 2023 and May 2025. Demographic, oncologic, and perioperative data were collected prospectively. Complications were classified by severity, and patient-reported outcomes were evaluated using the BREAST-Q scale preoperatively and at 1, 3, 6, and 12 months postoperatively. Statistical analysis included paired t-tests, Shapiro–Wilk tests, and effect size estimation (Cohen’s dz). Results: Mean age was 42 ± 6.3 years and BMI 26.1 ± 3.2 kg/m2. Mean mastectomy specimen weight was 432.5 ± 120.8 g, and implant volume 375 ± 60 cc. No reconstruction failures or infections occurred. Early complications were reported in 20.8% of breasts, including superficial nipple–areola complex epidermolysis (8.3%), seroma (4.2%), and hematoma (4.2%), all managed conservatively. At 12 months, BREAST-Q scores improved significantly: satisfaction with breasts increased from 63 ± 8 to 89 ± 11 (p < 0.001); psychosocial well-being from 60 ± 10 to 81 ± 11 (p < 0.001); and physical well-being from 62 ± 7 to 82 ± 10 (p < 0.001). Conclusions: Dual-layer prepectoral reconstruction using porcine ADM and autologous dermal sling is safe, provides durable implant stability, and significantly improves patient satisfaction and quality of life following SRM.
Full article
(This article belongs to the Special Issue State-of-the-Art Research and Emerging Innovations in Plastic and Aesthetic Surgery)
►▼
Show Figures

Figure 1
Open AccessArticle
Preoperative Intra-Articular Corticosteroid Injection Is Not Associated with Inferior Reoperation or Patient-Reported Outcomes Following Chondrocyte Implantation
by
Isabella Jazrawi, Rushani K. Cameron, Raven Hollis, Stevie Tchako-Tchokouassi, Cody Perskin, Eric J. Strauss, Laith M. Jazrawi and Kirk A. Campbell
Surgeries 2026, 7(1), 40; https://doi.org/10.3390/surgeries7010040 - 23 Mar 2026
Abstract
►▼
Show Figures
Background/Objectives: The aim of this study is to evaluate whether preoperative intra-articular corticosteroid injections (CSIs) are associated with an increased risk of reoperation following matrix-associated or autologous chondrocyte implantation (MACI/ACI). Secondary aims included comparing reoperation-free survival, patient-reported outcomes (PROMs), and patient acceptable
[...] Read more.
Background/Objectives: The aim of this study is to evaluate whether preoperative intra-articular corticosteroid injections (CSIs) are associated with an increased risk of reoperation following matrix-associated or autologous chondrocyte implantation (MACI/ACI). Secondary aims included comparing reoperation-free survival, patient-reported outcomes (PROMs), and patient acceptable symptom state (PASS) achievement. Methods: A retrospective cohort study was conducted on adults undergoing primary MACI/ACI between 2011 and 2023 at a single academic institution. Patients with documented CSI status and ≥2 years of follow-up were included. Exclusion criteria were prior MACI/ACI, osteochondral allograft transplantation, multi-ligament reconstruction, or inadequate follow-up. Propensity score matching (2:1, no steroid/steroid) based on age, sex, BMI, laterality, procedure type, and prior surgery yielded 138 matched patients (92 no steroid, 48 steroid). The primary outcome was ipsilateral reoperation, analyzed as a binary outcome, with Kaplan–Meier reoperation-free survival and restricted mean survival time (RMST). PROMs and PASS achievement were also assessed. Statistical significance was set at p < 0.05. Results: Baseline characteristics and follow-up (6.55 ± 3.74 vs. 6.73 ± 3.99 years; p = 0.80) were similar. Graft failure rates were identical (4.3% each; p = 1.00). Reoperation occurred in 21.7% of patients without CSI and 23.9% with CSI (p = 0.83). CSI was not associated with reoperation (adjusted OR 2.28; 95% CI 0.54–9.95; p = 0.26). No significant difference in reoperation-free survival or PROMs was observed. Conclusions: Preoperative intra-articular corticosteroid injections were not associated with increased reoperation risk, inferior reoperation-free survival, or worse functional outcomes following MACI/ACI.
Full article

Figure 1
Open AccessArticle
Comparative Study of Radiologic Changes in Ulnar Variance and Ulnolunate Distance After Distal Radius Fracture Surgery: Patients with vs. Without Lunate Ulnar Corner Cysts
by
Bong-Ju Lee, Wongyu Jin and Chul-Hyung Lee
Surgeries 2026, 7(1), 39; https://doi.org/10.3390/surgeries7010039 - 17 Mar 2026
Abstract
►▼
Show Figures
Background: Subchondral cysts at the ulnar corner of the lunate are frequently encountered in patients with distal radius fractures. We hypothesized that the presence of these lunate subchondral cysts may be associatedwith decreased cortical bone density due to limited load translation. Consequently, this
[...] Read more.
Background: Subchondral cysts at the ulnar corner of the lunate are frequently encountered in patients with distal radius fractures. We hypothesized that the presence of these lunate subchondral cysts may be associatedwith decreased cortical bone density due to limited load translation. Consequently, this could lead to lunate fossa collapse and increased ulnar variance following fracture fixation. Methods: A retrospective analysis was performed on 176 patients who underwent open reduction and internal fixation using the Double-tiered Subchondral Support (DSS) procedure between May 2014 and June 2017. Twenty-eight patients identified with lunate subchondral cysts on preoperative CT scans were selected as the study group. A control group of 28 patients without cysts was selected using matched-pair analysis, controlling for gender, age, fracture classification, and follow-up period. Results: The mean change (delta) in ulnar variance was 0.191 mm in the cyst group, which was less than the 0.233 mm observed in the control group; however, this difference was not statistically significant (p = 0.557). Regarding ulnolunate distance, the cyst group showed a mean change (delta) of 0.991 mm, while the control group showed a change of 1.123 mm. This difference was also not statistically significant (p = 0.681). Conclusions: Although it was hypothesized that lunate subchondral cysts might limit load translation to the radius and compromise cortical bone density—potentially affecting fracture healing and the maintenance of reduction—our statistical analysis did not support this hypothesis. The presence of lunate subchondral cysts did not significantly increase the risk of lunate fossa collapse or ulnar variance progression compared to the control group.
Full article

Figure 1
Open AccessReview
The Emerging Role of Peri-Operative Methadone for the Management of Post-Operative Pain for Patients Undergoing Oesophagectomy: A Narrative Review
by
Alexandra Jolley, Kelvin Le, Charlotte Deng and Khang Duy Ricky Le
Surgeries 2026, 7(1), 38; https://doi.org/10.3390/surgeries7010038 - 13 Mar 2026
Abstract
►▼
Show Figures
Background: Oesophageal cancer is a diagnosis carrying significant morbidity and mortality. Gold standard treatment is resection; however, this requires a complex operation. Despite progression to minimally invasive approaches, post-operative pain is a significant issue. Methadone is emerging as an additive intraoperative analgesic across
[...] Read more.
Background: Oesophageal cancer is a diagnosis carrying significant morbidity and mortality. Gold standard treatment is resection; however, this requires a complex operation. Despite progression to minimally invasive approaches, post-operative pain is a significant issue. Methadone is emerging as an additive intraoperative analgesic across specialities, with a single intra-operative dose seen to improve post-operative pain and reduce post-operative opioid use. This is promising for oesophagectomy patients, where pain is a significant issue; however, it remains poorly characterised. Aim: This paper aimed to assess the literature surrounding intra-operative methadone (IOM) in oesophagectomy, then broadly consider related evidence to consider how it may be applicable to patients undergoing oesophagectomy for oesophageal cancer. Methods: The search assessed existing evidence for efficacy and safety of IOM for patients undergoing oesophagectomy for oesophageal cancer. Of 1856 studies, only one fit inclusion criteria. Following this, the search was broadened to assess IOM use in related surgical contexts, deriving applicability to oesophagectomy. Results: There is very limited evidence for IOM use in oesophagectomy. Several papers explore its use in other intraabdominal and intrathoracic procedures. This evidence may be leveraged for oesophagectomy patients. There remain several safety concerns, most notably respiratory and cardiac risks. Further, several knowledge gaps remain. Conclusions: Overall, IOM represents a promising analgesic option. Unfortunately, current evidence is limited, predominantly derived from non-generalisable studies. This paper provides an up-to-date review of evidence, highlighting clear gaps. It is clear oesophagectomy patients are a vulnerable group who would benefit from improved pain and post-operative quality of life. As such, further focused research should be done to evaluate the role of IOM in oesophagectomy for oesophageal cancer.
Full article

Figure 1
Open AccessReview
Prehabilitation in Plastic Surgery: Optimizing Patients for Superior Surgical Outcomes
by
Jelena Nikolić, Marija Marinković and Ivana Mijatov
Surgeries 2026, 7(1), 37; https://doi.org/10.3390/surgeries7010037 - 12 Mar 2026
Abstract
►▼
Show Figures
Prehabilitation represents a proactive, multimodal strategy to enhance patient resilience prior to plastic and reconstructive surgery, building on the success of Enhanced Recovery After Surgery (ERAS) pathways. This narrative review synthesizes the conceptual framework of prehabilitation—encompassing exercise training, nutritional optimization, risk factor modification,
[...] Read more.
Prehabilitation represents a proactive, multimodal strategy to enhance patient resilience prior to plastic and reconstructive surgery, building on the success of Enhanced Recovery After Surgery (ERAS) pathways. This narrative review synthesizes the conceptual framework of prehabilitation—encompassing exercise training, nutritional optimization, risk factor modification, and psychological preparation—and examines its current application within plastic surgery. While evidence from selected randomized trials and systematic reviews in orthopedic and colorectal surgery suggests potential reductions in complications (often in the range of 20–40% in higher-risk populations), the results remain heterogeneous and context-dependent. To date, there have been no randomized controlled trials on plastic surgery, despite unique patient populations facing modifiable risks, including smoking, obesity, and malnutrition. This review proposes a risk-stratified prehabilitation framework tailored to key plastic surgery domains: breast reconstruction, head-and-neck microsurgery, post-bariatric body contouring, and major esthetic procedures. Practical implementation strategies address timelines, multidisciplinary teams, and digital delivery tools. By positioning prehabilitation as a structured preoperative component within ERAS pathways, plastic surgeons may support better perioperative readiness, potentially influencing complications, recovery, and patient experience. This review proposes conceptual frameworks intended to guide structured evaluation and future clinical research in plastic surgery.
Full article

Figure 1
Open AccessArticle
Trend-Based Intermittent Neuromonitoring in Thyroid and Parathyroid Surgery: A Prospective Preliminary Observational Study
by
Paolo Del Rio, Tommaso Loderer, Gianluca Pasquini, Alessandro Facchinetti, Cristiana Madoni and Elena Bonati
Surgeries 2026, 7(1), 36; https://doi.org/10.3390/surgeries7010036 - 12 Mar 2026
Abstract
Background/Objectives: Intraoperative neuromonitoring (IONM) has improved safety in thyroid and parathyroid surgery, yet intermittent IONM (I-IONM) may miss traction injuries developing between stimulations. We evaluated the feasibility and clinical utility of a trend-based intermittent monitoring mode (NIM Vital NerveTrend®) that records closely spaced
[...] Read more.
Background/Objectives: Intraoperative neuromonitoring (IONM) has improved safety in thyroid and parathyroid surgery, yet intermittent IONM (I-IONM) may miss traction injuries developing between stimulations. We evaluated the feasibility and clinical utility of a trend-based intermittent monitoring mode (NIM Vital NerveTrend®) that records closely spaced stimulations and plots amplitude and latency over time. Methods: We conducted a prospective observational study at a high-volume endocrine surgery unit (January–September 2025). Forty-four consecutive patients undergoing thyroidectomy and/or parathyroidectomy with NerveTrend® were enrolled. Electromyography (EMG) responses were categorized as Green (amplitude > 50% of baseline and latency < 110%), Yellow (amplitude < 50% or latency > 110%), Red (amplitude < 50% and latency > 110%), and Loss of Signal (LOS: amplitude <100 µV). Primary outcomes included LOS prevalence and the association between stimulation frequency and the appearance of Yellow trends. Ethical approval: AVEN protocol 486/2024/OSS/AOUPR; informed consent obtained. Results: Of 71 nerves at risk (NAR), 55 had a valid baseline and were analyzed; LOS occurred in 3/55 NAR (5.5%). The mean number of stimulations per NAR was 4.5 (range 1–9). Cases with both Green and Yellow points had a significantly higher mean number of stimulations than cases with only Green points (5.1 vs. 3.8; Student’s t-test p = 0.0059). One Red measurement occurred in a case that progressed to LOS. Conclusions: NerveTrend® provided near real-time functional feedback while maintaining the simplicity of I-IONM. Increased stimulation frequency was associated with early Yellow trend alerts, potentially signaling traction stress and enabling timely surgical adjustments. Larger multicenter studies and protocol standardization are warranted.
Full article
Open AccessOpinion
A Three-Morphotype Classification of Lip Aging Derived from Digital Image Analysis
by
Giordano Vespasiani, Simone Michelini, Federica Trovato, Antonio Di Guardo, Lorenzo Califano, Stefania Guida and Giovanni Pellacani
Surgeries 2026, 7(1), 35; https://doi.org/10.3390/surgeries7010035 - 5 Mar 2026
Abstract
►▼
Show Figures
Background: Lip aging is a heterogeneous and visually complex process, yet a standardized morphological classification applicable to clinical practice is still lacking. Current approaches mainly focus on volumetric loss or perioral rhytids, while the geometric features of the lips, including borders, projection, and
[...] Read more.
Background: Lip aging is a heterogeneous and visually complex process, yet a standardized morphological classification applicable to clinical practice is still lacking. Current approaches mainly focus on volumetric loss or perioral rhytids, while the geometric features of the lips, including borders, projection, and eversion, remain poorly codified. Methods: Fifty anonymized lip images acquired under standardized conditions using digital facial imaging were independently evaluated by five physicians experienced in esthetic medicine. Images were classified according to three predefined morphotypes representing distinct patterns of lip aging. Inter-rater reliability was assessed using Fleiss’s kappa statistic. Results: Three recurrent morphotypes were consistently identified: devolumized lips, central lips, and chapped lips. Overall, 87% of images were assigned to one of the three morphotypes by at least four of five evaluators, while 13% were classified as undefined due to mixed features. Inter-rater agreement was substantial (κ = 0.89; 95% CI 0.79–0.99), confirming high reproducibility of the proposed classification. Conclusions: This study proposes a simple and reproducible image-based morphotypic classification of lip aging that captures recurrent visual patterns within this cohort. The framework may facilitate standardized clinical communication, support personalized rejuvenation strategies, and provide a foundation for future quantitative imaging studies and AI-based phenotype recognition in esthetic and reconstructive practice.
Full article

Figure 1
Open AccessArticle
Ten-Year Follow-Up: Collagenase Injection Versus Open Surgery for Dupuytren’s Disease
by
Camillo Fulchignoni, Silvia Pietramala, Marco Barbaliscia, Marco Passiatore, Ludovico Caruso, Adriano Cannella, Gianfranco Merendi, Lorenzo Rocchi, Giuseppe Taccardo and Rocco de Vitis
Surgeries 2026, 7(1), 34; https://doi.org/10.3390/surgeries7010034 - 5 Mar 2026
Abstract
Background: Dupuytren’s disease (DD) is a fibroproliferative disorder of the palmar fascia that results in progressive digital flexion contractures. Various treatment strategies have been developed to restore extension, ranging from minimally invasive collagenase clostridium histolyticum (CCH) injection to more invasive surgical procedures such
[...] Read more.
Background: Dupuytren’s disease (DD) is a fibroproliferative disorder of the palmar fascia that results in progressive digital flexion contractures. Various treatment strategies have been developed to restore extension, ranging from minimally invasive collagenase clostridium histolyticum (CCH) injection to more invasive surgical procedures such as open selective aponeurectomy. While CCH has gained widespread adoption due to its limited invasiveness and rapid recovery, questions remain about its long-term durability compared with open surgery (OS). This study aims to compare long-term outcomes of CCH injection and OS in patients with stage 2 or higher single-digit DD, focusing on recurrence, patient satisfaction, complications, and return to work at least 10 years after treatment. Methods: A retrospective cohort study was conducted on patients treated in 2012 with either CCH injection or OS. All patients had at least stage 2 DD and at least 10 years of follow-up. The primary outcome was to compare recurrence rates between the two patient cohorts. Secondary outcomes included visual analogue scale (VAS) satisfaction, Michigan Hand Questionnaire (MHQ) scores, complications, and time to return to work. Results: A total of 97 patients completed 10-year follow-up (60 OS, 37 CCH). Recurrence at 7 years was relatively similar between groups. However, a pronounced divergence emerged between 7 and 10 years. At 10 years, recurrence occurred in 10 patients in the OS group versus 15 in the CCH group, with statistically significant differences overall (p = 0.0175) and particularly in the PIP subgroup (p = 0.0041). VAS satisfaction at 10 years was higher after OS (7.9 ± 1.5) than after CCH (6.4 ± 1.6), and return to work was significantly faster after CCH. MHQ scores were comparable. Conclusion: Both treatments provided acceptable patient satisfaction at 10 years; however, OS yielded better long-term recurrence rates and fewer complications. Although CCH offers rapid recovery, its durability beyond 7 years appears markedly inferior. These findings reinforce the need for careful patient selection and long-term counseling when considering minimally invasive treatment.
Full article
(This article belongs to the Section Hand Surgery and Research)
►▼
Show Figures

Figure 1
Open AccessTechnical Note
Closure of a Pleural Defect Using a Collagen Pad During Robotic Thymectomy: A Preliminary Experience
by
Alfonso Fiorelli, Beatrice Leonardi, Vincenzo Di Filippo, Francesca Capasso, Massimo Ciaravola, Giovanni Liguori and Francesco Coppolino
Surgeries 2026, 7(1), 33; https://doi.org/10.3390/surgeries7010033 - 5 Mar 2026
Abstract
Background/Objectives: Robotic thymectomy has become the preferred approach for the management of thymoma. Although robotic surgery allows for precise dissection, the contralateral pleura may accidentally be opened during thymus gland dissection, resulting in a tension pneumothorax due to the escape of CO
[...] Read more.
Background/Objectives: Robotic thymectomy has become the preferred approach for the management of thymoma. Although robotic surgery allows for precise dissection, the contralateral pleura may accidentally be opened during thymus gland dissection, resulting in a tension pneumothorax due to the escape of CO2 through the defect into the contralateral pleura or to significant postoperative air leaks and delayed drain removal. To prevent this potential complication, closure of the pleural defect is indicated. This procedure may be challenging using stitches or clips, especially during robotic surgery, as the pleura is a thin structure. Methods: We reported our preliminary experience in closing a pleural defect through application of a collagen pad; after applying the pad over the defect, gentle and uniform pressure was applied using a dry sponge for 2 min to seal the tissue surface. The pad closed the defect and formed a barrier that blocked the escape of CO2 into the contralateral pleura. Results: This procedure was successfully performed in three consecutive patients to repair a defect in the contralateral pleura that occurred during RATS thymectomy for the management of B1 thymoma (n = 2) and B2 thymoma (n = 1). No intraoperative and postoperative complication was found, and six-month follow-up showed no recurrence. Conclusions: Closing pleural defects with a collagen pad is a promising technique to enhance safety during robotic thymectomy.
Full article
(This article belongs to the Special Issue Cardiothoracic Surgery, 2nd Edition)
►▼
Show Figures

Figure 1
Open AccessArticle
Exploring Trends in Endoscopic Dacryocystorhinostomy Research in Asia: A Bibliometric Analysis
by
Josiah Irma, Saraswati Anindita Rizki, Arief S. Kartasasmita, Angga Kartiwa and Irawati Irfani
Surgeries 2026, 7(1), 32; https://doi.org/10.3390/surgeries7010032 - 4 Mar 2026
Abstract
►▼
Show Figures
Background/Objectives: This study aims to depict trends in Endoscopic Dacryocystorhinostomy research in Asian countries. Methods: A bibliometric analysis was performed in April 2024 utilizing the SCOPUS database. The keywords “Endoscopic Dacryocystorhinostomy” OR “Endo-DCR” OR “Endonasal Endoscopic Dacryocystorhinostomy” were used. Data cleaning
[...] Read more.
Background/Objectives: This study aims to depict trends in Endoscopic Dacryocystorhinostomy research in Asian countries. Methods: A bibliometric analysis was performed in April 2024 utilizing the SCOPUS database. The keywords “Endoscopic Dacryocystorhinostomy” OR “Endo-DCR” OR “Endonasal Endoscopic Dacryocystorhinostomy” were used. Data cleaning was then performed. Microsoft Excel and Vosviewer software were used to analyze data. Results: 730 articles and 37 keywords were yielded after exclusion. Our analysis revealed a notable increase in Endoscopic Dacrycocystorhinostomy publications from the early 2000s, with a significant surge post-2010. India and China were the leading contributors to Endoscopic Dacryocystorhinostomy research in Asia. Keywords such as “endoscopy”, “silicone tube”, and “epiphora” were commonly used. However, keywords like “mitomycin C”, “mucosal flap” and “success rate” were infrequently found. Conclusions: The emergence of Endoscopic Dacryocystorhinostomy publications witnessed a notable increase from 1972 to 2023 with most studies affiliated to India and China. Certain keywords such as “mitomycin C”, “mucosal flap”, “revision”, “laser”, “drill”, and “success rate” were infrequently used.
Full article

Figure 1
Open AccessPerspective
WALANT vs. Axillary Block for Dual Mobility Trapeziometacarpal Prosthesis: A Prospective Comparative Study
by
Edoardo Biondi, Guido Koverech, Attilio Romano, Giulia Frittella and Matteo Guzzini
Surgeries 2026, 7(1), 31; https://doi.org/10.3390/surgeries7010031 - 26 Feb 2026
Abstract
Background/Objectives: Thumb basal joint arthritis is a common degenerative condition often requiring surgery when conservative treatment fails. Dual mobility trapeziometacarpal prostheses are increasingly used, but the optimal anesthetic strategy remains debatable. This study aimed to explore whether WALANT provides intraoperative analgesia and
[...] Read more.
Background/Objectives: Thumb basal joint arthritis is a common degenerative condition often requiring surgery when conservative treatment fails. Dual mobility trapeziometacarpal prostheses are increasingly used, but the optimal anesthetic strategy remains debatable. This study aimed to explore whether WALANT provides intraoperative analgesia and short-term safety comparable to axillary block in dual mobility trapeziometacarpal arthroplasty. Methods: A prospective observational comparative study was carried out on 21 patients (11 WALANT, 10 axillary block) undergoing dual mobility trapeziometacarpal prosthesis for stage II–III in thumb basal joint arthritis according to Eaton–Littler classification at two hospital facilities of ASL Roma 5, from February–December 2025. Patients treated with the WALANT technique were assigned to Group A, whereas those undergoing an axillary block were assigned to Group B. Pain intensity was recorded on a 0–10 visual analogue scale at three stages: during anesthetic administration, during surgery, and 3 h after the procedure. Group A received a field infiltration with 1% mepivacaine combined with epinephrine 1:100,000 and sodium bicarbonate, while Group B underwent an ultrasound-guided brachial plexus block using 0.5–0.7% ropivacaine and a pneumatic tourniquet inflated to 250 mmHg. Results: Pain during anesthesia induction was similar between groups (Group A 3.18 ± 2.89 vs. Group B 2.20 ± 2.37, p = 0.393). Intraoperative pain did not differ significantly (Group A 2.27 ± 1.79 vs. Group B 2.00 ± 2.71, p = 0.898). At 3 h postoperative, Group B showed a trend toward lower pain levels (Group A 4.36 ± 2.54 vs. Group B 3.00 ± 3.08, p = 0.244). No anesthetic failures, no conversion to general anesthesia, and no neurological or ischemic complications occurred in either group. Conclusions: In this prospective observational comparative cohort, WALANT and axillary block provide comparable intraoperative analgesia for dual mobility trapeziometacarpal prosthesis, with comparable safety profiles. WALANT offers advantages in ease of administration, absence of tourniquet-related risks, and potential for intraoperative functional testing. Axillary block provides more prolonged postoperative analgesia in the first 3 h. The choice between techniques should be individualized based on patient-specific factors, anxiety profile, and local expertise. These results should be interpreted as preliminary and hypothesis-generating, given the exploratory design, the small sample size, and the limited statistical power of the study.
Full article
(This article belongs to the Special Issue Feature Papers in Hand Surgery and Research)
►▼
Show Figures

Figure A1
Open AccessCase Report
Functional Restoration of Binocular Vision After Trapdoor Fracture of the Orbit with Inferior Rectus Entrapment: Early Intervention Matters
by
Krzysztof Gąsiorowski, Jakub Bargiel, Michał Gontarz, Tomasz Marecik and Grażyna Wyszyńska-Pawelec
Surgeries 2026, 7(1), 30; https://doi.org/10.3390/surgeries7010030 - 25 Feb 2026
Abstract
Background: Pediatric orbital floor fractures differ from adult injuries due to bone elasticity and a higher incidence of trapdoor-type defects with extraocular muscle entrapment, often presenting with limited external signs but carrying a high risk of functional impairment. Early recognition and prompt surgical
[...] Read more.
Background: Pediatric orbital floor fractures differ from adult injuries due to bone elasticity and a higher incidence of trapdoor-type defects with extraocular muscle entrapment, often presenting with limited external signs but carrying a high risk of functional impairment. Early recognition and prompt surgical release are essential to prevent irreversible neuromuscular damage and persistent binocular vision disturbances. Case Presentation: A 13-year-old patient sustained an orbital floor blow-out fracture with inferior rectus muscle incarceration following blunt trauma. The child presented with vertical diplopia, ocular motility restriction, and infraorbital hypoesthesia. Computed tomography demonstrated a posteriorly located linear orbital floor defect with soft-tissue entrapment, supporting the indication for urgent surgical intervention to avoid ischemic injury. Management and Outcome: Through a transconjunctival retroseptal approach, the entrapped muscle was promptly released, and orbital floor continuity was restored using an autologous bone graft harvested from the anterior maxillary wall with piezosurgery. This technique allowed controlled and precise bone harvesting while preserving adjacent anatomical and developing dental structures. Postoperative recovery was uneventful, with complete resolution of diplopia and full restoration of binocular ocular motility during follow-up. Conclusion: Early surgical intervention plays a pivotal role in achieving functional recovery in pediatric orbital floor fractures with muscle entrapment. Autologous reconstruction supported by piezosurgical bone harvesting represents a safe and effective approach in growing patients, providing reliable functional and anatomical outcomes. This case reinforces the clinical relevance of timely intervention and highlights practical considerations in pediatric orbital trauma management.
Full article
(This article belongs to the Special Issue Oral and Maxillofacial Surgery: Balance Between Innovative and Proven Procedures, Drugs and Materials, 2nd Edition)
►▼
Show Figures

Figure 1
Open AccessArticle
Gene-Activated Octacalcium Phosphate (OCP/VEGF) Versus Autologous Bone Graft for Single-Level TLIF in Degenerative Lumbar Stenosis
by
Renat Madekhatovich Nurmukhametov, Medetbek Dzhumabekovich Abakirov, Stepan Anatolyevich Kudryakov, Medet Kaskirbayevich Dosanov, Dilerbek Nuriddinov, Batzayaa Beis Zhanchivdorj, Kerly Sulay Borja Cevallos, Ilya Yadigerovich Bozo, Alberto Luis Martinez Mateo and Nicola Montemurro
Surgeries 2026, 7(1), 29; https://doi.org/10.3390/surgeries7010029 - 22 Feb 2026
Abstract
Background: Autologous bone graft is widely used for lumbar interbody fusion but may increase operative time and donor-site morbidity. Gene-activated grafts combining an osteoconductive scaffold with pro-angiogenic signaling may provide comparable fusion without graft harvesting. The aim of this paper is to compare
[...] Read more.
Background: Autologous bone graft is widely used for lumbar interbody fusion but may increase operative time and donor-site morbidity. Gene-activated grafts combining an osteoconductive scaffold with pro-angiogenic signaling may provide comparable fusion without graft harvesting. The aim of this paper is to compare radiographic fusion and health-related quality of life after single-level transforaminal lumbar interbody fusion (TLIF) using a gene-activated octacalcium phosphate graft containing plasmid DNA encoding vascular endothelial growth factor (OCP/VEGF) versus an autologous bone graft. Methods: 200 adults undergoing first-time single-level TLIF for degenerative lumbar stenosis were allocated 1:1 to OCP/VEGF (n = 100) or autograft (n = 100), prospectively. CT-based fusion assessment and SF-36 outcomes were evaluated at 6 and 12 months follow-up. Results: At 12 months after surgery, mean fusion-zone density was 617.6 ± 180.9 HU in the OCP/VEGF group versus 599.8 ± 181.9 HU in the autograft group (mean difference 17.8 HU; p = 0.484). Complete fusion on qualitative CT grading occurred in 77% versus 73%, respectively (risk difference 4%; p = 0.583). SF-36 Physical Component Summary (PCS) and Mental Component Summary (MCS) improved significantly from baseline in both groups (p < 0.001), without clinically meaningful between-group differences at follow-up. Revision surgery occurred in 3% versus 5%. Conclusions: In single-level TLIF for degenerative lumbar stenosis, OCP/VEGF produced radiographic fusion and patient-reported outcomes comparable to autograft at 12 months, supporting its use as an autograft-sparing alternative.
Full article
(This article belongs to the Special Issue Technology Integration in Spine Surgery: Navigation, Robotics, AI, and Digital Health)
►▼
Show Figures

Figure 1
Open AccessCase Report
Restoring Facial Balance Using a Creative, Cost-Effective Approach—How a Customized Unilateral Wing Osteotomy Corrected Mandibular Asymmetry
by
Guilherme Pivatto Louzada, Bianca Pulino, Henrique Furukawa, Marcella Bonfim, Guilherme Zanovelli Silva, Hugo Jose Correia Lopes, Gustavo Câmara, Letícia Bezinelli, Jamil Shibli and Raphael Capelli Guerra
Surgeries 2026, 7(1), 28; https://doi.org/10.3390/surgeries7010028 - 18 Feb 2026
Abstract
Background: Facial asymmetry affecting the mandibular contour may significantly impact facial harmony even in patients with stable occlusion. Although orthognathic surgery remains the standard for skeletal correction, it carries substantial morbidity. In selected cases, contour-focused approaches can achieve meaningful esthetic improvement with reduced
[...] Read more.
Background: Facial asymmetry affecting the mandibular contour may significantly impact facial harmony even in patients with stable occlusion. Although orthognathic surgery remains the standard for skeletal correction, it carries substantial morbidity. In selected cases, contour-focused approaches can achieve meaningful esthetic improvement with reduced surgical burden. Objective: To describe the virtual surgical planning (VSP) workflow and clinical outcome of a unilateral Wing osteotomy for mandibular contour asymmetry. Case presentation: A 24-year-old woman presented with left-sided mandibular contour deficiency and facial asymmetry, despite stable Class I occlusion and preserved function. VSP with contralateral mirroring guided the design of the osteotomy and fabrication of a stereolithographic model and patient-specific cutting guide. Surgery was performed through a tunnelized mandibular approach using a 702 bur and reciprocating saw. Fixation was achieved with pre-bent 2.0 plates adapted to the 3D model, and Bio-Oss Collagen was interposed within the osteotomy gap. Occlusion and mental nerve function were preserved. Results: Postoperatively, the patient demonstrated improved facial symmetry, uneventful healing, preserved long-term neurosensory function, and high esthetic satisfaction. Conclusions: Unilateral Wing osteotomy guided by VSP and patient-specific instrumentation is a predictable, minimally invasive alternative to bimaxillary orthognathic surgery with genioplasty in selected patients presenting contour-focused asymmetry and stable occlusion. This case highlights a rare, underreported application of the technique.
Full article
(This article belongs to the Special Issue Oral and Maxillofacial Surgery: Balance Between Innovative and Proven Procedures, Drugs and Materials, 2nd Edition)
►▼
Show Figures

Figure 1
Open AccessReview
The Evolution of Inguinal Hernia Repair from the Langenbeck–Gerdy Subcutaneous Technique to Durham and Subsequent Dissection Procedures: A Historical Review
by
Alfredo Moreno-Egea, Carlos Moreno-Latorre and Alfredo Moreno-Latorre
Surgeries 2026, 7(1), 27; https://doi.org/10.3390/surgeries7010027 - 18 Feb 2026
Abstract
►▼
Show Figures
Background: The history of radical hernia repair involves a period of intense surgical activity, influenced by factors of the time such as social development, hygiene, anesthesia, and antisepsis. Subcutaneous surgery, the initial option designed to avoid infections and peritonitis, was modified after the
[...] Read more.
Background: The history of radical hernia repair involves a period of intense surgical activity, influenced by factors of the time such as social development, hygiene, anesthesia, and antisepsis. Subcutaneous surgery, the initial option designed to avoid infections and peritonitis, was modified after the introduction of antisepsis, eventually leading to dissection surgery. Objective: We aim to analyze the publications from the period of radical hernia cures using current methodology, verifying when and how the transition occurred from subcutaneous surgery to dissection surgery. Methods: A literature review of the databases PubMed, LILACS, Cochrane Library, “Google” and university libraries is conducted. The following keywords were used: “anatomy and surgery”. A critical analysis of the known literature about this historical topic is carried out. Results: Under-vision dissection surgery, through incision of the aponeurosis of the external oblique muscle, began in England by Durham in 1866, almost 20 years before it was performed in France by Lucas-Championnière in 1885. Recurrences decreased after the introduction of the principle of closing the walls of the inguinal canal (Wood, 1860). The surgeon–anatomist Wood should be considered the first specialist in abdominal wall surgery, due to his extensive contributions from the pre-antiseptic era. The evolution of the radical cure of hernias was made possible by combining the knowledge of several countries: England, Germany, and Italy. Conclusions: Dissection surgery was initiated in England, Germany, and Italy, not in France. The influence of the French literature on the history of hernias is evident, to the detriment of the contributions of surgeons from other countries.
Full article

Figure 1
Open AccessReview
Image-Guided Autonomous Robotic Surgery in the Context of Therapies Managed by Intelligent Digital Technologies: A Narrative Review
by
Adel Razek
Surgeries 2026, 7(1), 26; https://doi.org/10.3390/surgeries7010026 - 16 Feb 2026
Abstract
This narrative review aims to highlight and analyze the supervision of precision robotic surgical interventions. These are autonomous, closed-loop procedures, assisted by images and managed by intelligent digital tools. These administered procedures are designed to be safe and reliable, adhering to the principles
[...] Read more.
This narrative review aims to highlight and analyze the supervision of precision robotic surgical interventions. These are autonomous, closed-loop procedures, assisted by images and managed by intelligent digital tools. These administered procedures are designed to be safe and reliable, adhering to the principles of minimal invasiveness, precise positioning, and non-toxicity. Thus, a precision intervention uses non-ionizing imaging-assisted robotics, controlled by a precise positioning device, forming an autonomous procedure augmented by artificial intelligence tools and supervised by digital twins. This intelligent digital management procedure allows staff to plan, train, predict, and execute interventions under human supervision. Patient safety and staff efficiency are linked to non-ionizing imaging, minimal invasiveness through image guidance, and strict delimitation of the intervention zone through precise positioning. This study includes, successively, sections covering an introduction, therapeutic and surgical interventions, imaging strategies integrating diagnostic and assistance functions, intelligent digital tools including digital twins and artificial intelligence, image-guided procedures including autonomous and precision robotic surgical interventions increased by machine learning, as well as augmented healthcare monitoring, and a discussion and conclusions of the review. All topics addressed in this analysis are supported by examples from the literature.
Full article
(This article belongs to the Special Issue The Application of Artificial Intelligence in Surgical Procedures)
►▼
Show Figures

Figure 1
Open AccessArticle
Hospital Profitability of Robot-Assisted Gastrointestinal Cancer Surgery in Japan Under the National Fee Schedule: A Surgical Program Model with Required-Cut and Isoprofit Maps
by
Kazuma Iwasaki and Nobuo Kutsuna
Surgeries 2026, 7(1), 25; https://doi.org/10.3390/surgeries7010025 - 14 Feb 2026
Abstract
►▼
Show Figures
Background/Objectives: Robot-assisted gastrointestinal (GI) cancer surgery has expanded in Japan since national reimbursement in 2018, yet hospital profitability remains uncertain because of capital, maintenance, and consumable costs. We examined whether a program-level volume threshold for profitability exists under Japan’s fee schedule and quantified
[...] Read more.
Background/Objectives: Robot-assisted gastrointestinal (GI) cancer surgery has expanded in Japan since national reimbursement in 2018, yet hospital profitability remains uncertain because of capital, maintenance, and consumable costs. We examined whether a program-level volume threshold for profitability exists under Japan’s fee schedule and quantified actionable improvement targets. Methods: We developed a hospital-perspective, model-based economic evaluation (index admission to 30 days; 2025 Japanese yen (JPY)) comparing robot-assisted surgery (RAS) with conventional laparoscopic surgery (CLS) under Japan’s fee schedule (one point = ¥10) for gastrectomy, colectomy, rectal resection, and pancreatoduodenectomy. Case-level contribution margin differentials (ΔCM) were defined as the revenue differential minus the consumables differential and additional operating room (OR) time costs, plus savings from reduced length of stay (LOS), and were aggregated to annual program profit (Π) after fixed costs and platform sharing. Primary outputs were allowable consumables, required cut (%), and isoprofit contours. Uncertainty was assessed using 50,000-iteration probabilistic sensitivity analysis (PSA), one-way sensitivity analysis (OWSA), and learning-curve scenarios in line with Consolidated Health Economic Evaluation Reporting Standards (CHEERS) 2022. Results: In the base case, ΔCM was predominantly ≤0 for colon, rectum, and pancreatoduodenectomy; therefore, when the case-mix-weighted mean ΔCM was ≤0, increasing volume could not achieve breakeven and instead increased losses. Each 10 min reduction in OR time increased allowable consumables by ¥15,000, and each bed-day reduction increased it by ¥30,000. These required-cut and isoprofit maps provide actionable targets for cost negotiation, operational improvement, and platform sharing. Conclusions: Volume expansion alone rarely yields profitability; coordinated reductions in consumables, OR time, and LOS, together with platform sharing, are required.
Full article

Figure 1
Open AccessArticle
Outcomes of Mechanical Mitral Valve Replacement with Preservation of Posterior Leaflet in Patients with Reduced Left Ventricular Function
by
Binh Thanh Tran, Viet Anh Le, Dung Tien Nguyen, Dung Van Nguyen, Duong Minh Vu, Vinh Duc An Bui, Phu Duc Bui and Nam Van Nguyen
Surgeries 2026, 7(1), 24; https://doi.org/10.3390/surgeries7010024 - 14 Feb 2026
Abstract
Background: Compromised left ventricular function presents unique challenges during mitral valve surgery. Recent evidence suggests that subvalvular apparatus preservation might enhance postoperative recovery in high-risk populations. Methods: This prospective observational investigation (Hue Central Hospital, March 2015–September 2016) evaluated 87 patients undergoing mechanical mitral
[...] Read more.
Background: Compromised left ventricular function presents unique challenges during mitral valve surgery. Recent evidence suggests that subvalvular apparatus preservation might enhance postoperative recovery in high-risk populations. Methods: This prospective observational investigation (Hue Central Hospital, March 2015–September 2016) evaluated 87 patients undergoing mechanical mitral valve replacement with posterior leaflet preservation. Participants were stratified into two groups: reduced ejection fraction (EF ≤ 50%, n = 38) and preserved EF (>50%, n = 49). Comprehensive clinical and echocardiographic assessments were conducted at 1, 3, 6, and 12 months postoperatively. Statistical analysis employed parametric and non-parametric methodologies, with survival analyzed via Kaplan–Meier techniques. Results: The reduced EF cohort demonstrated significant improvement in contractile performance from 48.8 ± 5.2% preoperatively to 61.6 ± 7.2% at 12 months (p < 0.05). Ventricular dimensions decreased notably from 59.2 ± 6.6 mm to 47.6 ± 4.0 mm (p < 0.05). Hospital mortality was 2.3% (2 patients). Twelve-month survival rates reached 94.66% and 97.96% for reduced and preserved EF groups, respectively, without significant inter-group differences (p = 0.42). All surviving participants achieved functional status in NYHA class I or II. Conclusions: Mechanical mitral valve replacement with posterior leaflet preservation represents an effective approach for patients with reduced ventricular performance, promoting substantial improvement in cardiac function and excellent clinical outcomes.
Full article
(This article belongs to the Special Issue Cardiothoracic Surgery, 2nd Edition)
►▼
Show Figures

Figure 1
Highly Accessed Articles
Latest Books
E-Mail Alert
News
Topics
Special Issues
Special Issue in
Surgeries
The Application of Artificial Intelligence in Surgical Procedures
Guest Editors: Milan Toma, Michael NizichDeadline: 31 March 2026
Special Issue in
Surgeries
Laparoscopic Versus Robot-Assisted Surgery
Guest Editors: Francisco Miguel Sanchez-Margallo, Juan Alberto Sánchez-MargalloDeadline: 31 March 2026
Special Issue in
Surgeries
Future Directions in Neurosurgery: Innovation and Technology
Guest Editor: Angelo LavanoDeadline: 31 March 2026
Special Issue in
Surgeries
Innovative Technology and Advancements in Hip and Knee Surgeries
Guest Editor: Claudio D'AgostinoDeadline: 30 April 2026



