Abstract
Background: Some rib fractures do not heal appropriately and can cause significant pain and morbidity. Little is known about the locations likely to experience dysfunctional healing. We sought to determine the location of symptomatic non-union/malunion (NU/MU) rib fractures presenting to our Chest Wall Injury and Reconstruction Center. Methods: A single-center retrospective cohort study was conducted on all patients with NU/MU fractures presenting for evaluation at our CWIRC from 1 January 2019 to 30 July 2023. Their rib injury locations were mapped using computed tomography scans of the chest and a physical exam was used to characterize the location of their symptomatic NU/MU fractures. The location of the NU/MU injury was identified as either the anterior (A), anterior–lateral (AL), lateral (L), posterior–lateral (PL), or posterior (P) region of the chest wall. The results are presented as a mean +/− standard deviation for normally distributed data and median (minimum—maximum) for non-normally distributed data. Results: A total of 28 cases were evaluated. The average age at time of presentation was 48+/−14 years and 71% of patients were male. A total of 72 NU/MU fractures (median/pt 2(1–11)) were evaluated. Sixty-one percent of the injuries were on the right side. In most patients (25/28, 89%), the injuries were all in the same anatomic location in the rib cage. Three patients had NU/MU injuries in multiple anatomic locations. All multilevel injuries were sequential, without any normally healed ribs between NU/MU injuries. The most common locations were the L and PL regions (A–3, AL–8, L–19, PL–42, P–0). The most commonly symptomatic ribs were in ribs 6–10. Conclusions: Symptomatic NU/MU healing often occurs in the L and PL locations along the bony chest wall. Symptomatic NU/MU injuries also occur in the cartilaginous extensions of the bony ribs and along the costal margin. Symptomatic NU/MU healing is uncommon in the A and AL upper rib cage, as well as in P injuries.
1. Introduction
Following chest trauma, approximately 10% of patients have rib fractures [1,2]. These rib injuries have been associated with increased pulmonary complications and mortality following the injury, as well as an increased long-term risk of decreased quality of life, chronic pain, and prolonged disability [3,4,5,6]. To address this morbidity and mortality, the popularity of the surgical stabilization of rib fractures (SSRF) has increased over the last decade [7,8,9]. Ultimately, some fractures do not heal.
Non-union rib fractures can result in significant pain and disability [10]. Patients who have persistent rib pain after an injury often seek consultations from rib specialists [11]. Chest wall injury and reconstruction centers have been established to facilitate the follow-up of patients managed both operatively and non-operatively [11]. These centers are beginning to recognize additional short- and long-term complications arising from these injuries [11].
At our Chest Wall Injury and Reconstruction Clinic (CWIRC), we have seen a significant increase in patients presenting with non-union/malunion (NU/MU) fractures year on year. Little is known about the location of NU/MU fractures in patients who electively present for evaluation. The primary aim of this study was to determine the prevalence and location of NU/MU fractures in patients presenting electively for evaluation. This article was previously presented as a meeting abstract at the 2024 Chest Wall Injury Society Annual Scientific Meeting on 12 April 2024.
2. Materials and Methods
A single-center retrospective cohort study was conducted on all patients who underwent the SSRF from 1 January 2021 to 31 August 2023. The Institutional Review Board at the Medical University of South Carolina granted this project, which was determined to be a quality-improvement evaluation, exemption. All patients were 18 years old or older. This study included patients that presented to the Chest Wall Injury and Reconstruction Clinic with symptomatic NU/MU fractures and a chest computed tomography (CT) scan at the time of their evaluation. This manuscript was prepared using the revised standards for quality improvement reporting excellence (SQUIRE) guideline.
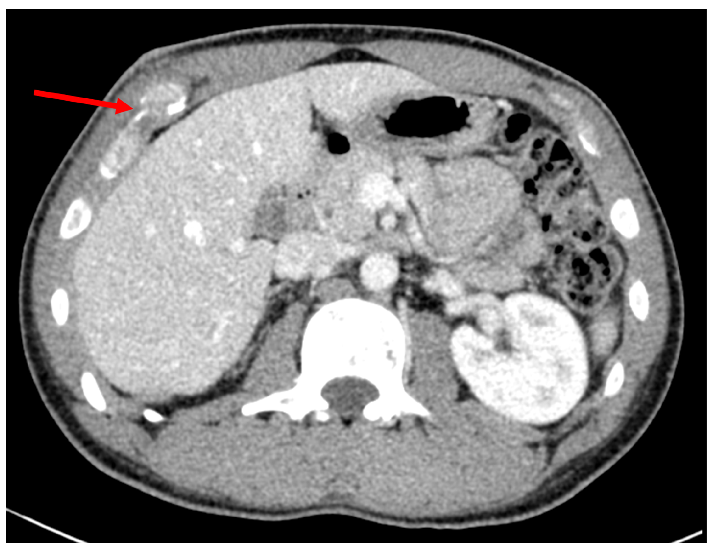
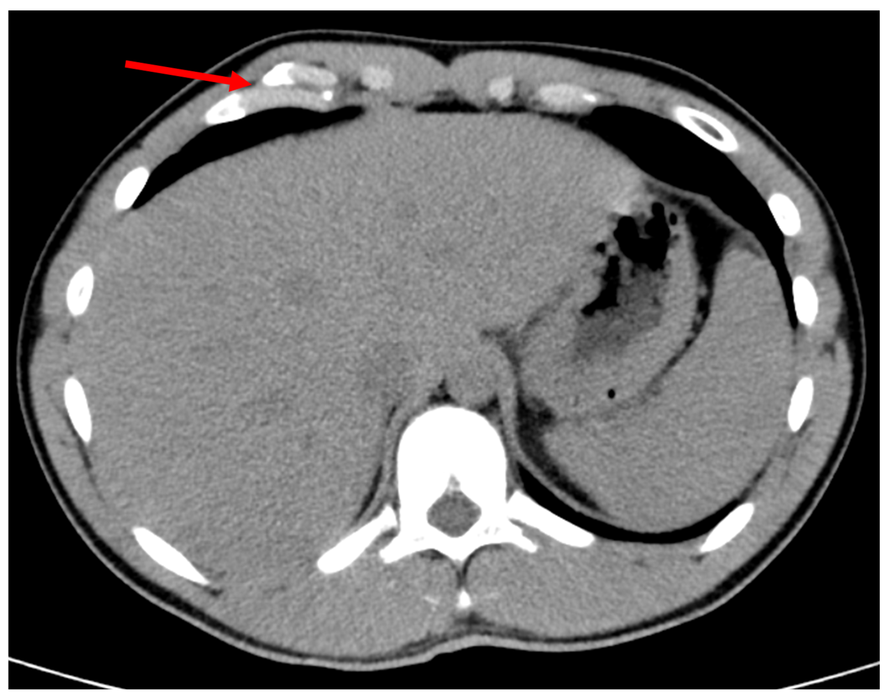
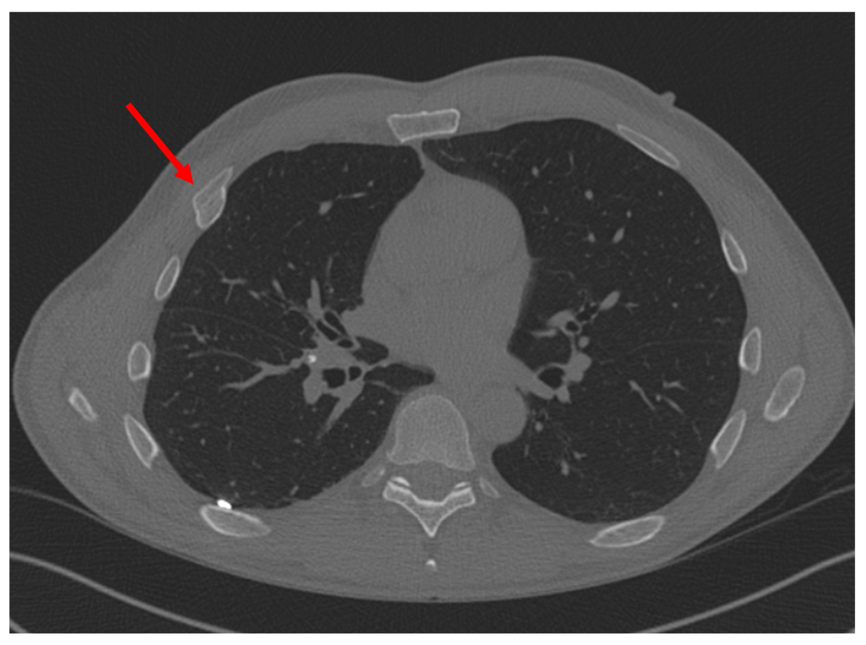
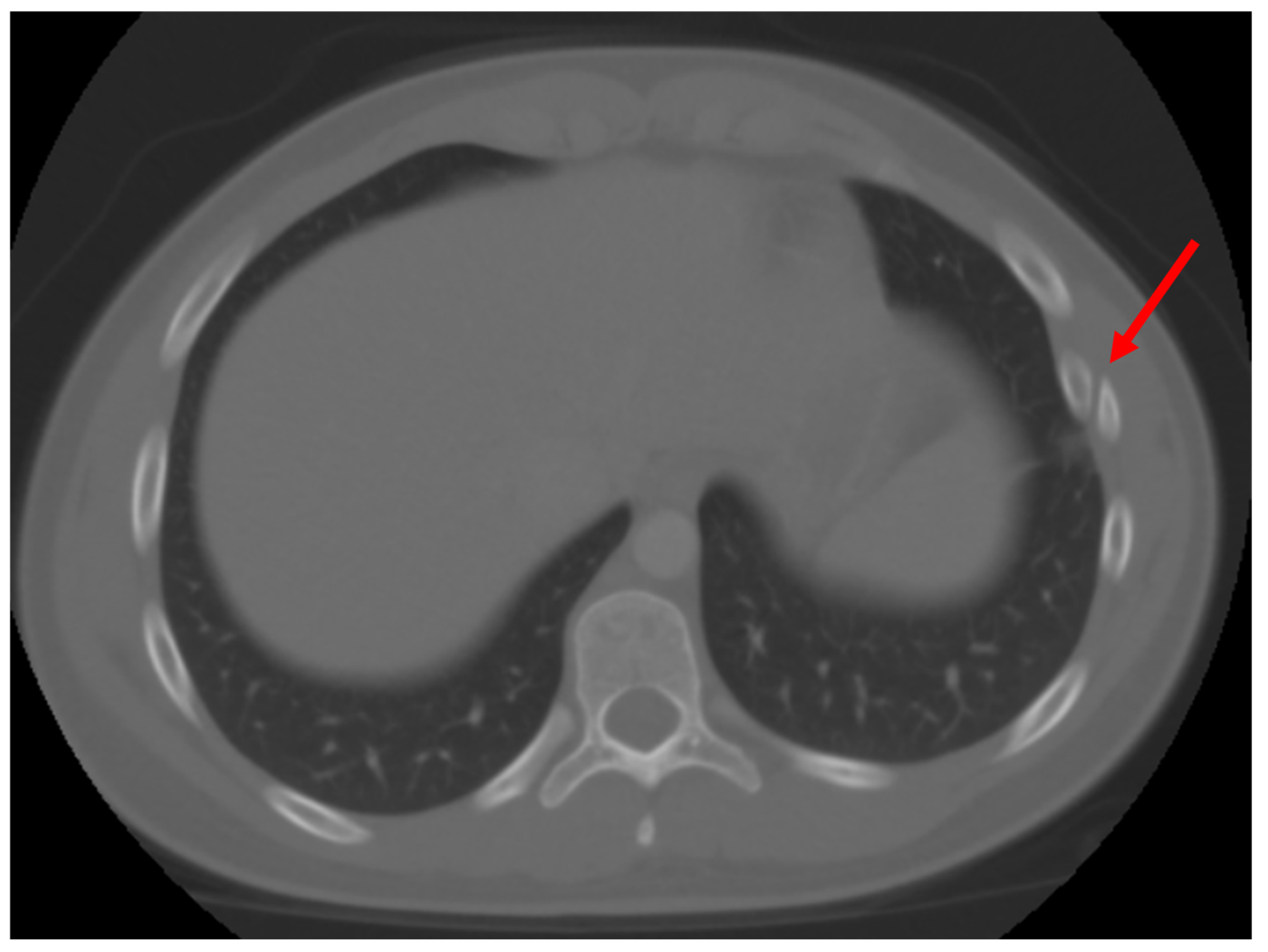
Demographic data including age, race, and gender were obtained from medical records. NU/MU rib fracture locations were characterized, using initial CT scans, based on their anatomical sector. These sectors consisted of the following: anterior (A) (costal cartilage), anterior–lateral (AL) (rib costal cartilage junction to anterior axillary line), lateral (L) (anterior axillary line–posterior axillary line), posterior–lateral (PL) (posterior axillary line to the lateral aspect of the paraspinous musculature) and posterior (P) (rib head–lateral aspect of the paraspinous muscles). NU/MU fractures were defined as a lack of cortical bone connection or an abnormal anatomic contour noted on follow-up CT scan cross-sectional imaging. Specifically, an MU fracture occurs when a broken bone heals in an incorrect position, resulting in deformity, while an NU means the broken bone fails to heal at all, leaving a gap between the bone fragments. Examples of MU/NU fractures are illustrated, as shown by the red arrows, in Figure 1, Figure 2, Figure 3 and Figure 4.
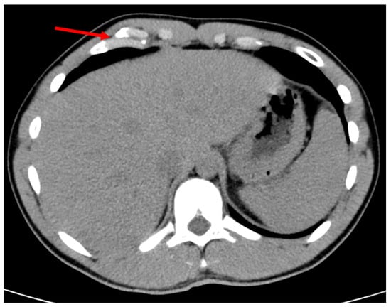
Figure 1.
Malunion fracture of the costal margin. Red arrow points to the location of injury.
Figure 2.
Non-union fracture of the 6th costal cartilage. Red arrow points to the location of injury.
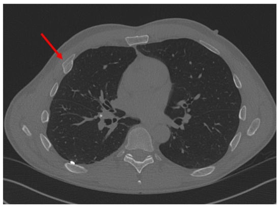
Figure 3.
Malunion fracture of the 4th rib. Red arrow points to the location of injury.
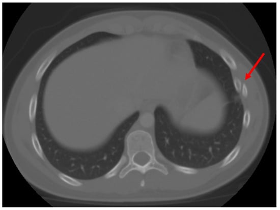
Figure 4.
Non-union fracture of the 7th rib. Red arrow points to the location of injury.
Data were analyzed utilizing the Statistical Package for the Social Sciences (SPSS) version 27 (IBM Corp. Released 2020. IBM SPSS Statistics for Windows, Version 27.0. Armonk, NY, USA: IBM Corp). The Shapiro–Wilk test was used to determine the normality of continuous variables. Normally distributed data are presented as means +/− standard deviation and non-normally distributed data are presented as medians (minimum—maximum range). A p-value of less than or equal to 0.05 was considered statistically significant. All tests were performed as two-sided evaluations. As for continuous data, normally distributed data were analyzed using Student’s t-test and non-normally distributed data were analyzed using the Mann–Whitney U-test. As for categorical data, their frequencies and values were compared using Chi-squared or Fisher’s Exact tests, as applicable.
3. Results
A total of 28 cases were evaluated. The average age at time of presentation was 48 +/− 14 years; 93% (26/28) of patients were Caucasian and 71% (20/26) were male. The cohort had an average height of 175.0 +/− 8.2 cm, average weight of 87.7 +/− 24.4 kg, and an average body mass index of 28.5 +/− 6.8 kg per meter squared. On presentation to the clinic, they had an average pain score of 6.8 +/− 2.3, a popping or clicking sensation was noted in 79% (22/28), and 46% (13/28) had a palpable deformity on physical exam. Additionally, 21% (6/28) of patients smoked, 57% (16/28) had diabetes mellitus, and 11% (3/28) had pulmonary disease. Patient-reported anxiety about the condition was present in 57% (16/28), and 75% (21/28) felt they were disabled or unable to perform activities of daily living. Many of the injuries were from falls or coughing injuries (Figure 5).
Figure 5.
Mechanism of injury.
A total of 72 NU/MU fractures (median/patient 2 (1–11)) were evaluated. Sixty-one percent of the injuries were on the right side. In most patients (25/28, 89%), the injuries were all in the same anatomic region of the rib cage. Three patients had NU/MU injuries in multiple anatomic regions. All multilevel injuries were sequential, without any normally healed ribs between them. The most common locations were the L and PL regions (A—3; AL—8; L—19; PL—42; P—0). The most frequently diagnosed MU and NU of the ribs were noted in ribs 6–10 (Figure 6). Five patients (18%) had a costal margin injury resulting in the malunion of their cartilage or separation of their fracture and a resultant thoracoabdominal wall hernia. Eighty percent of the lateral 10th rib fractures were malunion fractures of the cartilaginous tip. One patient had a symptomatic fracture of an intercondylar joint.
Figure 6.
Heatmap of the rib number and location of non-union/malunion injuries. Incidence of fractures are color coded with lowest in green and highest values have increasing red hue. All mechanisms of injury and locations of rib fractures are detailed. The rows separate the ribs by number, 1–12. The columns are separated by anatomic region (A—anterior; AL—anterior–lateral; L—lateral; PL—posterior–lateral; P—posterior).
To further characterize the fractures, the heatmap was broken down by mechanism of injury, focusing on the two primary mechanisms of injury, which were falls (Figure 7) and cough-induced injury (Figure 8). All other mechanisms of injury were combined due to the smaller numbers of patients that experienced them (Figure 9). There was not a statistically significant difference in average age (p = 0.337), gender (p = 0.990), pain scores (p = 0.948), or body mass index (p = 0.965) between the subgroups based on the mechanism of injury. In comparing their symptoms on presentation and comorbidities, patients with a cough injury were statistically significantly more likely to note a deformity of the chest wall and have pulmonary disease (Table 1).
Figure 7.
Fall MOI heatmap of the rib number and location of non-union/malunion injuries. Incidence of fractures are color coded with lowest in green and highest values have increasing red hue. Rows separate ribs by number, 1–12. Columns are separated by anatomic region (A—anterior; AL—anterior–lateral; L—lateral; PL—posterior–lateral; P—posterior).
Figure 8.
Cough MOI heatmap of the rib number and location of non-union/malunion injuries. Incidence of fractures are color coded with lowest in green and highest values have increasing red hue. Rows separate ribs by number, 1–12. Columns are separated by anatomic region (A—anterior; AL—anterior–lateral; L—lateral; PL—posterior–lateral; P—posterior).
Figure 9.
Heatmap of the rib number and location of non-union/malunion injury of other MOI. Incidence of fractures are color coded with lowest in green and highest values have increasing red hue. Rows separate ribs by number, 1–12. Columns are separated by anatomic region (A—anterior, AL—anterior–lateral, L—lateral, PL—posterior–lateral, P—posterior).
Table 1.
Differences in symptoms and comorbidities between MOI groups.
4. Discussion
Based on this analysis of patients presenting electively to a single Chest Wall Injury and Reconstruction Clinic, many of their injuries were in ribs 6–10 and in the L and PL regions of the chest wall. Symptomatic NU/MU injuries were less common in the upper ribs and in the anterior chest wall. The distribution of these fractures also appears to differ based on the mechanism of injury. Symptomatic NU/MU fractures after falls are predominantly in the L location in the middle of the rib cage and in the PL location in the lower rib cage. Patients with cough injuries appear to have a higher number of injuries along the lower costal margin, as well as in the PL location. Additionally, patients with cough injuries appear more likely to have pulmonary disease and note a palpable deformity. The remainder of the mechanisms of injury do not have a discernable pattern of injury.
It is generally accepted that 5 to 10% of rib fractures may develop non-union [12]. A recent prospective multicenter study identified a non-union rate of 12% in rib fracture patients without flail chest and 70% in costal cartilage fractures [10]. They also found a higher prevalence in the ribs of the lower chest wall, specifically ribs 7–10, and fractures in the L and PL locations [10]. Their study evaluated fractures at 6-month follow-up CT scans to determine bony healing. Our findings on the location of symptomatic NU/MU rib injuries mirror their findings.
Several factors are likely to contribute to the increased NU/MU frequently noted in the lower rib cage. Recent cadaver studies evaluating the anatomy of the anterior rib cage and intercondylar joints, makeup of the costal margin, and connections of the ribs to the sternum have shown significant anatomic variability across specimens [13]. This variability in the makeup of the anterior chest wall and costal cartilage attachments may lead to more mobility of the lower chest wall than is seen in the upper chest wall. The musculature of the abdominal wall attaches to the edge of the rib cage as well as along the anterior–lateral lower chest wall. Contraction of the abdominal musculature causes a constellation of force vectors across the lower rib cage that is transmitted not only directly to the ribs attached to the muscles but is also transmitted through intercondylar joints and dispersed across the lower rib cage. Additionally, the diaphragm attaches to the costal margin across the lower chest wall, resulting in internal force vectors pulling the lower chest wall medially in comparison to the remainder of the chest. This results in a rotational strain on the lower rib cage. Immobilization of the chest wall is not feasible given the interactions of the abdominal musculature and diaphragm during the normal respiratory cycle. This makes rib fractures unique compared to fractures of the extremities, which may be treated by immobilization. Lastly, a large portion of the lower rib cage is made up of the common costal margin and costal cartilages, which attach to one another. Cartilage is generally avascular and does not heal nearly as well as osseous tissue [10]. The large amount of multidirectional forces on the costal cartilage, as well as its impaired healing characteristics, likely contributes to the high non-union rate of approximately 70% that has been previously published [10].
There appears to be a difference in fracture patterns between different mechanisms of injury. A recent study evaluated the incidents of rib fractures in different ribs and anatomic locations based on the mechanism of injury [14]. They identified that the highest prevalence of rib fractures after falls were in ribs 4–9, in a lateral location, and ribs 7–9 in a posterior–lateral location [14]. Similarly, we also found the highest number of symptomatic fractures to be in these locations. However, we identified a stronger association via heat map in the posterior–lateral location versus the lateral. This clinical difference noted in symptomatic NU/MU fractures may be due to the instability of fractures in the posterior lateral location relative to other locations of the chest wall, as has been previously described [15,16]. Cough-related NU/MU injuries appeared most commonly along the costal margin or in the posterior–lateral location. Previous reports of spontaneous rib fractures have noted that the most frequently observed fracture locations were between the 4th and 9th ribs, and many patients had underlying pulmonary disease [17]. The differences seen in symptomatic NU/MU fractures in patients who suffered falls when compared to all cough-related injuries may be due to the physical properties of the costal margin and lower rib cage. The relative mobility of the costal margin to the external direct application of force compared to the multidirectional forces applied to the lower rib cage from a forceful contraction of the thoraco-abdominal wall musculature may result in more costal margin injuries from intense coughing. Additionally, patients with cough-related injuries are more likely to identify deformity at the location of their injury. The increased number of injuries along the costal margin is likely easier to clinically detect as there are no adjacent ribs masking the deformity. Additionally, the relative malleability of the abdominal wall musculature aids in the detection of these skeletal abnormalities.
This report has several limitations that should be noted. This cohort of patients is a convenience-based sample of patients voluntarily presenting to a Chest Wall Injury and Reconstruction Clinic with symptomatic rib injuries. There are few clinics of this kind across the United States and many patients do not know that they exist, nor do they seek out treatment. This may introduce multiple forms of bias in terms patients that have the knowledge and resources to seek out rib injury experts. Symptomatic NU/MU rib fractures are the result of a multifactorial disturbance of the healing process that may be due to many factors not measured in this evaluation. Furthermore, these patients were evaluated at variable time points after their original injury. The healing of ribs takes months and sometimes years, and this may alter the degree of symptoms that these patients were exhibiting and their desire to seek medical attention. Lastly, as a retrospective review, the normal concerns and critiques of this type of study design can be applied to this report.
5. Conclusions
Symptomatic NU/MU healing often occurs in the L and PL locations along the bony chest wall. Symptomatic NU/MU injuries also occur in the cartilaginous extensions of the bony ribs and along the costal margin. Symptomatic NU/MU healing is uncommon in the A and AL upper rib cage and in P injuries. A multicenter epidemiologic evaluation of the locations of symptomatic NU/MU rib injures is warranted to better characterize the injury locations that may progress to NU/MU.
Author Contributions
Each author significantly contributed to the creation of this project. Specifically, Design—E.A.E., A.H. and D.A. Data Acquisition—A.H., E.A.E. and D.A. Data Analysis—A.H., E.A.E., R.G. and DA. Interpretation of Data—A.H., D.A., R.G. and E.A.E. Preparation of Manuscript—D.A., A.H., R.G. and E.A.E. All authors have read and agreed to the published version of the manuscript.
Funding
This research received no external funding.
Institutional Review Board Statement
Exemption from the Institutional Review Board at the Medical University of South Carolina was obtained for this project, which was determined to be a quality-improvement evaluation.
Informed Consent Statement
Patient consent was waived due to the retrospective review of preexisting data for a quality assessment. Consent was not required by the Institutional Review Board.
Data Availability Statement
The data presented in this study are available on request from the corresponding author due to institutional privacy restrictions.
Conflicts of Interest
The following authors declare no conflicts of interest: D.A., A.P. and R.G. E.A.E. is an educational instructor for Johnson & Johnson. The funders/companies had no role in the design of this study; in the collection, analyses, or interpretation of data; in the writing of the manuscript, or in the decision to publish the results.
Abbreviations
The following abbreviations are used in this manuscript:
| CT | Computed tomography |
| CWIRC | Chest Wall Injury and Reconstruction Clinic |
| NU/MU | Non-union/malunion |
| A | Anterior |
| AL | Anterior–lateral |
| L | Lateral |
| PL | Posterior–lateral |
| P | Posterior |
References
- Flagel, B.T.; Luchette, F.A.; Reed, R.L.; Esposito, T.J.; Davis, K.A.; Santaniello, J.M.; Gamelli, R.L. Half-a-dozen ribs: The breakpoint for mortality. Surgery 2005, 138, 717–723; discussion 723–715. [Google Scholar] [CrossRef] [PubMed]
- Peek, J.; Beks, R.B.; Hietbrink, F.; De Jong, M.B.; Heng, M.; Beeres, F.J.; IJpma, F.F.A.; Leenen, L.P.H.; Groenwold, R.H.H.; Houwert, R.M. Epidemiology and outcome of rib fractures: A nationwide study in the Netherlands. Eur. J. Trauma Emerg. Surg. 2022, 48, 265–271. [Google Scholar] [CrossRef] [PubMed]
- Choi, J.; Khan, S.; Sheira, D.; Hakes, N.A.; Aboukhater, L.; Spain, D.A. Prospective study of long-term quality-of-life after rib fractures. Surgery 2022, 172, 404–409. [Google Scholar] [CrossRef] [PubMed]
- Fabricant, L.; Ham, B.; Mullins, R.; Mayberry, J. Prolonged pain and disability are common after rib fractures. Am. J. Surg. 2013, 205, 511–515; discusssion 515–516. [Google Scholar] [CrossRef] [PubMed]
- Prins, J.T.H.; Van Lieshout, E.M.M.; Overtoom, H.C.G.; Tekin, Y.S.; Verhofstad, M.H.J.; Wijffels, M.M.E. Long-term pulmonary function, thoracic pain, and quality of life in patients with one or more rib fractures. J. Trauma Acute Care Surg. 2021, 91, 923–931. [Google Scholar] [CrossRef]
- Ziegler, D.W.; Agarwal, N.N. The morbidity and mortality of rib fractures. J. Trauma 1994, 37, 975–979. [Google Scholar] [CrossRef] [PubMed]
- Pieracci, F.M.; Leasia, K.; Bauman, Z.; Eriksson, E.A.; Lottenberg, L.; Majercik, S.; Powell, L.; Sarani, B.; Semon, G.; Doben, A.R.; et al. A multicenter, prospective, controlled clinical trial of surgical stabilization of rib fractures in patients with severe, nonflail fracture patterns (Chest Wall Injury Society NONFLAIL). J. Trauma Acute Care Surg. 2020, 88, 249–257. [Google Scholar] [CrossRef] [PubMed]
- Prins, J.T.H.; Van Lieshout, E.M.M.; Ali-Osman, F.; Bauman, Z.M.; Caragounis, E.C.; Choi, J.; Christie, D.B., III; Cole, P.A.; DeVoe, W.B.; Wijffels, M.M.; et al. Outcome after surgical stabilization of rib fractures versus nonoperative treatment in patients with multiple rib fractures and moderate to severe traumatic brain injury (CWIS-TBI). J. Trauma Acute Care Surg. 2021, 90, 492–500. [Google Scholar] [CrossRef] [PubMed]
- Prins, J.T.H.; Van Lieshout, E.M.M.; Ali-Osman, F.; Bauman, Z.M.; Caragounis, E.C.; Choi, J.; Christie, D.B., III; Cole, P.A.; DeVoe, W.B.; Wijffels, M.M.; et al. Surgical stabilization versus nonoperative treatment for flail and non-flail rib fracture patterns in patients with traumatic brain injury. Eur. J. Trauma Emerg. Surg. 2022, 48, 3327–3338. [Google Scholar] [CrossRef] [PubMed]
- Van Wijck, S.F.M.; Van Diepen, M.R.; Prins, J.T.H.; Verhofstad, M.H.; Wijffels, M.M.; Van Lieshout, E.M.; Vos, D.I. Radiographic rib fracture nonunion and association with fracture classification in adults with multiple rib fractures without flail segment: A multicenter prospective cohort study. Injury 2024, 55, 111335. [Google Scholar] [CrossRef] [PubMed]
- Eriksson, E.A.; Waite, A.M.; Shivers, S.D. The evolution of a chest wall injury and reconstruction clinic during a pandemic. J. Trauma Acute Care Surg. 2022, 93, 781–785. [Google Scholar] [CrossRef] [PubMed]
- Pieracci, F.M.; Majercik, S.; Ali-Osman, F.; Ang, D.; Doben, A.; Edwards, J.G.; Frenchg, B.; Gasparrih, M.; Marasco, S.; White, T.W.; et al. Consensus statement: Surgical stabilization of rib fractures rib fracture colloquium clinical practice guidelines. Injury 2017, 48, 307–321. [Google Scholar] [CrossRef] [PubMed]
- Patel, A.; Privette, A.; Bauman, Z.; Hansen, A.; Kubalak, S.; Eriksson, E. Anatomy of the anterior ribs and the composition of the costal margin: A cadaver study. J. Trauma Acute Care Surg. 2023, 95, 875–879. [Google Scholar] [CrossRef] [PubMed]
- Brewer, J.M.; Karsmarski, O.P.; Fridling, J.; Hill, T.R.; Greig, C.J.; Posillico, S.E.; McGuiness, C.; McLaughlin, E.; Montgomery, S.C.; Doben, A.R.; et al. Chest wall injury fracture patterns are associated with different mechanisms of injury: A retrospective review study in the United States. J. Trauma Inj. 2024, 37, 48. [Google Scholar] [CrossRef] [PubMed]
- Head, W.; Kumar, N.; Thomas, C.; Leon, S.; Dieffenbaugher, S.; Eriksson, E. Are rib fractures stable? An analysis of progressive rib fracture offset in the acute trauma setting. J. Trauma Acute Care Surg. 2021, 91, 917–922. [Google Scholar] [CrossRef] [PubMed]
- Bauman, Z.M.; Grams, B.; Janala, U.; Shostrom, V.; Waibel, B.; Evans, C.H.; Cemaj, S.; Schlitzkus, L.L. Rib fracture displacement worsend over time. Eur. J. Trauma Emerg. Surg. 2021, 47, 1965–1970. [Google Scholar] [CrossRef] [PubMed]
- Katrancioglu, O.; Akkas, Y.; Arslan, S.; Sahin, E. Spontaneous rib fractures. Asian Cardiovasc. Thorac. Ann. 2015, 23, 701–703. [Google Scholar] [CrossRef] [PubMed]
Disclaimer/Publisher’s Note: The statements, opinions and data contained in all publications are solely those of the individual author(s) and contributor(s) and not of MDPI and/or the editor(s). MDPI and/or the editor(s) disclaim responsibility for any injury to people or property resulting from any ideas, methods, instructions or products referred to in the content. |
© 2025 by the authors. Licensee MDPI, Basel, Switzerland. This article is an open access article distributed under the terms and conditions of the Creative Commons Attribution (CC BY) license (https://creativecommons.org/licenses/by/4.0/).








