Abstract
The rearrangement of molecular pathways and the activation of bypass signaling determine the progression of tumor cell resistance to various drugs that specifically block target signaling proteins. The present work was performed on the MCF-7 breast cancer cells and established sublines, resistant to mTOR inhibitor rapamycin or antiestrogen tamoxifen, developed under prolonged cell treatment with rapamycin or tamoxifen, respectively. We have shown that both resistant sublines demonstrate the cross-resistance to rapamycin and tamoxifen and are characterized with the common signaling changes, namely—blocking of the estrogen receptor α (ERα) transcriptional activity and constitutive activation of Akt signaling. Analysis of the epigenetic machinery revealed the drastic suppression of the level of DNA methyltransferase 3A (DNMT3A) in both the resistant sublines that were correlated with the demethylation of the LINE-1 repeats. Knockdown of the DNMT3A via siRNA results in the progression of partial resistance of MCF-7 cells to both tamoxifen and rapamycin, supporting the important role of DNA methylation in the formation of the resistant phenotype. Totally, the results obtained highlight the possible mechanism of the tumor cell resistance to targeting/hormonal drugs based on the rearrangement of DNA methylation profile and activation of the bypass signaling pathways.
1. Introduction
The development of acquired drug resistance of tumor cells is among the key factors limiting the efficiency of antitumor therapy. There are various mechanisms responsible for the formation of the resistant phenotype of cancer cells including the activation of ABC (ATP-binding cassette) transporters, mutations of the targeted genes, rearrangement of the signaling pathways, etc. [1,2,3]. Among them, the reconstruction of epigenetic machinery belongs to the main events involved in the progression and maintenance of the low drug sensitivity of tumor cells [4,5].
Earlier, we have shown that prolonged treatment of MCF-7 breast cancer cells with mTOR pathway inhibitors, rapamycin or metformin, results in the development of the resistant clones characterized with constitutive activation of growth-related pathways [6]. Because the activation of bypass growth signaling is among the key features of the acquired hormonal resistance, we proposed the existence of the common mechanisms that are responsible for the formation of cell resistance to both mTOR-targeting and hormonal agents.
2. Methods
2.1. Cell Cultures and Evaluation of Antiproliferative Activity
The MCF-7 cells (ATCC HTB-22) were cultured at 37 °C and 5% CO2 in DMEM medium (PanEco: Moscow, Russia) containing 4.5 g/L glucose and 10% fetal bovine serum (HyClone, Cytiva: Marlborough, MA, USA)). Prolonged treatment of the parent cells with tamoxifen and rapamycin, respectively, was used to obtain resistant sublines MCF-7/T and MCF-7/Rap [6]. The MTT assay [7] was used to determine the cell response to the drugs after the treatment of the cells with tamoxifen or rapamycin.
2.2. Transient Transfection and Measurement of Reporter Gene Activity
To measure estrogen receptor (ERα) transcriptional activity, the transfection of plasmids containing estrogen-responsive elements that controlled the luciferase gene was performed as described previously [8]. The cells were co-transfected with β-galactosidase plasmids; the relative luciferase activity was calculated as the luciferase to galactosidase ratio.
2.3. Transfection of Small Interfering RNA
Scrambled nonspecific siRNA and DNMT3A-specific siRNA were purchased from Syntol. Oligonucleotides were dissolved in annealing buffer (50 mM NaCl, 10 mM Tris-HCl (pH 8.0), 1 mM EDTA), annealed at 95 °C and used for transfection with Lipofectamine 2000 (Thermo Fisher Scientific: Waltham, MA, USA). The following sequences of siRNA were used in the study: scrambled siRNA 5′-UUCUCCGAACGUGUCACGUTT-3′ and DNMT3A siRNA 5′-GCCAAGGUCAUUGCAGGAATT-3′ with corresponding antisense sequences.
2.4. Immunoblotting
Preparation of the cell lysates was conducted as described previously [6]; they were separated using 10% SDS-PAGE, transferred to a nitrocellulose membrane (PerkinElmer: Waltham, MA, USA), and processed as described earlier [9]. After the treatment with 5% nonfat milk (AppliChem: Darmstadt, Germany), the membranes were incubated with primary antibodies (Cell Signaling Technology: Danvers, MA, USA) overnight at +4 °C. For the standardization of loading, the antibodies against α-tubulin (Cell Signaling Technology) were used; the secondary antibodies corresponding to IgGs conjugated with horseradish peroxidase were provided by Jackson ImmunoResearch (Ely, UK). The detection was performed using Mruk and Cheng’s protocol [10] and an ImageQuant LAS4000 system for chemiluminescence (GE HealthCare: Chicago, IL, USA).
2.5. Bisulfite Pyrosequencing for LINE-1 Methylation Analysis
LINE-1 methylation analysis was carried out using a bisulfite pyrosequencing method. Briefly, genomic DNA was isolated using the ExtractDNA Blood & Cells kit (Evrogen: Moscow, Russia) and modified with sodium bisulfite using the EZ DNA Methylation-Gold™ Kit (Zymo Research: Tustin, CA, USA) according to the manufacturer protocol. Bisulfite-treated DNA was amplified with the forward (5′-TGAGTTAGGTGTGGGATATAGT-3′) and biotinylated reverse primers (5′-bio-AAAATCAAAAAATTCCCTTTC-3′) using 5X MaSTaqDD PCR master mix (Dialat Ltd.: Moscow, Russia). The PCR products were sequenced via pyrosequencing with PyroMark Q24 (Qiagen: Hilden, Germany) using a specific sequencing primer 5′-GTTAGGTGTGGGATATAGTTT-3′ with the analyzed sequence: 5′-YGTGGTGYGTYGTTTTTTAAGTYGGTTTGAAAAGYGTAATATTYGGGTGGGA-3′. The obtained sequences were analyzed using PyroMark Q24 Advanced Software (Qiagen: Hilden, Germany), which allows the analysis of the methylation levels of CpG sites.
2.6. Statistical Analysis
Each experiment was repeated three times with three technical replicates. Statistical analysis was performed using Microsoft Excel. Results were expressed as the mean + S.D. (standard deviation value) if not stated explicitly. A p-value of < 0.05 was considered to be statistically significant.
3. Results and Discussion
The experiments were performed on the MCF-7 breast cancer cells and rapamycin-resistant MCF-7/Rap and tamoxifen-resistant MCF-7/T sublines developed under prolonged treatment of the parent cells with rapamycin or tamoxifen, respectively. The study of the cell sensitivity to the indicated drugs revealed the high level of cross-resistance to rapamycin and tamoxifen in both the sublines (Figure 1).
Figure 1.
Cross-resistance of MCF-7/Rap (a) and MCF-7/T (b) cells to rapamycin and tamoxifen. The cells were treated with 2 μM rapamycin or 3 μM tamoxifen for 3 days with subsequent analysis of the number of viable cells using the MTT test. Data represent mean value ± S.D. of three independent experiments. A total of 100% was set as the viability of cells treated with the vehicle control.
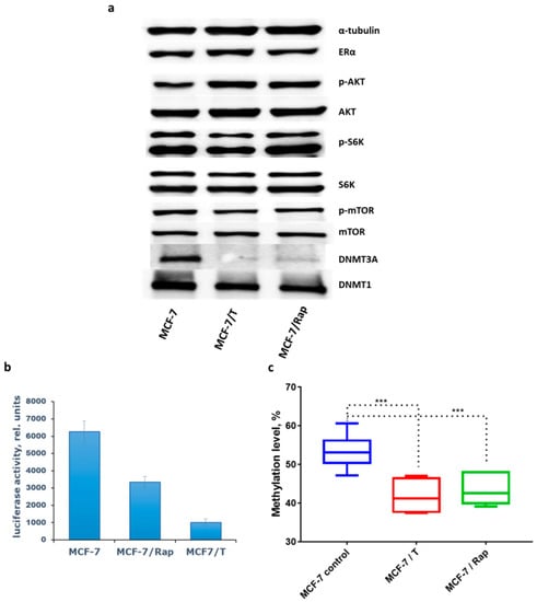
The resistant sublines were characterized with the weakened ERα activity along with constitutive activation of Akt signaling, when the expression of mTOR signaling proteins was not affected (Figure 2a,b).
Figure 2.
(a) Western blotting of the protein samples of the MCF-7, MCF-7/Rap, and MCF-7/T cells. The blot represents the results of one of the three similar experiments. Expression of α-tubulin, ERα, Akt/p-Akt, S6K/p-S6K, mTOR/p-mTOR, DNMT3A, DNMT1 was studied. (b) Reporter analysis of the ERα transcriptional activity. The relative luciferase activity was calculated in arbitrary units as the ratio of the luciferase to the galactosidase activity. Data represent the mean value ± S.D. of three independent experiments. (c) The average methylation level of the six CpG dinucleotides in the LINE-1 region. *** p-value < 0.0006. To further investigate the role of DNMT3A in the formation of cell-resistant phenotypes, the knockdown of the DNMT3A via siRNA was performed. As revealed, transfection of siRNA DNMT3A results in the progression of partial resistance of MCF-7 cells to both tamoxifen and rapamycin (Figure 3).
The analysis of the epigenetic machinery revealed the drastic suppression of the level of DNA methyltransferase 3A (DNMT3A) in both the resistant sublines whereas the expression of DNA methyltransferase 1 was not changed (Figure 2a). To investigate the effect of suppressing DNMT3A expression in resistant sublines on the global change in DNA methylation in the studied cells, we examined the methylation level of Long Interspersed Nucleotide Element 1 (LINE-1). LINE-1 is a major genetic element, making up ~17% of the entire genome [11]. CpG sites located within LINE-1 and their methylation levels correlate with the global methylation status of genomic DNA and are therefore often used as a surrogate marker for assessing global DNA methylation alterations [12]. LINE-1 methylation was analyzed in parental and resistant MCF-7 sublines via bisulfite pyrosequencing. In three independent experiments, we showed that the LINE-1 methylation level was significantly lower in tamoxifen- and rapamycin-resistant cells when compared to parental MCF-7 cells (Figure 2c).
Totally, the results obtained highlight the possible mechanism of the tumor cell resistance to targeted/hormonal drugs based on the rearrangement of the DNA methylation profile and changes in the epigenetic regulation of cell signaling. Importantly, the changes in DNA methylation profile in the hormone-resistant or targeted drug-resistant cells were demonstrated with various cell models [4,13,14]; however, the precise mechanisms responsible for such alterations are still under investigation. We suggest that further studies are required for the identification of key signaling pathways mediating the effect of DNMT3A suppression and involved in the progression of cancer drug resistance.
4. Conclusions
Taken together, the results presented demonstrate the existence of the common mechanisms responsible for the activation of the bypass signaling pathways in the cells resistant to mTOR targeting or hormonal drugs, and revealed the involvement of the DNA methylation enzymes in the formation of the cell resistant phenotype.
Author Contributions
Conceptualization, M.A.K., S.V.V. and O.E.A.; methodology, M.A.K., S.V.V. and A.M.S.; formal analysis A.M.S., O.E.A., S.V.V., A.N.K. and M.A.K.; investigation, O.E.A., Y.Y.S., D.V.S., S.V.V., A.N.K., D.I.S. and A.M.S.; writing—original draft preparation, M.A.K.; writing—review and editing, A.M.S., O.E.A. and S.V.V.; visualization, A.M.S.; supervision, M.A.K. All authors have read and agreed to the published version of the manuscript.
Funding
This research was funded by the Russian Science Foundation, grant number 19-15-00245 (https://rscf.ru/project/22-15-35008/, accessed on 15 December 2022).
Institutional Review Board Statement
Not applicable.
Informed Consent Statement
Not applicable.
Data Availability Statement
Data available from the authors.
Conflicts of Interest
The authors declare no conflict of interest. The funders had no role in the design of the study; in the collection, analyses, or interpretation of data; in the writing of the manuscript; or in the decision to publish the results.
References
- Clarke, R.; Tyson, J.J.; Dixon, J.M. Endocrine resistance in breast cancer—An overview and update. Mol. Cell. Endocrinol. 2015, 418, 220–234. [Google Scholar] [CrossRef]
- Araki, K.; Miyoshi, Y. Mechanism of resistance to endocrine therapy in breast cancer: The important role of PI3K/Akt/mTOR in estrogen receptor-positive, HER2-negative breast cancer. Breast Cancer 2017, 25, 392–401. [Google Scholar] [CrossRef]
- Citi, V.; Del Re, M.; Martelli, A.; Calderone, V.; Breschi, M.C.; Danesi, R. Phosphorylation of AKT and ERK1/2 and mutations of PIK3CA and PTEN are predictive of breast cancer cell sensitivity to everolimus in vitro. Cancer Chemother. Pharm. 2018, 81, 745–754. [Google Scholar] [CrossRef] [PubMed]
- Xie, W.; Sun, H.; Li, X.; Lin, F.; Wang, Z.; Wang, X. Ovarian cancer: Epigenetics, drug resistance, and progression. Cancer Cell Int. 2021, 21, 434. [Google Scholar] [CrossRef] [PubMed]
- Hazra, A.; Bose, P.; Sunita, P.; Pattanayak, S.P. Molecular epigenetic dynamics in breast carcinogenesis. Arch. Pharm. Res. 2021, 44, 741–763. [Google Scholar] [CrossRef] [PubMed]
- Shchegolev, Y.; Sorokin, D.; Scherbakov, A.; Shunaev, A.; Andreeva, O.; Mikhaevich, E.; Gudkova, M.; Bure, I.; Berstein, L.; Nemtsova, M.; et al. Upregulation of Akt/Raptor signaling is associated with rapamycin resistance of breast cancer cells. Chem. Biol. Interact. 2020, 330, 109243. [Google Scholar] [CrossRef] [PubMed]
- Iselt, M.; Holtei, W.; Hilgard, P. The tetrazolium dye assay for rapid in vitro assessment of cytotoxicity. Arzneim. Forsch. 1989, 39, 747–749. [Google Scholar]
- Ilovaisky, A.I.; Scherbakov, A.M.; Merkulova, V.M.; Chernoburova, E.I.; Shchetinina, M.A.; Andreeva, O.E.; Salnikova, D.I.; Zavarzin, I.V.; Terent’ev, A.O. Secosteroid–quinoline hybrids as new anticancer agents. J. Steroid Biochem. Mol. Biol. 2023, 228, 106245. [Google Scholar] [CrossRef] [PubMed]
- Scherbakov, A.M.; Lobanova, Y.S.; Shatskaya, V.A.; Onopchenko, O.V.; Gershtein, E.S.; Krasil’nikov, M.A. Activation of mitogenic pathways and sensitization to estrogen-induced apoptosis: Two independent characteristics of tamoxifen-resistant breast cancer cells? Breast Cancer Res. Treat. 2006, 100, 1–11. [Google Scholar] [CrossRef]
- Mruk, D.D.; Cheng, C.Y. Enhanced chemiluminescence (ECL) for routine immunoblotting: An inexpensive alternative to commercially available kits. Spermatogenesis 2011, 1, 121–122. [Google Scholar] [CrossRef] [PubMed]
- Lander, E.S.; Linton, L.M.; Birren, B.; Nusbaum, C.; Zody, M.C.; Baldwin, J.; Devon, K.; Dewar, K.; Doyle, M.; FitzHugh, W.; et al. Initial sequencing and analysis of the human genome. Nature 2001, 409, 860–921. [Google Scholar] [PubMed]
- Yang, A.S.; Estécio, M.R.; Doshi, K.; Kondo, Y.; Tajara, E.H.; Issa, J.P. A simple method for estimating global DNA methylation using bisulfite PCR of repetitive DNA elements. Nucleic Acids Res. 2004, 32, e38. [Google Scholar] [CrossRef] [PubMed]
- Sadakierska-Chudy, A. MicroRNAs: Diverse Mechanisms of Action and Their Potential Applications as Cancer Epi-Therapeutics. Biomolecules 2020, 10, 1285. [Google Scholar] [CrossRef] [PubMed]
- Stone, A.; Valdés-Mora, F.; Gee, J.M.W.; Farrow, L.; McClelland, R.A.; Fiegl, H.; Dutkowski, C.; McCloy, R.A.; Sutherland, R.L.; Musgrove, E.A.; et al. Tamoxifen-induced epigenetic silencing of oestrogen-regulated genes in anti-hormone resistant breast cancer. PLoS ONE 2012, 7, e40466. [Google Scholar] [CrossRef] [PubMed]
Disclaimer/Publisher’s Note: The statements, opinions and data contained in all publications are solely those of the individual author(s) and contributor(s) and not of MDPI and/or the editor(s). MDPI and/or the editor(s) disclaim responsibility for any injury to people or property resulting from any ideas, methods, instructions or products referred to in the content. |
© 2023 by the authors. Licensee MDPI, Basel, Switzerland. This article is an open access article distributed under the terms and conditions of the Creative Commons Attribution (CC BY) license (https://creativecommons.org/licenses/by/4.0/).


