Next Issue
Volume 6, February
Previous Issue
Volume 5, September
 
 

Biophysica, Volume 5, Issue 4 (December 2025) – 21 articles

  • Issues are regarded as officially published after their release is announced to the table of contents alert mailing list.
  • You may sign up for e-mail alerts to receive table of contents of newly released issues.
  • PDF is the official format for papers published in both, html and pdf forms. To view the papers in pdf format, click on the "PDF Full-text" link, and use the free Adobe Reader to open them.
Order results
Result details
Select all
Export citation of selected articles as:
17 pages, 2190 KB  
Article
Expression of Ion Transporters Is Altered in Experimental Ulcerative Colitis: Anti-Inflammatory Effects of Nobiletin
by Asmaa Al-Failakawi, Aishah Al-Jarallah, Muddanna Rao and Islam Khan
Biophysica 2025, 5(4), 63; https://doi.org/10.3390/biophysica5040063 - 15 Dec 2025
Viewed by 84
Abstract
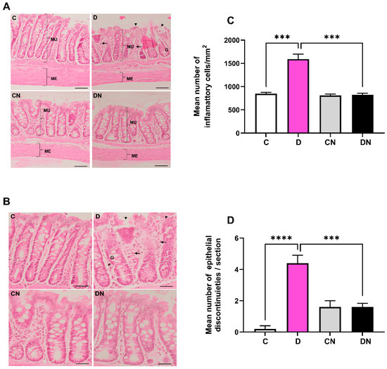
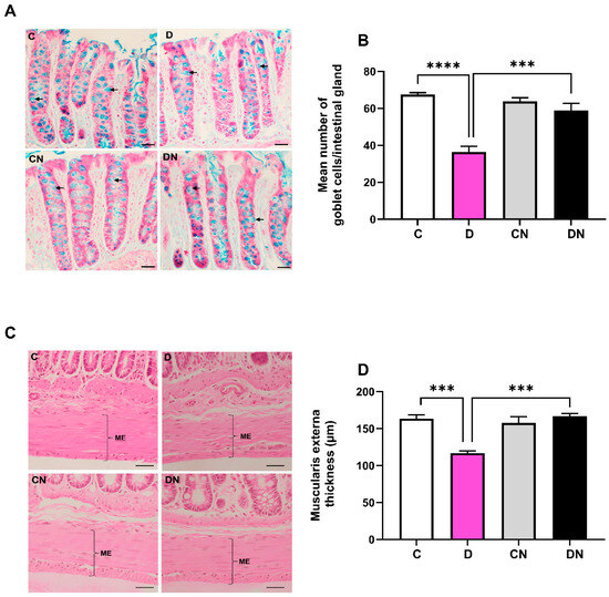
We investigated the roles and regulation of contractile and sodium ion transporter proteins in the pathogenesis of diarrhea in the acute ulcerative colitis. Acute ulcerative colitis was induced in male Sprague-Dawley rats using dextran sulfate sodium (DSS) in drinking water for seven days. [...] Read more.
We investigated the roles and regulation of contractile and sodium ion transporter proteins in the pathogenesis of diarrhea in the acute ulcerative colitis. Acute ulcerative colitis was induced in male Sprague-Dawley rats using dextran sulfate sodium (DSS) in drinking water for seven days. The effects of nobiletin, a citrus flavonoid, were also examined. Increased myeloperoxidase activity, colon mass, and inflammatory cell infiltration were associated with damage to goblet cells and the epithelial cell lining indicating the development of acute ulcerative colitis. SERCA-2 calcium pump expression remained unchanged, whereas the phospholamban (PLN) regulatory peptide was reduced and its phosphorylated form (PLN-P) increased, suggesting a post-translational increase in SERCA-2 activity in the inflamed colon. Higher levels of IP3 were associated with a decrease in the Gαq protein levels without altering phospholipase C expression, suggesting that IP3 regulation is independent of Gαq protein signaling. In addition, the expression of sodium/hydrogen exchanger isoforms NHE-1, NHE-3 and carbonic anhydrase-1 and sodium pump activity were decreased in the inflamed colon. Nobiletin treatment of colitis selectively reversed the inflammatory and oxidative stress markers, including superoxide dismutase and catalase without restoring the expression of ion transporters. This study highlights alterations in the expression of ion transporters and their regulatory proteins in acute ulcerative colitis. These changes in the ion transporters are likely to reduce NaCl absorption and alter contractility, thereby contributing to the pathogenesis of diarrhea in the present model of acute ulcerative colitis. Nobiletin selectively ameliorates acute colitis in this model. Full article
Show Figures

Graphical abstract

25 pages, 1176 KB  
Review
Integrating AI with Cellular and Mechanobiology: Trends and Perspectives
by Sakib Mohammad, Md Sakhawat Hossain and Sydney L. Sarver
Biophysica 2025, 5(4), 62; https://doi.org/10.3390/biophysica5040062 - 14 Dec 2025
Viewed by 117
Abstract
Mechanobiology explores how physical forces and cellular mechanics influence biological processes. This field has experienced rapid growth, driven by advances in high-resolution imaging, micromechanical testing, and computational modeling. At the same time, the increasing complexity and volume of mechanobiological imaging and measurement data [...] Read more.
Mechanobiology explores how physical forces and cellular mechanics influence biological processes. This field has experienced rapid growth, driven by advances in high-resolution imaging, micromechanical testing, and computational modeling. At the same time, the increasing complexity and volume of mechanobiological imaging and measurement data have made traditional analysis methods difficult to scale. Artificial intelligence (AI) has emerged as a practical tool to address these challenges by providing new methods for interpreting and predicting biological behavior. Recent studies have demonstrated potential in several areas, including image-based analysis of cell and nuclear morphology, traction force microscopy (TFM), cell segmentation, motility analysis, and the detection of cancer biomarkers. Within this context, we review AI applications that either incorporate mechanical inputs/outputs directly or infer mechanobiologically relevant information from cellular and nuclear structure. This study summarizes progress in four key domains: AI/ML-based cell morphology studies, cancer biomarker identification, cell segmentation, and prediction of traction forces and motility. We also discuss the advantages and limitations of integrating AI/ML into mechanobiological research. Finally, we highlight future directions, including physics-informed and hybrid AI approaches, multimodal data integration, generative strategies, and opportunities for computational biophysics-aligned applications. Full article
(This article belongs to the Special Issue Advances in Computational Biophysics)
Show Figures

Figure 1

14 pages, 2697 KB  
Article
Traction Force Microscopy Using an Epifluorescence Microscope: Experimental Considerations and Caveats
by Zaria Booth, Mazen Mezher, Rudra Patel and Venkat Maruthamuthu
Biophysica 2025, 5(4), 61; https://doi.org/10.3390/biophysica5040061 - 5 Dec 2025
Viewed by 245
Abstract
Forces exerted by cells due to their internal contractility play fundamental roles in a host of processes, including adhesion, migration, survival and differentiation. Traction force microscopy (TFM) enables the determination of forces exerted by cells or cell collectives on their environment, which is [...] Read more.
Forces exerted by cells due to their internal contractility play fundamental roles in a host of processes, including adhesion, migration, survival and differentiation. Traction force microscopy (TFM) enables the determination of forces exerted by cells or cell collectives on their environment, which is typically taken to be an extra-cellular matrix (ECM)-coated substrate. Sample preparation for TFM involves the plating of cells onto an environment embedded with fiducial markers. The imaging of these fiducial markers in the presence and absence of the cells then enables calculation of the displacement of localized regions of the environment, and, consequently, the spatial distribution of forces exerted by the cells on their environment. Here, we consider the most widely used implementation of TFM (two-dimensional or 2D TFM) which enables the determination of in-plane forces exerted by cells plated on top of an elastic soft substrate. We present streamlined methods for preparing TFM substrates, with special consideration towards experimental steps involved in implementing it using an epifluorescence microscope. We highlight considerations involved in substrate choice between polyacrylamide (PAA) gels and soft silicones, fiducial marker (microbead) choice and distribution as well as microbead and ECM coupling to the substrate. We also point out caveats related to sub-optimal choices in the methodology which can affect the resultant traction force distribution, as well as further derived quantities such as inter-cellular forces in cell pairs computed using the traction force imbalance method (TFIM). Full article
(This article belongs to the Collection Feature Papers in Biophysics)
Show Figures

Figure 1

22 pages, 485 KB  
Article
Estimation and Classification of Coffee Plant Water Potential Using Spectral Reflectance and Machine Learning Techniques
by Deyvis Cabrini Teixeira Delfino, Danton Diego Ferreira, Margarete Marin Lordelo Volpato, Vânia Aparecida Silva, Renan Teixeira Delfino, Christiano Sousa Machado de Matos and Meline de Oliveira Santos
Biophysica 2025, 5(4), 60; https://doi.org/10.3390/biophysica5040060 - 4 Dec 2025
Viewed by 197
Abstract
Water potential is an important indicator used to study water relations in plants, as it reflects the level of hydration in their tissues. There are different numerical variables that describe plant properties and can be acquired from leaf reflectance. The objective of this [...] Read more.
Water potential is an important indicator used to study water relations in plants, as it reflects the level of hydration in their tissues. There are different numerical variables that describe plant properties and can be acquired from leaf reflectance. The objective of this study was to estimate water potential in coffee plants using spectral variables. For this, a range of wavelengths that provided analytical flexibility was used. After this, machine learning techniques were employed to build data-driven models. The dataset used presents spectral characteristics (wavelength) of coffee plants, collected through the CI-710 Mini-Leaf Spectrometer equipment and also the water potential of each coffee plant, measured by the Scholander Chamber equipment. The dataset was divided into two crop management groups: irrigated and rainfed. Four machine learning techniques were implemented: Multi-Layer Perceptron (MLP), Decision Tree, Random Forest and K-Nearest Neighbor (KNN). The implementation of machine learning techniques followed two distinct strategies: regression and classification. The results indicate that the decision tree-based model demonstrated superior performance under irrigated conditions for regression tasks. In contrast, the KNN technique achieved the best performance for classification. Under rainfed conditions, the MLP model outperformed the other techniques for regression, while the Random Forest method exhibited the highest accuracy in classification tasks. While no hardware prototype was developed, the machine learning-based methods presented here suggest a possible pathway toward future intelligent, user-friendly, and accessible sensing technologies for coffee plantations. Full article
Show Figures

Figure 1

11 pages, 1700 KB  
Article
Copper-Enhanced Gold Nanoparticle Sensor for Colorimetric Histamine Detection
by Satoshi Migita
Biophysica 2025, 5(4), 59; https://doi.org/10.3390/biophysica5040059 - 1 Dec 2025
Viewed by 325
Abstract
A rapid, colorimetric sensor for histamine detection is presented using citrate-stabilized gold nanoparticles enhanced with Cu2+ coordination. The sensing mechanism involves dual recognition: protonated histamine first adsorbs electrostatically onto AuNP surfaces at pH 5.5, followed by Cu2+-mediated coordination between imidazole [...] Read more.
A rapid, colorimetric sensor for histamine detection is presented using citrate-stabilized gold nanoparticles enhanced with Cu2+ coordination. The sensing mechanism involves dual recognition: protonated histamine first adsorbs electrostatically onto AuNP surfaces at pH 5.5, followed by Cu2+-mediated coordination between imidazole rings that induces interparticle coupling, resulting in a characteristic shift of the localized surface plasmon resonance from 520 to 620 nm. The optical response, measured as the absorbance ratio A620/A520, exhibits excellent linearity over the range of 1.25–10 μM with a detection limit of 0.95 μM and total assay time under 30 min. The dual-recognition mechanism provides high selectivity for histamine over structural analogs, including L-histidine, imidazole, and L-lysine. The metal ion-mediated colorimetric approach described here achieves sub-micromolar sensitivity in simple buffer solutions, which is comparable to the histamine level used in in vitro cell assays and food-related studies. Thus, the present system is best viewed as a mechanistic model that can inform the design of future biosensing and analytical methods, rather than as a fully optimized sensor for direct clinical measurements in complex biofluids. Full article
(This article belongs to the Collection Feature Papers in Biophysics)
Show Figures

Figure 1

7 pages, 544 KB  
Communication
Membrane Depth Measurements of E Protein by 2H ESEEM Spectroscopy in Lipid Bilayers
by Andrew K. Morris, Robert M. McCarrick and Gary A. Lorigan
Biophysica 2025, 5(4), 58; https://doi.org/10.3390/biophysica5040058 - 26 Nov 2025
Viewed by 169
Abstract
A topological analysis was performed by taking ESEEM measurements of site-specifically labeled E protein from SARS-CoV-2. The intensity of deuterium modulation arising from either deuterated solvent or deuterated lipid acyl chains revealed exposure to solvent or the bilayer hydrophobic region. Spin-labeled lipids and [...] Read more.
A topological analysis was performed by taking ESEEM measurements of site-specifically labeled E protein from SARS-CoV-2. The intensity of deuterium modulation arising from either deuterated solvent or deuterated lipid acyl chains revealed exposure to solvent or the bilayer hydrophobic region. Spin-labeled lipids and soluble spin labels were used as points of comparison. The data indicate that spin labels placed along the transmembrane helix of the E protein showed close contact with lipid acyl chains, but also substantial contact with solvent, while those placed on the C-terminal domain showed substantial but lower exposure to lipid acyl chains, with comparable solvent exposure. The results support the view that the C-terminal domain is in contact with the bilayer surface. Full article
Show Figures

Figure 1

25 pages, 14205 KB  
Review
Evaporation-Driven Self-Assembly and Deposition Patterns of Protein Droplets: Mechanisms, Modulation, and Applications
by Xuanyi Zhang, Zehua Wang, Chenyang Wu and Dongdong Lin
Biophysica 2025, 5(4), 57; https://doi.org/10.3390/biophysica5040057 - 21 Nov 2025
Viewed by 446
Abstract
Protein droplets exhibit complex self-assembly and deposition behaviors driven by evaporation, which has attracted increasing attention in recent years. Under evaporation, limited volume and locally concentrated protein solutions can undergo liquid–liquid phase separation (LLPS) and liquid–liquid crystalline phase separation (LLCPS), inducing the formation [...] Read more.
Protein droplets exhibit complex self-assembly and deposition behaviors driven by evaporation, which has attracted increasing attention in recent years. Under evaporation, limited volume and locally concentrated protein solutions can undergo liquid–liquid phase separation (LLPS) and liquid–liquid crystalline phase separation (LLCPS), inducing the formation of concentrated droplets and anisotropic structures. The combined effects of interfacial tension and internal flow field induce a variety of deposition patterns on the substrate, providing great significance for the development of functional biomaterials. This paper reviews the physical processes experienced by protein/fibril droplets during evaporation, focusing on the formation mechanism of evaporation and their phase separation behaviors. At the same time, the review systematically summarized the key factors affecting the deposition patterns, and a variety of methods were introduced to pattern deposition, such as external electric field and micro-structured substrates. Furthermore, the potential applications of proteins/fibrils droplet deposition were discussed in multiple fields. This review aims to provide systematic theoretical support and experimental reference for understanding and controlling the deposition behavior of proteins/fibrils droplets, and to promote their further application in functional materials and biomedical engineering. Full article
Show Figures

Figure 1

26 pages, 2269 KB  
Article
Laser Trapping Technique for Measuring Ionization Energy and Identifying Hemoglobin Through Charge Quantification in Blood Samples
by Endris M. Endris, Deresse A. Adem, Horace T. Crogman and Daniel B. Erenso
Biophysica 2025, 5(4), 56; https://doi.org/10.3390/biophysica5040056 - 18 Nov 2025
Viewed by 367
Abstract
We present a proof-of-concept study using a laser trapping (LT) approach to characterize hemoglobin variants through controlled dielectric breakdown of red blood cell membranes. Using a 1064 nm infrared laser, we analyzed 62 cells from each of four hemoglobin types (Hb AS, Hb [...] Read more.
We present a proof-of-concept study using a laser trapping (LT) approach to characterize hemoglobin variants through controlled dielectric breakdown of red blood cell membranes. Using a 1064 nm infrared laser, we analyzed 62 cells from each of four hemoglobin types (Hb AS, Hb FA, Hb FSC, Hb AC), measuring the ionization time, cell area, and trap displacement to calculate the apparent threshold ionization energy (TIE*) and apparent threshold radiation dose (TRD*). Post-ionization trajectories and radiation intensity measurements provided charge distribution profiles for each variant. Our results indicate variant-specific differences in TRD* and charge-to-volume ratios across adults and infants (p < 0.05), while the TIE* values remained largely consistent. Charge analysis revealed statistically significant variation between some groups, suggesting that TRD* and charge-based parameters may offer sensitive markers of hemoglobin heterogeneity. This work demonstrates the feasibility of laser trapping as a complementary single-cell method for hemoglobin analysis. While limited in sample size, the approach highlights the potential of TIE* and TRD* measurements for differentiating hemoglobin variants and suggests future applications in hemoglobinopathy screening and diagnostic research. Full article
(This article belongs to the Special Issue Biophysical Methods to Study Membrane Models, Cells, and Tissues)
Show Figures

Figure 1

18 pages, 2286 KB  
Article
The Specifics of an Interaction Between Hen Egg White Lysozyme and Antibiotics
by Lyubov Filatova
Biophysica 2025, 5(4), 55; https://doi.org/10.3390/biophysica5040055 - 18 Nov 2025
Viewed by 434
Abstract
The combination of antimicrobial agents with different mechanisms of action is an important step in the fight against drug-resistant microorganisms. In this study, the interaction of the lysozyme enzyme with ampicillin and colistin was investigated. These antibiotics are highly effective against Gram-positive (ampicillin) [...] Read more.
The combination of antimicrobial agents with different mechanisms of action is an important step in the fight against drug-resistant microorganisms. In this study, the interaction of the lysozyme enzyme with ampicillin and colistin was investigated. These antibiotics are highly effective against Gram-positive (ampicillin) and Gram-negative (colistin) pathogenic microorganisms. Spectroscopic and kinetic methods and molecular docking were used in the research. The results of the spectroscopic analysis confirmed the intermolecular interaction of lysozyme with ampicillin or colistin. The formation of the lysozyme complex with ampicillin was accompanied by mixed quenching of the enzyme fluorescence and changes in its secondary structure (a slight decrease in the content of α-helices). The interaction of lysozyme with colistin was complemented by dynamic quenching of the enzyme fluorescence. The method of molecular docking established that the interactions of lysozyme with colistin were predominantly van der Waals, while hydrogen bonds predominated in the lysozyme complex with ampicillin. Despite the presence of interactions of ampicillin and colistin with amino acid residues from the active site of lysozyme, this did not affect its ability to cause destruction of bacterial cell walls. The results obtained can be used in the development of antibacterial drugs. Full article
Show Figures

Graphical abstract

15 pages, 2252 KB  
Article
Evaluating the Effectiveness of Machine Learning for Alzheimer’s Disease Prediction Using Applied Explainability
by Chih-Hao Huang, Feras A. Batarseh and Aman Ullah
Biophysica 2025, 5(4), 54; https://doi.org/10.3390/biophysica5040054 - 12 Nov 2025
Viewed by 477
Abstract
Early and accurate diagnosis of Alzheimer’s disease (AD) is critical for patient outcomes yet presents a significant clinical challenge. This study evaluates the effectiveness of four machine learning models—Logistic Regression, Random Forest, Support Vector Machine, and a Feed-Forward Neural Network—for the five-class classification [...] Read more.
Early and accurate diagnosis of Alzheimer’s disease (AD) is critical for patient outcomes yet presents a significant clinical challenge. This study evaluates the effectiveness of four machine learning models—Logistic Regression, Random Forest, Support Vector Machine, and a Feed-Forward Neural Network—for the five-class classification of AD stages. We systematically compare model performance under two conditions, one including cognitive assessment data and one without, to quantify the diagnostic value of these functional tests. To ensure transparency, we use SHapley Additive exPlanations (SHAPs) to interpret the model predictions. Results show that the inclusion of cognitive data is paramount for accuracy. The RF model performed best, achieving an accuracy of 84.4% with cognitive data included. Without this, performance for all models dropped significantly. SHAP analysis revealed that in the presence of cognitive data, models primarily rely on functional scores like the Clinical Dementia Rating—Sum of Boxes. In their absence, models correctly identify key biological markers, including PET (positron emission tomography) imaging of amyloid burden (FBB, AV45) and hippocampal atrophy, as the next-best predictors. This work underscores the indispensable role of cognitive assessments in AD classification and demonstrates that explainable AI can validate model behavior against clinical knowledge, fostering trust in computational diagnostic tools. Full article
(This article belongs to the Special Issue Advances in Computational Biophysics)
Show Figures

Figure 1

15 pages, 2431 KB  
Article
Dynamic Features Control the Stabilization of the Green and Red Forms of the Chromophore in AzamiGreen Fluorescent Protein Variants
by Vladimir B. Krapivin, Roman A. Stepanyuk and Maria G. Khrenova
Biophysica 2025, 5(4), 53; https://doi.org/10.3390/biophysica5040053 - 10 Nov 2025
Viewed by 510
Abstract
Fluorescent proteins find application as biocompatible, genetically encoded labels for visualization of living organisms tissues. Green fluorescent proteins (GFPs) are the most diverse, but proteins with red fluorescence have advantages, such as lower phototoxicity and better penetration into biological tissues. A promising approach [...] Read more.
Fluorescent proteins find application as biocompatible, genetically encoded labels for visualization of living organisms tissues. Green fluorescent proteins (GFPs) are the most diverse, but proteins with red fluorescence have advantages, such as lower phototoxicity and better penetration into biological tissues. A promising approach is to obtain red fluorescent proteins (RFPs) from GFPs by introducing mutations that stabilize the oxidized chromophore state with an extended conjugated π-system. However, to date this remains a non-trivial task and experimental developments are carried out mainly by random mutagenesis. Development of descriptors obtained in molecular modeling can rationalize this field. Herein, we rely on experimental data on the AzamiGreen fluorescent protein and its variants that are oxidized to the red form. We perform classical molecular dynamics (MD) and combined quantum mechanics/molecular mechanics (QM/MM) simulations to determine structural and dynamic features that govern oxidation. We demonstrate that the red state is predominantly stabilized by interactions of polar lysine residues with chromophore oxygen atoms. Dynamic network analysis demonstrates that in red fluorescent proteins the chromophore motions are correlated with the movement of surrounding protein side chains to a higher extent than in green variants. The presence of different resonance forms of the chromophore determines the fluorescence band maximum value: a decrease in the phenolate form population leads to the red shift. Full article
(This article belongs to the Special Issue Advances in Computational Biophysics)
Show Figures

Graphical abstract

19 pages, 1429 KB  
Review
Druggable Ensembles of Aβ and Tau: Intrinsically Disordered Proteins Biophysics, Liquid–Liquid Phase Separation and Multiscale Modeling for Alzheimer’s
by Kunal Bhattacharya, Pukar Khanal, Jagdish Chand, Nongmaithem Randhoni Chanu, Dibyajyoti Das and Atanu Bhattacharjee
Biophysica 2025, 5(4), 52; https://doi.org/10.3390/biophysica5040052 - 7 Nov 2025
Viewed by 712
Abstract
Alzheimer’s disease is driven by multiple molecular drivers, including the pathological behavior of two intrinsically disordered proteins, amyloid-β (Aβ) and tau, whose aggregation is regulated by sequence-encoded ensembles and liquid–liquid phase separation (LLPS). This review integrates recent advances in biophysics, structural biology, and [...] Read more.
Alzheimer’s disease is driven by multiple molecular drivers, including the pathological behavior of two intrinsically disordered proteins, amyloid-β (Aβ) and tau, whose aggregation is regulated by sequence-encoded ensembles and liquid–liquid phase separation (LLPS). This review integrates recent advances in biophysics, structural biology, and computational modeling to provide a multiscale perspective on how sequence determinants, post-translational modifications, and protein dynamics regulate the conformational landscapes of Aβ and tau. We discuss sequence-to-ensemble principles, from charge patterning and aromatic binders to familial mutations that reprogram structural ensembles and modulate LLPS. Structural studies, including NMR, SAXS, cryo-EM, and cryo-electron tomography, trace transitions from disordered monomers to fibrils and tissue-level structures. We highlight experimental challenges in LLPS assays, emerging standards for reproducibility, e.g., LLPSDB, PhaSePro, and FUS benchmarks, and computational strategies to refine and condensate modeling. Finally, we explore the therapeutic implications, including condensate-aware medicinal chemistry, ensemble-driven docking, and novel insights from clinical trials of anti-Aβ antibodies. Together, these perspectives underscore a paradigm shift toward environment- and ensemble-aware therapeutic design for Alzheimer’s and related protein condensation disorders. Full article
Show Figures

Figure 1

12 pages, 1885 KB  
Article
Cytoskeletal Prestress Regulates RIG-I-Mediated Innate Immunity
by Arpan Roy, Sydney Sarver, Jarod Beights, Sean Brennan, Sazid Noor Rabi, Sakib Mohammad, Kyu Young Han, Sabrina Nilufar and Farhan Chowdhury
Biophysica 2025, 5(4), 51; https://doi.org/10.3390/biophysica5040051 - 1 Nov 2025
Viewed by 354
Abstract
Innate immunity is the body’s first line of defense for mounting robust antiviral signaling. However, the role of cytoskeletal prestress, a hallmark of cellular mechanotransduction, in regulating innate immune pathways such as retinoic acid-inducible gene I (RIG-I) signaling remains poorly understood. Herein, we [...] Read more.
Innate immunity is the body’s first line of defense for mounting robust antiviral signaling. However, the role of cytoskeletal prestress, a hallmark of cellular mechanotransduction, in regulating innate immune pathways such as retinoic acid-inducible gene I (RIG-I) signaling remains poorly understood. Herein, we show that cells on soft vs. rigid substrates elicit cytoskeletal prestress-dependent activation of RIG-I signaling, leading to differential type-I interferon (IFN) gene expression. Cells were cultured on soft (0.6 kPa) and stiff (8.5 kPa) substrates to modulate cellular traction and prestress, followed by transfection of Poly(I:C), a synthetic viral dsRNA mimic, to measure the RIG-I-mediated innate immune response. Cells on soft substrates show minimal activation of RIG-I signaling, resulting in low expression of IFN-β1 and other IFN-stimulated genes (ISGs), compared to cells on stiff substrates. We further demonstrate that activation of TANK Binding Kinase 1 (TBK1), a downstream effector of the RIG-I pathway, is inhibited in cells on soft substrates due to the cytoplasmic sequestration of the Yes-associated protein (YAP), a HIPPO pathway effector protein. In contrast, cells on stiffer substrates experienced decreased TBK1 inhibition due to the nuclear localization of YAP and exhibited elevated TBK1 activation and heightened IFN and ISG expressions. Together, we demonstrate that cytoskeletal prestress represents a key biophysical regulator of innate immune signaling. Full article
Show Figures

Figure 1

14 pages, 1540 KB  
Article
Distinct Thermal Response of SARS-CoV-2 Spike Proteins S1 and S2 by Coarse-Grained Simulations
by Pornthep Sompornpisut, Linh Truong Hoai, Panisak Boonamnaj, Brian G. Olson and Ras B. Pandey
Biophysica 2025, 5(4), 50; https://doi.org/10.3390/biophysica5040050 - 31 Oct 2025
Viewed by 366
Abstract
Large-scale computer simulations were employed to investigate the conformational response of the spike protein components S1 and S2 using a coarse-grained model. Temperature was systematically varied to assess the balance between stabilizing residue–residue interactions and thermal fluctuations. The resulting contact profiles reveal distinct [...] Read more.
Large-scale computer simulations were employed to investigate the conformational response of the spike protein components S1 and S2 using a coarse-grained model. Temperature was systematically varied to assess the balance between stabilizing residue–residue interactions and thermal fluctuations. The resulting contact profiles reveal distinct segmental reorganization and self-assembly behaviors between S1 and S2. At lower, thermoresponsive temperatures, pronounced segmental globularization occurs in the N-terminal domain (NTD; M153–K202) and receptor-binding domain (RBD; E406–E471) of S1, whereas S2 exhibits alternating regions of high and low contact density. Increasing temperature reduces this segmental globularization, leaving only minor persistence at elevated temperatures. The temperature dependence of the radius of gyration (Rg) further demonstrates the contrasting thermal behaviors of S1 and S2. For S1, Rg increases continuously and monotonically with temperature, reaching a steady-state value approximately 50% higher than that at low temperature. In contrast, S2 displays a non-monotonic response: Rg initially rises to a maximum nearly sevenfold higher than its low-temperature value, then decreases with further temperature increase. Scaling analysis of the structure factor reveals that the globularity of S1 diminishes significantly upon heating, while S2 becomes modestly more compact yet retains its predominantly fibrous character. Full article
(This article belongs to the Special Issue Investigations into Protein Structure)
Show Figures

Figure 1

15 pages, 750 KB  
Review
Computational Modeling Approaches for Optimizing Microencapsulation Processes: From Molecular Dynamics to CFD and FEM Techniques
by Karen Isela Vargas-Rubio, Efrén Delgado, Cristian Patricia Cabrales-Arellano, Claudia Ivette Gamboa-Gómez and Damián Reyes-Jáquez
Biophysica 2025, 5(4), 49; https://doi.org/10.3390/biophysica5040049 - 25 Oct 2025
Viewed by 764
Abstract
Microencapsulation is a fundamental technology for protecting active compounds from environmental degradation by factors such as light, heat, and oxygen. This process significantly improves their stability, bioavailability, and shelf life by entrapping an active core within a protective matrix. Therefore, a thorough understanding [...] Read more.
Microencapsulation is a fundamental technology for protecting active compounds from environmental degradation by factors such as light, heat, and oxygen. This process significantly improves their stability, bioavailability, and shelf life by entrapping an active core within a protective matrix. Therefore, a thorough understanding of the physicochemical interactions between these components is essential for developing stable and efficient delivery systems. The composition of the microcapsule and the encapsulation method are key determinants of system stability and the retention of encapsulated materials. Recently, the application of computational tools to predict and optimize microencapsulation processes has emerged as a promising area of research. In this context, molecular dynamics (MD) simulation has become an indispensable computational technique. By solving Newton’s equations of motion, MD simulations enable a detailed study of the dynamic behavior of atoms and molecules in a simulated environment. For example, MD-based analyses have quantitatively demonstrated that optimizing polymer–core interaction energies can enhance encapsulation efficiency by over 20% and improve the thermal stability of active compounds. This approach provides invaluable insights into the molecular interactions between the core material and the matrix, ultimately facilitating the rational design of optimized microstructures for diverse applications, including pharmaceuticals, thereby opening new avenues for innovation in the field. Ultimately, the integration of computational modeling into microencapsulation research not only represents a methodological advancement but also pivotal opportunity to accelerate innovation, optimize processes, and develop more effective and sustainable therapeutic systems. Full article
Show Figures

Figure 1

21 pages, 19533 KB  
Article
Comprehensive Experimental Analysis of Tear Fluid Composition and Structure by Using Novel Physical Methods with Diagnostic Potential for Inflammatory Diseases
by Daria Kondrakhova, Vladimíra Tomečková, Oleksandr Dobrozhan, Ondrej Milkovič, Hoydoo You, Tatiana Kimáková and Vladimír Komanický
Biophysica 2025, 5(4), 48; https://doi.org/10.3390/biophysica5040048 - 25 Oct 2025
Viewed by 1025
Abstract
This study explored the use of physical methods, namely X-ray diffraction, atomic force microscopy, and energy-dispersive X-ray spectroscopy, to analyze the structure and composition of tear fluid desiccates. Tear samples were collected from patients with dry eye syndrome, glaucoma, and multiple sclerosis. Our [...] Read more.
This study explored the use of physical methods, namely X-ray diffraction, atomic force microscopy, and energy-dispersive X-ray spectroscopy, to analyze the structure and composition of tear fluid desiccates. Tear samples were collected from patients with dry eye syndrome, glaucoma, and multiple sclerosis. Our results revealed significant differences in the crystallization patterns, chemical composition, and morphology of tear fluid among the disease groups compared to healthy individuals. XRD analysis identified variations in salt crystallization within tear fluid desiccates. AFM provided nanoscale morphological visualization. EDX determined the presence of key chemical elements. Our findings showed that changes in crystallization and unbalance of ionic composition in tear fluid may serve as potential markers for diagnosing ocular diseases. This study highlights the potential of these techniques for non-invasive diagnostics and contributes to the development of innovative strategies for monitoring structural properties in tear fluid desiccates of analyzed inflammatory, and neurodegenerative diseases. Full article
(This article belongs to the Collection Feature Papers in Biophysics)
Show Figures

Graphical abstract

17 pages, 9594 KB  
Article
Isolation of an Anti-hG-CSF Nanobody and Its Application in Quantitation and Rapid Detection of hG-CSF in Pharmaceutical Testing
by Qiang Ma, Liuqiang Zhu, Xiang Li, Dening Pei, Lei Yu, Xinchang Shi, Yong Zhou, Zhihao Fu, Chenggang Liang, Xi Qin and Junzhi Wang
Biophysica 2025, 5(4), 47; https://doi.org/10.3390/biophysica5040047 - 17 Oct 2025
Viewed by 559
Abstract
Human granulocyte colony-stimulating factor (hG-CSF) is primarily used to treat neutropenia induced by cancer chemotherapy and bone marrow transplantation. The current identification test for hG-CSF relies on Western blot (WB), a labor-intensive and technically demanding method. This study aimed to screen and prepare [...] Read more.
Human granulocyte colony-stimulating factor (hG-CSF) is primarily used to treat neutropenia induced by cancer chemotherapy and bone marrow transplantation. The current identification test for hG-CSF relies on Western blot (WB), a labor-intensive and technically demanding method. This study aimed to screen and prepare an anti-hG-CSF nanobody to identify and quantify hG-CSF, with the ultimate goal of developing colloidal gold-labeled nanobody test strips for rapid identification. An alpaca was immunized with hG-CSF, and the VHH gene sequence encoding the anti-hG-CSF nanobody was obtained through sequencing following phage display library construction and multiple rounds of biopanning. The nanobody C68, obtained from screening, was expressed by E. coli, and its physicochemical properties such as molecular weight, isoelectric point, and affinity were characterized after purification. WB analysis demonstrated excellent performance of the nanobody in identification tests in terms of specificity, limit of detection (LOD), applicability with products from various manufacturers, and thermal stability. Additionally, we established an ELISA method for hG-CSF quantification utilizing the nanobody C68 and conducted methodological validation. Finally, colloidal gold-based test strips were constructed using the nanobody C68, with a LOD of 30 μg/mL, achieving rapid identification for hG-CSF. This study represents a novel application of nanobodies in pharmaceutical testing and offers valuable insights for developing identification tests for other recombinant protein drugs. Full article
Show Figures

Graphical abstract

14 pages, 2279 KB  
Article
Follow-Up of APSified–BMO-Based Retinal Microcirculation in Patients with Post-COVID-19 Syndrome
by Cornelius Rosenkranz, Marianna Lucio, Marion Ganslmayer, Thomas Harrer, Jakob Hoffmanns, Charlotte Szewczykowski, Thora Schröder, Franziska Raith, Stephanie Zellinger, Denzel Abelardo, Jule Schumacher, Merle Flecks, Petra Lakatos, Christian Mardin and Bettina Hohberger
Biophysica 2025, 5(4), 46; https://doi.org/10.3390/biophysica5040046 - 16 Oct 2025
Viewed by 468
Abstract
Post-COVID-19 syndrome (PCS) is a multifactorial disorder comprising different subgroups. Our study aimed to investigate the longitudinal changes in retinal microcirculation in PCS patients. Eighty PCS patients were recruited at the Department of Ophthalmology at the Friedrich-Alexander University of Erlangen-Nürnberg. Retinal microcirculation was [...] Read more.
Post-COVID-19 syndrome (PCS) is a multifactorial disorder comprising different subgroups. Our study aimed to investigate the longitudinal changes in retinal microcirculation in PCS patients. Eighty PCS patients were recruited at the Department of Ophthalmology at the Friedrich-Alexander University of Erlangen-Nürnberg. Retinal microcirculation was measured twice using optical coherence tomography angiography (OCT-A) within the superficial vascular plexus (SVP), intermediate capillary plexus (ICP), deep capillary plexus (DCP), and peripapillary region. Vessel density (VD) was calculated using the Erlangen Angio Tool with an APSified and Bruch’s membrane opening-based analyses. The least-squares means (LS-Means) of VD were 30.4 (SE = 0.168) vs. 30.3 (SE = 0.166) (SVP), 22.4 (SE = 0.143) vs. 22.2 (SE = 0.141) (ICP), 23.9 (SE = 0.186) vs. 23.8 (SE = 0.185) (DCP), and 27.4 (SE = 0.226) vs. 27.0 (SE = 0.224) (peripapillary) in patients with PCS at visits 1 and 2, respectively. The study cohort showed physically stable PCS symptoms with PEM/fatigue and concentration disorders as major symptoms and only a slight, clinically irrelevant improvement of the Bell Score. The multivariate longitudinal model confirmed the clinical observations by showing that VD did not change significantly during follow-up (p = 0.46). Strong interdependencies between the macular layers (p < 0.001) were observed. The data of the present study suggests that while overall APSified macular VD and BMO-based APSified peripapillary VD were stable within a PCS cohort of physically stable PCS symptoms, individual patients may experience coordinated microvascular changes, particularly within the macular plexuses. Together, the results support a model of heterogeneous yet biologically consistent microvascular response in PCS pathophysiology. Full article
Show Figures

Figure 1

16 pages, 654 KB  
Review
Effect of Microgravity and Space Radiation Exposure on Human Oral Health: A Systematic Review
by Shahnawaz Khijmatgar, Matteo Pellegrini, Martina Ghizzoni and Massimo Del Fabbro
Biophysica 2025, 5(4), 45; https://doi.org/10.3390/biophysica5040045 - 29 Sep 2025
Cited by 1 | Viewed by 1439
Abstract
A systematic review was conducted to assess the effects of microgravity and space radiation on astronauts’ oral health. This review aimed to determine if these conditions increase the risk of dental and periodontal diseases, identify pre-mission dental care strategies, and specify relevant dental [...] Read more.
A systematic review was conducted to assess the effects of microgravity and space radiation on astronauts’ oral health. This review aimed to determine if these conditions increase the risk of dental and periodontal diseases, identify pre-mission dental care strategies, and specify relevant dental emergencies for astronauts to manage during missions. Following PRISMA guidelines, the review was registered on PROSPERO (CRD42023472765). Databases including PubMed, Scopus, Web of Science, Cochrane Library, and OVID Medline were searched. Of the 13 studies identified, 7 were eligible for qualitative synthesis. The included studies revealed that space conditions compromise oral health. Findings indicate changes in saliva composition, with a significant decline in salivary lysozyme levels during missions lasting 28 to 84 days. Salivary IgA levels also increased before and peaked after flights (microgravity alters fluid shear and protein folding). Viral reactivation was a key finding, with latent viruses such as Epstein–Barr virus (EBV), cytomegalovirus (CMV), and varicella zoster virus (VZV) being reactivated during missions (immune suppression and gene expression shifts under spaceflight stress). Data from a study found that 50% of crew members shed viruses in their saliva or urine, and 38% tested positive for herpesviruses. The included studies also documented alterations in the oral microbiome, including increased gastrointestinal and decreased nasal microbial diversity. This suggests alterations in salivary biomarkers, viral shedding, and microbiome changes in astronauts during long-duration missions. These changes appear associated with immune dysregulation and stress, but causality remains uncertain due to observational designs, small heterogeneous samples, and confounding factors. Although current evidence is indicative rather than definitive, these findings highlight the need for preventive dental measures prior to missions and preparedness for managing oral emergencies in-flight. Future studies should address the mechanistic separation of microgravity and radiation effects, with implications for upcoming Moon and Mars missions. Full article
Show Figures

Figure 1

18 pages, 2719 KB  
Review
Role of Lipid Composition on the Mechanical and Biochemical Vulnerability of Myelin and Its Implications for Demyelinating Disorders
by Marcela Ana Morini and Viviana Isabel Pedroni
Biophysica 2025, 5(4), 44; https://doi.org/10.3390/biophysica5040044 - 26 Sep 2025
Cited by 2 | Viewed by 1824
Abstract
Myelin is a membranous structure critically important for human health. Historically, it was believed that myelin remained largely unchanged in the adult brain. However, recent research has shown that myelin is remarkably dynamic, capable of adjusting axonal conduction velocity and playing a role [...] Read more.
Myelin is a membranous structure critically important for human health. Historically, it was believed that myelin remained largely unchanged in the adult brain. However, recent research has shown that myelin is remarkably dynamic, capable of adjusting axonal conduction velocity and playing a role in learning, memory, and recovery from injury, in response to both physiological and pathological signals. Axons are more efficiently insulated in myelinated fibers, where segments of the axonal membrane are wrapped by the myelin sheath. Although extensive data are available on the electrical properties of myelin, its structural and mechanical characteristics—as well as the role of its lipid composition—are also relevant, although much less explored. The objective of our review is derived from this point since alterations in lipid components can lead to axonal dysfunction, giving rise to neurological disorders such as multiple sclerosis and other demyelinating conditions. In this review, concerning the lipid composition of myelin, we focus on two distinct classes of lipids: sphingolipids and long-chain fatty acids, emphasizing the differential contributions of saturated versus polyunsaturated species. We analyze studies that correlate the mechanical vulnerability of myelin with its lipid composition, particularly sphingomyelin, thereby underscoring its role in protecting neurons against physical stress and providing a robust microstructural network that reinforces the white matter as a whole. From a biochemical perspective, we examine the susceptibility of myelin to oxidative stress, metabolic disorders, and extreme nutritional deficiencies in relation to the role of long-chain fatty acids. Both perspectives highlight that the aforementioned lipids participate in a complex biomechanical balance that is essential for maintaining the stability of myelin and, consequently, the integrity of the central and peripheral nervous systems. Full article
(This article belongs to the Collection Feature Papers in Biophysics)
Show Figures

Figure 1

38 pages, 1234 KB  
Review
AI-Enhanced Morphological Phenotyping in Humanized Mouse Models: A Transformative Approach to Infectious Disease Research
by Asim Muhammad, Xin-Yu Zheng, Hui-Lin Gan, Yu-Xin Guo, Jia-Hong Xie, Yan-Jun Chen and Jin-Jun Chen
Biophysica 2025, 5(4), 43; https://doi.org/10.3390/biophysica5040043 - 24 Sep 2025
Viewed by 1044
Abstract
Humanized mouse models offer human-specific platforms for investigating complex host–pathogen interactions, addressing shortcomings of conventional preclinical models that often fail to replicate human immune responses accurately. This integrative review examines the intersection of advanced morphological phenotyping and artificial intelligence (AI) to enhance predictive [...] Read more.
Humanized mouse models offer human-specific platforms for investigating complex host–pathogen interactions, addressing shortcomings of conventional preclinical models that often fail to replicate human immune responses accurately. This integrative review examines the intersection of advanced morphological phenotyping and artificial intelligence (AI) to enhance predictive capacity and translational relevance in infectious disease research. A structured literature search was conducted across PubMed, Scopus, and Web of Science (2010–2025), applying defined inclusion and exclusion criteria. Evidence synthesis highlights imaging modalities, AI-driven phenotyping, and standardization strategies, supported by comparative analyses and quality considerations. Persistent challenges include variability in engraftment, lack of harmonized scoring systems, and ethical governance. We propose recommendations for standardized protocols, risk-of-bias mitigation, and collaborative training frameworks to accelerate adoption of these technologies in translational medicine. Full article
(This article belongs to the Special Issue Advances in Computational Biophysics)
Show Figures

Figure 1

Previous Issue
Next Issue
Back to TopTop