Next Article in Journal
Prediction of Carbon Emissions from Coal-Fired Power Plants During Load Cycling with Varying Coal Characteristics
Next Article in Special Issue
Off-Design Analysis of Power-to-Gas System Based on Solid-Oxide Electrolysis with Nominal Power of 25 kW
Previous Article in Journal
Prediction of Lignite Ash Melting Behavior from Northwest Greece Based on Its Mineralogical Composition
Previous Article in Special Issue
Sustainability Assessment of Alternative Energy Fuels for Aircrafts—A Life Cycle Analysis Approach
 
 
Font Type:
Arial Georgia Verdana
Font Size:
Aa Aa Aa
Line Spacing:
Column Width:
Background:
Article

Effect of Phosphorus Deprivation on Fatty Acid Synthesis in Scenedesmus subspicatus Microalgae from Rostherne Mere

1
Biological Science Department, Faculty of Science, King Abdulaziz University, Jeddah 22254, Saudi Arabia
2
Center of Excellence in Environmental Studies, King Abdulaziz University, Jeddah 22252, Saudi Arabia
*
Author to whom correspondence should be addressed.
Fuels 2024, 5(4), 910-926; https://doi.org/10.3390/fuels5040051
Submission received: 16 May 2024 / Revised: 26 August 2024 / Accepted: 17 October 2024 / Published: 17 December 2024
(This article belongs to the Special Issue Sustainability Assessment of Renewable Fuels Production)

Abstract

Numerous studies have examined the feasibility of using microalgae as a long-term source of biofuel. This helped us to determine how different amounts of phosphorus changed the growth of lipids in Scenedesmus subspicatus, a freshwater microalga. This study examined the effects of various phosphorus concentrations on the biochemical makeup of algae, particularly the production of proteins and carbohydrates. When there was insufficient phosphorus, the investigation observed a significant increase in lipids and productivity of S. subspicatus. Additionally, gas chromatography was used to examine the fatty acid profiles of the green algae thoroughly. When Scenedesmus species were tested at different cell densities, the highest amount of chlorophyll was found to be 0.89 mg/L. The amounts of fatty acids in algae grown with 0.4 and 0.04 P of phosphorus were strongly correlated, as shown by the Pearson linear correlation coefficients. Gas chromatography analysis revealed that the major saturated fatty acids were stearic acid (C18:0) and palmitic acid (C16:0). In addition, confirming the presence of several unsaturated fatty acids (C16:3, C18:1, C18:2, and C18:3) has helped us learn more about S. subspicatus’s complex lipid profile of S. subspicatus and how well it can be used to produce biofuels.

1. Introduction

There is a growing demand for long-term sustainable alternative energy sources owing to the expected depletion of fossil fuel reserves by 2050 [1]. One option is the production of biomass from microorganisms. Microalgal biomass development for biofuels is very important because of its high fatty acid content, lipid build-up, and low need for land [2,3]. The potential of microalgae to generate bioactive chemicals, biofuels, and other high-value commodities has been known for quite some time. Fatty acids, particularly those produced by lipid metabolism, are an intriguing class of molecules because of their potential utility in areas as diverse as biofuel generation, human nutrition, and manufacturing [4]. Microalgae are promising contenders for long-term, scalable fatty acid production because of their fast multiplication and ability to thrive in various environments [5]. Five microalgae strains from the Bay of Bengal were isolated and identified—Nannochloropsis salina, Dunaliella salina, Chaetoceros calcitrans, Tetraselmis chuii, and Euglena sanguinea [6,7,8].
The current study focuses on microalgae in various environments and their applications in biofuel production and pollutant reduction. For example, research has demonstrated the potential of various microalgae strains, including those isolated from the Bay of Bengal (Nannochloropsis salina, Dunaliella salina, Chaetoceros calcitrans, Tetraselmis chuii, and Euglena sanguinea), for use in biodiesel production [6,7,8]. Additionally, studies have highlighted the synergistic effects of microalgae and bacteria in reducing organic compounds in refinery effluents [7], the optimization of biodiesel production processes using different catalysts and conditions [8,9,10], and the exploration of bioenergy production from microalgae cultivated in domestic wastewater [11,12]. Despite these improvements, there is still a clear research gap in understanding how nutrient deprivation, especially phosphorus, affects the metabolism and production of fatty acids in microalgae, specifically in Scenedesmus subspicatus. This is a major problem because Scenedesmus subspicatus has shown promise in both reducing pollution and making biofuels [7]; however, the mechanisms that cause lipid accumulation under nutrient-stressed conditions are still not fully understood. This study addresses this gap by investigating how phosphorus deprivation influences fatty acid synthesis in S. subspicatus sourced from Rostherne Mere. In contrast to earlier research that focused on improving and making biofuels from different microalgae, this study examined how S. subspicatus reacts biochemically when it does not have sufficient nutrients. This could provide important information for improving the efficiency of biofuel production. Additionally, this study’s focus on a specific microalgal species from a distinct freshwater environment contributes to the growing body of knowledge by offering a more detailed understanding of how environmental and nutritional factors influence the biochemical pathways of microalgae. Many other microalgae have been isolated from the marine environment and domestic wastewater and utilized for liquid biofuel production [9,10,11,12,13,14]. S. subspicatus is a microalgal species that has attracted researchers for its multiple uses in pollutant reduction and biofuel production [7].
S. subspicatus, which belongs to the Chlorophyceae family, is celebrated for its rapid expansion, resistance to adverse conditions, and, most significantly, its ability to produce lipids [15,16]. Microalgal species differ in their lipid content, which is the principal source of fatty acids, owing to the influence of numerous environmental conditions. Among these, the availability of nutrients, particularly phosphorus, is crucial [17]. This study focused on biofuel production and investigated the effect of phosphorus on fatty acid synthesis in S. subspicatus. Phosphorus is essential for the sustenance of all living organisms, including microalgae. Adenosine triphosphate is an essential constituent of cellular energy metabolism and serves as a principal energy carrier inside the cell. Moreover, it plays a critical role in other cellular activities, including nucleic acid production [18]. Phosphorus limitation can result in various physiological reactions in microalgae [19]. The cellular response to a deficiency in this crucial vitamin can induce cellular stress, prompting cells to synthesize and accumulate lipids for energy storage [20]. Although ample evidence supports this occurrence, the degree of lipid accumulation, particularly in terms of fatty acid content, exhibits significant variation between different species and strains of microalgae under phosphate-constrained conditions.
The fatty acid content of algal biomass has increased because of several tactics utilized to produce high yields of high-quality biomass at low costs, such as altering the physical growth conditions (such as variable illumination) and organic nutrient levels during microalgal cultivation [21,22]. Microalgae are typically simple to cultivate in the laboratory. They are highly effective at producing oil rich in long-chain fatty acids and have an energy level of approximately 38,000 kJ/kg, comparable to the energy content of fossil fuels such as petroleum [23,24]. The lipid composition of major algal groups has been examined in the grown algae, along with investigations of the impact of physiological and environmental factors on lipid production [25]. There are four major groups of fatty acids: saturated fatty acids, monounsaturated fatty acids, polyunsaturated fatty acids, and very long-chain fatty acids. Because most algae synthesize saturated fatty acids C14:0, C16:0, and C18:0, their values as taxonomic identifiers are limited [26]. The presence of these fatty acids can be observed in varying quantities in the majority of algal cultures [27]. Three monounsaturated fatty acids C16:1-7, C18:1-7, and C18:1-9 have been identified as significant potential indicators [28]. For several reasons, it is crucial to understand how S. subspicatus handles fluctuations in its phosphorus supply and how it affects its fatty acid output. First, it enables the customization of fatty acid profiles during cultivation to meet the needs of various applications. Second, it can shed light on the metabolic pathways triggered by phosphorus stress, suggesting avenues via which fatty acid production can be genetically engineered or metabolically modulated to achieve even greater efficiency. In addition, understanding this connection will allow us to create environmentally friendly farming practices that reduce the need for phosphorus. This resource is becoming increasingly limited and expensive, without sacrificing yield.
This study aimed to help us understand better the complex relationship between S. subspicatus fatty acid synthesis and the amount of phosphorus in its growth medium. Investigating this link sheds light on the physiological reactions of this microalga to various phosphorus concentrations, and provides useful information that may be used to develop more effective and environmentally friendly methods for producing fatty acids. The fundamental motivation for these studies on cultivated algal cells was to identify species-specific changes in lipid content across a range of culture conditions and evaluate these shifts’ effects on lake ecosystems. Such studies are becoming increasingly important as the worldwide need for alternative energy sources, especially biofuels, and sustainable production methods increase.

2. Materials and Methods

2.1. Chemicals Reagents and Standards

In this study, various chemical reagents were used to identify phospholipids. The Molybdenum blue spray reagent (Sigma Ltd., Darmstadt, Germany) detected all phospholipids. Ninhydrin spray reagent (Sigma Ltd., Darmstadt, Germany) was also employed to identify phospholipids containing amino and nitrogenous components. Finally, the anisaldehyde-sulfuric acid spray reagent was utilized to detect phospholipids containing sugars. The reagent employed for GC analysis consisted of 22.5 g of sodium hydroxide (BDH Merck, Merck house, Poole, Dorset, UK), which was combined with 75 mL of methanol (BDH Merck) and 75 mL of distilled water. A methylation reagent, specifically R2-162.5 mL 6N hydrochloric acid (BDH Merck, Merck house, Poole, Dorset, UK), was introduced into a solution containing 187.5 mL of methanol. The extraction Reagent R3 was employed to facilitate the extraction of esters from the reaction mixture.
The solution was prepared by combining 100 mL of hexane (BDH Merck, Merck house, Poole, Dorset, UK) with an equal volume of diethyl ether (BDH Merck). Reagent R4, known as the Base Wash Reagent, was utilized for base washing. Reagent 4 was prepared by dissolving 5.4 g of sodium hydroxide in 450 mL of distilled water. Three standards were acquired from Larodan Fine Chemicals Ltd., a company in Malmo, Sweden. The algal culture was isolated from Rostherne Mere, and Jaworski media was used for growth experiments and studies.

2.2. Culture Media and Growth Conditions

The specificities of the growth media used are listed in Table 1. The algal culture was cultivated in 200 mL of aseptic growth medium in sterile 250 mL flasks. Chlorophyte organisms were cultivated using a shaker operating at a speed of 100 rpm. The cultivation took place in a room at a constant temperature of 18 °C, and the organisms were exposed to fluorescent illumination following a light–dark cycle of 18 h of light and 6 h of darkness.

2.3. Isolation of Scenedesmus

Phytoplankton samples were collected from Rostherne Mere using the bulk trawl-net method to isolate and culture algae. Upon immediate arrival at the laboratory, a 0.5 mL portion of the concentrated phytoplankton sample was diluted at 1:10, with 0.05 mL of phytoplankton and 0.45 mL of distilled water combined. In the initial stage, 50 mL conical flasks were meticulously arranged, each containing 20 mL of sterilized Joworski medium (JM). Several aliquots of the sterilized medium were inoculated onto the sterile surfaces of the Petri plates. Micropipettes with adjustable tip sizes were fabricated with heat application to the Pasteur pipettes, enabling their utilization in cellular transfer procedures. A solitary cell was isolated by microscopic examination. The liquid and algae were placed in a drop of sterile medium. An initial aliquot of the isolated alga was subsequently placed into a succession of fresh aliquots. As mentioned above, the process is a cleansing operation designed to eliminate impurities effectively. Following the transfer of the algal drop through 5–10 drops, it was placed into a 50 mL conical flask containing liquid growth media (JM). The experiment was replicated using an alternative medium known as BG11. Multiple flasks were prepared because of the possibility of limited growth or contamination of the isolated algae by other algal cells.
The replicated inoculation flasks were subjected to two distinct laboratory conditions: a growth chamber and a growth room. After an incubation period of 2–3 weeks, the flasks were examined to determine the presence of a monoculture of algae. Algae were cultivated in flasks containing JM medium. Two distinct subcultures were created. Bacterial contamination was assessed by cultivating algae on an agar plate. The phosphorus experiment used axenic cultures. Additional information regarding the culture conditions of the growth trials is shown in Table 1.

2.4. Different Phosphorus Levels and Growth Experiments

Before algal inoculation, all media were sterilized by autoclaving and allowed to reach room temperature for equilibration. The algal cultures were initially cultivated in a medium with low phosphorus content (0.01 mg P L−1) to minimize the internal cell phosphorus concentration. Two flasks were inoculated with 10 mL of each culture and placed in a growth room on a shaker for 10 days. Acclimatization to varying phosphorus concentrations involved the addition of 10 mL of algal suspension in a minimal medium to 190 mL of test medium in a 250 mL flask. The mixture was cultivated in a growth environment for 48 h. Four distinct phosphorus concentrations were employed in the study, namely, an excessive level of 2.4 mg P L−1, as well as concentrations resembling the high, medium, and low levels seen at Rostherne Mere, which were 0.4, 0.04, and 0.01 mg P L−1, respectively. The algal cultures were cultivated in 250 mL conical flasks. Four flasks were used to represent each phosphorus concentration. A total of ten flasks were used for each phosphorus concentration, with each flask containing 190 mL of media. To inoculate the flasks, 10 mL of an algal culture that had been previously cultivated in the same medium was added. The ten replicated flasks were allocated for specific purposes: flasks 1 and 2 were utilized for cell counting and chlorophyll a analysis, while flasks 3–10 were designated for lipid analysis. The flasks were positioned within the growth room on a shaker operating at a speed of 100 rpm.

2.4.1. Algal Growth Curve

For cell counting, 2 mL samples of each concentration were immediately taken from flask 2. Samples were then taken every two days until the stationary phase was achieved. The experiment was conducted on a Sedgewick–Rafter slide, and growth curves were generated for each concentration.

2.4.2. Algal Cell Count

Cell counts were conducted at two-day intervals for two weeks for Scenedesmus. A volume of 2 mL of the culture was extracted and transferred into a tiny container, adding 0.1 mL. The enumeration was conducted using a Sedgwick–Rafter counting chamber, which possessed a collective capacity of 1 mL. Algal cells were counted in 10 squares. The total count of algal cells per 1 milliliter was computed using the following equation:
C e l l s   m L 1 = N º   o f   c e l l s   p e r   m L   s a m p l e   ( i . e . ,   t o t a l   i n   102 × 100 ) C o n c e n t r a t i o n   a s   a   f a c t o r

2.4.3. Chlorophyll a Concentration

Chlorophyll a concentration was determined using an ethanol extraction technique [29]. Chlorophyll samples were prepared from 2 mL culture aliquots using a conventional vacuum filtration technique, employing a 0.45 µm pore size Whatman GFl-1C filter. The filter paper was fragmented to isolate the pigments. Subsequently, the sample was transferred into a 25 mL universal tube containing 10 mL of 96% ethanol. The tube was then maintained at a temperature of 4 °C for 20 h, to facilitate the complete extraction of the pigments. Following the extraction phase, the samples were retrieved from the refrigerator and allowed to reach the ambient temperature. The volume of the ethanol was adjusted to 10 mL. The solution was then centrifuged at a speed of 3000–5000 revolutions per minute (rpm) for 5–10 min. The concentration of chlorophyll a was evaluated by employing a spectrometer (Cecil CE 1020 model) and utilizing non-UVB 1 mL quartz cuvettes in the following manner: a volume of 2 (mL) of the test sample was introduced into a cuvette, and an equivalent volume of 2 mL of 96% ethanol was used as a blank. The wavelength was set at 660 nm. A sample of 96% ethanol was placed in the first cell, whereas the test sample was placed in the second cell. The initial reading of the blank cuvette was calibrated to zero, followed by subsequent measurement of the chlorophyll cuvette in the second cell. The two preceding operations were replicated after modifying the wavelength to 750 nm. The concentration of chlorophyll a (µg L−1) was determined using the following equation: Th Chl-a = [A.V.F]/[V × L]. Here, A represents the difference in absorbance at 665 nm and 750 nm, V is the total volume of the filtered sample in liters, L represents the cell path length in centimeters (1 cm), and F represents the specific extraction coefficient for chlorophyll a in ethanol, which is 83 g−1 m−1.

2.4.4. The Correlation between Chlorophyll a Concentration and Cell Counts

The chlorophyll a concentrations were calibrated by concurrently measuring the cell counts and the two parameters in the serially diluted samples. To do this, algal cultures were cultivated for two weeks to attain a substantial population density. Subsequently, 20 mL was extracted from the culture and divided into two subcultures, each containing 10 mL. A volume of 10 mL was combined with 10 mL of distilled water to create culture B, which was used for future analyses. The remaining 10 mL of the sample was divided into two portions: a 1 mL aliquot for cell counts and a 9 mL aliquot for chlorophyll a measurement. A total volume of 20 mL of culture B was partitioned into two subcultures, each containing 10 mL, and subjected to the same processing steps. A series of six sequential dilutions were performed.

2.5. Algal Lipid Analysis by Thin-Layer Chromatography

Thin-layer chromatography (TLC) was used to separate distinct phospholipid classes. This separation was conducted using one-dimensional TLC on aluminum plates measuring 20 × 20 mm, covered with silica gel obtained from BDH Merck. This work employed six solvents, and six phospholipid standards, PA, PC, PE, PG, PI, and PS, were obtained from Sigma Ltd., Darmstadt, Germany.

2.5.1. Standards for Analysis

The phospholipid standards (0.5 mg) were dissolved in 1 mL of either chloroform or methanol–chloroform (BDH Merck), according to the manufacturer’s instructions. PA, PC, PE, and PI were solubilized in chloroform, whereas PG and PS were solubilized in a mixture of methanol and chloroform (1:9, v/v), according to Bandstra et al. [30].

2.5.2. Sample Formulation

The dried materials were dissolved in a combination of chloroform and methanol (volumetric ratio of 1:2) with a volume of 0.1 mL.
Solvents: The effectiveness of substance separation using TLC is contingent upon the selection of an appropriate mobile phase, which is determined by the characteristics of the compound, as well as the experimental settings, such as the ambient temperature in the laboratory. Several solvent systems are available for the separation of phospholipids. The solvent used in this study was a mixture of chloroform, methanol, and water in a volumetric ratio of 60:35:8. Touchstone has documented the solvent employed in the separation of phospholipids [31]. The solvent used in this study was a mixture of chloroform, methanol, and ammonium hydroxide in a volumetric ratio of 130:50:10. The solvent employed in the study by Mellinger et al. [32] was used to separate phospholipids. The solvent used in this study consisted of a mixture of chloroform, acetone, acetic acid, formic acid, and water, with volume ratios of 60:60:4:10:3. The solvent used in this study was a mixture of chloroform, methanol, and ammonium hydroxide in a volumetric ratio of 65:25:4, as described by Raheja et al. [33]. The solvent used in this study was a mixture of chloroform, acetone, methanol, acetic acid, and water in a volumetric ratio of 50:20:10:10:5, as described by Guipeneuf et al. [34].

2.5.3. The Utilization of Initial Zones

To prevent contamination, individuals utilize disposable plastic gloves while performing their tasks. The aluminum plates were chopped into 10 cm × 10 cm squares. A region measuring 0.5 cm from the uppermost portion of the plates was designated using a pencil. This specific area was the only region that was manipulated to prevent contact with the active surface of the plate. The phospholipid standards and test samples were meticulously applied to the TLC plate using a capillary tube with a volume of 1 µL (BDH Merck). The application was performed at a distance of 1.5 cm from the bottom of the plate and 1 cm from both edges. The plates were then allowed to dry.

2.5.4. Indicator Spot Development

Three development chambers, specifically TLC Chromatik from Shandon, England, with dimensions of 11 × 11 × 5 cm, were used in the experiment. The rear wall of each chamber was lined with filter paper obtained from Whatman Ltd. (Maidstone, Kent, UK). The filter paper can be moistened with a solvent during the development process. Approximately 20 mL of the solvent was introduced into each chamber, covered, and allowed to remain at ambient temperature for 30 min. This period was necessary to ensure that the chamber’s internal atmosphere was saturated with the solvent vapor. The plates were inserted into the chamber, and the solvent could ascend to a vertical distance of 7.5 cm (0.5 cm below the top). The plates were extracted from the chamber and placed in a fume closet for 30 min to facilitate residual solvents evaporation.

2.5.5. Detection of Indicator

The plates were individually subjected to several reagents (RI, RII, and RIII) within a fume cabinet, utilizing a specialized glass spray bottle equipped with a rubber bulb attachment (Camag Ltd., Mutlenz, Switzerland). The plates were subsequently treated with molybdenum blue (RI) reagent and ninhydrin (RII), followed by a brief incubation period. Subsequently, the plates were heated to 110 °C for 5–10 min using a TLC heater. Plates sprayed with RI exhibited the emergence of blue dots against a white backdrop. When the plates were sprayed with RII, purple dots became visible on a bright pink background. The plates treated with the anisaldehyde reagent were heated at a temperature of 90 °C for a brief duration. Various colored spots were observed.
Rf Values
The Rf value serves as a convenient means of expressing the relative location of a compound on a chromatogram that has undergone further development. This ratio determines the following:
R f = I n d i c a t o r   s p o t   d i s t a n c e   h a s   t r a v e l e d S l o v e n t   d i s t a n c e   t r a v e l e d
Identifying spots from the samples was accomplished through comparison with established standards.
The lyophilization process involves subjecting frozen wet cells to a temperature of −40 °C and a pressure of 10−2 Torr for at least 18 to 24 h using a Modulyo freeze dryer manufactured by Edwards, located in Crawley, UK. The dried cells were stored in screw-cap bottles at −20 °C. Lyophilized cells enable extended preservation and uniformity of dry weight [35].
Lipid Extraction
Preventive measures were implemented to mitigate the risk of contamination from plastic, rubber, and skin, as chloroform has the potential to interact with and degrade these substances. The glassware washed with detergent was subsequently rinsed using a solution of methanol and chloroform in a volumetric ratio of 2:1 (BDH Merck, Merck House, Poole, Dorset, UK).
Equipment Pre-Wash
To prevent lipid contamination, all equipment was rinsed with a mixture of chloroform and methanol (volumetric ratio of 1:2). Throughout the experiment, the rubber bottle cap liners were carefully extracted, rubber gloves were utilized, and any direct interaction with oil or grease was strictly avoided. The transfer of solvents was conducted within a fume cupboard using glass pipettes. Lipids were extracted using the methodology described by Zhou [36]. In this experimental protocol, 10 mg of freeze-dried cells was measured using an analytical balance and then subjected to treatment involving the addition of 2 mL of methanol chloroform (2:1, v/v) in a universal glass bottle. Periodically, the suspension was agitated using a Gallenkamp (London, UK) mixer and subsequently allowed to equilibrate at ambient temperature for 4 h. The samples were centrifuged at 3000 times acceleration due to gravity (3000× g) using a Denley BS400 centrifuge for 20 min. Following centrifugation, the lipid extract in the bottom layer was carefully transferred to a clean small Bijou bottle using a glass tube pipette. The sediments were subjected to a second extraction with 2 mL of solvent, using a previously described procedure. The second lipid extract was combined with the initial extract. Pooled extracts were subjected to vacuum drying using a vacuum pump (BDH Merck, Merck House, Poole, Dorset, UK) with silica gel for 24 h. The dried extracts were reconstituted in 1 mL of chloroform and further agitated to ensure the complete dissolution of any remaining residue. Distilled water (1 mL) was washed to eliminate hydrophilic contaminants. The solution was subjected to gentle agitation and allowed to equilibrate at ambient temperature for a brief duration. The lower layer, consisting of chloroform, was isolated using small glass Pasteur pipettes and subsequently transferred to small vials manufactured by Chromacaol (London, UK). The extract was then dried in a vacuum desiccator for 5–6 h. After drying, the lipid extract was stored at −20 °C to facilitate subsequent analysis by GC and TLC.
Gas Chromatography (GC)
The saponification method involved the introduction of 1 mL of R1 into the lipid extract, which was subsequently agitated on a vibratory mixer (Gallen Kamp, Cambridge, UK) for 5–10 s. The bottles, fitted with tightly sealed screw caps, were immersed in a water bath maintained at 100 °C for 5 min. The bottles were agitated and re-submerged in a water bath for 25 min. Subsequently, the glass bottles were retrieved and left to cool to room temperature. Methylation was conducted by introducing 2 mL of R2 to the lipid mixture, which was then vigorously mixed for 5–10 s to promote the liberation of fatty acids. The specimens were exposed to a temperature of 80 °C in a water bath for 10 min, then rapidly cooled to return to ambient temperature. It is advisable to maintain incubation conditions within a temperature limit of 80 °C or a duration of 10 min, as higher temperatures can destroy some fatty acid methyl esters. The experimental protocol consisted of adding 1.25 mL of R3 to the samples, which were then subjected to agitation for a period ranging from 5 to 10 s. The supernatants were carefully transferred and placed in sterile glass bottles using small Pasteur pipettes. A base wash solution was created by combining 3 mL of R4 and agitating the liquid using a vibratory mixer for 5 to 10 min. The bottles were allowed to equilibrate to the ambient temperature for a period ranging from 15 to 20 min. The liquid component, known as the supernatant, was meticulously placed into a glass receptacle, and subjected to extensive cleaning. Subsequently, the extract was subjected to a desiccation procedure utilizing a stream of nitrogen gas, which effectively removed the lower aqueous phase and standardized the sample volume. In the present experimental protocol, Pasteur pipettes were attached to an airline via a hose with the opposing end firmly fastened onto a glass bottle containing the extract. The air movement creates a negative pressure, leading to the drying out of the specimen. Saponification: One milliliter of R1 was introduced into the lipid extract, followed by agitation of the sample on a vibratory mixer (Gallen Kamp, UK) for 5 to 10 s. The bottles were equipped with securely fastened screw caps and submerged in a water bath maintained at 100 °C for 5 min. Subsequently, the bottles were agitated and re-immersed in a water bath for 25 min. The glass bottles were extracted and allowed to cool to the ambient temperature. Methylation: To liberate fatty acids from the lipid mixture, 2 mL of R2 was introduced and agitated for 5–10 s. The samples were placed in a water bath at 80 °C for 10 min and were then cooled to the ambient room temperature. It is recommended that the incubation conditions be limited to a maximum temperature of 80 °C and a period of 10 min, as exceeding these parameters may result in the degradation of some fatty acid methyl esters. Extraction: A volume of 1.25 mL of R3 was combined with the samples and agitated for 5–10 s. The supernatants were transported and deposited in sterile containers using small Pasteur pipettes. Base wash: A volume (3 mL) of R4 was subjected to mixing for 5 to 10 min using a vibratory mixer. The bottles were allowed to remain at room temperature for 15–20 min, after which the supernatant was carefully transferred into a glass bottle that had been thoroughly cleaned. Subsequently, the extract was subjected to desiccation using a stream of nitrogen gas to eliminate the lower aqueous phase and achieve a standardized sample volume. In this experimental procedure, Pasteur pipettes were affixed to an airline using a hose, while the opposite end was secured to the extract glass bottle. The airflow induced a vacuum, resulting in the desiccation of the sample.
The dried materials were dissolved in a solution (0.1 mL of a mixture containing hexane and diethyl ether in a 50:50 volume-to-volume ratio). The resulting solution was then transferred to a tiny glass vial equipped with a Teflon lid. The standards were diluted in a 1:1 ratio with R3, which is a mixture of hexane and diethyl ether. A volume of 1 µmL of the sample was introduced into a Shimadzu 14A gas chromatograph located in Beaconsfield, Buckinghamshire, UK. Fatty acids were analyzed using a Megabore Carowax 20 M Capillary Column obtained from phase separation in the UK. The column had a length of 30 m, a film thickness of 0.25 µm, and an internal diameter of 0.53 mm. Hydrogen was used as the carrier gas with a split ratio of 10:1 and a flow rate of 1 mL/min. The temperature was analyzed within a range of 15 °C to 320 °C with an increase of 10 °C per minute. The data were gathered using the Tri Lab 2000 Multi-Channel Chromatography Data System 14, an alternative GC instrument. A volume of 1 µmL of the sample was introduced into a Perkin Elmer Chromatograph (model 8310) for analysis. The chromatograph was equipped with a flame ionization detector. The capillary column employed in the experiment was a Zebron ZBI silica capillary column with an internal diameter of 0.32 mm, length of 25 m, and silica film thickness of 0.25 microns. Hydrogen was employed as the carrier gas at a split ratio of 10:1 and a flow rate of 1 mL/min. The sample was analyzed within a temperature range of 50 °C to 320 °C at a heating rate of 10 °C per min. The data were obtained using the Tri Lab 2000 Multi-Channel Chromatography Data System14, manufactured in the UK.
Mass Spectrometry (MS)
Mass spectrometry was used to identify fatty acids. The use of combined gas chromatography–mass spectrometry (GC-MS) has facilitated the separation of fatty acid mixtures. This analytical technique involves the use of gas chromatography to separate the components of the mixture, followed by mass spectrometry examination of the specific peaks obtained. A volume of 1 µmL of the material was introduced into a Mat 95XP Mass Spectrometry instrument (Thermo Finnigan, Cheshire, UK). The analysis was conducted in the Chemistry Department of the University of Manchester.

3. Results and Discussion

Preliminary investigations were conducted on cultured S. subspicatus green algae, encompassing the first assessment of growth in nutrient-rich media and the examination of lipid content.

3.1. Chlorophyll Cell Count Calibration

Microalgae are located within chloroplasts in three distinct forms of photosynthetic pigments: chlorophylls, carotenoids, and phycobilins [37,38]. Five distinct forms of chlorophyll exist, namely, chlorophyll a, b, c, d, and e, which are uniformly characterized by green pigmentation. It is universally accepted that all microalgae possess the pigment known as chlorophyll a.
Calibrating chlorophyll cell counts were performed to establish a standardized method for converting data in subsequent trials. The data presented in Figure 1 depict the correlation between the above parameters in S. subspicatus across a comprehensive range of dilutions. The investigation involved the determination of chlorophyll concentrations across a cell count spectrum ranging from 0 to 1.8 × 106 cells mL−1 for Scenedesmus species. The highest chlorophyll concentration recorded was 0.89 mg L−1. Figure 1 illustrates the linear correlation between the chlorophyll cell count graphs for a significant portion of the examined range.
The chlorophyll a content was 0.28 mg L−1 and was highest at the high dose of P 2.48 mg L−1, and chlorophyll concentrations decreased up to 0.05 mg L−1, with a decline in the P-level at 0.04 mg L−1 and a change in biomass as shown in Figure 2. Similarly, Rinanti et al. (2013) reported that S. obliquus develops chlorophyll a and b at a high rate of biomass production; the average cell growth rate of microalgae was 18.33, and the average productivity rates of chlorophyll a and chlorophyll b (mg·mL−1. d−1) were 0.0497 and 0.0467 [39].
The cell number of Scenedesmus is directly linked to the cell biomass and P levels in the growing media [40]. The maximum cell count range reached 50 × 104 cells mL−1 for Scenedesmus at 2.48 P mg L−1 in the stationary phase of culture.
The biomass levels in the growing medium exhibited a mean value of 42 cells mL−1 and a chlorophyll concentration of 0.24 mg L−1. The observed values were notably higher than those obtained from cultures cultivated in medium-P levels (28 cells mL−1, 0.15 mg chlorophyll L−1) and low-P medium (14 cells m L−1, 0.05 mg chlorophyll L−1) in Figure 3. Nevertheless, the continuous increase in biomass following the depletion of phosphate during phosphorus starvation resulted in a noteworthy enhancement in the biomass yield of phosphorous, reaching 160 g biomass/g [41]. A proposed approach for reducing phosphorus resource use in the production of algal biomass involves using a culture mode that induces phosphorus starvation [42].

3.2. Thin Layer Chromatography (TLC)

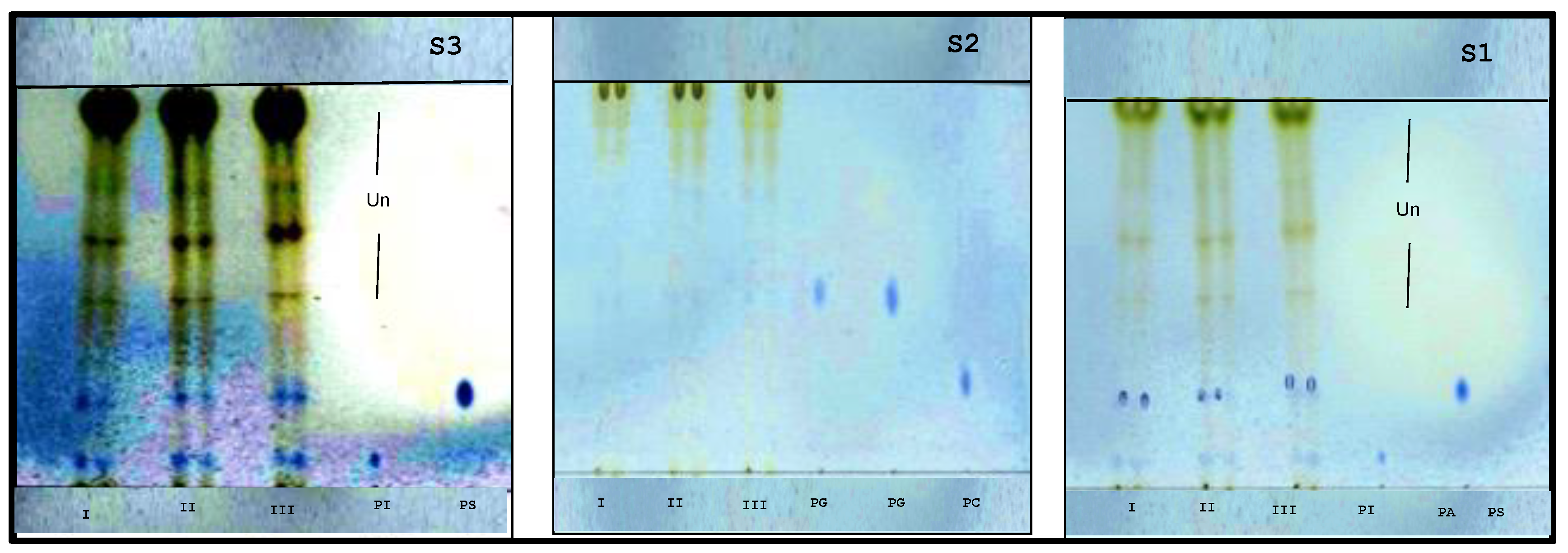
Five distinct solvents, called mobile phase systems, were employed in the initial TLC analysis to ascertain the most effective separation of phospholipids within S. subspicatus. Additionally, phospholipid standards, including PC, PA, PS, PE, PI, and PG, were included in the analysis. The plates were prepared under ambient conditions using three different solvents: Solvent 1 (chloroform, methanol, and water in volume proportions of 60:35:8), Solvent 2 (chloroform, methanol, and NH4OH in volume proportions of 130:50:10), and Solvent 3 (chloroform, acetone, acetic acid, formic acid, and water in volume proportions of 60:60:4:10:3). Subsequently, the plates were sprayed with reagent R1 (molybdenum blue), which led to the enhanced visualization of both the standard and the sample phospholipids (Figure 4). The use of solvent systems has yielded superior separation outcomes for certain phospholipids compared to others. Solvent 1 exhibited the most favorable separation of PA and PE, whereas solvent 2 exhibited more pronounced Rf values for PC and PG. Solvent 3 was used to isolate PI and PS. Table 2 lists the Rf values of the standards. Solvent 4 (a mixture of chloroform–methanol–ammonium hydroxide (65:25:4)) and solvent 5 (chloroform–acetone–methanol–acetic acid–water in proportions 50:20:10:10:5) did not yield satisfactory results in terms of phospholipid separation, and were deemed ineffective.

3.3. TLC Rf Values

The cultured cells of Anabaena exhibited distinct regions of phosphatidylcholine (PC), phosphatidic acid (PA), phosphatidylglycerol (PG), phosphatidylinositol (PI), phosphatidylserine (PS), and phosphatidylethanolamine (PE), as shown in Table 2. In contrast, farmed green algae showed significantly lower levels of detectable phospholipid diversity. Specifically, Scenedesmus demonstrated detectable levels of phosphatidic acid (PA), phosphatidylinositol (PI), and phosphatidylserine (PS), whereas Chlamydomonas exhibited only detectable levels of PA, phosphatidylethanolamine (PE), and PS.

3.4. Gas Chromatography

The fatty acid composition of the cultured green algae Scenedesmus was analyzed using GC. Chromatogram peaks were identified through comparative analysis with established methyl esters in ME60, BR1, and fish standards. Figure 5 displays the representative gas chromatography spectra.
Scenedesmus subspicatus: GC analysis of the alga revealed the presence of a peak corresponding to a straight-chain fatty acid, C16:0 (methyl hexadecanoic), which was followed by another peak corresponding to C18:0.
The Scenedesmus samples grown under high phosphorus concentrations were found to contain a variety of molecular entities according to GC and GC-MS studies. The peak at a molecular weight of 270, which may be related to a fatty acid or another organic component indicative of the metabolic state under phosphorus-rich conditions, calls for in-depth investigation. If this molecular entity is a recognized fatty acid or a brand new substance discovered for the first time in Scenedesmus under high-phosphorus conditions, the comparison could show which. The recent literature on interactions can be used to investigate the biochemical functions and implications of the discovered molecule with a range of 270 MW (Table 3). For instance, if it is a fatty acid, debates may center on how its abundance under high phosphorus conditions affects Scenedesmus’s general physiological state and its function in signaling, energy storage, and membrane construction. On the practical significance of the found molecule of 270 MW, recent papers focused on Scenedesmus fatty acid applications in sectors such as biofuel production, medicines, or nutraceuticals may be helpful. Certain discussions can shed light on whether or not this chemical increases the usefulness of goods developed from Scenedesmus in certain applications.
A dendrogram is a type of tree diagram widely used to show how clusters created by hierarchical clustering are arranged, as shown in Figure 6 and the attached table. The fatty acid distributions in Scenedesmus at various phosphorus levels were the measure under consideration, whereas single linkage was the clustering technique. One strategy used in hierarchical clustering is single linkage, sometimes referred to as the nearest-neighbor technique. The shortest distance between any two points within a cluster is used to measure the distance between two clusters. To investigate the impact of phosphorus availability on fatty acid distribution, Scenedesmus was cultured at various phosphorus concentrations, specifically 2.48 mg/L, 0.4 mg/L, and 0.04 mg/L. The correlation levels 1, 0.645, and 0.602 most likely reflect the similarity or connection of the fatty acid patterns at various phosphorus concentrations. Values smaller than 1 indicate descending levels of similarity, and a correlation of 1 denotes an ideal positive association.
The branches in the dendrogram showed various clusters (groups) of Scenedesmus based on their similar fatty acid distributions at various phosphorus concentrations. Each phosphorus concentration probably results in a different distribution of fatty acids, which affects the clustering. It would suggest a significant degree of similarity in the distributions of fatty acids at these levels if the branches on the dendrogram corresponding to the 2.48 mg/L and 0.4 mg/L phosphorus values were closer (Figure 6). This association may be represented by branches at a middle distance, showing some degree of similarity in fatty acid composition but with significant disparities. It would indicate a more distinct fatty acid distribution at this level, indicative of severe metabolic changes caused by limited phosphorus availability, if the branch corresponding to 0.04 mg/L phosphorus level is the furthest from the others. The metabolic profile of Scenedesmus, specifically the distribution of fatty acids, can be understood in detail by analyzing and interpreting the dendrogram in the context of phosphorus levels and corresponding correlation coefficients. Researchers may recognize patterns and draw inferences regarding the metabolic adaptability and reactions of Scenedesmus to various phosphorus concentrations thanks to the dendrogram, which visually depicts these interactions, and Table 4 shows a comparison of fatty acid production by different Scenedesmus species with different carbon chains of fatty acid.
Economic Aspects:
Cost-Effective Biofuel Production. Phosphorus deprivation in S. subspicatus can potentially increase lipid accumulation in microalgae, which is crucial for biofuel production. By optimizing the levels of phosphorus, the process of fatty acid synthesis can be enhanced, making biofuel production more efficient and economically viable.
Resource Management. This study highlights the importance of managing nutrient resources such as phosphorus in cultivating microalgae. By understanding the effects of phosphorus deprivation, the cost of fertilizers or nutrient supplements can be minimized, thereby reducing the overall cost of algae cultivation.
Scalability and Commercialization. If phosphorus deprivation leads to higher fatty acid yields, it could make the commercial production of biofuels more attractive. This could lead to an increase in investments and the development of infrastructure for large-scale algae cultivation and biofuel processing, contributing positively to the economy.
Environmental Aspects:
Sustainable Energy Source. The study supports the development of microalgae as a sustainable energy source. By enhancing fatty acid production through phosphorus deprivation, the process becomes more efficient, reducing reliance on fossil fuels and contributing to the reduction of greenhouse gas emissions.
Nutrient Recycling and Eutrophication Prevention. Understanding the effects of phosphorus on microalgal growth can help in recycling nutrients more effectively in aquatic ecosystems, preventing the overuse of phosphorus that can lead to eutrophication, a process that severely disrupts aquatic ecosystems.
Reduction in Agricultural Runoff. By optimizing phosphorus usage in microalgae cultivation, this study could indirectly contribute to reducing phosphorus runoff from agricultural fields into water bodies. This can prevent water pollution and maintain the ecological balance in freshwater systems, such as Rostherne Mere.

4. Conclusions

Investigations into the lipidic profiles of S. subspicatus under different phosphorus circumstances have important consequences for the study of biofuels. Reduced phosphorus levels enhance lipid content and production in this model of freshwater microalga. Variations in phosphorus levels cause changes in biochemistry, notably in protein and carbohydrate levels, which in turn cause changes in metabolism and adaptive responses in various ways. This emphasizes how dietary availability impacts biochemistry, especially in relation to protein, carbohydrate, and lipid levels. S. subspicatus is rich in saturated and unsaturated fatty acids, the most abundant of which are C16:0 and C18:0, according to modern gas chromatography (GC) techniques. Fatty acids like C16:3, C18:1, C18:2, and C18:3 are important for studying algae biofuels because they show that the lipid profile is diverse and variable in composition. A statistically significant association between phosphorus levels and fatty acid configurations has been revealed using Pearson linear correlation coefficients, revealing the metabolic flexibility and resilience of S. subspicatus. Microalgal lipid outputs are essential for efficient and sustainable biofuel generation, and new insights into algal biochemistry and metabolic flexibility have been revealed by lipid spectra detected at varying phosphorus concentrations. Research into genetically engineering S. subspicatus to increase lipid production or make the algae more resistant to changes in phosphorus levels could be in the works for the future. The viability of biofuel production could be enhanced by investigating more economical ways of producing and harvesting this alga on a large scale. To ensure biofuel production’s sustainability in the long run, future studies might investigate how to combine these results with other renewable energy sources.

Author Contributions

Conceptualization, H.A.Q. and M.O.; methodology, H.A.Q.; software, M.O.; validation, M.A.A.-S., M.O. and H.A.Q.; formal analysis, M.O.; investigation, H.A.Q.; resources, H.A.Q.; data curation, M.O.; writing—original draft preparation, M.O.; writing—review and editing, H.A.Q.; visualization, H.A.Q.; supervision, H.A.Q.; project administration, H.A.Q.; funding acquisition, H.A.Q. All authors have read and agreed to the published version of the manuscript.

Funding

This project was funded by KAU Endowment (WAQF) at King Abdulaziz University, Jeddah, under grant no. (WAQF: 109-188-2024).

Data Availability Statement

Data available on request.

Acknowledgments

Therefore, the authors acknowledge this thanks to WAQF and the Dean of Scientific Research (DSR) for their technical and financial support.

Conflicts of Interest

The authors declare no conflicts of interest.

References

  1. Holechek, J.L.; Geli, H.M.; Sawalhah, M.N.; Valdez, R. A global assessment: Can renewable energy replace fossil fuels by 2050? Sustainability 2022, 14, 4792. [Google Scholar] [CrossRef]
  2. Yaakob, M.A.; Mohamed, R.M.S.R.; Al-Gheethi, A.; Aswathnarayana Gokare, R.; Ambati, R.R. Influence of nitrogen and phosphorus on microalgal growth, biomass, lipid, and fatty acid production: An overview. Cells 2021, 10, 393. [Google Scholar] [CrossRef]
  3. Oves, M.; Qari, H.A.; Ismail, I.M. Biofuel Formation from Microalgae: A Renewable Energy Source for Eco-Sustainability. Curr. World Environ. J. 2022, 17, 4–19. [Google Scholar] [CrossRef]
  4. Ahmad, A.; Banat, F.; Alsafar, H.; Hasan, S.W. Algae biotechnology for industrial wastewater treatment, bioenergy production, and high-value bioproducts. Sci. Total Environ. 2022, 806, 150585. [Google Scholar] [CrossRef] [PubMed]
  5. Sathya, A.B.; Thirunavukkarasu, A.; Nithya, R.; Nandan, A.; Sakthishobana, K.; Kola, A.K.; Sivashankar, R.; Tuan, H.A.; Deepanraj, B. Microalgal biofuel production: Potential challenges and prospective research. Fuel 2023, 332, 126199. [Google Scholar] [CrossRef]
  6. Arunachalam Sivagurulingam, A.P.; Sivanandi, P.; Pandian, S. Isolation, mass cultivation, and biodiesel production potential of marine microalgae identified from Bay of Bengal. Environ. Sci. Pollut. Res. 2022, 29, 6646–6655. [Google Scholar] [CrossRef] [PubMed]
  7. Ashwaniy, V.R.V.; Perumalsamy, M.; Pandian, S. Enhancing the synergistic interaction of microalgae and bacteria for the reduction of organic compounds in petroleum refinery effluent. Environ. Technol. Innov. 2020, 19, 100926. [Google Scholar] [CrossRef]
  8. Arunachalam Sivagurulingam, A.P.; Sivanandi, P.; Pandian, S.; Arumugamurthi, S.S.; Sircar, A. Optimization and kinetic studies on biodiesel production from microalgae (Euglena sanguinea) using calcium methoxide as catalyst. Energy Sources Part A Recovery Util. Environ. Eff. 2019, 41, 1497–1507. [Google Scholar] [CrossRef]
  9. Ashokkumar, V.; Salim, M.R.; Salam, Z.; Sivakumar, P.; Chong, C.T.; Elumalai, S.; Suresh, V.; Ani, F.N. Production of liquid biofuels (biodiesel and bioethanol) from brown marine macroalgae Padina tetrastromatica. Energy Convers. Manag. 2017, 135, 351–361. [Google Scholar] [CrossRef]
  10. Ashokkumar, V.; Agila, E.; Sivakumar, P.; Salam, Z.; Rengasamy, R.; Ani, F.N. Optimization and characterization of biodiesel production from microalgae Botryococcus grown at semi-continuous system. Energy Convers. Manag. 2014, 88, 936–946. [Google Scholar] [CrossRef]
  11. Suriapparao, D.V.; Kumar, T.H.; Reddy, B.R.; Yerrayya, A.; Srinivas, B.A.; Sivakumar, P.; Prakash, S.R.; Rao, C.S.; Sridevi, V.; Desinghu, J. Role of ZSM5 catalyst and char susceptor on the synthesis of chemicals and hydrocarbons from microwave-assisted in-situ catalytic co-pyrolysis of algae and plastic wastes. Renew. Energy. 2022, 181, 990–999. [Google Scholar] [CrossRef]
  12. Ashokkumar, V.; Chen, W.-H.; Al-Muhtaseb, A.H.; Kumar, G.; Sathishkumar, P.; Pandian, S.; Ani, F.N.; Ngamcharussrivichai, C. Bioenergy production and metallic iron (Fe) conversion from Botryococcus sp. cultivated in domestic wastewater: Algal biorefinery concept. Energy Convers. Manag. 2019, 196, 1326–1334. [Google Scholar] [CrossRef]
  13. Vij, R.K.; Subramanian, D.; Pandian, S.; Krishna, S.; Hari, S. A review of different technologies to produce fuel from microalgal feedstock. Environ. Technol. Innov. 2021, 22, 101389. [Google Scholar] [CrossRef]
  14. Vishnupriya, M.; Ramesh, K.; Sivakumar, P.; Balasubramanian, R.; Sircar, A. Kinetic and thermodynamic studies on the extraction of bio oil from Chlorella vulgaris and the subsequent biodiesel production. Chem. Eng. Commun. 2019, 206, 409–418. [Google Scholar]
  15. Jacinto, G.S.S.; Cruz, G.; Cabral, A.A.; Bezerra, G.V.P.; Garcia, R.R.P.; Magalhães, U.N.; Gomes, W.C. Biotechnological investigation of Pediastrum boryanum and Desmodesmus subspicatus microalgae species for a potential application in bioenergy. Algal Res. 2023, 75, 103266. [Google Scholar] [CrossRef]
  16. Stirk, W.A.; van Staden, J. Potential of phytohormones to improve microalgae productivity for biotechnological applications. Biotechnol. Adv. 2020, 44, 107612. [Google Scholar] [CrossRef]
  17. Sajjadi, B.; Chen, W.Y.; Raman, A.A.A.; Ibrahim, S. Microalgae lipid and biomass for biofuel production: A comprehensive review on lipid enhancement strategies and their effects on fatty acid composition. Renew. Sustain. Energy Rev. 2018, 97, 200–232. [Google Scholar] [CrossRef]
  18. Stincone, A.; Prigione, A.; Cramer, T.; Wamelink, M.M.; Campbell, K.; Cheung, E.; Olin-Sandoval, V.; Grüning, N.M.; Krüger, A.; Tauqeer Alam, M.; et al. The return of metabolism: Biochemistry and physiology of the pentose phosphate pathway. Biol. Rev. 2015, 90, 927–963. [Google Scholar] [CrossRef]
  19. Gauthier, M.R.; Senhorinho, G.N.A.; Scott, J.A. Microalgae under environmental stress as a source of antioxidants. Algal Res. 2020, 52, 102104. [Google Scholar] [CrossRef]
  20. Khan, M.I.; Shin, J.H.; Kim, J.D. The promising future of microalgae: Current status, challenges, and optimization of a sustainable and renewable industry for biofuels, feed, and other products. Microb. Cell Factories 2018, 17, 36. [Google Scholar] [CrossRef]
  21. Maltsev, Y.; Maltseva, K.; Kulikovskiy, M.; Maltseva, S. Influence of light conditions on microalgae growth and content of lipids, carotenoids, and fatty acid composition. Biology 2021, 10, 1060. [Google Scholar] [CrossRef] [PubMed]
  22. Siddiki, S.Y.A.; Mofijur, M.; Kumar, P.S.; Ahmed, S.F.; Inayat, A.; Kusumo, F.; Badruddin, I.A.; Khan, T.Y.; Nghiem, L.D.; Ong, H.C.; et al. Microalgae biomass as a sustainable source for biofuel, biochemical and biobased value-added products: An integrated biorefinery concept. Fuel 2022, 307, 121782. [Google Scholar] [CrossRef]
  23. Qari, H.A.; Oves, M. Fatty acid synthesis by Chlamydomonas reinhardtii in phosphorus limitation. J. Bioenerg. Biomembr. 2020, 52, 27–38. [Google Scholar] [CrossRef] [PubMed]
  24. Singh, N.K.; Singh, Y.; Sharma, A. Optimization of biodiesel synthesis from Jojoba oil via supercritical methanol: A response surface methodology approach coupled with genetic algorithm. Biomass Bioenergy 2021, 156, 106332. [Google Scholar] [CrossRef]
  25. Juneja, A.; Ceballos, R.M.; Murthy, G.S. Effects of environmental factors and nutrient availability on the biochemical composition of algae for biofuels production: A review. Energies 2013, 6, 4607–4638. [Google Scholar] [CrossRef]
  26. Santana-Sánchez, A.; Lynch, F.; Sirin, S.; Allahverdiyeva, Y. Nordic cyanobacterial and algal lipids: Triacylglycerol accumulation, chemotaxonomy, and bio-industrial potential. Physiol. Plant. 2021, 173, 591–602. [Google Scholar] [CrossRef]
  27. Piorreck, M.; Baasch, K.H.; Pohl, P. Biomass production, total protein, chlorophylls, lipids and fatty acids of freshwater green and blue-green algae under different nitrogen regimes. Phytochemistry 1984, 23, 207–216. [Google Scholar] [CrossRef]
  28. Alsenani, F.; Ashour, A.M.; Alzubaidi, M.A.; Azmy, A.F.; Hetta, M.H.; Abu-Baih, D.H.; Elrehany, M.A.; Zayed, A.; Sayed, A.M.; Abdelmohsen, U.R.; et al. Wound Healing Metabolites from Peters’ Elephant-Nose Fish Oil: An In Vivo Investigation Supported by In Vitro and In Silico Studies. Mar. Drugs 2021, 19, 605. [Google Scholar] [CrossRef]
  29. Aminot, A.; Rey, F. Standard procedure for the determination of chlorophyll a by spectroscopic methods. Int. Counc. Explor. Sea 2000, 112, 25. [Google Scholar]
  30. Bandstra, S.R.; Fried, B.; Sherma, J. High-performance thin-layer chromatographic analysis of neutral lipids and phospholipids in Biomphalaria glabrata patently infected with Echinostoma caproni. Parasitol. Res. 2006, 99, 414–418. [Google Scholar] [CrossRef]
  31. Touchstone, J.C. Practice of Thin Layer Chromatography; John Wiley & Sons: Hoboken, NJ, USA, 1992. [Google Scholar]
  32. Mallinger, A.G.; Yao, J.K.; Brown, A.S.; Dippold, C.S. Analysis of complex mixtures of phospholipid classes from cell membranes using two-dimensional thin-layer chromatography and scanning laser densitometry. J. Chromatogr. B Biomed. Sci. Appl. 1993, 614, 67–75. [Google Scholar] [CrossRef] [PubMed]
  33. Raheja, R.K.; Kaur, C.; Singh, A.; Bhatia, I.S. New colorimetric method for the quantitative estimation of phospholipids without acid digestion. J. Lipid Res. 1973, 14, 695–697. [Google Scholar] [CrossRef] [PubMed]
  34. Guihéneuf, F.; Schmid, M.; Stengel, D.B. Lipids and fatty acids in algae: Extraction, fractionation into lipid classes, and analysis by gas chromatography coupled with flame ionization detector (GC-FID). In Natural Products from Marine Algae: Methods and Protocols; Springer: Berlin/Heidelberg, Germany, 2015; pp. 173–190. [Google Scholar]
  35. Rockinger, U.; Funk, M.; Winter, G. Current approaches of preservation of cells during (freeze-) drying. J. Pharm. Sci. 2021, 110, 2873–2893. [Google Scholar] [CrossRef]
  36. Zhou, J.; Wang, M.; Saraiva, J.A.; Martins, A.P.; Pinto, C.A.; Prieto, M.A.; Simal-Gandara, J.; Cao, H.; Xiao, J.; Barba, F.J. Extraction of lipids from microalgae using classical and innovative approaches. Food Chem. 2022, 384, 132236. [Google Scholar] [CrossRef] [PubMed]
  37. Mulders, K.J.; Lamers, P.P.; Martens, D.E.; Wijffels, R.H. Phototrophic pigment production with microalgae: Biological constraints and opportunities. J. Phycol. 2014, 50, 229–242. [Google Scholar] [CrossRef] [PubMed]
  38. Masojídek, J.; Torzillo, G.; Koblížek, M. Photosynthesis in microalgae. In Handbook of Microalgal Culture: Applied Phycology and Biotechnology; Wiley-Blackwell: Oxford, UK, 2013; pp. 21–36. [Google Scholar]
  39. Rinanti, A.; Kardena, E.; Astuti, D.I.; Dewi, K. Growth response and chlorophyll content of Scenedesmus obliquus cultivated in different artificial media. Asian J. Environ. Biol. 2013, 1, 1–9. [Google Scholar]
  40. Martınez, M.E.; Sánchez, S.; Jimenez, J.M.; El Yousfi, F.; Munoz, L. Nitrogen and phosphorus removal from urban wastewater by the microalga Scenedesmus obliquus. Bioresour. Technol. 2000, 73, 263–272. [Google Scholar] [CrossRef]
  41. Wu, Y.H.; Yu, Y.; Li, X.; Hu, H.Y.; Su, Z.F. Biomass production of a Scenedesmus sp. under phosphorous-starvation cultivation condition. Bioresour. Technol. 2012, 112, 193–198. [Google Scholar] [CrossRef]
  42. García-Cañedo, J.C.; Cristiani-Urbina, E.; Flores-Ortiz, C.M.; Ponce-Noyola, T.; Esparza-García, F.; Cañizares-Villanueva, R.O. Batch and fed-batch culture of Scenedesmus incrassates effect over biomass, carotenoid profile, and concentration, photosynthetic efficiency, and non-photochemical quenching. Algal Res. 2016, 13, 41–52. [Google Scholar] [CrossRef]
Figure 1. The calibration of cell counts for S. subspicatus during 14 days, specifically focusing on measuring chlorophyll in the cells.
Figure 1. The calibration of cell counts for S. subspicatus during 14 days, specifically focusing on measuring chlorophyll in the cells.
Fuels 05 00051 g001
Figure 2. This study aimed to investigate the variations in Scenedesmus biomass, namely, the chlorophyll a concentration (mg/L), under different phosphorus levels. The four phosphorus concentrations examined were 2.48 mg/L, 0.4 mg/L, 0.04 mg/L, and 0.01 mg/L. The measurements were taken during the stationary phase of Scenedesmus growth.
Figure 2. This study aimed to investigate the variations in Scenedesmus biomass, namely, the chlorophyll a concentration (mg/L), under different phosphorus levels. The four phosphorus concentrations examined were 2.48 mg/L, 0.4 mg/L, 0.04 mg/L, and 0.01 mg/L. The measurements were taken during the stationary phase of Scenedesmus growth.
Fuels 05 00051 g002
Figure 3. The primary goal of the present investigation was to examine the variations in the biomass of Scenedesmus (cultured over a long period) at four distinct phosphorus concentrations (2.48 mg/L, 0.4 mg/L, 0.04 mg/L, and 0.01 mg/L) during the stationary phase.
Figure 3. The primary goal of the present investigation was to examine the variations in the biomass of Scenedesmus (cultured over a long period) at four distinct phosphorus concentrations (2.48 mg/L, 0.4 mg/L, 0.04 mg/L, and 0.01 mg/L) during the stationary phase.
Fuels 05 00051 g003
Figure 4. TLC was performed on phospholipid standards and Scenedesmus (cultured over a long period) using three distinct solvent systems. The TLC plate was maintained at a temperature range of 5 °C to 8 °C. The Chlamydomonas phospholipid samples were analyzed at different concentrations of phosphorus (mg/L). Sample I had a concentration of 2.48 mg/L, Sample II was 0.4 mg/L, and Sample III had a concentration of 0.04 mg/L. Three different solvents were used for the analysis. Solvent 1 consisted of a mixture of chloroform, methanol, and water in a ratio of 60:35:8 (v/v/v). Solvent 2 was a mixture of chloroform, methanol, and NH4OH in a ratio of 130:50:10 (v/v/v). Solvent 3 was a mixture of chloroform, acetone, acetic acid, formic acid, and water in a ratio of 60:60:4:10:3 (v/v/v/v/v). Reagent 1, specifically the Molybdenum blue spray reagent, was used for the analysis. Unknown spots were observed that did not correspond to any standard phospholipids.
Figure 4. TLC was performed on phospholipid standards and Scenedesmus (cultured over a long period) using three distinct solvent systems. The TLC plate was maintained at a temperature range of 5 °C to 8 °C. The Chlamydomonas phospholipid samples were analyzed at different concentrations of phosphorus (mg/L). Sample I had a concentration of 2.48 mg/L, Sample II was 0.4 mg/L, and Sample III had a concentration of 0.04 mg/L. Three different solvents were used for the analysis. Solvent 1 consisted of a mixture of chloroform, methanol, and water in a ratio of 60:35:8 (v/v/v). Solvent 2 was a mixture of chloroform, methanol, and NH4OH in a ratio of 130:50:10 (v/v/v). Solvent 3 was a mixture of chloroform, acetone, acetic acid, formic acid, and water in a ratio of 60:60:4:10:3 (v/v/v/v/v). Reagent 1, specifically the Molybdenum blue spray reagent, was used for the analysis. Unknown spots were observed that did not correspond to any standard phospholipids.
Fuels 05 00051 g004
Figure 5. The GC displays the results of the analysis conducted on Scenedesmus samples cultivated under high phosphorus concentration conditions (2.48 mg/L). The tandem GC-MS technique was employed to identify and quantify the peak with a molecular weight (mw) of 270.
Figure 5. The GC displays the results of the analysis conducted on Scenedesmus samples cultivated under high phosphorus concentration conditions (2.48 mg/L). The tandem GC-MS technique was employed to identify and quantify the peak with a molecular weight (mw) of 270.
Fuels 05 00051 g005
Figure 6. Dendrogram showing relationships of Scenedesmous in different phosphorus levels based on single-linkage fatty acid distribution.
Figure 6. Dendrogram showing relationships of Scenedesmous in different phosphorus levels based on single-linkage fatty acid distribution.
Fuels 05 00051 g006
Table 1. Laboratory conditions for short- term and long-term Scenedesmus algal cultures.
Table 1. Laboratory conditions for short- term and long-term Scenedesmus algal cultures.
Laboratory SiteGrowing TimeTemp Light Regime Media
Light Intensity (Photon Flux)CycleAgitation
Short-term
Culture
(Growth room)
14 d18 °C134 μmol m−2 s−118 h light/6 h darkContinuous stirringJaworski medium (JM)
Long-term
Culture
(Growth chamber)
3 months18 °C70 μmol m−2 s−118 h light/6 h darkIntermittent stirring
Table 2. Rf values for phospholipids in different cultured algae and phospholipid standards were separated by TLC at room temperature and sprayed with Molybdenum blue spray reagent.
Table 2. Rf values for phospholipids in different cultured algae and phospholipid standards were separated by TLC at room temperature and sprayed with Molybdenum blue spray reagent.
Phospholipids StandardsScenedesmus Cultured in the Different P-Concentration (mg L−1)
P 2.48P 0.40P 0.04
Solvent 1PA0.530.530.530.52
PE0.70---
Solvent 2 PC0.22---
PG0.49---
Solvent 3PI0.080.080.080.07
PS0.510.510.510.50
Keys: S1, solvent 1 (Chloroform (60):methanol (30):water (15) v/v/v); S2, solvent 2 (Chloroform (65):methanol (25):ammonium hydroxide (4) v/v/v); S3, solvent 3 (Chloroform(60):acetone (60):acetic acid (4):formic acid (10):water (3) v/v/v/v/v), in this table, values of Rf are shown from a single TLC analysis.
Table 3. Fatty acid composition: total area (%), area (×107) of cultured Scenedesmus (long-term culture) at three different phosphorus concentrations: 2.48 mg L−1 phosphorus concentration (I), 0.4 mg L−1 (II) and 0.04 mg L−1 (III).
Table 3. Fatty acid composition: total area (%), area (×107) of cultured Scenedesmus (long-term culture) at three different phosphorus concentrations: 2.48 mg L−1 phosphorus concentration (I), 0.4 mg L−1 (II) and 0.04 mg L−1 (III).
SymbolNameMWFormulaArea (%)Area (µ v/s ×104)
IIIIIIIIIIII
C16:37,10,13,Hexadecatrienoic acid, methyl ester264C17H28O24.02.51.11.2110.50.2
C16:0Hexadecanoic acid, methyl ester270C17H34O220.816.420.06.383.43.7
C17:35,8,11-Heptadecatrienoic acid, methyl ester278C18H30O2< 0.12.21.6< 0.10.50.3
C18:39,12,15-Ocyadecatrienoic acid, methyl ester292C19H32O29.810.28.33.02.11.6
C18:29,12-Octadecadienoic acid-, methyl ester294C19H34O223.213.02.27.12.70.4
C18:19-Octadecanoic acid, methyl ester296C19H36O225.052.452.47.611.09.8
C18:0Octadecanoic acid, methyl ester298C19H38O217.23.414.45.30.72.7
Total10010010030.620.918.7
Keys: S1, solvent 1 (Chloroform (60):methanol (30):water (15) v/v/v); S2, solvent 2 (Chloroform (65):methanol (25):ammonium hydroxide (4) v/v/v); S3, solvent 3 (Chloroform (60):acetone (60):acetic acid (4):formic acid (10):water (3) v/v/v/v/v); in this table values of Rf are shown from a single TLC analysis.
Table 4. Fatty acid composition of Scenedesmus: Comparison to published data.
Table 4. Fatty acid composition of Scenedesmus: Comparison to published data.
Fatty Acid Carbon Chain Number S. subspicatusS. obliquusS. communisS. quadricauda S. subspicatusS. obliquusS. communisS. quadricauda
Reference [34][35][36][37][38][39]Reference [34][35][36][37][38][39]
C4:0+ C18:0 ++ +++
C6:0+ C20:5 +
C10:0+ C20:4 +
C12:0 + C20:3 +
C14:1 + C20:2+
C14:0+++ ++C20:1 +
C16:4 + C20:0 +
C16:3 + + C21:0 +
C16:2 ++ C22:1+
C16:1 ++ ++C26:0 +
C16:0+++++++C28:0 +
C17:1 + C30:1 +
C18:4 + ++C30:0 +
C18:3+++ ++C30:2 +
C18:2 ++ ++C32:1 +
C18:1 ++ ++C32:0 +
C34:1 +
Disclaimer/Publisher’s Note: The statements, opinions and data contained in all publications are solely those of the individual author(s) and contributor(s) and not of MDPI and/or the editor(s). MDPI and/or the editor(s) disclaim responsibility for any injury to people or property resulting from any ideas, methods, instructions or products referred to in the content.

Share and Cite

MDPI and ACS Style

Qari, H.A.; Al-Shaeri, M.A.; Oves, M. Effect of Phosphorus Deprivation on Fatty Acid Synthesis in Scenedesmus subspicatus Microalgae from Rostherne Mere. Fuels 2024, 5, 910-926. https://doi.org/10.3390/fuels5040051

AMA Style

Qari HA, Al-Shaeri MA, Oves M. Effect of Phosphorus Deprivation on Fatty Acid Synthesis in Scenedesmus subspicatus Microalgae from Rostherne Mere. Fuels. 2024; 5(4):910-926. https://doi.org/10.3390/fuels5040051

Chicago/Turabian Style

Qari, Huda A., Majed Ahmed Al-Shaeri, and Mohammad Oves. 2024. "Effect of Phosphorus Deprivation on Fatty Acid Synthesis in Scenedesmus subspicatus Microalgae from Rostherne Mere" Fuels 5, no. 4: 910-926. https://doi.org/10.3390/fuels5040051

APA Style

Qari, H. A., Al-Shaeri, M. A., & Oves, M. (2024). Effect of Phosphorus Deprivation on Fatty Acid Synthesis in Scenedesmus subspicatus Microalgae from Rostherne Mere. Fuels, 5(4), 910-926. https://doi.org/10.3390/fuels5040051

Article Metrics

Back to TopTop