In Vivo Vascularization of Cell-Supplemented Spider Silk-Based Hydrogels in the Arteriovenous Loop Model
Abstract
1. Introduction
2. Materials and Methods
2.1. T17b Cells with TNFR2-Fc-Flag-GpL
2.2. T17b Cells Cultivation
2.3. Recombinant Spider Silk Hydrogel Generation
2.4. Fluorescence and Confocal Laser Scanning Microscopy
2.5. Cell Viability and Productivity Assays
2.6. Arteriovenous Loop Surgery
2.7. Explantation Procedure
2.8. Micro Computed Tomography (µCT)
2.9. (Immuno-)Histological Staining
2.10. Statistical Analysis
3. Results
3.1. In Vitro Evaluation
3.2. AV Loop Surgery and Postoperative Outcome
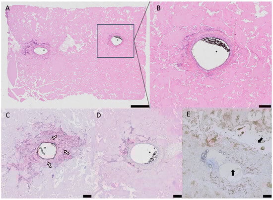
3.3. Histology and Quantification
3.4. µCT Analysis
4. Discussion
5. Conclusions
Author Contributions
Funding
Institutional Review Board Statement
Data Availability Statement
Conflicts of Interest
References
- Staige Davis, J. Plastic and Reconstructive Surgery. JAMA 2016, 316, 353. [Google Scholar] [CrossRef] [PubMed]
- Russell, J.; Pateman, K.; Batstone, M. Donor site morbidity of composite free flaps in head and neck surgery: A systematic review of the prospective literature. Int. J. Oral Maxillofac. Surg. 2021, 50, 1147–1155. [Google Scholar] [CrossRef] [PubMed]
- Weise, H.; Naros, A.; Blumenstock, G.; Krimmel, M.; Hoefert, S.; Kluba, S.; Hofer, S.; Reinert, S. Donor site morbidity of the anterolateral thigh flap. J. Craniomaxillofac. Surg. 2017, 45, 2105–2108. [Google Scholar] [CrossRef] [PubMed]
- Schellerer, V.S.; Bartholomé, L.; Langheinrich, M.C.; Grützmann, R.; Horch, R.E.; Merkel, S.; Weber, K. Donor Site Morbidity of Patients Receiving Vertical Rectus Abdominis Myocutaneous Flap for Perineal, Vaginal or Inguinal Reconstruction. World J. Surg. 2021, 45, 132–140. [Google Scholar] [CrossRef] [PubMed]
- Al-Himdani, S.; Jessop, Z.M.; Al-Sabah, A.; Combellack, E.; Ibrahim, A.; Doak, S.H.; Hart, A.M.; Archer, C.W.; Thornton, C.A.; Whitaker, I.S. Tissue-Engineered Solutions in Plastic and Reconstructive Surgery: Principles and Practice. Front. Surg. 2017, 4, 4. [Google Scholar] [CrossRef]
- Aigner, T.B.; DeSimone, E.; Scheibel, T. Biomedical Applications of Recombinant Silk-Based Materials. Adv. Mater. 2018, 30, e1704636. [Google Scholar] [CrossRef]
- Leal-Egaña, A.; Scheibel, T. Silk-based materials for biomedical applications. Biotechnol. Appl. Biochem. 2010, 55, 155–167. [Google Scholar] [CrossRef]
- Schacht, K.; Scheibel, T. Controlled hydrogel formation of a recombinant spider silk protein. Biomacromolecules 2011, 12, 2488–2495. [Google Scholar] [CrossRef]
- DeSimone, E.; Schacht, K.; Pellert, A.; Scheibel, T. Recombinant spider silk-based bioinks. Biofabrication 2017, 9, 044104. [Google Scholar] [CrossRef]
- Chen, Y.; Murphy, E.J.; Cao, Z.; Buckley, C.; Cortese, Y.; Chee, B.S.; Scheibel, T. Electrospinning Recombinant Spider Silk Fibroin-Reinforced PLGA Membranes: A Biocompatible Scaffold for Wound Healing Applications. ACS Biomater. Sci. Eng. 2024, 10, 7144–7154. [Google Scholar] [CrossRef]
- Steiner, D.; Lang, G.; Fischer, L.; Winkler, S.; Fey, T.; Greil, P.; Scheibel, T.; Horch, R.E.; Arkudas, A. Intrinsic Vascularization of Recombinant eADF4(C16) Spider Silk Matrices in the Arteriovenous Loop Model. Tissue Eng. Part A 2019, 25, 1504–1513. [Google Scholar] [CrossRef] [PubMed]
- Steiner, D.; Winkler, S.; Heltmann-Meyer, S.; Trossmann, V.T.; Fey, T.; Scheibel, T.; Horch, R.E.; Arkudas, A. Enhanced vascularization andde novotissue formation in hydrogels made of engineered RGD-tagged spider silk proteins in the arteriovenous loop model. Biofabrication 2021, 13, 045003. [Google Scholar] [CrossRef] [PubMed]
- Huemmerich, D.; Helsen, C.W.; Quedzuweit, S.; Oschmann, J.; Rudolph, R.; Scheibel, T. Primary structure elements of spider dragline silks and their contribution to protein solubility. Biochemistry 2004, 43, 13604–13612. [Google Scholar] [CrossRef] [PubMed]
- Wohlrab, S.; Müller, S.; Schmidt, A.; Neubauer, S.; Kessler, H.; Leal-Egaña, A.; Scheibel, T. Cell adhesion and proliferation on RGD-modified recombinant spider silk proteins. Biomaterials 2012, 33, 6650–6659. [Google Scholar] [CrossRef] [PubMed]
- Trossmann, V.T.; Scheibel, T. Design of Recombinant Spider Silk Proteins for Cell Type Specific Binding. Adv. Healthc. Mater. 2023, 12, e2202660. [Google Scholar] [CrossRef] [PubMed]
- Kramer, J.P.M.; Aigner, T.B.; Petzold, J.; Roshanbinfar, K.; Scheibel, T.; Engel, F.B. Recombinant spider silk protein eADF4(C16)-RGD coatings are suitable for cardiac tissue engineering. Sci. Rep. 2020, 10, 8789. [Google Scholar] [CrossRef]
- Salehi, S.; Koeck, K.; Scheibel, T. Spider Silk for Tissue Engineering Applications. Molecules 2020, 25, 737. [Google Scholar] [CrossRef]
- Bleiziffer, O.; Hammon, M.; Naschberger, E.; Lipnik, K.; Arkudas, A.; Rath, S.; Pryymachuk, G.; Beier, J.P.; Stürzl, M.; Horch, R.E.; et al. Endothelial progenitor cells are integrated in newly formed capillaries and alter adjacent fibrovascular tissue after subcutaneous implantation in a fibrin matrix. J. Cell Mol. Med. 2011, 15, 2452–2461. [Google Scholar] [CrossRef] [PubMed]
- Bleiziffer, O.; Horch, R.E.; Hammon, M.; Arkudas, A.; Naschberger, E.; Rath, S.; Pryymachuk, G.; Beier, J.P.; Hatzopoulos, A.K.; Stürzl, M.; et al. T17b murine embryonal endothelial progenitor cells can be induced towards both proliferation and differentiation in a fibrin matrix. J. Cell Mol. Med. 2009, 13, 926–935. [Google Scholar] [CrossRef]
- Steiner, D.; Reinhardt, L.; Fischer, L.; Popp, V.; Körner, C.; Geppert, C.I.; Bäuerle, T.; Horch, R.E.; Arkudas, A. Impact of Endothelial Progenitor Cells in the Vascularization of Osteogenic Scaffolds. Cells 2022, 11, 926. [Google Scholar] [CrossRef]
- Trossmann, V.T.; Heltmann-Meyer, S.; Amouei, H.; Wajant, H.; Horch, R.E.; Steiner, D.; Scheibel, T. Recombinant Spider Silk Bioinks for Continuous Protein Release by Encapsulated Producer Cells. Biomacromolecules 2022, 23, 4427–4437. [Google Scholar] [CrossRef]
- Neubauer, V.J.; Trossmann, V.T.; Jacobi, S.; Döbl, A.; Scheibel, T. Recombinant Spider Silk Gels Derived from Aqueous-Organic Solvents as Depots for Drugs. Angew. Chem. Int. Ed. Engl. 2021, 60, 11847–11851. [Google Scholar] [CrossRef]
- Kumari, S.; Bargel, H.; Anby, M.U.; Lafargue, D.; Scheibel, T. Recombinant Spider Silk Hydrogels for Sustained Release of Biologicals. ACS Biomater. Sci. Eng. 2018, 4, 1750–1759. [Google Scholar] [CrossRef] [PubMed]
- Lechner, A.; Trossmann, V.T.; Scheibel, T. Impact of Cell Loading of Recombinant Spider Silk Based Bioinks on Gelation and Printability. Macromol. Biosci. 2022, 22, e2100390. [Google Scholar] [CrossRef]
- Polykandriotis, E.; Tjiawi, J.; Euler, S.; Arkudas, A.; Hess, A.; Brune, K.; Greil, P.; Lametschwandtner, A.; Horch, R.E.; Kneser, U. The venous graft as an effector of early angiogenesis in a fibrin matrix. Microvasc. Res. 2008, 75, 25–33. [Google Scholar] [CrossRef] [PubMed]
- Weigand, A.; Horch, R.E.; Boos, A.M.; Beier, J.P.; Arkudas, A. The Arteriovenous Loop: Engineering of Axially Vascularized Tissue. Eur. Surg. Res. 2018, 59, 286–299. [Google Scholar] [CrossRef]
- Weigand, A.; Beier, J.P.; Arkudas, A.; Al-Abboodi, M.; Polykandriotis, E.; Horch, R.E.; Boos, A.M. The Arteriovenous (AV) Loop in a Small Animal Model to Study Angiogenesis and Vascularized Tissue Engineering. J. Vis. Exp. 2016, 54676. [Google Scholar] [CrossRef]
- Hatzopoulos, A.K.; Folkman, J.; Vasile, E.; Eiselen, G.K.; Rosenberg, R.D. Isolation and characterization of endothelial progenitor cells from mouse embryos. Development 1998, 125, 1457–1468. [Google Scholar] [CrossRef] [PubMed]
- Leibig, N.; Wietbrock, J.O.; Bigdeli, A.K.; Horch, R.E.; Kremer, T.; Kneser, U.; Schmidt, V.J. Flow-Induced Axial Vascularization: The Arteriovenous Loop in Angiogenesis and Tissue Engineering. Plast. Reconstr. Surg. 2016, 138, 825–835. [Google Scholar] [CrossRef]
- Utzinger, U.; Baggett, B.; Weiss, J.A.; Hoying, J.B.; Edgar, L.T. Large-scale time series microscopy of neovessel growth during angiogenesis. Angiogenesis 2015, 18, 219–232. [Google Scholar] [CrossRef] [PubMed]
- Zeplin, P.H.; Berninger, A.K.; Maksimovikj, N.C.; van Gelder, P.; Scheibel, T.; Walles, H. Improving the biocompatibility of silicone implants using spider silk coatings: Immunohistochemical analysis of capsule formation. Handchir. Mikrochir. Plast. Chir. 2014, 46, 336–341. [Google Scholar] [CrossRef] [PubMed]
- Schacht, K.; Jüngst, T.; Schweinlin, M.; Ewald, A.; Groll, J.; Scheibel, T. Biofabrication of cell-loaded 3D spider silk constructs. Angew. Chem. Int. Ed. Engl. 2015, 54, 2816–2820. [Google Scholar] [CrossRef]
- Arkudas, A.; Tjiawi, J.; Saumweber, A.; Beier, J.P.; Polykandriotis, E.; Bleiziffer, O.; Horch, R.E.; Kneser, U. Evaluation of blood vessel ingrowth in fibrin gel subject to type and concentration of growth factors. J. Cell Mol. Med. 2009, 13, 2864–2874. [Google Scholar] [CrossRef] [PubMed]
- Steiner, D.; Lingens, L.; Fischer, L.; Köhn, K.; Detsch, R.; Boccaccini, A.R.; Fey, T.; Greil, P.; Weis, C.; Beier, J.P.; et al. Encapsulation of Mesenchymal Stem Cells Improves Vascularization of Alginate-Based Scaffolds. Tissue Eng. Part A 2018, 24, 1320–1331. [Google Scholar] [CrossRef] [PubMed]
- Cassell, O.C.; Morrison, W.A.; Messina, A.; Penington, A.J.; Thompson, E.W.; Stevens, G.W.; Perera, J.M.; Kleinman, H.K.; Hurley, J.V.; Romeo, R.; et al. The influence of extracellular matrix on the generation of vascularized, engineered, transplantable tissue. Ann. N. Y. Acad. Sci. 2001, 944, 429–442. [Google Scholar] [CrossRef] [PubMed]
- Horch, R.E.; Beier, J.P.; Kneser, U.; Arkudas, A. Successful human long-term application of in situ bone tissue engineering. J. Cell Mol. Med. 2014, 18, 1478–1485. [Google Scholar] [CrossRef] [PubMed]






Disclaimer/Publisher’s Note: The statements, opinions and data contained in all publications are solely those of the individual author(s) and contributor(s) and not of MDPI and/or the editor(s). MDPI and/or the editor(s) disclaim responsibility for any injury to people or property resulting from any ideas, methods, instructions or products referred to in the content. |
© 2025 by the authors. Licensee MDPI, Basel, Switzerland. This article is an open access article distributed under the terms and conditions of the Creative Commons Attribution (CC BY) license (https://creativecommons.org/licenses/by/4.0/).
Share and Cite
Osterloh, J.; Heltmann-Meyer, S.; Trossmann, V.T.; Cai, A.; Kulicke, Y.; Terörde, K.; Sörgel, C.A.; Lang, I.; Wajant, H.; Scheibel, T.; et al. In Vivo Vascularization of Cell-Supplemented Spider Silk-Based Hydrogels in the Arteriovenous Loop Model. Biomimetics 2025, 10, 117. https://doi.org/10.3390/biomimetics10020117
Osterloh J, Heltmann-Meyer S, Trossmann VT, Cai A, Kulicke Y, Terörde K, Sörgel CA, Lang I, Wajant H, Scheibel T, et al. In Vivo Vascularization of Cell-Supplemented Spider Silk-Based Hydrogels in the Arteriovenous Loop Model. Biomimetics. 2025; 10(2):117. https://doi.org/10.3390/biomimetics10020117
Chicago/Turabian StyleOsterloh, Justus, Stefanie Heltmann-Meyer, Vanessa T. Trossmann, Aijia Cai, Yvonne Kulicke, Klara Terörde, Celena A. Sörgel, Isabell Lang, Harald Wajant, Thomas Scheibel, and et al. 2025. "In Vivo Vascularization of Cell-Supplemented Spider Silk-Based Hydrogels in the Arteriovenous Loop Model" Biomimetics 10, no. 2: 117. https://doi.org/10.3390/biomimetics10020117
APA StyleOsterloh, J., Heltmann-Meyer, S., Trossmann, V. T., Cai, A., Kulicke, Y., Terörde, K., Sörgel, C. A., Lang, I., Wajant, H., Scheibel, T., Fey, T., Steiner, D., Arkudas, A., & Horch, R. E. (2025). In Vivo Vascularization of Cell-Supplemented Spider Silk-Based Hydrogels in the Arteriovenous Loop Model. Biomimetics, 10(2), 117. https://doi.org/10.3390/biomimetics10020117

