Modifying Faba Bean Protein Concentrate Using Dry Heat to Increase Water Holding Capacity
Abstract
1. Introduction
2. Materials and Methods
2.1. Materials
2.2. Dry-Heating
2.3. Water-Holding Capacity and Overall Solubility
2.4. Light Microscopy
2.5. SDS-PAGE
2.6. Differential Scanning Calorimetry
2.7. Analysis of Protein–Protein Interaction
2.8. Hydrophobicity of Insoluble Protein
2.9. Determination of Reducing Sugars
2.10. Determination of Free Amino Groups
2.11. Statistical Analysis
3. Results & Discussion
3.1. Influence of Dry-Heating on Solubility and Water Holding
3.2. Light Microscopy
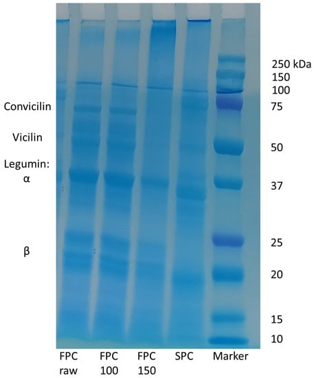
3.3. Molecular Weight of Protein Subunits
3.4. Nonenzymatic Browning Reactions
3.5. Protein–Protein Interactions
3.6. Denaturation of Protein
4. Conclusions
Author Contributions
Funding
Acknowledgments
Conflicts of Interest
Abbreviations
| BPB | Bromophenol Blue |
| DSC | Differential Scanning Calorimetry |
| DTT | Dithiotreitol |
| FPC | faba bean Protein Concentrate |
| HCL | Hydrochloride |
| m | mass |
| NaOH | Sodium Hydroxide |
| OPA | o-Phthaldialdehyde |
| PAHBAH | 4-Hydroxybenzhydrazide |
| SDS | Sodium Dodecyle Sulfate |
| SDS-PAGE | Sodium Dodecyl Sulfate Polyacrylamide Gel Electrophoresis |
| SPB | Sodium Phosphate Buffer |
| SPC | Soy Protein Concentrate |
| WHC | Water-Holding Capacity |
References
- Behrens, P.; Kiefte-de Jong, J.C.; de Koning, A.; Bosker, T.; Rodrigues, J.F.D.; Tukker, A. Evaluating the environmental impacts of dietary recommendations. Proc. Natl. Acad. Sci. USA 2017, 114, 13412–13417. [Google Scholar] [CrossRef] [PubMed]
- Wild, F.; Czerny, M.; Janssen, A.M.; Kole, A.P.; Zunabovic, M.; Domig, K.J. The evolution of a plant-based alternative to meat Abstract. Agro Food Ind. Hi Tech 2014, 25, 45–49. [Google Scholar]
- Day, L. Proteins from land plants - Potential resources for human nutrition and food security. Trends Food Sci. Technol. 2013, 32, 25–42. [Google Scholar] [CrossRef]
- Stoddard, F.; Hämäläinen, K. Towards the world’s earliest maturing faba beans. Grain Legum. 2011, 56, 9–10. [Google Scholar]
- Köpke, U.; Nemecek, T. Ecological services of faba bean. Field Crop. Res. 2010, 115, 217–233. [Google Scholar] [CrossRef]
- Multari, S.; Stewart, D.; Russell, W.R. Potential of Fava Bean as Future Protein Supply to Partially Replace Meat Intake in the Human Diet. Compr. Rev. Food Sci. Food Saf. 2015, 14, 511–522. [Google Scholar] [CrossRef]
- Vioque, J.; Alaiz, M.; Girón-Calle, J. Nutritional and functional properties of Vicia faba protein isolates and related fractions. Food Chem. 2012, 132, 67–72. [Google Scholar] [CrossRef]
- Schutyser, M.; Pelgrom, P.; van der Goot, A.J.; Boom, R.M. Dry fractionation for sustainable production of functional legume protein concentrates. Trends Food Sci. Technol. 2015, 45, 327–335. [Google Scholar] [CrossRef]
- Giménez, M.A.; Drago, S.R.; De Greef, D.; Gonzalez, R.J.; Lobo, M.O.; Samman, N.C. Rheological, functional and nutritional properties of wheat/broad bean (Vicia faba) flour blends for pasta formulation. Food Chem. 2012, 134, 200–206. [Google Scholar] [CrossRef]
- Petitot, M.; Boyer, L.; Minier, C.; Micard, V. Fortification of pasta with split pea and faba bean flours: Pasta processing and quality evaluation. Food Res. Int. 2010, 43, 634–641. [Google Scholar] [CrossRef]
- Chillo, S.; Laverse, J.; Falcone, P.M.; Del Nobile, M.A. Quality of spaghetti in base amaranthus wholemeal flour added with quinoa, broad bean and chick pea. J. Food Eng. 2008, 84, 101–107. [Google Scholar] [CrossRef]
- Borsuk, Y.; Arntfield, S.; Lukow, O.M.; Swallow, K.; Malcolmson, L. Incorporation of pulse flours of different particle size in relation to pita bread quality. J. Sci. Food Agric. 2012, 92, 2055–2061. [Google Scholar] [CrossRef] [PubMed]
- Bresciani, A.; Marti, A. Using Pulses in Baked Products: Lights, Shadows, and Potential Solutions. Foods 2019, 8, 451. [Google Scholar] [CrossRef] [PubMed]
- Serdaroglu, M.; Yildiz-Turp, G.; Abrodímov, K. Quality of low-fat meatballs containing Legume flours as extenders. Meat Sci. 2005, 70, 99–105. [Google Scholar] [CrossRef] [PubMed]
- Good Catch Foods Inc. 2019. Available online: https://goodcatchfoods.com/product-cat/frozen-entrees-apps/ (accessed on 21 July 2020).
- Kyriakopoulou, K.; Dekkers, B.; van der Goot, A.J. Plant-Based Meat Analogues; Elsevier Inc.: Amsterdam, The Netherlands, 2019; pp. 103–126. [Google Scholar] [CrossRef]
- Geerts, M.E.; Dekkers, B.L.; van der Padt, A.; van der Goot, A.J. Aqueous fractionation processes of soy protein for fibrous structure formation. Innov. Food Sci. Emerg. Technol. 2018, 45, 313–319. [Google Scholar] [CrossRef]
- Asgar, M.A.; Fazilah, A.; Huda, N.; Bhat, R.; Karim, A.A. Nonmeat protein alternatives as meat extenders and meat analogs. Compr. Rev. Food Sci. Food Saf. 2010, 9, 513–529. [Google Scholar] [CrossRef]
- Singh, P.; Kumar, R.; Sabapathy, S.N.; Bawa, A.S. Functional and edible uses of soy protein products. Compr. Rev. Food Sci. Food Saf. 2008, 7, 14–28. [Google Scholar] [CrossRef]
- Shand, P.J. Textural, water holding, and sensory properties of low-fat pork bologna with normal or waxy starch hull-less barley. J. Food Sci. 2000, 65, 101–107. [Google Scholar] [CrossRef]
- Palanisamy, M.; Töpfl, S.; Aganovic, K.; Berger, R.G. Influence of iota carrageenan addition on the properties of soya protein meat analogues. LWT-Food Sci. Technol. 2018, 87, 546–552. [Google Scholar] [CrossRef]
- Schwenke, K.D.; Prahl, L.; Rauschal, E.; Gwiazda, S.; Dabrowski, K.; Rutkowski, A. Functional properties of plant proteins. Part 2. Selected physicochemical properties of native and denatured protein isolates from faba beans, soybeans, and sunflower seed. Food/Nahrung 1981, 25, 59–69. [Google Scholar] [CrossRef]
- Abdel-Aal, E.M.; Shehata, A.A.; El-Mahdy, A.R.; Youssef, M.M. Extractability and functional properties of some legume proteins isolated by three different methods. J. Sci. Food Agric. 1986, 37, 553–559. [Google Scholar] [CrossRef]
- Vogelsang-O’Dwyer, M.; Bez, J.; Petersen, I.L.; Joehnke, M.S.; Sørensen, J.C.; Detzel, A.; Busch, M.; Krueger, M.; O’Mahony, J.A.; Arendt, E.K.; et al. Comparison of Faba Bean Protein Ingredients Produced Using Dry Fractionation and Isoelectric Precipitation: Techno-Functional, Nutritional and Environmental Performance. Foods 2020, 9, 322. [Google Scholar] [CrossRef] [PubMed]
- Otegui, I.; Fernández-Quintela, A.; Diego, A.D.; Cid, C.; Macarulla, M.T.; Partearroyo, M.A. Properties of spray-dried and freeze-dried faba bean protein concentrates. Int. J. Food Sci. Technol. 2007, 32, 439–443. [Google Scholar] [CrossRef]
- Wood, J.A. Texture, processing and organoleptic properties of chickpea-fortified spaghetti with insights to the underlying mechanisms of traditional durum pasta quality. J. Cereal Sci. 2009, 49, 128–133. [Google Scholar] [CrossRef]
- Felix, M.; Lopez-Osorio, A.; Romero, A.; Guerrero, A. Faba bean protein flour obtained by densification: A sustainable method to develop protein concentrates with food applications. LWT 2018, 93, 563–569. [Google Scholar] [CrossRef]
- Holt, N.W.; Sosulski, F.W. Amino Acid Composition and Nitrogen-to-Preotein Factors For Grain Legumes. Can. J. Plant Sci. 1980, 60, 1327–1331. [Google Scholar] [CrossRef]
- Mariotti, F.; Tomé, D.; Mirand, P.P. Converting nitrogen into protein—Beyond 6.25 and Jones’ factors. Crit. Rev. Food Sci. Nutr. 2008, 48, 177–184. [Google Scholar] [CrossRef]
- Pietsch, V.L.; Bühler, J.M.; Karbstein, H.P.; Emin, M.A. High moisture extrusion of soy protein concentrate: Influence of thermomechanical treatment on protein-protein interactions and rheological properties. J. Food Eng. 2019, 251, 11–18. [Google Scholar] [CrossRef]
- Chelh, I.; Gatellier, P.; Santé-Lhoutellier, V. Technical note: A simplified procedure for myofibril hydrophobicity determination. Meat Sci. 2006, 74, 681–683. [Google Scholar] [CrossRef]
- Lever, M. A New Reaction for Colorimetric Determination of Carbohydrates. Anal. Biochem. 1972, 47, 273–279. [Google Scholar] [CrossRef]
- Nielsen, P.M.; Petersen, D.; Dambmann, C. Improved method for determining food protein degree of hydrolysis. J. Food Sci. 2001, 66, 642–646. [Google Scholar] [CrossRef]
- Warsame, A.O.; O’Sullivan, D.M.; Tosi, P. Seed Storage Proteins of Faba Bean (Vicia faba L.): Current Status and Prospects for Genetic Improvement. J. Agric. Food Chem. 2018, 66, 12617–12626. [Google Scholar] [CrossRef]
- Hidayat, M.; Sujatno, M.; Sutadipura, N.; Setiawan; Faried, A. β-Conglycinin Content Obtained from Two Soybean Varieties Using Different Preparation and Extraction Methods. HAYATI J. Biosci. 2011, 18, 37–42. [Google Scholar] [CrossRef]
- Kato, Y.; Matsuda, T.; Kato, N.; Watanabe, K.; Nakamura, R. Browning and Insolubilization of Ovalbumin by the Maillard Reaction with Some Aldohexoses. J. Agric. Food Chem. 1986, 34, 351–355. [Google Scholar] [CrossRef]
- Sato, R.; Sawabe, T.; Hayashi, K.; Kishimura, H.; Saeki, H. Preparation of Neoglycoprotein from Carp Myofibrillar Protein and Alginate Oligosaccharide: Improved Solubility in Low Ionic Strength Medium. J. Agric. Food Chem. 2002, 48, 17–21. [Google Scholar] [CrossRef] [PubMed]
- Tanabe, M.; Saeki, H. Effect of Maillard reaction with glucose and ribose on solubility at low ionic strength and filament-forming ability of fish myosin. J. Agric. Food Chem. 2001, 49, 3403–3407. [Google Scholar] [CrossRef]
- USDA. National Nutrient Database for Standard References, Full Report (All Nutrients) 16052, Broadbeans (Fava Beans), Mature Seeds, Raw. 2019. Available online: https://catalog.data.gov/dataset/usda-national-nutrient-database-for-standard-reference-legacy-release (accessed on 21 July 2020).
- Lea, C.H.; Hannan, R.S. Studies of the reaction between proteins and reducing sugars in the ’dry’ state II. Further observations on the formation of the casein-glucose complex. BBA Biochim. Biophys. Acta 1950, 4, 518–531. [Google Scholar] [CrossRef]
- Schwartz, H.M.; Lea, C.H. The reaction between proteins and reducing sugars in the ’Dry’ state. Relative reactivity of the α- and ϵ-amino groups of insulin. Biochem. J. 1951, 50, 713–716. [Google Scholar] [CrossRef]
- Wong, C.W.; Wijayanti, H.B.; Bhandari, B.R. Maillard Reaction in Limited Moisture and Low Water Activity Environment. In Water Stress in Biological, Chemical, Pharmaceutical and Food Systems; Food Engineering Series; Springer: New York, NY, USA, 2015; pp. 41–63. [Google Scholar] [CrossRef]
- Zheng, B.A.; Matsumura, Y.; Mori, T. Conformational Changes and Surface Properties of Legumin from Broad Beans in Relation to Its Thermal Aggregation. Biosci. Biotechnol. Biochem. 2009, 57, 1366–1368. [Google Scholar] [CrossRef][Green Version]
- Shimada, K.; Claude Cheftel, J. Determination of Sulfhydryl Groups and Disulfide Bonds in Heat-Induced Gels of Soy Protein Isolate. J. Agric. Food Chem. 1988, 36, 147–153. [Google Scholar] [CrossRef]
- Pietsch, V.L.; Emin, M.A.; Schuchmann, H.P. Process conditions influencing wheat gluten polymerization during high moisture extrusion of meat analog products. J. Food Eng. 2016, 198, 28–35. [Google Scholar] [CrossRef]
- Shimada, K.; Claude Cheftel, J. Texture characteristics, protein solubility, and sulfhydryl group/disulfide bond contents of heat-induced gels of whey protein isolate. J. Agric. Food Chem. 1988, 36, 1018–1025. [Google Scholar] [CrossRef]
- Chen, F.L.; Wei, Y.M.; Zhang, B. Chemical cross-linking and molecular aggregation of soybean protein during extrusion cooking at low and high moisture content. LWT-Food Sci. Technol. 2011, 44, 957–962. [Google Scholar] [CrossRef]
- Liu, K.S.; Hsieh, F.H. Protein-protein interactions in high moisture-extruded meat analogs and heat-induced soy protein gels. JAOCS J. Am. Oil Chem. Soc. 2007, 84, 741–748. [Google Scholar] [CrossRef]
- USDA. National Nutrient Database for Standard References, Full Report (All Nutrients) 16121, Soy Protein Concentrate. 2018. Available online: https://catalog.data.gov/dataset/usda-national-nutrient-database-for-standard-reference-legacy-release (accessed on 21 July 2020).
- Meng, G.T.; Ma, C.Y. Thermal properties of Phaseolus angularis (red bean) globulin. Food Chem. 2001, 73, 453–460. [Google Scholar] [CrossRef]
- Jackson, P.; Boulter, D.; Thurman, D.A. A Comparison of Some Properties of Vicilin and Legumin Isolated From Seeds of Pisum sativum, Vicia faba and Cicer arietinum. New Phytol. 1969, 68, 25–33. [Google Scholar] [CrossRef]
- UniProtKB. Vicilin. Available online: https://www.uniprot.org/uniprot/P08438 (accessed on 21 July 2020).
- Ishimoto, M.; Urade, R.; Matsusaki, M.; Nishizawa, K.; Iwasaki, K.; Wadahama, H.; Arisaka, F.; Takagi, K. Accumulation of β-Conglycinin in Soybean Cotyledon through the Formation of Disulfide Bonds between α’- and α-Subunits. Plant Physiol. 2012, 158, 1395–1405. [Google Scholar] [CrossRef]
- UniProtKB. Beta-Conglycinin Alpha1 Subunit. Available online: https://www.uniprot.org/uniprot/P0DO16 (accessed on 21 July 2020).
- Utsumi, S.; Yokoyama, Z.I.; Mori, T. Comparative studies of subunit compositions of legumins from various cultivars of vida faba l. Seeds. Agric. Biol. Chem. 1980, 44, 595–601. [Google Scholar] [CrossRef]
- Wright, D.J.; Boulter, D. Purification and subunit structure of legumin of Vicia faba L. (broad bean). Biochem. J. 1974, 141, 413–418. [Google Scholar] [CrossRef]
- Badley, R.A.; Atkinson, D.; Hauser, H.; Oldani, D.; Green, J.P.; Stubbs, J.M. The structure, physical and chemical properties of the soy bean protein glycinin. BBA-Protein Struct. 1975, 412, 214–228. [Google Scholar] [CrossRef]
- Arntfield, S.; Murray, E. The Influence of Processing Parameters on Food Protein Functionality I. Differential Scanning Calorimetry as an Indicator of Protein Denaturation. Can. Inst. Food Sci. Technol. J. 1981, 14, 289–294. [Google Scholar] [CrossRef]
- Shevkani, K.; Singh, N.; Kaur, A.; Rana, J.C. Structural and functional characterization of kidney bean and field pea protein isolates: A comparative study. Food Hydrocoll. 2015, 43, 679–689. [Google Scholar] [CrossRef]
- Sosulski, F.W.; Hoover, R.; Tyler, R.T.; Murray, E.D.; Arntfield, S.D. Differential Scanning Calorimetry of Air-Classified Starch and Protein Fractions from Eight Legume Species. Starch-Stärke 1985, 37, 257–262. [Google Scholar] [CrossRef]
- Kudre, T.G.; Benjakul, S.; Kishimura, H. Comparative study on chemical compositions and properties of protein isolates from mung bean, black bean and bambara groundnut. J. Sci. Food Agric. 2013, 93, 2429–2436. [Google Scholar] [CrossRef] [PubMed]
- Shevkani, K.; Singh, N.; Rana, J.C.; Kaur, A. Relationship between physicochemical and functional properties of amaranth (Amaranthus hypochondriacus) protein isolates. Int. J. Food Sci. Technol. 2014, 49, 541–550. [Google Scholar] [CrossRef]








| Td/°C | +/−/°C | ΔH/J g−1 | +/−J g−1 | |
|---|---|---|---|---|
| FPC raw | 93.2 | 0.2 | 0.92 | 0.05 |
| FPC100 | 93.6 | 0.5 | 0.96 | 0.03 |
| FPC150 | 88.8 | 0.6 | 0.32 | 0.08 |
© 2020 by the authors. Licensee MDPI, Basel, Switzerland. This article is an open access article distributed under the terms and conditions of the Creative Commons Attribution (CC BY) license (http://creativecommons.org/licenses/by/4.0/).
Share and Cite
Bühler, J.M.; Dekkers, B.L.; Bruins, M.E.; van der Goot, A.J. Modifying Faba Bean Protein Concentrate Using Dry Heat to Increase Water Holding Capacity. Foods 2020, 9, 1077. https://doi.org/10.3390/foods9081077
Bühler JM, Dekkers BL, Bruins ME, van der Goot AJ. Modifying Faba Bean Protein Concentrate Using Dry Heat to Increase Water Holding Capacity. Foods. 2020; 9(8):1077. https://doi.org/10.3390/foods9081077
Chicago/Turabian StyleBühler, Jan M., Birgit L. Dekkers, Marieke E. Bruins, and Atze Jan van der Goot. 2020. "Modifying Faba Bean Protein Concentrate Using Dry Heat to Increase Water Holding Capacity" Foods 9, no. 8: 1077. https://doi.org/10.3390/foods9081077
APA StyleBühler, J. M., Dekkers, B. L., Bruins, M. E., & van der Goot, A. J. (2020). Modifying Faba Bean Protein Concentrate Using Dry Heat to Increase Water Holding Capacity. Foods, 9(8), 1077. https://doi.org/10.3390/foods9081077

