Immunomodulatory Effect of Isocaloric Diets with Different Protein Contents on Young Adult Sprague Dawley Rats
Abstract
1. Introduction
2. Materials and Methods
2.1. Animal Use and Care
2.2. Experimental Diets and Design
2.3. Recording and Sample Collection
2.4. Chemical Analysis
2.5. Western Blotting
2.6. Immunocytometric Analysis
2.7. Statistical Analysis
3. Results
3.1. Growth Performance and Organ Morphology Development
3.2. Colonic Mucosal Inflammatory Cytokines
3.3. Serum DAO and D-Lactate Concentrations and Intestinal Morphology
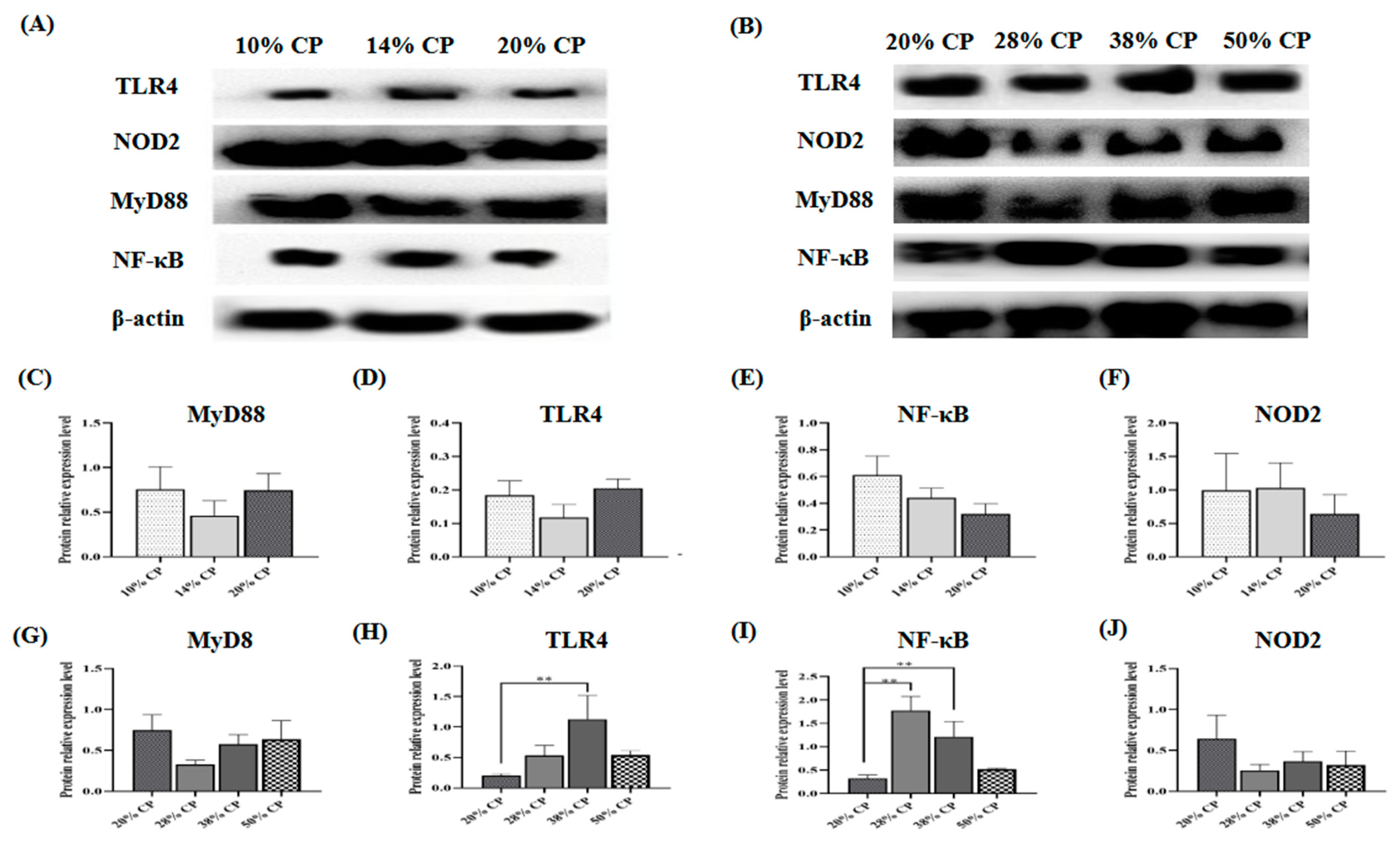
3.4. The Protein Expression of TLR4/NF-κB Signaling Pathway
3.5. Peripheral Blood Cell Counts
3.6. Lymphocyte Subsets in Peripheral Blood and Colon Tissue
4. Discussion
5. Conclusions
Supplementary Materials
Author Contributions
Funding
Institutional Review Board Statement
Data Availability Statement
Acknowledgments
Conflicts of Interest
References
- Nikolich-Žugich, J. The twilight of immunity: Emerging concepts in aging of the immune system. Nat. Immunol. 2018, 19, 110–119. [Google Scholar] [CrossRef] [PubMed]
- Fu, Y.J.; Xu, B.; Huang, S.W.; Luo, X.; Deng, X.L.; Luo, S.; Liu, C.; Wang, Q.; Chen, J.Y.; Zhou, L. Baicalin prevents LPS-induced activation of TLR4/NF-κB p65 pathway and inflammation in mice via inhibiting the expression of CD14. Acta Pharmacol. Sin. 2021, 42, 188–196. [Google Scholar] [CrossRef] [PubMed]
- Mowat, A.M.; Agace, W.W. Regional specialization within the intestinal immune system. Nat. Rev. Immunol. 2014, 14, 10667–10685. [Google Scholar] [CrossRef] [PubMed]
- Prinz, M.; Priller, J. The role of peripheral immune cells in the CNS in steady state and disease. Nat. Neurosci. 2017, 20, 2136–2144. [Google Scholar] [CrossRef] [PubMed]
- Mexhitaj, I.; Nyirenda, M.H.; Li, R.; O’Mahony, J.; Rezk, A.; Rozenberg, A.; Moore, C.S.; Johnson, T.; Sadovnick, D.; Collins, D.L.; et al. Abnormal effector and regulatory T cell subsets in paediatric-onset multiple sclerosis. Brain 2019, 142, 3617–3632. [Google Scholar] [CrossRef]
- Zhang, D.; Jin, W.; Wu, R.; Li, J.; Park, S.A.; Tu, E.; Zanvit, P.; Xu, J.; Liu, O.; Cain, A.; et al. High glucose intake exacerbates autoimmunity through reactive-oxygen-species-mediated TGF-β cytokine activation. Immunity 2019, 51, 4671–4681.e5. [Google Scholar] [CrossRef]
- Macfarlane, G.T.; Macfarlane, S. Fermentation in the human large intestine: Its physiologic consequences and the potential contribution of prebiotics. J. Clin. Gastroenterol. 2011, 45, 120S–127S. [Google Scholar] [CrossRef]
- Kamdar, K.; Johnson, A.M.F.; Chac, D.; Myers, K.; Kulur, V.; Truevillian, K.; DePaolo, R.W. Innate recognition of the microbiota by TLR1 promotes epithelial homeostasis and prevents chronic inflammation. J. Immunol. 2018, 201, 1230–1242. [Google Scholar] [CrossRef]
- Magkos, F. Protein-Rich Diets for Weight Loss Maintenance. Curr. Obes. Rep. 2020, 9, 3213–3218. [Google Scholar] [CrossRef]
- Pezeshki, A.; Chelikani, P.K. Low Protein Diets and Energy Balance: Mechanisms of Action on Energy Intake and Expenditure. Front. Nutr. 2021, 8, 655833. [Google Scholar] [CrossRef]
- Lai, S.; Molfino, A.; Testorio, M.; Perrotta, A.M.; Currado, A.; Pintus, G.; Pietrucci, D.; Unida, V.; La Rocca, D.; Biocca, S.; et al. Effect of low-protein diet and inulin on microbiota and clinical parameters in patients with chronic kidney disease. Nutrients 2019, 11, 123006. [Google Scholar] [CrossRef]
- Yamada, S.; Tokumoto, M.; Tatsumoto, N.; Tsuruya, K.; Kitazono, T.; Ooboshi, H. Very low protein diet enhances inflammation, malnutrition, and vascular calcification in uremic rats. Life Sci. 2016, 146, 117–123. [Google Scholar] [CrossRef]
- Markova, M.; Koelman, L.; Hornemann, S.; Pivovarova, O.; Sucher, S.; Machann, J.; Rudovich, N.; Thomann, R.; Schneeweiss, R.; Rohn, S.; et al. Effects of plant and animal high protein diets on immune-inflammatory biomarkers: A 6-week intervention trial. Clin. Nutr. 2020, 39, 3862–3869. [Google Scholar] [CrossRef]
- Toden, S.; Bird, A.R.; Topping, D.L.; Conlon, M.A. Resistant starch attenuates colonic DNA damage induced by higher dietary protein in rats. Nutr. Cancer 2005, 51, 145–151. [Google Scholar] [CrossRef]
- Association of Official Analytical Chemists. Official Methods of Analysis of the Association of Analytical Chemists; Association of Analytical Chemists: Rockville, MD, USA, 2005. [Google Scholar]
- Johnstone, A.M. Safety and efficacy of high-protein diets for weight loss. Nutr. Soc. 2012, 71, 2339–2349. [Google Scholar] [CrossRef]
- Sarr, O.; Gondret, F.; Jamin, A.; Le Huërou-Luron, I.; Louveau, I. A high-protein neonatal formula induces a temporary reduction of adiposity and changes later adipocyte physiology. Am. J. Physiol. Regul. Integr. Comp. Physiol. 2011, 300, 2387R–2397R. [Google Scholar] [CrossRef]
- Anderson, G.H.; Moore, S.E. Dietary proteins in the regulation of food intake and body weight in humans. J. Nutr. 2004, 134, 4974S–4979S. [Google Scholar] [CrossRef]
- Ferrando-Martínez, S.; Ruiz-Mateos, E.; Dudakov, J.A.; Velardi, E.; Grillari, J.; Kreil, D.P.; Muñoz-Fernandez, M.Á.; van den Brink, M.R.; Leal, M. WNT signaling suppression in the senescent human thymus. J. Gerontol. A Biol. Sci. Med. Sci. 2015, 70, 3273–3281. [Google Scholar] [CrossRef]
- Lewis, S.M.; Williams, A.; Eisenbarth, S.C. Structure and function of the immune system in the spleen. Sci. Immunol. 2019, 4, 33eaau6085. [Google Scholar] [CrossRef]
- Good, R.A.; Fernandes, G.; Yunis, E.J.; Cooper, W.C.; Jose, D.C.; Kramer, T.R.; Hansen, M.A. Nutritional deficiency, immunologic function, and disease. Am. J. Pathol. 1976, 84, 3599–3614. [Google Scholar]
- Tajik, N.; Frech, M.; Schulz, O.; Schälter, F.; Lucas, S.; Azizov, V.; Dürholz, K.; Steffen, F.; Omata, Y.; Rings, A.; et al. Targeting zonulin and intestinal epithelial barrier function to prevent onset of arthritis. Nat. Commun. 2020, 11, 11995. [Google Scholar] [CrossRef] [PubMed]
- Gludovacz, E.; Maresch, D.; de Carvalho, L.L.; Puxbaum, V.; Baier, L.J.; Sützl, L.; Guédez, G.; Grünwald-Gruber, C.; Ulm, B.; Pils, S.; et al. Oligomannosidic glycans at Asn-110 are essential for secretion of human diamine oxidase. J. Biol. Chem. 2018, 293, 31070–31087. [Google Scholar] [CrossRef] [PubMed]
- Christopher, M.M.; Broussard, J.D.; Fallin, C.W.; Drost, N.J.; Peterson, M.E. Increased serum D-lactate associated with diabetic ketoacidosis. Metabolism 1995, 44, 3287–3290. [Google Scholar] [CrossRef] [PubMed]
- Fusco, A.; Savio, V.; Donniacuo, M.; Perfetto, B.; Donnarumma, G. Antimicrobial peptides human beta-defensin-2 and -3 protect the gut during Candida albicans infections enhancing the intestinal barrier integrity: In vitro study. Front. Cell Infect. Microbiol. 2021, 11, 66900. [Google Scholar] [CrossRef]
- Lee, H.; Lee, K. Dimerized translationally controlled tumor protein increases interleukin-8 expression through MAPK and NF-κB pathways in a human bronchial epithelial cell line. Cell Biosci. 2018, 8, 13. [Google Scholar] [CrossRef]
- Tang, Y.; Zhu, Y.; He, H.; Peng, Y.; Hu, P.; Wu, J.; Sun, W.; Liu, P.; Xiao, Y.; Xu, X.; et al. Gut dysbiosis and intestinal barrier dysfunction promotes IgA nephropathy by increasing the production of Gd-IgA1. Front. Med. 2022, 9, 944027. [Google Scholar] [CrossRef]
- Rezayat, S.M.; Dehpour, A.R.; Motamed, S.M.; Yazdanparast, M.; Chamanara, M.; Sahebgharani, M.; Rashidian, A. Foeniculum vulgare essential oil ameliorates acetic acid-induced colitis in rats through the inhibition of NF-κB pathway. Inflammopharmacology 2018, 26, 3851–3859. [Google Scholar] [CrossRef]
- Yu, C.; Wang, D.; Yang, Z.; Wang, T. Pharmacological effects of polyphenol phytochemicals on the intestinal inflammation via targeting TLR4/NF-κB signaling pathway. Int. J. Mol. Sci. 2022, 23, 136939. [Google Scholar] [CrossRef]
- Cario, E. Toll-like receptors in inflammatory bowel diseases: A decade later. Inflamm. Bowel Dis. 2010, 16, 91583–91597. [Google Scholar] [CrossRef]
- Liu, X.; Huh, J.Y.; Gong, H.; Chamberland, J.P.; Brinkoetter, M.T.; Hamnvik, O.P.; Mantzoros, C.S. Lack of mature lymphocytes results in obese but metabolically healthy mice when fed a high-fat diet. Int. J. Obes. 2015, 39, 101548–101557. [Google Scholar] [CrossRef]
- Calco, G.N.; Fryer, A.D.; Nie, Z. Unraveling the connection between eosinophils and obesity. J. Leukoc. Biol. 2020, 108, 1123–1128. [Google Scholar] [CrossRef]
- Van den Berg, S.M.; van Dam, A.D.; Kusters, P.J.H.; Beckers, L.; den Toom, M.; van der Velden, S.; Van den Bossche, J.; van Die, I.; Boon, M.R.; Rensen, P.C.N.; et al. Helminth antigens counteract a rapid high-fat diet-induced decrease in adipose tissue eosinophils. J. Mol. Endocrinol. 2017, 59, 3245–3255. [Google Scholar] [CrossRef]
- Hegazy, A.N.; West, N.R.; Stubbington, M.J.T.; Wendt, E.; Suijker, K.I.M.; Datsi, A.; This, S.; Danne, C.; Campion, S.; Duncan, S.H.; et al. Circulating and tissue-resident CD4+ T cells with reactivity to intestinal microbiota are abundant in healthy individuals and function is altered during inflammation. Gastroenterology 2017, 153, 51320–51337. [Google Scholar] [CrossRef]
- Sonnenberg, G.F.; Fouser, L.A.; Artis, D. Border patrol: Regulation of immunity, inflammation and tissue homeostasis at barrier surfaces by IL-22. Nat. Immunol. 2011, 12, 5383–5390. [Google Scholar] [CrossRef]
- Blaschitz, C.; Raffatellu, M. Th17 cytokines and the gut mucosal barrier. J. Clin. Immunol. 2010, 30, 2196–2203. [Google Scholar] [CrossRef]
- Bruckner, R.S.; Spalinger, M.R.; Barnhoorn, M.C.; Feakins, R.; Fuerst, A.; Jehle, E.C.; Rickenbacher, A.; Turina, M.; Niechcial, A.; Lang, S.; et al. Contribution of CD3+CD8− and CD3+CD8+ T cells to TNF-α overexpression in crohn disease-associated Perianal Fistulas and induction of epithelial-mesenchymal transition in HT-29 Cells. Inflamm. Bowel Dis. 2021, 27, 4538–4549. [Google Scholar] [CrossRef]
- Sheridan, P.A.; Paich, H.A.; Handy, J.; Karlsson, E.A.; Hudgens, M.G.; Sammon, A.B.; Holland, L.A.; Weir, S.; Noah, T.L.; Beck, M.A. Obesity is associated with impaired immune response to influenza vaccination in humans. Int. J. Obes. 2012, 36, 81072–81077. [Google Scholar] [CrossRef]
- Jin, W.; Luo, Z.; Yang, H. Peripheral B cell subsets in autoimmune diseases: Clinical implications and effects of B cell-targeted therapies. J. Immunol. Res. 2020, 2020, 9518137. [Google Scholar] [CrossRef]
- Deng, C.; Xiang, Y.; Tan, T.; Ren, Z.; Cao, C.; Huang, G.; Wen, L.; Zhou, Z. Altered peripheral B-lymphocyte subsets in type 1 diabetes and latent autoimmune diabetes in adults. Diabetes Care 2016, 39, 3434–3440. [Google Scholar] [CrossRef]




| Items | Treatments | |||||
|---|---|---|---|---|---|---|
| 10% CP | 14% CP | 20% CP | 28% CP | 38% CP | 50% CP | |
| Ingredients (%) | ||||||
| Corn | 65.35 | 62.64 | 57.36 | 47.80 | 34.15 | 17.81 | 
| Casein | 1.90 | 6.90 | 14.28 | 24.31 | 36.94 | 52.13 | 
| Soybean oil | 8.70 | 7.79 | 6.55 | 5.71 | 5.22 | 4.61 | 
| Wheat bran | 9.00 | 8.70 | 9.00 | 9.60 | 10.50 | 11.55 | 
| Alfalfa meal | 6.00 | 5.80 | 6.00 | 6.40 | 7.00 | 7.70 | 
| Limestone | 0.70 | 0.68 | 0.61 | 0.53 | 0.43 | 0.29 | 
| Dicalcium phosphate | 3.30 | 3.04 | 3.10 | 3.20 | 3.30 | 3.46 | 
| Salt | 0.20 | 0.20 | 0.20 | 0.20 | 0.20 | 0.20 | 
| Choline chloride | 0.25 | 0.25 | 0.25 | 0.25 | 0.25 | 0.25 | 
| Met | 0.41 | 0.28 | 0.09 | 0 | 0 | 0 | 
| L-Lys hydrochloride | 1.16 | 0.76 | 0.15 | 0 | 0 | 0 | 
| Thr | 0.53 | 0.37 | 0.10 | 0 | 0 | 0 | 
| Trp | 0.14 | 0.08 | 0 | 0 | 0 | 0 | 
| Arg | 0.66 | 0.52 | 0.31 | 0 | 0 | 0 | 
| Premix 1 | 2.0 | 2.0 | 2.0 | 2.0 | 2.0 | 2.0 | 
| Total | 100 | 100 | 100 | 100 | 100 | 100 | 
| Composition | ||||||
| ME 2 (Kcal/kg) | 3572 | 3572 | 3572 | 3572 | 3572 | 3572 | 
| CP 3 | 11.9 | 14.0 | 20.4 | 27.8 | 38.1 | 48.5 | 
| CF 3 | 3.12 | 3.08 | 3.08 | 3.10 | 3.07 | 3.06 | 
| Items | Treatments | SEM | p-Value | |||||
|---|---|---|---|---|---|---|---|---|
| 10% CP | 14% CP | Control | 28% CP | 38% CP | 50% CP | |||
| Intestinal damage markers | ||||||||
| DAO (μmol/L) | 1.63 ab | 1.57 ab | 1.27 b | 1.76 a | 1.68 a | 1.90 a | 1.02 | 0.005 | 
| D-lactate (μmol/L) | 3.67 b | 3.72 b | 4.56 ab | 4.83 a | 4.38 ab | 4.82 a | 0.26 | 0.009 | 
| Colonic cytokines | ||||||||
| IgG (μmol/L) | 2.34 b | 2.21 b | 1.88 c | 2.92 a | 2.29 b | 2.38 b | 0.11 | <0.001 | 
| IgM (μmol/L) | 291 bc | 292 bc | 280 c | 367 a | 308 ab | 338 ab | 13.8 | <0.001 | 
| sIgA (μg/mL) | 4.52 b | 4.18 bc | 3.54 c | 5.19 a | 3.79 bc | 4.08 bc | 0.23 | <0.001 | 
| IL-6 (pg/mL) | 33.8 ab | 31.8 b | 30.7 b | 38.8 a | 32.5 b | 35.0 ab | 1.47 | 0.007 | 
| IL-8 (pg/mL) | 37.1 bc | 31.8 bc | 30.6 c | 42.3 a | 32.5 bc | 38.3 b | 1.44 | <0.001 | 
| IL-10 (pg/mL) | 11.3 | 12.0 | 11.0 | 12.9 | 11.1 | 11.7 | 0.65 | 0.422 | 
| TNF-α (pg/mL) | 56.5 b | 58.3 b | 55.0 b | 62.1 ab | 53.0 b | 65.4 a | 2.48 | 0.021 | 
| TGF-β (pg/mL) | 45.2 ab | 45.1 ab | 42.6 b | 48.6 ab | 40.2 b | 50.5 a | 2.09 | 0.010 | 
| Items | Groups | SEM | p-Value | |||||
|---|---|---|---|---|---|---|---|---|
| 10% CP | 14% CP | Control | 28% CP | 38% CP | 50% CP | |||
| ileum | ||||||||
| villus height (μm) | 326 | 277 | 359 | 316 | 332 | 387 | 31.2 | 0.45 | 
| crypt depth (μm) | 280 | 253 | 329 | 257 | 267 | 257 | 31.9 | 0.43 | 
| villus height/crypt depth | 1.16 | 1.11 | 1.11 | 1.24 | 1.25 | 1.21 | 0.05 | 0.15 | 
| goblet cells number | 36.7 | 20.8 | 21.7 | 23.6 | 27.3 | 30.3 | 4.08 | 0.08 | 
| lymphocytes number | 57.0 ab | 76.2 a | 39.8 b | 45.0 b | 46.3 b | 36.3 b | 7.29 | <0.01 | 
| colon | ||||||||
| crypt depth (μm) | 109 a | 88.6 ab | 87.8 ab | 89.9 ab | 74.5 b | 83.5 ab | 6.21 | 0.02 | 
| goblet cells number | 40.2 | 44.2 | 40.8 | 44.3 | 31.0 | 37.2 | 3.12 | 0.66 | 
| lymphocytes number | 10.3 | 7.83 | 3.33 | 10.8 | 6.67 | 6.17 | 6.20 | 0.56 | 
| Parameters | Treatments | SEM | p-Value | |||||
|---|---|---|---|---|---|---|---|---|
| 10% CP | 14% CP | Control | 28% CP | 38% CP | 50% CP | |||
| Peripheral blood cell counts | ||||||||
| WBC (×109/L) | 12.5 b | 14.4 a | 10.3 b | 12.3 b | 11.0 b | 11.6 b | 0.658 | <0.001 | 
| NEUT (×109/L) | 1.91 | 2.36 | 1.49 | 1.92 | 1.59 | 1.69 | 0.247 | 0.226 | 
| BASO (×109/L) | 0.037 | 0.050 | 0.042 | 0.048 | 0.03 | 0.033 | <0.01 | 0.146 | 
| LYMPH (×109/L) | 10.1 ab | 11.5 a | 8.38 b | 10.32 ab | 9.58 ab | 9.13 ab | 0.596 | 0.02 | 
| MONO (×109/L) | 0.40 | 0.43 | 0.42 | 0.48 | 0.43 | 0.32 | 0.076 | 0.905 | 
| EO (×109/L) | 0.028 | 0.045 | 0.048 | 0.05 | 0.048 | 0.048 | <0.01 | 0.074 | 
| Peripheral blood cellpercentages | ||||||||
| NEUT (%) | 15.9 | 18.0 | 13.8 | 15.7 | 15.2 | 14.6 | 1.11 | 0.116 | 
| BASO (%) | 0.28 | 0.35 | 0.32 | 0.33 | 0.25 | 0.28 | 0.04 | 0.478 | 
| LYMPH (%) | 82.3 | 78.3 | 83.1 | 82.2 | 83.4 | 81.8 | 1.44 | 0.352 | 
| MONO (%) | 3.8 | 3.2 | 4.0 | 3.8 | 4.3 | 0.43 | 0.53 | 0.536 | 
| EO (%) | 0.22 b | 0.32 ab | 0.43 a | 0.42 a | 0.48 a | 0.42 a | 0.04 | 0.003 | 
| Disclaimer/Publisher’s Note: The statements, opinions and data contained in all publications are solely those of the individual author(s) and contributor(s) and not of MDPI and/or the editor(s). MDPI and/or the editor(s) disclaim responsibility for any injury to people or property resulting from any ideas, methods, instructions or products referred to in the content. | 
© 2023 by the authors. Licensee MDPI, Basel, Switzerland. This article is an open access article distributed under the terms and conditions of the Creative Commons Attribution (CC BY) license (https://creativecommons.org/licenses/by/4.0/).
Share and Cite
Wu, L.; An, R.; Xi, Y.; Tang, Z.; Li, T.; Xu, Y.; Pang, J.; Peng, X.; Sun, W.; Sun, Z. Immunomodulatory Effect of Isocaloric Diets with Different Protein Contents on Young Adult Sprague Dawley Rats. Foods 2023, 12, 1597. https://doi.org/10.3390/foods12081597
Wu L, An R, Xi Y, Tang Z, Li T, Xu Y, Pang J, Peng X, Sun W, Sun Z. Immunomodulatory Effect of Isocaloric Diets with Different Protein Contents on Young Adult Sprague Dawley Rats. Foods. 2023; 12(8):1597. https://doi.org/10.3390/foods12081597
Chicago/Turabian StyleWu, Liuting, Rui An, Yuyue Xi, Zhiru Tang, Tiejun Li, Yetong Xu, Jiaman Pang, Xie Peng, Weizhong Sun, and Zhihong Sun. 2023. "Immunomodulatory Effect of Isocaloric Diets with Different Protein Contents on Young Adult Sprague Dawley Rats" Foods 12, no. 8: 1597. https://doi.org/10.3390/foods12081597
APA StyleWu, L., An, R., Xi, Y., Tang, Z., Li, T., Xu, Y., Pang, J., Peng, X., Sun, W., & Sun, Z. (2023). Immunomodulatory Effect of Isocaloric Diets with Different Protein Contents on Young Adult Sprague Dawley Rats. Foods, 12(8), 1597. https://doi.org/10.3390/foods12081597
 
        


 
                         
       