Atomization of Cocoa Honey Using Whey Protein Isolate to Produce a Dry Formulation with Improved Shelf Life for Industrial Application
Abstract
:1. Introduction
2. Materials and Methods
2.1. Materials
2.2. Preparation of Formulations Using Maltodextrin, Methocel, and WPI as Excipients
Storage of Formulations
2.3. Moisture Determination
2.4. Water Activity Determination
2.5. Hygroscopicity Determination
2.6. Study of the Morphological Characteristics of the Formulation
2.7. Total Phenolic Compounds Determination
2.8. Statistical Analysis
3. Results and Discussion
3.1. Effect of the Carriers’ Adjuvants Maltodextrin and Methocel in Cocoa Honey Atomization
3.2. Effect of Whey Protein Isolate on Cocoa Honey Atomization
3.3. Characterization of Ingredients and Formulations
3.3.1. Moisture Content, Total Solids, and Hygroscopicity
3.3.2. Particle Size and Dispersion Index
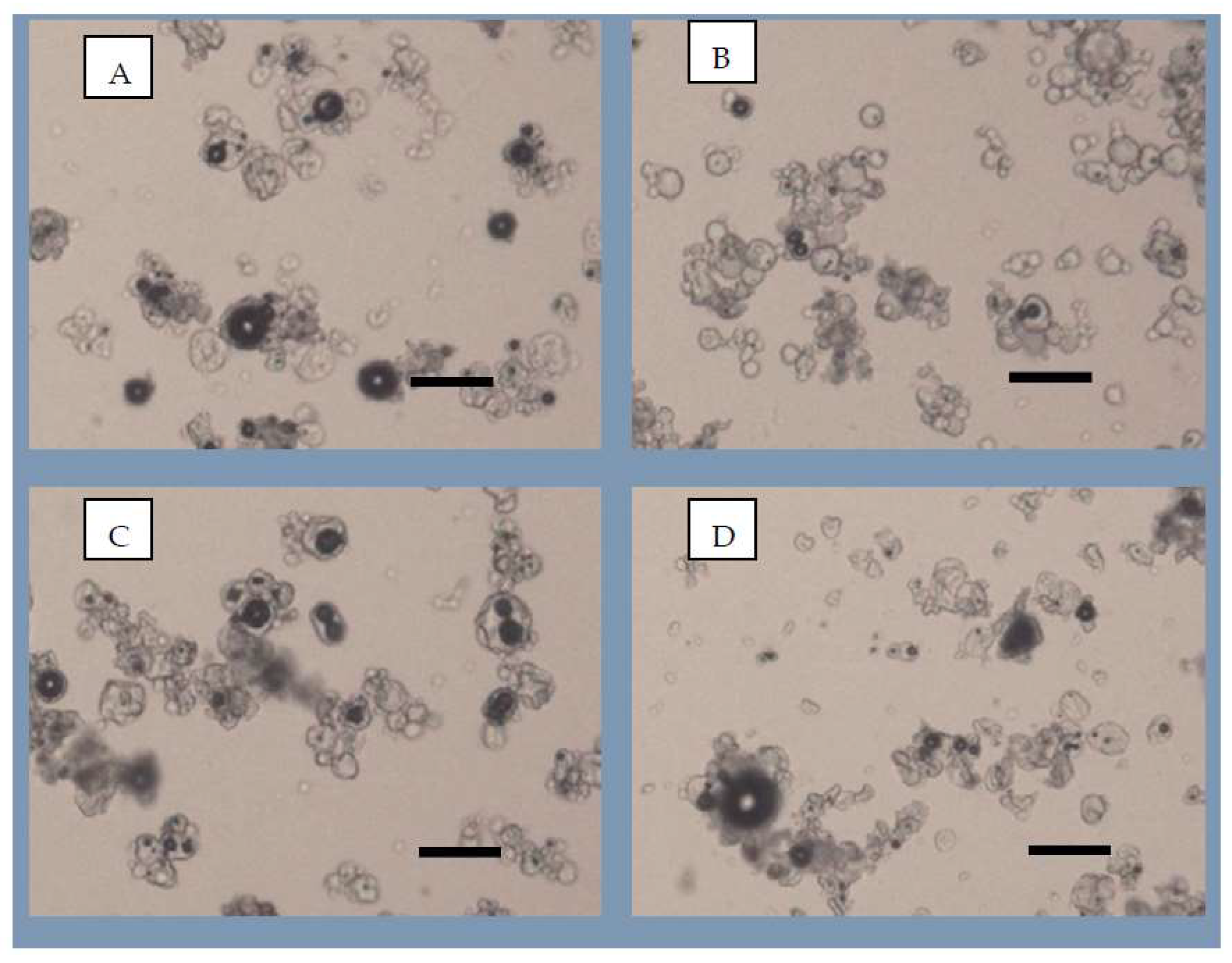
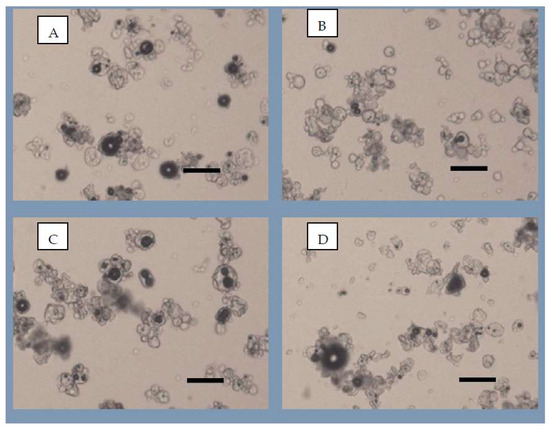
3.3.3. Particle Morphology
3.3.4. Interference of Atomization in Phenolic Constituents
4. Conclusions
Author Contributions
Funding
Data Availability Statement
Conflicts of Interest
References
- Singh, M.; Agarwal, S.; Agarwal, M. Benefits of Theobroma cacao and Its Phytocompounds as Cosmeceuticals. In Plant-derived Bioactives; Springer: Singapore, 2020; pp. 509–521. [Google Scholar] [CrossRef]
- Gavrilova, N.G. Contemporary global production and consumption of cocoa: An assessment. IOP Conf. Ser. Earth Environ. Sci. 2021, 839, 022095. [Google Scholar] [CrossRef]
- Zeli, C.; Lombardo, M.; Storz, M.A.; Ottaviani, M.; Rizzo, G. Chocolate and cocoa-derived biomolecules for brain cognition during ageing. Antioxidants 2022, 11, 1353. [Google Scholar] [CrossRef]
- Vásquez, Z.S.; de Carvalho Neto, D.P.; Pereira, G.V.; Vandenberghe, L.P.; de Oliveira, P.Z.; Tiburcio, P.B.; LG Rogez, H.; Góes Neto, A.; Soccol, C.R. Biotechnological approaches for cocoa waste management: A review. Waste Manag. 2019, 90, 72–83. [Google Scholar] [CrossRef] [PubMed]
- Kaba, J.S.; Yamoah, F.A.; Acquaye, A. Towards sustainable agroforestry management: Harnessing the nutritional soil value through cocoa mix waste. Waste Manag. 2021, 124, 264–272. [Google Scholar] [CrossRef] [PubMed]
- Endraiyani, V.; Ludescher, R.D.; Di, R.; Karwe, M.V. Total phenolics and antioxidant capacity of cocoa pulp: Processing and storage study. J. Food Process. Preserv. 2017, 41, e13029. [Google Scholar] [CrossRef]
- Guirlanda, C.P.; da Silva, G.G.; Takahashi, J.A. Cocoa honey: Agro-industrial waste or underutilized cocoa by-product? Future Foods 2021, 4, 100061. [Google Scholar] [CrossRef]
- Indiarto, R.; Raihani, Z.R.; Dewi, M.P.; Aqila, Z.R.; Efendi, M.Y. A review of innovation in the by-products of cocoa bean processing. Int. J. 2021, 9, 1162–1169. [Google Scholar] [CrossRef]
- Fadini, A.L.; Alvim, I.D.; Ribeiro, I.P.; Ruzene, L.G.; da Silva, L.B.; Queiroz, M.B.; Bonifácio, M.Q.; Miguel, A.M.R.O.; Chaves, F.C.M.; Rodrigues, R.A.F. Innovative strategy based on combined microencapsulation technologies for food application and the influence of wall material composition. LWT 2018, 91, 345–352. [Google Scholar] [CrossRef]
- Labuschagne, P. Impact of wall material physicochemical characteristics on the stability of encapsulated phytochemicals: A review. Food Res. Int. 2018, 107, 227–247. [Google Scholar] [CrossRef]
- AOAC International. Official Methods of Analysis of the AOAC International, 18th ed.; 3rd Revision; AOAC International: Gaithersburg, MD, USA, 2010. [Google Scholar]
- Alvim, I.D.; Stein, M.A.; Koury, I.P.; Dantas, F.B.H.; Cruz, C.L.D.C.V. Comparison between the spray drying and spray chilling microparticles contain ascorbic acid in a baked product application. LWT-Food Sci. Technol. 2016, 65, 689–694. [Google Scholar] [CrossRef]
- Cai, Y.Z.; Corke, H. Production and properties of spray-dried Amaranthus betacyanin pigments. J. Food Sci. 2000, 65, 1248–1252. [Google Scholar] [CrossRef]
- Anitha, S.; Manivannan, A. Antioxidant activity, total phenolic content, and total flavonoid content of potato milk–A novel functional beverage developed as an alternative to cow milk. Food Humanit. 2023, 1, 838–847. [Google Scholar] [CrossRef]
- Roos, Y.H. Glass transition temperature and its relevance in food processing. Annu. Rev. Food Sci. Technol. 2010, 1, 469–496. [Google Scholar] [CrossRef]
- Antoniolli, P.R.; Ferrari, C.C.; Borges, D.F.; Germer, S.P.M. Sorption isotherms, glass transition and storage stability of drum-dried mango peels obtained with and without process additives. Dry. Technol. 2023, 41, 378–389. [Google Scholar] [CrossRef]
- Coimbra, P.P.S.; Cardoso, F.D.S.N.; Goncalves, E.C.B.D.A. Spray-drying wall materials: Relationship with bioactive compounds. Crit. Rev. Food Sci. Nutr. 2021, 61, 2809–2826. [Google Scholar] [CrossRef]
- Saavedra-Leos, Z.; Leyva-Porras, C.; Araujo-Díaz, S.B.; Toxqui-Terán, A.; Borrás-Enríquez, A.J. Technological application of maltodextrins according to the degree of polymerization. Molecules 2015, 20, 21067–21081. [Google Scholar] [CrossRef]
- Tonon, R.V.; Brabet, C.; Hubinger, M.D. Influence of process conditions on the physicochemical properties of açai (Euterpe oleraceae Mart.) powder produced by spray drying. J. Food Eng. 2008, 88, 411–418. [Google Scholar] [CrossRef]
- Jayasundera, J.M.M.A.; Kulatunga, A.R. Spray-drying of coconut treacle into an amorphous powder. Emir. J. Food Agric. 2014, 26, 672–678. [Google Scholar] [CrossRef]
- Vázquez-Rodríguez, B.; Gutiérrez-Uribe, J.A.; Guajardo-Flores, D.; Santos-Zea, L. Microencapsulation of steroidal saponins from agave sap concentrate using different carriers in spray drying. Food Sci. Technol. Int. 2021, 28, 622–633. [Google Scholar] [CrossRef]
- Lee, J.K.M.; Taip, F.S.; Abdullah, Z. Effectiveness of additives in spray drying performance: A review. Food Res. 2018, 2, 486–499. [Google Scholar] [CrossRef]
- Chuwattanakul, V.; Yavirach, K.; Eiamsa-Ard, S. Influences of Spray Drying Conditions on the Physiochemical Properties of Karanda Fruit. Chem. Eng. Trans. 2023, 102, 325–330. [Google Scholar] [CrossRef]
- Shishir, M.R.I.; Chen, W. Trends of spray drying: A critical review on drying of fruit and vegetable juices. Trends Food Sci. Technol. 2017, 65, 49–67. [Google Scholar] [CrossRef]
- Bhusari, S.N.; Muzaffar, K.; Kumar, P. Effect of carrier agents on physical and microstructural properties of spray dried tamarind pulp powder. Powder Technol. 2014, 266, 354–364. [Google Scholar] [CrossRef]
- Tontul, I.; Topuz, A. Spray-drying of fruit and vegetable juices: Effect of drying conditions on the product yield and physical properties. Trends Food Sci. Technol. 2017, 63, 91–102. [Google Scholar] [CrossRef]
- Encina, C.; Vergara, C.; Giménez, B.; Oyarzún-Ampuero, F.; Robert, P. Conventional spray-drying and future trends for the microencapsulation of fish oil. Trends Food Sci. Technol. 2016, 56, 46–60. [Google Scholar] [CrossRef]
- Mar, J.M.; Da Silva, L.S.; Lira, A.C.; Kinupp, V.F.; Yoshida, M.I.; Moreira, W.P.; Bruginsky, E.; Campos, F.R.; Machado, M.B.; de Souza, T.P.; et al. Bioactive compounds-rich powders: Influence of different carriers and drying techniques on the chemical stability of the Hibiscus acetosella extract. Powder Technol. 2020, 360, 383–391. [Google Scholar] [CrossRef]
- Rodea-Gonzalez, D.A.; Cruz-Olivares, A.J.; Roman-Guerrero, M.E.; Rodriguez-Huezo, E.J.; Vernon-Carter, E.J.; Perez-Alonso, C. Spray-dried encapsulation of chia essential oil (Salvia hispanica L.) in whey protein concentrate-polysaccharide matrices. J. Food Eng. 2012, 111, 102–109. [Google Scholar] [CrossRef]
- Muzaffar, K.; Nayik, G.A.; Kumar, P. Stickiness problem associated with spray drying of sugar and acid rich foods: A mini review. J. Nutr. Food Sci. 2015, 12, 003. [Google Scholar] [CrossRef]
- Samborska, K.; Wiktor, A.; Jedlińska, A.; Matwijczuk, A.; Jamróz, W.; Skwarczyńska-Maj, K.; Kielczewski, D.; Tułodziecki, M.; Błażowski, L.; Witrowa-Rajchert, D. Development and characterization of physical properties of honey-rich powder. Food Bioprod. Process. 2019, 115, 78–86. [Google Scholar] [CrossRef]
- Sobulska, M.; Zbicinski, I. Advances in spray drying of sugar-rich products. Dry. Technol. 2021, 39, 1774–1799. [Google Scholar] [CrossRef]
- Samborska, K.; Jedlińska, A.; Wiktor, A.; Derewiaka, D.; Wołosiak, R.; Matwijczuk, A.; Jamróz, W.; Skwarczyńska-Maj, K.; Kielczewski, D.; Błażowski, L.; et al. The effect of low-temperature spray drying with dehumidified air on phenolic compounds, antioxidant activity, and aroma compounds of rapeseed honey powders. Food Bioprocess Technol. 2019, 12, 919–932. [Google Scholar] [CrossRef]
- Toniazzo, T.; Collado-González, M.; Tadini, C.C.; Mackie, A.R. Evaluation of physicochemical properties of honey powder using rice and pea proteins as carriers. Food Res. Int. 2023, 167, 112692. [Google Scholar] [CrossRef]
- Santana, A.A.; Martin, L.G.P.; De Oliveira, R.A.; Kurozawa, L.E.; Park, K.J. Spray drying of babassu coconut milk using different carrier agents. Dry. Technol. 2017, 35, 76–87. [Google Scholar] [CrossRef]
- Alshammari, J.; Xu, J.; Tang, J.; Sablani, S.; Zhu, M.J. Thermal resistance of Salmonella in low-moisture high-sugar products. Food Control 2020, 114, 107255. [Google Scholar] [CrossRef]
- Sun, S.; Xie, Y.; Yang, R.; Zhu, M.J.; Sablani, S.; Tang, J. The influence of temperature and water activity on thermal resistance of Salmonella in milk chocolate. Food Control 2023, 143, 109292. [Google Scholar] [CrossRef]
- Thakur, M.; Pant, K.; Naik, R.R.; Nanda, V. Optimization of spray drying operating conditions for production of functional milk powder encapsulating bee pollen. Dry. Technol. 2021, 39, 777–790. [Google Scholar] [CrossRef]
- Juarez-Enriquez, E.; Olivas, G.I.; Zamudio-Flores, P.B.; Ortega-Rivas, E.; Perez-Vega, S.; Sepulveda, D.R. Effect of water content on the flowability of hygroscopic powders. J. Food Eng. 2017, 205, 12–17. [Google Scholar] [CrossRef]
- Ferrari, C.C.; Germer, S.P.M.; de Aguirre, J.M. Effects of spray drying conditions on the physicochemical properties of blackberry powder. Dry. Technol. 2012, 30, 154–163. [Google Scholar] [CrossRef]
- Jedlińska, A.; Samborska, K.; Wieczorek, A.; Wiktor, A.; Ostrowska-Ligęza, E.; Jamróz, W.; Skwarczyńska-Maj, K.; Kielczewski, D.; Błażowski, L.; Tułodziecki, M.; et al. The application of dehumidified air in rapeseed and honeydew honey spray drying-Process performance and powders properties considerations. J. Food Eng. 2019, 245, 80–87. [Google Scholar] [CrossRef]
- Ishwarya, S.P.; Anandharamakrishnan, C. Spray-freeze-drying approach for soluble coffee processing and its effect on quality characteristics. J. Food Eng. 2015, 149, 171–180. [Google Scholar] [CrossRef]
- Kaptay, G. On the size and shape dependence of the solubility of nano-particles in solutions. Int. J. Pharm. 2012, 430, 253–257. [Google Scholar] [CrossRef]
- Shrestha, A.K.; Howes, T.; Adhikari, B.P.; Wood, B.J.; Bhandari, B.R. Effect of protein concentration on the surface composition, water sorption and glass transition temperature of spray-dried skim milk powders. Food Chem. 2007, 104, 1436–1444. [Google Scholar] [CrossRef]
- Gong, Z.; Yu, M.; Wang, W.; Shi, X. Functionality of spray-dried strawberry powder: Effects of whey protein isolate and maltodextrin. Int. J. Food Prop. 2018, 21, 2229–2238. [Google Scholar] [CrossRef]
- Sentellas, S.; Saurina, J. Authentication of cocoa products based on profiling and fingerprinting approaches: Assessment of geographical, varietal, agricultural and processing features. Foods 2023, 12, 3120. [Google Scholar] [CrossRef] [PubMed]
- Zhang, Z.H.; Peng, H.; Woo, M.W.; Zeng, X.A.; Brennan, M.; Brennan, C.S. Preparation and characterization of whey protein isolate-chlorophyll microcapsules by spray drying: Effect of WPI ratios on the physicochemical and antioxidant properties. J. Food Eng. 2020, 267, 109729. [Google Scholar] [CrossRef]
- Ma, S.; Kim, C.; Neilson, A.P.; Griffin, L.E.; Peck, G.M.; O’Keefe, S.F.; Stewart, A.C. Comparison of common analytical methods for the quantification of total polyphenols and flavanols in fruit juices and ciders. J. Food Sci. 2019, 84, 2147–2158. [Google Scholar] [CrossRef]
- Ye, Q.; Woo, M.W.; Selomulya, C. Modification of molecular conformation of spray-dried whey protein microparticles improving digestibility and release characteristics. Food Chem. 2019, 280, 255–261. [Google Scholar] [CrossRef]
- Norkaew, O.; Thitisut, P.; Mahatheeranont, S.; PawiN, B.; Sookwong, P.; Yodpitak, S.; Lungkaphin, A. Effect of wall materials on some physicochemical properties and release characteristics of encapsulated black rice anthocyanin microcapsules. Food Chem. 2019, 294, 493–502. [Google Scholar] [CrossRef]
- Do Carmo, E.L.; Teodoro, R.A.R.; Félix, P.H.C.; De Barros Fernandes, R.V.; De Oliveira, É.R.; Borges, S.V.; Veiga, T.R.L.A.; Botrel, D.A. Stability of spray-dried beetroot extract using oligosaccharides and whey proteins. Food Chem. 2018, 249, 51–59. [Google Scholar] [CrossRef]



| Formulations | Description | Maltodextrin (g, dm) | Methocel (g, dm) | WPI (g, dm) |
|---|---|---|---|---|
| Ma30 | Maltodextrin 30% | 6.3 | 0 | 0 |
| Ma15Me15 | Maltodextrin 15% + Methocel 15% | 3.15 | 3.15 | 0 |
| Ma29W1 | Maltodextrin 29% + WPI 1% | 6.09 | 0 | 0.21 |
| Ma20W10 | Maltodextrin 20% + WPI 10% | 4.2 | 0 | 2.1 |
| Ma15Me10W5 | Maltodextrin 15% + Methocel 10% + WPI 5% | 3.15 | 2.1 | 1.05 |
| Cocoa Honey | Maltodextrin | Methocel | WPI | |
|---|---|---|---|---|
| Moisture (g/100 g) | 85.3 ± 0.20 | 2.9 ± 0.08 | 3.4 ± 0.01 | 1.8 ± 0.05 |
| Total Solids (g/100 g) | 14.7 ± 0.01 | 97.1 ± 0.10 | 96.6 ± 0.10 | 98.2 ± 0.11 |
| Formulations | Moisture (g/100 g) | Water Activity (aW) | Hygroscopicity |
|---|---|---|---|
| Ma15Me15 | 11.68 ± 0.29 a | 0.1562 ± 0.029 a | 29.67 ± 0.48 a |
| Ma29W1 | 11.24 ± 0.23 a | 0.1489 ± 0.0031 a | 29.47 ± 1.84 a |
| Ma20W10 | 11.72 ± 0.08 a | 0.1481 ± 0.0042 a | 29.29 ± 0.05 a |
| Ma15Me15W5 | 11.61 ± 1.06 a | 0.1464 ± 0.0043 a | 29.87 ± 0.17 a |
| D10 | D50 | D90 | PDI | |
|---|---|---|---|---|
| Average Diameter (µm) | ||||
| Ma15Me15 | 8.13 ± 0.06 | 17.88 ± 0.05 | 39.12 ± 0.29 | 1.73 ± 0.02 |
| Ma29W1 | 7.72 ± 0.15 | 17.92 ± 0.26 | 38.88 ± 0.44 | 1.74 ± 0.04 |
| Ma20W10 | 7.01 ± 0.06 | 18.25 ± 0.37 | 56.65 ± 1.17 | 2.72 ± 0.06 |
| Ma15Me15W5 | 7.80 ± 0.02 | 15.22 ± 0.03 | 29.09 ± 0.09 | 1.40 ± 0.00 |
| Formulation | Polyphenol Contents (mg/100 g dm) | ||
|---|---|---|---|
| T0 | T6 | Loss (%) | |
| Ma15Me15 | 329.71 ± 1.17 a | 294.53 ± 4.69 a | 10.67 |
| Ma29W1 | 347.26 ± 1.30 b | 326.28 ± 4.22 b | 6.04 |
| Ma20W10 | 423.75 ± 13.40 b | 383.73 ± 8.49 b | 9.44 |
| Ma15Me15W5 | 434.07 ± 8.41 b | 390.88 ± 5.91 b | 9.95 |
| Cocoa honey | 424.3 ± 2.1 b | 389.0 ± 3.0 b | 8.32 |
Disclaimer/Publisher’s Note: The statements, opinions and data contained in all publications are solely those of the individual author(s) and contributor(s) and not of MDPI and/or the editor(s). MDPI and/or the editor(s) disclaim responsibility for any injury to people or property resulting from any ideas, methods, instructions or products referred to in the content. |
© 2023 by the authors. Licensee MDPI, Basel, Switzerland. This article is an open access article distributed under the terms and conditions of the Creative Commons Attribution (CC BY) license (https://creativecommons.org/licenses/by/4.0/).
Share and Cite
Guirlanda, C.P.; Alvim, I.D.; Takahashi, J.A. Atomization of Cocoa Honey Using Whey Protein Isolate to Produce a Dry Formulation with Improved Shelf Life for Industrial Application. Foods 2023, 12, 4269. https://doi.org/10.3390/foods12234269
Guirlanda CP, Alvim ID, Takahashi JA. Atomization of Cocoa Honey Using Whey Protein Isolate to Produce a Dry Formulation with Improved Shelf Life for Industrial Application. Foods. 2023; 12(23):4269. https://doi.org/10.3390/foods12234269
Chicago/Turabian StyleGuirlanda, Christiano Pedro, Izabela Dutra Alvim, and Jacqueline Aparecida Takahashi. 2023. "Atomization of Cocoa Honey Using Whey Protein Isolate to Produce a Dry Formulation with Improved Shelf Life for Industrial Application" Foods 12, no. 23: 4269. https://doi.org/10.3390/foods12234269
APA StyleGuirlanda, C. P., Alvim, I. D., & Takahashi, J. A. (2023). Atomization of Cocoa Honey Using Whey Protein Isolate to Produce a Dry Formulation with Improved Shelf Life for Industrial Application. Foods, 12(23), 4269. https://doi.org/10.3390/foods12234269

