Understanding Protein Functionality and Its Impact on Quality of Plant-Based Meat Analogues
Abstract
:1. Introduction
2. Materials and Methods
2.1. Formulation
2.2. Extrusion Processing
2.3. Water Absorption Index
2.4. Least Gelation Concentration
2.5. Rapid Visco Analysis
2.6. Protein Solubility
2.7. SDS-PAGE
2.8. SEC-HPLC
2.9. Water Holding Capacity
2.10. Visual Analysis
2.11. Texture Analysis
2.12. Sensory Analysis
2.13. Statistical Analysis
3. Results and Discussion
3.1. Extrusion Processing
3.2. Water Absorption Index
3.3. Least Gelation Concentration
3.4. Rapid Visco Analysis
3.5. Protein Solubility
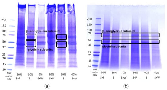
3.6. SDS-PAGE
3.7. SEC-HPLC
3.8. Water Holding Capacity and Bulk Density
3.9. Texture Analysis
3.10. Visual Analysis
3.11. Sensory Analysis
4. Conclusions
Author Contributions
Funding
Data Availability Statement
Acknowledgments
Conflicts of Interest
References
- Webb, D.; Dogan, H.; Li, Y.; Alavi, S. Physico-chemical properties and texturization of pea, wheat, and soy proteins using extrusion and their application in plant-based meat. Foods 2023, 12, 1586. [Google Scholar] [CrossRef]
- Webb, D.; Li, Y.; Alavi, S. Chemical and physicochemical features of common plant proteins and their extrudates for use in plant-based meat. Trends Food Sci. Technol. 2023, 131, 129–138. [Google Scholar] [CrossRef]
- Flory, J. Understanding Protein Physico-Chemical Properties, Functionality, and Mechanisms Underlying Texturization in Extruded Plant-Based Meat—A Novel Approach for Optimum Structure and Mouthfeel. Master’s Thesis, Kansas State University, Manhattan, KS, USA, 2023. [Google Scholar]
- Lyu, B.; Li, J.; Meng, X.; Fu, H.; Wang, W.; Ji, L.; Wang, Y.; Guo, Z.; Yu, H. The protein composition changed the quality characteristics of plant-based meat analogues produced by a single-screw extruder: Four main soybean varieties in china as representatives. Foods 2022, 11, 1112. [Google Scholar] [CrossRef]
- Yuliarti, O.; Kiat Kovis, T.J.; Yi, N.J. Structuring the meat analogue by using plant-based derived composites. J. Food Eng. 2021, 288, 110138. [Google Scholar] [CrossRef]
- Lee, J.; Kim, S.; Jeong, Y.; Choi, I.; Han, J. Impact of interactions between soy and pea proteins on quality characteristics of high-moisture meat analogues prepared via extrusion cooking process. Food Hydrocoll. 2023, 139, 108567. [Google Scholar] [CrossRef]
- Chiang, J.H.; Loveday, S.M.; Hardacre, A.K.; Parker, M.E. Effects of soy protein to wheat gluten ratio on the physicochemical properties of extruded meat analogues. Food Struct. 2019, 19, 100102. [Google Scholar] [CrossRef]
- Riaz, M. Texturized soy protein as an ingredient. In Proteins in Food Processing; Yada, R.Y., Ed.; Woodhead Publishing Ltd.: Cambridge, UK, 2004; Volume 22, pp. 517–558. [Google Scholar]
- Webb, D.; Plattner, B.J.; Donald, E.; Funk, D.; Plattner, B.S.; Alavi, S. Role of chickpea flour in texturization of extruded pea protein. J. Food Sci. 2020, 85, 4180–4187. [Google Scholar] [CrossRef]
- Anderson, R.A.; Conway, H.F.; Peplinski, A.J. Gelatinization of Corn Grits by Roll and Extrusion Cooking. Starch-Stärke 1970, 22, 130–135. [Google Scholar] [CrossRef]
- Wang, J.; Zhao, M.; Yang, X.; Jiang, Y. Gelation behavior of wheat gluten by heat treatment followed by transglutaminase cross-linking reaction. Food Hydrocoll. 2007, 21, 174–179. [Google Scholar] [CrossRef]
- Pietsch, V.; Emin, M.; Schuchmann, H. Process conditions influencing wheat gluten polymerization during high moisture extrusion of meat analog products. J. Food Eng. 2017, 198, 28–35. [Google Scholar] [CrossRef]
- Schreuders, F.; Schlangen, M.; Kyriakopoulou, K.; Boom, R.; Van der Groot, A. Texture methods for evaluating meat and meat analogue structures: A review. Food Control. 2021, 127, 108103. [Google Scholar] [CrossRef]
- Samard, S.; Ryu, G.H. A comparison of physicochemical characteristics, texture, and structure of meat analogue and meats. J. Sci. Food Agric. 2019, 99, 2708–2715. [Google Scholar] [CrossRef] [PubMed]
- McClements, D.J.; Weiss, J.; Kinchla, A.J.; Nolden, A.A.; Grossman, L. Methods for testing the quality attributes of plant-based foods: Meat and processed meat analogs. Foods 2021, 10, 260. [Google Scholar] [CrossRef] [PubMed]
- Hong, S.; Shen, Y.; Li, Y. Physicochemical and functional properties of texturized vegetable proteins and cooked patty textures: Comprehensive characterization and correlation analysis. Foods 2022, 11, 2619. [Google Scholar] [CrossRef]
- Lyu, J.S.; Lee, J.S.; Chae, T.Y.; Yoon, C.S.; Han, J. Effect of screw speed and die temperature on physicochemical, textural, and morphological properties of soy protein isolate-based textured vegetable protein produced via a low-moisture extrusion. Food Sci. Biotechnol. 2022, 32, 659–669. [Google Scholar] [CrossRef]
- Mession, J.L.; Chihi, M.L.; Sok, N.; Saurel, R. Effect of globular pea proteins fractionation on their heat-induced aggregation and acid cold-set gelation. Food Hydrocoll. 2014, 46, 233–243. [Google Scholar] [CrossRef]
- Osen, R.; Toelstede, S.; Wild, F.; Eisner, P.; Schweiggert-Weisz, U. High moisture extrusion cooking of pea protein isolates: Raw material characteristics, extruder responses, and texture properties. J. Food Eng. 2014, 127, 67–74. [Google Scholar] [CrossRef]
- Chen, F.C.; Wei, Y.M.; Zhang, B. Chemical cross-linking and molecular aggregation of soybean protein during extrusion cooking at low and high moisture content. LWT—Food Sci. Technol. 2011, 44, 957–962. [Google Scholar] [CrossRef]
- Fukushima, D. Chapter 6: Soy Proteins. In Proteins in Food Processing; Yada, R.Y., Ed.; Woodhead Publishing Ltd.: Cambridge, UK, 2004; Volume 22, pp. 210–232. [Google Scholar]
- Meng, Y.; Cloutier, S. Gelatin and Other Proteins for Microencapsulation. Microencapsul. Food Ind. A Pract. Implement. Guide 2014, 20, 227–239. [Google Scholar]
- Shen, Y.; Hong, S.; Singh, G.; Koppel, K.; Li, Y. Improving functional properties of pea protein through “green” modifications using enzymes and polysaccharides. Food Chem. 2022, 385, 132687. [Google Scholar] [CrossRef]
- Kyriakopoulou, K.; Keppler, J.K.; Van der Groot, A.J. Functionality of ingredients and additives in plant-based meat analogues. Foods 2021, 10, 600. [Google Scholar] [CrossRef] [PubMed]













| Cold Swelling (%) | 0% CS | 30% CS | 40% CS | 50% CS | 60% CS | 90% CS |
|---|---|---|---|---|---|---|
| Soy protein isolate | 20 | 20 | 10 | 30 | 30 | |
| Soy protein conc. (Arcon F) | 40 | 50 | 30 | 30 | ||
| Soy protein conc. (Arcon S) | 10 | 20 | 30 | 30 | ||
| Pea protein isolate | 40 | 30 | ||||
| Vital wheat gluten | 40 | 40 | ||||
| Soy flour | 20 | 20 | 20 | 10 | 10 | 10 |
| Tapioca starch | 10 | |||||
| Protein content (%) | 67 | 69.7 | 72.4 | 66.7 | 74.9 | 78.2 |
| Ingredient | Description | (%) |
|---|---|---|
| TVP | Texturized vegetable protein (TVP) granules or shred made from soy, wheat, or pea | 23.4–26.3 |
| Water | Water or broth | 55.2–58.5 |
| Binder | Methylcellulose, Faba bean protein | 8.9–9.5 |
| Flavor | Low-CS protein patty: spices, yeast flakes, porcini powder, soy sauce, Worcestershire sauce, and liquid smoke High-CS protein patty: spices, dried roasted seaweed, soy sauce, miso paste, and yeast flakes | 3–6 |
| Color | Beet powder | 0–0.7 |
| Lipids | Coconut oil and vegetable oil | 2–2.3 |
| CS (%) | SME (kJ/kg) | IBM (% wb) | Die Temp. (°C) |
|---|---|---|---|
| 0 | 907.2 a | 42.5 | 161 |
| 30 | 997.2 a | 47.9 | 166 |
| 40 | 885.6 ab | 43.5 | 153 |
| 50 | 763.2 b | 37.9 | 159 |
| 60 | 936.0 a | 46.6 | 162 |
| 90 | 961.2 a | 39.6 | 153 |
| Treatment | Avg LGC |
|---|---|
| 0% CS | 17 ab |
| 30% CS | 18 a |
| 40% CS | 17 ab |
| 50% CS | 15 ab |
| 60% CS | 15 ab |
| 90% CS | 14 ab |
| SPI | 11 b |
| Arcon S | 11 b |
| Arcon F | 13 ab |
| GLU | 13 ab |
| PPI | 15 ab |
| Soy flour | 17 ab |
| % CS | Sample | Protein Solubility (%) |
|---|---|---|
| 0 | Raw | 20.036 d |
| 0 | Extruded | 6.680 |
| 30 | Raw | 29.406 c |
| 30 | Extruded | 11.849 |
| 40 | Raw | 38.766 b |
| 40 | Extruded | 13.949 |
| 50 | Raw | 25.972 c |
| 50 | Extruded | 17.870 |
| 60 | Raw | 35.260 b |
| 60 | Extruded | 7.619 |
| 90 | Raw | 46.196 a |
| 90 | Extruded | 7.954 |
Disclaimer/Publisher’s Note: The statements, opinions and data contained in all publications are solely those of the individual author(s) and contributor(s) and not of MDPI and/or the editor(s). MDPI and/or the editor(s) disclaim responsibility for any injury to people or property resulting from any ideas, methods, instructions or products referred to in the content. |
© 2023 by the authors. Licensee MDPI, Basel, Switzerland. This article is an open access article distributed under the terms and conditions of the Creative Commons Attribution (CC BY) license (https://creativecommons.org/licenses/by/4.0/).
Share and Cite
Flory, J.; Xiao, R.; Li, Y.; Dogan, H.; Talavera, M.J.; Alavi, S. Understanding Protein Functionality and Its Impact on Quality of Plant-Based Meat Analogues. Foods 2023, 12, 3232. https://doi.org/10.3390/foods12173232
Flory J, Xiao R, Li Y, Dogan H, Talavera MJ, Alavi S. Understanding Protein Functionality and Its Impact on Quality of Plant-Based Meat Analogues. Foods. 2023; 12(17):3232. https://doi.org/10.3390/foods12173232
Chicago/Turabian StyleFlory, Jenna, Ruoshi Xiao, Yonghui Li, Hulya Dogan, Martin J. Talavera, and Sajid Alavi. 2023. "Understanding Protein Functionality and Its Impact on Quality of Plant-Based Meat Analogues" Foods 12, no. 17: 3232. https://doi.org/10.3390/foods12173232
APA StyleFlory, J., Xiao, R., Li, Y., Dogan, H., Talavera, M. J., & Alavi, S. (2023). Understanding Protein Functionality and Its Impact on Quality of Plant-Based Meat Analogues. Foods, 12(17), 3232. https://doi.org/10.3390/foods12173232

