A Novel Thermal-Activated β-Galactosidase from Bacillus aryabhattai GEL-09 for Lactose Hydrolysis in Milk
Abstract
:1. Introduction
2. Materials and Methods
2.1. Bacterial Strains and Plasmid Vectors
2.2. Enzymes and Reagents
2.3. Construction of Recombinant Plasmid and Transformation
2.4. Expression and Purification of Recombinant lacZBa in E. coli BL21(DE3)
2.5. β-Galactosidase Activity Assay
2.6. Effect of pH and Temperature on lacZBa Activity
2.7. Effect of Metal Ions on lacZBa Activity
2.8. Kinetic Parameters of lacZBa
2.9. Hydrolysis of Lactose in Lactose Solution and Commercial Milk
2.10. Statistical Analysis
2.11. Bioinformatic Analysis
3. Results and Discussion
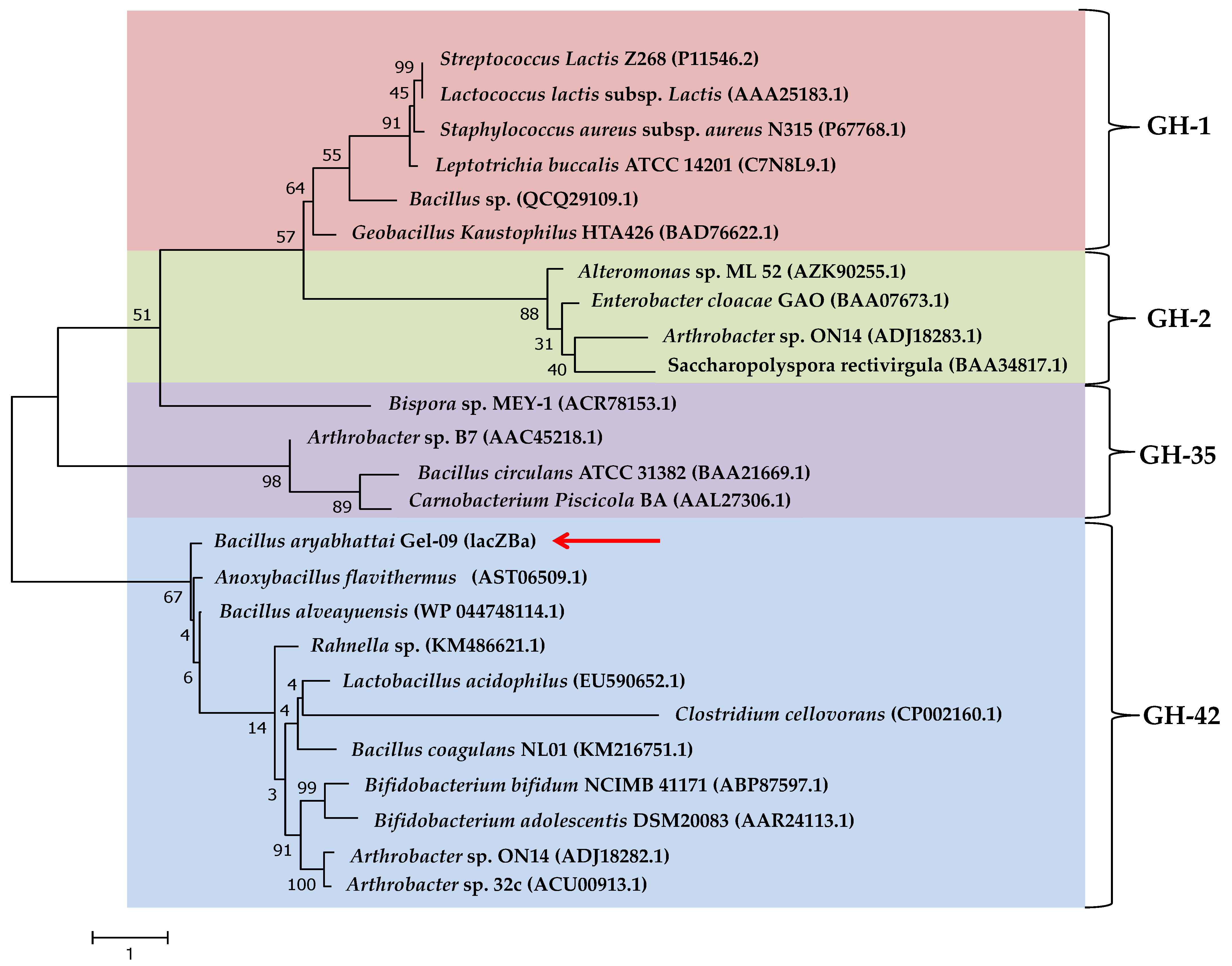
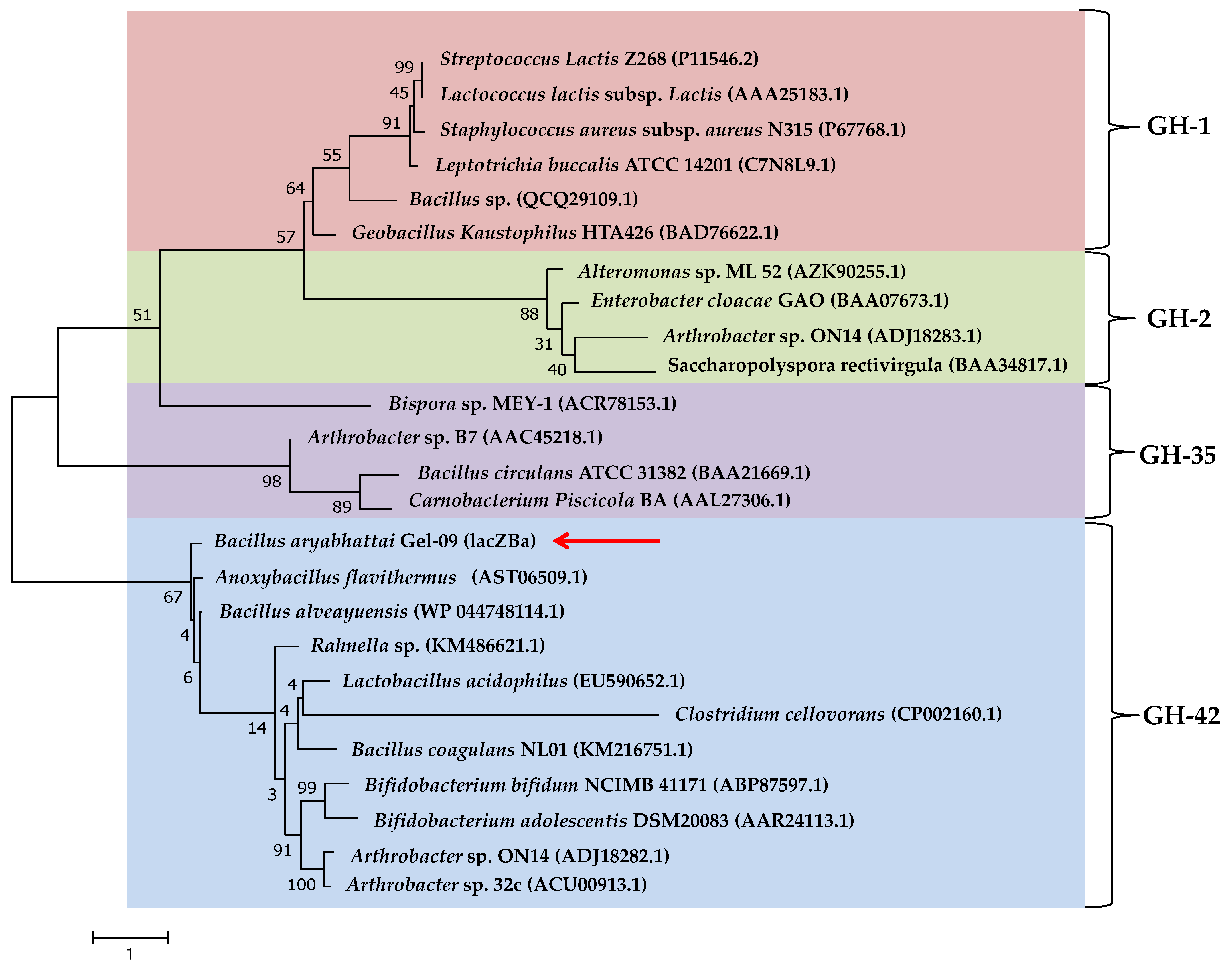
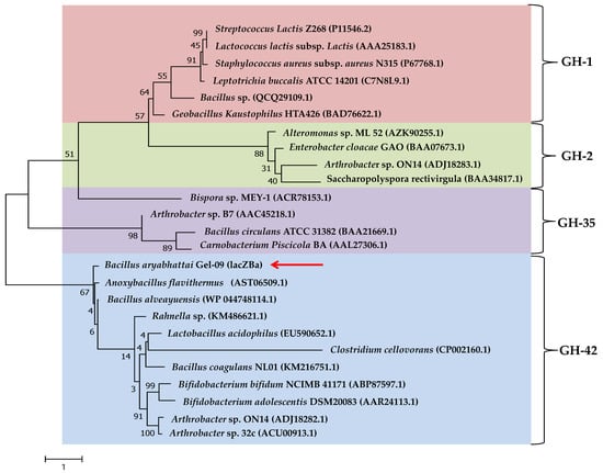
3.1. Cloning and Sequence Analysis of lacZBa
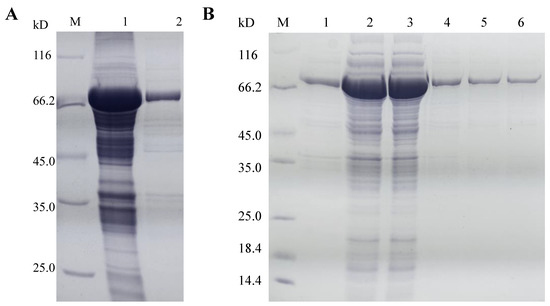
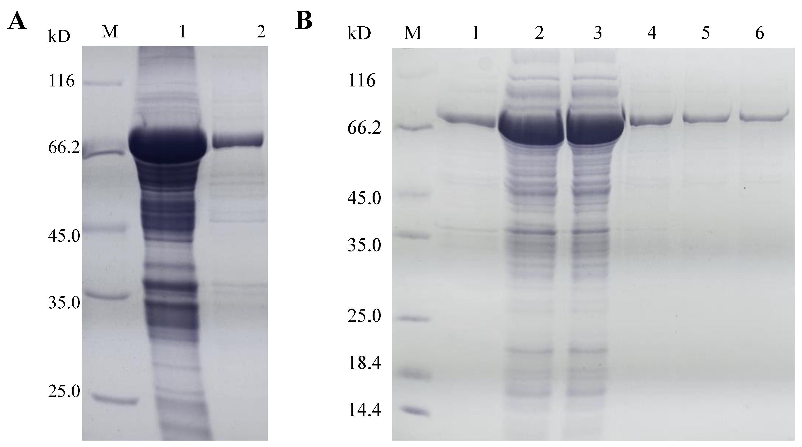
3.2. Heterologous Expression and Purification of lacZBa
3.3. Effects of pH and Temperature on lacZBa
3.4. Thermostability of lacZBa
3.5. Effect of Metal Ions and EDTA on lacZBa Activity
3.6. Kinetic Parameters of lacZBa
3.7. Docking Analysis of lacZBa
3.8. Hydrolysis of Lactose in Lactose Solution and Commercial Milk
4. Conclusions
Supplementary Materials
Author Contributions
Funding
Institutional Review Board Statement
Informed Consent Statement
Data Availability Statement
Conflicts of Interest
References
- Liu, Y.; Wu, Z.F.; Zeng, X.X.; Weng, P.F.; Zhang, X.; Wang, C.Y. A novel cold-adapted phospho-beta-galactosidase from Bacillus velezensis and its potential application for lactose hydrolysis in milk. Int. J. Biol. Macromol. 2021, 166, 760–770. [Google Scholar] [CrossRef] [PubMed]
- Wolf, M.; Gasparin, B.C.; Paulino, P.T. Hydrolysis of lactose using beta-d-galactosidase immobilized in a modified Arabic gum-based hydrogel for the production of lactose-free/low-lactose milk. Int. J. Biol. Macromol. 2018, 115, 157–164. [Google Scholar] [CrossRef] [PubMed]
- Xin, Y.P.; Guo, T.T.; Zhang, Y.; Wu, J.P.; Kong, J. A new β-galactosidase extracted from the infant feces with high hydrolytic and transgalactosylation activity. Appl. Microbiol. Biotechnol. 2019, 103, 8439–8448. [Google Scholar] [CrossRef] [PubMed]
- Cesca, B.; Manca de Nadra, M.C.; Strasser de Saad, A.M.; Pesce de Ruiz Holgado, A.; Oliver, G. β-D-galactosidase of Lactobacillus species. Folia Microbiol. 1984, 29, 288–294. [Google Scholar] [CrossRef]
- He, X.; Han, N.; Wang, Y.P. Cloning, purification, and characterization of a heterodimeric beta-galactosidase from Lactobacillus kefiranofaciens ZW3. J. Microbiol. Biotechnol. 2016, 26, 20–27. [Google Scholar] [CrossRef]
- Park, M.J.; Park, M.S.; Ji, G.E. Cloning and heterologous expression of the beta-galactosidase gene from Bifidobacterium longum RD47 in B. bifidum BGN4. J. Microbiol. Biotechnol. 2019, 29, 1717–1728. [Google Scholar] [CrossRef]
- Miyamoto, T.; Sekine, M.; Ogawa, T.; Hidaka, M.; Homma, H.; Masaki, H. Origin of d-amino acids detected in the acid hydrolysates of purified Escherichia coli β-galactosidase. J. Pharm. Biomed. Anal. 2015, 116, 105–108. [Google Scholar] [CrossRef]
- Kazuhiko, I.; Misumi, K.; Toshiaki, Y.; Makoto, N.; Masahiro, W.; Satoru, I.; Shotaro, Y. Crystal structure of β-galactosidase from Bacillus circulans ATCC 31382 (BgaD) and the construction of the thermophilic mutants. FEBS J. 2015, 282, 2540–2552. [Google Scholar] [CrossRef]
- Duan, X.G.; Hu, S.B.; Qi, X.H.; Gu, Z.B.; Wu, J. Optimal extracellular production of recombinant Bacillus circulans β-galactosidase in Escherichia coli BL21(DE3). Process Biochem. 2016, 53, 17–24. [Google Scholar] [CrossRef]
- Carneiro, L.A.B.C.; Yu, L.; Dupree, P.; Ward, R.J. Characterization of a β-galactosidase from Bacillus subtilis with transgalactosylation activity. Int. J. Biol. Macromol. 2018, 120, 279–281. [Google Scholar] [CrossRef]
- Gennari, A. Modification of immobead 150 support for protein immobilization: Effects on the properties of immobilized Aspergillus oryzae beta-galactosidase. Biotechnol. Prog. 2018, 34, 934–943. [Google Scholar] [CrossRef] [PubMed]
- O’Connell, S.; Walsh, G. Application relevant studies of fungal β-galactosidases with potential application in the alleviation of lactose intolerance. Appl. Biochem. Biotechnol. 2008, 149, 129–138. [Google Scholar] [CrossRef]
- Kazemi, S.; Khayati, G.; Faezi-Ghasemi, M. β-Galactosidase production by Aspergillus niger ATCC 9142 using inexpensive substrates in solid-state fermentation: Optimization by orthogonal arrays design. Iran Biomed. J. 2016, 20, 287–294. [Google Scholar] [CrossRef] [PubMed]
- Erich, S.; Kuschel, B.; Schwarz, T.; Ewert, J.; Böhmer, N.; Niehaus, F.; Eck, J.; Lutz-Wahl, S.; Stressler, T.; Fischer, L. Novel high-performance metagenome β-galactosidases for lactose hydrolysis in the dairy industry. J. Biotechnol. 2015, 210, 27–37. [Google Scholar] [CrossRef] [PubMed] [Green Version]
- Panesar, R.; Panesar, P.S.; Sngh, R.S.; Kennedy, J.F.; Bera, M.B. Production of lactose-hydrolyzed milk using ethanol permeabilized yeast cells. Food Chem. 2007, 101, 786–790. [Google Scholar] [CrossRef]
- Maksimainen, M.; Paavilainen, S.; Hakulinen, N.; Rouvinen, J. Structural analysis, enzymatic characterization, and catalytic mechanisms of β-galactosidase from Bacillus circulans sp. alkalophilus. FEBS J. 2012, 279, 1788–1798. [Google Scholar] [CrossRef] [PubMed]
- Dong, Y.N.; Chen, H.Q.; Sun, Y.H.; Zhang, H.; Chen, W. A differentially conserved residue (Ile42) of GH42 β-galactosidase from Geobacillus stearothermophilus BgaB is involved in both catalysis and thermostability. J. Dairy Sci. 2015, 98, 2268–2276. [Google Scholar] [CrossRef] [Green Version]
- Xu, K.; Tang, X.X.; Gai, Y.B.; Mehmood, M.; Xiao, X.; Wang, F.P. Molecular characterization of cold-inducible beta-galactosidase from Arthrobacter sp. ON14 isolated from Antarctica. Microbiol. Biotechnol. 2011, 21, 236–242. [Google Scholar] [CrossRef]
- Aburto, C.; Castillo, C.; Cornejo, F.; Arenas-Salinas, M.; Vásquez, C.; Guerrero, C.; Arenas, F.; Illanes, A.; Vera, C. β-Galactosidase from Exiguobacterium acetylicum: Cloning, expression, purification and characterization. Bioresour. Technol. 2019, 277, 211–215. [Google Scholar] [CrossRef]
- Breton, C.; Šnajdrová, L.; Jeanneau, C.; Koca, J.; Imbertyet, A. Structures and mechanisms of glycosyltransferases. Glycobiology 2006, 16, 29–37. [Google Scholar] [CrossRef]
- Guo, B.S.; Zheng, F.; Crouch, L.; Cai, Z.P.; Wang, M.; Bolam, D.N.; Liu, L. Cloning, purification and biochemical characterisation of a GH35 beta-1,3/beta-1,6-galactosidase from the mucin-degrading gut bacterium Akkermansia muciniphila. Glycoconj. J. 2018, 35, 255–263. [Google Scholar] [CrossRef] [PubMed]
- Shaima, S.; Attiya, A.; Sobia, A.; Raazia, T. Sources of beta-galactosidase and its applications in food industry. 3 Biotech 2017, 7, 2–7. [Google Scholar] [CrossRef] [Green Version]
- Turkiewicz, M.; Kur, J.; Białkowskaa, A.; Cieślińskib, H.; Kalinowskaa, H.; Bieleckia, S. Antarctic marine bacterium Pseudoalteromonas sp. 22b as a source of cold-adapted β-galactosidase. Biomol. Eng. 2003, 20, 4–6. [Google Scholar] [CrossRef]
- Pivarnik, L.F.; Senecal, A.G.; Rand, A.G. Hydrolytic and transgalactosylic activities of commercial beta-galactosidase (lactase) in food processing. Adv. Food Nutr. Res. 1995, 38, 1–102. [Google Scholar] [CrossRef] [PubMed]
- DeCastro, M.E.; Escuder-Rodriguez, J.J.; Cerdan, M.E.; Becerra, M.; Rodriguez-Belmonte, E.; Gonzalez-Siso, M.I. Heat-loving β-galactosidases from cultured and uncultured microorganisms. Curr. Protein Pept. Sci. 2018, 19, 1224–1234. [Google Scholar] [CrossRef]
- Ladero, M.; Santos, A.; Garcı’a, J.L.; Carrascosa, A.V.; Pessela, B.C.C.; Garcı´a-Ochoa, F. Studies on activity and the stability of β-galactosidases from Thermus sp. strain T2 and from Kluyveromyces fragilis. Enzyme Microb. Technol. 2010, 30, 392–405. [Google Scholar] [CrossRef]
- Duan, X.G.; Shen, Z.Y.; Zhang, X.Y.; Wang, Y.S.; Huang, Y. Production of recombinant beta-amylase of Bacillus aryabhattai. Prep. Biochem. Biotechnol. 2019, 49, 88–94. [Google Scholar] [CrossRef]
- Duan, X.G.; Zhu, Q.Y.; Zhang, X.Y.; Shen, Z.Y.; Huang, Y. Expression, biochemical and structural characterization of high-specific-activity β-amylase from Bacillus aryabhattai GEL-09 for application in starch hydrolysis. Microb. Cell Fact. 2021, 20, 182. [Google Scholar] [CrossRef]
- Geiger, B.; Nguyen, H.M.; Wenig, S.; Nguyen, H.A.; Lorenz, C.; Kittl, R.; Mathiesen, G.; Eijsink, V.G.; Haltrich, D.; Nguyen, T.H. From by-product to valuable components: Efficient enzymatic conversion of lactose in whey using β-galactosidase from Streptococcus thermophiles. Biochem. Eng. J. 2016, 116, 45–53. [Google Scholar] [CrossRef] [Green Version]
- Zhang, X.; Li, H.; Li, C.J.; Ma, T.; Li, G.; Liu, Y.H. Metagenomic approach for the isolation of a thermostable β-galactosidase with high tolerance of galactose and glucose from soil samples of Turpan Basin. BMC Microbiol. 2013, 13, 237. [Google Scholar] [CrossRef] [Green Version]
- Xu, Y.P.; Wu, Q.; Bai, L.; Mu, G.Q.; Tuo, Y.F.; Jiang, S.J.; Zhu, X.M.; Qian, F. Cloning, expression, and bioinformatics analysis and characterization of a β-galactosidase from Bacillus coagulans T242. J. Dairy Sci. 2021, 104, 2735–2747. [Google Scholar] [CrossRef] [PubMed]
- Visser, S. Proteolytic enzymes and their relation to cheese ripening and flavor: An Overview. J. Dairy Sci. 1993, 76, 329–350. [Google Scholar] [CrossRef]
- Juska, V.B.; Pemble, M.E. A critical review of electrochemical glucose sensing: Evolution of biosensor platforms based on advanced nanosystems. Sensors 2020, 20, 6013. [Google Scholar] [CrossRef] [PubMed]
- Laskowski, R.A.; Swindells, M.B. LigPlot+: Multiple ligand–protein interaction diagrams for drug discovery. J. Chem. Inf. Model. 2011, 51, 2778–2786. [Google Scholar] [CrossRef]
- Hidaka, M.; Fushinobu, S.; Ohtsu, N.; Motoshima, H.; Matsuzawa, H.; Shoun, H.; Wakagi, T. Trimeric crystal structure of the glycoside hydrolase family 42 β-Galactosidase from Thermus thermophilus A4 and the structure of its complex with galactose. J. Microbiol. Biotechn. 2002, 322, 79–91. [Google Scholar] [CrossRef]
- Lu, L.L.; Guo, L.C.; Wang, K.; Liu, Y.; Xiao, M. β-Galactosidases: A great tool for synthesizing galactose-containing carbohydrates. Biotechnol. Adv. 2020, 39, 107465. [Google Scholar] [CrossRef]
- Kong, F.S.; Wang, Y.Q.; Cao, S.G.; Gao, R.J.; Xie, G.Q. Cloning, purification and characterization of a thermostable β-galactosidase from Thermotoga naphthophila RUK-10. Process Biochem. 2014, 49, 775–782. [Google Scholar] [CrossRef]
- Goulas, T.; Goulas, A.; Tzortzis, G.; Gibson, G.R. Comparative analysis of four β-galactosidases from Bifidobacterium bifidum NCIMB41171: Purification and biochemical characterisation. Appl. Microbiol. Biotechnol. 2009, 82, 1079–1088. [Google Scholar] [CrossRef]
- Nakayama, T.; Ochiai, M.; Nakao, M.; Harada, M.; Ueda, T.; Shibano, Y.j. Primary structure and divalent metal ion requirements of a thermostable multimetal β-galactosidase from Saccharopolyspora rectivirgula. J. Appl. Phycol. 1996, 43, 237–245. [Google Scholar] [CrossRef]
- Sun, J.J.; Yao, C.Y.; Wang, W.; Zhuang, Z.; Liu, J.; Dai, F.; Hao, J. Cloning, expression and characterization of a novel cold-adapted β-galactosidase from the deep-sea bacterium Alteromonas sp. ML52. Mar. Drugs 2018, 16, 469. [Google Scholar] [CrossRef] [Green Version]
- Nagano, H.; Kawaguchi, T.; Omori, M.; Shoji, Z.; Arai, M. Molecular cloning and nucleotide sequence of the beta-galactosidase gene from Enterobacter cloacae GAO. Biosci. Biotechnol. Biochem. 1994, 58, 1866–1869. [Google Scholar] [CrossRef] [PubMed]
- Thompson, J. Purication and some properties of phospho-L-galactosidase from the Gram-negative oral bacterium Leptotrichia buccalis ATCC 14201. FEMS Microbiol. Lett. 2002, 214, 183–188. [Google Scholar] [CrossRef] [PubMed] [Green Version]
- Liu, P.; Xie, J.X.; Liu, J.H.; Ouyang, J. A novel thermostable β-galactosidase from Bacillus coagulans with excellent hydrolysis ability for lactose in whey. J. Dairy Sci. 2019, 102, 9740–9748. [Google Scholar] [CrossRef] [PubMed]
- Piotr, H.; Wanarska, M.; Kur, J. A new cold-adapted beta-d-galactosidase from the Antarctic Arthrobacter sp. 32c-gene cloning, overexpression, purification and properties. BMC Microbiol. 2009, 9, 151. [Google Scholar] [CrossRef] [Green Version]
- Fan, Y.T.; Yi, J.; Hua, X.; Feng, Y.H.; Yang, R.J. Structure analysis of a glycosides hydrolase family 42 cold-adapted β-galactosidase from Rahnella sp. R3. RSC Adv. 2016, 6, 37362–37369. [Google Scholar] [CrossRef]
- Sheridan, P.P.; Brenchley, J.E. Characterization of a salt-tolerant family 42 β-galactosidase from a psychrophilic antarctic Planococcus isolate. Appl. Environ. Microbiol. 2000, 66, 2438–2444. [Google Scholar] [CrossRef] [Green Version]
- Fan, Y.T.; Hua, X.; Zhang, Y.Z.; Feng, Y.G.; Shen, Q.Y.; Dong, J.; Zhao, W.; Zhang, W.B.; Jin, Z.Y.; Yang, R.J. Cloning, expression and structural stability of a cold-adapted β-galactosidase from Rahnella sp. R3. Protein Expr. Purif. 2005, 115, 158–164. [Google Scholar] [CrossRef]
- Mandian, S.M.A.; Karimi, E.; Tanipour, M.H.; Parizadeh, S.M.R.; Ghayour-Mobarhan, M.; Bazaz, M.M.; Mashkani, B. Expression of a functional cold active beta-galactosidase from Planococcus sp-L4 in Pichia pastoris. Protein Expr. Purif. 2016, 125, 19–25. [Google Scholar] [CrossRef]
- Hu, J.M.; Li, H.; Cao, L.X.; Wu, P.C.; Zhang, C.T.; Sang, S.L.; Zhang, X.Y.; Chen, M.J.; Lu, J.O.; Liu, Y.H. Molecular cloning and characterization of the gene Encoding cold-active β-galactosidase from a psychrotrophic and halotolerant Planococcus sp. L4. J. Agric. Food Chem. 2007, 55, 2217–2224. [Google Scholar] [CrossRef]
- Yao, C.Y.; Sun, J.J.; Wang, W.; Zhuang, Z.W.; Liu, J.Z.; Hao, J.H. A novel cold-adapted β-galactosidase from Alteromonas sp. ML117 cleaves milk lactose effectively at low temperature. Process Biochem. 2019, 82, 94–101. [Google Scholar] [CrossRef]
- Wierzbicka-Woś, A.; Cieśliński, H.; Wanarska, M.; Kozlowska-Tylingo, K.; Hildebrandt, P.; Kur, J. A novel cold-active β-d-galactosidase from the Paracoccus sp. 32d-gene cloning, purification and characterization. Microb. Cell Fact. 2011, 10, 108. [Google Scholar] [CrossRef] [PubMed] [Green Version]
- Białkowska, A.M.; Cieśliński, H.; Nowakowska, K.M.; Kur, J.; Turkiewicz, M. A new beta-galactosidase with a low temperature optimum isolated from the Antarctic Arthrobacter sp. 20B: Gene cloning, purification and characterization. Arch. Microbiol. 2009, 191, 825–835. [Google Scholar] [CrossRef]
- Li, S.Y.; Zhu, X.J.; Xing, M.X. A new β-galactosidase from the Antarctic bacterium Alteromonas sp. ANT48 and its potential in formation of prebiotic galacto-oligosaccharides. Mar. Drugs 2019, 17, 599. [Google Scholar] [CrossRef] [PubMed] [Green Version]
- Aburtoa, C.; Guerreroa, C.; Verab, C.; Wilsona, L.; Illanesa, A. Co-immobilized β-galactosidase and Saccharomyces cerevisiae cells for the simultaneous synthesis and purification of galacto-oligosaccharides. Enzyme Microb. Technol. 2018, 118, 102–108. [Google Scholar] [CrossRef] [PubMed]
- Dong, Y.N.; Liu, X.M.; Chen, H.Q.; Xia, Y.; Zhang, H.P.; Zhang, H.; Chen, W. Enhancement of the hydrolysis activity of β-galactosidase from Geobacillus stearothermophilus by saturation mutagenesis. J. Dairy Sci. 2011, 94, 1176–1184. [Google Scholar] [CrossRef]
- Shipkowski, S.; Brenchley, J.E. Bioinformatic, genetic, and biochemical evidence that some glycoside hydrolase family 42 β-Galactosidases are arabinogalactan type I oligomer hydrolases. Appl. Environ. Microbiol. 2006, 72, 7730–7738. [Google Scholar] [CrossRef] [Green Version]
- Solomon, H.; Tabachnikov, O.; Feinberg, H.; Govada, L.; Chayen, N.; Shoham, Y.; Shoham, G. Crystallization and preliminary crystallographic analysis of GanB, a GH42 intracellular β-galactosidase from Geobacillus stearothermophilus. Acta Crystallogr. Sect. F Struct. Biol. Cryst. Commun. 2013, 69, 1114–1119. [Google Scholar] [CrossRef]








| Purification Steps | Total Protein (mg) | Total Activity (U) | Specific Activity (U/mg−1) | Purification (-Fold) | Yield (%) |
|---|---|---|---|---|---|
| Crude Enzyme | 190.2 | 1988.1 | 10.45 | 1 | 100 |
| Ammonium Sulfate Fraction | 54.6 | 653.6 | 11.97 | 1.14 | 32.86 |
| Anion-exchange Chromatography | 12.0 | 291.5 | 15.98 | 1.52 | 14.65 |
| Microorganism | Molecular Mass (kDa) | Thermal Stability | Optimum Temperature (°C) | Optimum pH | References | |
|---|---|---|---|---|---|---|
| Time (min/h) | Residual Activity (%) | |||||
| B. aryabhattai | NR (75) a | 36 h (50 °C) | 50 | 45 | 6.0–7.0 | This study |
| 264 h (45 °C) | 50 | |||||
| G. stearothermophilus | NR (70) a | 10 min (70 °C) | 0 | 55 | 6.5 | [17] |
| B. bifidum NCIMB41171 | Bbg I: 875 (160) a Bbg II: 178 (80) a Bbg III: 351 (190) a Bbg IV: 249 (131) a | 3 h (40 °C) | 80 | 50 | 5.4–5.8 (BbgII) 6.4–6.8 | [38] |
| 20 min (55 °C) | 20 | |||||
| B. coagulans NL01 | NR (76.04) a | 3.5 h (60 °C) | 50 | 55–60 | 5.5–6.5 | [43] |
| Arthrobacter sp. 32c | 195.5 (75.9) a | NR | NR | 50 | 6.5–8.5 | [44] |
| Rahnella sp. R3 | 225 (77.1) a | 15 min (45 °C) | 30 | 35 | 6.5 | [45] |
| Planococcus sp. L4 | NR (78) a | 10 min (45 °C) | 0 | 20 | 6.8 | [49] |
| Thermotoga naphthophila RUK-10 | 130–140 (70) a | 10.5 h (75 °C) | 50 | 90 | 6.8 | [37] |
| Arthrobacter sp. ON14 | 116 | NR | NR | 37 | 8.0 | [18] |
| Metallic Cations and EDTA | Relative Activity (%) | |
|---|---|---|
| 1 mM | 5 mM | |
| Control | 100 ± 0.4 | 100 ± 0.3 |
| Mn2+ | 144 ± 2.8 | 181 ± 1.5 |
| Zn2+ | 151 ± 1.4 | 157 ± 2.6 |
| Cu2+ | 0 | 0 |
| Co2+ | 169 ± 1.3 | 183 ± 0.7 |
| Fe2+ | 125 ± 2.1 | 150 ± 2.8 |
| Mg2+ | 122 ± 3.3 | 164 ± 1.4 |
| Ca2+ | 107 ± 2.8 | 157 ± 2.8 |
| EDTA | 49 ± 1.3 | 51 ± 1.8 |
| Substrate | Km (mM) | Vmax (U/mg) | Kcat (s−1) | kcat/Km (s−1 mM−1) |
|---|---|---|---|---|
| oNPG | 14.38 ± 0.65 | 14.66 ± 0.59 | 53.73 ± 2.79 | 3.74 ± 0.16 |
| Lactose | 85.09 ± 3.40 | 1.75 ± 0.09 | 6.56 ± 0.27 | 0.07 ± 0.003 |
Publisher’s Note: MDPI stays neutral with regard to jurisdictional claims in published maps and institutional affiliations. |
© 2022 by the authors. Licensee MDPI, Basel, Switzerland. This article is an open access article distributed under the terms and conditions of the Creative Commons Attribution (CC BY) license (https://creativecommons.org/licenses/by/4.0/).
Share and Cite
Luan, S.; Duan, X. A Novel Thermal-Activated β-Galactosidase from Bacillus aryabhattai GEL-09 for Lactose Hydrolysis in Milk. Foods 2022, 11, 372. https://doi.org/10.3390/foods11030372
Luan S, Duan X. A Novel Thermal-Activated β-Galactosidase from Bacillus aryabhattai GEL-09 for Lactose Hydrolysis in Milk. Foods. 2022; 11(3):372. https://doi.org/10.3390/foods11030372
Chicago/Turabian StyleLuan, Shuyue, and Xuguo Duan. 2022. "A Novel Thermal-Activated β-Galactosidase from Bacillus aryabhattai GEL-09 for Lactose Hydrolysis in Milk" Foods 11, no. 3: 372. https://doi.org/10.3390/foods11030372
APA StyleLuan, S., & Duan, X. (2022). A Novel Thermal-Activated β-Galactosidase from Bacillus aryabhattai GEL-09 for Lactose Hydrolysis in Milk. Foods, 11(3), 372. https://doi.org/10.3390/foods11030372

