The Effects of Thermal Treatment on Lipid Oxidation, Protein Changes, and Storage Stabilization of Rice Bran
Abstract
1. Introduction
2. Materials and Methods
2.1. Dry Heat Treatment of RB
2.2. Determination of Peroxidase Residual Activity (PRA) in RB
2.3. RB Lipase Activity (LA)
2.4. Free Fatty Acid Analysis (FFA)
2.5. Peroxide Value (PV)
2.6. Malondialdehyde (MDA) Analysis
2.7. Fatty Acid Composition (FAC) Analysis
2.8. Crude Protein Content Analysis
2.9. Amino Acid Composition (AAC) Analysis
2.10. SDS-PAGE (Sodium Dodecyl Sulfate-Polyacrylamide Gel Electrophoresis)
2.11. Statistical Analysis
3. Results and Discussion
3.1. Changes in PRA of Dry-Heat-Treated RB during Storage
3.2. Dry-Heat-Treated RB’s Lipase Activity Changes
3.3. FFA Changes in Dry-Heat-Treated RB
3.4. Changes in Peroxide Value of Dry-Heat-Treated RB
3.5. Changes in Malondialdehyde (MDA) Content
3.6. Effect of Dry-Heat-Treated on Fatty Acid Composition (FAC) and Quantity of RB
3.7. Changes in Crude Protein
3.8. Changes in the Amino Acid Composition (AAC)
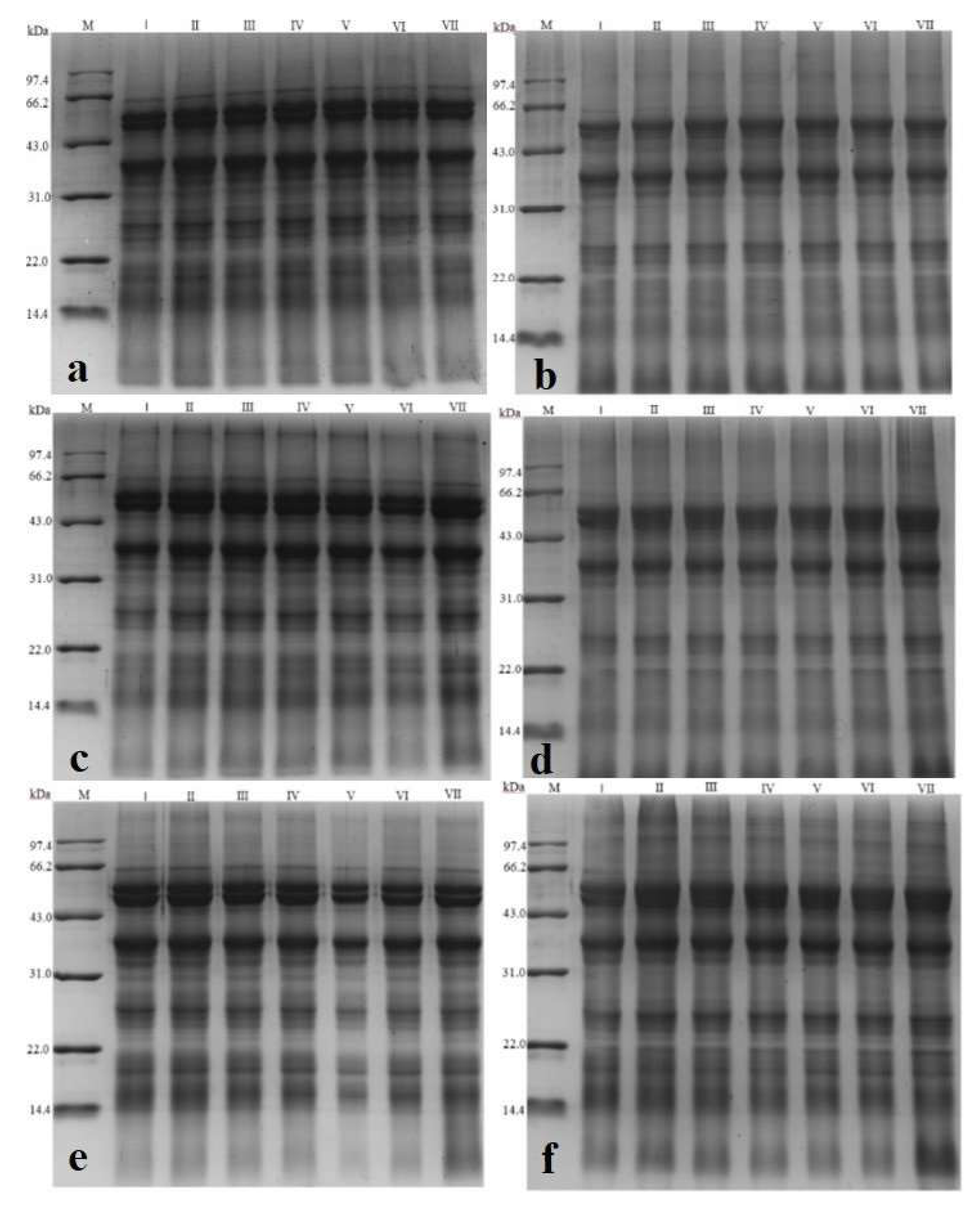
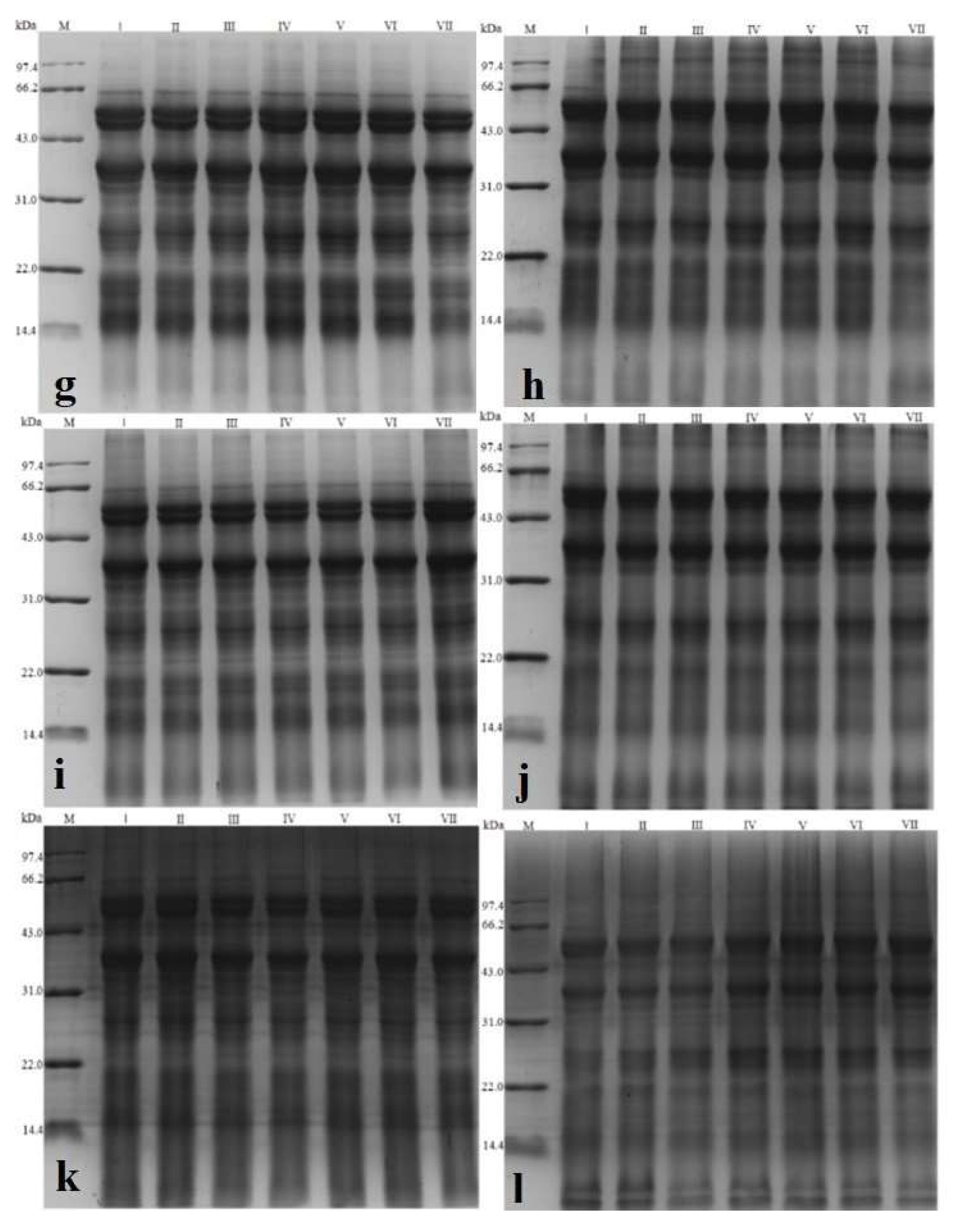
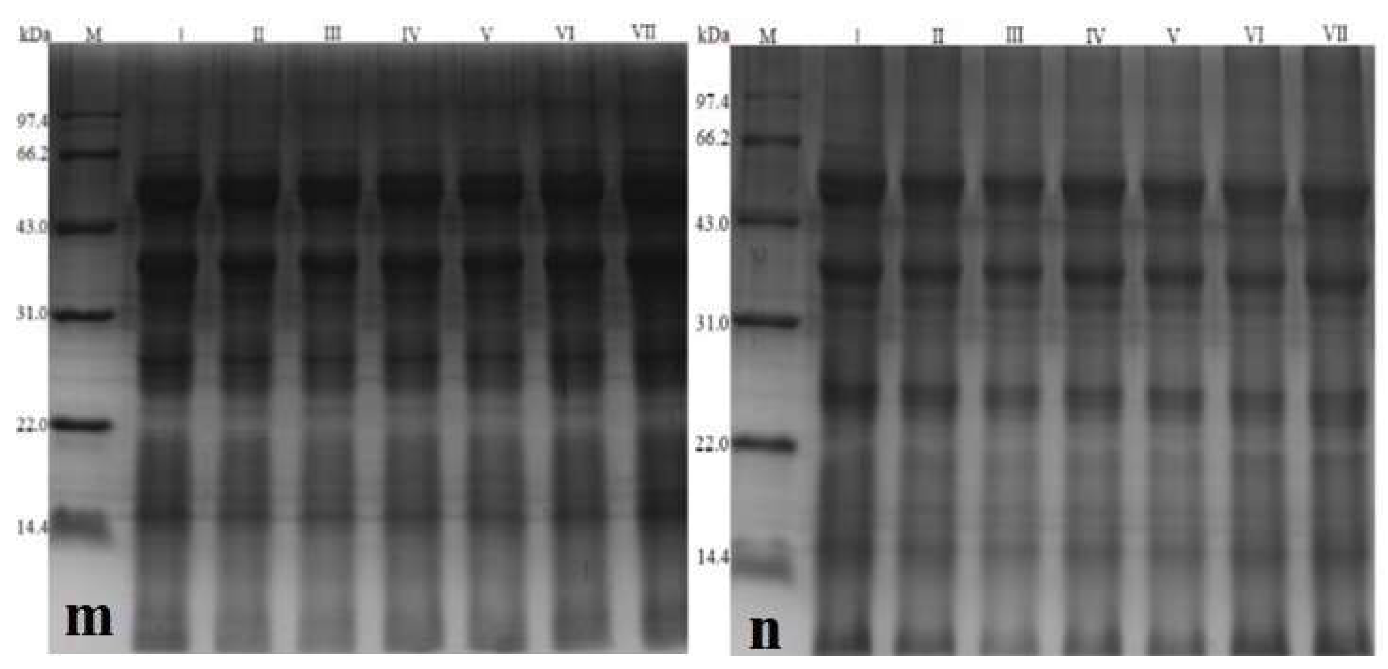
3.9. Electrophoresis Analysis
4. Conclusions
Supplementary Materials
Author Contributions
Funding
Data Availability Statement
Conflicts of Interest
Abbreviations
| AAC | Amino acid composition |
| AAs | Amino acids |
| AOAC | Association of Official Agricultural Chemists |
| CNT | Control |
| FAO | The Food and Agriculture Organization |
| FAC | Fatty acid composition |
| FFA | Free fatty acids |
| PRA | Peroxidase residual activity |
| HCl | Hydrochloric Acid |
| IR | Infrared |
| LA | lipase activity |
| MDA | malondialdehyde content |
| PV | Peroxide value |
| RB | Rice bran |
| SDS-PAGE | Sodium dodecyl sulfate-polyacrylamide gel electrophoresis |
| UFA | Unsaturated fatty acid |
| WHO | World Health Organization |
References
- Xia, N.; Wang, J.; Yang, X.; Yin, S.; Qi, J.; Hu, L.; Zhou, X. Preparation and characterization of protein from heat-stabilized rice bran using hydrothermal cooking combined with amylase pretreatment. J. Food Eng. 2012, 110, 95–101. [Google Scholar] [CrossRef]
- Fabian, C.; Ju, Y.H. A review on rice bran protein: Its properties and extraction methods. Crit. Rev. Food Sci. Nutr. 2011, 51, 816–827. [Google Scholar] [CrossRef] [PubMed]
- Lv, S.W.; Sun, L.H.; Zhao, S.Y.; Bao, Y.M. Effect of dry heat stabilisation on the functional properties of rice bran proteins. Int. J. Food Sci. Technol. 2017, 52, 1836–1843. [Google Scholar] [CrossRef]
- Liang, Y.; Gao, Y.; Lin, Q.; Luo, F.; Wu, W.; Lu, Q.; Liu, Y. A review of the research progress on the bioactive ingredients and physiological activities of rice bran oil. Eur. Food Res. Technol. 2014, 238, 169–176. [Google Scholar] [CrossRef]
- Zhu, S.M.; Lin, S.L.; Ramaswamy, H.S.; Yu, Y.; Zhang, Q.T. Enhancement of functional properties of rice bran proteins by high pressure treatment and their correlation with surface hydrophobicity. Food Bioprocess Technol. 2017, 10, 317–327. [Google Scholar] [CrossRef]
- Lv, S.W.; He, L.Y.; Sun, L.H. Effect of different stabilisation treatments on preparation and functional properties of rice bran proteins. Czech J. Food Sci. 2018, 36, 57–65. [Google Scholar] [CrossRef]
- Watchararuji, K.; Goto, M.; Sasaki, M.; Shotipruk, A. value-added subcritical water hydrolysate from rice bran and soybean meal. Bioresour. Technol. 2008, 99, 6207–6213. [Google Scholar] [CrossRef]
- Khan, S.H.; Butt, M.S.; Sharif, M.K.; Sameen, A.; Mumtaz, S.; Sultan, M.T. Functional properties of protein isolates extracted from stabilized rice bran by microwave, dry heat, and parboiling. J. Agric. Food Chem. 2011, 59, 2416–2420. [Google Scholar] [CrossRef]
- Da Silva, M.A.; Sanches, C.; Amante, E.R. Prevention of hydrolytic rancidity in rice bran. J. Food Eng. 2006, 75, 487–491. [Google Scholar] [CrossRef]
- Sharma, H.R.; Chauhan, G.S.; Agrawal, K. Physico-chemical characteristics of rice bran processed by dry heating and extrusion cooking. Int. J. Food Prop. 2004, 7, 603–614. [Google Scholar] [CrossRef]
- Panjaitan, R.F.; Helwati, H. Effect of heating using autoclave and microwave on the quality of rice bran as food material. IOP Conf. Ser. Earth Environ. Sci. 2019, 364, 8–13. [Google Scholar] [CrossRef]
- Patil, S.S.; Kar, A.; Mohapatra, D. Stabilization of rice bran using microwave: Process optimization and storage studies. Food Bioprod. Process. 2016, 99, 204–211. [Google Scholar] [CrossRef]
- Dhingra, D.; Chopra, S.; Rai, D.R. Stabilization of raw rice bran using ohmic heating. Agric. Res. 2012, 1, 392–398. [Google Scholar] [CrossRef]
- Lakkakula, N.R.; Lima, M.; Walker, T. Rice bran stabilization and rice bran oil extraction using ohmic heating. Bioresour. Technol. 2004, 92, 157–161. [Google Scholar] [CrossRef] [PubMed]
- Thanonkaew, A.; Wongyai, S.; McClements, D.J.; Decker, E.A. Effect of stabilization of rice bran by domestic heating on mechanical extraction yield, quality, and antioxidant properties of cold-pressed rice bran oil (Oryza Saltiva L.). LWT-Food Sci. Technol. 2012, 48, 231–236. [Google Scholar] [CrossRef]
- Pradeep, P.M.; Jayadeep, A.; Guha, M.; Singh, V. Hydrothermal and biotechnological treatments on nutraceutical content and antioxidant activity of rice bran. J. Cereal Sci. 2014, 60, 187–192. [Google Scholar] [CrossRef]
- Yilmaz, N.; Tuncel, N.B.; Kocabiyik, H. Infrared stabilization of rice bran and its effects on γ-oryzanol content, tocopherols and fatty acid composition. J. Sci. Food Agric. 2014, 94, 1568–1576. [Google Scholar] [CrossRef]
- Wang, T.; Khir, R.; Pan, Z.; Yuan, Q. Simultaneous rough rice drying and rice bran stabilization using infrared radiation heating. Lwt 2017, 78, 281–288. [Google Scholar] [CrossRef]
- Boonmawat, S.; Ratphitagsanti, W.; Haruthaitanasan, V. Effect of superheated steam heating on quality and antioxidant activities of riceberry bran. Agric. Nat. Resour. 2019, 53, 130–138. [Google Scholar] [CrossRef]
- Kumar, H.G.A.; Khatoon, S.; Prabhakar, D.S.; Krishna, A.G.G. Effect of cooking of rice bran on the quality of extracted oil. J. Food Lipids 2006, 13, 341–353. [Google Scholar] [CrossRef]
- Akhter, M. Inactivation of lipase enzyme by using chemicals to maximize rice bran shelf life and its edible oil recovery. J. Nutr. Food Sci. 2015, 12, S12002. [Google Scholar] [CrossRef]
- Chen, Y.-H.; Yen, Y.-F.; Chen, S.-D.; Majzoobi, M.; Gavahian, M. Effects of radio frequency heating on the stability and antioxidant properties of rice bran. Foods 2021, 10, 810. [Google Scholar] [CrossRef] [PubMed]
- Kreungngern, D.; Kongbangkerd, T.; Ruttarattanamongkol, K. Optimization of rice bran stabilization by infrared-vacuum process and storage stability. J. Food Process Eng. 2021, 44, e13668. [Google Scholar] [CrossRef]
- Zaghlol, W.Z.; ElShewey, M.A.; Morsy, S.M.; El-Shorbagy, G.A. Effect of some stabilization methods on nutritional composition of rice bran. Zagazig J. Agric. Res. 2018, 45, 985–994. [Google Scholar] [CrossRef]
- Gong, Z.; Yu, G.; Xu, M.; Dou, C. Effect of heating treatment of fresh rice bran on stabilization. Adv. Mater. Res. 2013, 602, 1200–1205. [Google Scholar] [CrossRef]
- Tan, T.C.; Cheng, L.H.; Bhat, R.; Rusul, G.; Easa, A.M. Composition, physicochemical properties and thermal inactivation kinetics of polyphenol oxidase and peroxidase from coconut (Cocos nucifera) water obtained from immature, mature and overly-mature coconut. Food Chem. 2014, 142, 121–128. [Google Scholar] [CrossRef] [PubMed]
- Akter, S.; Ahiduzzaman, M. Effect of Storage Life of Rice Bran on the Quality of Oil. J. Food Nutr. Sci. 2017, 5, 11–15. [Google Scholar]
- Yan, W.; Liu, Q.; Wang, Y.; Tao, T.; Liu, B.; Liu, J.; Ding, C. Inhibition of lipid and aroma deterioration in rice bran by infrared heating. Food Bioprocess Technol. 2020, 13, 1677–1687. [Google Scholar] [CrossRef]
- AOAC. Official Methods of Analysis, 18th ed.; Association of Official Analytical Chemists: Washington, DC, USA, 2007. [Google Scholar]
- AOCS. Official Methods and Recommended Practices of the AOCS, 5th ed.; American Oil Chemists Society: Champaign, IL, USA, 1998. [Google Scholar]
- Parrado, J.; Miramontes, E.; Jover, M.; Márquez, J.C.; Mejias, M.A.; De Teran, L.C.; Absi, E.; Bautista, J. Prevention of brain protein and lipid oxidation elicited by a water-soluble oryzanol enzymatic extract derived from rice bran. Eur. J. Nutr. 2003, 42, 307–314. [Google Scholar] [CrossRef]
- Bagchi, T.B.; Adak, T.; Chattopadhyay, K. Process standardization for rice bran stabilization and its ’ nutritive value. J. Crop Weed 2014, 10, 303–307. [Google Scholar]
- Li, D.; Wang, R.; Yu, D.; Lu, W.H.; Ma, Y. Effects of electrocatalytic treatment on the physicochemical properties of rice bran protein. J. Food Meas. Charact. 2022, 16, 1038–1048. [Google Scholar] [CrossRef]
- Wu, X.; Li, F.; Wu, W. Effects of rice bran rancidity on the oxidation and structural characteristics of rice bran protein. LWT 2020, 120, 108943. [Google Scholar] [CrossRef]
- Ling, B.; Lyng, J.G.; Wang, S. Effects of hot air-assisted radio frequency heating on enzyme inactivation, lipid stability and product quality of rice bran. LWT 2018, 91, 453–459. [Google Scholar] [CrossRef]
- He, R.; Wang, Y.; Zou, Y.; Wang, Z.; Ding, C.; Wu, Y.; Ju, X. Storage characteristics of infrared radiation stabilized rice bran and its shelf-life evaluation by prediction modeling. J. Sci. Food Agric. 2020, 100, 2638–2647. [Google Scholar] [CrossRef] [PubMed]
- Lavanya, M.N.; Saikiran, K.C.S.; Venkatachalapathy, N. Stabilization of rice bran milling fractions using microwave heating and its effect on storage. J. Food Sci. Technol. 2019, 56, 889–895. [Google Scholar] [CrossRef] [PubMed]
- Chotimarkorn, C.; Benjakul, S.; Silalai, N. Antioxidant components and properties of five long-grained rice bran extracts from commercial available cultivars in Thailand. Food Chem. 2008, 111, 636–641. [Google Scholar] [CrossRef]
- Li, B.; Zhao, L.; Chen, H.; Sun, D.; Deng, B.; Li, J.; Liu, Y.; Wang, F. Inactivation of lipase and lipoxygenase of wheat germ with temperature-controlled short wave infrared radiation and its effect on storage stability and quality of wheat germ oil. PLoS ONE 2016, 11, e0167330. [Google Scholar] [CrossRef] [PubMed]
- Ding, C.; Khir, R.; Pan, Z.; Zhao, L.; Tu, K.; El-Mashad, H.; McHugh, T.H. Improvement in shelf life of rough and brown rice using infrared radiation heating. Food Bioprocess Technol. 2015, 8, 1149–1159. [Google Scholar] [CrossRef]
- Pei, Y.; Tao, T.; Yang, G.; Wang, Y.; Yan, W.; Ding, C. Lethal effects and mechanism of infrared radiation on sitophilus zeamais and tribolium castaneum in rough rice. Food Control 2018, 88, 149–158. [Google Scholar] [CrossRef]
- Irakli, M.; Kleisiaris, F.; Mygdalia, A.; Katsantonis, D. Stabilization of rice bran and its effect on bioactive compounds content, antioxidant activity and storage stability during infrared radiation heating. J. Cereal Sci. 2018, 80, 135–142. [Google Scholar] [CrossRef]
- Brennan, C.; Brennan, M.; Derbyshire, E.; Tiwari, B.K. Effects of extrusion on the polyphenols, vitamins and antioxidant activity of foods. Trends Food Sci. Technol. 2011, 22, 570–575. [Google Scholar] [CrossRef]
- Wu, W.; Lin, Q.; Hua, Y.; Wu, Y.; Liang, Y.; Fu, X.; Xiao, H. Study on mechanism of soy protein oxidation induced by lipid peroxidation products. Adv. J. Food Sci. Technol. 2013, 5, 4–53. [Google Scholar] [CrossRef]
- Hu, Y.; Wang, L.; Li, Z. Superheated steam treatment on wheat bran: Enzymes inactivation and nutritional attributes retention. LWT 2018, 91, 446–452. [Google Scholar] [CrossRef]
- Yilmaz, N. Middle infrared stabilization of individual rice bran milling fractions. Food Chem. 2016, 190, 179–185. [Google Scholar] [CrossRef] [PubMed]
- Stan, C. Codex standard for named vegetable oils. Codex Stan 2001, 8, 11–25. [Google Scholar]
- Godber, J.S. Rice bran oil. Gourmet Heal. Spec. Oils 2009, 377–408. [Google Scholar] [CrossRef]
- Satou, K.; Takahashi, Y.; Yoshii, Y. Effect of superheated steam treatment on enzymes related to lipid oxidation of brown rice. Food Sci. Technol. Res. 2010, 16, 93–97. [Google Scholar] [CrossRef][Green Version]
- Lam, H.S.; Proctor, A. Lipid hydrolysis and oxidation on the surface of milled rice. J. Am. Oil Chem. Soc. 2003, 80, 563–567. [Google Scholar] [CrossRef]
- Obadi, M.; Zhu, K.X.; Peng, W.; Noman, A.; Mohammed, K.; Zhou, H.M. Characterization of oil extracted from whole grain flour treated with ozone gas. J. Cereal Sci. 2018, 79, 527–533. [Google Scholar] [CrossRef]
- Mufari, J.R.; Gorostegui, H.A.; Miranda-Villa, P.P.; Bergesse, A.E.; Calandri, E.L. Oxidative stability and characterization of quinoa oil extracted from wholemeal and germ flours. J. Am. Oil Chem. Soc. 2020, 97, 57–66. [Google Scholar] [CrossRef]
- Wanyo, P.; Meeso, N.; Kaewseejan, N.; Siriamornpun, S. Effects of drying methods and enzyme aided on the fatty acid profiles and lipid oxidation of rice by-products. Dry. Technol. 2016, 34, 953–961. [Google Scholar] [CrossRef]
- Eskin, M.H.C.; Shahidi, F. Browning Reaction in Foods. In Biochemistry of Foods, 3rd ed.; Elsevier: Amsterdam, Netherland, 2013. [Google Scholar]
- Park, C.E.; Kim, Y.S.; Park, K.J.; Kim, B.K. Changes in physicochemical characteristics of rice during storage at different temperatures. J. Stored Prod. Res. 2012, 48, 25–29. [Google Scholar] [CrossRef]
- Satter, M.A.; Ara, H.; Jabin, S.A.; Abedin, N.; Azad, A.K.; Hossain, A.; Ara, U. Nutritional composition and stabilization of local variety rice bran BRRI-28. Int. J. Sci. Technol. 2014, 3, 306–313. [Google Scholar]
- Moure, A.; Sineiro, J.; Domínguez, H.; Parajó, J.C. Functionality of oilseed protein products: A review. Food Res. Int. 2006, 39, 945–963. [Google Scholar] [CrossRef]
- Gul, K.; Yousuf, B.; Singh, A.K.; Singh, P.; Wani, A.A. Rice bran: Nutritional values and its emerging potential for development of functional food—A review. Bioact. Carbohydr. Diet. Fibre 2015, 6, 24–30. [Google Scholar] [CrossRef]
- Eker, T.; Darici, M.; Selli, S.; Cabaroglu, T. Comparative evaluation of seed size and growing regions on the chemical compositions of raw and roasted NC-7 peanut cultivars. J. Food Process. Preserv. 2021, 46, e15817. [Google Scholar] [CrossRef]
- Pietrysiak, E.; Smith, D.M.; Smith, B.M.; Ganjyal, G.M. Enhanced functionality of pea-rice protein isolate blends through direct steam injection processing. Food Chem. 2018, 243, 338–344. [Google Scholar] [CrossRef]
- Wang, C.; Xu, F.; Li, D.; Zhang, M. Physico-chemical and structural properties of four rice bran protein fractions based on the multiple solvent extraction method. Czech J. Food Sci. 2015, 33, 283–291. [Google Scholar] [CrossRef]
- Ling, B.; Ouyang, S.; Wang, S. Effect of radio frequency treatment on functional, structural and thermal behaviors of protein isolates in rice bran. Food Chem. 2019, 289, 537–544. [Google Scholar] [CrossRef]
- Nagendra Prasad, M.N.; Sanjay, K.R.; Shravya Khatokar, M.; Vismaya, M.N.; Nanjunda Swamy, S. Health benefits of rice bran—A review. J. Nutr. Food Sci. 2011, 1, 1000108. [Google Scholar] [CrossRef]
- Zhang, H.J.; Zhang, H.; Wang, L.; Guo, X.N. Preparation and functional properties of rice bran proteins from heat-stabilized defatted rice bran. Food Res. Int. 2012, 47, 359–363. [Google Scholar] [CrossRef]








| Dry Heat Treatments (°C min) | Storage Time (d) | Myristic Acid (%) | Palmitic Acid (%) | Stearic Acid (%) | Oleic Acid (%) | Linoleic Acid (%) | Linolenic Acid (%) | Arachidic Acid (%) | Arachidonic Acid (%) | Saturated Fatty Acid (%) | Unsaturated Fatty Acid (%) | O/L |
|---|---|---|---|---|---|---|---|---|---|---|---|---|
| Control group | 0 | 0.26 ± 0.02 a | 16.91 ± 0.01 a | 1.30 ± 0.03 a | 41.61 ± 0.04 b | 37.24 ± 0.12 a | 0.57 ± 0.03 a | 1.48 ± 0.07 a | 0.63 ± 0.06 a | 19.95 ± 0.07 a | 80.05 ± 0.07 b | 1.12 ± 0.00 a |
| 60 | 0.24 ± 0.01 a | 16.08 ± 0.02 b | 1.24 ± 0.00 a | 42.26 ± 0.02 a | 37.56 ± 0.03 a | 0.55 ± 0.01 a | 1.45 ± 0.02 a | 0.61 ± 0.01 a | 19.02± 0.05 b | 80.98± 0.05 a | 1.13 ± 0.00 a | |
| 120 °C 233 min | 0 | 0.24 ± 0.00 aA | 16.75 ± 0.04 aA | 1.27 ± 0.03 aA | 42.23 ± 0.09 aA | 37.03 ± 0.06 aB | 0.57 ± 0.05 aA | 1.42 ± 0.01 aA | 0.47 ± 0.19 aA | 19.69 ± 0.01 aAB | 80.31 ± 0.01 aAB | 1.14 ± 0.00 aA |
| 60 | 0.24 ± 0.02 aA | 16.71 ± 0.08 aA | 1.30 ± 0.04 aA | 42.19 ± 0.13 aA | 36.94 ± 0.09 aB | 0.59 ± 0.05 aA | 1.42 ± 0.02 aB | 0.60 ± 0.00 aB | 19.67 ± 0.00 aB | 80.33 ± 0.00 aB | 1.14 ± 0.01 aA | |
| 120 °C 143 min | 0 | 0.27 ± 0.01 aA | 16.73 ± 0.00 aA | 1.40 ± 0.13 aA | 42.11 ± 0.01 aB | 36.95 ± 0.02 aB | 0.59 ± 0.02 aA | 1.45 ± 0.05 aA | 0.60 ± 0.00 aA | 19.84 ± 0.12 aA | 80.16 ± 0.12 aB | 1.13 ± 0.00 bB |
| 60 | 0.25 ± 0.02 aA | 16.74 ± 0.03 aA | 1.31 ± 0.02 aA | 42.19 ± 0.13 aA | 36.94 ± 0.09 aB | 0.59 ± 0.05 aA | 1.42 ± 0.02 aAB | 0.60 ± 0.00 aB | 19.75 ± 0.02 aA | 80.25 ± 0.02 aC | 1.14 ± 0.00 aA | |
| 120 °C 88 min | 0 | 0.27 ± 0.05 aA | 16.57 ± 0.07 aB | 1.26 ± 0.05 aA | 41.89 ± 0.02 bB | 37.35 ± 0.04 aA | 0.59 ± 0.02 aA | 1.46 ± 0.00 bA | 0.61 ± 0.04 aA | 19.56 ± 0.07 aB | 80.44 ± 0.07 aA | 1.12 ± 0.00 bC |
| 60 | 0.22 ± 0.01 aA | 16.50 ± 0.04 aB | 1.28 ± 0.03 aA | 42.07 ± 0.02 aA | 37.17 ± 0.03 bA | 0.58 ± 0.02 aA | 1.52 ± 0.01 bA | 0.66 ± 0.00 abA | 19.52 ± 0.01 aC | 80.48 ± 0.01 aA | 1.13 ± 0.00 aA | |
| 130 °C 86 min | 0 | 0.30 ± 0.01 aA | 16.61 ± 0.07 aA | 1.83 ± 0.84 aA | 41.68 ± 0.25 aA | 36.75 ± 0.25 aA | 0.58 ± 0.06 aA | 1.53 ± 0.11 aA | 0.71 ± 0.10 aA | 20.27 ± 0.66 aA | 79.73 ± 0.66 aA | 1.13 ± 0.00 aA |
| 60 | 0.22 ± 0.04 aA | 16.60 ± 0.02 aA | 1.31 ± 0.05 aA | 42.14 ± 0.03 aA | 37.13 ± 0.05 aB | 0.56 ± 0.02 aA | 1.44 ± 0.01 aA | 0.60 ± 0.01 aA | 19.57 ± 0.08 aA | 80.43 ± 0.08 aA | 1.13 ± 0.00 aA | |
| 130 °C 66 min | 0 | 0.26 ± 0.00 aB | 16.64 ± 0.01 aA | 1.27 ± 0.00 aA | 41.97 ± 0.00 aA | 37.24 ± 0.06 aA | 0.57 ± 0.03 aA | 1.45 ± 0.03 aA | 0.59 ± 0.03 aA | 19.62 ± 0.00 aA | 80.38 ± 0.00 aA | 1.13 ± 0.00 aB |
| 60 | 0.22 ± 0.01 bA | 16.54 ± 0.02 bA | 1.32 ± 0.11 aA | 42.05 ± 0.14 aA | 37.26 ± 0.03 aA | 0.59 ± 0.01 aA | 1.43 ± 0.01 aA | 0.59 ± 0.00 aA | 19.52 ± 0.15 aA | 80.48 ± 0.15 aA | 1.13 ± 0.00 aAB | |
| 130 °C 50 min | 0 | 0.27 ± 0.01 aB | 16.60 ± 0.04 aA | 1.28 ± 0.02 aA | 42.03 ± 0.03 aA | 37.13 ± 0.09 aA | 0.63 ± 0.05 aA | 1.46 ± 0.04 aA | 0.60 ± 0.03 aA | 19.62 ± 0.03 aA | 80.38 ± 0.03 aA | 1.13 ± 0.00 aA |
| 60 | 0.24 ± 0.00 bA | 16.63 ± 0.09 aA | 1.31 ± 0.08 aA | 41.92 ± 0.08 aA | 37.28 ± 0.03 aA | 0.58 ± 0.03 aA | 1.44 ± 0.02 aA | 0.59 ± 0.04 aA | 19.63 ± 0.03 aA | 80.37 ± 0.03 aA | 1.12 ± 0.00 aB |
| Dry Heat Treatments (°C min) | Storage Time (d) | ||||||
|---|---|---|---|---|---|---|---|
| 0 | 10 | 20 | 30 | 40 | 50 | 60 | |
| Untreated | 14.43 ± 0.04 a | 14.44 ± 0.01 a | 14.39 ± 0.02 a | 14.38 ± 0.07 a | 14.44 ± 0.14 a | 14.40 ± 0.13 a | 14.40 ± 0.11 a |
| 120 °C 233 min | 14.63 ± 0.13 a | 14.67 ± 0.16 a | 14.49 ± 0.06 a | 14.66 ± 0.13 a | 14.42 ± 0.08 a | 14.66 ± 0.13 a | 14.53 ± 0.21 a |
| 120 °C 143 min | 14.41 ± 0.10 a | 14.36 ± 0.28 a | 14.42 ± 0.09 a | 14.42 ± 0.09 a | 14.45 ± 0.23 a | 14.47 ± 0.07 a | 14.34 ± 0.17 a |
| 120 °C 88 min | 14.41 ± 0.10 a | 14.26 ± 0.27 a | 14.42 ± 0.09 a | 14.38 ± 0.17 a | 14.29 ± 0.17 a | 14.44 ± 0.07 a | 14.34 ± 0.17 a |
| 130 °C 86 min | 14.49 ± 0.03 a | 14.61 ± 0.10 a | 14.52 ± 0.02 a | 14.36 ± 0.14 a | 14.67 ± 0.21 a | 14.64 ± 0.20 a | 14.48 ± 0.02 a |
| 130 °C 66 min | 14.39 ± 0.15 a | 14.64 ± 0.14 a | 14.49 ± 0.02 a | 14.45 ± 0.14 a | 14.61 ± 0.21 a | 14.58 ± 0.20 a | 14.52 ± 0.02 a |
| 130 °C 50 min | 14.36 ± 0.15 a | 14.46 ± 0.09 a | 14.52 ± 0.01 a | 14.46 ± 0.08 a | 14.47 ± 0.04 a | 14.36 ± 0.15 a | 14.44 ± 0.06 a |
| 120 °C | 130 °C | |||||||||||
|---|---|---|---|---|---|---|---|---|---|---|---|---|
| Amino Acid (mg/g) | 233 min | 143 min | 88 min | 86 min | 66 min | 50 min | ||||||
| 0 Day | 60 Days | 0 Day | 60 Days | 0 Day | 60 Days | 0 Day | 60 Days | 0 Day | 60 Days | 0 Day | 60 Days | |
| Aspartic acid | 4.58 bB | 5.09 aA | 4.68 bB | 5.10 aA | 5.57 aA | 5.04 abA | 5.23 aB | 4.59 cC | 5.30 aB | 5.25 aB | 5.69 aA | 5.71 aA |
| Threonine | 1.92 aB | 1.93 aA | 1.95 aB | 1.91 aA | 2.24 aA | 1.91 bA | 2.20 aB | 1.71 bC | 2.33 aAB | 1.96 cB | 2.41 aA | 2.16 bA |
| Serine | 2.76 aB | 2.44 cAB | 2.67 aB | 2.41 aB | 3.01 aA | 2.57 aA | 2.92 bA | 2.30 cC | 3.04 aA | 2.60 cB | 3.05 aA | 3.02 aA |
| Glutamic acid | 8.15 cB | 9.38 aA | 8.61 aB | 9.08 aA | 10.27 aA | 9.21 bA | 9.61 aA | 8.22 dC | 9.12 abB | 9.52 aB | 9.60 aA | 9.82 aA |
| Glycine | 3.21 bA | 3.45 aA | 3.26 aA | 3.37 aA | 3.60 aA | 3.47 aA | 3.50 aA | 3.11 bC | 3.47 aA | 3.50 aB | 3.64 aA | 3.74 aA |
| Alanine | 3.62 cB | 4.20 aA | 3.57 aB | 4.19 aA | 3.93 aA | 3.90 aA | 3.91 aB | 3.72 bC | 4.07 aB | 4.23 aB | 4.33 aA | 4.61 aA |
| Cystine | 0.28 aA | 0.33 aA | 0.40 aA | 0.28 aA | 0.40 aA | 0.34 aA | 0.48 aA | 0.26 bA | 0.55 aA | 0.26 bA | 0.48 aA | 0.26 bA |
| Valine | 3.23 bC | 3.60 aA | 3.39 aB | 3.49 aA | 3.73 aA | 3.44 aA | 3.55 aB | 3.07 cB | 3.60 aB | 3.68 aA | 3.92 aA | 3.60 abA |
| Methionine | 0.24 aC | 0.38 aA | 0.49 aB | 0.43 aA | 1.03 aA | 0.40 bA | 0.63 abB | 0.44 bC | 0.81 aAB | 0.48 cB | 0.93 aA | 0.53 dA |
| Isoleucine | 2.27 bA | 2.53 aA | 2.192 cA | 2.54 abA | 2.43 aA | 2.46 aA | 2.45 aA | 2.27 cA | 2.46 aA | 2.48 aA | 2.64 aA | 2.66 aA |
| Leucine | 4.25 bB | 4.47 aAB | 4.07 aC | 4.6 bA | 4.56 aA | 4.40 aB | 4.60 aB | 4.14 bC | 4.64 aB | 4.68 aB | 5.01 aA | 5.09 aA |
| Tyrosine | 2.10 bB | 2.29 aA | 2.17 aB | 2.32 aA | 2.40 aA | 2.19 bA | 2.33 aA | 2.01 bB | 2.25 aA | 2.28 aAB | 2.45 aA | 2.53 aA |
| Phenylalanine | 2.8 bB | 3.06 aA | 3.02 aAB | 3.10 aA | 3.20 aA | 2.88 bA | 3.05 aB | 2.71 bC | 3.09 aB | 3.16 aB | 3.33 aA | 3.32 aA |
| Histidine | 1.786 bC | 2.46 aA | 2.31 bB | 2.60 aA | 2.59 aA | 2.28 abA | 1.74 bB | 2.31 aA | 1.93 bAB | 2.69 aA | 2.08 bA | 2.65 aA |
| Lysine | 3.27 bB | 3.55 aA | 3.28 bB | 3.60 aA | 3.63 aA | 3.44 bA | 3.42 abB | 3.29 bC | 3.62 aB | 3.70 aB | 4.10 aA | 4.11 aA |
| Arginine | 5.88 cB | 6.42 abA | 5.71 bC | 6.43 aA | 6.57 aA | 6.04 abA | 6.41 aA | 5.46 cB | 5.90 cC | 6.61 aA | 6.18 bB | 6.77 aA |
| Proline | 2.47 aB | 2.10 aA | 2.27 aB | 2.30 aA | 3.03 aA | 2.41 bA | 2.77 aB | 2.05 bC | 2.82 cB | 2.37 aB | 2.98 aA | 2.55 bA |
| TAA | 52.38 dC | 57.52 bA | 53.46 cB | 56.99 bA | 62.83 aA | 57.82 bA | 58.45 bB | 51.69 dC | 59.31 aB | 59.26 aB | 63.96 aA | 63.53 aA |
| EAA | 18.05 bB | 19.51 aA | 18.38 aB | 19.69 aA | 20.82 aA | 18.91 abA | 19.90 aB | 17.63 acB | 20.55 aB | 20.14 aA | 22.34 aA | 21.46 aA |
| NEAA | 34.33 dC | 38.02 bAB | 35.07 dB | 37.30 cB | 42.01 aA | 38.90 bA | 38.54 bB | 34.05 dC | 38.75 aB | 39.12 aB | 41.62 aA | 42.07 aA |
| E/T (%) | 34.46 bA | 33.91 aA | 34.39 aA | 34.55 aA | 33.14 aA | 32.72 aA | 34.06 aA | 34.12 aA | 34.66 abA | 33.98 bA | 34.94 aA | 33.78 aA |
| E/N (%) | 52.59 aA | 51.31 abA | 52.41 aA | 52.80 aA | 49.56 aA | 48.63 aA | 51.65 aA | 51.79 aA | 53.04 aA | 51.47 aA | 53.71 aA | 51.02 aA |
Publisher’s Note: MDPI stays neutral with regard to jurisdictional claims in published maps and institutional affiliations. |
© 2022 by the authors. Licensee MDPI, Basel, Switzerland. This article is an open access article distributed under the terms and conditions of the Creative Commons Attribution (CC BY) license (https://creativecommons.org/licenses/by/4.0/).
Share and Cite
Rashid, M.T.; Liu, K.; Han, S.; Jatoi, M.A. The Effects of Thermal Treatment on Lipid Oxidation, Protein Changes, and Storage Stabilization of Rice Bran. Foods 2022, 11, 4001. https://doi.org/10.3390/foods11244001
Rashid MT, Liu K, Han S, Jatoi MA. The Effects of Thermal Treatment on Lipid Oxidation, Protein Changes, and Storage Stabilization of Rice Bran. Foods. 2022; 11(24):4001. https://doi.org/10.3390/foods11244001
Chicago/Turabian StyleRashid, Muhammad Tayyab, Kunlun Liu, Simeng Han, and Mushtaq Ahmed Jatoi. 2022. "The Effects of Thermal Treatment on Lipid Oxidation, Protein Changes, and Storage Stabilization of Rice Bran" Foods 11, no. 24: 4001. https://doi.org/10.3390/foods11244001
APA StyleRashid, M. T., Liu, K., Han, S., & Jatoi, M. A. (2022). The Effects of Thermal Treatment on Lipid Oxidation, Protein Changes, and Storage Stabilization of Rice Bran. Foods, 11(24), 4001. https://doi.org/10.3390/foods11244001

