The Spatial Distribution Patterns, Physicochemical Properties, and Structural Characterization of Proteins in Oysters (Crassostrea hongkongensis)
Abstract
1. Introduction
2. Materials and Methods
2.1. Materials
2.2. Extraction of Proteins
2.3. Amino Acid Analysis
2.4. Sodium Dodecyl Sulfate-Polyacrylamide gel Electrophoresis (SDS-PAGE)
2.5. Differential Scanning Calorimetry (DSC) Analysis
2.6. UV Spectroscopy
2.7. Fourier Transform–Infrared Spectroscopy (FTIR) Analysis
2.8. Circular Dichroism (CD) Analysis
2.9. Fluorescence Spectroscopy Analysis
2.10. Statistical Analysis
3. Results and Discussion
3.1. Protein Composition Analysis
3.2. Amino Acid Analysis
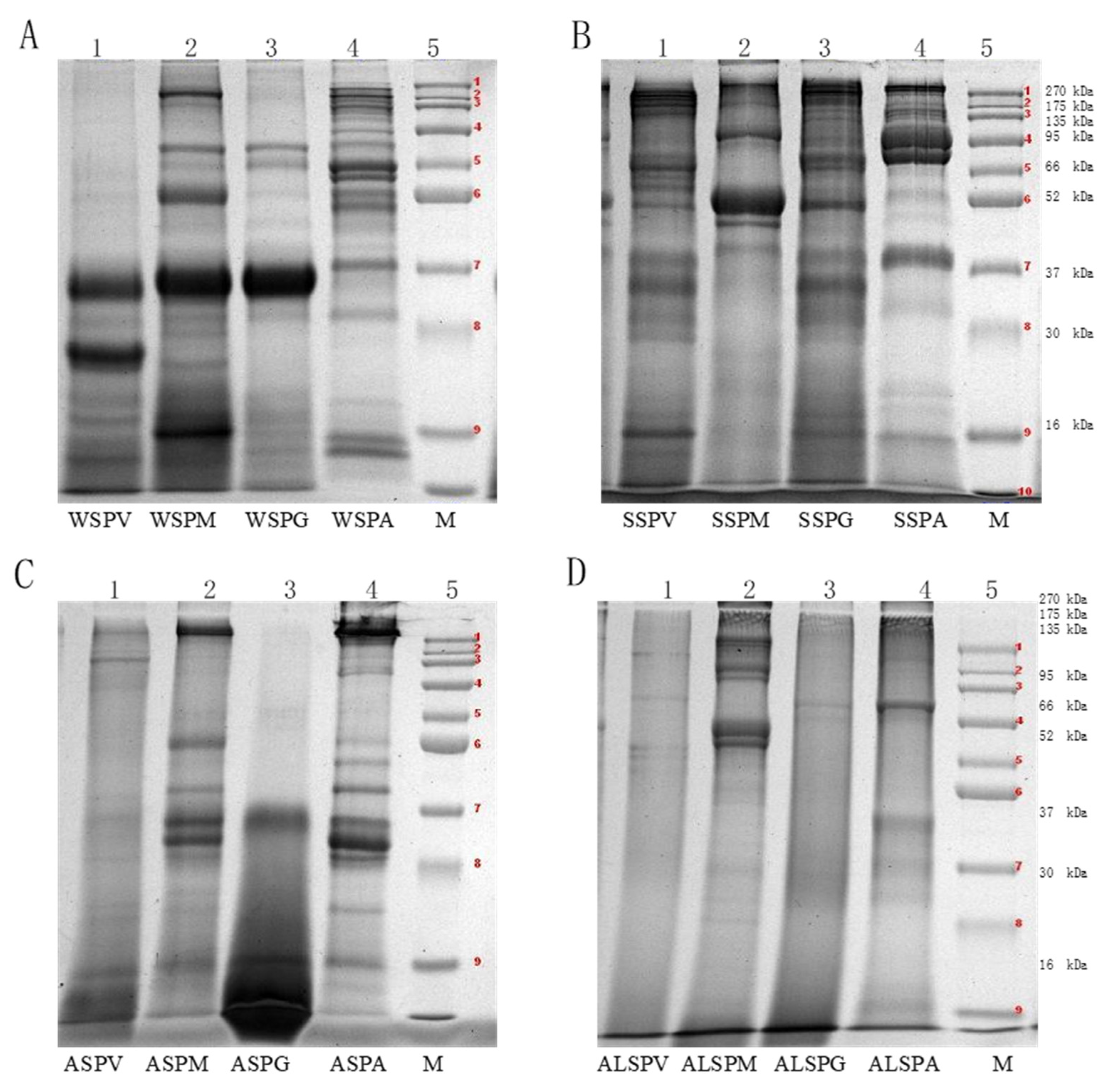
3.3. The Molecular Weight Distribution of Proteins
3.4. The Thermal Stability Analysis
3.5. Secondary Structure of Proteins in Different Parts of the Oyster
3.6. Conformation of Proteins in Different Parts of Oyster
4. Conclusions
Supplementary Materials
Author Contributions
Funding
Institutional Review Board Statement
Informed Consent Statement
Data Availability Statement
Conflicts of Interest
References
- Ministry of Agriculture and Rural Affairs of the People’s Republic of China. China Fishery Statistical Yearbook; China Agriculture Press: Beijing, China, 2022; pp. 1–182.
- Qin, Y.; Li, X.; Li, J.; Zhou, Y.; Xiang, Z.; Ma, H.; Noor, Z.; Mo, R.; Zhang, Y.; Yu, Z. Seasonal variations in biochemical composition and nutritional quality of Crassostrea hongkongensis, in relation to the gametogenic cycle. Food Chem. 2021, 356, 129736. [Google Scholar] [CrossRef] [PubMed]
- Qin, Y.; Zhang, Y.; Ma, H.; Wu, X.; Xiao, S.; Li, J.; Mo, R.; Yu, Z. Comparison of the biochemical composition and nutritional quality between diploid and triploid Hong Kong Oysters, Crassostrea hongkongensis. Front. Physiol. 2018, 9, 1674. [Google Scholar] [CrossRef] [PubMed]
- Chen, D.-W.; Zhang, M.; Shrestha, S. Compositional characteristics and nutritional quality of Chinese mitten crab (Eriocheir sinensis). Food Chem. 2007, 103, 1343–1349. [Google Scholar] [CrossRef]
- Murata, Y.; Touhata, K.; Miwa, R. Correlation of extractive components and body index with taste in oyster Crassostrea gigas brands. Fish. Sci. 2020, 86, 561–572. [Google Scholar] [CrossRef]
- Jiang, S.; Liu, L.; Xu, J.; Zeng, M.; Zhao, Y. Amino acid composition and digestibility of Pacific oyster (Crassostrea gigas) proteins isolated from different parts. LWT 2019, 116, 108591. [Google Scholar] [CrossRef]
- Zhang, F.; Jiang, S.; Feng, X.; Wang, R.; Zeng, M.; Zhao, Y. Physicochemical state and in vitro digestibility of heat treated water-soluble protein from Pacific oyster (Crassostrea gigas). Food Biosci. 2020, 34, 100528. [Google Scholar] [CrossRef]
- Zhang, F.; Jiang, S.; Feng, X.; Wang, R.; Zeng, M.; Zhao, Y. Effect of heat treatment on physicochemical state and in vitro digestion of salt-soluble protein from Pacific oyster (Crassostrea gigas). LWT 2020, 134, 110126. [Google Scholar] [CrossRef]
- Kong, N.; Zhao, Q.; Liu, C.; Li, J.; Liu, Z.; Gao, L.; Wang, L.; Song, L. The involvement of zinc transporters in the zinc accumulation in the Pacific oyster Crassostrea gigas. Gene 2020, 750, 144759. [Google Scholar] [CrossRef]
- Liu, F.; Wang, W.-X. Proteome pattern in oysters as a diagnostic tool for metal pollution. J. Hazard. Mater. 2012, 239–240, 241–248. [Google Scholar] [CrossRef]
- Yang, X.; Lv, C.; Zhang, S.; Zhao, G.; Ma, C. Zn2+ rather than Ca2+ or Mg2+ used as a cofactor in non-muscular actin from the oyster to control protein polymerization. Biochim. Biophys. Acta (BBA) Gen. Subj. 2013, 1830, 4179–4188. [Google Scholar] [CrossRef]
- Zheng, Z.; Kawakami, K.; Zhang, D.; Negishi, L.; Abomosallam, M.; Asakura, T.; Nagata, K.; Suzuki, M. Identification and functional analysis of cadmium-binding protein in the visceral mass of Crassostrea gigas. Sci. Rep. 2021, 11, 1–14. [Google Scholar] [CrossRef]
- Liu, Z.; Guo, Z.; Wu, D.; Fei, X.; Ei-Seedi, H.R.; Wang, C. High-pressure homogenization influences the functional properties of protein from oyster (Crassostrea gigas). LWT 2021, 151, 112107. [Google Scholar] [CrossRef]
- Wang, X.; Yu, H.; Xing, R.; Liu, S.; Chen, X.; Li, P. Optimization of Oyster (Crassostrea talienwhanensis) Protein hydrolysates using response surface methodology. Molecules 2020, 25, 2844. [Google Scholar] [CrossRef]
- Chen, X.; Guo, M.; Sang, Y.; Sun, J. Effect of ball-milling treatment on the structure, physicochemical properties and allergenicity of proteins from oyster (Crassostrea gigas). LWT 2022, 166, 113803. [Google Scholar] [CrossRef]
- Feng, C.; Tian, L.; Jiao, Y.; Tan, Y.; Liu, C.; Luo, Y.; Hong, H. The effect of steam cooking on the proteolysis of pacific oyster (Crassostrea gigas) proteins: Digestibility, allergenicity, and bioactivity. Food Chem. 2022, 379, 132160. [Google Scholar] [CrossRef]
- Mazorra-Manzano, M.; Ramírez-Suárez, J.; Moreno-Hernández, J.; Pacheco-Aguilar, R. Seafood proteins. In Proteins in Food Processing, 2nd ed.; Woodhead Publishing: Sawston, UK, 2018; pp. 445–475. [Google Scholar] [CrossRef]
- Zheng, H.; Zhang, C.; Qin, X.; Gao, J.; Li, T. Study on the protein fractions extracted from the muscle tissue of Pinctada martensii and their hydrolysis by pancreatin. Int. J. Food Sci. Technol. 2012, 47, 2228–2234. [Google Scholar] [CrossRef]
- Olaechea, R.P.; Ushio, H.; Watabe, S.; Takada, K.; Hatae, K. Toughness and collagen content of abalone muscles. Biosci. Biotechnol. Biochem. 1993, 57, 6–11. [Google Scholar] [CrossRef]
- Li, S.; He, Z.; Li, M.; Li, R.; Lu, J.; Li, H. A study of the physicochemical properties of rabbit glycated myofibrillary protein with high solubility in low ionic strength medium. Int. J. Biol. Macromol. 2020, 147, 241–249. [Google Scholar] [CrossRef]
- Karnjanapratum, S.; Benjakul, S.; Kishimura, H.; Tsai, Y.-H. Chemical compositions and nutritional value of Asian hard clam (Meretrix lusoria) from the coast of Andaman Sea. Food Chem. 2013, 141, 4138–4145. [Google Scholar] [CrossRef]
- Pan, C.; Ishizaki, S.; Nagashima, Y.; Gao, J.; Watabe, S. Isolation and cDNA cloning of a novel red colour-related pigment-binding protein derived from the shell of the shrimp, Litopenaeus vannamei. Food Chem. 2018, 241, 104–112. [Google Scholar] [CrossRef]
- FAO/WHO. Energy and protein requirements: Report of a joint FAO-WHO ad hoc expert committee. WHO Tech. Rep. Ser. 1973, 522, 1–118. [Google Scholar]
- Tavares, W.P.S.; Dong, S.; Yang, Y.; Zeng, M.; Zhao, Y. Influence of cooking methods on protein modification and in vitro digestibility of hairtail (Thichiurus lepturus) fillets. LWT 2018, 96, 476–481. [Google Scholar] [CrossRef]
- Yu, J.-J.; Ji, H.; Chen, Y.; Zhang, Y.-F.; Zheng, X.-C.; Li, S.-H. Analysis of the glycosylation products of peanut protein and lactose by cold plasma treatment: Solubility and structural characteristics. Int. J. Biol. Macromol. 2020, 158, 1194–1203. [Google Scholar] [CrossRef] [PubMed]
- Liu, Y.; Sun, Q.; Wei, S.; Xia, Q.; Pan, Y.; Ji, H.; Deng, C.; Hao, J.; Liu, S. Insight into the correlations among rheological behaviour, protein molecular structure and 3D printability during the processing of surimi from golden pompano (Trachinotus ovatus). Food Chem. 2021, 371, 131046. [Google Scholar] [CrossRef] [PubMed]
- Wang, Y.; Jiang, S.; Zhao, Y.; Zeng, M. Physicochemical and rheological changes of oyster (Crassostrea gigas) protein affected by high-pressure homogenization. LWT 2020, 134, 110143. [Google Scholar] [CrossRef]
- Gao, J.; Wang, Z.; Wang, J.; Jin, X.; Guo, Y.; Li, K.; Li, Y.; Kang, P. Spectroscopic studies on interaction and sonodynamic damage of metallochlorophyllin (Chl-M (M=Fe, Zn and Cu)) to protein under ultrasonic irradiation. Spectrochim. Acta Part A Mol. Biomol. Spectrosc. 2011, 79, 849–857. [Google Scholar] [CrossRef]
- Zou, H.; Zhao, N.; Li, S.; Sun, S.; Dong, X.; Yu, C. Physicochemical and emulsifying properties of mussel water-soluble proteins as affected by lecithin concentration. Int. J. Biol. Macromol. 2020, 163, 180–189. [Google Scholar] [CrossRef]
- Cao, W.; Zhang, C.; Hong, P.; Ji, H.; Hao, J.; Zhang, J. Autolysis of shrimp head by gradual temperature and nutritional quality of the resulting hydrolysate. LWT 2008, 42, 244–249. [Google Scholar] [CrossRef]
- Bartoň, L.; Bureš, D.; Kotrba, R.; Sales, J. Comparison of meat quality between eland (Taurotragus oryx) and cattle (Bos taurus) raised under similar conditions. Meat Sci. 2014, 96, 346–352. [Google Scholar] [CrossRef]
- Lorenzo, J.M.; Pateiro, M. Influence of type of muscles on nutritional value of foal meat. Meat Sci. 2013, 93, 630–638. [Google Scholar] [CrossRef]
- Li, W.; Xu, C.; Zhang, C.; Cao, W.; Qin, X.; Gao, J.; Zheng, H. The purification and identification of immunoregulatory peptides from oyster (Crassostrea hongkongensis) enzymatic hydrolysate. RSC Adv. 2019, 9, 32854–32863. [Google Scholar] [CrossRef] [PubMed]
- Wu, G. Amino acids: Metabolism, functions, and nutrition. Amino Acids 2009, 37, 1–17. [Google Scholar] [CrossRef] [PubMed]
- Yuasa, M.; Kawabeta, K.; Eguchi, A.; Abe, H.; Yamashita, E.; Koba, K.; Tominaga, M. Characterization of taste and micronutrient content of rock oysters (Crassostrea nippona) and Pacific oysters (Crassostrea gigas) in Japan. Int. J. Gastron. Food Sci. 2018, 13, 52–57. [Google Scholar] [CrossRef]
- Özden, ö.; Erkan, N. A preliminary study of amino acid and mineral profiles of important and estimable 21 seafood species. Br. Food J. 2011, 113, 457–469. [Google Scholar] [CrossRef]
- Yu, Y.; Hu, Q.; Liu, J.; Su, A.; Xu, H.; Li, X.; Huang, Q.; Zhou, J.; Mariga, A.M.; Yang, W. Isolation, purification and identification of immunologically active peptides from Hericium erinaceus. Food Chem. Toxicol. 2021, 151, 112111. [Google Scholar] [CrossRef]
- Chalamaiah, M.; Yu, W.; Wu, J. Immunomodulatory and anticancer protein hydrolysates (peptides) from food proteins: A review. Food Chem. 2017, 245, 205–222. [Google Scholar] [CrossRef]
- Bai, Y.; Zeng, X.; Zhang, C.; Zhang, T.; Wang, C.; Han, M.; Zhou, G.; Xu, X. Effects of high hydrostatic pressure treatment on the emulsifying behavior of myosin and its underlying mechanism. LWT 2021, 146, 111397. [Google Scholar] [CrossRef]
- Jiang, S.; Li, M.; Chang, R.; Xiong, L.; Sun, Q. In vitro inhibition of pancreatic α-amylase by spherical and polygonal starch nanoparticles. Food Funct. 2017, 9, 355–363. [Google Scholar] [CrossRef]
- Sun, M.; Mu, T.; Sun, H.; Zhang, M. Digestibility and structural properties of thermal and high hydrostatic pressure treated sweet potato (Ipomoea batatas L.) protein. Mater. Veg. 2014, 69, 270–275. [Google Scholar] [CrossRef]
- Ruiz, G.A.; Opazo-Navarrete, M.; Meurs, M.; Minor, M.; Sala, G.; Van Boekel, M.; Stieger, M.; Janssen, A.E.M. Denaturation and in vitro gastric digestion of heat-treated quinoa protein isolates obtained at various extraction pH. Food Biophys. 2016, 11, 184–197. [Google Scholar] [CrossRef]
- Salazar-Villanea, S.; Bruininx, E.M.A.M.; Gruppen, H.; Hendriks, W.H.; Carré, P.; Quinsac, A.; Van Der Poel, A.F.B. Physical and chemical changes of rapeseed meal proteins during toasting and their effects on in vitro digestibility. J. Anim. Sci. Biotechnol. 2016, 7, 62. [Google Scholar] [CrossRef] [PubMed]
- Pursell, D.P. Introduction to general, organic, and biochemistry, 9th edition (by Frederick A. Bettelheim, William H. Brown, Mary K. Campbell, and Shawn O. Farrell) and general, organic, and biological chemistry, 5th edition (by H. Stephen Stoker). J. Chem. Educ. 2009, 86, 1274. [Google Scholar] [CrossRef][Green Version]
- Meng, C.; Wang, K.; Zhang, X.; Zhu, X. Purification and structure analysis of zinc-binding protein from Mizuhopecten yessoensis. J. Food Biochem. 2021, 45, e13756. [Google Scholar] [CrossRef] [PubMed]
- Pinilla, C.M.B.; Brandelli, A.; López-Caballero, M.E.; Montero, P.; Gómez-Guillén, M.D.C. Structural features of myofibrillar fish protein interacting with phosphatidylcholine liposomes. Food Res. Int. 2020, 137, 109687. [Google Scholar] [CrossRef]
- Savadkoohi, S.; Bannikova, A.; Mantri, N.; Kasapis, S. Structural properties of condensed ovalbumin systems following application of high pressure. Food Hydrocoll. 2016, 53, 104–114. [Google Scholar] [CrossRef]
- Shevkani, K.; Singh, N.; Chen, Y.; Kaur, A.; Yu, L. Pulse proteins: Secondary structure, functionality and applications. J. Food Sci. Technol. 2019, 56, 2787–2798. [Google Scholar] [CrossRef]
- Wang, R.; Jiang, S.; Li, Y.; Xu, Y.; Zhang, T.; Zhang, F.; Feng, X.; Zhao, Y.; Zeng, M. Effects of high pressure modification on conformation and digestibility properties of oyster protein. Molecules 2019, 24, 3273. [Google Scholar] [CrossRef]
- Carbonaro, M.; Maselli, P.; Nucara, A. Relationship between digestibility and secondary structure of raw and thermally treated legume proteins: A Fourier transform infrared (FT-IR) spectroscopic study. Amino Acids 2011, 43, 911–921. [Google Scholar] [CrossRef]
- Dong, X.; Wang, J.; Raghavan, V. Impact of microwave processing on the secondary structure, in-vitro protein digestibility and allergenicity of shrimp (Litopenaeus vannamei) proteins. Food Chem. 2020, 337, 127811. [Google Scholar] [CrossRef]
- Yu, C.; Cha, Y.; Wu, F.; Fan, W.; Xu, X.; Du, M. Effects of ball-milling treatment on mussel (Mytilus edulis) protein: Structure, functional properties and in vitro digestibility. Int. J. Food Sci. Technol. 2017, 53, 683–691. [Google Scholar] [CrossRef]
- Lin, H.; Li, Z.; Lin, H.; Song, Y.; Lv, L.; Hao, Z. Effect of pH shifts on IgE-binding capacity and conformational structure of tropomyosin from short-neck clam (Ruditapes philippinarum). Food Chem. 2015, 188, 248–255. [Google Scholar] [CrossRef] [PubMed]







| Amino Acids | Reference (mg/g Protein) | WSP | SSP | ASP | ALSP | ||||||||||||
|---|---|---|---|---|---|---|---|---|---|---|---|---|---|---|---|---|---|
| V | M | G | A | V | M | G | A | V | M | G | A | V | M | G | A | ||
| Val | 50.00 | 122.44 | 119.73 | 83.20 | 80.70 | 120.05 | 95.73 | 87.54 | 74.33 | 90.99 | 92.51 | 79.17 | 91.29 | 100.78 | 103.78 | 81.86 | 74.94 |
| Met+Cys | 35.00 | 66.85 | 72.51 | 87.99 | 30.41 | 74.10 | 65.24 | 89.12 | 34.14 | 61.02 | 50.54 | 82.42 | 65.39 | 74.09 | 67.51 | 71.74 | 82.62 |
| Ile | 40.00 | 97.49 | 113.88 | 98.36 | 105.24 | 114.17 | 124.78 | 102.72 | 100.32 | 114.37 | 108.75 | 88.66 | 133.71 | 127.08 | 126.64 | 94.16 | 96.00 |
| Leu | 70.00 | 83.27 | 131.07 | 101.81 | 119.37 | 131.42 | 135.29 | 110.44 | 135.48 | 136.30 | 137.58 | 88.48 | 139.48 | 130.50 | 120.68 | 101.34 | 98.84 |
| Phe+Tyr | 60.00 | 120.90 | 113.33 | 137.32 | 120.73 | 113.63 | 118.32 | 137.24 | 103.24 | 123.21 | 126.44 | 134.87 | 119.61 | 147.34 | 157.79 | 151.91 | 112.20 |
| Lys | 55.00 | 131.13 | 144.64 | 122.83 | 136.91 | 145.02 | 150.36 | 142.39 | 151.30 | 139.01 | 132.22 | 102.85 | 161.01 | 124.84 | 118.22 | 105.00 | 81.13 |
| Trp | 10.00 | 163.54 | 178.95 | 1215.74 | 1172.36 | 148.43 | 101.00 | 1066.58 | 787.19 | 127.64 | 153.30 | 1138.86 | 37.31 | 141.45 | 183.78 | 1305.71 | 209.89 |
| Tissue | WSP | SSP | ASP | ALSP |
|---|---|---|---|---|
| Visceral mass | Mb, cathepsin L, cathepsin V, albumen | MHC, MYL, A, TM | keratin I, MYL, peptide | tropoelastin, collagen, gelatin |
| Mantle | Mb, cathepsin L, cathepsin V, AAP, hemoglobin | MHC, A, PM | keratin I, collagen, gelatin, MYL | tropoelastin, collagen, gelatin |
| Gill | cathepsin V, AAP, hemoglobin | MHC, MYL, A, TM | MYL, peptide | gelatin |
| Adductor | cathepsin K, LAP, AAP, albumen, hemoglobin | MHC, MYL, PM, TM | keratin I, collagen, gelatin, MYL | collagen |
Publisher’s Note: MDPI stays neutral with regard to jurisdictional claims in published maps and institutional affiliations. |
© 2022 by the authors. Licensee MDPI, Basel, Switzerland. This article is an open access article distributed under the terms and conditions of the Creative Commons Attribution (CC BY) license (https://creativecommons.org/licenses/by/4.0/).
Share and Cite
Li, W.; Du, R.; Majura, J.J.; Chen, Z.; Cao, W.; Zhang, C.; Zheng, H.; Gao, J.; Lin, H.; Qin, X. The Spatial Distribution Patterns, Physicochemical Properties, and Structural Characterization of Proteins in Oysters (Crassostrea hongkongensis). Foods 2022, 11, 2820. https://doi.org/10.3390/foods11182820
Li W, Du R, Majura JJ, Chen Z, Cao W, Zhang C, Zheng H, Gao J, Lin H, Qin X. The Spatial Distribution Patterns, Physicochemical Properties, and Structural Characterization of Proteins in Oysters (Crassostrea hongkongensis). Foods. 2022; 11(18):2820. https://doi.org/10.3390/foods11182820
Chicago/Turabian StyleLi, Wan, Ran Du, Julieth Joram Majura, Zhongqin Chen, Wenhong Cao, Chaohua Zhang, Huina Zheng, Jialong Gao, Haisheng Lin, and Xiaoming Qin. 2022. "The Spatial Distribution Patterns, Physicochemical Properties, and Structural Characterization of Proteins in Oysters (Crassostrea hongkongensis)" Foods 11, no. 18: 2820. https://doi.org/10.3390/foods11182820
APA StyleLi, W., Du, R., Majura, J. J., Chen, Z., Cao, W., Zhang, C., Zheng, H., Gao, J., Lin, H., & Qin, X. (2022). The Spatial Distribution Patterns, Physicochemical Properties, and Structural Characterization of Proteins in Oysters (Crassostrea hongkongensis). Foods, 11(18), 2820. https://doi.org/10.3390/foods11182820

