Effect of Washing Times on the Quality Characteristics and Protein Oxidation of Silver Carp Surimi
Abstract
:1. Introduction
2. Materials and Methods
2.1. Materials
2.2. Preparation of Surimi
2.3. Proximate Analysis
2.4. Fatty Acid Composition
2.5. Determination of Whiteness
2.6. Determination of pH
2.7. Chemical Analysis of Surimi
2.8. Preparation of Surimi Gels
2.9. Determination of Gel Strength
2.10. Determination of Water Holding Capacity (WHC)
2.11. Determination of Low Field Nuclear Magnetic Resonance (LF-NMR)
2.12. Fourier Transform Infrared (FTIR) Spectroscopy
2.13. Scanning Electron Microscopy (SEM)
2.14. Preparation of Myofibrillar Protein (MP)
2.15. Determination of Carbonyl Content
2.16. Determination of Total Sulphydryl Group Content
2.17. SDS-Polyacrylamide Gel Electrophoresis (SDS-PAGE)
2.18. Statistical Analysis
3. Results and Discussion
3.1. Basic Composition of Surimi
3.2. Fatty Acid Composition of Surimi
3.3. Physicochemical Characteristics of Surimi
3.4. FTIR Spectra
3.5. Low Field NMR Relaxation
3.6. Microstructures of Surimi Gel
3.7. Protein Oxidation of Surimi during 4 °C Refrigeration
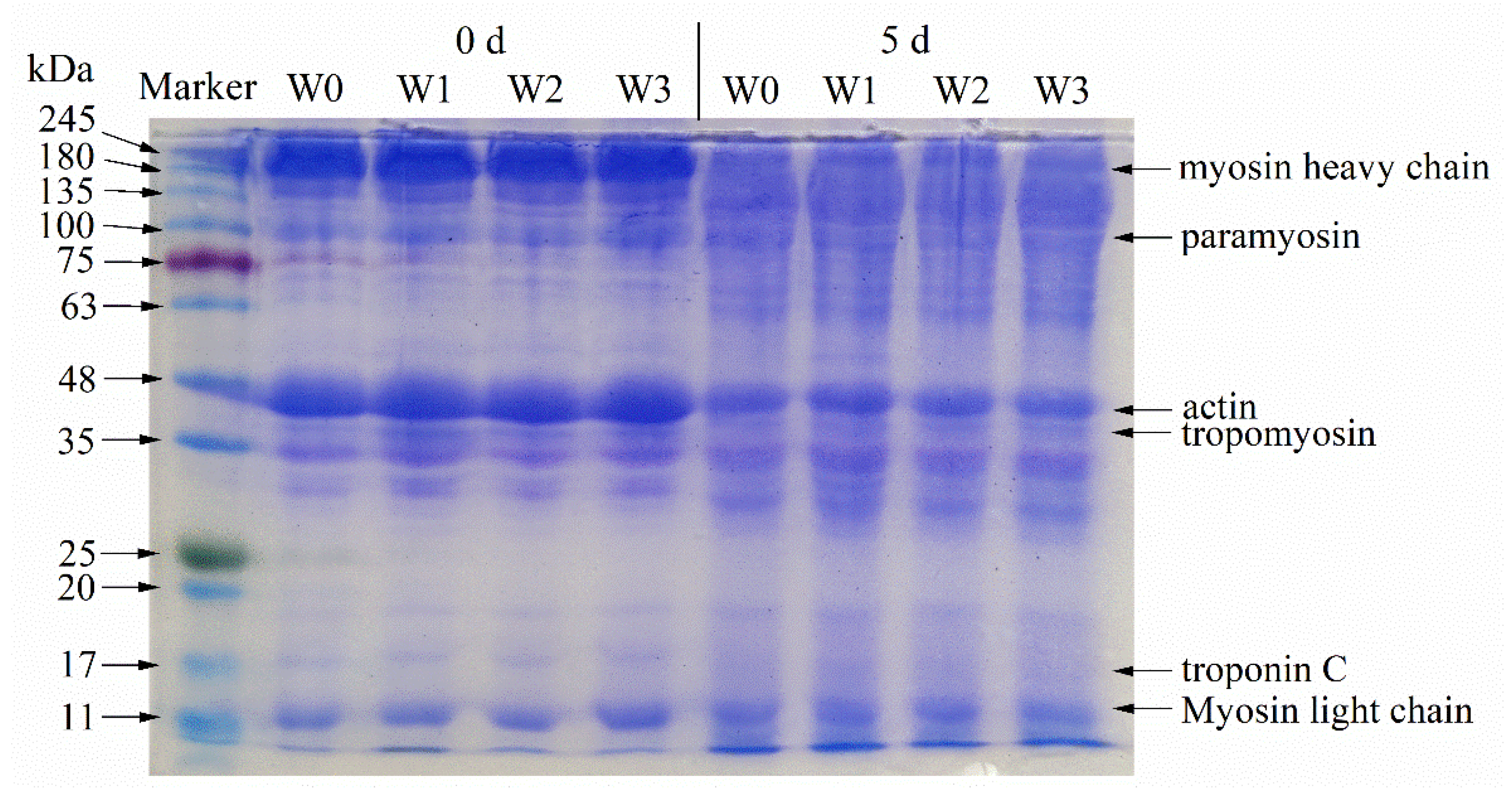
3.8. SDS-PAGE Profiles of Surimi
4. Conclusions
Supplementary Materials
Author Contributions
Funding
Institutional Review Board Statement
Informed Consent Statement
Data Availability Statement
Conflicts of Interest
References
- Zhou, X.; Lin, H.; Zhu, S.; Xu, X.; Lyu, F.; Ding, Y. Textural, rheological and chemical properties of surimi nutritionally-enhanced with lecithin. LWT-Food Sci. Technol. 2020, 122, 108984. [Google Scholar] [CrossRef]
- Wang, Y.F.; Li, B.F.; Zhang, Z.H. Effect of Rinsing on Gel Strength and Texture Properties of Sliver Carp Surimi. Food Sci. 2013, 34, 122–125. [Google Scholar] [CrossRef]
- The State Statistical Bureau. China Statistical Yearbook; China Statistics Press: Beijing, China, 2020. [Google Scholar]
- Li, P.; Yang, H.; Zhu, Y.; Wang, Y.; Bai, D.; Dai, R.; Ren, X.; Yang, H.; Ma, L. Influence of washing and cold storage on lipid and protein oxidation in catfish (Clarias lazera) surimi. J. Aquat. Food Prod. Technol. 2016, 25, 790–801. [Google Scholar] [CrossRef]
- Eymard, S.; Baron, C.P.; Jacobsen, C. Oxidation of lipid and protein in horse mackerel (Trachurus trachurus) mince and washed minces during processing and storage. Food Chem. 2009, 114, 57–65. [Google Scholar] [CrossRef]
- Priyadarshini, B.; Xavier, K.M.; Nayak, B.B.; Dhanapal, K.; Balange, A.K. Instrumental quality attributes of single washed surimi gels of tilapia: Effect of different washing media. LWT-Food Sci. Technol. 2017, 86, 385–392. [Google Scholar] [CrossRef]
- Somjid, P.; Panpipat, W.; Cheong, L.Z.; Chaijan, M. Reduced Washing Cycle for Sustainable Mackerel (Rastrelliger kanagurta) Surimi Production: Evaluation of Bio-Physico-Chemical, Rheological, and Gel-Forming Properties. Foods 2021, 10, 2717. [Google Scholar] [CrossRef]
- Granata, L.A.; Flick, G.J., Jr.; Martin, R.E. (Eds.) The Seafood Industry: Species, Products, Processing, and Safety; John Wiley & Sons: Hoboken, NJ, USA, 2012. [Google Scholar]
- Zhang, L.; Li, Q.; Hong, H.; Luo, Y. Prevention of protein oxidation and enhancement of gel properties of silver carp (Hypophthalmichthys molitrix) surimi by addition of protein hydrolysates derived from surimi processing by-products. Food Chem. 2020, 316, 126343. [Google Scholar] [CrossRef]
- AOAC. Official Methods of Analysis of the Association of Analytical Chemists International, 18th ed.; AOAC: Gaithersburg, MD, USA, 2005. [Google Scholar]
- Xiong, G.; Cheng, W.; Ye, L.; Du, X.; Zhou, M.; Lin, R.; Geng, S.; Chen, M.; Corke, H.; Cai, Y.Z. Effects of konjac glucomannan on physicochemical properties of myofibrillar protein and surimi gels from grass carp (Ctenopharyngodon idella). Food Chem. 2009, 116, 413–418. [Google Scholar] [CrossRef]
- Alipour, H.J.; Rezaei, M.; Shabanpour, B.; Tabarsa, M. Effects of sulfated polysaccharides from green alga Ulva intestinalis on physicochemical properties and microstructure of silver carp surimi. Food Hydrocolloids 2018, 74, 87–96. [Google Scholar] [CrossRef]
- Priyadarshini, B.; Xavier, M.; Nayak, B.B.; Apang, T.; Balange, A.K. Quality characteristics of tilapia surimi: Effect of single washing cycle and different washing media. J. Aquat. Food Prod. Technol. 2018, 27, 643–655. [Google Scholar] [CrossRef]
- Zhou, X.; Chen, T.; Lin, H.; Chen, H.; Liu, J.; Lyu, F.; Ding, Y. Physicochemical properties and microstructure of surimi treated with egg white modified by tea polyphenols. Food Hydrocoll. 2019, 90, 82–89. [Google Scholar] [CrossRef]
- Zhang, F.; Fang, L.; Wang, C.; Shi, L.; Chang, T.; Yang, H.; Cui, M. Effects of starches on the textural, rheological, and color properties of surimi–beef gels with microbial tranglutaminase. Meat Sci. 2013, 93, 533–537. [Google Scholar] [CrossRef]
- Jin, S.K.; Kim, I.S.; Kim, S.J.; Jeong, K.J.; Choi, Y.J.; Hur, S.J. Effect of muscle type and washing times on physico-chemical characteristics and qualities of surimi. J. Food Eng. 2007, 81, 618–623. [Google Scholar] [CrossRef]
- Yin, T.; Yao, R.; Ullah, I.; Xiong, S.; Huang, Q.; You, J.; Hu, Y.; Shi, L. Effects of nanosized okara dietary fiber on gelation properties of silver carp surimi. LWT-Food Sci. Technol. 2019, 111, 111–116. [Google Scholar] [CrossRef]
- Zhang, X.; Dai, Z.; Zhang, Y.; Dong, Y.; Hu, X. Structural characteristics and stability of salmon skin protein hydrolysates obtained with different proteases. LWT-Food Sci. Technol. 2022, 153, 112460. [Google Scholar] [CrossRef]
- Shi, L.; Yin, T.; Huang, Q.; You, J.; Hu, Y.; Jia, D.; Xiong, S. Effects of filleting methods on composition, gelling properties and aroma profile of grass carp surimi. Food Sci. Hum. Wellness 2021, 10, 308–315. [Google Scholar] [CrossRef]
- Liu, Q.; Chen, Q.; Kong, B.; Han, J.; He, X. The influence of superchilling and cryoprotectants on protein oxidation and structural changes in the myofibrillar proteins of common carp (Cyprinus carpio) surimi. LWT-Food Sci. Technol. 2014, 57, 603–611. [Google Scholar] [CrossRef]
- Balange, A.K.; Benjakul, S. Effect of oxidised tannic acid on the gel properties of mackerel (Rastrelliger kanagurta) mince and surimi prepared by different washing processes. Food Hydrocoll. 2009, 23, 1693–1701. [Google Scholar] [CrossRef]
- Zhang, X.; Zhang, Y.; Dong, Y.; Ding, H.; Chen, K.; Lu, T.; Dai, Z. Study on the mechanism of protein hydrolysate delaying quality deterioration of frozen surimi. LWT-Food Sci. Technol. 2022, 167, 113767. [Google Scholar] [CrossRef]
- Somjid, P.; Panpipat, W.; Chaijan, M. Carbonated water as a novel washing medium for mackerel (Auxis thazard) surimi production. J. Food Sci. Technol. 2017, 54, 3979–3988. [Google Scholar] [CrossRef]
- Chaijan, M.; Benjakul, S.; Visessanguan, W.; Faustman, C. Characteristics and gel properties of muscles from sardine (Sardinella gibbosa) and mackerel (Rastrelliger kanagurta) caught in Thailand. Food Res. Int. 2004, 37, 1021–1030. [Google Scholar] [CrossRef]
- Chaijan, M.; Srirattanachot, K.; Panpipat, W. Biochemical property and gel-forming ability of surimi-like material from goat meat. Int. J. Food Sci. Technol. 2021, 56, 988–998. [Google Scholar] [CrossRef]
- Fan, W.; Chi, Y.; Zhang, S. The use of a tea polyphenol dip to extend the shelf life of silver carp (Hypophthalmicthys molitrix) during storage in ice. Food Chem. 2008, 108, 148–153. [Google Scholar] [CrossRef]
- Ning, H.Q.; Wang, Z.S.; Li, Y.Q.; Tian, W.L.; Sun, G.J.; Mo, H.Z. Effects of glycinin basic polypeptide on the textural and physicochemical properties of Scomberomorus niphonius surimi. LWT-Food Sci. Technol. 2019, 114, 108328. [Google Scholar] [CrossRef]
- Phetsang, H.; Panpipat, W.; Undeland, I.; Panya, A.; Phonsatta, N.; Chaijan, M. Comparative quality and volatilomic characterisation of unwashed mince, surimi, and pH-shift-processed protein isolates from farm-raised hybrid catfish (Clarias macrocephalus× Clarias gariepinus). Food Chem. 2021, 364, 130365. [Google Scholar] [CrossRef] [PubMed]
- Wongwichian, C.; Klomklao, S.; Panpipat, W.; Benjakul, S.; Chaijan, M. Interrelationship between myoglobin and lipid oxidations in oxeye scad (Selar boops) muscle during iced storage. Food Chem. 2015, 174, 279–285. [Google Scholar] [CrossRef]
- Kong, B.; Geng, X.; Gao, X.; Li, Z. Effects of different rinsing methods on gel properties of silver carp surimi. Food Ind. 2000, 1, 41–43. [Google Scholar]
- Baxter, S.R.; Skonberg, D.I. Gelation properties of previously cooked minced meat from Jonah crab (Cancer borealis) as affected by washing treatment and salt concentration. Food Chem. 2008, 109, 332–339. [Google Scholar] [CrossRef]
- Karthikeyan, M.; Dileep, A.A.; Shamasundar, B.A. Effect of water washing on the functional and rheological properties of proteins from threadfin bream (Nemipterus japonicus) meat. Int. J. Food Sci. Technol. 2006, 41, 1002–1010. [Google Scholar] [CrossRef]
- Sun, J.Y.; Qian, F.; Jiang, S.J.; Tuo, Y.F.; Mu, G.Q. Effect of heat treatments on the secondary structure of milk proteins analyzed by Fourier transform infrared spectroscopy. Food Sci. 2017, 38, 82–86. [Google Scholar] [CrossRef]
- Liu, F.; Lin, W.; Li, L.; Wu, Y.; Yang, S.; Huang, H.; Yang, Q.; Lin, Z. Mechanism underlying protein changes during processing and gelation of sea bass surimi. Food Sci. 2020, 41, 15–22. [Google Scholar] [CrossRef]
- Yuan, K.; Zhang, L.; Gu, D.; Fan, Z.; Wang, X.; Li, Y.; Liu, Y. Protein oxidation in minced Silver carp (Hypophthalmichthys molitrix) during washing process. Food Ferment. Ind. 2017, 43, 30–36. [Google Scholar] [CrossRef]
- Li, F.; Wang, B.; Kong, B.; Shi, S.; Xia, X. Decreased gelling properties of protein in mirror carp (Cyprinus carpio) are due to protein aggregation and structure deterioration when subjected to freeze-thaw cycles. Food Hydrocolloids 2019, 97, 105223. [Google Scholar] [CrossRef]
- Zhang, L.; Xue, Y.; Xu, J.; Li, Z.; Xue, C. Effects of high-temperature treatment (≥100°C) on Alaska Pollock (Theragra chalcogramma) surimi gels. J. Food Eng. 2013, 115, 115–120. [Google Scholar] [CrossRef]
- Wang, R.; Gao, R.; Xiao, F.; Zhou, X.; Wang, H.; Xu, H.; Gong, C.; Huang, P.; Zhao, Y. Effect of chicken breast on the physicochemical properties of unwashed sturgeon surimi gels. LWT-Food Sci. Technol. 2019, 113, 108306. [Google Scholar] [CrossRef]
- Pan, J.; Jia, H.; Shang, M.; Xu, C.; Lian, H.; Li, H.; Dong, X. Physiochemical properties and tastes of gels from Japanese Spanish mackerel (Scomberomorus niphonius) surimi by different washing processes. J. Texture Stud. 2018, 49, 578–585. [Google Scholar] [CrossRef] [PubMed]
- Bertram, H.C.; Meyer, R.L.; Wu, Z.; Zhou, X.; Andersen, H.J. Water distribution and microstructure in enhanced pork. J. Agric. Food Chem. 2008, 56, 7201–7207. [Google Scholar] [CrossRef] [PubMed]
- Kang, G.H.; Kim, S.H.; Kim, J.H.; Kang, H.K.; Kim, D.W.; Na, J.C.; Yu, D.J.; Suh, O.S.; Choi, Y.H. Effects of washing methods on gel properties of chicken surimi prepared from spent hen breast muscle. Poult. Sci. 2009, 88, 1438–1443. [Google Scholar] [CrossRef]
- Wang, Z.; Tu, J.; Zhou, H.; Lu, A.; Xu, B. A comprehensive insight into the effects of microbial spoilage, myoglobin autoxidation, lipid oxidation, and protein oxidation on the discoloration of rabbit meat during retail display. Meat Sci. 2021, 172, 108359. [Google Scholar] [CrossRef]
- Li, T.; Niu, L.; Li, X.; Wang, F.; Huang, Y.; Liu, Y. Formation of advanced glycation end-products in silver carp (Hypophthalmichthys molitrix) surimi products during heat treatment as affected by freezing-thawing cycles. Food Chem. 2022, 395, 133612. [Google Scholar] [CrossRef]
- An, Y.; You, J.; Xiong, S.; Yin, T. Short-term frozen storage enhances cross-linking that was induced by transglutaminase in surimi gels from silver carp (Hypophthalmichthys molitrix). Food Chem. 2018, 257, 216–222. [Google Scholar] [CrossRef] [PubMed]
- Ma, Y.; Xiong, S.; You, J.; Hu, Y.; Huang, Q.; Yin, T. Effects of vacuum chopping on physicochemical and gelation properties of myofibrillar proteins from silver carp (Hypophthalmichthys molitrix). Food Chem. 2018, 245, 557–563. [Google Scholar] [CrossRef] [PubMed]





| Moisture Content (%) | Protein Content (%) | Lipid Content (%) | Ash Content (%) | |
|---|---|---|---|---|
| W0 | 73.14 ± 0.98 a | 24.71 ± 0.65 b | 1.52 ± 0.06 c | 0.53 ± 0.03 a |
| W1 | 74.00 ± 0.91 ab | 24.19 ± 0.53 b | 1.24 ± 0.04 b | 0.53 ± 0.04 a |
| W2 | 75.44 ± 0.32 bc | 22.87 ± 0.39 a | 1.19 ± 0.06 ab | 0.53 ± 0.02 a |
| W3 | 76.30 ± 0.46 c | 22.21 ± 0.44 a | 1.10 ± 0.04 a | 0.52 ± 0.02 a |
| Fatty Acid Composition (%) | W0 | W1 | W2 | W3 |
|---|---|---|---|---|
| C12:0 | 0.16 ± 0.00 c | 0.71 ± 0.01 d | 0.11 ± 0.00 b | nd a |
| C13:0 | 20.10 ± 0.09 c | 20.74 ± 0.21 d | 18.42 ± 0.23 b | 15.26 ± 0.17 a |
| C14:0 | 3.08 ± 0.01 b | 2.99 ± 0.03 a | 7.76 ± 0.00 c | 9.33 ± 0.01 d |
| C16:0 | 14.71 ± 0.00 b | 14.50 ± 0.02 a | 14.52 ± 0.09 a | 14.66 ± 0.10 ab |
| C17:0 | 1.07 ± 0.00 b | 1.22 ± 0.00 c | nd a | nd a |
| C18:0 | 2.22 ± 0.00 b | 3.71 ± 0.01 d | 2.78 ± 0.00 c | 2.14 ± 0.05 a |
| C20:0 | 4.42 ± 0.00 b | nd a | nd a | nd a |
| C22:0 | 0.24 ± 0.00 b | 0.29 ± 0.00 c | nd a | nd a |
| ∑Saturated | 46.00 ± 0.09 d | 44.15 ± 0.16 c | 43.60 ± 0.13 b | 41.40 ± 0.12 a |
| C14:1 | 1.34 ± 0.00 d | 0.87 ± 0.00 c | 0.71 ± 0.01 b | 0.51 ± 0.01 a |
| C16:1 | 9.55 ± 0.00 b | 9.42 ± 0.01 b | 9.02 ± 0.06 a | 11.55 ± 0.17 c |
| C18:1 | 17.56 ± 0.21 a | 18.84 ± 0.15 b | 19.66 ± 0.20 c | 19.55 ± 0.29 c |
| C20:1 | 2.54 ± 0.01 a | 3.07 ± 0.02 d | 2.94 ± 0.04 c | 2.72 ± 0.04 b |
| C24:1 | 1.62 ± 0.00 d | 1.17 ± 0.00 a | 1.29 ± 0.00 c | 1.20 ± 0.01 b |
| ∑Monounsaturated | 32.62 ± 0.21 a | 33.37 ± 0.18 b | 33.62 ± 0.22 b | 35.53 ± 0.08 c |
| C18:2 | 2.61 ± 0.02 a | 3.22 ± 0.01 c | 3.22 ± 0.01 c | 2.98 ± 0.01 b |
| C18:3n6 | 4.22 ± 0.08 a | 4.83 ± 0.01 b | 4.74 ± 0.03 b | 4.73 ± 0.05 b |
| C20:2 | 0.35 ± 0.00 b | 0.43 ± 0.00 c | nd a | nd a |
| C20:3n3 | 1.62 ± 0.00 a | 1.82 ± 0.01 b | 1.94 ± 0.01 c | 2.14 ± 0.02 d |
| C20:4 | 5.25 ± 0.00 a | 5.60 ± 0.01 b | 6.26 ± 0.10 c | 6.86 ± 0.05 d |
| C20:5 (EPA) | 4.23 ± 0.02 d | 4.07 ± 0.00 c | 3.85 ± 0.13 b | 3.52 ± 0.06 a |
| C22:6 (DHA) | 3.09 ± 0.05 c | 2.53 ± 0.06 a | 2.77 ± 0.07 b | 2.85 ± 0.01 b |
| ∑polyunsaturated | 21.23 ± 0.12 a | 22.49 ± 0.09 b | 22.78 ± 0.36 bc | 23.08 ± 0.20 c |
| W0 | W1 | W2 | W3 | |
|---|---|---|---|---|
| Appearance | ![]() | ![]() | ![]() | ![]() |
| Yield (%) | 100.00 ± 0.00 d | 88.58 ± 1.26 c | 82.65 ± 0.89 b | 76.73 ± 0.96 a |
| Color (a*) | 1.44 ± 0.44 a | 0.29 ± 0.49 b | −1.31 ± 0.37 c | −1.08 ± 0.39 c |
| Whiteness | 65.23 ± 1.03 a | 71.97 ± 1.10 b | 72.01 ± 0.89 b | 71.96 ± 0.80 b |
| pH | 6.32 ± 0.02 a | 6.35 ± 0.01 a | 6.66 ± 0.02 b | 6.83 ± 0.02 c |
| TVB-N (mg N/100 g) | 6.57 ± 0.24c | 5.86 ± 0.46 bc | 5.27 ± 0.39 ab | 4.62 ± 0.35 a |
| TBARS (mg/kg) | 0.18 ± 0.00 d | 0.13 ± 0.00 c | 0.12 ± 0.00 b | 0.09 ± 0.00 a |
| Breaking force (g) | 369.67 ± 31.48 a | 403.29 ± 25.94 a | 419.33 ± 19.94 a | 413.67 ± 35.20 a |
| Deformation (cm) | 0.86 ± 0.04 a | 0.92 ± 0.03 ab | 0.97 ± 0.04 bc | 1.00 ± 0.01 c |
| Gel strength (g·cm) | 320.20 ± 38.60 a | 369.89 ± 32.94 b | 408.51 ± 36.03 c | 415.18 ± 35.68 c |
| WHC (%) | 88.46 ± 1.49 a | 90.90 ± 1.39 b | 92.53 ± 2.02 b | 92.87 ± 1.75 b |
| Secondary Structure | W0 | W1 | W2 | W3 |
|---|---|---|---|---|
| α-helical (%) | 30.87 ± 0.24 a | 31.30 ± 0.34 a | 31.51 ± 0.26 a | 31.91 ± 0.29 a |
| β-sheet (%) | 44.06 ± 0.37 b | 42.88 ± 0.31 a | 41.85 ± 0.28 a | 42.62 ± 0.29 a |
| β-turn (%) | 12.18 ± 0.17 a | 12.62 ± 0.19 a | 13.52 ± 0.14 a | 12.69 ± 0.18 a |
| Random coil (%) | 12.88 ± 0.20 a | 13.20 ± 0.22 a | 13.12 ± 0.16 a | 12.78 ± 0.16 a |
| W0 | W1 | W2 | W3 | |
|---|---|---|---|---|
| T2b (ms) | 0.19 ± 0.00 a | 0.21 ± 0.01 b | 0.25 ± 0.01 c | 0.40 ± 0.01 d |
| T21 (ms) | 60.80 ± 0.00 a | 60.80 ± 0.00 a | 60.80 ± 0.00 a | 60.80 ± 0.00 a |
| T22 (ms) | 587.28 ± 0.00 a | 587.28 ± 0.00 a | 587.28 ± 0.00 a | 587.28 ± 0.00 a |
| Peak areas T2b (%) | 2.78 ± 0.06 a | 3.66 ± 0.03 b | 3.74 ± 0.01 b | 3.86 ± 0.01 c |
| Peak areas T21 (%) | 93.18 ± 0.13 b | 90.85 ± 0.15 a | 90.95 ± 0.21 a | 90.56 ± 0.17 a |
| Peak areas T22 (%) | 4.05 ± 0.00 a | 5.49 ± 0.007 c | 5.31 ± 0.01 b | 5.57 ± 0.00 d |
Publisher’s Note: MDPI stays neutral with regard to jurisdictional claims in published maps and institutional affiliations. |
© 2022 by the authors. Licensee MDPI, Basel, Switzerland. This article is an open access article distributed under the terms and conditions of the Creative Commons Attribution (CC BY) license (https://creativecommons.org/licenses/by/4.0/).
Share and Cite
Zhang, X.; Zhang, Y.; Ding, H.; Zhang, W.; Dai, Z. Effect of Washing Times on the Quality Characteristics and Protein Oxidation of Silver Carp Surimi. Foods 2022, 11, 2397. https://doi.org/10.3390/foods11162397
Zhang X, Zhang Y, Ding H, Zhang W, Dai Z. Effect of Washing Times on the Quality Characteristics and Protein Oxidation of Silver Carp Surimi. Foods. 2022; 11(16):2397. https://doi.org/10.3390/foods11162397
Chicago/Turabian StyleZhang, Xiaodi, Yiqi Zhang, Haochen Ding, Wenhai Zhang, and Zhiyuan Dai. 2022. "Effect of Washing Times on the Quality Characteristics and Protein Oxidation of Silver Carp Surimi" Foods 11, no. 16: 2397. https://doi.org/10.3390/foods11162397
APA StyleZhang, X., Zhang, Y., Ding, H., Zhang, W., & Dai, Z. (2022). Effect of Washing Times on the Quality Characteristics and Protein Oxidation of Silver Carp Surimi. Foods, 11(16), 2397. https://doi.org/10.3390/foods11162397





