Giant Morpheaform Basal Cell Carcinoma Mimicking Scarring Alopecia: Exception Prone to Neglect
Abstract
1. Introduction
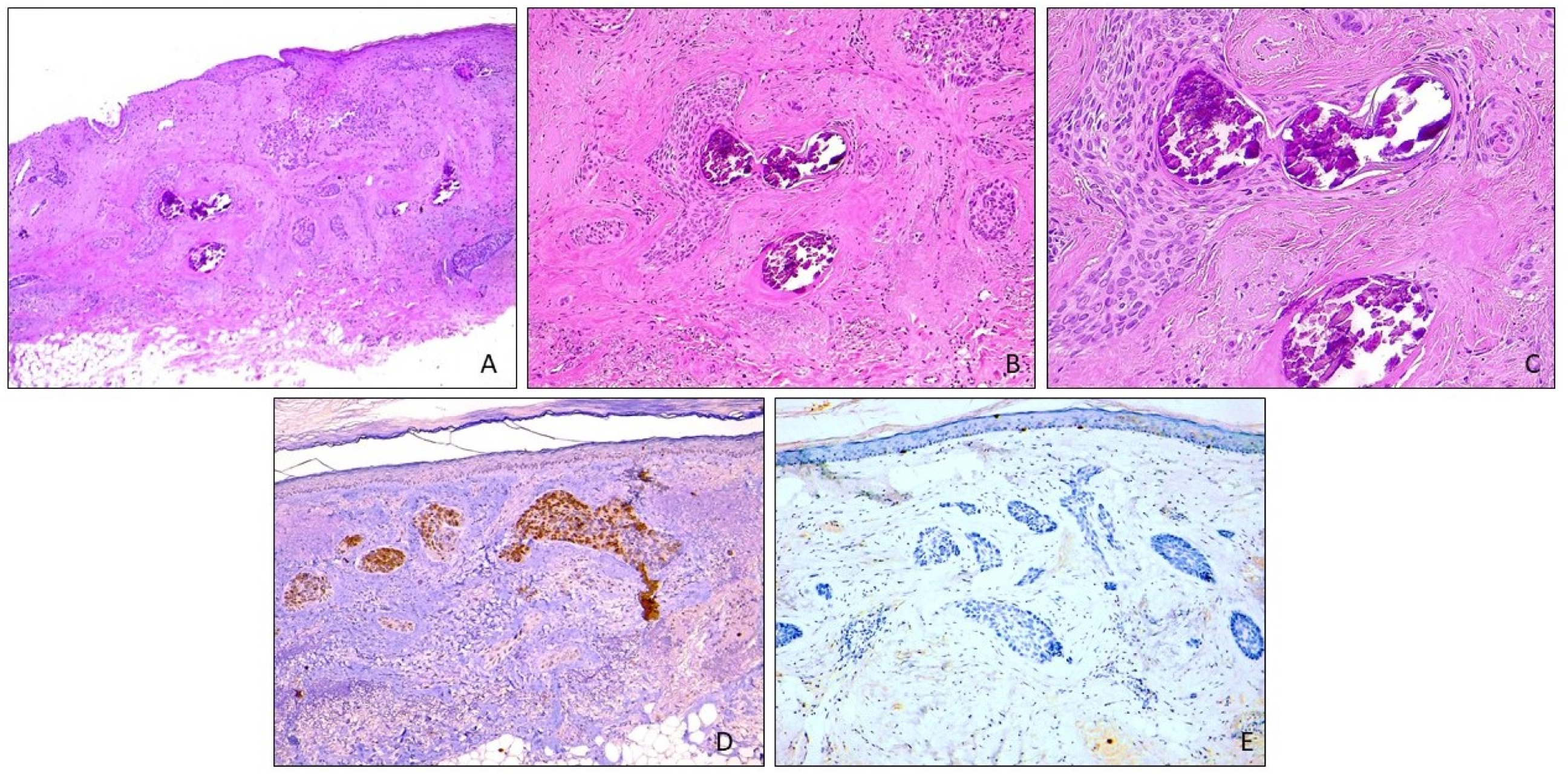
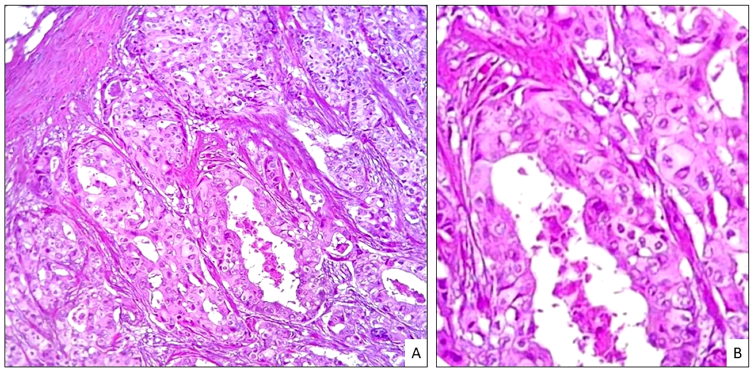
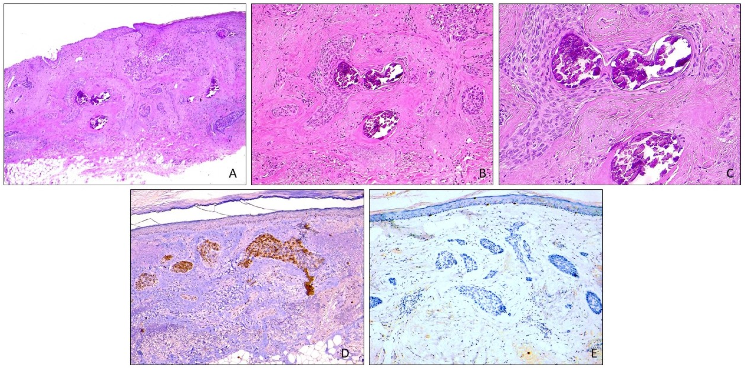
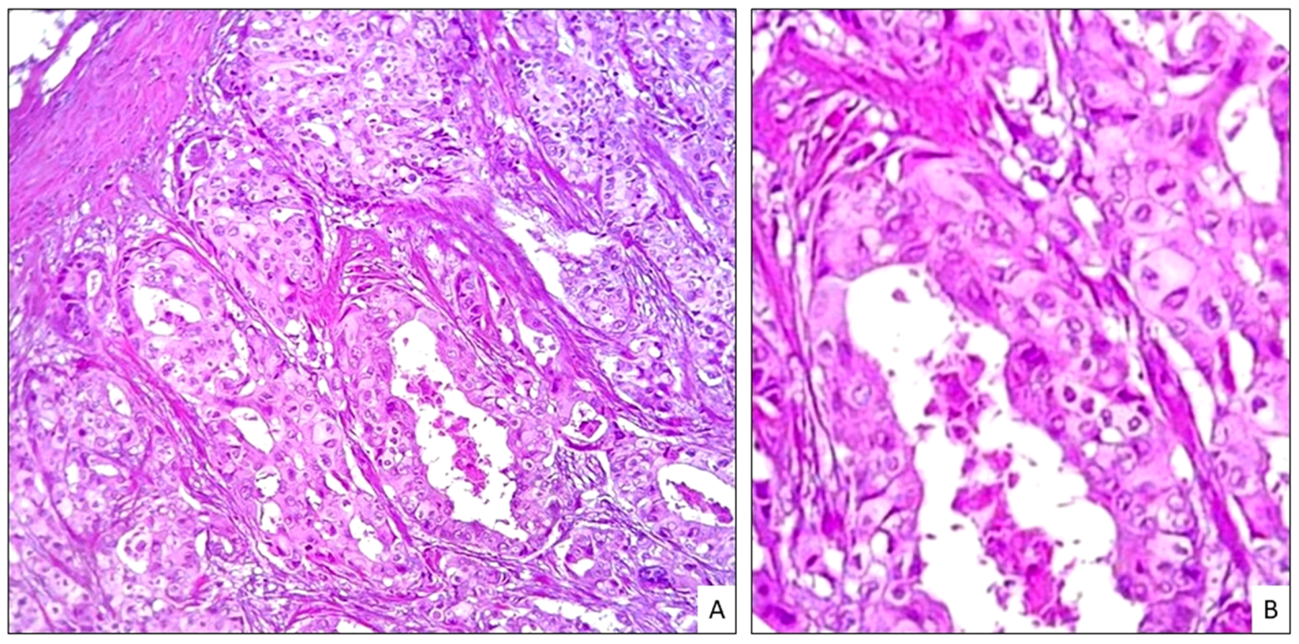
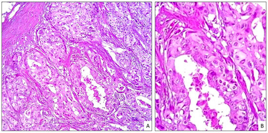
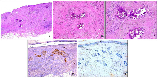
2. Case Report
3. Discussion
4. Conclusions
Author Contributions
Funding
Institutional Review Board Statement
Informed Consent Statement
Data Availability Statement
Acknowledgments
Conflicts of Interest
References
- De Giorgi, V.; Grazzini, M.; Alfaioli, B.; Savarese, I.; Corciova, S.A.; Guerriero, G.; Lotti, T. Cutaneous manifestations of breast carcinoma. Dermatol. Ther. 2010, 23, 581–589. [Google Scholar] [CrossRef] [PubMed]
- Paolino, G.; Pampena, R.; Grassi, S.; Mercuri, S.R.; Cardone, M.; Corsetti, P.; Moliterni, E.; Muscianese, M.; Rossi, A.; Frascione, P.; et al. Alopecia neoplastica as a sign of visceral malignancies: A systematic review. J. Eur. Acad. Dermatol. Venereol. JEADV 2019, 33, 1020–1028. [Google Scholar] [CrossRef] [PubMed]
- Ronchese, F. Alopecia due to metastases from adenocarcinoma of the breast: Report of a case. Arch. Dermatol. Syphilol. 1949, 59, 329–332. [Google Scholar] [CrossRef] [PubMed]
- Cohen, I.; Levy, E. SCHREIBER H: Alopecia neoplastica due to breast carcinoma. Arch. Dermatol. 1961, 84, 490–492. [Google Scholar] [CrossRef] [PubMed]
- Crotty, K.; McCarthy, W.; Quinn, M.; McCarthy, S. Alopecia neoplastica caused by desmoplastic melanoma. Australas. J. Dermatol. 2003, 44, 295–298. [Google Scholar] [CrossRef] [PubMed]
- Goetze, A.C.; Marioto de Campos, G.L.; Bochnia Cerci, F.; Werner, B. Scalp Basal Cell Carcinoma Presenting as Alopecia. Dermatol. Pract. Concept. 2021, 11, e2021129. [Google Scholar] [CrossRef]
- Murray, S.; Simmons, I.; James, C. Cutaneous angiosarcoma of the face and scalp presenting as alopecia. Australas. J. Dermatol. 2003, 44, 273–276. [Google Scholar] [CrossRef] [PubMed]
- Liau, J.Y.; Lee, F.Y.; Chiu, C.S.; Chen, J.S.; Hsiao, T.L. Composite hemangioendothelioma presenting as a scalp nodule with alopecia. J. Am. Acad. Dermatol. 2013, 69, e98–e99. [Google Scholar] [CrossRef]
- Alessi, E.; Caputo, R. Syringomatous carcinoma of the scalp presenting as a slowly enlarging patch of alopecia. Am. J. Dermatopathol. 1993, 15, 503–505. [Google Scholar] [CrossRef]
- Castanon, M.C.M.N.; Casali, S.M.G.; Lamim, R.F.B.; Nagahama, M.V.; Silva, C.B.X.V.; de Carvalho, R.G.N. Microcystic adnexal carcinoma simulating scarring alopecia. An. Bras. Dermatol. 2015, 90 (Suppl. S1), 36–38. [Google Scholar] [CrossRef]
- Iwenofu, O.H.; Samie, F.H.; Ralston, J.; Cheney, R.T.; Zeitouni, N.C. Extramammary Paget’s disease presenting as alopecia neoplastica. J. Cutan. Pathol. 2008, 35, 761–764. [Google Scholar] [CrossRef]
- Kluk, J.; Charles-Holmes, R.; Carr, R.A. Primary cutaneous follicle centre cell lymphoma of the scalp presenting with scarring alopecia. Br. J. Dermatol. 2011, 165, 205–207. [Google Scholar] [CrossRef] [PubMed]
- Scheinfeld, N. Review of scalp alopecia due to a clinically unapparent or minimally apparent neoplasm (SACUMAN). Acta Derm. Venereol. 2006, 86, 387–392. [Google Scholar] [CrossRef] [PubMed]
- Cameron, M.C.; Lee, E.; Hibler, B.P.; Barker, C.A.; Mori, S.; Cordova, M.; Nehal, K.S.; Rossi, A.M. Basal cell carcinoma: Epidemiology; pathophysiology; clinical and histological subtypes; and disease associations. J. Am. Acad. Dermatol. 2019, 80, 303–317. [Google Scholar] [CrossRef] [PubMed]
- Labareda, J.M.; Garcia e Silva, L. Basal cell carcinomas of the scalp: Review of 77 patients with 81 tumors. Med. Cutan. Ibero Lat. Am. 1988, 16, 367–372. [Google Scholar] [PubMed]
- Cho, M.; Lee, J.; James, C.L.; Marshman, G.; Huilgol, S.C. Scalp Basal Cell Carcinoma: Review of 2202 Cases. Dermatol. Surg. Off Publ. Am. Soc. Dermatol. Surg. Al. 2016, 42, 834–841. [Google Scholar] [CrossRef]
- Suppa, M.; Micantonio, T.; Di Stefani, A.; Soyer, H.P.; Chimenti, S.; Fargnoli, M.C.; Peris, K. Dermoscopic variability of basal cell carcinoma according to clinical type and anatomic location. J. Eur. Acad. Dermatol. Venereol. 2015, 29, 1732–1741. [Google Scholar] [CrossRef]
- Miteva, M.; Tosti, A. Dermatoscopy of hair shaft disorders. J. Am. Acad. Dermatol. 2013, 68, 473–481. [Google Scholar] [CrossRef]
- Katz, T.M.; Silapunt, S.; Goldberg, L.H.; Jih, M.H.; Kimyai-Asadi, A. Analysis of 197 female scalp tumors treated with Mohs micrographic surgery. J. Am. Acad. Dermatol. 2005, 52, 291–294. [Google Scholar] [CrossRef]
- Castanheira, A.; Soares, P.; Boaventura, P. Scalp basal cell carcinoma: A different entity? Dermatol. Ther. 2019, 32, e12828. [Google Scholar] [CrossRef]
- Schmid, M.A. Basalioma of the scalp. Langenbecks Arch. Chir. 1968, 320, 155–178. [Google Scholar] [CrossRef] [PubMed]
- Hundeiker, M.; Tillmann, U. Basal cell carcinomas of the hairy head simulating “alopecia areata”. Hautarzt Z. Dermatol. Venerol. Verwandte Geb. 1972, 23, 180–181. [Google Scholar]
- Vezzoni, R.; Toffoli, L.; Conforti, C.; Dri, A.; Retrosi, C.; di Meo, N.; Magaton Rizzi, G.; Signoretto, D.; Zalaudek, I. Breast Cancer-Related Neoplastic Alopecia: A Case Report and Review of the Literature. Skin Appendage Disord. 2021, 7, 339–345. [Google Scholar] [CrossRef] [PubMed]
- Jin, H.; Yang, M.Y.; Kim, J.M.; Kim, G.W.; Kim, H.S.; Ko, H.C.; Kim, B.S.; Kim, M.B. Arborizing Vessels on Dermoscopy in Various Skin Diseases Other Than Basal Cell Carcinoma. Ann. Dermatol. 2017, 29, 288–294. [Google Scholar] [CrossRef] [PubMed]
- Badve, S.; Dabbs, D.J.; Schnitt, S.J.; Baehner, F.L.; Decker, T.; Eusebi, V.; Fox, S.B.; Ichihara, S.; Jacquemier, J.; Lakhani, S.R.; et al. Basal-like and triple-negative breast cancers: A critical review with an emphasis on the implications for pathologists and oncologists. Mod. Pathol. Off J. US Can. Acad. Pathol. Inc. 2011, 24, 157–167. [Google Scholar] [CrossRef] [PubMed]
- Edge, S.B.; Byrd, D.R.; Compton, C.C.; Fritz, A.G.; Greene, F.L.; Trotti, A. (Eds.) AJCC Cancer Staging Manual, 7th ed.; Springer: Berlin/Heidelberg, Germany, 2010. [Google Scholar]
- Sahl, W.J.; Snow, S.N.; Levine, N.S. Giant basal cell carcinoma: Report of two cases and review of the literature. J. Am. Acad. Dermatol. 1994, 30 Pt 2, 856–859. [Google Scholar] [CrossRef] [PubMed]
- Archontaki, M.; Stavrianos, S.D.; Korkolis, D.P.; Arnogiannaki, N.; Vassiliadis, V.; Liapakis, I.E.; Christ, H.; Rapidis, A.D.; Kokkalis, G. Giant Basal Cell Carcinoma: Clinicopathological Analysis of 51 Cases and Review of the Literature. Anticancer Res. 2009, 29, 2655–2663. [Google Scholar] [PubMed]
- Sakalauskaite, M.; Vitkus, K.; Balciunas, D.; Sirsinaitis, S.; Rocka, S. Invasive giant basal cell carcinoma of the head: Case report, reconstruction choice and literature review. Cent. Eur. J. Med. 2009, 4, 519–526. [Google Scholar] [CrossRef]
- Lorenzini, M.; Gatti, S.; Giannitrapani, A. Giant basal cell carcinoma of the thoracic wall: A case report and review of the literature. Br. J. Plast. Surg. 2005, 58, 1007–1010. [Google Scholar] [CrossRef]
- Gutzmer, R.; Solomon, J.A. Hedgehog Pathway Inhibition for the Treatment of Basal Cell Carcinoma. Target Oncol. 2019, 14, 253–267. [Google Scholar] [CrossRef]
- Ruiz-Villaverde, R.; Herrera-Acosta, E.; Ruiz de Casas, A.; Villegas-Romero, I.M.; Moreno-Suárez, F.G.; Vílchez-Márquez, F.; Galán-Gutiérrez, M.; Vázquez-Bayo, M.C.; Cases-Mérida, S.; Almazán-Fernández, F.M. Multicenter Retrospective Andalusian Study of the Use of Sonidegib for the Treatment of Local Advanced Basal Cell Carcinoma in Real Clinical Practice. J. Clin. Med. 2023, 12, 5631. [Google Scholar] [CrossRef] [PubMed]
- Alcalay, J.; Tauber, G.; Fenig, E.; Hodak, E. Vismodegib as a neoadjuvant treatment to Mohs surgery for aggressive basal cell carcinoma. J. Drugs Dermatol. JDD 2015, 14, 219–223. [Google Scholar] [PubMed]



Disclaimer/Publisher’s Note: The statements, opinions and data contained in all publications are solely those of the individual author(s) and contributor(s) and not of MDPI and/or the editor(s). MDPI and/or the editor(s) disclaim responsibility for any injury to people or property resulting from any ideas, methods, instructions or products referred to in the content. |
© 2024 by the authors. Licensee MDPI, Basel, Switzerland. This article is an open access article distributed under the terms and conditions of the Creative Commons Attribution (CC BY) license (https://creativecommons.org/licenses/by/4.0/).
Share and Cite
Tomasini, C.F.; Fiandrino, G.; Favale, E.M.; Antoci, F.; Barruscotti, S. Giant Morpheaform Basal Cell Carcinoma Mimicking Scarring Alopecia: Exception Prone to Neglect. Dermatopathology 2024, 11, 154-160. https://doi.org/10.3390/dermatopathology11020016
Tomasini CF, Fiandrino G, Favale EM, Antoci F, Barruscotti S. Giant Morpheaform Basal Cell Carcinoma Mimicking Scarring Alopecia: Exception Prone to Neglect. Dermatopathology. 2024; 11(2):154-160. https://doi.org/10.3390/dermatopathology11020016
Chicago/Turabian StyleTomasini, Carlo Francesco, Giacomo Fiandrino, Emanuele Mario Favale, Francesca Antoci, and Stefania Barruscotti. 2024. "Giant Morpheaform Basal Cell Carcinoma Mimicking Scarring Alopecia: Exception Prone to Neglect" Dermatopathology 11, no. 2: 154-160. https://doi.org/10.3390/dermatopathology11020016
APA StyleTomasini, C. F., Fiandrino, G., Favale, E. M., Antoci, F., & Barruscotti, S. (2024). Giant Morpheaform Basal Cell Carcinoma Mimicking Scarring Alopecia: Exception Prone to Neglect. Dermatopathology, 11(2), 154-160. https://doi.org/10.3390/dermatopathology11020016

